JavaScript is disabled in your browser. Please enable JavaScript to view this website.
AB222395

重组Anti-Cdk6抗体[EPR4515] - BSA and Azide free

Anti-Cdk6 antibody [EPR4515] - BSA and Azide free

5

(2 Reviews)

|

(6 Publications)

Knockout Tested Rabbit Recombinant Monoclonal CDK6 antibody. Carrier free. Suitable for IHC-P, ICC/IF, WB, Flow Cyt (Intra) and reacts with Human samples. Cited in 6 publications.

查看别名

CDKN6, CDK6, Cyclin-dependent kinase 6, Cell division protein kinase 6, Serine/threonine-protein kinase PLSTIRE

9 Images
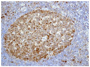
Immunohistochemistry (Formalin/PFA-fixed paraffin-embedded sections) - Anti-Cdk6 antibody [EPR4515] - BSA and Azide free (AB222395)
  • IHC-P

Unknown

Immunohistochemistry (Formalin/PFA-fixed paraffin-embedded sections) - Anti-Cdk6 antibody [EPR4515] - BSA and Azide free (AB222395)

ab124821 at 1/100 dilution, staining Cdk6 in formalin-fixed paraffin-embedded human tonsil tissue by immunohistochemistry.

Perform heat mediated antigen retrieval before commencing with IHC staining protocol.

This data was developed using the same antibody clone in a different buffer formulation containing PBS, BSA, glycerol, and sodium azide (ab124821).

Immunocytochemistry/ Immunofluorescence - Anti-Cdk6 antibody [EPR4515] - BSA and Azide free (AB222395)
  • ICC/IF

Lab

Immunocytochemistry/ Immunofluorescence - Anti-Cdk6 antibody [EPR4515] - BSA and Azide free (AB222395)

ab124821 staining Cdk6 in wild-type HAP1 cells (top panel) and Cdk6 knockout HAP1 cells (bottom panel). The cells were fixed with 4% formaldehyde (10min), permeabilized with 0.1% Triton X-100 for 5 minutes and then blocked with 1% BSA/10% normal goat serum/0.3M glycine in 0.1% PBS-Tween for 1h. The cells were then incubated with ab124821 at 1/500 dilution and ab195889 at 1/250 dilution (shown in pseudo colour red) overnight at +4°C, followed by a further incubation at room temperature for 1h with a goat secondary antibody to Rabbit IgG (Alexa Fluor® 488) (ab150081) at 2 μg/ml (shown in green). Nuclear DNA was labelled in blue with DAPI.

This data was developed using the same antibody clone in a different buffer formulation containing PBS, BSA, glycerol, and sodium azide (ab124821).

Immunocytochemistry/ Immunofluorescence - Anti-Cdk6 antibody [EPR4515] - BSA and Azide free (AB222395)
  • ICC/IF

Lab

Immunocytochemistry/ Immunofluorescence - Anti-Cdk6 antibody [EPR4515] - BSA and Azide free (AB222395)

Clone EPR4515 (ab222395) has been successfully conjugated by Abcam. This image was generated using Anti-Cdk6 antibody [EPR4515] (Alexa Fluor® 488). Please refer to ab198944 for protocol details.

ab198944 staining Cdk6 in HeLa cells. The cells were fixed with 100% methanol (5min), permeabilized with 0.1% Triton X-100 for 5 minutes and then blocked with 1% BSA/10% normal goat serum/0.3M glycine in 0.1% PBS-Tween for 1h. The cells were then incubated overnight at +4°C with ab198944 at 1/100 dilution (shown in green) and ab7291 (Mouse monoclonal [DM1A] to alpha Tubulin) at 1µg/ml. This was followed by an incubation at room temperature for 1h with ab150120, Goat polyclonal Secondary Antibody to Mouse IgG - H&L (Alexa Fluor® 594), pre-adsorbed, at 1µg/ml (shown in red). Nuclear DNA was labelled with DAPI (shown in blue).

Image was taken with a confocal microscope (Leica-Microsystems, TCS SP8).

Immunocytochemistry/ Immunofluorescence - Anti-Cdk6 antibody [EPR4515] - BSA and Azide free (AB222395)
  • ICC/IF

Lab

Immunocytochemistry/ Immunofluorescence - Anti-Cdk6 antibody [EPR4515] - BSA and Azide free (AB222395)

Clone EPR4515 (ab222395) has been successfully conjugated by Abcam. This image was generated using Anti-Cdk6 antibody [EPR4515] (Alexa Fluor® 647). Please refer to ab198946 for protocol details.

ab198946 staining Cdk6 in HeLa cells. The cells were fixed with 4% formaldehyde (10 min), permeabilized with 0.1% Triton X-100 for 5 minutes and then blocked with 1% BSA/10% normal goat serum/0.3M glycine in 0.1% PBS-Tween for 1h. The cells were then incubated overnight at +4°C with ab198946 at 1/100 dilution (shown in red) and ab195887, Mouse monoclonal to alpha Tubulin (Alexa Fluor® 488), at 1/250 dilution (shown in green). Nuclear DNA was labelled with DAPI (shown in blue).

Image was taken with a confocal microscope (Leica-Microsystems, TCS SP8).

This product also gave a positive signal under the same testing conditions in HeLa cells fixed with 100% methanol (5min).

Flow Cytometry (Intracellular) - Anti-Cdk6 antibody [EPR4515] - BSA and Azide free (AB222395)
  • Flow Cyt (Intra)

Unknown

Flow Cytometry (Intracellular) - Anti-Cdk6 antibody [EPR4515] - BSA and Azide free (AB222395)

Overlay histogram showing HeLa cells stained with ab124821 (red line). The cells were fixed with 80% methanol (5 min) and then permeabilized with 0.1% PBS-Tween for 20 min. The cells were then incubated in 1x PBS / 10% normal goat serum / 0.3M glycine to block non-specific protein-protein interactions followed by the antibody (ab124821, 1/1000 dilution) for 30 min at 22°C. The secondary antibody used was Alexa Fluor® 488 goat anti-rabbit IgG (H&L) (ab150077) at 1/2000 dilution for 30 min at 22°C. Isotype control antibody (black line) was rabbit IgG (monoclonal) (0.1μg/1x106 cells) used under the same conditions. Unlabelled sample (blue line) was also used as a control. Acquisition of >5,000 events were collected using a 20mW Argon ion laser (488nm) and 525/30 bandpass filter. This data was developed using the same antibody clone in a different buffer formulation containing PBS, BSA, glycerol, and sodium azide (ab124821).

Immunocytochemistry/ Immunofluorescence - Anti-Cdk6 antibody [EPR4515] - BSA and Azide free (AB222395)
  • ICC/IF

Unknown

Immunocytochemistry/ Immunofluorescence - Anti-Cdk6 antibody [EPR4515] - BSA and Azide free (AB222395)

ICC/IF image of ab124821 at 1/100 dilution, staining Cdk6 in HeLa cells.

This data was developed using the same antibody clone in a different buffer formulation containing PBS, BSA, glycerol, and sodium azide (ab124821).

Western blot - Anti-Cdk6 antibody [EPR4515] - BSA and Azide free (AB222395)
  • WB

Lab

Western blot - Anti-Cdk6 antibody [EPR4515] - BSA and Azide free (AB222395)

This data was developed using the same antibody clone in a different buffer formulation (ab124821).

Western blot : Anti-CDK6 antibody [EPR4515] (ab124821) staining at 1/1000 dilution, shown in green; Mouse anti-Alpha Tubulin [DM1A] (ab7291) loading control staining at 1/20000 dilution, shown in magenta. In Western blot, ab124821 was shown to bind specifically to CDK6. A band was observed at 37 kDa in wild-type HCT 116 cell lysates with no signal observed at this size in CDK6 knockout cell line. To generate this image, wild-type and CDK6 knockout HCT 116 cell lysates were analysed. First, samples were run on an SDS-PAGE gel then transferred onto a nitrocellulose membrane. Membranes were blocked in 3 % milk in TBS-0.1 % Tween® 20 (TBS-T) before incubation with primary antibodies overnight at 4 °C. Blots were washed four times in TBS-T, incubated with secondary antibodies for 1 h at room temperature, washed again four times then imaged. Secondary antibodies used were Goat anti-Rabbit IgG H&L 800CW and Goat anti-Mouse IgG H&L 680RD at 1/20000 dilution.

All lanes:

Western blot - Anti-Cdk6 antibody [EPR4515] (<a href='/products/primary-antibodies/cdk6-antibody-epr4515-ab124821'>ab124821</a>) at 1/1000 dilution

Lane 1:

Wild-type HCT 116 cell lysate at 20 µg

Lane 2:

CDK6 knockout HCT 116 cell lysate at 20 µg

Lane 3:

Wild-type HeLa ab255929 cell lysate at 20 µg

Lane 4:

CDK6 knockout HeLa ab260923 cell lysate at 20 µg

Secondary

All lanes:

Goat anti-Rabbit IgG H&L 800CW and Goat anti-Mouse IgG H&L 680RD at 1/20000 dilution

Predicted band size: 37 kDa

Observed band size: 37 kDa

false

Western blot - Anti-Cdk6 antibody [EPR4515] - BSA and Azide free (AB222395)
  • WB

Lab

Western blot - Anti-Cdk6 antibody [EPR4515] - BSA and Azide free (AB222395)

This data was developed using the same antibody clone in a different buffer formulation (ab124821).

Lanes 1- 2 : Merged signal (red and green). Green - ab124821 observed at 37 kDa. Red - Anti-alpha Tubulin antibody [DM1A] - Loading Control (ab7291) observed at 50 kDa.

ab124821 was shown to react with Cdk6 in wild-type HeLa cells in western blot. Loss of signal was observed when knockout cell line ab266059 (knockout cell lysate ab257088) was used. Wild-type HeLa and CDK6 knockout HeLa cell lysates were subjected to SDS-PAGE. Membrane was blocked for 1 hour at room temperature in 0.1% TBST with 3% non-fat dried milk. ab124821 and Anti-alpha Tubulin antibody [DM1A] - Loading Control (ab7291) overnight at 4°C at a 1 in 1000 dilution and a 1 in 20000 dilution respectively. Blots were developed with Goat anti-Rabbit IgG H&L (IRDye®800CW) preadsorbed (ab216773) and Goat anti-Mouse IgG H&L (IRDye®680RD) preadsorbed (ab216776) secondary antibodies at 1 in 20000 dilution for 1 hour at room temperature before imaging.

All lanes:

Western blot - Anti-Cdk6 antibody [EPR4515] (<a href='/products/primary-antibodies/cdk6-antibody-epr4515-ab124821'>ab124821</a>) at 1/1000 dilution

Lane 1:

Wild-type HeLa cell lysate at 20 µg

Lane 2:

CDK6 knockout HeLa cell lysate at 20 µg

Predicted band size: 37 kDa

Observed band size: 37 kDa

false

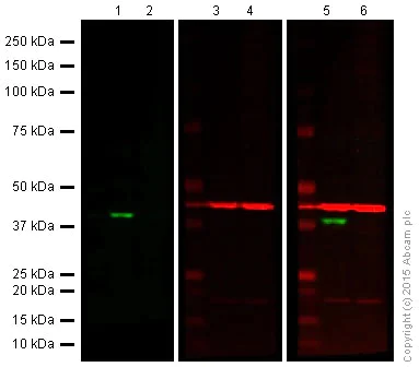
Western blot - Anti-Cdk6 antibody [EPR4515] - BSA and Azide free (AB222395)
  • WB

Lab

Western blot - Anti-Cdk6 antibody [EPR4515] - BSA and Azide free (AB222395)

Lanes 1 and 2 : Green signal from target - ab124821 observed at 37 kDa
Lanes 3 and 4 : Red signal from loading control - ab8226 observed at 42 kDa
Lanes 5 and 6 : Merged (red and green) signal
ab124821 was shown to specifically react with CDK6 when CDK6 knockout samples were used. Wild-type and CDK6 knockout samples were subjected to SDS-PAGE. ab124821 and ab8226 (loading control to beta actin) were diluted at 1/10 000 and 1/1000 respectively and incubated overnight at 4°C. Blots were developed with Goat anti-Rabbit IgG H&L (IRDye® 800CW) preadsorbed (ab216773) and Goat anti-Mouse IgG H&L (IRDye® 680RD) preadsorbed (ab216776) secondary antibodies at 1/10,000 dilution for 1 h at room temperature before imaging.

Lanes 1 - 2:

Western blot - Anti-Cdk6 antibody [EPR4515] - BSA and Azide free (ab222395) at 1/10000 dilution

Lanes 3 - 4:

Western blot - Anti-Cdk6 antibody [EPR4515] - BSA and Azide free (ab222395) at 1/1000 dilution

Lanes 5 - 6:

Western blot - Anti-Cdk6 antibody [EPR4515] - BSA and Azide free (ab222395)

Lanes 1, 3 and 5:

Wild-type HAP1 cell lysate at 20 µg

Lanes 2, 4 and 6:

CDK6 knockout HAP1 cell lysate at 20 µg

Predicted band size: 37 kDa

false

不同偶联物与剂型 (10)

关键信息

宿主种属

Rabbit

克隆

Monoclonal

克隆号

EPR4515

亚型

IgG

不含载体蛋白

Yes

反应种属

Human

应用

Flow Cyt (Intra), ICC/IF, WB, IHC-P

applications

免疫原

The exact immunogen used to generate this antibody is proprietary information.

特异性

Based on the immunogen sequence, we do not expect the antibody to cross-react with other CDK family members. No cross-reactivity testing has been performed.

反应性数据

{ "title": "Reactivity Data", "filters": { "stats": ["", "Species", "Dilution Info", "Notes"], "tabs": { "all-applications": {"fullname" : "All Applications", "shortname": "All Applications"}, "IHCP" : {"fullname" : "Immunohistochemistry (Formalin/PFA-fixed paraffin-embedded sections)", "shortname":"IHC-P"}, "ICCIF" : {"fullname" : "Immunocytochemistry/ Immunofluorescence", "shortname":"ICC/IF"}, "IP" : {"fullname" : "Immunoprecipitation", "shortname":"IP"}, "WB" : {"fullname" : "Western blot", "shortname":"WB"}, "FlowCytIntra" : {"fullname" : "Flow Cytometry (Intracellular)", "shortname":"Flow Cyt (Intra)"} }, "product-promise": { "all": "all", "testedAndGuaranteed": "tested", "guaranteed": "expected", "predicted": "predicted", "notRecommended": "not-recommended" } }, "values": { "Human": { "IHCP-species-checked": "testedAndGuaranteed", "IHCP-species-dilution-info": "", "IHCP-species-notes": "<p></p>", "ICCIF-species-checked": "testedAndGuaranteed", "ICCIF-species-dilution-info": "", "ICCIF-species-notes": "<p></p>", "IP-species-checked": "notRecommended", "IP-species-dilution-info": "", "IP-species-notes": "<p></p>", "WB-species-checked": "testedAndGuaranteed", "WB-species-dilution-info": "", "WB-species-notes": "<p></p>", "FlowCytIntra-species-checked": "testedAndGuaranteed", "FlowCytIntra-species-dilution-info": "", "FlowCytIntra-species-notes": "<p><a href='/products/primary-antibodies/rabbit-igg-monoclonal-epr25a-isotype-control-low-endotoxin-azide-free-ab199376'>ab199376</a> - Rabbit monoclonal IgG, is suitable for use as an isotype control with this antibody.</p>" } } }

产品详情

ab222395 is the carrier-free version of ab124821.

Species reactivity
Mouse, Rat: We have preliminary internal testing data to indicate this antibody may not react with these species.
Please contact us for more information.

Patented technology
Our RabMAb® technology is a patented hybridoma-based technology for making rabbit monoclonal antibodies. For details on our patents, please refer to RabMAb® patents.

Conjugation ready
Our carrier-free antibodies are typically supplied in a PBS-only formulation, purified and free of BSA, sodium azide and glycerol. This conjugation-ready format is designed for use with fluorochromes, metal isotopes, oligonucleotides, and enzymes, which makes them ideal for antibody labelling, functional and cell-based assays, flow-based assays (e.g. mass cytometry) and Multiplex Imaging applications.

Use our conjugation kits for antibody conjugates that are ready-to-use in as little as 20 minutes with 1 minute hands-on-time and 100% antibody recovery: available for fluorescent dyes, HRP, biotin and gold.

Compatibility
This product is compatible with the Maxpar® Antibody Labeling Kit from Fluidigm, without the need for antibody preparation. Maxpar® is a trademark of Fluidigm Canada Inc.

性能和储存信息

形式
Liquid
纯化工艺
Affinity purification Protein A
存储溶液
pH: 7.2 - 7.4 Constituents: PBS
运输条件
Blue Ice
推荐的短期储存条件
+4°C
推荐的长期储存条件
+4°C
储存信息
Do Not Freeze

补充信息

This supplementary information is collated from multiple sources and compiled automatically.

Cdk6 also known as Cyclin-dependent kinase 6 is a protein kinase involved in the regulation of the cell cycle. It has a molecular weight of approximately 40 kDa. Cdk6 is expressed in various tissues including lymphoid tissues and the brain. It plays a mechanical role by phosphorylating target proteins which impacts cell cycle progression particularly during the transition from G1 phase to S phase. Cdk6 can work in conjunction with D-type cyclins to form a complex that is critical for its activity.
Biological function summary

Cdk6 functions as a regulator of the cell cycle. It participates in a complex with cyclin D to control the G1 phase progression. This activity is essential for the regulation of cell division and proliferation. The association with cyclin D allows Cdk6 to phosphorylate the retinoblastoma protein (Rb) leading to the release of E2F transcription factors that promote the expression of genes necessary for DNA synthesis.

Pathways

Cdk6 is an important component of the cell cycle control pathway. It interacts primarily with the retinoblastoma protein and Cyclin D1 in this context. The cell cycle pathway is critical for controlled cell proliferation and its dysregulation can lead to diseases like cancer. Another involved pathway is the PI3K/AKT pathway which can activate Cdk6 activity through upstream signaling events implicating Cdk6 in cellular responses to growth signals.

Cdk6 has a significant role in cancer development due to its involvement in uncontrolled cell proliferation. Its overexpression or dysregulation is often linked to cancers such as leukemia and glioblastoma. In cancer the interaction with proteins like cyclin D1 can lead to unchecked progression through the cell cycle contributing to oncogenesis. Additionally Cdk6 inhibitors are being explored as therapeutic agents in cancer treatment due to their potential to restore control over cell cycle progression.

产品实验方案

For this product, it's our understanding that no specific protocols are required. You can visit:

靶点信息

Serine/threonine-protein kinase involved in the control of the cell cycle and differentiation; promotes G1/S transition. Phosphorylates pRB/RB1 and NPM1. Interacts with D-type G1 cyclins during interphase at G1 to form a pRB/RB1 kinase and controls the entrance into the cell cycle. Involved in initiation and maintenance of cell cycle exit during cell differentiation; prevents cell proliferation and negatively regulates cell differentiation, but is required for the proliferation of specific cell types (e.g. erythroid and hematopoietic cells). Essential for cell proliferation within the dentate gyrus of the hippocampus and the subventricular zone of the lateral ventricles. Required during thymocyte development. Promotes the production of newborn neurons, probably by modulating G1 length. Promotes, at least in astrocytes, changes in patterns of gene expression, changes in the actin cytoskeleton including loss of stress fibers, and enhanced motility during cell differentiation. Prevents myeloid differentiation by interfering with RUNX1 and reducing its transcription transactivation activity, but promotes proliferation of normal myeloid progenitors. Delays senescence. Promotes the proliferation of beta-cells in pancreatic islets of Langerhans. May play a role in the centrosome organization during the cell cycle phases (PubMed : 23918663).
See full target information CDK6

文献 (6)

Recent publications for all applications. Explore the full list and refine your search

Evidence-based complementary and alternative medic 2016:5989681 PubMed28074102

2016

Activation of p53/miR-34a Tumor Suppressor Axis by Chinese Herbal Formula JP-1 in A549 Lung Adenocarcinoma Cells.

Applications

WB

Species

Human

Chih-Jung Yao,Jyh-Ming Chow,Pei-Chun Lin,Tsai-Shu Hu,Hui-Ching Kuo,Jhy-Shrian Huang,Kuan-Jen Bai,Gi-Ming Lai

Oncology letters 12:5023-5028 PubMed28105209

2016

Upregulated microRNA-143 inhibits cell proliferation in human nasopharyngeal carcinoma.

Applications

WB

Species

Human

Benfu He,Zhe Xu,Jinzhang Chen,Dayong Zheng,Aimin Li,Luo-Sheng Zhang

Scientific reports 6:35783 PubMed27779188

2016

Simvastatin induces cell cycle arrest and inhibits proliferation of bladder cancer cells via PPARγ signalling pathway.

Applications

WB

Species

Unspecified reactive species

Gang Wang,Rui Cao,Yongzhi Wang,Guofeng Qian,Han C Dan,Wei Jiang,Lingao Ju,Min Wu,Yu Xiao,Xinghuan Wang

Oncology letters 12:1129-1131 PubMed27446406

2016

Massive renal urothelial carcinoma with renal vein tumor thrombus, pancreatic infiltration and adrenal metastasis: A case report.

Applications

IHC-P

Species

Human

Tao Li,Liang Gao,Weilu Wu,Peng Chen,Siyuan Bu,Qiang Wei,Lu Yang

Scientific reports 5:16229 PubMed26542173

2015

ZFP36L1 promotes monocyte/macrophage differentiation by repressing CDK6.

Applications

WB

Species

Human

Ming-Tai Chen,Lei Dong,Xin-Hua Zhang,Xiao-Lin Yin,Hong-Mei Ning,Chao Shen,Rui Su,Feng Li,Li Song,Yan-Ni Ma,Fang Wang,Hua-Lu Zhao,Jia Yu,Jun-Wu Zhang

Molecular medicine reports 12:6491-500 PubMed26352175

2015

Downregulation of microRNA‑33a promotes cyclin‑dependent kinase 6, cyclin D1 and PIM1 expression and gastric cancer cell proliferation.

Applications

WB

Species

Human

Yudong Wang,Xinliang Zhou,Baoen Shan,Jing Han,Feifei Wang,Xiaojie Fan,Yalei Lv,Liang Chang,Wei Liu
View all publications

Abcam Product Promise

我们致力于为您的研究提供高质量的试剂,为您科研的每一步提供支持。若我们的产品未能达到预期性能,我们向您提供 Abcam Product Promise 保障。
详情请参阅我们的条款与条件。

Please note: All products are 'FOR RESEARCH USE ONLY. NOT FOR USE IN DIAGNOSTIC OR THERAPEUTIC PROCEDURES'.

For licensing inquiries, please contact partnerships@abcam.com