JavaScript is disabled in your browser. Please enable JavaScript to view this website.
AB199000

Anti-CD68抗体[KP1 + C68/684]

Anti-CD68 antibody [KP1 + C68/684]

Be the first to review this product! Submit a review

|

(6 Publications)

Mouse Multiclonal CD68 antibody. Suitable for IHC-P and reacts with Human samples. Cited in 6 publications. Immunogen corresponding to Cell preparation containing CD68 protein.

查看别名

CD68, Macrosialin, Gp110

2 Images
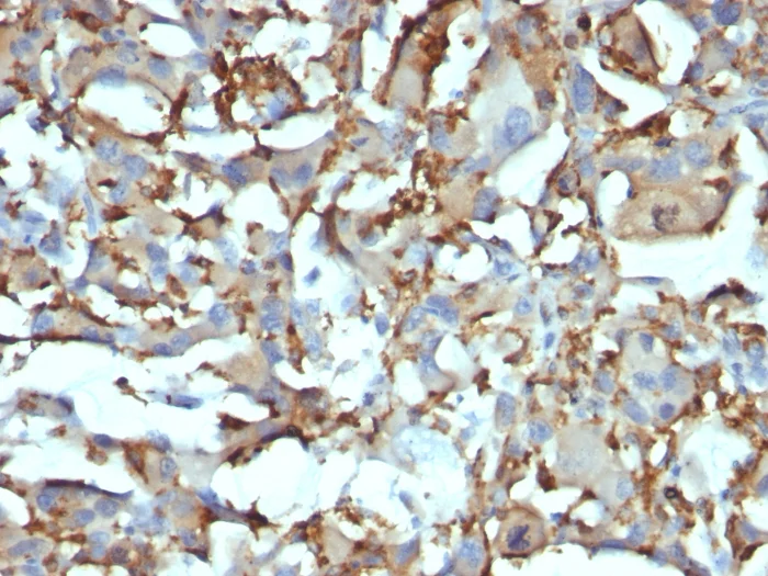
Immunohistochemistry (Formalin/PFA-fixed paraffin-embedded sections) - Anti-CD68 antibody [KP1 + C68/684] (AB199000)
  • IHC-P

Supplier Data

Immunohistochemistry (Formalin/PFA-fixed paraffin-embedded sections) - Anti-CD68 antibody [KP1 + C68/684] (AB199000)

Immunohistochemistry (Formalin/PFA-fixed paraffin-embedded sections) analysis of human histiocytoma tissue labelling CD68 with ab199000 at 2 μg/mL for 30 minutes at room temperature. Staining of formalin-fixed tissues requires heating tissue sections in 10mM Tris with 1mM EDTA, pH 9.0, for 45 min at 95°C followed by cooling at room temperature for 20 minutes.

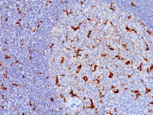
Immunohistochemistry (Formalin/PFA-fixed paraffin-embedded sections) - Anti-CD68 antibody [KP1 + C68/684] (AB199000)
  • IHC-P

Supplier Data

Immunohistochemistry (Formalin/PFA-fixed paraffin-embedded sections) - Anti-CD68 antibody [KP1 + C68/684] (AB199000)

Immunohistochemical analysis of formalin-fixed, paraffin-embedded Human tonsil tissue labeling CD68 with ab199000 at 1μg/ml (10X).

关键信息

宿主种属

Mouse

克隆

Multiclonal

克隆号

KP1 + C68/684

亚型

IgG1

轻链类型

kappa

不含载体蛋白

No

反应种属

Human

应用

IHC-P

applications

免疫原

Cell preparation containing CD68 protein. The exact immunogen used to generate this antibody is proprietary information.

P34810

反应性数据

{ "title": "Reactivity Data", "filters": { "stats": ["", "Species", "Dilution Info", "Notes"], "tabs": { "all-applications": {"fullname" : "All Applications", "shortname": "All Applications"}, "IHCP" : {"fullname" : "Immunohistochemistry (Formalin/PFA-fixed paraffin-embedded sections)", "shortname":"IHC-P"} }, "product-promise": { "all": "all", "testedAndGuaranteed": "tested", "guaranteed": "expected", "predicted": "predicted", "notRecommended": "not-recommended" } }, "values": { "Human": { "IHCP-species-checked": "testedAndGuaranteed", "IHCP-species-dilution-info": "1-2 µg/mL", "IHCP-species-notes": "<p></p> Perform heat-mediated antigen retrieval with Tris/EDTA buffer pH 9.0 before commencing with IHC staining protocol." }, "Mouse": { "IHCP-species-checked": "predicted", "IHCP-species-dilution-info": "", "IHCP-species-notes": "" }, "Rat": { "IHCP-species-checked": "predicted", "IHCP-species-dilution-info": "", "IHCP-species-notes": "" }, "Cat": { "IHCP-species-checked": "predicted", "IHCP-species-dilution-info": "", "IHCP-species-notes": "" }, "Monkey": { "IHCP-species-checked": "predicted", "IHCP-species-dilution-info": "", "IHCP-species-notes": "" } } }

产品详情

What is an oligoclonal antibody?
This oligoclonal antibody is a cocktail of monoclonal antibodies that have been carefully selected. Oligoclonal antibodies have not only the specificity and batch-to-batch consistency of a monoclonal antibody, but also have the advantage of the sensitivity of a polyclonal antibody due to their ability to recognize multiple epitopes on an antigen.

性能和储存信息

形式
Liquid
纯化工艺
Affinity purification Protein G
存储溶液
pH: 7.2 - 7.4 Preservative: 0.05% Sodium azide Constituents: PBS, 0.05% BSA
运输条件
Blue Ice
推荐的短期储存时间
1-2 weeks
推荐的短期储存条件
+4°C
推荐的长期储存条件
-20°C
分装信息
Upon delivery aliquot
储存信息
Avoid freeze / thaw cycle

补充信息

This supplementary information is collated from multiple sources and compiled automatically.

CD68 is a glycoprotein that functions as a scavenger receptor. It plays an important role in the regulation of cellular debris and apoptotic cell clearance. Researchers often refer to it as KP1 or macrosialin in the literature. CD68 with a molecular weight of approximately 110 kDa is highly expressed in macrophages and monocytes. The mucin-like structure of CD68 allows it to be heavily glycosylated which aids in its function. Researchers detect CD68 in tissues through methods like immunohistochemistry (IHC) immunofluorescence and CD68 staining and it is widely used as a macrophage marker in research.
Biological function summary

CD68 facilitates functions associated with the innate immune response. It serves as an important part of macrophages which contribute to immune surveillance and tissue homeostasis. Though it primarily operates on its own in some contexts CD68 might assist in forming complexes with other receptors to modulate phagocytic activity. This target is significant in atherosclerotic plaque stability as macrophages engulf lipids and cell debris through processes facilitated by CD68.

Pathways

CD68 is involved in pathways connected to inflammation and phagocytosis. The CD68 protein works closely with other scavenger receptors like CD36 to mediate uptake of oxidized low-density lipoproteins (oxLDL) in the lipid metabolism pathway. Additionally CD68 engagement can influence the toll-like receptor (TLR) signaling pathways thereby linking innate immunity and inflammatory responses critical for host defense and disease progression.

CD68 is associated with atherosclerosis and multiple sclerosis. In atherosclerosis its role becomes evident as it accumulates in macrophages within the plaques making it a marker of disease severity. In multiple sclerosis CD68 expression in macrophages and microglia indicates active demyelination and inflammation. It also relates to proteins such as CD36 in atherosclerosis where both mediate the uptake of modified LDL contributing to foam cell formation in plaques.

产品实验方案

For this product, it's our understanding that no specific protocols are required. You can visit:

靶点信息

Could play a role in phagocytic activities of tissue macrophages, both in intracellular lysosomal metabolism and extracellular cell-cell and cell-pathogen interactions. Binds to tissue- and organ-specific lectins or selectins, allowing homing of macrophage subsets to particular sites. Rapid recirculation of CD68 from endosomes and lysosomes to the plasma membrane may allow macrophages to crawl over selectin-bearing substrates or other cells.
See full target information CD68

文献 (6)

Recent publications for all applications. Explore the full list and refine your search

Clinical cancer research : an official journal of the American Association for Cancer Research 30:4068-4076 PubMed39042445

2024

Mutant IDH Modulates Suppressive Myeloid Populations in Malignant Glioma.

Applications

Unspecified application

Species

Unspecified reactive species

Eric P Grewal,Leland G K Richardson,Jing Sun,Rishab Ramapriyan,Maria Martinez-Lage,Julie J Miller,Bob S Carter,Daniel P Cahill,William T Curry,Bryan D Choi

Frontiers in immunology 13:936164 PubMed35990658

2022

Mice with humanized immune system as novel models to study HIV-associated pulmonary hypertension.

Applications

Unspecified application

Species

Unspecified reactive species

Valerie J Rodriguez-Irizarry,Alina C Schneider,Daniel Ahle,Justin M Smith,Edu B Suarez-Martinez,Ethan A Salazar,Brianyell McDaniel Mims,Fahmida Rasha,Hanna Moussa,Naima Moustaïd-Moussa,Kevin Pruitt,Marcelo Fonseca,Mauricio Henriquez,Matthias A Clauss,Matthew B Grisham,Sharilyn Almodovar

iScience 25:103971 PubMed35224470

2022

Coagulation factor V is a T-cell inhibitor expressed by leukocytes in COVID-19.

Applications

Unspecified application

Species

Unspecified reactive species

Jun Wang,Prasanti Kotagiri,Paul A Lyons,Rafia S Al-Lamki,Federica Mescia,Laura Bergamaschi,Lorinda Turner,Michael D Morgan,Fernando J Calero-Nieto,Karsten Bach,Nicole Mende,Nicola K Wilson,Emily R Watts,Patrick H Maxwell,Patrick F Chinnery,Nathalie Kingston,Sofia Papadia,Kathleen E Stirrups,Neil Walker,Ravindra K Gupta,David K Menon,Kieren Allinson,Sarah J Aitken,Mark Toshner,Michael P Weekes,James A Nathan,Sarah R Walmsley,Willem H Ouwehand,Mary Kasanicki,Berthold Göttgens,John C Marioni,Kenneth G C Smith,Jordan S Pober,John R Bradley

Cancer immunology, immunotherapy : CII 68:1501-1513 PubMed31489465

2019

Tumor-induced peripheral immunosuppression promotes brain metastasis in patients with non-small cell lung cancer.

Applications

Unspecified application

Species

Unspecified reactive species

Yuping D Li,Jonathan B Lamano,Jason B Lamano,Jessica Quaggin-Smith,Dorina Veliceasa,Gurvinder Kaur,Dauren Biyashev,Dusten Unruh,Orin Bloch

Cancer immunology, immunotherapy : CII 68:999-1009 PubMed31030234

2019

Systemic and local immunosuppression in patients with high-grade meningiomas.

Applications

Unspecified application

Species

Unspecified reactive species

Yuping D Li,Dorina Veliceasa,Jason B Lamano,Jonathan B Lamano,Gurvinder Kaur,Dauren Biyashev,Craig M Horbinski,Tim J Kruser,Orin Bloch

Clinical cancer research : an official journal of 25:3643-3657 PubMed30824583

2019

Glioblastoma-Derived IL6 Induces Immunosuppressive Peripheral Myeloid Cell PD-L1 and Promotes Tumor Growth.

Applications

Unspecified application

Species

Unspecified reactive species

Jonathan B Lamano,Jason Balquidera Lamano,Yuping D Li,Joseph D DiDomenico,Winward Choy,Dorina Veliceasa,Daniel E Oyon,Shayan Fakurnejad,Leonel Ampie,Kartik Kesavabhotla,Rajwant Kaur,Gurvinder Kaur,Dauren Biyashev,Dusten J Unruh,Craig M Horbinski,C David James,Andrew T Parsa,Orin Bloch
View all publications

Abcam Product Promise

我们致力于为您的研究提供高质量的试剂,为您科研的每一步提供支持。若我们的产品未能达到预期性能,我们向您提供 Abcam Product Promise 保障。
详情请参阅我们的条款与条件。

Please note: All products are 'FOR RESEARCH USE ONLY. NOT FOR USE IN DIAGNOSTIC OR THERAPEUTIC PROCEDURES'.

For licensing inquiries, please contact partnerships@abcam.com