JavaScript is disabled in your browser. Please enable JavaScript to view this website.
AB137675

Anti-Cdk4 抗体

Anti-Cdk4 antibody

5

(1 Review)

|

(79 Publications)

Rabbit Polyclonal CDK4 antibody. Suitable for WB, ICC/IF, IHC-P and reacts with Mouse, Rat, Human samples. Cited in 79 publications. Immunogen corresponding to Recombinant Fragment Protein within Human CDK4 aa 100 to C-terminus.

查看别名

Cyclin-dependent kinase 4, Cell division protein kinase 4, PSK-J3, CDK4

6 Images
Immunohistochemistry (Formalin/PFA-fixed paraffin-embedded sections) - Anti-Cdk4 antibody (AB137675)
  • IHC-P

Unknown

Immunohistochemistry (Formalin/PFA-fixed paraffin-embedded sections) - Anti-Cdk4 antibody (AB137675)

Immunohistochemical analysis of paraffin-embedded Human gastric carcinoma tissue, labelling Cdk4 using ab137675 at 1/500 dilution.

Western blot - Anti-Cdk4 antibody (AB137675)
  • WB

AbReview58781****

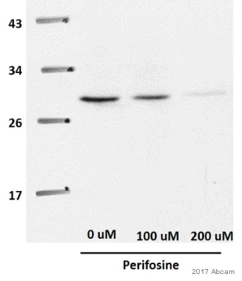
Western blot - Anti-Cdk4 antibody (AB137675)

10% SDS-PAGE.

Blocked with 5% milk for 12 hours at 4°C.

Incubated with the primary antibody in 2% milk for 12 hours at 4°C.

All lanes:

Western blot - Anti-Cdk4 antibody (ab137675) at 1/1000 dilution

Lane 1:

Epithelial OVCAR whole cell lysate - untreated at 100 µg

Lane 2:

Epithelial OVCAR whole cell lysate treated with 100µM Perifosine for 24 hours at 100 µg

Lane 3:

Epithelial OVCAR whole cell lysate treated with 200µM Perifosine for 24 hours at 100 µg

Secondary

All lanes:

HRP-conjugated goat anti-rabbit IgG at 1/10000 dilution

Predicted band size: 34 kDa

Observed band size: 30 kDa

true

Exposure time: 5min

This image is courtesy of an anonymous Abreview.

Western blot - Anti-Cdk4 antibody (AB137675)
  • WB

Supplier Data

Western blot - Anti-Cdk4 antibody (AB137675)

12% SDS-PAGE

All lanes:

Western blot - Anti-Cdk4 antibody (ab137675) at 1/500 dilution

All lanes:

PC-12 whole cell extract at 30 µg

Predicted band size: 34 kDa

false

Western blot - Anti-Cdk4 antibody (AB137675)
  • WB

Supplier Data

Western blot - Anti-Cdk4 antibody (AB137675)

Samples were separated by 12% SDS-PAGE.

All lanes:

Western blot - Anti-Cdk4 antibody (ab137675) at 1/500 dilution

All lanes:

NIH-3T3 Whole cell extract at 30 µg

Secondary

All lanes:

HRP-conjugated anti-rabbit IgG antibody

Predicted band size: 34 kDa

false

Immunocytochemistry/ Immunofluorescence - Anti-Cdk4 antibody (AB137675)
  • ICC/IF

Supplier Data

Immunocytochemistry/ Immunofluorescence - Anti-Cdk4 antibody (AB137675)

MCF7 cells stained for CDK4 (green) using ab137675 at 1/1000 dilution in ICC/IF. Red staining of p21 Cip1 (a nucleus marker) at 1/500 dilution and Hoechst 33342 (blue) staining.

Immunocytochemistry/ Immunofluorescence - Anti-Cdk4 antibody (AB137675)
  • ICC/IF

Supplier Data

Immunocytochemistry/ Immunofluorescence - Anti-Cdk4 antibody (AB137675)

HeLa cells stained for CDK4 (green) using ab137675 at 1/500 dilution in ICC/IF.

关键信息

宿主种属

Rabbit

克隆

Polyclonal

亚型

IgG

不含载体蛋白

No

反应种属

Mouse, Rat, Human

应用

WB, IHC-P, ICC/IF

applications

免疫原

Recombinant Fragment Protein within Human CDK4 aa 100 to C-terminus. The exact immunogen used to generate this antibody is proprietary information.

P11802

反应性数据

{ "title": "Reactivity Data", "filters": { "stats": ["", "Species", "Dilution Info", "Notes"], "tabs": { "all-applications": {"fullname" : "All Applications", "shortname": "All Applications"}, "WB" : {"fullname" : "Western blot", "shortname":"WB"}, "ICCIF" : {"fullname" : "Immunocytochemistry/ Immunofluorescence", "shortname":"ICC/IF"}, "IHCP" : {"fullname" : "Immunohistochemistry (Formalin/PFA-fixed paraffin-embedded sections)", "shortname":"IHC-P"} }, "product-promise": { "all": "all", "testedAndGuaranteed": "tested", "guaranteed": "expected", "predicted": "predicted", "notRecommended": "not-recommended" } }, "values": { "Human": { "WB-species-checked": "testedAndGuaranteed", "WB-species-dilution-info": "1/500 - 1/3000", "WB-species-notes": "<p></p>", "ICCIF-species-checked": "testedAndGuaranteed", "ICCIF-species-dilution-info": "1/100 - 1/1000", "ICCIF-species-notes": "<p></p>", "IHCP-species-checked": "testedAndGuaranteed", "IHCP-species-dilution-info": "1/100 - 1/1000", "IHCP-species-notes": "<p></p>" }, "Mouse": { "WB-species-checked": "testedAndGuaranteed", "WB-species-dilution-info": "1/500 - 1/3000", "WB-species-notes": "<p></p>", "ICCIF-species-checked": "guaranteed", "ICCIF-species-dilution-info": "", "ICCIF-species-notes": "", "IHCP-species-checked": "guaranteed", "IHCP-species-dilution-info": "", "IHCP-species-notes": "" }, "Rat": { "WB-species-checked": "testedAndGuaranteed", "WB-species-dilution-info": "1/500 - 1/3000", "WB-species-notes": "<p></p>", "ICCIF-species-checked": "guaranteed", "ICCIF-species-dilution-info": "", "ICCIF-species-notes": "", "IHCP-species-checked": "guaranteed", "IHCP-species-dilution-info": "", "IHCP-species-notes": "" }, "Pig": { "WB-species-checked": "predicted", "WB-species-dilution-info": "", "WB-species-notes": "", "ICCIF-species-checked": "predicted", "ICCIF-species-dilution-info": "", "ICCIF-species-notes": "", "IHCP-species-checked": "predicted", "IHCP-species-dilution-info": "", "IHCP-species-notes": "" } } }

您是否考虑以下替代产品?

AB199728

Anti-Cdk4 antibody [EPR17525]

0
0 Reviews
查看产品
为什么推荐这个?

为向您提供最高品质的产品,我们在不断升级产品范围。我们选择了这个替代产品供您参考,因为它提供了更好的性能,更容易和更方便的使用,或交期更快。

性能和储存信息

形式
Liquid
纯化工艺
Affinity purification Immunogen
存储溶液
pH: 7 Preservative: 0.025% Proclin 300 Constituents: 79% PBS, 20% Glycerol (glycerin, glycerine)
运输条件
Blue Ice
推荐的短期储存时间
1-2 weeks
推荐的短期储存条件
+4°C
推荐的长期储存条件
-20°C
分装信息
Upon delivery aliquot
储存信息
Avoid freeze / thaw cycle

补充信息

This supplementary information is collated from multiple sources and compiled automatically.

Cdk4 also known as Cyclin-dependent kinase 4 is a serine/threonine kinase involved in cell cycle regulation. Cdk4 has a molecular weight of approximately 34 kDa. This protein mainly locates in the nucleus of the cell and its expression occurs in diverse tissues. Cdk4 partners with D-type cyclins to exert its function which is essential for the transition from the G1 phase to the S phase of the cell cycle. Researchers often study Cdk4 using techniques like immunohistochemistry (IHC) to determine its expression and localization in different tissues.
Biological function summary

Cdk4 plays a fundamental role in cell cycle regulation by forming a complex with D-type cyclins. Together they phosphorylate the retinoblastoma protein (Rb) resulting in the release of E2F transcription factors which promote the expression of genes necessary for DNA replication. The Cdk4/cyclin D complex regulates the cell's commitment to enter S phase and continue cell division. This regulation is key for normal cell proliferation and tissue homeostasis. Cdk4 activity is strictly controlled by INK4 family members acting as inhibitors and adding an extra regulation layer.

Pathways

Cdk4 is an integral part of important signaling pathways like the cell cycle and PI3K/AKT pathways. In the cell cycle pathway Cdk4 relays signals downstream that drive the transition from the G1 to S phase through its interaction with cyclin D and Rb. In the PI3K/AKT pathway signaling can influence cyclin D expression indirectly affecting Cdk4 activity. Proteins such as Cdk6 closely relate to Cdk4 and often compensate or partner with Cdk4 in these pathways to maintain proper cell cycle progression.

Abnormalities in Cdk4 function or regulation relate to cancer and certain metabolic syndromes. Hyperactivity of Cdk4 due to overexpression or mutation frequently occurs in several cancers including melanoma and breast cancer. In these malignancies Cdk4 aberrantly drives excessive cell proliferation. Mutations or alterations in proteins such as p16 an inhibitor of Cdk4 are often found in these cancers highlighting the critical role of Cdk4 in disease progression. Understanding the role of Cdk4 allows researchers to develop targeted therapies such as Cdk4/6 inhibitors offering new treatment options.

产品实验方案

For this product, it's our understanding that no specific protocols are required. You can visit:

靶点信息

Ser/Thr-kinase component of cyclin D-CDK4 (DC) complexes that phosphorylate and inhibit members of the retinoblastoma (RB) protein family including RB1 and regulate the cell-cycle during G(1)/S transition. Phosphorylation of RB1 allows dissociation of the transcription factor E2F from the RB/E2F complexes and the subsequent transcription of E2F target genes which are responsible for the progression through the G(1) phase. Hypophosphorylates RB1 in early G(1) phase. Cyclin D-CDK4 complexes are major integrators of various mitogenenic and antimitogenic signals. Also phosphorylates SMAD3 in a cell-cycle-dependent manner and represses its transcriptional activity. Component of the ternary complex, cyclin D/CDK4/CDKN1B, required for nuclear translocation and activity of the cyclin D-CDK4 complex.
See full target information CDK4

文献 (79)

Recent publications for all applications. Explore the full list and refine your search

Cell death & disease 14:314 PubMed37160873

2023

TFEB inhibition induces melanoma shut-down by blocking the cell cycle and rewiring metabolism.

Applications

Unspecified application

Species

Unspecified reactive species

C Ariano,F Costanza,M Akman,C Riganti,D Corà,E Casanova,E Astanina,V Comunanza,F Bussolino,G Doronzo

British journal of pharmacology 180:2172-2188 PubMed36967633

2023

Palbociclib blocks neutrophilic phosphatidylinositol 3-kinase activity to alleviate psoriasiform dermatitis.

Applications

Unspecified application

Species

Unspecified reactive species

Po-Jen Chen,Hsin-Hui Tseng,Yi-Hsuan Wang,Shu-Yen Fang,Shun-Hua Chen,Chun-Hong Chen,Sheng-Chieh Tsai,Yu-Chia Chang,Yung-Fong Tsai,Tsong-Long Hwang

Cell reports 42:112235 PubMed36920905

2023

Single-cell heterogeneity of EGFR and CDK4 co-amplification is linked to immune infiltration in glioblastoma.

Applications

Unspecified application

Species

Unspecified reactive species

Kacper A Walentynowicz,Dalit Engelhardt,Simona Cristea,Shreya Yadav,Ugoma Onubogu,Roberto Salatino,Melanie Maerken,Cristina Vincentelli,Aashna Jhaveri,Jacob Geisberg,Thomas O McDonald,Franziska Michor,Michalina Janiszewska

Experimental and therapeutic medicine 25:49 PubMed36588811

2023

Proliferation, apoptosis and invasion of human lung cancer cells are associated with NFATc1.

Applications

Unspecified application

Species

Unspecified reactive species

Fenghai Ren,Kaibin Zhu,Yanbo Wang,Fucheng Zhou,Sainan Pang,Lantao Chen

Frontiers in pharmacology 13:973611 PubMed36105203

2022

S-3'-hydroxy-7', 2', 4'-trimethoxyisoxane, a novel ferroptosis inducer, promotes NSCLC cell death through inhibiting Nrf2/HO-1 signaling pathway.

Applications

Unspecified application

Species

Unspecified reactive species

Jing Chen,Songlin Zhou,Xian Zhang,Huange Zhao

American journal of cancer research 12:3601-3624 PubMed36119830

2022

Cordycepin enhances radiosensitivity to induce apoptosis through cell cycle arrest, caspase pathway and ER stress in MA-10 mouse Leydig tumor cells.

Applications

Unspecified application

Species

Unspecified reactive species

Yi-Ping Lee,Wei-Ru Huang,Wun-Syuan Wu,Yuan-Hua Wu,Sheng-Yow Ho,Ying-Jan Wang,Bu-Miin Huang

Cancer medicine 12:1643-1654 PubMed35789211

2022

Flavonoid extract Kushenol a exhibits anti-proliferative activity in breast cancer cells via suppression of PI3K/AKT/mTOR pathway.

Applications

Unspecified application

Species

Unspecified reactive species

Tao Liu,Jinhua Gong,Guobin Lai,Yichao Yang,Xiaoan Wu,Xiuping Wu

Acta biochimica Polonica 69:417-422 PubMed35696596

2022

USP18 contributes to the proliferation and migration of ovarian cancer cells by regulating the AKT/mTOR signaling pathway.

Applications

Unspecified application

Species

Unspecified reactive species

Meiqin Liu,Shile Gao,Xingjun Xu,Lijie Zhang,Bin Xu,Donghui Lu

Journal of Cancer 13:1985-2000 PubMed35399734

2022

ASF1b is a novel prognostic predictor associated with cell cycle signaling pathway in gastric cancer.

Applications

Unspecified application

Species

Unspecified reactive species

Chuanzhi Chen,Haili Bao,Wu Lin,Xiangliu Chen,Yingying Huang,Haohao Wang,Yan Yang,Jin Liu,Xiadong Lv,Lisong Teng

Current issues in molecular biology 43:2210-2219 PubMed34940129

2021

Simulated Microgravity Induces the Proliferative Inhibition and Morphological Changes in Porcine Granulosa Cells.

Applications

Unspecified application

Species

Unspecified reactive species

Truong Xuan Dai,Hoang Nghia Son,Ho Nguyen Quynh Chi,Hoang Nghia Quang Huy,Nguyen Thai Minh,Nguyen Thi Thuy Tram,Nguyen Thi Thuong Huyen,To Minh Quan,Doan Chinh Chung,Truong Hai Nhung,Tran Thi Minh,Tran Hong Diem,Nguyen Thi Phuong Mai,Le Thanh Long
View all publications

Abcam Product Promise

我们致力于为您的研究提供高质量的试剂,为您科研的每一步提供支持。若我们的产品未能达到预期性能,我们向您提供 Abcam Product Promise 保障。
详情请参阅我们的条款与条件。

关联产品

Select an associated product type
Alternative Product
Primary Antibodies

AB214642

Alexa Fluor® 488 Anti-Cdk4 antibody [EPR2513Y]

primary-antibodies

alexa-fluor-488-cdk4-antibody-epr2513y-ab214642

0

(0 reviews)

Alternative Product
Primary Antibodies

AB193966

Alexa Fluor® 488 Anti-Cdk4 antibody [EPR4513-32-7]

primary-antibodies

alexa-fluor-488-cdk4-antibody-epr4513-32-7-ab193966

0

(0 reviews)

Alternative Product
Primary Antibodies

AB68266

Anti-Cdk4 antibody [EPR2513Y]

primary-antibodies

cdk4-antibody-epr2513y-ab68266

0

(0 reviews)

Alternative Product
Primary Antibodies

AB108355

Anti-Cdk4 antibody [EPR4513-54-3]

primary-antibodies

cdk4-antibody-epr4513-54-3-ab108355

5

(1 reviews)

Alternative Product
Primary Antibodies

AB213216

Anti-Cdk4 antibody [EPR4513-32-7] - BSA and Azide free

primary-antibodies

cdk4-antibody-epr4513-32-7-bsa-and-azide-free-ab213216

0

(0 reviews)

Alternative Product
Primary Antibodies

AB108357

Anti-Cdk4 antibody [EPR4513-32-7]

primary-antibodies

cdk4-antibody-epr4513-32-7-ab108357

5

(1 reviews)

Please note: All products are 'FOR RESEARCH USE ONLY. NOT FOR USE IN DIAGNOSTIC OR THERAPEUTIC PROCEDURES'.

For licensing inquiries, please contact partnerships@abcam.com