JavaScript is disabled in your browser. Please enable JavaScript to view this website.
AB283568

重组Anti-CGRP-I+CGRP-II抗体[EPR23804-95]

Anti-CGRP-I+CGRP-II antibody [EPR23804-95]

  • BOND RX™ Validated
  • 20ul selling size
  • RabMAb
  • Recombinant
  • 了解详情

Be the first to review this product! Submit a review

|

(10 Publications)

Anti-CGRP-I+CGRP-II antibody [EPR23804-95] (ab283568) is a rabbit monoclonal antibody detecting CGRP-I+CGRP-II in Western Blot, Flow Cytometry (Intra), IHC-P, IHC-Fr, ICC/IF. Suitable for Human, Mouse, Rat.

- Biophysical QC for unrivalled batch-batch consistency

查看别名

Calc, Calca, Calcitonin gene-related peptide 1, CGRP1, Alpha-type CGRP, Calcitonin gene-related peptide I, CGRP-I

15 Images
Immunocytochemistry/ Immunofluorescence - Anti-CGRP-I+CGRP-II antibody [EPR23804-95] (AB283568)
  • ICC/IF

Supplier Data

Immunocytochemistry/ Immunofluorescence - Anti-CGRP-I+CGRP-II antibody [EPR23804-95] (AB283568)

Immunofluorescent analysis of 4% Paraformaldehyde-fixed, 0.1% TritonX-100 permeabilized TT cells labelling CGRP-I+CGRP-II with ab283568 at 1/100 (6.39 ug/ml) dilution, followed by ab150081 Goat Anti-Rabbit IgG H&L (Alexa Fluor® 488) preadsorbed antibody at 1/1000 (2 ug/ml) dilution (Green). ab195889 Anti-alpha Tubulin mouse monoclonal antibody - Microtubule Marker (Alexa Fluor® 594) was used to counterstain tubulin at 1/200 (2.5ug/ml) dilution (Red). The Nuclear counterstain was DAPI (Blue).

Confocal image showing cytoplasmic staining in TT cell line, and no staining in 293T cell line is observed.

Secondary antibody only control : Secondary antibody is ab150081 Goat Anti-Rabbit IgG H&L (Alexa Fluor® 488) preadsorbed at 1/1000 (2 ug/ml) dilution.

Flow Cytometry (Intracellular) - Anti-CGRP-I+CGRP-II antibody [EPR23804-95] (AB283568)
  • Flow Cyt (Intra)

Supplier Data

Flow Cytometry (Intracellular) - Anti-CGRP-I+CGRP-II antibody [EPR23804-95] (AB283568)

Flow cytometric analysis of 4% paraformaldehyde fixed 90% methanol permeabilized 293T (Human embryonic kidney epithelial cell) (Left) / TT (Human thyroid carcinoma epithelial cell) (Right) cells labelling CGRP-I+CGRP-II with ab283568 at 1/5000 dilution (0.01ug) (Red) compared with a Rabbit monoclonal IgG (ab172730) (Black) isotype control and an unlabelled control (cells without incubation with primary antibody and secondary antibody) (Blue). A Goat F(ab')2 Anti-Rabbit IgG(DyLight® 488, ab98507) at 1/500 dilution was used as the secondary antibody.

Negative control : 293T.

Immunohistochemistry (Formalin/PFA-fixed paraffin-embedded sections) - Anti-CGRP-I+CGRP-II antibody [EPR23804-95] (AB283568)
  • IHC-P

Supplier Data

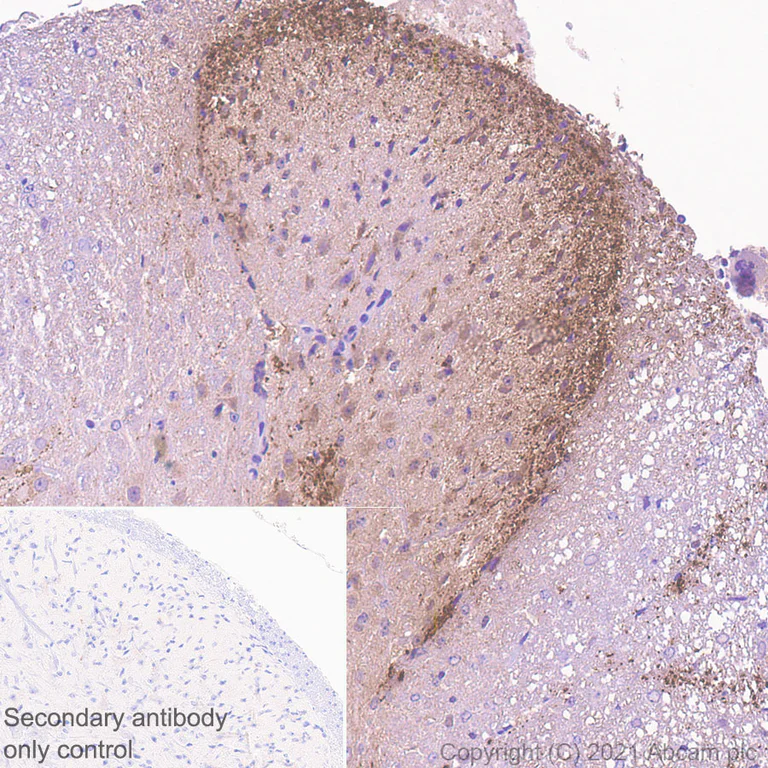
Immunohistochemistry (Formalin/PFA-fixed paraffin-embedded sections) - Anti-CGRP-I+CGRP-II antibody [EPR23804-95] (AB283568)

Immunohistochemical analysis of paraffin-embedded Mouse spinal cord tissue labelling CGRP-I+CGRP-II with ab283568 at 1/1000 (0.639 ug/ml) followed by a ready to use Rabbit specific IHC polymer detection kit HRP/DAB (ab209101). Positive staining on mouse central termination sensory neurons (PMID : 29634489). The section was incubated with ab283568 for 30 mins at room temperature. The immunostaining was performed on a Leica Biosystems BOND® RX instrument Counterstained with Hematoxylin.

Secondary antibody only control : Secondary antibody is a ready to use Rabbit specific IHC polymer detection kit HRP/DAB (ab209101).

Heat mediated antigen retrieval with Citrate buffer (pH 6.0, epitope retrieval solution 1) for 20 mins

Immunohistochemistry (Frozen sections) - Anti-CGRP-I+CGRP-II antibody [EPR23804-95] (AB283568)
  • IHC-Fr

Supplier Data

Immunohistochemistry (Frozen sections) - Anti-CGRP-I+CGRP-II antibody [EPR23804-95] (AB283568)

Immunohistochemical analysis of 4% PFA-fixed, 0.2% Triton X-100 permeabilized frozen Rat spinal cord tissue labeling CGRP-I+CGRP-II with ab283568 at 1/100 (6.39 ug/ml) dilution followed by ab150081 Goat Anti-Rabbit IgG H&L (Alexa Fluor® 488) preadsorbed at 1/1000 (2 ug/ml) dilution (Green). Positive staining on the dorsal horn of rat spinal cord is observed. The nuclear counterstain was DAPI (Blue).

Secondary antibody control : Secondary antibody is ab150081 Goat Anti-Rabbit IgG H&L (Alexa Fluor® 488) preadsorbed at 1/1000 (2 ug/ml) dilution.

Heat mediated antigen retrieval using sodium citrate buffer (10mM citrate pH 6.0 + 0.05% Tween-20).

Immunohistochemistry (Formalin/PFA-fixed paraffin-embedded sections) - Anti-CGRP-I+CGRP-II antibody [EPR23804-95] (AB283568)
  • IHC-P

Supplier Data

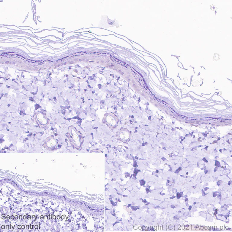
Immunohistochemistry (Formalin/PFA-fixed paraffin-embedded sections) - Anti-CGRP-I+CGRP-II antibody [EPR23804-95] (AB283568)

Immunohistochemical analysis of paraffin-embedded Rat skin tissue labelling CGRP-I+CGRP-II with ab283568 at 1/1000 (0.639 ug/ml) followed by a ready to use Rabbit specific IHC polymer detection kit HRP/DAB (ab209101). The section was incubated with ab283568 for 30 mins at room temperature. The immunostaining was performed on a Leica Biosystems BOND® RX instrument Counterstained with Hematoxylin.

Negative control : no staining on rat skin.

Secondary antibody only control : Secondary antibody is a ready to use Rabbit specific IHC polymer detection kit HRP/DAB (ab209101).

Heat mediated antigen retrieval with Citrate buffer (pH 6.0, epitope retrieval solution 1) for 20 mins

Immunohistochemistry (Frozen sections) - Anti-CGRP-I+CGRP-II antibody [EPR23804-95] (AB283568)
  • IHC-Fr

Supplier Data

Immunohistochemistry (Frozen sections) - Anti-CGRP-I+CGRP-II antibody [EPR23804-95] (AB283568)

Immunohistochemical analysis of 4% PFA-fixed, 0.2% Triton X-100 permeabilized frozen Mouse skin tissue labeling CGRP-I+CGRP-II with ab283568 at 1/100 (6.39 ug/ml) dilution followed by ab150081 Goat Anti-Rabbit IgG H&L (Alexa Fluor® 488) preadsorbed at 1/1000 2 ug/ml dilution (Green). The nuclear counterstain was DAPI (Blue).

Negative control : No staining on mouse skin is observed.

Secondary antibody control : Secondary antibody is ab150081 Goat Anti-Rabbit IgG H&L (Alexa Fluor® 488) preadsorbed at 1/1000 (2 ug/ml) dilution.

Heat mediated antigen retrieval using sodium citrate buffer (10mM citrate pH 6.0 + 0.05% Tween-20).

Immunohistochemistry (Formalin/PFA-fixed paraffin-embedded sections) - Anti-CGRP-I+CGRP-II antibody [EPR23804-95] (AB283568)
  • IHC-P

Supplier Data

Immunohistochemistry (Formalin/PFA-fixed paraffin-embedded sections) - Anti-CGRP-I+CGRP-II antibody [EPR23804-95] (AB283568)

Immunohistochemical analysis of paraffin-embedded Rat spinal cord tissue labelling CGRP-I+CGRP-II with ab283568 at 1/1000 (0.639 ug/ml) followed by a ready to use Rabbit specific IHC polymer detection kit HRP/DAB (ab209101). Positive staining on rat central termination sensory neurons. The section was incubated with ab283568 for 30 mins at room temperature. The immunostaining was performed on a Leica Biosystems BOND® RX instrument Counterstained with Hematoxylin.

Secondary antibody only control : Secondary antibody is a ready to use Rabbit specific IHC polymer detection kit HRP/DAB (ab209101).

Heat mediated antigen retrieval with Citrate buffer (pH 6.0, epitope retrieval solution 1) for 20 mins

Immunohistochemistry (Frozen sections) - Anti-CGRP-I+CGRP-II antibody [EPR23804-95] (AB283568)
  • IHC-Fr

Supplier Data

Immunohistochemistry (Frozen sections) - Anti-CGRP-I+CGRP-II antibody [EPR23804-95] (AB283568)

Immunohistochemical analysis of 4% PFA-fixed, 0.2% Triton X-100 permeabilized frozen Rat skin tissue labeling CGRP-I+CGRP-II with ab283568 at 1/100 (6.39 ug/ml) dilution followed by ab150081 Goat Anti-Rabbit IgG H&L (Alexa Fluor® 488) preadsorbed at 1/1000 (2 ug/ml) dilution (Green). The nuclear counterstain was DAPI (Blue).

Negative control : No staining on rat skin is observed.

Secondary antibody control : Secondary antibody is ab150081 Goat Anti-Rabbit IgG H&L (Alexa Fluor® 488) preadsorbed at 1/1000 (2 ug/ml) dilution.

Heat mediated antigen retrieval using sodium citrate buffer (10mM citrate pH 6.0 + 0.05% Tween-20).

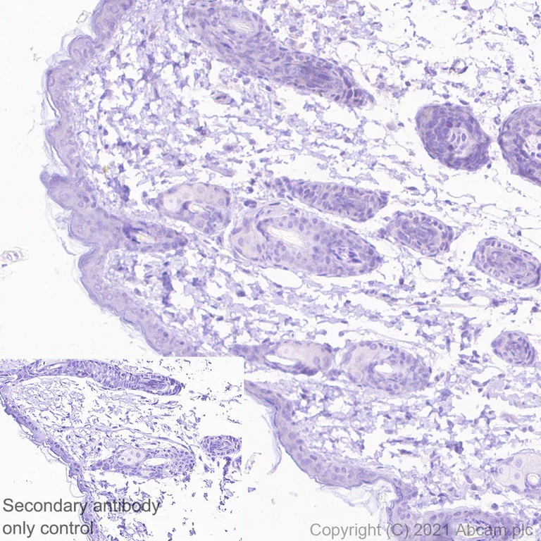
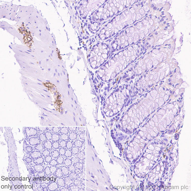
Immunohistochemistry (Formalin/PFA-fixed paraffin-embedded sections) - Anti-CGRP-I+CGRP-II antibody [EPR23804-95] (AB283568)
  • IHC-P

Supplier Data

Immunohistochemistry (Formalin/PFA-fixed paraffin-embedded sections) - Anti-CGRP-I+CGRP-II antibody [EPR23804-95] (AB283568)

Immunohistochemical analysis of paraffin-embedded Mouse colon tissue labelling CGRP-I+CGRP-II with ab283568 at 1/1000 (0.639 ug/ml) followed by a ready to use Rabbit specific IHC polymer detection kit HRP/DAB (ab209101). Positive staining on the muscularis nerve fibres of mouse colon. The section was incubated with ab283568 for 30 mins at room temperature. The immunostaining was performed on a Leica Biosystems BOND® RX instrument Counterstained with Hematoxylin.

Secondary antibody only control : Secondary antibody is a ready to use Rabbit specific IHC polymer detection kit HRP/DAB (ab209101).

Heat mediated antigen retrieval with Citrate buffer (pH 6.0, epitope retrieval solution 1) for 20 mins

Immunohistochemistry (Formalin/PFA-fixed paraffin-embedded sections) - Anti-CGRP-I+CGRP-II antibody [EPR23804-95] (AB283568)
  • IHC-P

Supplier Data

Immunohistochemistry (Formalin/PFA-fixed paraffin-embedded sections) - Anti-CGRP-I+CGRP-II antibody [EPR23804-95] (AB283568)

Immunohistochemical analysis of paraffin-embedded Mouse skin tissue labelling CGRP-I+CGRP-II with ab283568 at 1/1000 (0.639 ug/ml) followed by a ready to use Rabbit specific IHC polymer detection kit HRP/DAB (ab209101). The section was incubated with ab283568 for 30 mins at room temperature. The immunostaining was performed on a Leica Biosystems BOND® RX instrument Counterstained with Hematoxylin.

Negative control : no staining on mouse skin.

Secondary antibody only control : Secondary antibody is a ready to use Rabbit specific IHC polymer detection kit HRP/DAB (ab209101).

Heat mediated antigen retrieval with Citrate buffer (pH 6.0, epitope retrieval solution 1) for 20 mins

Immunocytochemistry/ Immunofluorescence - Anti-CGRP-I+CGRP-II antibody [EPR23804-95] (AB283568)
  • ICC/IF

Lab

Immunocytochemistry/ Immunofluorescence - Anti-CGRP-I+CGRP-II antibody [EPR23804-95] (AB283568)

Immunofluorescent analysis of 4% Paraformaldehyde fixed rat DRG primary neurons permeabilized using 0.1% Triton X-100 labelling CGRP-I+CGRP-II with ab283568 (green) followed by ab150081 AlexaFluor®488 preadsorbed Goat anti-Rabbit secondary. ab78078 anti-beta III Tubulin (mouse mAb) was used as counterstain (magenta) with ab150120 AlexaFluor®594 Goat anti-Mouse as secondary. Nuclear DNA was labelled with DAPI (shown in blue). Image showing cytoplasmic staining in rat DRG primary neurons was taken with a confocal microscope (Leica-Microsystems, TCS SP8).

Immunocytochemistry/ Immunofluorescence - Anti-CGRP-I+CGRP-II antibody [EPR23804-95] (AB283568)
  • ICC/IF

Lab

Immunocytochemistry/ Immunofluorescence - Anti-CGRP-I+CGRP-II antibody [EPR23804-95] (AB283568)

Immunofluorescent analysis of 4% Paraformaldehyde fixed mouse DRG primary neurons permeabilized using 0.1% Triton X-100 labelling CGRP-I+CGRP-II with ab283568 (green) followed by ab150081 AlexaFluor®488 preadsorbed Goat anti-Rabbit secondary. ab78078 anti-beta III Tubulin (mouse mAb) was used as counterstain (magenta) with ab150120 AlexaFluor®594 Goat anti-Mouse as secondary. Nuclear DNA was labelled with DAPI (shown in blue). Image showing cytoplasmic staining in mouse DRG primary neurons was taken with a confocal microscope (Leica-Microsystems, TCS SP8).

Immunohistochemistry (Frozen sections) - Anti-CGRP-I+CGRP-II antibody [EPR23804-95] (AB283568)
  • IHC-Fr

Supplier Data

Immunohistochemistry (Frozen sections) - Anti-CGRP-I+CGRP-II antibody [EPR23804-95] (AB283568)

Immunohistochemical analysis of 4% PFA-fixed, 0.2% Triton X-100 permeabilized frozen Mouse spinal cord tissue labeling CGRP-I+CGRP-II with ab283568 at 1/100 (6.39 ug/ml) dilution followed by ab150081 Goat Anti-Rabbit IgG H&L (Alexa Fluor® 488) preadsorbed at 1/1000 (2 ug/ml) dilution (Green). Positive staining on the dorsal horn of mouse spinal cord is observed. The nuclear counterstain was DAPI (Blue).

Secondary antibody control : Secondary antibody is ab150081 Goat Anti-Rabbit IgG H&L (Alexa Fluor® 488) preadsorbed at 1/1000 (2 ug/ml) dilution.

Heat mediated antigen retrieval using sodium citrate buffer (10mM citrate pH 6.0 + 0.05% Tween-20).

Western blot - Anti-CGRP-I+CGRP-II antibody [EPR23804-95] (AB283568)
  • WB

Lab

Western blot - Anti-CGRP-I+CGRP-II antibody [EPR23804-95] (AB283568)

Blocking and diluting buffer and concentration : 5% NFDM/TBSTFresh lysate of TT cell line was used in this blot.

Negative control : 293T, Hela, Daudi (HPA database)

Exposure time : 26 seconds

All lanes:

Western blot - Anti-CGRP-I+CGRP-II antibody [EPR23804-95] (ab283568) at 1/1000 dilution

Lane 1:

TT (human thyroid carcinoma epithelial cell), whole cell lysate at 20 µg

Lane 2:

293T (human embryonic kidney epithelial cell), whole cell lysate at 20 µg

Lane 3:

HeLa (human cervix adenocarcinoma epithelial cell), whole cell lysate at 20 µg

Lane 4:

Daudi (human Burkitt's lymphoma lymphoblast), whole cell lysate at 20 µg

Secondary

All lanes:

Western blot - Goat Anti-Rabbit IgG H&L (HRP) (<a href='/products/secondary-antibodies/goat-rabbit-igg-h-l-hrp-ab97051'>ab97051</a>) at 1/100000 dilution

Observed band size: 10 kDa

false

Western blot - Anti-CGRP-I+CGRP-II antibody [EPR23804-95] (AB283568)
  • WB

Lab

Western blot - Anti-CGRP-I+CGRP-II antibody [EPR23804-95] (AB283568)

Blocking and diluting buffer and concentration : 5% NFDM/TBST

This antibody has cross-reaction with mouse CALCB.

The rec proteins CALCB and CLACA were made in-house.

CALCB recombinant protein was made in-house and expressed from the E.coli expression system.

CLACA recombinant protein was expressed from a mammalian - HEK-293 expression system.

Exposure time : 1 second

All lanes:

Western blot - Anti-CGRP-I+CGRP-II antibody [EPR23804-95] (ab283568) at 1/1000 dilution

Lane 1:

His-tagged mouse CALCB recombinant protein at 0.01 µg

Lane 2:

Mouse CALCA recombinant protein at 0.01 µg

Secondary

Lanes 1 - 2:

Goat Anti-Rabbit IgG, (H+L), Peroxidase conjugated (<a href='/products/secondary-antibodies/goat-rabbit-igg-h-l-hrp-ab97051'>ab97051</a>) at 1/100000 dilution

Lanes 1 - 2:

Western blot - Goat Anti-Rabbit IgG H&L (HRP) (<a href='/products/secondary-antibodies/goat-rabbit-igg-h-l-hrp-ab97051'>ab97051</a>) at 1/100000 dilution

Observed band size: 14 kDa

false

不同偶联物与剂型 (3)

  • Carrier free

    Anti-CGRP-I+CGRP-II antibody [EPR23804-95] - BSA and Azide free

  • 665 Alexa Fluor® 647

    Alexa Fluor® 647 Anti-CGRP-I+CGRP-II antibody [EPR23804-95]

  • 519 Alexa Fluor® 488

    Alexa Fluor® 488 Anti-CGRP-I+CGRP-II antibody [EPR23804-95]

关键信息

宿主种属

Rabbit

克隆

Monoclonal

克隆号

EPR23804-95

亚型

IgG

不含载体蛋白

No

反应种属

Human, Mouse, Rat

应用

ICC/IF, IHC-P, IHC-Fr, Flow Cyt (Intra), WB

applications

免疫原

The exact immunogen used to generate this antibody is proprietary information.

反应性数据

{ "title": "Reactivity Data", "filters": { "stats": ["", "Species", "Dilution Info", "Notes"], "tabs": { "all-applications": {"fullname" : "All Applications", "shortname": "All Applications"}, "FlowCytIntra" : {"fullname" : "Flow Cytometry (Intracellular)", "shortname":"Flow Cyt (Intra)"}, "ICCIF" : {"fullname" : "Immunocytochemistry/ Immunofluorescence", "shortname":"ICC/IF"}, "IP" : {"fullname" : "Immunoprecipitation", "shortname":"IP"}, "IHCP" : {"fullname" : "Immunohistochemistry (Formalin/PFA-fixed paraffin-embedded sections)", "shortname":"IHC-P"}, "WB" : {"fullname" : "Western blot", "shortname":"WB"}, "IHCFr" : {"fullname" : "Immunohistochemistry (Frozen sections)", "shortname":"IHC-Fr"} }, "product-promise": { "all": "all", "testedAndGuaranteed": "tested", "guaranteed": "expected", "predicted": "predicted", "notRecommended": "not-recommended" } }, "values": { "Human": { "FlowCytIntra-species-checked": "testedAndGuaranteed", "FlowCytIntra-species-dilution-info": "1/5000", "FlowCytIntra-species-notes": "<p></p>", "ICCIF-species-checked": "testedAndGuaranteed", "ICCIF-species-dilution-info": "1/100", "ICCIF-species-notes": "<p></p>", "IP-species-checked": "notRecommended", "IP-species-dilution-info": "", "IP-species-notes": "<p></p>", "IHCP-species-checked": "notRecommended", "IHCP-species-dilution-info": "1/1000", "IHCP-species-notes": "<p></p> Perform heat-mediated antigen retrieval with citrate buffer pH 6 before commencing with IHC staining protocol.", "WB-species-checked": "testedAndGuaranteed", "WB-species-dilution-info": "1/1000", "WB-species-notes": "<p></p>", "IHCFr-species-checked": "notRecommended", "IHCFr-species-dilution-info": "1/100", "IHCFr-species-notes": "<p>Heat mediated antigen retrieval using sodium citrate buffer (10mM citrate pH 6.0 + 0.05% Tween-20).</p>" }, "Mouse": { "FlowCytIntra-species-checked": "notRecommended", "FlowCytIntra-species-dilution-info": "", "FlowCytIntra-species-notes": "<p></p>", "ICCIF-species-checked": "testedAndGuaranteed", "ICCIF-species-dilution-info": "", "ICCIF-species-notes": "<p></p>", "IP-species-checked": "notRecommended", "IP-species-dilution-info": "", "IP-species-notes": "<p></p>", "IHCP-species-checked": "testedAndGuaranteed", "IHCP-species-dilution-info": "1/1000", "IHCP-species-notes": "<p></p> Perform heat-mediated antigen retrieval with citrate buffer pH 6 before commencing with IHC staining protocol.", "WB-species-checked": "notRecommended", "WB-species-dilution-info": "1/1000", "WB-species-notes": "<p></p>", "IHCFr-species-checked": "testedAndGuaranteed", "IHCFr-species-dilution-info": "1/100", "IHCFr-species-notes": "<p>Heat mediated antigen retrieval using sodium citrate buffer (10mM citrate pH 6.0 + 0.05% Tween-20).</p>" }, "Rat": { "FlowCytIntra-species-checked": "notRecommended", "FlowCytIntra-species-dilution-info": "", "FlowCytIntra-species-notes": "<p></p>", "ICCIF-species-checked": "testedAndGuaranteed", "ICCIF-species-dilution-info": "", "ICCIF-species-notes": "<p></p>", "IP-species-checked": "notRecommended", "IP-species-dilution-info": "", "IP-species-notes": "<p></p>", "IHCP-species-checked": "testedAndGuaranteed", "IHCP-species-dilution-info": "1/1000", "IHCP-species-notes": "<p></p> Perform heat-mediated antigen retrieval with citrate buffer pH 6 before commencing with IHC staining protocol.", "WB-species-checked": "notRecommended", "WB-species-dilution-info": "1/1000", "WB-species-notes": "<p></p>", "IHCFr-species-checked": "testedAndGuaranteed", "IHCFr-species-dilution-info": "1/100", "IHCFr-species-notes": "<p>Heat mediated antigen retrieval using sodium citrate buffer (10mM citrate pH 6.0 + 0.05% Tween-20).</p>" }, "Recombinant full length protein - Mouse": { "FlowCytIntra-species-checked": "notRecommended", "FlowCytIntra-species-dilution-info": "", "FlowCytIntra-species-notes": "", "ICCIF-species-checked": "notRecommended", "ICCIF-species-dilution-info": "", "ICCIF-species-notes": "", "IP-species-checked": "notRecommended", "IP-species-dilution-info": "", "IP-species-notes": "", "IHCP-species-checked": "notRecommended", "IHCP-species-dilution-info": "", "IHCP-species-notes": "", "WB-species-checked": "testedAndGuaranteed", "WB-species-dilution-info": "1/1000", "WB-species-notes": "<p></p>", "IHCFr-species-checked": "notRecommended", "IHCFr-species-dilution-info": "", "IHCFr-species-notes": "" } } }

产品详情

What is this antibody validated in?
Anti-CGRP-I+CGRP-II antibody [EPR23804-95] (ab283568) is a rabbit recombinant monoclonal antibody and is validated for use in Western Blot (WB), Flow Cytometry (Intra), Flow Cytometry (Flow Cyt), Immunohistochemistry (IHC-P), Immunohistochemistry (IHC-Fr), Immunocytochemistry/immunofluorescence (ICC/IF) in Human, Mouse, Rat samples.

Trial sizes available!
Test your antibody or perform pre-screening before committing to a larger quantity. Sold in 20µl. Discover our selection of trial-size antibodies.

Other related products
We have a range of other formats of antibody clone [EPR23804-95] also available for your convenience: Biotin - ab322855, Alexa Fluor® 647 - ab302831

Patented technology
Our RabMAb® technology is a patented hybridoma-based technology for making rabbit monoclonal antibodies. For details on our patents, please refer to RabMAb® patents.

What are the advantages of a recombinant monoclonal antibody?
This product is a recombinant monoclonal antibody, which offers several advantages including:

  • - High batch-to-batch consistency and reproducibility
  • - Improved sensitivity and specificity
  • - Long-term security of supply
  • - Animal-free batch production

For more information, read more on recombinant antibodies.

性能和储存信息

形式
Liquid
纯化工艺
Affinity purification Protein A
存储溶液
pH: 7.2 - 7.4 Preservative: 0.01% Sodium azide Constituents: PBS, 40% Glycerol (glycerin, glycerine), 0.05% BSA
运输条件
Blue Ice
推荐的短期储存时间
1-2 weeks
推荐的短期储存条件
+4°C
推荐的长期储存条件
-20°C
分装信息
Upon delivery aliquot
储存信息
Avoid freeze / thaw cycle

补充信息

This supplementary information is collated from multiple sources and compiled automatically.

The target designated as CGRP-I and CGRP-II refers to calcitonin gene-related peptide isoforms which play key roles in various physiological functions. CGRP around 37 amino acids long has alternative names such as alpha-CGRP and beta-CGRP occurring mainly in the central nervous system and peripheral nervous tissues. These peptides are potent vasodilators integral to the modulation of blood vessel tone and immune responses. Both isoforms though small in mass allow for significant physiological impacts due to their receptor interactions.
Biological function summary

CGRP-I and CGRP-II contribute to vasodilation and pain transmission in the nervous system. Each isoform can activate specific CGRP receptors mainly located on smooth muscle cells and neurons without forming stable complexes. Their activity involves increasing intracellular cAMP levels facilitating vascular relaxation and modulating nociceptive pathways. Consequently CGRP peptides are essential for conveying pain signals and supporting neurogenic inflammation mechanisms.

Pathways

CGRP-I and CGRP-II serve critical roles in the cardiovascular and nervous system pathways. The cAMP-dependent pathway one of the essential routes of action elevates vasodilation responses where CGRP interacts with the RAMP1 protein a receptor accessory protein. Another pathway involves the modulation of pain where CGRP interacts with other neurotransmitters and proteins such as substance P and neurokinin.

CGRP-I and CGRP-II show significant associations with migraines and hypertension. These peptides through their vasodilatory capabilities and nociceptive signaling connect to migraines by interacting with proteins like RAMP1 in trigeminal neurons exacerbating migraine pathology. Furthermore CGRP's role in promoting vasodilation links to hypertension management where altered CGRP activity affects blood pressure regulation. These connections make CGRP-related pathways viable targets for therapeutic intervention.

产品实验方案

For this product, it's our understanding that no specific protocols are required. You can visit:

靶点信息

CGRP1/CALCA is a peptide hormone that induces vasodilation mediated by the CALCRL-RAMP1 receptor complex. Dilates a variety of vessels including the coronary, cerebral and systemic vasculature. Its abundance in the CNS also points toward a neurotransmitter or neuromodulator role. It also elevates platelet cAMP. CGRP1 can also bind and activate CALCR-RAMP1 (AMYR1) receptor complex.
See full target information Calca

文献 (10)

Recent publications for all applications. Explore the full list and refine your search

Science advances 11:eads9581 PubMed40117376

2025

Selective promotion of sensory innervation-mediated immunoregulation for tissue repair.

Applications

Unspecified application

Species

Unspecified reactive species

Kaicheng Xu,Kaile Wu,Liang Chen,Yubin Zhao,Hengyuan Li,Nong Lin,Zhaoming Ye,Jianbin Xu,Donghua Huang,Xin Huang

Acta physiologica (Oxford, England) 241:e14279 PubMed39803764

2025

Left superior cervical ganglia lymph node mimicry and its role in rat ventricular arrhythmias following myocardial infarction.

Applications

Unspecified application

Species

Unspecified reactive species

Qingxia Yu,Yan Li,Wenju Yan,Weizhong Han,Qian Liu,Junyi Zhang,Xiaolu Li,Yugen Shi,Yu Wang,Jie Yin,Suhua Yan

Nature communications 16:66 PubMed39746959

2025

Engineering spatially-confined conduits to tune nerve self-organization and allodynic responses via YAP-mediated mechanotransduction.

Applications

Unspecified application

Species

Unspecified reactive species

Xiaobin Luo,Jia Yang,Yonggang Zhao,Toshitatsu Nagayasu,Junlin Chen,Peilun Hu,Zhi He,Zifan Li,Jun Wu,Zhe Zhao,Guman Duan,Xiaodan Sun,Lingyun Zhao,Yongwei Pan,Xiumei Wang

iScience 27:110245 PubMed39055939

2024

Blockade of mesenteric and omental adipose tissue sensory neurons improves cardiac remodeling through sympathetic pathway.

Applications

Unspecified application

Species

Unspecified reactive species

Jiaxing Huang,Xinyu Liu,Qinfang Qiu,Wuping Tan,Rui Li,Haosong Xi,Chen Peng,Liping Zhou,Xiaoya Zhou,Yueyi Wang,Hong Jiang

EMBO reports 25:2375-2390 PubMed38594391

2024

NT-3 contributes to chemotherapy-induced neuropathic pain through TrkC-mediated CCL2 elevation in DRG neurons.

Applications

Unspecified application

Species

Unspecified reactive species

Dilip Sharma,Xiaozhou Feng,Bing Wang,Bushra Yasin,Alex Bekker,Huijuan Hu,Yuan-Xiang Tao

International endodontic journal 57:37-49 PubMed37874659

2023

Sensory nerves, but not sympathetic nerves, promote reparative dentine formation after dentine injury via CGRP-mediated angiogenesis: An in vivo study.

Applications

Unspecified application

Species

Unspecified reactive species

Chaoning Zhan,Minchun Huang,Junyang Chen,Yanli Lu,Xiaojun Yang,Jin Hou

Brain sciences 13: PubMed37371401

2023

Electroacupuncture Relieves Visceral Hypersensitivity via Balancing PAR2 and PAR4 in the Descending Pain Modulatory System of Goats.

Applications

Unspecified application

Species

Unspecified reactive species

Panpan Guo,Qiulin Zhang,Sha Nan,Haolong Wang,Ning Ma,Faisal Ayub Kiani,Mingxing Ding,Jianguo Chen

Journal of orthopaedic surgery and research 17:572 PubMed36578051

2022

TSG-6 inhibits IL-1β-induced inflammatory responses and extracellular matrix degradation in nucleus pulposus cells by activating the PI3K/Akt signaling pathway.

Applications

Unspecified application

Species

Unspecified reactive species

Bing Wu,Xiaojin Guo,Xiujie Yan,Zikai Tian,Wei Jiang,Xin He

Biomedicines 10: PubMed36551946

2022

Gabapentin Increases Intra-Epidermal and Peptidergic Nerve Fibers Density and Alleviates Allodynia and Thermal Hyperalgesia in a Mouse Model of Acute Taxol-Induced Peripheral Neuropathy.

Applications

Unspecified application

Species

Unspecified reactive species

Michal Klazas,Majdi Saleem Naamneh,Wenhua Zheng,Philip Lazarovici

Oxidative medicine and cellular longevity 2021:2958584 PubMed34987701

2021

CGRP Regulates Nucleus Pulposus Cell Apoptosis and Inflammation via the MAPK/NF-B Signaling Pathways during Intervertebral Disc Degeneration.

Applications

Unspecified application

Species

Unspecified reactive species

Kaiqiang Sun,Jian Zhu,Chen Yan,Fudong Li,Fanqi Kong,Jingchuan Sun,Xiaofei Sun,Jiangang Shi,Yuan Wang
View all publications

Abcam Product Promise

我们致力于为您的研究提供高质量的试剂,为您科研的每一步提供支持。若我们的产品未能达到预期性能,我们向您提供 Abcam Product Promise 保障。
详情请参阅我们的条款与条件。

Please note: All products are 'FOR RESEARCH USE ONLY. NOT FOR USE IN DIAGNOSTIC OR THERAPEUTIC PROCEDURES'.

For licensing inquiries, please contact partnerships@abcam.com