JavaScript is disabled in your browser. Please enable JavaScript to view this website.
AB124821

Anti-Cdk6 抗体 [EPR4515]

Anti-Cdk6 antibody [EPR4515]

5

(2 Reviews)

|

(146 Publications)

Anti-Cdk6 antibody [EPR4515] (ab124821) is a rabbit monoclonal antibody detecting Cdk6 in Western Blot, Flow Cytometry (Intra), Flow Cytometry, IHC-P, ICC/IF. Suitable for Human.

- KO validated for confirmed specificity
- Biophysical QC for unrivalled batch-batch consistency
- Over 100 publications

查看别名

CDKN6, CDK6, Cyclin-dependent kinase 6, Cell division protein kinase 6, Serine/threonine-protein kinase PLSTIRE

8 Images
Immunocytochemistry/ Immunofluorescence - Anti-Cdk6 antibody [EPR4515] (AB124821)
  • ICC/IF

Lab

Immunocytochemistry/ Immunofluorescence - Anti-Cdk6 antibody [EPR4515] (AB124821)

ab124821 staining Cdk6 in wild-type HAP1 cells (top panel) and Cdk6 knockout HAP1 cells (bottom panel). The cells were fixed with 4% formaldehyde (10min), permeabilized with 0.1% Triton X-100 for 5 minutes and then blocked with 1% BSA/10% normal goat serum/0.3M glycine in 0.1% PBS-Tween for 1h. The cells were then incubated with ab124821 at 1/500 dilution and ab195889 at 1/250 dilution (shown in pseudo colour red) overnight at +4°C, followed by a further incubation at room temperature for 1h with a goat secondary antibody to Rabbit IgG (Alexa Fluor® 488) (ab150081) at 2 μg/ml (shown in green). Nuclear DNA was labelled in blue with DAPI.

Flow Cytometry (Intracellular) - Anti-Cdk6 antibody [EPR4515] (AB124821)
  • Flow Cyt (Intra)

Unknown

Flow Cytometry (Intracellular) - Anti-Cdk6 antibody [EPR4515] (AB124821)

Overlay histogram showing HeLa cells stained with ab124821 (red line). The cells were fixed with 80% methanol (5 min) and then permeabilized with 0.1% PBS-Tween for 20 min. The cells were then incubated in 1x PBS / 10% normal goat serum / 0.3M glycine to block non-specific protein-protein interactions followed by the antibody (ab124821, 1/1000 dilution) for 30 min at 22°C. The secondary antibody used was Alexa Fluor® 488 goat anti-rabbit IgG (H&L) (ab150077) at 1/2000 dilution for 30 min at 22°C. Isotype control antibody (black line) was rabbit IgG (monoclonal) (0.1μg/1x106 cells) used under the same conditions. Unlabelled sample (blue line) was also used as a control. Acquisition of >5,000 events were collected using a 20mW Argon ion laser (488nm) and 525/30 bandpass filter.

Immunocytochemistry/ Immunofluorescence - Anti-Cdk6 antibody [EPR4515] (AB124821)
  • ICC/IF

Unknown

Immunocytochemistry/ Immunofluorescence - Anti-Cdk6 antibody [EPR4515] (AB124821)

ICC/IF image of ab124821 at 1/100 dilution, staining Cdk6 in HeLa cells.

Immunohistochemistry (Formalin/PFA-fixed paraffin-embedded sections) - Anti-Cdk6 antibody [EPR4515] (AB124821)
  • IHC-P

Unknown

Immunohistochemistry (Formalin/PFA-fixed paraffin-embedded sections) - Anti-Cdk6 antibody [EPR4515] (AB124821)

ab124821 at 1/100 dilution, staining Cdk6 in Formalin fixed Paraffin-embedded Human tonsil tissue by Immunohistochemistry.

Heat mediated antigen retrieval was performed with 0.01M citrate buffer, pH 6.0.

Western blot - Anti-Cdk6 antibody [EPR4515] (AB124821)
  • WB

Unknown

Western blot - Anti-Cdk6 antibody [EPR4515] (AB124821)

All lanes:

Western blot - Anti-Cdk6 antibody [EPR4515] (ab124821) at 1/1000 dilution

Lane 1:

Jurkat cell lysate at 10 µg

Lane 2:

K562 cell lysate at 10 µg

Lane 3:

HeLa cell lysate at 10 µg

Lane 4:

293T cell lysate at 10 µg

Secondary

All lanes:

Goat-anti-rabbit HRP at 1/2000 dilution

Predicted band size: 37 kDa

Observed band size: 37 kDa

false

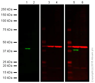
Western blot - Anti-Cdk6 antibody [EPR4515] (AB124821)
  • WB

Unknown

Western blot - Anti-Cdk6 antibody [EPR4515] (AB124821)

Lanes 1 and 2 : Green signal from target - ab124821 observed at 37 kDa
Lanes 3 and 4 : Red signal from loading control - ab8226 observed at 42 kDa
Lanes 5 and 6 : Merged (red and green) signal
ab124821 was shown to specifically react with CDK6 when CDK6 knockout samples were used. Wild-type and CDK6 knockout samples were subjected to SDS-PAGE. ab124821 and ab8226 (loading control to beta actin) were diluted at 1/10 000 and 1/1000 respectively and incubated overnight at 4°C. Blots were developed with Goat anti-Rabbit IgG H&L (IRDye® 800CW) preadsorbed (ab216773) and Goat anti-Mouse IgG H&L (IRDye® 680RD) preadsorbed (ab216776) secondary antibodies at 1/10,000 dilution for 1 h at room temperature before imaging.

Lanes 1 - 2:

Western blot - Anti-Cdk6 antibody [EPR4515] (ab124821) at 1/10000 dilution

Lanes 3 - 4:

Western blot - Anti-Cdk6 antibody [EPR4515] (ab124821) at 1/1000 dilution

Lanes 5 - 6:

Western blot - Anti-Cdk6 antibody [EPR4515] (ab124821)

Lanes 1, 3 and 5:

Wild-type HAP1 cell lysate at 20 µg

Lanes 2, 4 and 6:

CDK6 knockout HAP1 cell lysate at 20 µg

Predicted band size: 37 kDa

false

Western blot - Anti-Cdk6 antibody [EPR4515] (AB124821)
  • WB

Lab

Western blot - Anti-Cdk6 antibody [EPR4515] (AB124821)

Lanes 1- 2 : Merged signal (red and green). Green - ab124821 observed at 37 kDa. Red - Anti-alpha Tubulin antibody [DM1A] - Loading Control (ab7291) observed at 50 kDa.

ab124821 was shown to react with Cdk6 in wild-type HeLa cells in western blot. Loss of signal was observed when knockout cell line ab266059 (knockout cell lysate ab257088) was used. Wild-type HeLa and Cdk6 knockout HeLa cell lysates were subjected to SDS-PAGE. Membrane was blocked for 1 hour at room temperature in 0.1% TBST with 3% non-fat dried milk. ab124821 and Anti-alpha Tubulin antibody [DM1A] - Loading Control (ab7291) overnight at 4°C at a 1 in 1000 dilution and a 1 in 20000 dilution respectively. Blots were developed with Goat anti-Rabbit IgG H&L (IRDye®800CW) preadsorbed (ab216773) and Goat anti-Mouse IgG H&L (IRDye®680RD) preadsorbed (ab216776) secondary antibodies at 1 in 20000 dilution for 1 hour at room temperature before imaging.

All lanes:

Western blot - Anti-Cdk6 antibody [EPR4515] (ab124821) at 1/1000 dilution

Lane 1:

Wild-type HeLa cell lysate at 20 µg

Lane 2:

CDK6 knockout HeLa cell lysate at 20 µg

Predicted band size: 37 kDa

Observed band size: 37 kDa

false

Western blot - Anti-Cdk6 antibody [EPR4515] (AB124821)
  • WB

Lab

Western blot - Anti-Cdk6 antibody [EPR4515] (AB124821)

Western blot : Anti-CDK6 antibody [EPR4515] (ab124821) staining at 1/1000 dilution, shown in green; Mouse anti-Alpha Tubulin [DM1A] (ab7291) loading control staining at 1/20000 dilution, shown in magenta. In Western blot, ab124821 was shown to bind specifically to CDK6. A band was observed at 37 kDa in wild-type HCT 116 cell lysates with no signal observed at this size in CDK6 knockout cell line. To generate this image, wild-type and CDK6 knockout HCT 116 cell lysates were analysed. First, samples were run on an SDS-PAGE gel then transferred onto a nitrocellulose membrane. Membranes were blocked in 3 % milk in TBS-0.1 % Tween® 20 (TBS-T) before incubation with primary antibodies overnight at 4 °C. Blots were washed four times in TBS-T, incubated with secondary antibodies for 1 h at room temperature, washed again four times then imaged. Secondary antibodies used were Goat anti-Rabbit IgG H&L 800CW and Goat anti-Mouse IgG H&L 680RD at 1/20000 dilution.

All lanes:

Western blot - Anti-Cdk6 antibody [EPR4515] (ab124821) at 1/1000 dilution

Lane 1:

Wild-type HCT 116 cell lysate at 20 µg

Lane 2:

CDK6 knockout HCT 116 cell lysate at 20 µg

Lane 3:

Wild-type HeLa ab255929 cell lysate at 20 µg

Lane 4:

CDK6 knockout HeLa ab260923 cell lysate at 20 µg

Secondary

All lanes:

Goat anti-Rabbit IgG H&L 800CW and Goat anti-Mouse IgG H&L 680RD at 1/20000 dilution

Predicted band size: 37 kDa

Observed band size: 37 kDa

false

不同偶联物与剂型 (10)

关键信息

宿主种属

Rabbit

克隆

Monoclonal

克隆号

EPR4515

亚型

IgG

不含载体蛋白

No

反应种属

Human

应用

Flow Cyt (Intra), IHC-P, ICC/IF, WB

applications

免疫原

The exact immunogen used to generate this antibody is proprietary information.

特异性

Based on the immunogen sequence, we do not expect the antibody to cross-react with other CDK family members. No cross-reactivity testing has been performed.

反应性数据

{ "title": "Reactivity Data", "filters": { "stats": ["", "Species", "Dilution Info", "Notes"], "tabs": { "all-applications": {"fullname" : "All Applications", "shortname": "All Applications"}, "IHCP" : {"fullname" : "Immunohistochemistry (Formalin/PFA-fixed paraffin-embedded sections)", "shortname":"IHC-P"}, "IP" : {"fullname" : "Immunoprecipitation", "shortname":"IP"}, "WB" : {"fullname" : "Western blot", "shortname":"WB"}, "ICCIF" : {"fullname" : "Immunocytochemistry/ Immunofluorescence", "shortname":"ICC/IF"}, "FlowCytIntra" : {"fullname" : "Flow Cytometry (Intracellular)", "shortname":"Flow Cyt (Intra)"} }, "product-promise": { "all": "all", "testedAndGuaranteed": "tested", "guaranteed": "expected", "predicted": "predicted", "notRecommended": "not-recommended" } }, "values": { "Human": { "IHCP-species-checked": "testedAndGuaranteed", "IHCP-species-dilution-info": "1/100 - 1/250", "IHCP-species-notes": "<p></p> Perform heat-mediated antigen retrieval before commencing with IHC staining protocol.", "IP-species-checked": "notRecommended", "IP-species-dilution-info": "", "IP-species-notes": "<p></p>", "WB-species-checked": "testedAndGuaranteed", "WB-species-dilution-info": "1/50000 - 1/200000", "WB-species-notes": "<p></p>", "ICCIF-species-checked": "testedAndGuaranteed", "ICCIF-species-dilution-info": "1/500", "ICCIF-species-notes": "<p></p>", "FlowCytIntra-species-checked": "testedAndGuaranteed", "FlowCytIntra-species-dilution-info": "1/100 - 1/1000", "FlowCytIntra-species-notes": "<p><a href='/products/primary-antibodies/rabbit-igg-monoclonal-epr25a-isotype-control-ab172730'>ab172730</a> - Rabbit monoclonal IgG, is suitable for use as an isotype control with this antibody.</p>" } } }

产品详情

What is this antibody validated in?
Anti-Cdk6 antibody [EPR4515] (ab124821) is a rabbit recombinant monoclonal antibody and is validated for use in Western Blot (WB), Flow Cytometry (Intra), Flow Cytometry (Flow Cyt), Immunohistochemistry (IHC-P), Immunocytochemistry/immunofluorescence (ICC/IF) in Human samples.

What is the molecular weight of Cdk6?
Anti-Cdk6 [EPR4515] (ab124821) specifically detects a band for Cdk6 (UniProt: Q00534) at a molecular weight of 37kDa.

Trusted by the scientific community
Anti-Cdk6 [EPR4515] (ab124821) was first used in a scientific publication in 2012 and has been cited over 100 times in peer-reviewed journals.

Trial sizes available!
Test your antibody or perform pre-screening before committing to a larger quantity. Sold in 10µl. Discover our selection of trial-size antibodies.

Specificity confirmed
The specificity of Anti-Cdk6 antibody [EPR4515] (ab124821) has been confirmed by Western blot testing in CDK6 Knockout HAP1 cells.

Other related products
We have a range of other formats of antibody clone [EPR4515] also available for your convenience: ab124821, Alexa Fluor® 488 - ab198944, Alexa Fluor® 647 - ab198946, Carrier free - ab222395, PE - ab305713, APC - ab305714, HRP - ab305715, Alkaline Phosphatase - ab308887, Alexa Fluor® 594 - ab310613, Alexa Fluor® 555 - ab312141, Alexa Fluor® 568 - ab312627, Alexa Fluor® 750 - ab320982

Species reactivity
Mouse, Rat: We have preliminary internal testing data to indicate this antibody may not react with these species.
Please contact us for more information.

Patented technology
Our RabMAb® technology is a patented hybridoma-based technology for making rabbit monoclonal antibodies. For details on our patents, please refer to RabMAb® patents.

What are the advantages of a recombinant monoclonal antibody?
This product is a recombinant monoclonal antibody, which offers several advantages including:

  • - High batch-to-batch consistency and reproducibility
  • - Improved sensitivity and specificity
  • - Long-term security of supply
  • - Animal-free batch production

For more information, read more on recombinant antibodies.

性能和储存信息

形式
Liquid
纯化工艺
Affinity purification Protein A
存储溶液
pH: 7.2 - 7.4 Preservative: 0.01% Sodium azide Constituents: PBS, 40% Glycerol (glycerin, glycerine), 0.05% BSA
运输条件
Blue Ice
推荐的短期储存时间
1-2 weeks
推荐的短期储存条件
+4°C
推荐的长期储存条件
-20°C
分装信息
Upon delivery aliquot
储存信息
Stable for 12 months at -20°C

补充信息

This supplementary information is collated from multiple sources and compiled automatically.

Cdk6 also known as Cyclin-dependent kinase 6 is a protein kinase involved in the regulation of the cell cycle. It has a molecular weight of approximately 40 kDa. Cdk6 is expressed in various tissues including lymphoid tissues and the brain. It plays a mechanical role by phosphorylating target proteins which impacts cell cycle progression particularly during the transition from G1 phase to S phase. Cdk6 can work in conjunction with D-type cyclins to form a complex that is critical for its activity.
Biological function summary

Cdk6 functions as a regulator of the cell cycle. It participates in a complex with cyclin D to control the G1 phase progression. This activity is essential for the regulation of cell division and proliferation. The association with cyclin D allows Cdk6 to phosphorylate the retinoblastoma protein (Rb) leading to the release of E2F transcription factors that promote the expression of genes necessary for DNA synthesis.

Pathways

Cdk6 is an important component of the cell cycle control pathway. It interacts primarily with the retinoblastoma protein and Cyclin D1 in this context. The cell cycle pathway is critical for controlled cell proliferation and its dysregulation can lead to diseases like cancer. Another involved pathway is the PI3K/AKT pathway which can activate Cdk6 activity through upstream signaling events implicating Cdk6 in cellular responses to growth signals.

Cdk6 has a significant role in cancer development due to its involvement in uncontrolled cell proliferation. Its overexpression or dysregulation is often linked to cancers such as leukemia and glioblastoma. In cancer the interaction with proteins like cyclin D1 can lead to unchecked progression through the cell cycle contributing to oncogenesis. Additionally Cdk6 inhibitors are being explored as therapeutic agents in cancer treatment due to their potential to restore control over cell cycle progression.

产品实验方案

For this product, it's our understanding that no specific protocols are required. You can visit:

靶点信息

Serine/threonine-protein kinase involved in the control of the cell cycle and differentiation; promotes G1/S transition. Phosphorylates pRB/RB1 and NPM1. Interacts with D-type G1 cyclins during interphase at G1 to form a pRB/RB1 kinase and controls the entrance into the cell cycle. Involved in initiation and maintenance of cell cycle exit during cell differentiation; prevents cell proliferation and negatively regulates cell differentiation, but is required for the proliferation of specific cell types (e.g. erythroid and hematopoietic cells). Essential for cell proliferation within the dentate gyrus of the hippocampus and the subventricular zone of the lateral ventricles. Required during thymocyte development. Promotes the production of newborn neurons, probably by modulating G1 length. Promotes, at least in astrocytes, changes in patterns of gene expression, changes in the actin cytoskeleton including loss of stress fibers, and enhanced motility during cell differentiation. Prevents myeloid differentiation by interfering with RUNX1 and reducing its transcription transactivation activity, but promotes proliferation of normal myeloid progenitors. Delays senescence. Promotes the proliferation of beta-cells in pancreatic islets of Langerhans. May play a role in the centrosome organization during the cell cycle phases (PubMed : 23918663).
See full target information CDK6

文献 (146)

Recent publications for all applications. Explore the full list and refine your search

Scientific reports 15:28579 PubMed40764324

2025

Investigation of ribociclib, abemaciclib and palbociclib resistance in ER+ breast cancer cells reveal potential therapeutic opportunities`.

Applications

Unspecified application

Species

Unspecified reactive species

Mashael Algethami,Ahmed Shoqafi,Ayat Lashen,Shatha Alqahtani,Jake Spicer,Ahmad ALtayyar,Çağla Tosun,Jennie N Jeyapalan,Nigel P Mongan,Victoria James,Emad A Rakha,Srinivasan Madhusudan

Journal of animal science and biotechnology 16:107 PubMed40745344

2025

Yeast culture in weaned lamb feed: a proteomic journey into enhanced rumen health and growth.

Applications

Unspecified application

Species

Unspecified reactive species

Xueqiang Li,Xiaolin Yang,Hui Chen,Shixiong Liu,Puguo Hao,Jie Ning,Yingga Wu,Xi Liang,Yufei Zhang,Dacheng Liu

BMC gastroenterology 25:365 PubMed40360974

2025

Investigation of the mechanism by which miR-223-3p inhibits reflux esophagitis through targeting the NLRP3 inflammasome.

Applications

Unspecified application

Species

Unspecified reactive species

Shuying Lin,Binbin Zheng,Ruchen Wu,Qiuli Wu,Xiangbo Chen

Cell communication and signaling : CCS 23:162 PubMed40176110

2025

Decursin induces FLT3-ITD acute myeloid leukemia cell apoptosis by increasing the expression of the ubiquitin-conjugase UBE2L6.

Applications

Unspecified application

Species

Unspecified reactive species

Tianxin Zhang,Yuchen Li,Wenhao Liao,Yu Mou,Xue Zhan,Qiongying Hu,Ziyi Zhao,Daqian Xiong

Current issues in molecular biology 47: PubMed40136418

2025

The Proliferation of Chang Liver Cells After Simulated Microgravity Induction.

Applications

Unspecified application

Species

Unspecified reactive species

Huy Nghia Quang Hoang,Chi Nguyen Quynh Ho,Loan Thi Tung Dang,Nhan Lu Chinh Phan,Chung Chinh Doan,Han Thai Minh Nguyen,Cuong Phan Minh Le,Son Nghia Hoang,Long Thanh Le

Cell reports. Medicine 6:101900 PubMed39798567

2025

Intestinal Akkermansia muciniphila complements the efficacy of PD1 therapy in MAFLD-related hepatocellular carcinoma.

Applications

Unspecified application

Species

Unspecified reactive species

Xue Qian Wu,Fan Ying,Katherine Po Sin Chung,Carmen Oi Ning Leung,Rainbow Wing Hei Leung,Karl Kam Hei So,Martina Mang Leng Lei,Wing Ki Chau,Man Tong,Jun Yu,Dai Wei,William Chi Shing Tai,Stephanie Ma,Yin Ying Lu,Terence Kin Wah Lee

Cell death & disease 15:822 PubMed39537605

2024

SPINK13 acts as a tumor suppressor in hepatocellular carcinoma by inhibiting Akt phosphorylation.

Applications

Unspecified application

Species

Unspecified reactive species

Yongzhi Lun,Jie Sun,Ling Wei,Ben Liu,Zhixue Li,Wen Dong,Wenqi Zhao

Medicine 103:e40379 PubMed39495991

2024

Lnc NEAT1 facilitates the progression of melanoma by targeting the miR-152-3p/CDK6 axis: An observational study.

Applications

Unspecified application

Species

Unspecified reactive species

Ning Ning,Zeyu Tian,Hao Feng,Xing Feng

Journal of biochemical and molecular toxicology 38:e70014 PubMed39403943

2024

RNA methylase RBM15 facilitates malignant progression of colorectal cancer through regulating E2F2 in an m6A modification-dependent manner.

Applications

Unspecified application

Species

Unspecified reactive species

Huijun Zhang,Yuanyuan Li,Ying Zhou,Qihua Xu,Bingling Liao,Xiaofeng Qiu,Jianfeng Liu

Skin research and technology : official journal of International Society for Bioengineering and the Skin (ISBS) [and] International Society for Digital Imaging of Skin (ISDIS) [and] International Society for Skin Imaging (ISSI) 30:e70071 PubMed39349353

2024

Cold Plasma Ameliorates Imiquimod-Induced Psoriasis-Like Skin Inflammation in Mice.

Applications

Unspecified application

Species

Unspecified reactive species

Yu-Jin Kim,Beom Joon Kim,Joon Seok,Hye Sung Han,Kwang Ho Yoo,Sun Young Choi
View all publications

Abcam Product Promise

我们致力于为您的研究提供高质量的试剂,为您科研的每一步提供支持。若我们的产品未能达到预期性能,我们向您提供 Abcam Product Promise 保障。
详情请参阅我们的条款与条件。

Please note: All products are 'FOR RESEARCH USE ONLY. NOT FOR USE IN DIAGNOSTIC OR THERAPEUTIC PROCEDURES'.

For licensing inquiries, please contact partnerships@abcam.com