JavaScript is disabled in your browser. Please enable JavaScript to view this website.
AB63392

Anti-CHOP (phospho S30) 抗体

Anti-CHOP (phospho S30) antibody

Be the first to review this product! Submit a review

|

(4 Publications)

Rabbit Polyclonal CHOP phospho S30 antibody. Suitable for IHC-P, ICC/IF and reacts with Human samples. Cited in 1 publication. Immunogen corresponding to Synthetic Peptide within Human CHOP / DDIT3 phospho S30.

查看别名

CHOP, CHOP10, GADD153, DDIT3, DNA damage-inducible transcript 3 protein, DDIT-3, C/EBP zeta, C/EBP-homologous protein, C/EBP-homologous protein 10, CCAAT/enhancer-binding protein homologous protein, Growth arrest and DNA damage-inducible protein GADD153, CHOP-10

2 Images
Immunocytochemistry/ Immunofluorescence - Anti-CHOP (phospho S30) antibody (AB63392)
  • ICC/IF

Unknown

Immunocytochemistry/ Immunofluorescence - Anti-CHOP (phospho S30) antibody (AB63392)

Immunofluorescence analysis of A549 cells, using ab63392 at 1 : 500 dilution.
Left image untreated.
Right image treated with phospho peptide.

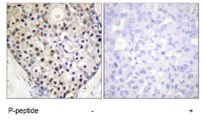
Immunohistochemistry (Formalin/PFA-fixed paraffin-embedded sections) - Anti-CHOP (phospho S30) antibody (AB63392)
  • IHC-P

Unknown

Immunohistochemistry (Formalin/PFA-fixed paraffin-embedded sections) - Anti-CHOP (phospho S30) antibody (AB63392)

Immunohistochemistry analysis of paraffin-embedded human breast carcinoma tissue using ab63392 at 1 : 50 dilution.
Left image untreated.
Right image treated with phospho peptide.

关键信息

宿主种属

Rabbit

克隆

Polyclonal

亚型

IgG

不含载体蛋白

No

反应种属

Human

应用

ICC/IF, IHC-P

applications

免疫原

Synthetic Peptide within Human DDIT3 phospho S30. The exact immunogen used to generate this antibody is proprietary information.

P35638

特异性

This antibody detects endogenous levels of GADD153 only when phosphorylated at serine 30.

反应性数据

{ "title": "Reactivity Data", "filters": { "stats": ["", "Species", "Dilution Info", "Notes"], "tabs": { "all-applications": {"fullname" : "All Applications", "shortname": "All Applications"}, "IHCP" : {"fullname" : "Immunohistochemistry (Formalin/PFA-fixed paraffin-embedded sections)", "shortname":"IHC-P"}, "ICCIF" : {"fullname" : "Immunocytochemistry/ Immunofluorescence", "shortname":"ICC/IF"} }, "product-promise": { "all": "all", "testedAndGuaranteed": "tested", "guaranteed": "expected", "predicted": "predicted", "notRecommended": "not-recommended" } }, "values": { "Human": { "IHCP-species-checked": "testedAndGuaranteed", "IHCP-species-dilution-info": "1/50 - 1/100", "IHCP-species-notes": "<p></p>", "ICCIF-species-checked": "testedAndGuaranteed", "ICCIF-species-dilution-info": "1/500 - 1/1000", "ICCIF-species-notes": "<p></p>" } } }

产品详情

Previously called Anti-DDIT3 (phospho S30) antibody. The name of this product has been changed, there have been no other changes to the product.

性能和储存信息

形式
Liquid
纯化工艺
Affinity purification Immunogen
纯化说明
The antibody was affinity purified from rabbit antiserum by affinity chromatography using epitope specific phosphopeptide. The antibody against non phosphopeptide was removed by chromatography using non phosphopeptide corresponding to the phosphorylation site.
存储溶液
pH: 7.4 Preservative: 0.02% Sodium azide Constituents: PBS, 50% Glycerol (glycerin, glycerine), 0.87% Sodium chloride
运输条件
Blue Ice
推荐的短期储存条件
+4°C
推荐的长期储存条件
-20°C
储存信息
Stable for 12 months at -20°C

补充信息

This supplementary information is collated from multiple sources and compiled automatically.

DDIT3 also known as CHOP (C/EBP homologous protein) is a transcription factor commonly expressed in cells under stress conditions such as endoplasmic reticulum stress. It has a molecular weight of approximately 29 kDa. As part of the system that manages cell stress responses DDIT3 expression can occur in various tissues but it is particularly notable in the context of cellular stress regulation. Researchers often use DDIT3 immunohistochemistry to study its presence and expression pattern in different tissues.
Biological function summary

DDIT3 plays a significant role in mediating cellular stress responses and promoting apoptosis when adaptive pathways fail. DDIT3 is not typically part of a multi-subunit complex but it acts in concert with other stress-related proteins to modulate gene expression. By inducing apoptosis DDIT3 helps remove severely damaged cells maintaining overall tissue health. However excessive DDIT3 activity under prolonged stress can lead to cell loss and tissue damage.

Pathways

DDIT3 is involved in the unfolded protein response (UPR) and endoplasmic reticulum stress pathways. It interacts with proteins such as ATF4 and PERK which are part of the mechanism that governs these pathways. DDIT3 induction contributes to the UPR pathway balancing the cell's fate between repair and apoptosis. This balance is important for cell survival under stress and avoids detrimental cellular damage.

DDIT3 has a strong connection with diabetes and neurodegenerative diseases. In diabetes DDIT3 overactivation can result in pancreatic beta-cell apoptosis worsening the disease's progression. Furthermore its involvement in neurodegenerative diseases includes its association with the accumulation of misfolded proteins exacerbating cellular stress conditions. DDIT3's interaction with proteins such as BCL2 further influences disease pathways by enhancing apoptotic signals.

产品实验方案

For this product, it's our understanding that no specific protocols are required. You can visit:

靶点信息

Multifunctional transcription factor in endoplasmic reticulum (ER) stress response (PubMed : 15322075, PubMed : 15775988, PubMed : 19672300). Plays an essential role in the response to a wide variety of cell stresses and induces cell cycle arrest and apoptosis in response to ER stress (PubMed : 15322075, PubMed : 15775988). Plays a dual role both as an inhibitor of CCAAT/enhancer-binding protein (C/EBP) function and as an activator of other genes (By similarity). Acts as a dominant-negative regulator of C/EBP-induced transcription : dimerizes with members of the C/EBP family, impairs their association with C/EBP binding sites in the promoter regions, and inhibits the expression of C/EBP regulated genes (By similarity). Positively regulates the transcription of TRIB3, IL6, IL8, IL23, TNFRSF10B/DR5, PPP1R15A/GADD34, BBC3/PUMA, BCL2L11/BIM and ERO1L (PubMed : 15775988, PubMed : 17709599, PubMed : 20876114, PubMed : 22761832). Negatively regulates; expression of BCL2 and MYOD1, ATF4-dependent transcriptional activation of asparagine synthetase (ASNS), CEBPA-dependent transcriptional activation of hepcidin (HAMP) and CEBPB-mediated expression of peroxisome proliferator-activated receptor gamma (PPARG) (PubMed : 18940792, PubMed : 19672300, PubMed : 20829347). Together with ATF4, mediates ER-mediated cell death by promoting expression of genes involved in cellular amino acid metabolic processes, mRNA translation and the unfolded protein response (UPR) in response to ER stress (By similarity). Inhibits the canonical Wnt signaling pathway by binding to TCF7L2/TCF4, impairing its DNA-binding properties and repressing its transcriptional activity (PubMed : 16434966). Plays a regulatory role in the inflammatory response through the induction of caspase-11 (CASP4/CASP11) which induces the activation of caspase-1 (CASP1) and both these caspases increase the activation of pro-IL1B to mature IL1B which is involved in the inflammatory response (By similarity). Acts as a major regulator of postnatal neovascularization through regulation of endothelial nitric oxide synthase (NOS3)-related signaling (By similarity).
See full target information DDIT3 phospho S30

文献 (4)

Recent publications for all applications. Explore the full list and refine your search

Molecular biotechnology 67:1628-1640 PubMed38771421

2024

Role of C/EBP Homologous Protein (CHOP) and Nupr1 Interaction in Endoplasmic Reticulum Stress-Induced Apoptosis of Lens Epithelial Cells.

Applications

Unspecified application

Species

Unspecified reactive species

Jinghua Li,Junyi Liu,Yongying Tang,Hong Zhang,Yuanping Zhang,Xu Zha,Xueying Zhao

American journal of reproductive immunology (New York, N.Y. : 1989) 88:e13585 PubMed35716034

2022

Melatonin regulates proliferation, apoptosis and invasion of trophoblasts in preeclampsia by inhibiting endoplasmic reticulum stress.

Applications

Unspecified application

Species

Unspecified reactive species

Chufan Zhou,Yiling Ding,Ling Yu,Yanting Nie,Mengyuan Yang

Experimental biology and medicine (Maywood, N.J.) 246:2595-2609 PubMed34525858

2021

D4F alleviates the C/EBP homologous protein-mediated apoptosis in glycated high-density lipoprotein-treated macrophages by facilitating autophagy.

Applications

Unspecified application

Species

Unspecified reactive species

Hua Tian,Zhaoqiang Zhang,Xiaoyan Han,Tianqi Pan,Geru Tao,Peng Jiao,Lei Zhai,Libo Yang,Xiaoxu Wang,Yilin Yao,Shucun Qin,Shutong Yao

Stem cells international 2019:8589149 PubMed31089335

2019

Preconditioning of Human Dental Pulp Stem Cells with Leukocyte- and Platelet-Rich Fibrin-Derived Factors Does Not Enhance Their Neuroregenerative Effect.

Applications

Unspecified application

Species

Unspecified reactive species

Pascal Gervois,Jessica Ratajczak,Esther Wolfs,Tim Vangansewinkel,Yörg Dillen,Greet Merckx,Annelies Bronckaers,Ivo Lambrichts
View all publications

Abcam Product Promise

我们致力于为您的研究提供高质量的试剂,为您科研的每一步提供支持。若我们的产品未能达到预期性能,我们向您提供 Abcam Product Promise 保障。
详情请参阅我们的条款与条件。

Please note: All products are 'FOR RESEARCH USE ONLY. NOT FOR USE IN DIAGNOSTIC OR THERAPEUTIC PROCEDURES'.

For licensing inquiries, please contact partnerships@abcam.com