JavaScript is disabled in your browser. Please enable JavaScript to view this website.
AB223847

重组Anti-CENPF抗体[EPR20406]

Anti-CENPF antibody [EPR20406]

Be the first to review this product! Submit a review

|

(6 Publications)

Rabbit Recombinant Monoclonal CENPF antibody. Suitable for ICC/IF, IHC-P and reacts with Human samples. Cited in 6 publications.

查看别名

Centromere protein F, CENP-F, AH antigen, Kinetochore protein CENPF, Mitosin, CENPF

4 Images
Immunocytochemistry/ Immunofluorescence - Anti-CENPF antibody [EPR20406] (AB223847)
  • ICC/IF

Supplier Data

Immunocytochemistry/ Immunofluorescence - Anti-CENPF antibody [EPR20406] (AB223847)

Immunofluorescent analysis of 4% paraformaldehyde-fixed 0.1% Triton X-100 permeabilized A549 (human lung carcinoma cell line) cells labeling CENPF with ab223847 at 1/100 dilution followed by Goat Anti-Rabbit IgG H&L (Alexa Fluor® 488) (ab150077) secondary antibody at 1/1000 dilution (green). Confocal image showing positive staining on M phase of A549 cell line.

The nuclear counter stain is DAPI (blue). Tubulin is detected with Anti-alpha Tubulin antibody [DM1A] - Microtubule Marker (Alexa Fluor® 594) (ab195889) (red) at 1/200 dilution.

Secondary antibody only control : Used PBS instead of primary antibody secondary antibody is Goat Anti-Rabbit IgG H&L (Alexa Fluor® 488) (ab150077) secondary antibody at 1/1000 dilution.

Immunohistochemistry (Formalin/PFA-fixed paraffin-embedded sections) - Anti-CENPF antibody [EPR20406] (AB223847)
  • IHC-P

Supplier Data

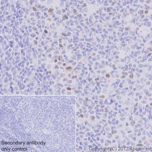
Immunohistochemistry (Formalin/PFA-fixed paraffin-embedded sections) - Anti-CENPF antibody [EPR20406] (AB223847)

Immunohistochemical analysis of paraffin-embedded human tonsil tissue labeling CENPF with ab223847 at 1/1000 dilution followed by Goat Anti-Rabbit IgG H&L (HRP) Ready to use. Nuclear staining on some germinal center cells of human tonsil (PMID : 15933757). Counter stained with Hematoxylin.

Secondary antibody only control : Used PBS instead of primary antibody secondary antibody is Goat Anti-Rabbit IgG H&L (HRP) Ready to use.

Perform heat mediated antigen retrieval with Tris/EDTA buffer pH 9.0 before commencing with IHC staining protocol.

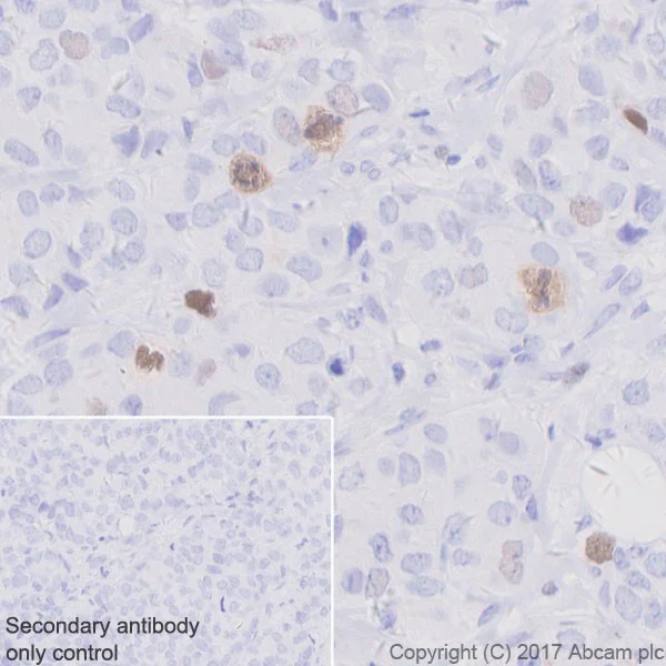
Immunohistochemistry (Formalin/PFA-fixed paraffin-embedded sections) - Anti-CENPF antibody [EPR20406] (AB223847)
  • IHC-P

Supplier Data

Immunohistochemistry (Formalin/PFA-fixed paraffin-embedded sections) - Anti-CENPF antibody [EPR20406] (AB223847)

Immunohistochemical analysis of paraffin-embedded human breast cancer tissue labeling CENPF with ab223847 at 1/1000 dilution followed by Goat Anti-Rabbit IgG H&L (HRP) Ready to use. Sporadically positive staining on tumor cells of human breast cancer. Counter stained with Hematoxylin.

Secondary antibody only control : Used PBS instead of primary antibody secondary antibody is Goat Anti-Rabbit IgG H&L (HRP) Ready to use.

Perform heat mediated antigen retrieval with Tris/EDTA buffer pH 9.0 before commencing with IHC staining protocol.

Immunocytochemistry/ Immunofluorescence - Anti-CENPF antibody [EPR20406] (AB223847)
  • ICC/IF

Supplier Data

Immunocytochemistry/ Immunofluorescence - Anti-CENPF antibody [EPR20406] (AB223847)

Immunofluorescent analysis of 4% paraformaldehyde-fixed 0.1% Triton X-100 permeabilized HeLa (human epithelial cell line from cervix adenocarcinoma) cells labeling CENPF with ab223847 at 1/100 dilution followed by Goat Anti-Rabbit IgG H&L (Alexa Fluor® 488) (ab150077) secondary antibody at 1/1000 dilution (green). Confocal image showing positive staining on M phase of HeLa cell line.

The nuclear counter stain is DAPI (blue). Tubulin is detected with Anti-alpha Tubulin antibody [DM1A] - Microtubule Marker (Alexa Fluor® 594) (ab195889) (red) at 1/200 dilution.

Secondary antibody only control : Used PBS instead of primary antibody secondary antibody is Goat Anti-Rabbit IgG H&L (Alexa Fluor® 488) (ab150077) secondary antibody at 1/1000 dilution.

关键信息

宿主种属

Rabbit

克隆

Monoclonal

克隆号

EPR20406

亚型

IgG

不含载体蛋白

No

反应种属

Human

应用

IHC-P, ICC/IF

applications

免疫原

The exact immunogen used to generate this antibody is proprietary information.

反应性数据

{ "title": "Reactivity Data", "filters": { "stats": ["", "Species", "Dilution Info", "Notes"], "tabs": { "all-applications": {"fullname" : "All Applications", "shortname": "All Applications"}, "ICCIF" : {"fullname" : "Immunocytochemistry/ Immunofluorescence", "shortname":"ICC/IF"}, "IHCP" : {"fullname" : "Immunohistochemistry (Formalin/PFA-fixed paraffin-embedded sections)", "shortname":"IHC-P"} }, "product-promise": { "all": "all", "testedAndGuaranteed": "tested", "guaranteed": "expected", "predicted": "predicted", "notRecommended": "not-recommended" } }, "values": { "Human": { "ICCIF-species-checked": "testedAndGuaranteed", "ICCIF-species-dilution-info": "1/100", "ICCIF-species-notes": "<p></p>", "IHCP-species-checked": "testedAndGuaranteed", "IHCP-species-dilution-info": "1/1000", "IHCP-species-notes": "<p></p>" } } }

产品详情

Patented technology
Our RabMAb® technology is a patented hybridoma-based technology for making rabbit monoclonal antibodies. For details on our patents, please refer to RabMAb® patents.

What are the advantages of a recombinant monoclonal antibody?
This product is a recombinant monoclonal antibody, which offers several advantages including:

  • - High batch-to-batch consistency and reproducibility
  • - Improved sensitivity and specificity
  • - Long-term security of supply
  • - Animal-free batch production

For more information, read more on recombinant antibodies.

性能和储存信息

形式
Liquid
纯化工艺
Affinity purification Protein A
存储溶液
pH: 7.2 - 7.4 Preservative: 0.01% Sodium azide Constituents: PBS, 40% Glycerol (glycerin, glycerine), 0.05% BSA
运输条件
Blue Ice
推荐的短期储存时间
1-2 weeks
推荐的短期储存条件
+4°C
推荐的长期储存条件
-20°C
分装信息
Upon delivery aliquot
储存信息
Avoid freeze / thaw cycle

补充信息

This supplementary information is collated from multiple sources and compiled automatically.

CENPF also known as centromere protein F or mitosin is a significant kinetochore-associated protein. It has a molecular mass of approximately 367 kDa. Expressed chiefly in the nucleus CENPF displays elevated levels during cell division particularly mitosis. The protein accumulates at the nuclear matrix during the G2 phase of the cell cycle and moves to the kinetochores in mitosis highlighting its role in cell cycle regulation.
Biological function summary

It plays a role in chromosome segregation and spindle attachment during cell division. CENPF associates with various cellular complexes including the nuclear matrix and kinetochores. Its function is critical to maintaining stability and proper chromosome movement during mitosis. This involvement ensures accurate chromosomal alignment and segregation preventing genomic instability in daughter cells.

Pathways

CENPF plays an essential role in the regulation of the mitotic cell cycle and chromosomal dynamics. The protein interfaces with several elements in pathways like the spindle assembly checkpoint. It interacts notably with proteins such as CENP-E and other kinetochore constituents. These interactions safeguard the precise attachment of microtubules to the kinetochores facilitating proper cell cycle progression and division.

Alterations in CENPF expression and function have been linked to cancer and congenital heart defects. Dysregulation of CENPF can lead to chromosomal instability a known hallmark of many cancers. Additionally its interactions with proteins like CENP-E and Bub1 further relate to its involvement in the proper execution of cell cycle checkpoints. Such associations make CENPF a potential target for therapeutic interventions in related disorders.

产品实验方案

For this product, it's our understanding that no specific protocols are required. You can visit:

靶点信息

Required for kinetochore function and chromosome segregation in mitosis. Required for kinetochore localization of dynein, LIS1, NDE1 and NDEL1. Regulates recycling of the plasma membrane by acting as a link between recycling vesicles and the microtubule network though its association with STX4 and SNAP25. Acts as a potential inhibitor of pocket protein-mediated cellular processes during development by regulating the activity of RB proteins during cell division and proliferation. May play a regulatory or permissive role in the normal embryonic cardiomyocyte cell cycle and in promoting continued mitosis in transformed, abnormally dividing neonatal cardiomyocytes. Interaction with RB directs embryonic stem cells toward a cardiac lineage. Involved in the regulation of DNA synthesis and hence cell cycle progression, via its C-terminus. Has a potential role regulating skeletal myogenesis and in cell differentiation in embryogenesis. Involved in dendritic cell regulation of T-cell immunity against chlamydia.
See full target information Centromere protein F

文献 (6)

Recent publications for all applications. Explore the full list and refine your search

Cell regeneration (London, England) 14:18 PubMed40377813

2025

The critical role of BMP signaling in gastric epithelial cell differentiation revealed by organoids.

Applications

Unspecified application

Species

Unspecified reactive species

Fan Hong,Xiaodan Wang,Nanshan Zhong,Ze Zhang,Shibo Lin,Mengxian Zhang,Haonan Li,Yuan Liu,Yalong Wang,Lianzheng Zhao,Xiao Yang,Hongwen Zhou,Hui Liang,Ye-Guang Chen

Advanced science (Weinheim, Baden-Wurttemberg, Germany) 11:e2403627 PubMed39535354

2024

Spatiotemporal Molecular Architecture of Lineage Allocation and Cellular Organization in Tooth Morphogenesis.

Applications

Unspecified application

Species

Unspecified reactive species

Shengjie Jiang,Yuning Zhang,Huimin Zheng,Kai Zhao,Yue Yang,Binbin Lai,Xuliang Deng,Yan Wei

Clinical cancer research : an official journal of the American Association for Cancer Research 30:1038-1053 PubMed38127282

2023

Spatial Gene-Expression Profiling Unveils Immuno-oncogenic Programs of NF1-Associated Peripheral Nerve Sheath Tumor Progression.

Applications

Unspecified application

Species

Unspecified reactive species

Dana K Mitchell,Breanne Burgess,Emily E White,Abbi E Smith,Elizabeth A Sierra Potchanant,Henry Mang,Brooke E Hickey,Qingbo Lu,Shaomin Qian,Waylan Bessler,Xiaohong Li,Li Jiang,Kylee Brewster,Constance Temm,Andrew Horvai,Eric A Albright,Melissa L Fishel,Christine A Pratilas,Steven P Angus,D Wade Clapp,Steven D Rhodes

Nucleic acids research 51:10568-10589 PubMed37739411

2023

The TRIM69-MST2 signaling axis regulates centrosome dynamics and chromosome segregation.

Applications

Unspecified application

Species

Unspecified reactive species

Yilin Wang,Patrik Risteski,Yang Yang,Huan Chen,Gaith Droby,Andrea Walens,Deepika Jayaprakash,Melissa Troester,Laura Herring,Jonathan Chernoff,Iva M Tolić,Jessica Bowser,Cyrus Vaziri

Translational oncology 31:101658 PubMed36944275

2023

A pan-cancer landscape of centromere proteins in tumorigenesis and anticancer drug sensitivity.

Applications

Unspecified application

Species

Unspecified reactive species

Yuan-Xiang Shi,Peng-Hui Dai,Yu-Fei Jiang,Yan-Qing Wang,Wen Liu

International journal of biological sciences 16:3149-3162 PubMed33162821

2020

Identification of a novel cancer stem cell subpopulation that promotes progression of human fatal renal cell carcinoma by single-cell RNA-seq analysis.

Applications

Unspecified application

Species

Unspecified reactive species

Xiu-Wu Pan,Hao Zhang,Da Xu,Jia-Xin Chen,Wen-Jin Chen,Si-Shun Gan,Fa-Jun Qu,Chuan-Min Chu,Jian-Wei Cao,Ying-Hui Fan,Xu Song,Jian-Qing Ye,Wang Zhou,Xin-Gang Cui
View all publications

Abcam Product Promise

我们致力于为您的研究提供高质量的试剂,为您科研的每一步提供支持。若我们的产品未能达到预期性能,我们向您提供 Abcam Product Promise 保障。
详情请参阅我们的条款与条件。

Please note: All products are 'FOR RESEARCH USE ONLY. NOT FOR USE IN DIAGNOSTIC OR THERAPEUTIC PROCEDURES'.

For licensing inquiries, please contact partnerships@abcam.com