JavaScript is disabled in your browser. Please enable JavaScript to view this website.
AB131439

Anti-Cdk6 (phospho Y13)抗体

Anti-Cdk6 (phospho Y13) antibody

Be the first to review this product! Submit a review

|

(3 Publications)

Rabbit Polyclonal CDK6 phospho Y13 antibody. Suitable for WB, IHC-P, ICC/IF and reacts with Human samples. Cited in 3 publications. Immunogen corresponding to Synthetic Peptide within Human CDK6 phospho Y13 conjugated to Keyhole Limpet Haemocyanin.

查看别名

CDKN6, CDK6, Cyclin-dependent kinase 6, Cell division protein kinase 6, Serine/threonine-protein kinase PLSTIRE

3 Images
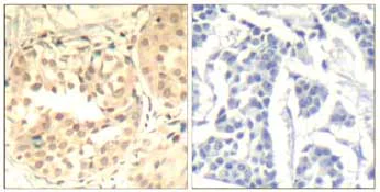
Immunohistochemistry (Formalin/PFA-fixed paraffin-embedded sections) - Anti-Cdk6 (phospho Y13) antibody (AB131439)
  • IHC-P

Unknown

Immunohistochemistry (Formalin/PFA-fixed paraffin-embedded sections) - Anti-Cdk6 (phospho Y13) antibody (AB131439)

Immunohistochemical analysis of paraffin-embedded Human breast carcinoma tissue labelling Cdk6 (phospho Y13) with ab131439 at 1/50 dilution. Right panel was preincubated with blocking peptide.

Immunocytochemistry/ Immunofluorescence - Anti-Cdk6 (phospho Y13) antibody (AB131439)
  • ICC/IF

Unknown

Immunocytochemistry/ Immunofluorescence - Anti-Cdk6 (phospho Y13) antibody (AB131439)

Immunofluorescent analysis of methanol-fixed HeLa cells labelling Cdk6 (phospho Y13) with ab131439 at 1/100 dilution.

Western blot - Anti-Cdk6 (phospho Y13) antibody (AB131439)
  • WB

Unknown

Western blot - Anti-Cdk6 (phospho Y13) antibody (AB131439)

All lanes:

Western blot - Anti-Cdk6 (phospho Y13) antibody (ab131439) at 1/500 dilution

Lane 1:

293 cell extract untreated

Lane 2:

293 cell extract treated with Hydroxyurea

Predicted band size: 37 kDa

false

关键信息

宿主种属

Rabbit

克隆

Polyclonal

亚型

IgG

不含载体蛋白

No

反应种属

Human

应用

WB, ICC/IF, IHC-P

applications

免疫原

Synthetic Peptide within Human CDK6 phospho Y13 conjugated to Keyhole Limpet Haemocyanin. The exact immunogen used to generate this antibody is proprietary information.

Q00534

反应性数据

{ "title": "Reactivity Data", "filters": { "stats": ["", "Species", "Dilution Info", "Notes"], "tabs": { "all-applications": {"fullname" : "All Applications", "shortname": "All Applications"}, "WB" : {"fullname" : "Western blot", "shortname":"WB"}, "IHCP" : {"fullname" : "Immunohistochemistry (Formalin/PFA-fixed paraffin-embedded sections)", "shortname":"IHC-P"}, "ICCIF" : {"fullname" : "Immunocytochemistry/ Immunofluorescence", "shortname":"ICC/IF"} }, "product-promise": { "all": "all", "testedAndGuaranteed": "tested", "guaranteed": "expected", "predicted": "predicted", "notRecommended": "not-recommended" } }, "values": { "Human": { "WB-species-checked": "testedAndGuaranteed", "WB-species-dilution-info": "1/500 - 1/1000", "WB-species-notes": "<p></p>", "IHCP-species-checked": "testedAndGuaranteed", "IHCP-species-dilution-info": "1/50 - 1/100", "IHCP-species-notes": "<p></p>", "ICCIF-species-checked": "testedAndGuaranteed", "ICCIF-species-dilution-info": "1/100 - 1/200", "ICCIF-species-notes": "<p></p>" }, "Rat": { "WB-species-checked": "predicted", "WB-species-dilution-info": "", "WB-species-notes": "", "IHCP-species-checked": "predicted", "IHCP-species-dilution-info": "", "IHCP-species-notes": "", "ICCIF-species-checked": "predicted", "ICCIF-species-dilution-info": "", "ICCIF-species-notes": "" } } }

性能和储存信息

形式
Liquid
纯化工艺
Affinity purification Immunogen
纯化说明
ab131439 was purified by affinity-chromatography using epitope-specific phosphopeptide. Non-phospho specific antibodies were removed by chromatography using non-phosphopeptide.
存储溶液
pH: 7.4 Preservative: 0.02% Sodium azide Constituents: PBS, 50% Glycerol (glycerin, glycerine), 0.88% Sodium chloride
运输条件
Blue Ice
推荐的短期储存条件
+4°C
推荐的长期储存条件
-20°C
储存信息
Stable for 12 months at -20°C

补充信息

This supplementary information is collated from multiple sources and compiled automatically.

Cdk6 also known as Cyclin-dependent kinase 6 is a protein kinase involved in the regulation of the cell cycle. It has a molecular weight of approximately 40 kDa. Cdk6 is expressed in various tissues including lymphoid tissues and the brain. It plays a mechanical role by phosphorylating target proteins which impacts cell cycle progression particularly during the transition from G1 phase to S phase. Cdk6 can work in conjunction with D-type cyclins to form a complex that is critical for its activity.
Biological function summary

Cdk6 functions as a regulator of the cell cycle. It participates in a complex with cyclin D to control the G1 phase progression. This activity is essential for the regulation of cell division and proliferation. The association with cyclin D allows Cdk6 to phosphorylate the retinoblastoma protein (Rb) leading to the release of E2F transcription factors that promote the expression of genes necessary for DNA synthesis.

Pathways

Cdk6 is an important component of the cell cycle control pathway. It interacts primarily with the retinoblastoma protein and Cyclin D1 in this context. The cell cycle pathway is critical for controlled cell proliferation and its dysregulation can lead to diseases like cancer. Another involved pathway is the PI3K/AKT pathway which can activate Cdk6 activity through upstream signaling events implicating Cdk6 in cellular responses to growth signals.

Cdk6 has a significant role in cancer development due to its involvement in uncontrolled cell proliferation. Its overexpression or dysregulation is often linked to cancers such as leukemia and glioblastoma. In cancer the interaction with proteins like cyclin D1 can lead to unchecked progression through the cell cycle contributing to oncogenesis. Additionally Cdk6 inhibitors are being explored as therapeutic agents in cancer treatment due to their potential to restore control over cell cycle progression.

产品实验方案

For this product, it's our understanding that no specific protocols are required. You can visit:

靶点信息

Serine/threonine-protein kinase involved in the control of the cell cycle and differentiation; promotes G1/S transition. Phosphorylates pRB/RB1 and NPM1. Interacts with D-type G1 cyclins during interphase at G1 to form a pRB/RB1 kinase and controls the entrance into the cell cycle. Involved in initiation and maintenance of cell cycle exit during cell differentiation; prevents cell proliferation and negatively regulates cell differentiation, but is required for the proliferation of specific cell types (e.g. erythroid and hematopoietic cells). Essential for cell proliferation within the dentate gyrus of the hippocampus and the subventricular zone of the lateral ventricles. Required during thymocyte development. Promotes the production of newborn neurons, probably by modulating G1 length. Promotes, at least in astrocytes, changes in patterns of gene expression, changes in the actin cytoskeleton including loss of stress fibers, and enhanced motility during cell differentiation. Prevents myeloid differentiation by interfering with RUNX1 and reducing its transcription transactivation activity, but promotes proliferation of normal myeloid progenitors. Delays senescence. Promotes the proliferation of beta-cells in pancreatic islets of Langerhans. May play a role in the centrosome organization during the cell cycle phases (PubMed : 23918663).
See full target information CDK6 phospho Y13

文献 (3)

Recent publications for all applications. Explore the full list and refine your search

Oncology reports 42:1689-1698 PubMed31545465

2019

MicroRNA‑4712‑5p promotes proliferation of the vulvar squamous cell carcinoma cell line A431 by targeting PTEN through the AKT/cyclin D1 signaling pathways.

Applications

Unspecified application

Species

Unspecified reactive species

Shaojie Yang,Yanyan Zhao,Lufang Wang,Chang Liu,Ye Lu,Zhidong Fang,Hongshuang Shi,Wenyi Zhang,Xin Wu

Nature communications 10:2204 PubMed31101827

2019

Targeting cyclin-dependent kinases for the treatment of pulmonary arterial hypertension.

Applications

Unspecified application

Species

Unspecified reactive species

Astrid Weiss,Moritz Christian Neubauer,Dinesh Yerabolu,Baktybek Kojonazarov,Beate Christiane Schlueter,Lavinia Neubert,Danny Jonigk,Nelli Baal,Clemens Ruppert,Peter Dorfmuller,Soni Savai Pullamsetti,Norbert Weissmann,Hossein-Ardeschir Ghofrani,Friedrich Grimminger,Werner Seeger,Ralph Theo Schermuly

Experimental and therapeutic medicine 14:4263-4271 PubMed29075340

2017

Vascular endothelial growth receptor 1 acts as a stress-associated protein in the therapeutic response to thalidomide.

Applications

Unspecified application

Species

Unspecified reactive species

Qin Liu,Tao Yin,Guoping Wang,Fuchun Guo,Yuhong Ou,Yi Li,Yongsheng Wang
View all publications

Abcam Product Promise

我们致力于为您的研究提供高质量的试剂,为您科研的每一步提供支持。若我们的产品未能达到预期性能,我们向您提供 Abcam Product Promise 保障。
详情请参阅我们的条款与条件。

Please note: All products are 'FOR RESEARCH USE ONLY. NOT FOR USE IN DIAGNOSTIC OR THERAPEUTIC PROCEDURES'.

For licensing inquiries, please contact partnerships@abcam.com