JavaScript is disabled in your browser. Please enable JavaScript to view this website.
AB224813

Anti-CENPF抗体

Anti-CENPF antibody

Be the first to review this product! Submit a review

|

(4 Publications)

Rabbit Polyclonal CENPF antibody. Suitable for IHC-P, IP, WB and reacts with Human samples. Cited in 4 publications. Immunogen corresponding to Synthetic Peptide within Human Centromere protein F aa 2350-2400.

查看别名

Centromere protein F, CENP-F, AH antigen, Kinetochore protein CENPF, Mitosin, CENPF

3 Images
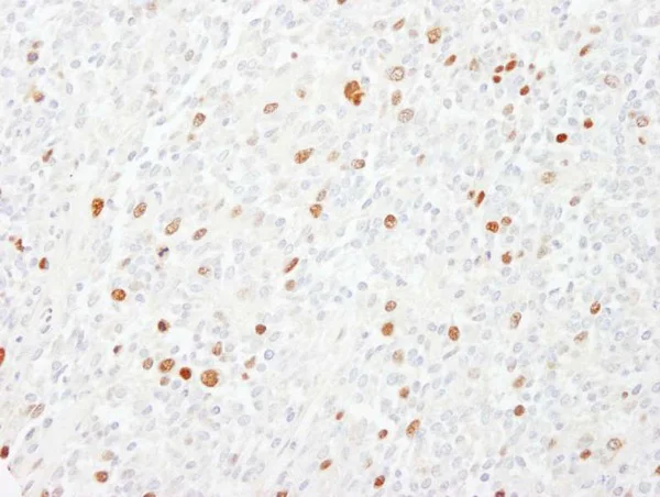
Immunohistochemistry (Formalin/PFA-fixed paraffin-embedded sections) - Anti-CENPF antibody (AB224813)
  • IHC-P

Supplier Data

Immunohistochemistry (Formalin/PFA-fixed paraffin-embedded sections) - Anti-CENPF antibody (AB224813)

Formalin-fixed, paraffin-embedded human ewing sarcoma tissue stained for CENPF using ab224813 at 1/200 dilution in immunohistochemical analysis. Detection : DAB staining.

Immunoprecipitation - Anti-CENPF antibody (AB224813)
  • IP

Supplier Data

Immunoprecipitation - Anti-CENPF antibody (AB224813)

CENPF was immunoprecipitated from HeLa (human epithelial cell line from cervix adenocarcinoma) whole cell lysate (1 mg for IP, 20% of IP loaded) with ab224813 at 3 μg/mg lysate. Western blot was performed from the immunoprecipitate using ab224813 at 1 μg/ml.

Lane 1 : ab224813 IP in HeLa whole cell lysate.

Lane 2 : Control IgG IP in HeLa whole cell lysate.

Detection : Chemiluminescence with exposure time of 3 seconds.

All lanes:

Immunoprecipitation - Anti-CENPF antibody (ab224813)

Predicted band size: 367 kDa

false

Western blot - Anti-CENPF antibody (AB224813)
  • WB

Supplier Data

Western blot - Anti-CENPF antibody (AB224813)

All lanes:

Western blot - Anti-CENPF antibody (ab224813) at 0.04 µg/mL

Lane 1:

HeLa (human epithelial cell line from cervix adenocarcinoma) whole cell lysate at 50 µg

Lane 2:

HeLa (human epithelial cell line from cervix adenocarcinoma) whole cell lysate at 15 µg

Lane 3:

HeLa (human epithelial cell line from cervix adenocarcinoma) whole cell lysate at 5 µg

Lane 4:

HEK-293T (human epithelial cell line from embryonic kidney transformed with large T antigen) whole cell lysate at 50 µg

Predicted band size: 367 kDa

true

Exposure time: 10s

关键信息

宿主种属

Rabbit

克隆

Polyclonal

亚型

IgG

不含载体蛋白

No

反应种属

Human

应用

WB, IHC-P, IP

applications

免疫原

Synthetic Peptide within Human Centromere protein F aa 2350-2400. The exact immunogen used to generate this antibody is proprietary information.

P49454

反应性数据

{ "title": "Reactivity Data", "filters": { "stats": ["", "Species", "Dilution Info", "Notes"], "tabs": { "all-applications": {"fullname" : "All Applications", "shortname": "All Applications"}, "IHCP" : {"fullname" : "Immunohistochemistry (Formalin/PFA-fixed paraffin-embedded sections)", "shortname":"IHC-P"}, "IP" : {"fullname" : "Immunoprecipitation", "shortname":"IP"}, "WB" : {"fullname" : "Western blot", "shortname":"WB"} }, "product-promise": { "all": "all", "testedAndGuaranteed": "tested", "guaranteed": "expected", "predicted": "predicted", "notRecommended": "not-recommended" } }, "values": { "Human": { "IHCP-species-checked": "testedAndGuaranteed", "IHCP-species-dilution-info": "1/200 - 1/1000", "IHCP-species-notes": "<p></p> Perform heat-mediated antigen retrieval with citrate buffer pH 6 before commencing with IHC staining protocol.", "IP-species-checked": "testedAndGuaranteed", "IP-species-dilution-info": "2-5 µg/mg of lysate", "IP-species-notes": "<p></p>", "WB-species-checked": "testedAndGuaranteed", "WB-species-dilution-info": "1/2000 - 1/10000", "WB-species-notes": "<p></p>" } } }

性能和储存信息

形式
Liquid
纯化工艺
Affinity purification Immunogen
纯化说明
ab224813 was affinity purified using an epitope specific to CENPF immobilized on solid support.
存储溶液
pH: 6.8 - 7.4 Preservative: 0.09% Sodium azide Constituents: Tris buffered saline, 0.1% BSA
运输条件
Blue Ice
推荐的短期储存时间
1-2 weeks
推荐的短期储存条件
+4°C
推荐的长期储存条件
-20°C
分装信息
Upon delivery aliquot
储存信息
Avoid freeze / thaw cycle

补充信息

This supplementary information is collated from multiple sources and compiled automatically.

CENPF also known as centromere protein F or mitosin is a significant kinetochore-associated protein. It has a molecular mass of approximately 367 kDa. Expressed chiefly in the nucleus CENPF displays elevated levels during cell division particularly mitosis. The protein accumulates at the nuclear matrix during the G2 phase of the cell cycle and moves to the kinetochores in mitosis highlighting its role in cell cycle regulation.
Biological function summary

It plays a role in chromosome segregation and spindle attachment during cell division. CENPF associates with various cellular complexes including the nuclear matrix and kinetochores. Its function is critical to maintaining stability and proper chromosome movement during mitosis. This involvement ensures accurate chromosomal alignment and segregation preventing genomic instability in daughter cells.

Pathways

CENPF plays an essential role in the regulation of the mitotic cell cycle and chromosomal dynamics. The protein interfaces with several elements in pathways like the spindle assembly checkpoint. It interacts notably with proteins such as CENP-E and other kinetochore constituents. These interactions safeguard the precise attachment of microtubules to the kinetochores facilitating proper cell cycle progression and division.

Alterations in CENPF expression and function have been linked to cancer and congenital heart defects. Dysregulation of CENPF can lead to chromosomal instability a known hallmark of many cancers. Additionally its interactions with proteins like CENP-E and Bub1 further relate to its involvement in the proper execution of cell cycle checkpoints. Such associations make CENPF a potential target for therapeutic interventions in related disorders.

产品实验方案

For this product, it's our understanding that no specific protocols are required. You can visit:

靶点信息

Required for kinetochore function and chromosome segregation in mitosis. Required for kinetochore localization of dynein, LIS1, NDE1 and NDEL1. Regulates recycling of the plasma membrane by acting as a link between recycling vesicles and the microtubule network though its association with STX4 and SNAP25. Acts as a potential inhibitor of pocket protein-mediated cellular processes during development by regulating the activity of RB proteins during cell division and proliferation. May play a regulatory or permissive role in the normal embryonic cardiomyocyte cell cycle and in promoting continued mitosis in transformed, abnormally dividing neonatal cardiomyocytes. Interaction with RB directs embryonic stem cells toward a cardiac lineage. Involved in the regulation of DNA synthesis and hence cell cycle progression, via its C-terminus. Has a potential role regulating skeletal myogenesis and in cell differentiation in embryogenesis. Involved in dendritic cell regulation of T-cell immunity against chlamydia.
See full target information Centromere protein F

文献 (4)

Recent publications for all applications. Explore the full list and refine your search

iScience 26:106862 PubMed37275516

2023

macrophages promote hepatocellular carcinoma tumor stemness and progression through /β-catenin/ axis.

Applications

Unspecified application

Species

Unspecified reactive species

Hai-Chao Zhao,Chang-Zhou Chen,Yan-Zhang Tian,Huang-Qin Song,Xiao-Xiao Wang,Yan-Jun Li,Jie-Feng He,Hao-Liang Zhao

Cancer science 113:1220-1234 PubMed35189004

2022

CENPF as an independent prognostic and metastasis biomarker corresponding to CD4+ memory T cells in cutaneous melanoma.

Applications

Unspecified application

Species

Unspecified reactive species

Mengzhi Li,Jingling Zhao,Ronghua Yang,Ruizhao Cai,Xusheng Liu,Julin Xie,Bin Shu,Shaohai Qi

Frontiers in genetics 13:804848 PubMed35211158

2022

circEPS15 Overexpression in Hepatocellular Carcinoma Modulates Tumor Invasion and Migration.

Applications

Unspecified application

Species

Unspecified reactive species

Bin Jiang,Maolin Tian,Gang Li,Abuduhaibaier Sadula,Dianrong Xiu,Chunhui Yuan,Yuntao Bing

Oncology letters 22:648 PubMed34386070

2021

Upregulation of CENPF is linked to aggressive features of osteosarcoma.

Applications

Unspecified application

Species

Unspecified reactive species

Ping-An Zou,Zheng-Xu Yang,Xi Wang,Zhi-Wei Tao
View all publications

Abcam Product Promise

我们致力于为您的研究提供高质量的试剂,为您科研的每一步提供支持。若我们的产品未能达到预期性能,我们向您提供 Abcam Product Promise 保障。
详情请参阅我们的条款与条件。

Please note: All products are 'FOR RESEARCH USE ONLY. NOT FOR USE IN DIAGNOSTIC OR THERAPEUTIC PROCEDURES'.

For licensing inquiries, please contact partnerships@abcam.com