JavaScript is disabled in your browser. Please enable JavaScript to view this website.
AB239364

重组Anti-Cdk9抗体[EPR22956-37] - ChIP Grade

Anti-Cdk9 antibody [EPR22956-37] - ChIP Grade

  • BOND RX™ Validated
  • RabMAb
  • Advanced Validation
  • Recombinant
  • 了解详情

Be the first to review this product! Submit a review

|

(13 Publications)

Anti-Cdk9 antibody [EPR22956-37] - ChIP Grade (ab239364) is a rabbit monoclonal antibody detecting Cdk9 in Western Blot, Flow Cytometry (Intra), Flow Cytometry, IP, IHC-P, ICC/IF, ChIP. Suitable for Human, Mouse, Rat.

- Biophysical QC for unrivalled batch-batch consistency

查看别名

CDC2L4, TAK, CDK9, Cyclin-dependent kinase 9, C-2K, Cell division cycle 2-like protein kinase 4, Cell division protein kinase 9, Serine/threonine-protein kinase PITALRE, Tat-associated kinase complex catalytic subunit

15 Images
Immunocytochemistry/ Immunofluorescence - Anti-Cdk9 antibody [EPR22956-37] - ChIP Grade (AB239364)
  • ICC/IF

Unknown

Immunocytochemistry/ Immunofluorescence - Anti-Cdk9 antibody [EPR22956-37] - ChIP Grade (AB239364)

Immunofluorescent analysis of 4% Paraformaldehyde-fixed, 0.1% TritonX-100 permeabilized HeLa (human cervix adenocarcinoma epithelial cell) cells labelling CDK9 with ab239364 at 1/100 (6 ug/ml) dilution, followed by ab150077 AlexaFluor®488 Goat anti-Rabbit secondary antibody at 1/1000 (2 ug/ml) dilution (Green). Confocal image showing nuclear staining in HeLa cell line is observed. ab195889 Anti-alpha Tubulin antibody [DM1A] - Microtubule Marker (Alexa Fluor® 594) was used to counterstain tubulin at 1/200 dilution (Red). The Nuclear counterstain was DAPI (Blue).

Secondary antibody only control : Secondary antibody is ab239364 anti-CDK9 ab150077 AlexaFluor®488 Goat anti-Rabbit secondary at 1/1000 (2 ug/ml) dilution.

Flow Cytometry (Intracellular) - Anti-Cdk9 antibody [EPR22956-37] - ChIP Grade (AB239364)
  • Flow Cyt (Intra)

Unknown

Flow Cytometry (Intracellular) - Anti-Cdk9 antibody [EPR22956-37] - ChIP Grade (AB239364)

Intracellular flow cytometric analysis of 4% paraformaldehyde fixed 90% methanol permeabilized HeLa (Human cervix adenocarcinoma) cells labelling CDK9 with ab239364 at 1/600 (Red) compared with a Rabbit monoclonal IgG (ab172730) / Black isotype control and an unlabelled control (cells without incubation with primary antibody and secondary antibody) (Blue). A Goat anti rabbit IgG (Alexa Fluor® 488, ab150077) at 1/2000 dilution was used as the secondary antibody.

Immunohistochemistry (Formalin/PFA-fixed paraffin-embedded sections) - Anti-Cdk9 antibody [EPR22956-37] - ChIP Grade (AB239364)
  • IHC-P

Unknown

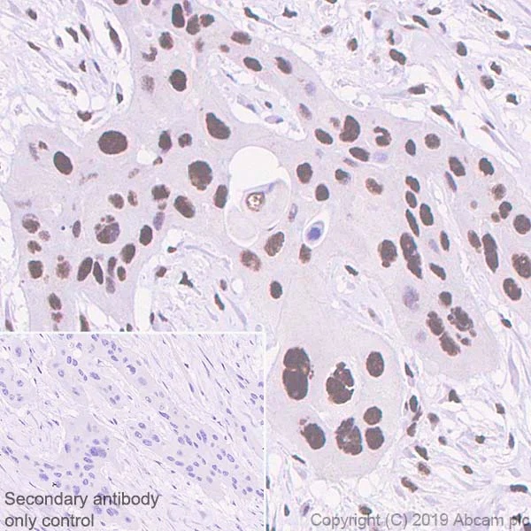
Immunohistochemistry (Formalin/PFA-fixed paraffin-embedded sections) - Anti-Cdk9 antibody [EPR22956-37] - ChIP Grade (AB239364)

Immunohistochemical analysis of paraffin-embedded Human pancreatic cancer tissue labeling CDK9 with ab239364 at 1/2000 dilution (0.30 ug/ml) followed by a ready to use Rabbit specific IHC polymer detection kit HRP/DAB (ab209101). Nuclear staining on human pancreatic cancer (PMID : 28231737) The section was incubated with ab239364 for 10 mins at RT. The immunostaining was performed on a Leica Biosystems BOND® RX instrument. Counterstained with Hematoxylin.

Secondary antibody only control : Secondary antibody is a ready to use Rabbit specific IHC polymer detection kit HRP/DAB (ab209101).

Heat mediated antigen retrieval with Tris-EDTA buffer (pH 9.0, epitope retrieval solution 2) for 20 mins.

Immunohistochemistry (Formalin/PFA-fixed paraffin-embedded sections) - Anti-Cdk9 antibody [EPR22956-37] - ChIP Grade (AB239364)
  • IHC-P

Unknown

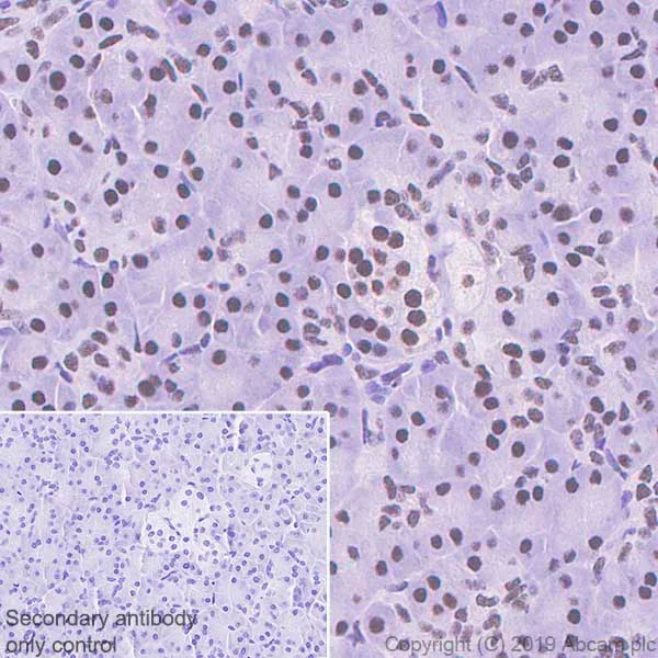
Immunohistochemistry (Formalin/PFA-fixed paraffin-embedded sections) - Anti-Cdk9 antibody [EPR22956-37] - ChIP Grade (AB239364)

Immunohistochemical analysis of paraffin-embedded Human pancreas tissue labeling CDK9 with ab239364 at 1/2000 dilution (0.30 ug/ml) followed by a ready to use Rabbit specific IHC polymer detection kit HRP/DAB (ab209101). Nuclear staining on human pancreas (PMID : 28231737) The section was incubated with ab239364 for 10 mins at RT. The immunostaining was performed on a Leica Biosystems BOND® RX instrument. Counterstained with Hematoxylin.

Secondary antibody only control : Secondary antibody is a ready to use Rabbit specific IHC polymer detection kit HRP/DAB (ab209101).

Heat mediated antigen retrieval with Tris-EDTA buffer (pH 9.0, epitope retrieval solution 2) for 20 mins.

ChIP - Anti-Cdk9 antibody [EPR22956-37] - ChIP Grade (AB239364)
  • ChIP

Unknown

ChIP - Anti-Cdk9 antibody [EPR22956-37] - ChIP Grade (AB239364)

Chromatin was prepared from HeLa cells according to the Abcam Dual-X-ChIP protocol. Cells were fixed with 1.5 mM EGS for 30mins and then formaldehyde for 10min.
The ChIP was performed with 25 μg of chromatin, 5 μg of ab239364 (red), or 5 μg of rabbit normal IgG ab172730 (gray) and 20 μl of Protein A/G Sepharose beads. The immunoprecipitated DNA was quantified by real time PCR (Taqman approach for active and inactive loci, Sybr green approach for heterochromatic loci).
Primers and probes are from paper PMCID : PMC2756882.

ChIP-sequencing - Anti-Cdk9 antibody [EPR22956-37] - ChIP Grade (AB239364)
  • ChIP-seq

Supplier Data

ChIP-sequencing - Anti-Cdk9 antibody [EPR22956-37] - ChIP Grade (AB239364)

Chromatin was prepared from HeLa cells. Cells were fixed with 1% formaldehyde for 10 minutes. ChIP was performed with 10^7 HeLa cells and 8 μg of ab239364 [EPR22956-37]. ChIP DNA was sequenced on the Illumina NovaSeq 6000 to a depth of 30 million reads. Additional screenshots of mapped reads can be downloaded here.

Flow Cytometry (Intracellular) - Anti-Cdk9 antibody [EPR22956-37] - ChIP Grade (AB239364)
  • Flow Cyt (Intra)

Unknown

Flow Cytometry (Intracellular) - Anti-Cdk9 antibody [EPR22956-37] - ChIP Grade (AB239364)

Intracellular flow cytometric analysis of 4% paraformaldehyde fixed 90% methanol permeabilized NIH/3T3 (Mouse embryo) cells labelling CDK9 with ab239364 at 1/600 (Red) compared with a Rabbit monoclonal IgG (ab172730) / Black isotype control and an unlabelled control (cells without incubation with primary antibody and secondary antibody) (Blue). A Goat anti rabbit IgG (Alexa Fluor® 488, ab150077) at 1/2000 dilution was used as the secondary antibody.

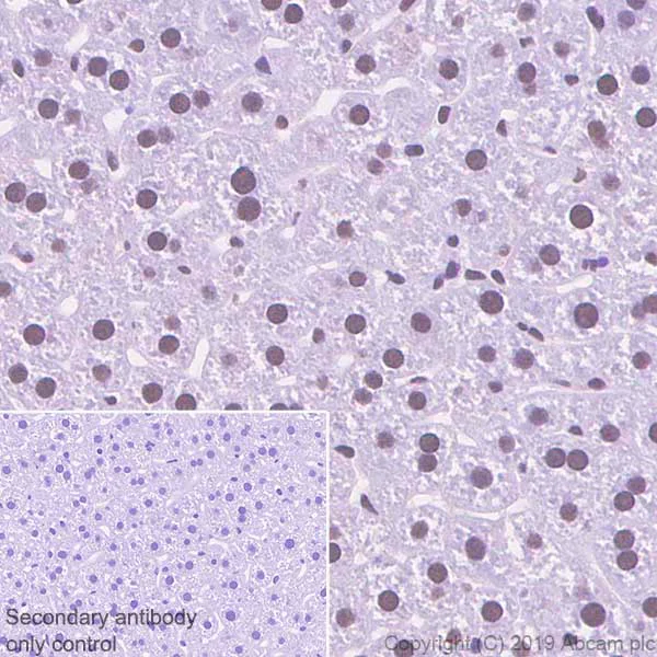
Immunohistochemistry (Formalin/PFA-fixed paraffin-embedded sections) - Anti-Cdk9 antibody [EPR22956-37] - ChIP Grade (AB239364)
  • IHC-P

Unknown

Immunohistochemistry (Formalin/PFA-fixed paraffin-embedded sections) - Anti-Cdk9 antibody [EPR22956-37] - ChIP Grade (AB239364)

Immunohistochemical analysis of paraffin-embedded Mouse liver tissue labeling CDK9 with ab239364 at 1/2000 dilution (0.30 ug/ml) followed by a ready to use Rabbit specific IHC polymer detection kit HRP/DAB (ab209101). Nuclear staining on mouse liver (PMID : 9766517, 11282025) The section was incubated with ab239364 for 10 mins at RT. The immunostaining was performed on a Leica Biosystems BOND® RX instrument. Counterstained with Hematoxylin.

Secondary antibody only control : Secondary antibody is a ready to use Rabbit specific IHC polymer detection kit HRP/DAB (ab209101).

Heat mediated antigen retrieval with Tris-EDTA buffer (pH 9.0, epitope retrieval solution 2) for 20 mins.

Immunocytochemistry/ Immunofluorescence - Anti-Cdk9 antibody [EPR22956-37] - ChIP Grade (AB239364)
  • ICC/IF

Unknown

Immunocytochemistry/ Immunofluorescence - Anti-Cdk9 antibody [EPR22956-37] - ChIP Grade (AB239364)

Immunofluorescent analysis of 4% Paraformaldehyde-fixed, 0.1% TritonX-100 permeabilized NIH/3T3 (mouse embryonic fibroblast) cells labelling CDK9 with ab239364 at 1/100 (6 ug/ml) dilution, followed by ab150077 AlexaFluor®488 Goat anti-Rabbit secondary antibody at 1/1000 (2 ug/ml) dilution (Green). Confocal image showing nuclear staining in NIH/3T3 cell line is observed. ab195889 Anti-alpha Tubulin antibody [DM1A] - Microtubule Marker (Alexa Fluor® 594) was used to counterstain tubulin at 1/200 dilution (Red). The Nuclear counterstain was DAPI (Blue).

Secondary antibody only control : Secondary antibody is ab239364 anti-CDK9 ab150077 AlexaFluor®488 Goat anti-Rabbit secondary at 1/1000 (2 ug/ml) dilution.

Immunohistochemistry (Formalin/PFA-fixed paraffin-embedded sections) - Anti-Cdk9 antibody [EPR22956-37] - ChIP Grade (AB239364)
  • IHC-P

Unknown

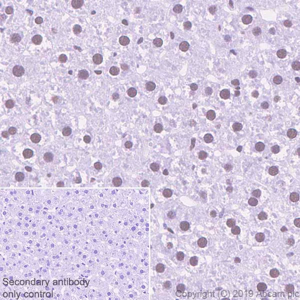
Immunohistochemistry (Formalin/PFA-fixed paraffin-embedded sections) - Anti-Cdk9 antibody [EPR22956-37] - ChIP Grade (AB239364)

Immunohistochemical analysis of paraffin-embedded Rat liver tissue labeling CDK9 with ab239364 at 1/2000 dilution (0.30 ug/ml) followed by a ready to use Rabbit specific IHC polymer detection kit HRP/DAB (ab209101). Nuclear staining on rat liver (PMID : 9766517, 11282025). The section was incubated with ab239364 for 10 mins at RT. The immunostaining was performed on a Leica Biosystems BOND® RX instrument. Counterstained with Hematoxylin.

Secondary antibody only control : Secondary antibody is a ready to use Rabbit specific IHC polymer detection kit HRP/DAB (ab209101).

Heat mediated antigen retrieval with Tris-EDTA buffer (pH 9.0, epitope retrieval solution 2) for 20 mins.

ChIP - Anti-Cdk9 antibody [EPR22956-37] - ChIP Grade (AB239364)
  • ChIP

Lab

ChIP - Anti-Cdk9 antibody [EPR22956-37] - ChIP Grade (AB239364)

Chromatin was prepared from MEF cells according to the Abcam Dual-X-ChIP protocol*. Cells were fixed with 1.5 mM EGS for 30mins and then formaldehyde for 10min. The ChIP was performed with 25 μg of chromatin, 5 μg of ab239364 (red), or 5 μg of rabbit normal IgG ab172730 (gray) and 20 μl of Protein A/G Sepharose beads. The immunoprecipitated DNA was quantified by real time PCR (Taqman approach for active and inactive loci, Sybr green approach for heterochromatic loci).

Primers and probes are from paper PMC4103662 (PMID : 23663783)
*http : //www.abcam.com/resources?keywords=X%20ChIP%20protocol

Immunoprecipitation - Anti-Cdk9 antibody [EPR22956-37] - ChIP Grade (AB239364)
  • IP

Unknown

Immunoprecipitation - Anti-Cdk9 antibody [EPR22956-37] - ChIP Grade (AB239364)

CDK9 was immunoprecipitated from 0.35 mg NIH/3T3 (mouse embryonic fibroblast), whole cell lysate 10 ug with ab239364 at 1/30 dilution (2ug in 0.35mg lysates). Western blot was performed on the immunoprecipitate using ab239364 at 1/1000 dilution. VeriBlot for IP Detection Reagent (HRP) (ab131366) was used at 1/5000 dilution.

Lane 1 : NIH/3T3 (mouse embryonic fibroblast), whole cell lysate 10 ug

Lane 2 : ab239364 IP in NIH/3T3 whole cell lysate

Lane 3 : Rabbit monoclonal IgG (ab172730) instead of ab239364 in NIH/3T3 whole cell lysate

Blocking and dilution buffer and concentration : 5% NFDM/TBST.

Exposure time : 6 seconds

All lanes:

Immunoprecipitation - Anti-Cdk9 antibody [EPR22956-37] - ChIP Grade (ab239364)

Predicted band size: 43 kDa

Observed band size: 42 kDa,55 kDa

false

Western blot - Anti-Cdk9 antibody [EPR22956-37] - ChIP Grade (AB239364)
  • WB

Lab

Western blot - Anti-Cdk9 antibody [EPR22956-37] - ChIP Grade (AB239364)

Blocking and Dilution Buffer and concentration : 5% NFDM/TBST

Exposure times.

Lanes 1-3 : 36 seconds Lanes 4-5 : 5.5 seconds Lane 6 : 3 minutes Lanes 7-8 : 15 seconds Lane 9 : 48 seconds

All lanes:

Western blot - Anti-Cdk9 antibody [EPR22956-37] - ChIP Grade (ab239364) at 1/1000 dilution

Lane 1:

293T (human embryonic kidney epithelial cell), whole cell lysate at 10 µg

Lane 2:

HeLa (human cervix adenocarcinoma epithelial cell), whole cell lysate at 10 µg

Lane 3:

Mouse lung tissue lysate at 20 µg

Lane 4:

RAW264.7 (mouse Abelson murine leukemia virus-induced tumor macrophage), whole cell lysate at 10 µg

Lane 5:

Mouse brain tissue lysate 20 ug

Lane 6:

Rat lung tissue lysate at 20 µg

Lane 7:

PC-12 (rat adrenal gland pheochromocytoma), whole cell lysate at 10 µg

Lane 8:

NIH/3T3 (mouse embryonic fibroblast), whole cell lysate at 10 µg

Lane 9:

C6 (rat glial tumor glial cell) whole cell lysate at 10 µg

Secondary

Lanes 1, 2, 3, 4, 5, 7, 8 and 9:

Western blot - Goat Anti-Rabbit IgG H&L (HRP) (<a href='/products/secondary-antibodies/goat-rabbit-igg-h-l-hrp-ab97051'>ab97051</a>) at 1/100000 dilution

Lane 6:

Western blot - VeriBlot for IP Detection Reagent (HRP) (<a href='/products/reagents/veriblot-for-ip-detection-reagent-hrp-ab131366'>ab131366</a>) at 1/1000 dilution

Predicted band size: 43 kDa

Observed band size: 42 kDa,55 kDa

false

ChIC/CUT&RUN sequencing - Anti-Cdk9 antibody [EPR22956-37] - ChIP Grade (AB239364)
  • ChIC/CUT&RUN-seq

Supplier Data

ChIC/CUT&RUN sequencing - Anti-Cdk9 antibody [EPR22956-37] - ChIP Grade (AB239364)

CUT&RUN was performed using the ChIC/CUT&RUN pAG-MNAse ab285373, 105 HeLa cells and 5μg of ab239364 [EPR22956-37]. The resulting DNA was sequenced on the Illumina NovaSeq 6000 to a depth of 10 million reads. The ChIP data was conducted on chromatin prepared from HeLa cells. Cells were fixed with 1% formaldehyde for 10 minutes. ChIP was performed with 107 HeLa cells and 4 μg of ab239364 [EPR22956-37]. ChIP DNA was sequenced on the Illumina NovaSeq 6000 to a depth of 30 million reads. Additional screenshots of mapped reads can be downloaded here.

ChIC/CUT&RUN sequencing - Anti-Cdk9 antibody [EPR22956-37] - ChIP Grade (AB239364)
  • ChIC/CUT&RUN-seq

Supplier Data

ChIC/CUT&RUN sequencing - Anti-Cdk9 antibody [EPR22956-37] - ChIP Grade (AB239364)

ChIC/CUT&RUN was performed using a pAG-MNAse at a final concentration of 700 ng/mL, 2 x 10^5 HeLa (Human cervix adenocarcinoma epithelial cell line) cells and 5 µg of ab239364 [EPR22956-37]. The resulting DNA was sequenced on the Illumina NovaSeq 6000 to a depth of 10 million reads. The negative IgG control ab172730 is also shown. The ChIP data was conducted on chromatin prepared from HeLa cells. Cells were fixed with 1% formaldehyde for 10 minutes. ChIP was performed with 10^7 HeLa cells and 8 µg of ab239364. ChIP DNA was sequenced on the Illumina NovaSeq 6000 to a depth of 30 million reads. Additional screenshots of mapped reads can be found in the Protocol booklet in the Product Protocol section. The University of Geneva owns patents relevant to ChIC (Chromatin Immuno-Cleavage) methods.

不同偶联物与剂型 (1)

  • Carrier free

    Anti-Cdk9 antibody [EPR22956-37] - ChIP Grade - BSA and Azide free

关键信息

宿主种属

Rabbit

克隆

Monoclonal

克隆号

EPR22956-37

亚型

IgG

不含载体蛋白

No

反应种属

Mouse, Rat, Human

应用

IP, ChIC/CUT&RUN-seq, ICC/IF, WB, ChIP-seq, IHC-P, ChIP, Flow Cyt (Intra)

applications

免疫原

The exact immunogen used to generate this antibody is proprietary information.

反应性数据

{ "title": "Reactivity Data", "filters": { "stats": ["", "Species", "Dilution Info", "Notes"], "tabs": { "all-applications": {"fullname" : "All Applications", "shortname": "All Applications"}, "ChICCUTRUNseq" : {"fullname" : "ChIC/CUT&RUN sequencing", "shortname":"ChIC/CUT&RUN-seq"}, "IP" : {"fullname" : "Immunoprecipitation", "shortname":"IP"}, "ChIP" : {"fullname" : "ChIP", "shortname":"ChIP"}, "WB" : {"fullname" : "Western blot", "shortname":"WB"}, "ICCIF" : {"fullname" : "Immunocytochemistry/ Immunofluorescence", "shortname":"ICC/IF"}, "ChIPseq" : {"fullname" : "ChIP-sequencing", "shortname":"ChIP-seq"}, "FlowCytIntra" : {"fullname" : "Flow Cytometry (Intracellular)", "shortname":"Flow Cyt (Intra)"}, "IHCP" : {"fullname" : "Immunohistochemistry (Formalin/PFA-fixed paraffin-embedded sections)", "shortname":"IHC-P"} }, "product-promise": { "all": "all", "testedAndGuaranteed": "tested", "guaranteed": "expected", "predicted": "predicted", "notRecommended": "not-recommended" } }, "values": { "Human": { "ChICCUTRUNseq-species-checked": "testedAndGuaranteed", "ChICCUTRUNseq-species-dilution-info": "5 µg", "ChICCUTRUNseq-species-notes": "<p></p>", "IP-species-checked": "guaranteed", "IP-species-dilution-info": "", "IP-species-notes": "", "ChIP-species-checked": "testedAndGuaranteed", "ChIP-species-dilution-info": "5 µg for 25 µg chromatin", "ChIP-species-notes": "<p></p>", "WB-species-checked": "testedAndGuaranteed", "WB-species-dilution-info": "1/1000", "WB-species-notes": "<p></p>", "ICCIF-species-checked": "testedAndGuaranteed", "ICCIF-species-dilution-info": "1/100", "ICCIF-species-notes": "<p></p>", "ChIPseq-species-checked": "testedAndGuaranteed", "ChIPseq-species-dilution-info": "8 µg for 10^7 Cells", "ChIPseq-species-notes": "<p></p>", "FlowCytIntra-species-checked": "testedAndGuaranteed", "FlowCytIntra-species-dilution-info": "1/600", "FlowCytIntra-species-notes": "<p></p>", "IHCP-species-checked": "testedAndGuaranteed", "IHCP-species-dilution-info": "1/2000", "IHCP-species-notes": "<p>Heat mediated antigen retrieval with Tris-EDTA buffer (pH 9.0, epitope retrieval solution 2) for 20 mins.</p> Perform heat-mediated antigen retrieval with Tris/EDTA buffer pH 9.0 before commencing with IHC staining protocol." }, "Mouse": { "ChICCUTRUNseq-species-checked": "guaranteed", "ChICCUTRUNseq-species-dilution-info": "", "ChICCUTRUNseq-species-notes": "", "IP-species-checked": "testedAndGuaranteed", "IP-species-dilution-info": "1/30", "IP-species-notes": "<p></p>", "ChIP-species-checked": "testedAndGuaranteed", "ChIP-species-dilution-info": "5 µg for 25 µg chromatin", "ChIP-species-notes": "<p></p>", "WB-species-checked": "testedAndGuaranteed", "WB-species-dilution-info": "1/1000", "WB-species-notes": "<p></p>", "ICCIF-species-checked": "testedAndGuaranteed", "ICCIF-species-dilution-info": "1/100", "ICCIF-species-notes": "<p></p>", "ChIPseq-species-checked": "guaranteed", "ChIPseq-species-dilution-info": "", "ChIPseq-species-notes": "", "FlowCytIntra-species-checked": "testedAndGuaranteed", "FlowCytIntra-species-dilution-info": "1/600", "FlowCytIntra-species-notes": "<p></p>", "IHCP-species-checked": "testedAndGuaranteed", "IHCP-species-dilution-info": "1/2000", "IHCP-species-notes": "<p>Heat mediated antigen retrieval with Tris-EDTA buffer (pH 9.0, epitope retrieval solution 2) for 20 mins.</p> Perform heat-mediated antigen retrieval with Tris/EDTA buffer pH 9.0 before commencing with IHC staining protocol." }, "Rat": { "ChICCUTRUNseq-species-checked": "guaranteed", "ChICCUTRUNseq-species-dilution-info": "", "ChICCUTRUNseq-species-notes": "", "IP-species-checked": "guaranteed", "IP-species-dilution-info": "", "IP-species-notes": "", "ChIP-species-checked": "guaranteed", "ChIP-species-dilution-info": "", "ChIP-species-notes": "", "WB-species-checked": "testedAndGuaranteed", "WB-species-dilution-info": "1/1000", "WB-species-notes": "<p></p>", "ICCIF-species-checked": "guaranteed", "ICCIF-species-dilution-info": "", "ICCIF-species-notes": "", "ChIPseq-species-checked": "guaranteed", "ChIPseq-species-dilution-info": "", "ChIPseq-species-notes": "", "FlowCytIntra-species-checked": "guaranteed", "FlowCytIntra-species-dilution-info": "", "FlowCytIntra-species-notes": "", "IHCP-species-checked": "testedAndGuaranteed", "IHCP-species-dilution-info": "1/2000", "IHCP-species-notes": "<p>Heat mediated antigen retrieval with Tris-EDTA buffer (pH 9.0, epitope retrieval solution 2) for 20 mins.</p> Perform heat-mediated antigen retrieval with Tris/EDTA buffer pH 9.0 before commencing with IHC staining protocol." } } }

产品详情

What is this antibody validated in?
Anti-Cdk9 antibody [EPR22956-37] - ChIP Grade (ab239364) is a rabbit recombinant monoclonal antibody and is validated for use in Western Blot (WB), Flow Cytometry (Intra), Flow Cytometry (Flow Cyt), Immunoprecipitation (IP), Immunohistochemistry (IHC-P), Immunocytochemistry/immunofluorescence (ICC/IF), ChIP in Human, Mouse, Rat samples.

What is the molecular weight of Cdk9?
Anti-Cdk9 [EPR22956-37] - ChIP Grade (ab239364) specifically detects a band for Cdk9 (UniProt: Q99J95) at a molecular weight of 43kDa.

Trial sizes available!
Test your antibody or perform pre-screening before committing to a larger quantity. Sold in 10µl. Discover our selection of trial-size antibodies.

Other related products
We have a range of other formats of antibody clone [EPR22956-37] also available for your convenience: ab239364, Carrier free - ab259268

Patented technology
Our RabMAb® technology is a patented hybridoma-based technology for making rabbit monoclonal antibodies. For details on our patents, please refer to RabMAb® patents.

What are the advantages of a recombinant monoclonal antibody?
This product is a recombinant monoclonal antibody, which offers several advantages including:

  • - High batch-to-batch consistency and reproducibility
  • - Improved sensitivity and specificity
  • - Long-term security of supply
  • - Animal-free batch production

For more information, read more on recombinant antibodies.

性能和储存信息

形式
Liquid
纯化工艺
Affinity purification Protein A
存储溶液
pH: 7.2 - 7.4 Preservative: 0.01% Sodium azide Constituents: PBS, 40% Glycerol (glycerin, glycerine), 0.05% BSA
运输条件
Blue Ice
推荐的短期储存时间
1-2 weeks
推荐的短期储存条件
+4°C
推荐的长期储存条件
-20°C
分装信息
Upon delivery aliquot
储存信息
Avoid freeze / thaw cycle

补充信息

This supplementary information is collated from multiple sources and compiled automatically.

Cyclin-dependent kinase 9 (Cdk9) is a serine/threonine protein kinase involved in regulating transcription elongation. It is often referred to as part of the positive transcription elongation factor b (P-TEFb) complex. Cdk9 partners with cyclin T1 T2 or K to form this complex allowing it to phosphorylate the carboxyl-terminal domain (CTD) of RNA polymerase II. The molecular weight of Cdk9 is around 42 kDa. This protein is ubiquitously expressed found in many tissues including the heart liver and brain reflecting its important role.
Biological function summary

Cdk9 functions as a central component of transcriptional processes. It is essential for the transition of RNA polymerase II from the initiation phase to productive elongation. As part of the P-TEFb complex Cdk9 targets negative elongation factors helping relieve their inhibition. This regulation is especially important in the control of genes with strong promoter proximally paused polymerase. By doing so Cdk9 controls the expression of several genes involved in cell growth differentiation and response to stress.

Pathways

Cdk9 plays a significant role in transcription and signal transduction pathways. One important pathway is the NF-κB signaling where Cdk9 regulates the transcription of NF-κB target genes involved in immune response. Another significant pathway is the heat shock response where Cdk9 enhances the expression of heat shock proteins helping cells deal with stress. In both pathways it cooperates with other proteins like cyclins and negative elongation factors illustrating its interconnected role in cellular function.

Cdk9 has been linked to several conditions most notably cancer and cardiac hypertrophy. Its overactivation can lead to increased transcription of genes involved in proliferation making it a focus for cancer research. Cdk9 is also implicated in cardiac hypertrophy where its activity affects gene expression that can exacerbate the condition. Researchers study its interaction with other proteins such as THZ1 a Cdk9 inhibitor to explore potential therapeutic avenues.

产品实验方案

For this product, it's our understanding that no specific protocols are required. You can visit:

靶点信息

Protein kinase involved in the regulation of transcription (PubMed : 10574912, PubMed : 10757782, PubMed : 11145967, PubMed : 11575923, PubMed : 11809800, PubMed : 11884399, PubMed : 14701750, PubMed : 16109376, PubMed : 16109377, PubMed : 20930849, PubMed : 28426094, PubMed : 29335245). Member of the cyclin-dependent kinase pair (CDK9/cyclin-T) complex, also called positive transcription elongation factor b (P-TEFb), which facilitates the transition from abortive to productive elongation by phosphorylating the CTD (C-terminal domain) of the large subunit of RNA polymerase II (RNAP II) POLR2A, SUPT5H and RDBP (PubMed : 10574912, PubMed : 10757782, PubMed : 11145967, PubMed : 11575923, PubMed : 11809800, PubMed : 11884399, PubMed : 14701750, PubMed : 16109376, PubMed : 16109377, PubMed : 20930849, PubMed : 28426094, PubMed : 30134174). This complex is inactive when in the 7SK snRNP complex form (PubMed : 10574912, PubMed : 10757782, PubMed : 11145967, PubMed : 11575923, PubMed : 11809800, PubMed : 11884399, PubMed : 14701750, PubMed : 16109376, PubMed : 16109377, PubMed : 20930849, PubMed : 28426094). Phosphorylates EP300, MYOD1, RPB1/POLR2A and AR and the negative elongation factors DSIF and NELFE (PubMed : 10912001, PubMed : 11112772, PubMed : 12037670, PubMed : 20081228, PubMed : 20980437, PubMed : 21127351, PubMed : 9857195). Regulates cytokine inducible transcription networks by facilitating promoter recognition of target transcription factors (e.g. TNF-inducible RELA/p65 activation and IL-6-inducible STAT3 signaling) (PubMed : 17956865, PubMed : 18362169). Promotes RNA synthesis in genetic programs for cell growth, differentiation and viral pathogenesis (PubMed : 10393184, PubMed : 11112772). P-TEFb is also involved in cotranscriptional histone modification, mRNA processing and mRNA export (PubMed : 15564463, PubMed : 19575011, PubMed : 19844166). Modulates a complex network of chromatin modifications including histone H2B monoubiquitination (H2Bub1), H3 lysine 4 trimethylation (H3K4me3) and H3K36me3; integrates phosphorylation during transcription with chromatin modifications to control co-transcriptional histone mRNA processing (PubMed : 15564463, PubMed : 19575011, PubMed : 19844166). The CDK9/cyclin-K complex has also a kinase activity towards CTD of RNAP II and can substitute for CDK9/cyclin-T P-TEFb in vitro (PubMed : 21127351). Replication stress response protein; the CDK9/cyclin-K complex is required for genome integrity maintenance, by promoting cell cycle recovery from replication arrest and limiting single-stranded DNA amount in response to replication stress, thus reducing the breakdown of stalled replication forks and avoiding DNA damage (PubMed : 20493174). In addition, probable function in DNA repair of isoform 2 via interaction with KU70/XRCC6 (PubMed : 20493174). Promotes cardiac myocyte enlargement (PubMed : 20081228). RPB1/POLR2A phosphorylation on 'Ser-2' in CTD activates transcription (PubMed : 21127351). AR phosphorylation modulates AR transcription factor promoter selectivity and cell growth. DSIF and NELF phosphorylation promotes transcription by inhibiting their negative effect (PubMed : 10912001, PubMed : 11112772, PubMed : 9857195). The phosphorylation of MYOD1 enhances its transcriptional activity and thus promotes muscle differentiation (PubMed : 12037670). Catalyzes phosphorylation of KAT5, promoting KAT5 recruitment to chromatin and histone acetyltransferase activity (PubMed : 29335245).
See full target information CDK9

文献 (13)

Recent publications for all applications. Explore the full list and refine your search

Signal transduction and targeted therapy 10:280 PubMed40887473

2025

Focal adhesion kinase/Src family kinase axis-mediated tyrosine phosphorylation of metabolic enzymes facilitates tumor metastasis.

Applications

Unspecified application

Species

Unspecified reactive species

Jie Chen,Jing Zhang,Yuheng Zhu,Yanmeng Zhu,Jingyuan Pang,Qingnan Wu,Yan Wang,Qimin Zhan

Theranostics 15:8337-8359 PubMed40860160

2025

CREPT promotes LUAD progression by enhancing the CDK9 and RNAPII assembly to promote ERK-driven gene transcription.

Applications

Unspecified application

Species

Unspecified reactive species

Mengdi Li,Yuting Lin,Jiayu Wang,He Yang,Danhui Ma,Ye Tian,Yi Wang,Liu Yang,Umar Farooq,Yinyin Wang,Fangli Ren,Jian Sheng,Guoqing Zhang,Liang Chen,Jun Li,Xiangnan Li,Zhijie Chang

Translational oncology 56:102389 PubMed40203790

2025

CUL4B regulates thyroid cancer differentiation and treatment sensitivity by ubiquitinating ARID1A.

Applications

Unspecified application

Species

Unspecified reactive species

Haiyan Gu,Bo Han,Jing Hu,Ping Liu,Wenyao Liu,Ying Qu,Lin Zhang,Panpan Li,Gongzheng Wang,Zhiyan Liu,Mei Qi,Feifei Sun

Nature structural & molecular biology 32:995-1005 PubMed39934431

2025

Promoter-proximal RNA polymerase II termination regulates transcription during human cell type transition.

Applications

Unspecified application

Species

Unspecified reactive species

Kseniia Lysakovskaia,Arjun Devadas,Björn Schwalb,Michael Lidschreiber,Patrick Cramer

Biotechnology journal 19:e202400474 PubMed39655408

2024

Selective Recruitment of a Synthetic Histone Acetyltransferase Can Boost CHO Cell Productivity.

Applications

Unspecified application

Species

Unspecified reactive species

Sienna P Butterfield,Rebecca E Sizer,Fay L Saunders,Robert J White

Cell reports 43:114414 PubMed38943643

2024

Retinoic acid enhances HIV-1 reverse transcription and transcription in macrophages via mTOR-modulated mechanisms.

Applications

Unspecified application

Species

Unspecified reactive species

Jonathan Dias,Amélie Cattin,Maryam Bendoumou,Antoine Dutilleul,Robert Lodge,Jean-Philippe Goulet,Augustine Fert,Laurence Raymond Marchand,Tomas Raul Wiche Salinas,Christ-Dominique Ngassaki Yoka,Etiene Moreira Gabriel,Ramon Edwin Caballero,Jean-Pierre Routy,Éric A Cohen,Carine Van Lint,Petronela Ancuta

Cellular & molecular immunology 21:752-769 PubMed38822080

2024

TRIM33 plays a critical role in regulating dendritic cell differentiation and homeostasis by modulating Irf8 and Bcl2l11 transcription.

Applications

Unspecified application

Species

Unspecified reactive species

Xiangyi Shen,Xiaoguang Li,Tao Wu,Tingting Guo,Jiaoyan Lv,Zhimin He,Maocai Luo,Xinyi Zhu,Yujie Tian,Wenlong Lai,Chen Dong,Xiaoyu Hu,Li Wu

Journal of experimental & clinical cancer research : CR 43:116 PubMed38637831

2024

PRMT6-mediated transcriptional activation of ythdf2 promotes glioblastoma migration, invasion, and emt via the wnt-β-catenin pathway.

Applications

Unspecified application

Species

Unspecified reactive species

Peng Yu,Tutu Xu,Wenmeng Ma,Xiang Fang,Yue Bao,Chengran Xu,Jinhai Huang,Yongqing Sun,Guangyu Li

Communications biology 6:86 PubMed36690785

2023

TRIM24 controls induction of latent HIV-1 by stimulating transcriptional elongation.

Applications

Unspecified application

Species

Unspecified reactive species

Riley M Horvath,Matthew Dahabieh,Tom Malcolm,Ivan Sadowski

Scientific reports 13:556 PubMed36631514

2023

Inhibition of the TRIM24 bromodomain reactivates latent HIV-1.

Applications

Unspecified application

Species

Unspecified reactive species

Riley M Horvath,Zabrina L Brumme,Ivan Sadowski
View all publications
chicCutRunSequencingBooklet
en

Abcam Product Promise

我们致力于为您的研究提供高质量的试剂,为您科研的每一步提供支持。若我们的产品未能达到预期性能,我们向您提供 Abcam Product Promise 保障。
详情请参阅我们的条款与条件。

Please note: All products are 'FOR RESEARCH USE ONLY. NOT FOR USE IN DIAGNOSTIC OR THERAPEUTIC PROCEDURES'.

For licensing inquiries, please contact partnerships@abcam.com