JavaScript is disabled in your browser. Please enable JavaScript to view this website.
AB108390

重组Anti-CEACAM1抗体[EPR4048]

Anti-CEACAM1 antibody [EPR4048]

Be the first to review this product! Submit a review

|

(1 Publication)

Rabbit Recombinant Monoclonal CEAM1 antibody. Suitable for WB, IHC-P and reacts with Recombinant fragment - Human, Human, Transfected cell line - Human samples. Cited in 1 publication.

查看别名

CD66a, BGP, BGP1, CEACAM1, Cell adhesion molecule CEACAM1, Biliary glycoprotein 1, Carcinoembryonic antigen-related cell adhesion molecule 1, BGP-1, CEA cell adhesion molecule 1

6 Images
Immunohistochemistry (Formalin/PFA-fixed paraffin-embedded sections) - Anti-CEACAM1 antibody [EPR4048] (AB108390)
  • IHC-P

Unknown

Immunohistochemistry (Formalin/PFA-fixed paraffin-embedded sections) - Anti-CEACAM1 antibody [EPR4048] (AB108390)

ab108390, at 1/100 dilution, staining CEACAM1 in Human liver tissue by immunohistochemistry.

Perform heat mediated antigen retrieval with citrate buffer pH 6 before commencing with IHC staining protocol.

Immunohistochemistry (Formalin/PFA-fixed paraffin-embedded sections) - Anti-CEACAM1 antibody [EPR4048] (AB108390)
  • IHC-P

Unknown

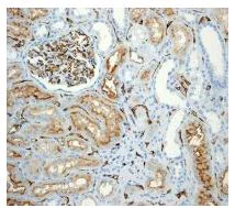
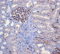
Immunohistochemistry (Formalin/PFA-fixed paraffin-embedded sections) - Anti-CEACAM1 antibody [EPR4048] (AB108390)

ab108390, at 1/100 dilution, staining CEACAM1 in Human kidney tissue by immunohistochemistry.

Perform heat mediated antigen retrieval with citrate buffer pH 6 before commencing with IHC staining protocol.

Immunohistochemistry (Formalin/PFA-fixed paraffin-embedded sections) - Anti-CEACAM1 antibody [EPR4048] (AB108390)
  • IHC-P

Lab

Immunohistochemistry (Formalin/PFA-fixed paraffin-embedded sections) - Anti-CEACAM1 antibody [EPR4048] (AB108390)

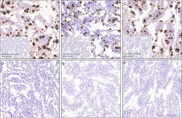
Immunohistochemical analysis of paraffin-embedded sections (A) HEK-293T cells transfected with a CEACAM1 expression vector containing a his tag. (B) HEK-293T cells transfected with a CEACAM3 expression vector containing a his tag. (C) HEK-293T cells transfected with a CEACAM5 expression vector containing a his tag. (D) HEK-293T cells transfected with a CEACAM6 expression vector containing a his tag. (E) HEK-293T cells transfected with a CEACAM8 expression vector containing a his tag. (F) HEK-293T cells transfected with empty vector containing a his tag. This was labelling CEACAM1 with ab108390 at 1/2000 dilution. The section was incubated with ab108390 for 30 mins at room temperature. LeicaDS9800 (Bond™ Polymer Refine Detection) was used as the secondary antibody. Sections were counter stained with hematoxylin. Heat mediated antigen retrieval with Tris-EDTA buffer (pH 9.0, epitope retrieval solution2) for 20 mins. Positive staining on (A) HEK-293T cells transfected with a CEACAM1 expression vector containing a his tag, (B) HEK-293T cells transfected with a CEACAM3 expression vector containing a his tag and (C) HEK-293T cells transfected with a CEACAM5 expression vector containing a his tag. No staining on (D) HEK-293T cells transfected with a CEACAM6 expression vector containing a his tag, (E) HEK-293T cells transfected with a CEACAM8 expression vector containing a his tag and (F) HEK-293T cells transfected with empty vector containing a his tag. The results indicated cross reaction with CEACAM1, CEACAM3 and CEACAM5. The immunostaining was performed on a Leica Biosystems BOND® RX instrument.

Western blot - Anti-CEACAM1 antibody [EPR4048] (AB108390)
  • WB

Lab

Western blot - Anti-CEACAM1 antibody [EPR4048] (AB108390)

Lanes 1 - 2 : Merged signal (red and green). Green - ab108390 observed at 125 kDa. Red - loading control ab8245 (Mouse anti-GAPDH antibody [6C5]) observed at 37kDa.

ab108390 was shown to react with CEACAM1 in western blot. Membranes were blocked in 3% milk in TBS-T (0.1% Tween®) before incubation with ab108390 and ab8245 (Mouse anti-GAPDH antibody [6C5]) overnight at 4°C at a 1 in 1000 dilution and a 1 in 20000 dilution respectively. Blots were incubated with Goat anti-Rabbit IgG H&L (IRDye® 800CW) preabsorbed (ab216773) and Goat anti-Mouse IgG H&L (IRDye® 680RD) preabsorbed (ab216776) secondary antibodies at 1 in 20000 dilution for 1 hour at room temperature before imaging.

All lanes:

Western blot - Anti-CEACAM1 antibody [EPR4048] (ab108390) at 1/1000 dilution

Lane 1:

HepG2 cell lysate at 20 µg

Lane 2:

HEK-293 cell lysate at 20 µg

Predicted band size: 57 kDa

Observed band size: 45 kDa

false

Western blot - Anti-CEACAM1 antibody [EPR4048] (AB108390)
  • WB

Lab

Western blot - Anti-CEACAM1 antibody [EPR4048] (AB108390)

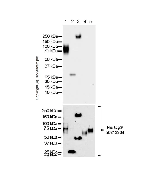
Blocking buffer and concentration : 5% NFDM/TBST Diluting buffer and concentration : 5% NFDM/TBST This antibody cross-reacts with CEAM-3 and CEAM-5.

All lanes:

Western blot - Anti-CEACAM1 antibody [EPR4048] (ab108390) at 1/1000 dilution

Lane 1:

His-tagged human CEAM-1 fragment at 10 ng

Lane 2:

His-tagged human CEAM-3 fragment at 10 ng

Lane 3:

His-tagged human CEAM-5 fragment at 10 ng

Lane 4:

His-tagged human CEAM-6 fragment at 10 ng

Lane 5:

His-tagged human CEAM-8 fragment at 10 ng

Secondary

All lanes:

Western blot - Goat Anti-Rabbit IgG H&L (HRP) (<a href='/products/secondary-antibodies/goat-rabbit-igg-h-l-hrp-ab97051'>ab97051</a>) at 1/100000 dilution

Predicted band size: 57 kDa

Observed band size: 180 kDa,25 kDa,66 kDa

false

Exposure time: 37s

Western blot - Anti-CEACAM1 antibody [EPR4048] (AB108390)
  • WB

Unknown

Western blot - Anti-CEACAM1 antibody [EPR4048] (AB108390)

All lanes:

Western blot - Anti-CEACAM1 antibody [EPR4048] (ab108390) at 1/1000 dilution

Lane 1:

HepG2 cell lysate at 10 µg

Lane 2:

Human fetal liver tissue lysate at 10 µg

Lane 3:

A549 cell lysate at 10 µg

Predicted band size: 57 kDa

false

不同偶联物与剂型 (1)

  • Carrier free

    Anti-CEACAM1 antibody [EPR4048] - BSA and Azide free

关键信息

宿主种属

Rabbit

克隆

Monoclonal

克隆号

EPR4048

亚型

IgG

不含载体蛋白

No

反应种属

Human

应用

IHC-P, WB

applications

免疫原

The exact immunogen used to generate this antibody is proprietary information.

反应性数据

{ "title": "Reactivity Data", "filters": { "stats": ["", "Species", "Dilution Info", "Notes"], "tabs": { "all-applications": {"fullname" : "All Applications", "shortname": "All Applications"}, "WB" : {"fullname" : "Western blot", "shortname":"WB"}, "IHCP" : {"fullname" : "Immunohistochemistry (Formalin/PFA-fixed paraffin-embedded sections)", "shortname":"IHC-P"}, "ICCIF" : {"fullname" : "Immunocytochemistry/ Immunofluorescence", "shortname":"ICC/IF"}, "IP" : {"fullname" : "Immunoprecipitation", "shortname":"IP"}, "FlowCyt" : {"fullname" : "Flow Cytometry", "shortname":"Flow Cyt"} }, "product-promise": { "all": "all", "testedAndGuaranteed": "tested", "guaranteed": "expected", "predicted": "predicted", "notRecommended": "not-recommended" } }, "values": { "Human": { "WB-species-checked": "testedAndGuaranteed", "WB-species-dilution-info": "1/1000 - 1/10000", "WB-species-notes": "<p></p>", "IHCP-species-checked": "testedAndGuaranteed", "IHCP-species-dilution-info": "1/100 - 1/2000", "IHCP-species-notes": "<p></p>", "ICCIF-species-checked": "notRecommended", "ICCIF-species-dilution-info": "", "ICCIF-species-notes": "<p></p>", "IP-species-checked": "notRecommended", "IP-species-dilution-info": "", "IP-species-notes": "<p></p>", "FlowCyt-species-checked": "notRecommended", "FlowCyt-species-dilution-info": "", "FlowCyt-species-notes": "<p></p>" }, "Recombinant fragment - Human": { "WB-species-checked": "testedAndGuaranteed", "WB-species-dilution-info": "1/1000 - 1/10000", "WB-species-notes": "<p></p>", "IHCP-species-checked": "notRecommended", "IHCP-species-dilution-info": "", "IHCP-species-notes": "", "ICCIF-species-checked": "notRecommended", "ICCIF-species-dilution-info": "", "ICCIF-species-notes": "", "IP-species-checked": "notRecommended", "IP-species-dilution-info": "", "IP-species-notes": "", "FlowCyt-species-checked": "notRecommended", "FlowCyt-species-dilution-info": "", "FlowCyt-species-notes": "" }, "Transfected cell line - Human": { "WB-species-checked": "notRecommended", "WB-species-dilution-info": "", "WB-species-notes": "", "IHCP-species-checked": "testedAndGuaranteed", "IHCP-species-dilution-info": "1/100 - 1/2000", "IHCP-species-notes": "<p></p>", "ICCIF-species-checked": "notRecommended", "ICCIF-species-dilution-info": "", "ICCIF-species-notes": "", "IP-species-checked": "notRecommended", "IP-species-dilution-info": "", "IP-species-notes": "", "FlowCyt-species-checked": "notRecommended", "FlowCyt-species-dilution-info": "", "FlowCyt-species-notes": "" } } }

产品详情

Species reactivity
Mouse, Rat: We have preliminary internal testing data to indicate this antibody may not react with these species.
Please contact us for more information.

Patented technology
Our RabMAb® technology is a patented hybridoma-based technology for making rabbit monoclonal antibodies. For details on our patents, please refer to RabMAb® patents.

What are the advantages of a recombinant monoclonal antibody?
This product is a recombinant monoclonal antibody, which offers several advantages including:

  • - High batch-to-batch consistency and reproducibility
  • - Improved sensitivity and specificity
  • - Long-term security of supply
  • - Animal-free batch production

For more information, read more on recombinant antibodies.

性能和储存信息

形式
Liquid
纯化工艺
Affinity purification Protein A
存储溶液
pH: 7.2 - 7.4 Preservative: 0.05% Sodium azide Constituents: 50% Tissue culture supernatant, 40% Glycerol (glycerin, glycerine), 9.85% Tris glycine, 0.1% BSA
运输条件
Blue Ice
推荐的短期储存条件
+4°C
推荐的长期储存条件
-20°C
储存信息
Stable for 12 months at -20°C

补充信息

This supplementary information is collated from multiple sources and compiled automatically.

CEACAM1 also known as CD66a is a cell adhesion molecule that plays a critical role in various cellular processes. The protein weighs around 120 kDa and is part of the immunoglobulin superfamily. CEACAM1 is expressed on the surface of various cell types including epithelial cells leukocytes and endothelial cells. The presence of CEACAM1 is important in tissues such as the liver lungs and gastrointestinal tract where it performs essential roles in cell signaling and communication.
Biological function summary

CEACAM1 influences cellular adhesion and immune responses by mediating cell-cell interactions. It forms homophilic dimers at the cell surface and it can participate in heterophilic interactions with other proteins making it part of complex cell signaling networks. These interactions regulate immune cell functions contributing to innate immune responses and cellular homeostasis. CEACAM1 also modulates angiogenesis endothelial cell permeability and apoptosis.

Pathways

CEACAM1 is involved in signaling and regulatory pathways important for immune surveillance and inflammation. It is a part of the TGF-beta signaling pathway affecting cellular proliferation and differentiation. CEACAM1 interacts with proteins such as SHP-1 and SHP-2 which are essential in modulating immune responses. Additionally CEACAM1 influences the MAPK/ERK pathway which plays a role in cell growth and survival.

CEACAM1 is associated with cancer and inflammatory diseases. In colorectal cancer altered expression of CEACAM1 contributes to tumor progression and metastasis. The protein also plays a role in inflammatory bowel disease where it affects the epithelial barrier function and immune cell interaction. Through these conditions CEACAM1 interacts with other proteins like CEA and IL-6 which are pivotal in disease development and progression.

产品实验方案

For this product, it's our understanding that no specific protocols are required. You can visit:

靶点信息

Isoform 1. Cell adhesion protein that mediates homophilic cell adhesion in a calcium-independent manner (By similarity). Plays a role as coinhibitory receptor in immune response, insulin action and functions also as an activator during angiogenesis (PubMed : 18424730, PubMed : 23696226, PubMed : 25363763). Its coinhibitory receptor function is phosphorylation- and PTPN6 -dependent, which in turn, suppress signal transduction of associated receptors by dephosphorylation of their downstream effectors. Plays a role in immune response, of T cells, natural killer (NK) and neutrophils (PubMed : 18424730, PubMed : 23696226). Upon TCR/CD3 complex stimulation, inhibits TCR-mediated cytotoxicity by blocking granule exocytosis by mediating homophilic binding to adjacent cells, allowing interaction with and phosphorylation by LCK and interaction with the TCR/CD3 complex which recruits PTPN6 resulting in dephosphorylation of CD247 and ZAP70 (PubMed : 18424730). Also inhibits T cell proliferation and cytokine production through inhibition of JNK cascade and plays a crucial role in regulating autoimmunity and anti-tumor immunity by inhibiting T cell through its interaction with HAVCR2 (PubMed : 25363763). Upon natural killer (NK) cells activation, inhibit KLRK1-mediated cytolysis of CEACAM1-bearing tumor cells by trans-homophilic interactions with CEACAM1 on the target cell and lead to cis-interaction between CEACAM1 and KLRK1, allowing PTPN6 recruitment and then VAV1 dephosphorylation (PubMed : 23696226). Upon neutrophils activation negatively regulates IL1B production by recruiting PTPN6 to a SYK-TLR4-CEACAM1 complex, that dephosphorylates SYK, reducing the production of reactive oxygen species (ROS) and lysosome disruption, which in turn, reduces the activity of the inflammasome. Down-regulates neutrophil production by acting as a coinhibitory receptor for CSF3R by down-regulating the CSF3R-STAT3 pathway through recruitment of PTPN6 that dephosphorylates CSF3R (By similarity). Also regulates insulin action by promoting INS clearance and regulating lipogenesis in liver through regulating insulin signaling (By similarity). Upon INS stimulation, undergoes phosphorylation by INSR leading to INS clearance by increasing receptor-mediated insulin endocytosis. This inernalization promotes interaction with FASN leading to receptor-mediated insulin degradation and to reduction of FASN activity leading to negative regulation of fatty acid synthesis. INSR-mediated phosphorylation also provokes a down-regulation of cell proliferation through SHC1 interaction resulting in decrease coupling of SHC1 to the MAPK3/ERK1-MAPK1/ERK2 and phosphatidylinositol 3-kinase pathways (By similarity). Functions as activator in angiogenesis by promoting blood vessel remodeling through endothelial cell differentiation and migration and in arteriogenesis by increasing the number of collateral arteries and collateral vessel calibers after ischemia. Also regulates vascular permeability through the VEGFR2 signaling pathway resulting in control of nitric oxide production (By similarity). Down-regulates cell growth in response to EGF through its interaction with SHC1 that mediates interaction with EGFR resulting in decrease coupling of SHC1 to the MAPK3/ERK1-MAPK1/ERK2 pathway (By similarity). Negatively regulates platelet aggregation by decreasing platelet adhesion on type I collagen through the GPVI-FcRgamma complex (By similarity). Inhibits cell migration and cell scattering through interaction with FLNA; interferes with the interaction of FLNA with RALA (PubMed : 16291724). Mediates bile acid transport activity in a phosphorylation dependent manner (By similarity). Negatively regulates osteoclastogenesis (By similarity).. Isoform 8. Cell adhesion protein that mediates homophilic cell adhesion in a calcium-independent manner (By similarity). Promotes populations of T cells regulating IgA production and secretion associated with control of the commensal microbiota and resistance to enteropathogens (By similarity).
See full target information CEACAM1

文献 (1)

Recent publications for all applications. Explore the full list and refine your search

Oncology letters 15:3496-3503 PubMed29467871

2018

Abnormal expression of circulating and tumor-infiltrating carcinoembryonic antigen-related cell adhesion molecule 1 in patients with glioma.

Applications

Unspecified application

Species

Unspecified reactive species

Jinhu Li,Xiaodong Liu,Yijun Duan,Hongqin Wang,Wen Su,Yazhou Wang,Guotao Zhuang,Yimin Fan
View all publications

Abcam Product Promise

我们致力于为您的研究提供高质量的试剂,为您科研的每一步提供支持。若我们的产品未能达到预期性能,我们向您提供 Abcam Product Promise 保障。
详情请参阅我们的条款与条件。

Please note: All products are 'FOR RESEARCH USE ONLY. NOT FOR USE IN DIAGNOSTIC OR THERAPEUTIC PROCEDURES'.

For licensing inquiries, please contact partnerships@abcam.com