JavaScript is disabled in your browser. Please enable JavaScript to view this website.
AB244297

Anti-CD81抗体

Anti-CD81 antibody

Be the first to review this product! Submit a review

|

(1 Publication)

Rabbit Polyclonal CD81 antibody. Suitable for IHC-P, ICC/IF and reacts with Human samples. Cited in 1 publication. Immunogen corresponding to Recombinant Fragment Protein within Human CD81 aa 100 to C-terminus.

查看别名

CD81, TAPA1, TSPAN28, CD81 antigen, 26 kDa cell surface protein TAPA-1, Target of the antiproliferative antibody 1, Tetraspanin-28, Tspan-28

5 Images
Immunocytochemistry/ Immunofluorescence - Anti-CD81 antibody (AB244297)
  • ICC/IF

Unknown

Immunocytochemistry/ Immunofluorescence - Anti-CD81 antibody (AB244297)

PFA fixed, Triton X-100 permeabilized U-2 OS (Human bone osteosarcoma epithelial cell line) cells labeling CD81 using ab244297 at 4 μg/ml (green) in ICC/IF.

Immunohistochemistry (Formalin/PFA-fixed paraffin-embedded sections) - Anti-CD81 antibody (AB244297)
  • IHC-P

Unknown

Immunohistochemistry (Formalin/PFA-fixed paraffin-embedded sections) - Anti-CD81 antibody (AB244297)

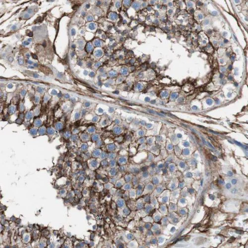
Formalin-fixed, paraffin-embedded human testis tissue stained for CD81 with ab244297 at a 1/500 dilution in immunohistochemical analysis.

Immunohistochemistry (Formalin/PFA-fixed paraffin-embedded sections) - Anti-CD81 antibody (AB244297)
  • IHC-P

Unknown

Immunohistochemistry (Formalin/PFA-fixed paraffin-embedded sections) - Anti-CD81 antibody (AB244297)

Formalin-fixed, paraffin-embedded human skeletal muscle tissue stained for CD81 with ab244297 at a 1/500 dilution in immunohistochemical analysis.

No positivity in myocytes, as expected.

Immunohistochemistry (Formalin/PFA-fixed paraffin-embedded sections) - Anti-CD81 antibody (AB244297)
  • IHC-P

Unknown

Immunohistochemistry (Formalin/PFA-fixed paraffin-embedded sections) - Anti-CD81 antibody (AB244297)

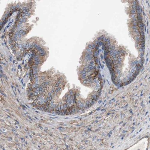
Formalin-fixed, paraffin-embedded human prostate tissue stained for CD81 with ab244297 at a 1/500 dilution in immunohistochemical analysis.

Immunohistochemistry (Formalin/PFA-fixed paraffin-embedded sections) - Anti-CD81 antibody (AB244297)
  • IHC-P

Unknown

Immunohistochemistry (Formalin/PFA-fixed paraffin-embedded sections) - Anti-CD81 antibody (AB244297)

Formalin-fixed, paraffin-embedded human prostate tissue stained for CD81 with ab244297 at a 1/500 dilution in immunohistochemical analysis.

关键信息

宿主种属

Rabbit

克隆

Polyclonal

亚型

IgG

不含载体蛋白

No

反应种属

Human

应用

IHC-P, ICC/IF

applications

免疫原

Recombinant Fragment Protein within Human CD81 aa 100 to C-terminus. The exact immunogen used to generate this antibody is proprietary information.

P60033

反应性数据

{ "title": "Reactivity Data", "filters": { "stats": ["", "Species", "Dilution Info", "Notes"], "tabs": { "all-applications": {"fullname" : "All Applications", "shortname": "All Applications"}, "IHCP" : {"fullname" : "Immunohistochemistry (Formalin/PFA-fixed paraffin-embedded sections)", "shortname":"IHC-P"}, "ICCIF" : {"fullname" : "Immunocytochemistry/ Immunofluorescence", "shortname":"ICC/IF"} }, "product-promise": { "all": "all", "testedAndGuaranteed": "tested", "guaranteed": "expected", "predicted": "predicted", "notRecommended": "not-recommended" } }, "values": { "Human": { "IHCP-species-checked": "testedAndGuaranteed", "IHCP-species-dilution-info": "1/500 - 1/1000", "IHCP-species-notes": "<p></p> Perform heat-mediated antigen retrieval with citrate buffer pH 6 before commencing with IHC staining protocol.", "ICCIF-species-checked": "testedAndGuaranteed", "ICCIF-species-dilution-info": "0.25-2 µg/mL", "ICCIF-species-notes": "<p>Fixation/Permeabilization: PFA/Triton X-100.</p>" }, "African green monkey": { "IHCP-species-checked": "predicted", "IHCP-species-dilution-info": "", "IHCP-species-notes": "", "ICCIF-species-checked": "predicted", "ICCIF-species-dilution-info": "", "ICCIF-species-notes": "" }, "Chimpanzee": { "IHCP-species-checked": "predicted", "IHCP-species-dilution-info": "", "IHCP-species-notes": "", "ICCIF-species-checked": "predicted", "ICCIF-species-dilution-info": "", "ICCIF-species-notes": "" } } }

性能和储存信息

形式
Liquid
纯化工艺
Affinity purification Immunogen
存储溶液
pH: 7.2 Preservative: 0.02% Sodium azide Constituents: PBS, 40% Glycerol (glycerin, glycerine)
运输条件
Blue Ice
推荐的短期储存时间
1-2 weeks
推荐的短期储存条件
+4°C
推荐的长期储存条件
-20°C
分装信息
Upon delivery aliquot
储存信息
Avoid freeze / thaw cycle

补充信息

This supplementary information is collated from multiple sources and compiled automatically.

CD81 also known as TAPA-1 or 26 kDa protein is a member of the tetraspanin family featuring four transmembrane domains. The molecular weight of CD81 is approximately 26-28 kDa. This protein exhibits expression in numerous cell types such as leukocytes endothelial cells and epithelial tissues. CD81 plays a mechanical role by facilitating membrane protein interactions and contributing to cellular processes like adhesion and morphogenesis. Researchers have identified specific isoforms like M38 and labels like 1D6 CHAN in studies involving this target often analyzing CD81 through techniques like Western blot to determine expression levels and molecular weight.
Biological function summary

CD81 interacts with other tetraspanins and forms complexes within the membrane to regulate cellular signaling trafficking and adhesion. It participates in the assembly of larger tetraspanin-enriched microdomains which are important for efficient signaling and functional variety. These complexes modulate cell morphology proliferation and development influencing immune responses and pathogen entry to cells. The presence of CD81 in diverse tissues implies its involvement in a wide range of cellular processes forming essential complexes with proteins like integrins that further engage in tissue repair and immunological defense.

Pathways

CD81 plays significant roles in the immune system and viral entry pathways. It interacts with other proteins like CD9 and CD19 within the immune response pathways regulating lymphocyte activation and differentiation. CD81 is notably a coreceptor in the hepatitis C virus (HCV) entry pathway facilitating viral attachment and fusion into host cells. These interactions illustrate CD81's involvement in modulation of immune cell responses and influence on pathogen infection processes integrating into the complex cellular pathways important for maintaining homeostasis and response to external stimuli.

CD81 has connections to hepatitis C virus (HCV) infections and immunological disorders such as systemic lupus erythematosus (SLE). During HCV infection CD81 serves as an important entry point for the virus interacting with proteins like claudin-1 and scavenger receptor class B type I (SR-BI) enabling viral entry and replication within liver cells. In SLE alterations in CD81 expression can impact autoantibody production and lymphocyte behavior contributing to the disease's pathology. Understanding CD81's role in these diseases provides insight into therapeutic targets and potential interventions for managing infections and autoimmune responses.

产品实验方案

For this product, it's our understanding that no specific protocols are required. You can visit:

靶点信息

Structural component of specialized membrane microdomains known as tetraspanin-enriched microdomains (TERMs), which act as platforms for receptor clustering and signaling. Essential for trafficking and compartmentalization of CD19 receptor on the surface of activated B cells (PubMed : 16449649, PubMed : 20237408, PubMed : 27881302). Upon initial encounter with microbial pathogens, enables the assembly of CD19-CR2/CD21 and B cell receptor (BCR) complexes at signaling TERMs, lowering the threshold dose of antigen required to trigger B cell clonal expansion and antibody production (PubMed : 15161911, PubMed : 20237408). In T cells, facilitates the localization of CD247/CD3 zeta at antigen-induced synapses with B cells, providing for costimulation and polarization toward T helper type 2 phenotype (PubMed : 22307619, PubMed : 23858057, PubMed : 8766544). Present in MHC class II compartments, may also play a role in antigen presentation (PubMed : 8409388, PubMed : 8766544). Can act both as positive and negative regulator of homotypic or heterotypic cell-cell fusion processes. Positively regulates sperm-egg fusion and may be involved in acrosome reaction (By similarity). In myoblasts, associates with CD9 and PTGFRN and inhibits myotube fusion during muscle regeneration (By similarity). In macrophages, associates with CD9 and beta-1 and beta-2 integrins, and prevents macrophage fusion into multinucleated giant cells specialized in ingesting complement-opsonized large particles (PubMed : 12796480). Also prevents the fusion of mononuclear cell progenitors into osteoclasts in charge of bone resorption (By similarity). May regulate the compartmentalization of enzymatic activities. In T cells, defines the subcellular localization of dNTPase SAMHD1 and permits its degradation by the proteasome, thereby controlling intracellular dNTP levels (PubMed : 28871089). Also involved in cell adhesion and motility. Positively regulates integrin-mediated adhesion of macrophages, particularly relevant for the inflammatory response in the lung (By similarity).. (Microbial infection) Acts as a receptor for hepatitis C virus (HCV) in hepatocytes. Association with CLDN1 and the CLDN1-CD81 receptor complex is essential for HCV entry into host cell.. (Microbial infection) Involved in SAMHD1-dependent restriction of HIV-1 replication. May support early replication of both R5- and X4-tropic HIV-1 viruses in T cells, likely via proteasome-dependent degradation of SAMHD1.. (Microbial infection) Specifically required for Plasmodium falciparum infectivity of hepatocytes, controlling sporozoite entry into hepatocytes via the parasitophorous vacuole and subsequent parasite differentiation to exoerythrocytic forms.
See full target information CD81

文献 (1)

Recent publications for all applications. Explore the full list and refine your search

Life science alliance 7: PubMed38167610

2024

2',3' cyclic nucleotide 3' phosphodiesterase 1 functional isoform antagonizes HIV-1 particle assembly.

Applications

Unspecified application

Species

Unspecified reactive species

Shuntao Liang,Qin Zhang,Fang Wang,Shiwei Wang,Guoli Li,Dong Jiang,Hui Zeng
View all publications

Abcam Product Promise

我们致力于为您的研究提供高质量的试剂,为您科研的每一步提供支持。若我们的产品未能达到预期性能,我们向您提供 Abcam Product Promise 保障。
详情请参阅我们的条款与条件。

Please note: All products are 'FOR RESEARCH USE ONLY. NOT FOR USE IN DIAGNOSTIC OR THERAPEUTIC PROCEDURES'.

For licensing inquiries, please contact partnerships@abcam.com