JavaScript is disabled in your browser. Please enable JavaScript to view this website.
AB109413

重组Anti-Chk2抗体[EPR4325]

Anti-Chk2 antibody [EPR4325]

  • 20ul selling size
  • RabMAb
  • Recombinant
  • KO Validated
  • 了解详情

5

(9 Reviews)

|

(37 Publications)

Knockout Tested Rabbit Recombinant Monoclonal Chk2 antibody. Suitable for IHC-P, ICC/IF, IP, WB, Flow Cyt (Intra) and reacts with Human samples. Cited in 37 publications.

查看别名

CDS1, CHK2, RAD53, CHEK2, Serine/threonine-protein kinase Chk2, CHK2 checkpoint homolog, Cds1 homolog, Checkpoint kinase 2, Hucds1, hCds1

12 Images
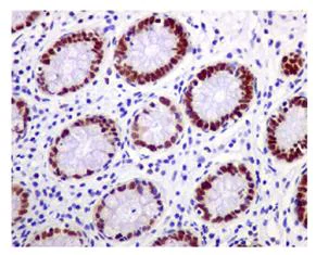
Immunohistochemistry (Formalin/PFA-fixed paraffin-embedded sections) - Anti-Chk2 antibody [EPR4325] (AB109413)
  • IHC-P

Unknown

Immunohistochemistry (Formalin/PFA-fixed paraffin-embedded sections) - Anti-Chk2 antibody [EPR4325] (AB109413)

Immunohistochemical analysis of paraffin-embedded human colon tissue using ab109413 at a 1/100 dilution.

Perform heat mediated antigen retrieval with citrate buffer pH 6 before commencing with IHC staining protocol.

Immunocytochemistry/ Immunofluorescence - Anti-Chk2 antibody [EPR4325] (AB109413)
  • ICC/IF

Lab

Immunocytochemistry/ Immunofluorescence - Anti-Chk2 antibody [EPR4325] (AB109413)

ab109413 staining Chk2 in wild-type HAP1 cells (top panel) and Chk2 knockout HAP1 cells (bottom panel). The cells were fixed with 100% methanol (5 minutes), permeabilized with 0.1% Triton X-100 for 5 minutes and then blocked with 1% BSA/10% normal goat serum/0.3M glycine in 0.1% PBS-Tween for 1 hour. The cells were then incubated with ab109413 at 1/250 dilution and ab195889 at 1/250 dilution (shown in pseudo colour red) overnight at +4°C, followed by a further incubation at room temperature for 1 hour with a goat secondary antibody to Rabbit IgG (Alexa Fluor® 488) (ab150081) at 2 μg/ml (shown in green). Nuclear DNA was labelled in blue with DAPI.

Immunocytochemistry/ Immunofluorescence - Anti-Chk2 antibody [EPR4325] (AB109413)
  • ICC/IF

AbReview34660****

Immunocytochemistry/ Immunofluorescence - Anti-Chk2 antibody [EPR4325] (AB109413)

ab109413 (1/500) staining Chk2 in HeLa (human epithelial cell line from cervix adenocarcinoma) cells (green). Cells were fixed in paraformaldehyde, permeabilized with 0.5% Triton X-100/PBS and counterstained with DAPI in order to highlight the nucleus (red). For further experimental details please see Abreview.

Image courtesy of an Abreview submitted by Dr. Kirk McManus, Univ. of Manitoba/Cancer Care MICB, Canada

Flow Cytometry (Intracellular) - Anti-Chk2 antibody [EPR4325] (AB109413)
  • Flow Cyt (Intra)

Lab

Flow Cytometry (Intracellular) - Anti-Chk2 antibody [EPR4325] (AB109413)

Intracellular Flow Cytometry analysis of HeLa (human cervix adenocarcinoma) cells labeling Chk2 with purified ab109413 at 1/230 dilution (10μg/ml) (red). Cells were fixed with 80% methanol and permeabilised with 0.1% Tween-20. A Goat anti rabbit IgG (Alexa Fluorr® 488) (ab150077) (1/2000 dilution) was used as the secondary antibody. Rabbit monoclonal IgG (Black) (ab172730) was used as the isotype control, cells without incubation with primary antibody and secondary antibody (Blue) were used as the unlabeled control.

Immunocytochemistry/ Immunofluorescence - Anti-Chk2 antibody [EPR4325] (AB109413)
  • ICC/IF

Lab

Immunocytochemistry/ Immunofluorescence - Anti-Chk2 antibody [EPR4325] (AB109413)

Immunocytochemistry analysis of HT-29 (human colorectal adenocarcinoma epithelial cell) labeling Chk2 with purified ab109413 at 1/500 dilution. Cells were fixed with 4% Paraformaldehyde and permeabilised with 0.1% tritonX-100. Goat anti rabbit IgG (Alexa Fluor® 488, ab150077) at 1/1000 (2 µg/ml) was used as the secondary antibody. was used as counterstain. Nuclei were stained blue with DAPI.
Negative control : PBS instead of the primary antibody.

Immunohistochemistry (Formalin/PFA-fixed paraffin-embedded sections) - Anti-Chk2 antibody [EPR4325] (AB109413)
  • IHC-P

Unknown

Immunohistochemistry (Formalin/PFA-fixed paraffin-embedded sections) - Anti-Chk2 antibody [EPR4325] (AB109413)

Immunohistochemical analysis of paraffin-embedded human spleen tissue using ab109413 at a 1/100 dilution.

Perform heat mediated antigen retrieval with citrate buffer pH 6 before commencing with IHC staining protocol.

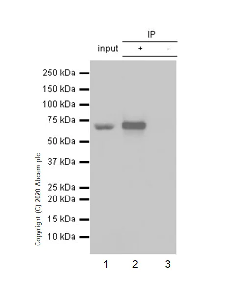
Immunoprecipitation - Anti-Chk2 antibody [EPR4325] (AB109413)
  • IP

Lab

Immunoprecipitation - Anti-Chk2 antibody [EPR4325] (AB109413)

Purified ab109413 at 1/50 dilution (2μg) immunoprecipitating Chk2 in HeLa whole cell lysate.
Lane 1 (input) : HeLa (Human cervix adenocarcinoma epithelial cell) whole cell lysate 10μg
Lane 2 (+) : ab109413 + HeLa whole cell lysate.
Lane 3 (-) : Rabbit monoclonal IgG (ab172730) instead of ab109413 in HeLa whole cell lysate.
VeriBlot for IP Detection Reagent (HRP) (ab131366) (1/1000 dilution) was used for Western blotting.
Blocking Buffer and concentration : 5% NFDM/TBST.
Diluting buffer and concentration : 5% NFDM/TBST.
Observed band size : 62 kDa

All lanes:

Immunoprecipitation - Anti-Chk2 antibody [EPR4325] (ab109413)

Predicted band size: 61 kDa

false

Western blot - Anti-Chk2 antibody [EPR4325] (AB109413)
  • WB

Lab

Western blot - Anti-Chk2 antibody [EPR4325] (AB109413)

False colour image of Western blot : Anti-Chk2 antibody [EPR4325] staining at 1/50000 dilution, shown in green; Mouse anti-GAPDH antibody [6C5] (ab8245) loading control staining at 1/20000 dilution, shown in red. In Western blot, ab109413 was shown to bind specifically to Chk2. A band was observed at 67 kDa in wild-type A549 cell lysates with no signal observed at this size in CHEK2 knockout cell line ab276098 (knockout cell lysate ab276098). To generate this image, wild-type and CHEK2 knockout A549 cell lysates were analysed. First, samples were run on an SDS-PAGE gel then transferred onto a nitrocellulose membrane. Membranes were blocked in 3 % milk in TBS-0.1 % Tween® 20 (TBS-T) before incubation with primary antibodies overnight at 4 °C. Blots were washed four times in TBS-T, incubated with secondary antibodies for 1 h at room temperature, washed again four times then imaged. Secondary antibodies used were Goat anti-Rabbit IgG H&L 800CW and Goat anti-Mouse IgG H&L 680RD at 1/20000 dilution.

Lanes 1 - 4:

Western blot - Anti-Chk2 antibody [EPR4325] (ab109413) at 1/5000 dilution

Lanes 1 - 4:

Western blot - Anti-Chk2 antibody [EPR4325] - BSA and Azide free (<a href='/products/primary-antibodies/chk2-antibody-epr4325-bsa-and-azide-free-ab227998'>ab227998</a>) at 1/5000 dilution

Lane 1:

Wild-type A549 cell lysate at 20 µg

Lane 2:

Western blot - Human CHEK2 (Chk2) knockout A549 cell line (<a href='/products/cell-lines/human-chek2-chk2-knockout-a549-cell-line-ab276098'>ab276098</a>)

Lane 2:

CHEK2 knockout A549 cell lysate at 20 µg

Lane 3:

HEK-293 cell lysate at 20 µg

Lane 4:

MDA-MB-231 cell lysate at 20 µg

Secondary

All lanes:

Goat anti-Rabbit IgG H&L 800CW and Goat anti-Mouse IgG H&L 680RD at 1/20000 dilution

Observed band size: 67 kDa

false

Western blot - Anti-Chk2 antibody [EPR4325] (AB109413)
  • WB

Lab

Western blot - Anti-Chk2 antibody [EPR4325] (AB109413)

Lanes 1-4 : Merged signal (red and green). Green - ab109413 observed at 68 kDa. Red - loading control ab8245 observed at 37 kDa.

ab109413 Anti-Chk2 antibody [EPR4325] was shown to specifically react with Chk2 in wild-type HeLa cells. Loss of signal was observed when knockout cell line ab264815 (knockout cell lysate ab257104) was used. Wild-type and Chk2 knockout samples were subjected to SDS-PAGE. ab109413 and Anti-alpha Tubulin antibody [EP1332Y] - Microtubule Marker (ab52866) were incubated overnight at 4°C at 1 in 1000 dilution and 1 in 20000 dilution respectively. Blots were developed with Goat anti-Rabbit IgG H&L (IRDye® 800CW) preadsorbed (ab216773) and Goat anti-Mouse IgG H&L (IRDye® 680RD) preadsorbed (ab216776) secondary antibodies at 1 in 20000 dilution for 1 hour at room temperature before imaging.

All lanes:

Western blot - Anti-Chk2 antibody [EPR4325] (ab109413) at 1/1000 dilution

Lane 1:

Wild-type HeLa cell lysate at 20 µg

Lane 2:

CHEK2 knockout HeLa cell lysate at 20 µg

Lane 2:

Western blot - Human CHEK2 (Chk2) knockout HeLa cell line (<a href='/products/cell-lines/human-chek2-chk2-knockout-hela-cell-line-ab264815'>ab264815</a>)

Lane 3:

HEK-293 cell lysate at 20 µg

Lane 4:

MDA-MB-231 cell lysate at 20 µg

Secondary

All lanes:

Western blot - Goat anti-Rabbit IgG H&L (IRDye® 800CW) preadsorbed (<a href='/products/secondary-antibodies/goat-rabbit-igg-h-l-irdye-800cw-preadsorbed-ab216773'>ab216773</a>) at 1/20000 dilution

Predicted band size: 61 kDa

Observed band size: 68 kDa

false

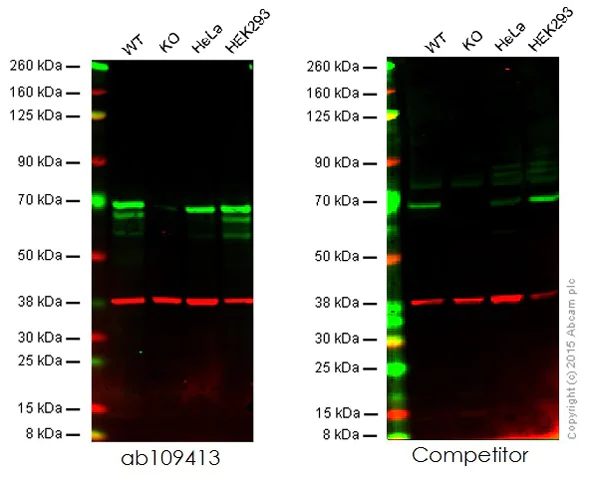
Western blot - Anti-Chk2 antibody [EPR4325] (AB109413)
  • WB

Unknown

Western blot - Anti-Chk2 antibody [EPR4325] (AB109413)

Lanes 1, 2, 3 and 4 : Green signal from target - ab109413 observed at 62 kDa
Lanes 5, 6, 7 and 8 : Red signal from loading control - ab8245 observed at 37 kDa
Lanes 9, 10, 11 and 12 : Merged (red and green) signal

ab109413 was shown to specifically react with Chk2 when Chk2 knockout samples were used. Wild-type and Chk2 knockout samples were subjected to SDS-PAGE. ab109413 and ab8245 (loading control to GAPDH) were diluted 1/50 000 and 1/2000 respectively and incubated overnight at 4°C. Blots were developed with Goat anti-Rabbit IgG H&L (IRDye® 800CW) preadsorbed (ab216773) and Goat anti-Mouse IgG H&L (IRDye® 680RD) preadsorbed (ab216776) secondary antibodies at 1/10 000 dilution for 1 h at room temperature before imaging.

Lanes 1 - 4:

Western blot - Anti-Chk2 antibody [EPR4325] (ab109413) at 1/50000 dilution

Lanes 5 - 8:

Western blot - Anti-Chk2 antibody [EPR4325] (ab109413) at 1/2000 dilution

Lanes 1 and 5:

Wild-type HAP1 cell lysate at 20 µg

Lanes 2 and 6:

Chk2 knockout HAP1 cell lysate at 20 µg

Lanes 3 and 7:

HeLa cell lysate at 20 µg

Lanes 4 and 8:

HEK293 cell lysate at 20 µg

Predicted band size: 61 kDa

false

Western blot - Anti-Chk2 antibody [EPR4325] (AB109413)
  • WB

Unknown

Western blot - Anti-Chk2 antibody [EPR4325] (AB109413)

All lanes:

Western blot - Anti-Chk2 antibody [EPR4325] (ab109413) at 1/50000 dilution

Lane 1:

HeLa (human epithelial cell line from cervix adenocarcinoma) cells treated with gamma irradiation at 10 µg

Lane 2:

HeLa (human epithelial cell line from cervix adenocarcinoma) cell lysate at 10 µg

Lane 3:

HT-29 (human colorectal adenocarcinoma cell line) cell lysate at 10 µg

Lane 4:

HEK-293T (human epithelial cell line from embryonic kidney transformed with large T antigen) cell lysate at 10 µg

Predicted band size: 61 kDa

Observed band size: 62 kDa

false

Western blot - Anti-Chk2 antibody [EPR4325] (AB109413)
  • WB

Lab

Western blot - Anti-Chk2 antibody [EPR4325] (AB109413)

Lanes 1 - 4 : Merged signal (red and green). Green - ab109413 observed at 64 kDa. Red - loading control, ab8245, observed at 37 kDa.

This western blot image is a comparison between ab109413 and a competitor's rabbit polyclonal antibody.

All lanes:

Western blot - Anti-Chk2 antibody [EPR4325] (ab109413)

Lane 1:

Wild-type HAP1 cell lysate at 20 µg

Lane 2:

Chk2 knockout HAP1 cell lysate at 20 µg

Lane 3:

HeLa cell lysate at 20 µg

Lane 4:

HEK293 cell lysate at 20 µg

Predicted band size: 61 kDa

false

不同偶联物与剂型 (2)

关键信息

宿主种属

Rabbit

克隆

Monoclonal

克隆号

EPR4325

亚型

IgG

不含载体蛋白

No

反应种属

Human

应用

WB, Flow Cyt (Intra), ICC/IF, IP, IHC-P

applications

免疫原

The exact immunogen used to generate this antibody is proprietary information.

反应性数据

{ "title": "Reactivity Data", "filters": { "stats": ["", "Species", "Dilution Info", "Notes"], "tabs": { "all-applications": {"fullname" : "All Applications", "shortname": "All Applications"}, "IHCP" : {"fullname" : "Immunohistochemistry (Formalin/PFA-fixed paraffin-embedded sections)", "shortname":"IHC-P"}, "ICCIF" : {"fullname" : "Immunocytochemistry/ Immunofluorescence", "shortname":"ICC/IF"}, "IP" : {"fullname" : "Immunoprecipitation", "shortname":"IP"}, "WB" : {"fullname" : "Western blot", "shortname":"WB"}, "FlowCytIntra" : {"fullname" : "Flow Cytometry (Intracellular)", "shortname":"Flow Cyt (Intra)"} }, "product-promise": { "all": "all", "testedAndGuaranteed": "tested", "guaranteed": "expected", "predicted": "predicted", "notRecommended": "not-recommended" } }, "values": { "Human": { "IHCP-species-checked": "testedAndGuaranteed", "IHCP-species-dilution-info": "1/100 - 1/250", "IHCP-species-notes": "<p>antigen retrieval is recommended.</p>", "ICCIF-species-checked": "testedAndGuaranteed", "ICCIF-species-dilution-info": "1/100 - 1/250", "ICCIF-species-notes": "<p></p>", "IP-species-checked": "testedAndGuaranteed", "IP-species-dilution-info": "1/10 - 1/100", "IP-species-notes": "<p></p>", "WB-species-checked": "testedAndGuaranteed", "WB-species-dilution-info": "1/50000 - 1/200000", "WB-species-notes": "<p></p>", "FlowCytIntra-species-checked": "testedAndGuaranteed", "FlowCytIntra-species-dilution-info": "", "FlowCytIntra-species-notes": "<p><a href='/products/primary-antibodies/rabbit-igg-monoclonal-epr25a-isotype-control-ab172730'>ab172730</a> - Rabbit monoclonal IgG, is suitable for use as an isotype control with this antibody.</p>" } } }

产品详情

Species reactivity
Mouse, Rat: We have preliminary internal testing data to indicate this antibody may not react with these species.
Please contact us for more information.

Patented technology
Our RabMAb® technology is a patented hybridoma-based technology for making rabbit monoclonal antibodies. For details on our patents, please refer to RabMAb® patents.

What are the advantages of a recombinant monoclonal antibody?
This product is a recombinant monoclonal antibody, which offers several advantages including:

  • - High batch-to-batch consistency and reproducibility
  • - Improved sensitivity and specificity
  • - Long-term security of supply
  • - Animal-free batch production

For more information, read more on recombinant antibodies.

性能和储存信息

形式
Liquid
纯化工艺
Affinity purification Protein A
存储溶液
pH: 7.2 - 7.4 Preservative: 0.05% Sodium azide Constituents: 50% Tissue culture supernatant, 40% Glycerol (glycerin, glycerine), 9.85% Tris glycine, 0.1% BSA
运输条件
Blue Ice
推荐的短期储存时间
1-2 weeks
推荐的短期储存条件
+4°C
推荐的长期储存条件
-20°C
分装信息
Upon delivery aliquot
储存信息
Avoid freeze / thaw cycle

产品实验方案

For this product, it's our understanding that no specific protocols are required. You can visit:

靶点信息

Serine/threonine-protein kinase which is required for checkpoint-mediated cell cycle arrest, activation of DNA repair and apoptosis in response to the presence of DNA double-strand breaks. May also negatively regulate cell cycle progression during unperturbed cell cycles. Following activation, phosphorylates numerous effectors preferentially at the consensus sequence [L-X-R-X-X-S/T] (PubMed : 37943659). Regulates cell cycle checkpoint arrest through phosphorylation of CDC25A, CDC25B and CDC25C, inhibiting their activity. Inhibition of CDC25 phosphatase activity leads to increased inhibitory tyrosine phosphorylation of CDK-cyclin complexes and blocks cell cycle progression. May also phosphorylate NEK6 which is involved in G2/M cell cycle arrest. Regulates DNA repair through phosphorylation of BRCA2, enhancing the association of RAD51 with chromatin which promotes DNA repair by homologous recombination. Also stimulates the transcription of genes involved in DNA repair (including BRCA2) through the phosphorylation and activation of the transcription factor FOXM1. Regulates apoptosis through the phosphorylation of p53/TP53, MDM4 and PML. Phosphorylation of p53/TP53 at 'Ser-20' by CHEK2 may alleviate inhibition by MDM2, leading to accumulation of active p53/TP53. Phosphorylation of MDM4 may also reduce degradation of p53/TP53. Also controls the transcription of pro-apoptotic genes through phosphorylation of the transcription factor E2F1. Tumor suppressor, it may also have a DNA damage-independent function in mitotic spindle assembly by phosphorylating BRCA1. Its absence may be a cause of the chromosomal instability observed in some cancer cells. Promotes the CCAR2-SIRT1 association and is required for CCAR2-mediated SIRT1 inhibition (PubMed : 25361978). Under oxidative stress, promotes ATG7 ubiquitination by phosphorylating the E3 ubiquitin ligase TRIM32 at 'Ser-55' leading to positive regulation of the autophagosme assembly (PubMed : 37943659).. (Microbial infection) Phosphorylates herpes simplex virus 1/HHV-1 protein ICP0 and thus activates its SUMO-targeted ubiquitin ligase activity.
See full target information CHEK2

文献 (37)

Recent publications for all applications. Explore the full list and refine your search

Dose-response : a publication of International Hormesis Society 23:15593258251352726 PubMed40548124

2025

NEDD4-Mediated Endothelial-Mesenchymal Transition Participates in Radiation-Induced Lung Injury Through the ATM Signaling Pathway.

Applications

Unspecified application

Species

Unspecified reactive species

Yang Feng,Lirong Zhang,Youbin Zhang,Ying Xu,Kaixiao Zhou,Zhao Yang,Wei Zhu,Qi Zhang,Jianping Cao,Lili Wang,Yang Jiao

eLife 13: PubMed39887032

2025

Synergistic effect of inhibiting CHK2 and DNA replication on cancer cell growth.

Applications

Unspecified application

Species

Unspecified reactive species

Flavie Coquel,Sing-Zong Ho,Keng-Chang Tsai,Chun-Yen Yang,Antoine Aze,Julie Devin,Ting-Hsiang Chang,Marie Kong-Hap,Audrey Bioteau,Jerome Moreaux,Domenico Maiorano,Philippe Pourquier,Wen-Chin Yang,Yea-Lih Lin,Philippe Pasero

Molecular cancer 23:242 PubMed39478560

2024

Tumour-intrinsic PDL1 signals regulate the Chk2 DNA damage response in cancer cells and mediate resistance to Chk1 inhibitors.

Applications

Unspecified application

Species

Unspecified reactive species

Clare E Murray,Anand V R Kornepati,Carlos Ontiveros,Yiji Liao,Bárbara de la Peña Avalos,Cody M Rogers,Zexuan Liu,Yilun Deng,Haiyan Bai,Suresh Kari,Alvaro S Padron,Jacob T Boyd,Ryan Reyes,Curtis A Clark,Robert S Svatek,Rong Li,Yanfen Hu,Meiling Wang,José R Conejo-Garcia,Lauren A Byers,Kavya Ramkumar,Anil K Sood,Jung-Min Lee,Christin E Burd,Ratna K Vadlamudi,Harshita B Gupta,Weixing Zhao,Eloïse Dray,Patrick Sung,Tyler J Curiel

Noise & health 26:287-293 PubMed39345066

2024

Noise Exposure Promotes Alzheimer's Disease-Like Lesions and DNA Damage.

Applications

Unspecified application

Species

Unspecified reactive species

Xiao-Jie Dai,Jun-Hua Liao,Yi Jia,Rui Cao,Mei-Ning Zhou

MedComm 5:e548 PubMed38645664

2024

Mechanism of Musashi2 affecting radiosensitivity of lung cancer by modulating DNA damage repair.

Applications

Unspecified application

Species

Unspecified reactive species

Hongjin Qu,Xiong Shi,Ying Xu,Hongran Qin,Junshi Li,Shanlin Cai,Jianpeng Zhao,Bingbing Wan,Yanyong Yang,Bailong Li

The Journal of biological chemistry 300:105767 PubMed38367672

2024

CHEK2 germline variants identified in familial nonmedullary thyroid cancer lead to impaired protein structure and function.

Applications

Unspecified application

Species

Unspecified reactive species

Carolina Pires,Inês J Marques,Mariana Valério,Ana Saramago,Paulo E Santo,Sandra Santos,Margarida Silva,Margarida M Moura,João Matos,Teresa Pereira,Rafael Cabrera,Diana Lousa,Valeriano Leite,Tiago M Bandeiras,João B Vicente,Branca M Cavaco

Cell & bioscience 14:15 PubMed38291538

2024

CRISPR/Cas9 mediated Y-chromosome elimination affects human cells transcriptome.

Applications

Unspecified application

Species

Unspecified reactive species

Ludovica Celli,Patrizia Gasparini,Ginevra Biino,Laura Zannini,Miriana Cardano

Nature cell biology 25:1774-1786 PubMed37957325

2023

NAD regulates nucleotide metabolism and genomic DNA replication.

Applications

Unspecified application

Species

Unspecified reactive species

Sebastian Howen Nesgaard Munk,Joanna Maria Merchut-Maya,Alba Adelantado Rubio,Arnaldur Hall,George Pappas,Giacomo Milletti,MyungHee Lee,Lea Giørtz Johnsen,Per Guldberg,Jiri Bartek,Apolinar Maya-Mendoza

Cellular and molecular biology (Noisy-le-Grand, France) 69:118-124 PubMed37807326

2023

MiR-669b-5p inhibits the Alzheimer's disease development via regulation of CHEK2 in Neuro2a APPSwe/Δ9 cells.

Applications

Unspecified application

Species

Unspecified reactive species

Mula A,Yan Bai,Bingcheng Hu,Yunhai Su,Xingxing Yuan

BMC cancer 23:680 PubMed37468837

2023

Nanoparticle delivery of TFOs is a novel targeted therapy for HER2 amplified breast cancer.

Applications

Unspecified application

Species

Unspecified reactive species

Xiaojing Yang,Yi Xu,Jie Fu,Zan Shen
View all publications

Abcam Product Promise

我们致力于为您的研究提供高质量的试剂,为您科研的每一步提供支持。若我们的产品未能达到预期性能,我们向您提供 Abcam Product Promise 保障。
详情请参阅我们的条款与条件。

Please note: All products are 'FOR RESEARCH USE ONLY. NOT FOR USE IN DIAGNOSTIC OR THERAPEUTIC PROCEDURES'.

For licensing inquiries, please contact partnerships@abcam.com