JavaScript is disabled in your browser. Please enable JavaScript to view this website.
AB110124

Anti-cGKI抗体

Anti-cGKI antibody

Be the first to review this product! Submit a review

|

(5 Publications)

Rabbit Polyclonal cGKI antibody. Suitable for WB, IHC-P and reacts with Human, Mouse, Rat samples. Cited in 5 publications. Immunogen corresponding to Synthetic Peptide within Human PRKG1 aa 650 to C-terminus conjugated to Keyhole Limpet Haemocyanin.

查看别名

PRKG1B, PRKGR1A, PRKGR1B, PRKG1, cGMP-dependent protein kinase 1, cGK 1, cGK1, cGMP-dependent protein kinase I, cGKI

5 Images
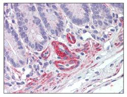
Immunohistochemistry (Formalin/PFA-fixed paraffin-embedded sections) - Anti-cGKI antibody (AB110124)
  • IHC-P

Unknown

Immunohistochemistry (Formalin/PFA-fixed paraffin-embedded sections) - Anti-cGKI antibody (AB110124)

Immunohistochemical analysis of cGKII expression in formalin fixed, paraffin embedded human small intestine section, using ab110124 at 10 μg/ml.

Immunohistochemistry (Formalin/PFA-fixed paraffin-embedded sections) - Anti-cGKI antibody (AB110124)
  • IHC-P

Unknown

Immunohistochemistry (Formalin/PFA-fixed paraffin-embedded sections) - Anti-cGKI antibody (AB110124)

Immunohistochemical analysis of cGKII expression in formalin fixed, paraffin embedded human prostate section, using ab110124 at 10 μg/ml.

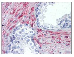
Immunohistochemistry (Formalin/PFA-fixed paraffin-embedded sections) - Anti-cGKI antibody (AB110124)
  • IHC-P

Unknown

Immunohistochemistry (Formalin/PFA-fixed paraffin-embedded sections) - Anti-cGKI antibody (AB110124)

Immunohistochemical analysis of cGKII expression in formalin fixed, paraffin embedded human testis section, using ab110124 at 10 μg/ml.

Western blot - Anti-cGKI antibody (AB110124)
  • WB

Lab

Western blot - Anti-cGKI antibody (AB110124)

Western blot : Rabbit Polyclonal to cGKI ab110124 staining at 1/1000 dilution, shown in green; Mouse anti GAPDH ab8245 loading control staining at 1/20000 dilution, shown in magenta. A band was observed at 76 kDa. To generate this image, samples were run on an SDS-PAGE gel then transferred onto a nitrocellulose membrane. Membranes were blocked in 3pc Milk in TBS-0.1 % Tween® 20 (TBS-T) before incubation with primary antibodies overnight at 4 °C. Blots were washed four times in TBS-T, incubated with secondary antibodies for 1 h at room temperature, washed again four times then imaged. Secondary antibodies used were Goat anti-Rabbit 800CW and Goat anti-Mouse 680RD at 1/20,000 dilution.

All lanes:

Western blot - Anti-cGKI antibody (ab110124) at 1/1000 dilution

Lane 1:

Human lung at 20 µg

Lane 2:

HL-60 at 20 µg

Secondary

All lanes:

Goat anti-Rabbit 800CW & Goat anti-Mouse 680RD at 1/20000 dilution

Predicted band size: 76 kDa

Observed band size: 76 kDa,36 kDa

false

Western blot - Anti-cGKI antibody (AB110124)
  • WB

Unknown

Western blot - Anti-cGKI antibody (AB110124)

All lanes:

Western blot - Anti-cGKI antibody (ab110124)

Lane 1:

Molecular weight marker

Lane 2:

Mouse brain tissue extract

Lane 3:

Rat brain tissue extract

Lane 4:

EKS4 cell lysate

Lane 5:

H S67 cell lysate

Predicted band size: 76 kDa

false

关键信息

宿主种属

Rabbit

克隆

Polyclonal

亚型

IgG

不含载体蛋白

No

反应种属

Mouse, Rat, Human

应用

WB, IHC-P

applications

免疫原

Synthetic Peptide within Human PRKG1 aa 650 to C-terminus conjugated to Keyhole Limpet Haemocyanin. The exact immunogen used to generate this antibody is proprietary information.

Q13976

反应性数据

{ "title": "Reactivity Data", "filters": { "stats": ["", "Species", "Dilution Info", "Notes"], "tabs": { "all-applications": {"fullname" : "All Applications", "shortname": "All Applications"}, "WB" : {"fullname" : "Western blot", "shortname":"WB"}, "IHCP" : {"fullname" : "Immunohistochemistry (Formalin/PFA-fixed paraffin-embedded sections)", "shortname":"IHC-P"} }, "product-promise": { "all": "all", "testedAndGuaranteed": "tested", "guaranteed": "expected", "predicted": "predicted", "notRecommended": "not-recommended" } }, "values": { "Human": { "WB-species-checked": "testedAndGuaranteed", "WB-species-dilution-info": "1/1000", "WB-species-notes": "<p></p>", "IHCP-species-checked": "testedAndGuaranteed", "IHCP-species-dilution-info": "10 µg/mL", "IHCP-species-notes": "<p>ab110124 was validated for use in Immunohistochemistry on a panel of 21 formalin fixed, paraffin embedded Human tissues after heat induced antigen retrieval in pH 6.0 citrate buffer. After incubation with the primary antibody, slides were incubated with biotinylated secondary antibody, followed by alkaline phosphatase-streptavidin and chromogen. The stained slides were evaluated by a pathologist to confirm staining specificity.</p>" }, "Mouse": { "WB-species-checked": "testedAndGuaranteed", "WB-species-dilution-info": "1/1000", "WB-species-notes": "<p></p>", "IHCP-species-checked": "guaranteed", "IHCP-species-dilution-info": "", "IHCP-species-notes": "" }, "Rat": { "WB-species-checked": "testedAndGuaranteed", "WB-species-dilution-info": "1/1000", "WB-species-notes": "<p></p>", "IHCP-species-checked": "guaranteed", "IHCP-species-dilution-info": "", "IHCP-species-notes": "" }, "Pig": { "WB-species-checked": "predicted", "WB-species-dilution-info": "", "WB-species-notes": "", "IHCP-species-checked": "predicted", "IHCP-species-dilution-info": "", "IHCP-species-notes": "" } } }

性能和储存信息

形式
Liquid
纯化工艺
Affinity purification Protein A
存储溶液
pH: 7.2 Preservative: 0.09% Sodium azide Constituents: PBS, 50% Glycerol (glycerin, glycerine)
运输条件
Blue Ice
推荐的短期储存时间
1-2 weeks
推荐的短期储存条件
+4°C
推荐的长期储存条件
-20°C
分装信息
Upon delivery aliquot

补充信息

This supplementary information is collated from multiple sources and compiled automatically.

CGKI also known as cyclic GMP-dependent protein kinase I or PKG I mechanically functions as an important player in the signaling pathways that depend on cyclic GMP (cGMP). cGKI is a serine/threonine protein kinase with a molecular mass of approximately 76 kilodaltons. It gets expressed in various tissues including vascular smooth muscle cells brain and platelets. The protein shows highest expression levels in tissues involved in smooth muscle regulation and neurological functions.
Biological function summary

The involvement of cGKI extends beyond basic signaling impacting diverse physiological processes. cGKI plays an important role in smooth muscle relaxation platelet function and nerve signaling. By phosphorylating various downstream targets cGKI affects muscle tone and neurotransmitter release. In the smooth muscle cGKI does not act independently but as part of a larger complex that modulates the cellular response to nitric oxide and natriuretic peptides.

Pathways

CGKI participates as an active component in the nitric oxide-cGMP signaling pathway. This pathway is significant in controlling vascular tone and neurotransmission. cGKI interacts with the proteins soluble guanylate cyclase and myosin light-chain phosphatase which together modulate blood vessel relaxation and contraction. Additionally cGKI plays a role in the cyclic nucleotide signaling pathways maintaining cardiovascular and neuronal health.

CGKI shows a connection to cardiovascular diseases and hypertension. Alterations in cGKI expression or function can lead to improper regulation of vascular tone contributing to elevated blood pressure. In the context of cardiovascular disorders cGKI interacts with proteins like PDE5A which also modulate cGMP levels in tissues. Understanding cGKI’s role in these diseases helps inform potential therapeutic targets for pharmacological intervention.

产品实验方案

For this product, it's our understanding that no specific protocols are required. You can visit:

靶点信息

Serine/threonine protein kinase that acts as a key mediator of the nitric oxide (NO)/cGMP signaling pathway. GMP binding activates PRKG1, which phosphorylates serines and threonines on many cellular proteins. Numerous protein targets for PRKG1 phosphorylation are implicated in modulating cellular calcium, but the contribution of each of these targets may vary substantially among cell types. Proteins that are phosphorylated by PRKG1 regulate platelet activation and adhesion, smooth muscle contraction, cardiac function, gene expression, feedback of the NO-signaling pathway, and other processes involved in several aspects of the CNS like axon guidance, hippocampal and cerebellar learning, circadian rhythm and nociception. Smooth muscle relaxation is mediated through lowering of intracellular free calcium, by desensitization of contractile proteins to calcium, and by decrease in the contractile state of smooth muscle or in platelet activation. Regulates intracellular calcium levels via several pathways : phosphorylates IRAG1 and inhibits IP3-induced Ca(2+) release from intracellular stores, phosphorylation of KCNMA1 (BKCa) channels decreases intracellular Ca(2+) levels, which leads to increased opening of this channel. PRKG1 phosphorylates the canonical transient receptor potential channel (TRPC) family which inactivates the associated inward calcium current. Another mode of action of NO/cGMP/PKGI signaling involves PKGI-mediated inactivation of the Ras homolog gene family member A (RhoA). Phosphorylation of RHOA by PRKG1 blocks the action of this protein in myriad processes : regulation of RHOA translocation; decreasing contraction; controlling vesicle trafficking, reduction of myosin light chain phosphorylation resulting in vasorelaxation. Activation of PRKG1 by NO signaling alters also gene expression in a number of tissues. In smooth muscle cells, increased cGMP and PRKG1 activity influence expression of smooth muscle-specific contractile proteins, levels of proteins in the NO/cGMP signaling pathway, down-regulation of the matrix proteins osteopontin and thrombospondin-1 to limit smooth muscle cell migration and phenotype. Regulates vasodilator-stimulated phosphoprotein (VASP) functions in platelets and smooth muscle.
See full target information PRKG1

文献 (5)

Recent publications for all applications. Explore the full list and refine your search

World journal of gastrointestinal oncology 17:104522 PubMed40487942

2025

Simvastatin inhibits proliferation and migration, promotes oxidative stress and ferroptosis in colon cancer.

Applications

Unspecified application

Species

Unspecified reactive species

Ying Liu,Hao Ge,Zhi-Min Fan,Ting Lu,Lei He,Meng Li,Hao-Ran Zhao,Qiang Leng

European journal of medical research 30:12 PubMed39773303

2025

GATA1-mediated macrophage polarization via TrkB/cGMP-PKG signaling pathway to promote the development of preeclampsia.

Applications

Unspecified application

Species

Unspecified reactive species

Wushan Li,Fei Hou,Di Cheng,Fengchun Gao,Jin Wang,Baoxia Cui

Aging and disease 16:3040-3054 PubMed39571159

2024

Exercise Types: Physical Activity Mitigates Cardiac Aging and Enhances Mitochondrial Function via PKG-STAT3-Opa1 Axis.

Applications

Unspecified application

Species

Unspecified reactive species

Reka Szekeres,Daniel Priksz,Mariann Bombicz,Beata Pelles-Tasko,Anna Szilagyi,Brigitta Bernat,Aniko Posa,Balazs Varga,Rudolf Gesztelyi,Sandor Somodi,Zoltan Szabo,Zoltan Szilvassy,Bela Juhasz

Science signaling 8:ra37 PubMed25900831

2015

Protein kinase G-regulated production of H2S governs oxygen sensing.

Applications

IP

Species

Human

Guoxiang Yuan,Chirag Vasavda,Ying-Jie Peng,Vladislav V Makarenko,Gayatri Raghuraman,Jayasri Nanduri,Moataz M Gadalla,Gregg L Semenza,Ganesh K Kumar,Solomon H Snyder,Nanduri R Prabhakar

Cell death and differentiation 21:915-28 PubMed24531539

2014

The nitric oxide-cGKII system relays death and survival signals during embryonic retinal development via AKT-induced CREB1 activation.

Applications

Unspecified application

Species

Chicken

R Socodato,R Brito,C C Portugal,N A de Oliveira,K C Calaza,R Paes-de-Carvalho
View all publications

Abcam Product Promise

我们致力于为您的研究提供高质量的试剂,为您科研的每一步提供支持。若我们的产品未能达到预期性能,我们向您提供 Abcam Product Promise 保障。
详情请参阅我们的条款与条件。

Please note: All products are 'FOR RESEARCH USE ONLY. NOT FOR USE IN DIAGNOSTIC OR THERAPEUTIC PROCEDURES'.

For licensing inquiries, please contact partnerships@abcam.com