JavaScript is disabled in your browser. Please enable JavaScript to view this website.
AB189926

重组Anti-CD8 alpha抗体[EPR10640(2)] - N-terminal

Anti-CD8 alpha antibody [EPR10640(2)] - N-terminal

Be the first to review this product! Submit a review

|

(1 Publication)

Rabbit Recombinant Monoclonal CD8 alpha antibody. N-terminal. Suitable for IHC-P and reacts with Human samples. Cited in 1 publication.

查看别名

CD8a, MAL, CD8A, T-cell surface glycoprotein CD8 alpha chain, T-lymphocyte differentiation antigen T8/Leu-2

1 Images
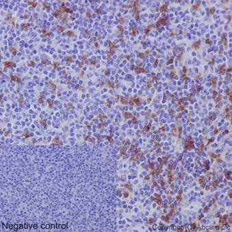
Immunohistochemistry (Formalin/PFA-fixed paraffin-embedded sections) - Anti-CD8 alpha antibody [EPR10640(2)] - N-terminal (AB189926)
  • IHC-P

Supplier Data

Immunohistochemistry (Formalin/PFA-fixed paraffin-embedded sections) - Anti-CD8 alpha antibody [EPR10640(2)] - N-terminal (AB189926)

Immunohistochemical analysis of paraffin-embedded, Human tonsil tissue tissue labeling CD8 alpha with ab189926 at a 1/500 dilution. Counter stained with hematoxylin. Negative control also shown.

Perform heat mediated antigen retrieval with Tris/EDTA buffer pH 9.0 before commencing with IHC staining protocol.

不同偶联物与剂型 (1)

  • Carrier free

    Anti-CD8 alpha antibody [EPR10640(2)] - BSA and Azide free

关键信息

宿主种属

Rabbit

克隆

Monoclonal

克隆号

EPR10640(2)

亚型

IgG

不含载体蛋白

No

反应种属

Human

应用

IHC-P

applications

免疫原

The exact immunogen used to generate this antibody is proprietary information.

反应性数据

{ "title": "Reactivity Data", "filters": { "stats": ["", "Species", "Dilution Info", "Notes"], "tabs": { "all-applications": {"fullname" : "All Applications", "shortname": "All Applications"}, "IHCP" : {"fullname" : "Immunohistochemistry (Formalin/PFA-fixed paraffin-embedded sections)", "shortname":"IHC-P"} }, "product-promise": { "all": "all", "testedAndGuaranteed": "tested", "guaranteed": "expected", "predicted": "predicted", "notRecommended": "not-recommended" } }, "values": { "Human": { "IHCP-species-checked": "testedAndGuaranteed", "IHCP-species-dilution-info": "1/500", "IHCP-species-notes": "<p></p> Perform heat-mediated antigen retrieval with Tris/EDTA buffer pH 9.0 before commencing with IHC staining protocol." } } }

您可能对以下产品感兴趣:

AB256393

Human CD8A ELISA Kit

0

0 Reviews

查看产品
为什么推荐这个?

我们推荐这个产品,因为它经常被用于相同的实验或相关的研究。

我们建议您务必查阅产品说明书,以确认其是否符合您的实验需求;若有疑问,也可联系我们的技术团队获取协助。

产品详情

性能和储存信息

形式
Liquid
纯化工艺
Affinity purification Protein A
存储溶液
pH: 7.2 - 7.4 Preservative: 0.01% Sodium azide Constituents: 59% PBS, 40% Glycerol (glycerin, glycerine), 0.05% BSA
运输条件
Blue Ice
推荐的短期储存时间
1-2 weeks
推荐的短期储存条件
+4°C
推荐的长期储存条件
-20°C
分装信息
Upon delivery aliquot
储存信息
Avoid freeze / thaw cycle

补充信息

This supplementary information is collated from multiple sources and compiled automatically.

CD8 alpha also known as CD8A or CD8 protein is a glycoprotein subunit expressed on the surface of cytotoxic T lymphocytes. It has a mass of approximately 32 kDa. Found on the surface cell membrane CD8 alpha functions primarily in the immune response specifically in the recognition of antigens bound to major histocompatibility complex (MHC) class I molecules. Often scientists use CD8 antibodies for detection and CD8 IHC or immunohistochemistry for localization studies.
Biological function summary

The CD8 alpha protein plays a critical role in T-cell mediated immune responses. It forms a heterodimer with the CD8 beta chain creating the CD8 alpha-beta complex that strengthens T-cell interaction with antigen-presenting cells. CD8 alpha also helps in signaling processes that activate T cells equipping them to destroy infected or malignant cells. Researchers often study CD8 alpha peptides to understand its interactions better.

Pathways

CD8 alpha is integral to the T-cell receptor signaling pathway and the cytotoxic T lymphocyte (CTL) pathway. The T-cell receptor complex which includes the CD8 molecule transmits signals that are important for T-cell activation and function. CD8 interacts with key proteins such as the T-cell receptor (TCR) and MHC class I molecules facilitating targeted responses against pathogens. These pathways highlight CD8 alpha’s role in adaptive immunity.

CD8 alpha is most prominently associated with viral infections and cancer. Conditions like HIV and some forms of leukemia show altered CD8 function highlighting the protein's role in immune surveillance. In HIV infection for instance CD8 T cells reduce in number impairing the immune response. CD8 alpha’s connection to the immune system places it alongside other immune proteins such as CD4 and MHC molecules in the context of immune dysfunction.

产品实验方案

For this product, it's our understanding that no specific protocols are required. You can visit:

靶点信息

The protein expressed by the gene CD8A is an integral membrane glycoprotein crucial for immune responses, operating mainly in T-cells as a coreceptor for MHC class I molecule : peptide complexes. These peptides originate from cytosolic proteins, unlike class II peptides, which are from extracellular proteins. CD8A interacts with the T-cell receptor (TCR) and MHC class I proteins on antigen-presenting cells, recruiting the Src kinase LCK to the TCR-CD3 complex. LCK phosphorylates substrates, triggering signaling pathways that lead to the production of lymphokines, enhanced motility, adhesion, and activation of cytotoxic T-lymphocytes (CTLs), thereby aiding in the recognition and elimination of infected or tumor cells. Additionally, in natural killer (NK) cells, CD8A homodimers on the cell surface provide a survival mechanism for conjugating with and lysing multiple target cells. CD8A homodimers also facilitate the survival and differentiation of activated lymphocytes into memory CD8 T-cells. This supplementary information is collated from multiple sources and compiled automatically.
See full target information CD8A

文献 (1)

Recent publications for all applications. Explore the full list and refine your search

Nature communications 13:7281 PubMed36435834

2022

ARID1A loss induces polymorphonuclear myeloid-derived suppressor cell chemotaxis and promotes prostate cancer progression.

Applications

Unspecified application

Species

Unspecified reactive species

Ni Li,Qiuli Liu,Ying Han,Siyu Pei,Bisheng Cheng,Junyu Xu,Xiang Miao,Qiang Pan,Hanling Wang,Jiacheng Guo,Xuege Wang,Guoying Zhang,Yannan Lian,Wei Zhang,Yi Zang,Minjia Tan,Qintong Li,Xiaoming Wang,Yichuan Xiao,Guohong Hu,Jun Jiang,Hai Huang,Jun Qin
View all publications

Abcam Product Promise

我们致力于为您的研究提供高质量的试剂,为您科研的每一步提供支持。若我们的产品未能达到预期性能,我们向您提供 Abcam Product Promise 保障。
详情请参阅我们的条款与条件。

关联产品

Select an associated product type
Alternative Product
Primary Antibodies

AB217344

Anti-CD8 alpha antibody [EPR21769]

primary-antibodies

cd8-alpha-antibody-epr21769-ab217344

5

(6 reviews)

Alternative Product
Primary Antibodies

AB230156

Anti-CD8 alpha antibody [EPR21769] - BSA and Azide free

primary-antibodies

cd8-alpha-antibody-epr21769-bsa-and-azide-free-ab230156

0

(0 reviews)

Alternative Product
Primary Antibodies

AB277939

Alexa Fluor® 594 Anti-CD8 alpha antibody [EPR21769]

primary-antibodies

alexa-fluor-594-cd8-alpha-antibody-epr21769-ab277939

0

(0 reviews)

Alternative Product
Primary Antibodies

AB209775

Anti-CD8 alpha antibody [EPR20305]

primary-antibodies

cd8-alpha-antibody-epr20305-ab209775

4

(8 reviews)

Please note: All products are 'FOR RESEARCH USE ONLY. NOT FOR USE IN DIAGNOSTIC OR THERAPEUTIC PROCEDURES'.

For licensing inquiries, please contact partnerships@abcam.com