JavaScript is disabled in your browser. Please enable JavaScript to view this website.
AB84697

Anti-CENPF抗体

Anti-CENPF antibody

5

(1 Review)

|

(5 Publications)

Rabbit Polyclonal CENPF antibody. Suitable for IHC-P and reacts with Human samples. Cited in 5 publications. Immunogen corresponding to Synthetic Peptide within Human Centromere protein F aa 2350-2400.

查看别名

Centromere protein F, CENP-F, AH antigen, Kinetochore protein CENPF, Mitosin, CENPF

4 Images
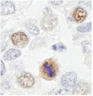
Immunohistochemistry (Formalin/PFA-fixed paraffin-embedded sections) - Anti-CENPF antibody (AB84697)
  • IHC-P

Unknown

Immunohistochemistry (Formalin/PFA-fixed paraffin-embedded sections) - Anti-CENPF antibody (AB84697)

ab84697, at a dilution of 1/500, staining CENPF in formalin fixed, paraffin embedded human ewing sarcoma by Immunohistochemistry.
Detection : DAB staining

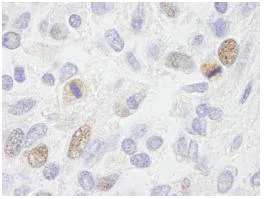
Immunohistochemistry (Formalin/PFA-fixed paraffin-embedded sections) - Anti-CENPF antibody (AB84697)
  • IHC-P

Unknown

Immunohistochemistry (Formalin/PFA-fixed paraffin-embedded sections) - Anti-CENPF antibody (AB84697)

ab84697, at a dilution of 1/100, staining CENPF in formalin fixed, paraffin embedded human ewing sarcoma by Immunohistochemistry.
Detection : DAB staining

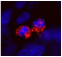
Immunohistochemistry (Formalin/PFA-fixed paraffin-embedded sections) - Anti-CENPF antibody (AB84697)
  • IHC-P

Unknown

Immunohistochemistry (Formalin/PFA-fixed paraffin-embedded sections) - Anti-CENPF antibody (AB84697)

ab84697, at a dilution of 1/100, staining CENPF in formalin fixed, paraffin embedded human ewing sarcoma by Immunohistochemistry.
Detection : Red fluorescent goat anti-rabbit IgG highly cross adsorbed antibody used at a dilution of 1/100.

Immunohistochemistry (Formalin/PFA-fixed paraffin-embedded sections) - Anti-CENPF antibody (AB84697)
  • IHC-P

Unknown

Immunohistochemistry (Formalin/PFA-fixed paraffin-embedded sections) - Anti-CENPF antibody (AB84697)

ab84697, at a dilution of 1/500, staining CENPF in formalin fixed, paraffin embedded human ewing sarcoma by Immunohistochemistry.
Detection : DAB staining

关键信息

宿主种属

Rabbit

克隆

Polyclonal

亚型

IgG

不含载体蛋白

No

反应种属

Human

应用

IHC-P

applications

免疫原

Synthetic Peptide within Human Centromere protein F aa 2350-2400. The exact immunogen used to generate this antibody is proprietary information.

P49454

反应性数据

{ "title": "Reactivity Data", "filters": { "stats": ["", "Species", "Dilution Info", "Notes"], "tabs": { "all-applications": {"fullname" : "All Applications", "shortname": "All Applications"}, "IHCP" : {"fullname" : "Immunohistochemistry (Formalin/PFA-fixed paraffin-embedded sections)", "shortname":"IHC-P"} }, "product-promise": { "all": "all", "testedAndGuaranteed": "tested", "guaranteed": "expected", "predicted": "predicted", "notRecommended": "not-recommended" } }, "values": { "Human": { "IHCP-species-checked": "testedAndGuaranteed", "IHCP-species-dilution-info": "1/100 - 1/500", "IHCP-species-notes": "<p></p> Perform heat-mediated antigen retrieval with citrate buffer pH 6 before commencing with IHC staining protocol." }, "Chimpanzee": { "IHCP-species-checked": "predicted", "IHCP-species-dilution-info": "", "IHCP-species-notes": "" }, "Gorilla": { "IHCP-species-checked": "predicted", "IHCP-species-dilution-info": "", "IHCP-species-notes": "" }, "Orangutan": { "IHCP-species-checked": "predicted", "IHCP-species-dilution-info": "", "IHCP-species-notes": "" } } }

性能和储存信息

形式
Liquid
纯化工艺
Affinity purification Immunogen
纯化说明
ab84697 was affinity purified using an epitope specific to CENPF immobilized on solid support.
存储溶液
pH: 6.8 - 7.4 Preservative: 0.09% Sodium azide Constituents: Tris buffered saline, 0.1% BSA
运输条件
Blue Ice
推荐的短期储存条件
+4°C
推荐的长期储存条件
-20°C
分装信息
Upon delivery aliquot
储存信息
Avoid freeze / thaw cycle

补充信息

This supplementary information is collated from multiple sources and compiled automatically.

CENPF also known as centromere protein F or mitosin is a significant kinetochore-associated protein. It has a molecular mass of approximately 367 kDa. Expressed chiefly in the nucleus CENPF displays elevated levels during cell division particularly mitosis. The protein accumulates at the nuclear matrix during the G2 phase of the cell cycle and moves to the kinetochores in mitosis highlighting its role in cell cycle regulation.
Biological function summary

It plays a role in chromosome segregation and spindle attachment during cell division. CENPF associates with various cellular complexes including the nuclear matrix and kinetochores. Its function is critical to maintaining stability and proper chromosome movement during mitosis. This involvement ensures accurate chromosomal alignment and segregation preventing genomic instability in daughter cells.

Pathways

CENPF plays an essential role in the regulation of the mitotic cell cycle and chromosomal dynamics. The protein interfaces with several elements in pathways like the spindle assembly checkpoint. It interacts notably with proteins such as CENP-E and other kinetochore constituents. These interactions safeguard the precise attachment of microtubules to the kinetochores facilitating proper cell cycle progression and division.

Alterations in CENPF expression and function have been linked to cancer and congenital heart defects. Dysregulation of CENPF can lead to chromosomal instability a known hallmark of many cancers. Additionally its interactions with proteins like CENP-E and Bub1 further relate to its involvement in the proper execution of cell cycle checkpoints. Such associations make CENPF a potential target for therapeutic interventions in related disorders.

产品实验方案

For this product, it's our understanding that no specific protocols are required. You can visit:

靶点信息

Required for kinetochore function and chromosome segregation in mitosis. Required for kinetochore localization of dynein, LIS1, NDE1 and NDEL1. Regulates recycling of the plasma membrane by acting as a link between recycling vesicles and the microtubule network though its association with STX4 and SNAP25. Acts as a potential inhibitor of pocket protein-mediated cellular processes during development by regulating the activity of RB proteins during cell division and proliferation. May play a regulatory or permissive role in the normal embryonic cardiomyocyte cell cycle and in promoting continued mitosis in transformed, abnormally dividing neonatal cardiomyocytes. Interaction with RB directs embryonic stem cells toward a cardiac lineage. Involved in the regulation of DNA synthesis and hence cell cycle progression, via its C-terminus. Has a potential role regulating skeletal myogenesis and in cell differentiation in embryogenesis. Involved in dendritic cell regulation of T-cell immunity against chlamydia.
See full target information Centromere protein F

文献 (5)

Recent publications for all applications. Explore the full list and refine your search

International journal of molecular sciences 23: PubMed36430658

2022

Effect of the First Feeding on Enterocytes of Newborn Rats.

Applications

Unspecified application

Species

Unspecified reactive species

Maria A Nikonova,Irina S Sesorova,Ivan D Dimov,Natalia R Karelina,Alexander A Mironov

Biomedicines 10: PubMed36359378

2022

Role of Endothelial Regeneration and Overloading of Enterocytes with Lipids in Capturing of Lipoproteins by Basement Membrane of Rat Aortic Endothelium.

Applications

Unspecified application

Species

Unspecified reactive species

Irina S Sesorova,Vitaly V Sesorov,Pavel B Soloviev,Konstantin Y Lakunin,Ivan D Dimov,Alexander A Mironov

Experimental and therapeutic medicine 21:401 PubMed33680123

2021

CENPF promotes papillary thyroid cancer progression by mediating cell proliferation and apoptosis.

Applications

Unspecified application

Species

Unspecified reactive species

Yong Han,Shujian Xu,Kai Cheng,Caimei Diao,Song Liu,Weiwei Zou,Yueyang Bi

Annals of neurology 86:99-115 PubMed31004438

2019

Extraciliary roles of the ciliopathy protein JBTS17 in mitosis and neurogenesis.

Applications

Unspecified application

Species

Unspecified reactive species

Hyowon Hong,Kwangsic Joo,Sang Min Park,Jimyung Seo,Min Hwan Kim,EunBie Shin,Hae Il Cheong,Jeong Ho Lee,Joon Kim

Nature 550:534-538 PubMed29045385

2017

USP7 small-molecule inhibitors interfere with ubiquitin binding.

Applications

Unspecified application

Species

Unspecified reactive species

Lorna Kategaya,Paola Di Lello,Lionel Rougé,Richard Pastor,Kevin R Clark,Jason Drummond,Tracy Kleinheinz,Eva Lin,John-Paul Upton,Sumit Prakash,Johanna Heideker,Mark McCleland,Maria Stella Ritorto,Dario R Alessi,Matthias Trost,Travis W Bainbridge,Michael C M Kwok,Taylur P Ma,Zachary Stiffler,Bradley Brasher,Yinyan Tang,Priyadarshini Jaishankar,Brian R Hearn,Adam R Renslo,Michelle R Arkin,Frederick Cohen,Kebing Yu,Frank Peale,Florian Gnad,Matthew T Chang,Christiaan Klijn,Elizabeth Blackwood,Scott E Martin,William F Forrest,James A Ernst,Chudi Ndubaku,Xiaojing Wang,Maureen H Beresini,Vickie Tsui,Carsten Schwerdtfeger,Robert A Blake,Jeremy Murray,Till Maurer,Ingrid E Wertz
View all publications

Abcam Product Promise

我们致力于为您的研究提供高质量的试剂,为您科研的每一步提供支持。若我们的产品未能达到预期性能,我们向您提供 Abcam Product Promise 保障。
详情请参阅我们的条款与条件。

Please note: All products are 'FOR RESEARCH USE ONLY. NOT FOR USE IN DIAGNOSTIC OR THERAPEUTIC PROCEDURES'.

For licensing inquiries, please contact partnerships@abcam.com