JavaScript is disabled in your browser. Please enable JavaScript to view this website.
AB109315

重组Anti-Cdc6抗体[EPR714(2)]

Anti-Cdc6 antibody [EPR714(2)]

4

(2 Reviews)

|

(23 Publications)

Rabbit Recombinant Monoclonal CDC6 antibody. Suitable for WB, ICC/IF, IHC-P and reacts with Human samples. Cited in 23 publications.

查看别名

CDC18L, CDC6, Cell division control protein 6 homolog, CDC6-related protein, Cdc18-related protein, p62(cdc6), HsCdc18, HsCDC6

6 Images
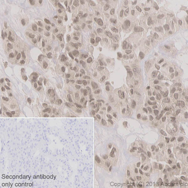
Immunohistochemistry (Formalin/PFA-fixed paraffin-embedded sections) - Anti-Cdc6 antibody [EPR714(2)] (AB109315)
  • IHC-P

Unknown

Immunohistochemistry (Formalin/PFA-fixed paraffin-embedded sections) - Anti-Cdc6 antibody [EPR714(2)] (AB109315)

Immunohistochemical analysis of Cdc6 in paraffin embedded Human breast carcinoma tissue, using unpurified ab109315 at a 1/1000 dilution.

Immunocytochemistry/ Immunofluorescence - Anti-Cdc6 antibody [EPR714(2)] (AB109315)
  • ICC/IF

Unknown

Immunocytochemistry/ Immunofluorescence - Anti-Cdc6 antibody [EPR714(2)] (AB109315)

Immunocytochemistry/ Immunofluorescence analysis of HeLa (Human cervix adenocarcinoma epithelial cell) cells labeling Cdc6 with Purified ab109315 at 1 : 100 dilution (9.4 µg/ml). Cells were fixed in 4% Paraformaldehyde and permeabilized with 0.1% tritonX-100. Cells were counterstained with ab195889 Anti-alpha Tubulin antibody [DM1A] - Microtubule Marker (Alexa Fluor®594) 1 : 200 (2.5 µg/ml). Goat anti rabbit IgG (Alexa Fluor®488, ab150077) was used as the secondary antibody at 1 : 1000 (2 µg/ml) dilution. DAPI nuclear counterstain. PBS instead of the primary antibody was used as the secondary antibody only control.

Immunohistochemistry (Formalin/PFA-fixed paraffin-embedded sections) - Anti-Cdc6 antibody [EPR714(2)] (AB109315)
  • IHC-P

Unknown

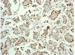
Immunohistochemistry (Formalin/PFA-fixed paraffin-embedded sections) - Anti-Cdc6 antibody [EPR714(2)] (AB109315)

Immunohistochemistry (Formalin/PFA-fixed paraffin-embedded sections) analysis of Human thyroid cancer tissue sections labeling Cdc6 with Purified ab109315 at 1 : 90 dilution (10.4 µg/ml). Heat mediated antigen retrieval was performed using using ab93684 (Tris/EDTA buffer, pH 9.0)ImmunoHistoProbe one step HRP Polymer (ready to use)was used as the secondary antibody.Negative control : PBS instead of the primary antibody.Hematoxylinwas used as a counterstain

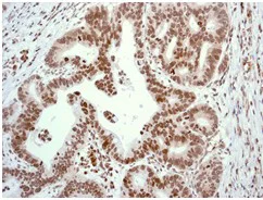
Immunohistochemistry (Formalin/PFA-fixed paraffin-embedded sections) - Anti-Cdc6 antibody [EPR714(2)] (AB109315)
  • IHC-P

Unknown

Immunohistochemistry (Formalin/PFA-fixed paraffin-embedded sections) - Anti-Cdc6 antibody [EPR714(2)] (AB109315)

Immunohistochemical analysis of Cdc6 in paraffin embedded Human gastric adenocarcinoma tissue, using unpurified ab109315 at a 1/1000 dilution.

Immunocytochemistry/ Immunofluorescence - Anti-Cdc6 antibody [EPR714(2)] (AB109315)
  • ICC/IF

AbReview60916****

Immunocytochemistry/ Immunofluorescence - Anti-Cdc6 antibody [EPR714(2)] (AB109315)

Unpurified ab109315 staining Cdc6 in the Hela cell line from Human cervix by ICC/IF (Immunocytochemistry/immunofluorescence). Cells were fixed with paraformaldehyde, permeabilized with 0.5% Triton X-100. Samples were incubated with primary antibody (1/500 in PBS) for 1 hour at 22°C. ab150081 (1/200) was used as the secondary antibody.

This image is courtesy of an abreview by Kirk Mcmanus

Western blot - Anti-Cdc6 antibody [EPR714(2)] (AB109315)
  • WB

Unknown

Western blot - Anti-Cdc6 antibody [EPR714(2)] (AB109315)

Blocking and diluting buffer : 5% NFDM/TBST.

Hydroxyurea induces Cdc6 expression (PMID : 11346650)

All lanes:

Western blot - Anti-Cdc6 antibody [EPR714(2)] (ab109315) at 0.5 µg/mL

Lane 1:

293T (Human embryonic kidney epithelial cell) whole cell lysates at 15 µg

Lane 2:

293T (Human embryonic kidney epithelial cell) treated with 20mM Hydroxyurea for 24 hours whole cell lysates at 15 µg

Lane 3:

HCT116 (Human colorectal carcinoma epithelial cell) whole cell lysates at 15 µg

Lane 4:

HCT116 (Human colorectal carcinoma epithelial cell) treated with 1mM Hydtoxyurea for 16 hours whole cell lysates at 15 µg

Secondary

All lanes:

Western blot - Goat Anti-Rabbit IgG H&L (HRP) (<a href='/products/secondary-antibodies/goat-rabbit-igg-h-l-hrp-ab97051'>ab97051</a>) at 1/20000 dilution

Predicted band size: 63 kDa

false

不同偶联物与剂型 (1)

  • Carrier free

    Anti-Cdc6 antibody [EPR714(2)] - BSA and Azide free

关键信息

宿主种属

Rabbit

克隆

Monoclonal

克隆号

EPR714(2)

亚型

IgG

不含载体蛋白

No

反应种属

Human

应用

WB, IHC-P, ICC/IF

applications

免疫原

The exact immunogen used to generate this antibody is proprietary information.

反应性数据

{ "title": "Reactivity Data", "filters": { "stats": ["", "Species", "Dilution Info", "Notes"], "tabs": { "all-applications": {"fullname" : "All Applications", "shortname": "All Applications"}, "WB" : {"fullname" : "Western blot", "shortname":"WB"}, "ICCIF" : {"fullname" : "Immunocytochemistry/ Immunofluorescence", "shortname":"ICC/IF"}, "FlowCytIntra" : {"fullname" : "Flow Cytometry (Intracellular)", "shortname":"Flow Cyt (Intra)"}, "IHCP" : {"fullname" : "Immunohistochemistry (Formalin/PFA-fixed paraffin-embedded sections)", "shortname":"IHC-P"} }, "product-promise": { "all": "all", "testedAndGuaranteed": "tested", "guaranteed": "expected", "predicted": "predicted", "notRecommended": "not-recommended" } }, "values": { "Human": { "WB-species-checked": "testedAndGuaranteed", "WB-species-dilution-info": "1/1000 - 1/10000", "WB-species-notes": "<p></p>", "ICCIF-species-checked": "testedAndGuaranteed", "ICCIF-species-dilution-info": "1/100", "ICCIF-species-notes": "<p><strong>For unpurified use at 1/250 - 1/500</strong></p>", "FlowCytIntra-species-checked": "notRecommended", "FlowCytIntra-species-dilution-info": "", "FlowCytIntra-species-notes": "<p></p>", "IHCP-species-checked": "testedAndGuaranteed", "IHCP-species-dilution-info": "1/90", "IHCP-species-notes": "<p></p> Perform heat-mediated antigen retrieval with Tris/EDTA buffer pH 9.0 before commencing with IHC staining protocol." }, "Mouse": { "WB-species-checked": "notRecommended", "WB-species-dilution-info": "1/1000 - 1/10000", "WB-species-notes": "<p></p>", "ICCIF-species-checked": "notRecommended", "ICCIF-species-dilution-info": "", "ICCIF-species-notes": "", "FlowCytIntra-species-checked": "notRecommended", "FlowCytIntra-species-dilution-info": "", "FlowCytIntra-species-notes": "", "IHCP-species-checked": "notRecommended", "IHCP-species-dilution-info": "", "IHCP-species-notes": "" }, "Rat": { "WB-species-checked": "notRecommended", "WB-species-dilution-info": "1/1000 - 1/10000", "WB-species-notes": "<p></p>", "ICCIF-species-checked": "notRecommended", "ICCIF-species-dilution-info": "", "ICCIF-species-notes": "", "FlowCytIntra-species-checked": "notRecommended", "FlowCytIntra-species-dilution-info": "", "FlowCytIntra-species-notes": "", "IHCP-species-checked": "notRecommended", "IHCP-species-dilution-info": "", "IHCP-species-notes": "" } } }

产品详情

Species reactivity
Mouse: We have preliminary internal testing data to indicate this antibody may not react with this species.
Please contact us for more information.

Patented technology
Our RabMAb® technology is a patented hybridoma-based technology for making rabbit monoclonal antibodies. For details on our patents, please refer to RabMAb® patents.

What are the advantages of a recombinant monoclonal antibody?
This product is a recombinant monoclonal antibody, which offers several advantages including:

  • - High batch-to-batch consistency and reproducibility
  • - Improved sensitivity and specificity
  • - Long-term security of supply
  • - Animal-free batch production

For more information, read more on recombinant antibodies.

性能和储存信息

形式
Liquid
纯化工艺
Affinity purification Protein A
存储溶液
pH: 7.2 - 7.4 Preservative: 0.01% Sodium azide Constituents: PBS, 40% Glycerol (glycerin, glycerine), 0.05% BSA
运输条件
Blue Ice
推荐的短期储存时间
1-2 weeks
推荐的短期储存条件
+4°C
推荐的长期储存条件
-20°C
分装信息
Upon delivery aliquot
储存信息
Avoid freeze / thaw cycle

补充信息

This supplementary information is collated from multiple sources and compiled automatically.

The Cdc6 protein also known simply as Cdc6 plays an important role in the initiation of DNA replication. This protein with a mass of around 60 kDa is widely expressed notably in the nucleus of eukaryotic cells. Cdc6 is responsible for loading the mini-chromosome maintenance (MCM) complex onto DNA an essential step in the formation of the pre-replicative complex at the origins of replication. Acting as an ATPase Cdc6 coordinates with other replication factors during the G1 phase of the cell cycle.
Biological function summary

The Cdc6 protein serves as a regulator of the cell cycle and is part of the origin recognition complex (ORC) which is essential for proper DNA replication initiation. As an important element in the pre-replication complex Cdc6 interacts with Cdt1 to recruit the MCM helicase. This interaction ensures that DNA helicase loading is tightly controlled and regulated during the cell cycle preventing premature replication that could lead to genomic instability.

Pathways

Cdc6 protein plays a vital role in the DNA replication pathway primarily activating at the G1/S transition to initiate replication. Cdc6 associates with other proteins such as ORC and MCM to facilitate the unwinding of DNA and formation of replication forks. Furthermore Cdc6 is integrated into the checkpoint pathways that monitor and control DNA replication and repair processes contributing to maintenance of genomic integrity.

Alterations or dysregulation of the Cdc6 protein are linked to several types of cancers and may contribute to tumorigenesis. Overexpression of Cdc6 has been observed in cancers such as colorectal cancer where it might enhance cellular proliferation through interactions with cyclin proteins. Additionally Cdc6’s role in replication stress has been associated with the development of chromosomal instability syndromes leading to genomic instability and potentially contributing to cancer progression.

产品实验方案

For this product, it's our understanding that no specific protocols are required. You can visit:

靶点信息

Involved in the initiation of DNA replication. Also participates in checkpoint controls that ensure DNA replication is completed before mitosis is initiated.
See full target information CDC6

文献 (23)

Recent publications for all applications. Explore the full list and refine your search

Nature communications 16:7799 PubMed40921755

2025

The DNA replication machinery transmits dual signals to prevent unscheduled licensing and execution of centrosome duplication.

Applications

Unspecified application

Species

Unspecified reactive species

Kyohei Matsuhashi,Kei K Ito,Kaho Nagai,Akira Sanada,Koki Watanabe,Kasuga Takumi,Atsushi Toyoda,Masamitsu Fukuyama,Shohei Yamamoto,Takumi Chinen,Grant S Stewart,Shoji Hata,Daiju Kitagawa

Aging 16:7799-7817 PubMed38696317

2024

Identifying lncRNAs and mRNAs related to survival of NSCLC based on bioinformatic analysis and machine learning.

Applications

Unspecified application

Species

Unspecified reactive species

Wei Yue,Jing Wang,Bo Lin,Yongping Fu

Journal of cancer research and clinical oncology 150:30 PubMed38270643

2024

The mA demethylase FTO targets POLQ to promote ccRCC cell proliferation and genome stability maintenance.

Applications

Unspecified application

Species

Unspecified reactive species

Yichen He,Yimeng Chen,Zhengsheng Li,Changping Wu

PeerJ 11:e16306 PubMed37904848

2023

High-risk histological subtype-related FAM83A hijacked FOXM1 transcriptional regulation to promote malignant progression in lung adenocarcinoma.

Applications

Unspecified application

Species

Unspecified reactive species

Wei Fei,Yan Yan,Guangjun Liu,Bo Peng,Yuanyuan Liu,Qiang Chen

BMC cancer 23:978 PubMed37833632

2023

CDC6, a key replication licensing factor, is overexpressed and confers poor prognosis in diffuse large B-cell lymphoma.

Applications

Unspecified application

Species

Unspecified reactive species

Mingfang Shen,Yunfeng Zhang,Lun Tang,Qinyan Fu,Jiawei Zhang,Yang Xu,Hui Zeng,Yuan Li

eLife 12: PubMed37461317

2023

Metabolic clogging of mannose triggers dNTP loss and genomic instability in human cancer cells.

Applications

Unspecified application

Species

Unspecified reactive species

Yoichiro Harada,Yu Mizote,Takehiro Suzuki,Akiyoshi Hirayama,Satsuki Ikeda,Mikako Nishida,Toru Hiratsuka,Ayaka Ueda,Yusuke Imagawa,Kento Maeda,Yuki Ohkawa,Junko Murai,Hudson H Freeze,Eiji Miyoshi,Shigeki Higashiyama,Heiichiro Udono,Naoshi Dohmae,Hideaki Tahara,Naoyuki Taniguchi

Cells 11: PubMed35326512

2022

A Temporary Pause in the Replication Licensing Restriction Leads to Rereplication during Early Human Cell Differentiation.

Applications

Unspecified application

Species

Unspecified reactive species

Marie Minet,Masood Abu-Halima,Yiqing Du,Julia Doerr,Christina Isted,Nicole Ludwig,Andreas Keller,Eckart Meese,Ulrike Fischer

Virologica Sinica 37:358-369 PubMed35537980

2022

Human cytomegalovirus RNA2.7 inhibits RNA polymerase II (Pol II) Serine-2 phosphorylation by reducing the interaction between Pol II and phosphorylated cyclin-dependent kinase 9 (pCDK9).

Applications

Unspecified application

Species

Unspecified reactive species

Yujing Huang,Xin Guo,Jing Zhang,Jianming Li,Mingyi Xu,Qing Wang,Zhongyang Liu,Yanping Ma,Ying Qi,Qiang Ruan

Chemotherapy 67:47-56 PubMed35034031

2022

The Effect of High CDC6 Levels on Predicting Poor Prognosis in Colorectal Cancer.

Applications

Unspecified application

Species

Unspecified reactive species

Cheng Yang,Na Xie,Zhifei Luo,Xiling Ruan,Yixin Zhang,Weijiang Wang,Yousheng Huang

International journal of clinical and experimental pathology 14:811-818 PubMed34367412

2021

CDC6 is a possible biomarker for hepatocellular carcinoma.

Applications

Unspecified application

Species

Unspecified reactive species

De-Gang Kong,Fu-Zhou Yao
View all publications

Abcam Product Promise

我们致力于为您的研究提供高质量的试剂,为您科研的每一步提供支持。若我们的产品未能达到预期性能,我们向您提供 Abcam Product Promise 保障。
详情请参阅我们的条款与条件。

Please note: All products are 'FOR RESEARCH USE ONLY. NOT FOR USE IN DIAGNOSTIC OR THERAPEUTIC PROCEDURES'.

For licensing inquiries, please contact partnerships@abcam.com