JavaScript is disabled in your browser. Please enable JavaScript to view this website.
AB229292

重组Anti-CD45抗体[EPR20033] - BSA and Azide free

Anti-CD45 antibody [EPR20033] - BSA and Azide free

5

(2 Reviews)

|

(1 Publication)

Rabbit Recombinant Monoclonal CD45 antibody. Carrier free. Suitable for IP, WB, IHC-P and reacts with Mouse, Human samples. Cited in 1 publication.

查看别名

CD45, Ly-5, Ptprc, Receptor-type tyrosine-protein phosphatase C, Leukocyte common antigen, Lymphocyte antigen 5, T200, L-CA

7 Images
Immunohistochemistry (Formalin/PFA-fixed paraffin-embedded sections) - Anti-CD45 antibody [EPR20033] - BSA and Azide free (AB229292)
  • IHC-P

Lab

Immunohistochemistry (Formalin/PFA-fixed paraffin-embedded sections) - Anti-CD45 antibody [EPR20033] - BSA and Azide free (AB229292)

This data was developed using ab208022, the same antibody clone in a different buffer formulation.

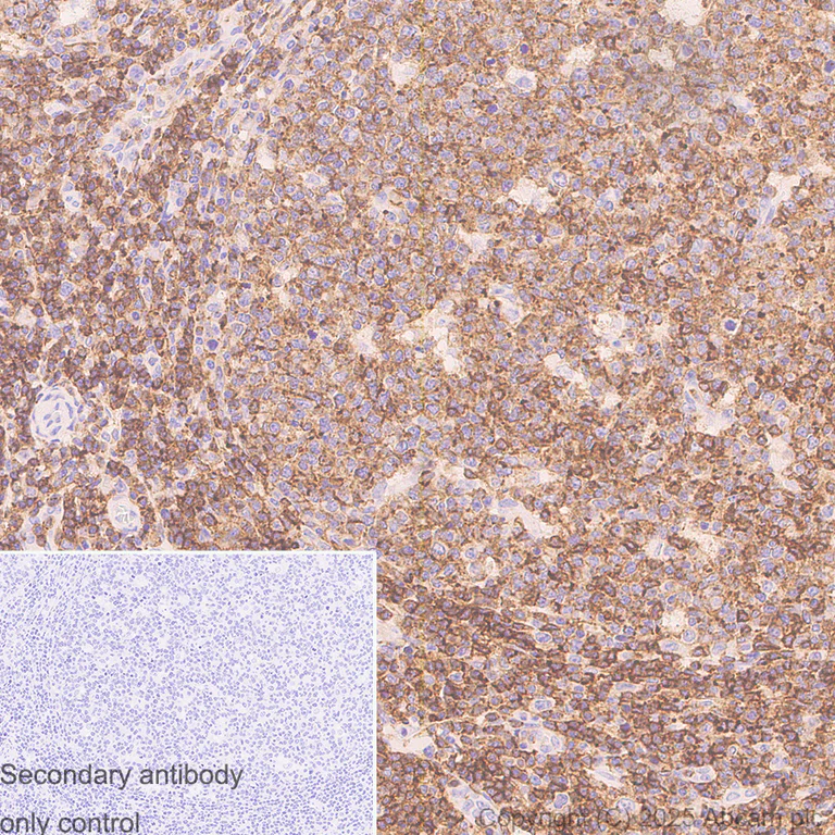
Immunohistochemical analysis of paraffin-embedded human tonsil tissue labeling CD45 with ab208022 at 1/5000 (0.14 ug/ml) dilution, followed by a ready to use LeicaDS9800 (Bond™ Polymer Refine Detection).

Positive staining in human tonsil tissue.
The section was incubated with ab208022 for 30 mins at room temperature.
The immunostaining was performed on a Leica Biosystems BOND® RX instrument

Counterstained with Hematoxylin.

Secondary antibody only control : Secondary antibody is a ready to use LeicaDS9800 (Bond™ Polymer Refine Detection).

Heat mediated antigen retrieval was performed with Tris-EDTA buffer (pH 9.0, Epitope Retrieval Solution2) for 20 mins.

Immunohistochemistry (Formalin/PFA-fixed paraffin-embedded sections) - Anti-CD45 antibody [EPR20033] - BSA and Azide free (AB229292)
  • IHC-P

Lab

Immunohistochemistry (Formalin/PFA-fixed paraffin-embedded sections) - Anti-CD45 antibody [EPR20033] - BSA and Azide free (AB229292)

This data was developed using ab208022, the same antibody clone in a different buffer formulation.

Immunohistochemical analysis of paraffin-embedded human kidney tissue labeling CD45 with ab208022 at 1/5000 (0.14 ug/ml) dilution, followed by a ready to use LeicaDS9800 (Bond™ Polymer Refine Detection).

Negative control : no staining in human kidney tissue.
The section was incubated with ab208022 for 30 mins at room temperature.
The immunostaining was performed on a Leica Biosystems BOND® RX instrument

Counterstained with Hematoxylin.

Secondary antibody only control : Secondary antibody is a ready to use LeicaDS9800 (Bond™ Polymer Refine Detection).

Heat mediated antigen retrieval was performed with Tris-EDTA buffer (pH 9.0, Epitope Retrieval Solution2) for 20 mins.

Immunohistochemistry (Formalin/PFA-fixed paraffin-embedded sections) - Anti-CD45 antibody [EPR20033] - BSA and Azide free (AB229292)
  • IHC-P

Lab

Immunohistochemistry (Formalin/PFA-fixed paraffin-embedded sections) - Anti-CD45 antibody [EPR20033] - BSA and Azide free (AB229292)

This data was developed using ab208022, the same antibody clone in a different buffer formulation.

Immunohistochemical analysis of paraffin-embedded human skeletal muscle tissue labeling CD45 with ab208022 at 1/5000 (0.14 ug/ml) dilution, followed by a ready to use LeicaDS9800 (Bond™ Polymer Refine Detection).

Negative control : no staining in human skeletal muscle tissue.
The section was incubated with ab208022 for 30 mins at room temperature.
The immunostaining was performed on a Leica Biosystems BOND® RX instrument

Counterstained with Hematoxylin.

Secondary antibody only control : Secondary antibody is a ready to use LeicaDS9800 (Bond™ Polymer Refine Detection).

Heat mediated antigen retrieval was performed with Tris-EDTA buffer (pH 9.0, Epitope Retrieval Solution2) for 20 mins.

Immunohistochemistry (Formalin/PFA-fixed paraffin-embedded sections) - Anti-CD45 antibody [EPR20033] - BSA and Azide free (AB229292)
  • IHC-P

Unknown

Immunohistochemistry (Formalin/PFA-fixed paraffin-embedded sections) - Anti-CD45 antibody [EPR20033] - BSA and Azide free (AB229292)

Immunohistochemistry (Formalin/PFA-fixed paraffin-embedded sections) analysis of mouse spleen tissue sections labeling CD45 with purified ab208022 at 1/5000 dilution (0.14 μg/ml). ImmunoHistoProbe one step HRP Polymer (ready to use) was used as the secondary antibody.

Negative control : PBS instead of the primary antibody. Hematoxylin was used as a counterstain.

Heat mediated antigen retrieval was performed with Tris/EDTA pH9 buffer (ab93684).

This data was developed using the same antibody clone in a different buffer formulation containing PBS, BSA, glycerol, and sodium azide (ab208022).

Immunoprecipitation - Anti-CD45 antibody [EPR20033] - BSA and Azide free (AB229292)
  • IP

Supplier Data

Immunoprecipitation - Anti-CD45 antibody [EPR20033] - BSA and Azide free (AB229292)

CD45 was immunoprecipitated from 0.35 mg of J774A.1 (Mouse reticulum cell sarcoma macrophage cell line) whole cell lysate with ab208022 at 1/30 dilution.

Western blot was performed from the immunoprecipitate using ab208022 at 1/1000 dilution.

VeriBlot for IP Detection Reagent (HRP) (ab131366), was used for detection at 1/1000 dilution.

Lane 1 : J774A.1 whole cell lysate 10μg (Input).

Lane 2 : ab208022 IP in J774A.1 whole cell lysate.

Lane 3 : Rabbit monoclonal IgG (ab172730) instead of ab208022 in J774A.1 whole cell lysate.

Blocking and dilution buffer and concentration : 5% NFDM/TBST.

Exposure time : 3 minutes.

This data was developed using the same antibody clone in a different buffer formulation containing PBS, BSA, glycerol, and sodium azide (ab208022).

All lanes:

Immunoprecipitation - Anti-CD45 antibody [EPR20033] (<a href='/products/primary-antibodies/cd45-antibody-epr20033-ab208022'>ab208022</a>)

Predicted band size: 147 kDa

false

Western blot - Anti-CD45 antibody [EPR20033] - BSA and Azide free (AB229292)
  • WB

Lab

Western blot - Anti-CD45 antibody [EPR20033] - BSA and Azide free (AB229292)

False colour image of Western blot : Anti-CD45 antibody [EPR20033] staining at 1/1000 dilution, shown in green; Mouse anti-Alpha Tubulin [DM1A] (ab7291) loading control staining at 1/20000 dilution, shown in red. In Western blot, ab208022 was shown to bind specifically to CD45. A band was observed at 160-220 kDa in wild-type Jurkat cell lysates with no signal observed at this size in PTPRC CRISPR-Cas9 edited cell line ab274932 (CRISPR-Cas9 edited cell lysate ab274990). The band observed in the CRISPR-Cas9 edited lysate lane below 160-220 kDa is likely to represent a truncated form of CD45. This has not been investigated further and the functional properties of the gene product have not been determined. To generate this image, wild-type and PTPRC CRISPR-Cas9 edited Jurkat cell lysates were analysed. First, samples were run on an SDS-PAGE gel then transferred onto a nitrocellulose membrane. Membranes were blocked in 5 % milk in TBS-0.1 % Tween® 20 (TBS-T) before incubation with primary antibodies overnight at 4 °C. Blots were washed four times in TBS-T, incubated with secondary antibodies for 1 h at room temperature, washed again four times then imaged. Secondary antibodies used were Goat anti-Rabbit IgG H&L (IRDye® 800CW) preabsorbed (ab216773) and Goat anti-Mouse IgG H&L (IRDye® 680RD) preabsorbed (ab216776) at 1/20000 dilution.

All lanes:

Western blot - Anti-CD45 antibody [EPR20033] (<a href='/products/primary-antibodies/cd45-antibody-epr20033-ab208022'>ab208022</a>) at 1/1000 dilution

Lane 1:

Wild-type Jurkat cell lysate at 20 µg

Lane 2:

PTPRC CRISPR-Cas9 edited Jurkat cell lysate at 20 µg

Lane 3:

THP-1 cell lysate at 20 µg

Lane 4:

MCF7 cell lysate at 20 µg

Predicted band size: 147 kDa

Observed band size: 160-220 kDa

false

Western blot - Anti-CD45 antibody [EPR20033] - BSA and Azide free (AB229292)
  • WB

Supplier Data

Western blot - Anti-CD45 antibody [EPR20033] - BSA and Azide free (AB229292)

Blocking/Dilution buffer : 5% NFDM/TBST.

Exposure time : Lane 1 : 3 minutes; Lane 2 : 15 seconds.

This data was developed using the same antibody clone in a different buffer formulation containing PBS, BSA, glycerol, and sodium azide (ab208022).

All lanes:

Western blot - Anti-CD45 antibody [EPR20033] (<a href='/products/primary-antibodies/cd45-antibody-epr20033-ab208022'>ab208022</a>) at 1/1000 dilution

Lane 1:

Mouse thymus lysate at 10 µg

Lane 2:

Mouse spleen tissue lysate at 10 µg

Secondary

Lane 1:

Western blot - Goat Anti-Rabbit IgG H&L (HRP) (<a href='/products/secondary-antibodies/goat-rabbit-igg-h-l-hrp-ab97051'>ab97051</a>) at 1/100000 dilution

Lane 2:

Western blot - Goat Anti-Rabbit IgG H&L (HRP) (<a href='/products/secondary-antibodies/goat-rabbit-igg-h-l-hrp-ab97051'>ab97051</a>) at 1/20000 dilution

Predicted band size: 147 kDa

Observed band size: 180 kDa,240 kDa

false

不同偶联物与剂型 (2)

关键信息

宿主种属

Rabbit

克隆

Monoclonal

克隆号

EPR20033

亚型

IgG

不含载体蛋白

Yes

反应种属

Mouse, Human

应用

IP, IHC-P, WB

applications

免疫原

The exact immunogen used to generate this antibody is proprietary information.

反应性数据

{ "title": "Reactivity Data", "filters": { "stats": ["", "Species", "Dilution Info", "Notes"], "tabs": { "all-applications": {"fullname" : "All Applications", "shortname": "All Applications"}, "IP" : {"fullname" : "Immunoprecipitation", "shortname":"IP"}, "WB" : {"fullname" : "Western blot", "shortname":"WB"}, "IHCP" : {"fullname" : "Immunohistochemistry (Formalin/PFA-fixed paraffin-embedded sections)", "shortname":"IHC-P"} }, "product-promise": { "all": "all", "testedAndGuaranteed": "tested", "guaranteed": "expected", "predicted": "predicted", "notRecommended": "not-recommended" } }, "values": { "Human": { "IP-species-checked": "guaranteed", "IP-species-dilution-info": "", "IP-species-notes": "", "WB-species-checked": "testedAndGuaranteed", "WB-species-dilution-info": "", "WB-species-notes": "<p></p>", "IHCP-species-checked": "testedAndGuaranteed", "IHCP-species-dilution-info": "", "IHCP-species-notes": "<p></p>" }, "Mouse": { "IP-species-checked": "testedAndGuaranteed", "IP-species-dilution-info": "", "IP-species-notes": "<p></p>", "WB-species-checked": "testedAndGuaranteed", "WB-species-dilution-info": "", "WB-species-notes": "<p></p>", "IHCP-species-checked": "testedAndGuaranteed", "IHCP-species-dilution-info": "", "IHCP-species-notes": "<p></p>" } } }

产品详情

ab229292 is the carrier-free version of ab208022.

Patented technology
Our RabMAb® technology is a patented hybridoma-based technology for making rabbit monoclonal antibodies. For details on our patents, please refer to RabMAb® patents.

What are the advantages of a recombinant monoclonal antibody?
This product is a recombinant monoclonal antibody, which offers several advantages including:

  • - High batch-to-batch consistency and reproducibility
  • - Improved sensitivity and specificity
  • - Long-term security of supply
  • - Animal-free batch production

For more information, read more on recombinant antibodies.

Conjugation ready
Our carrier-free antibodies are typically supplied in a PBS-only formulation, purified and free of BSA, sodium azide and glycerol. This conjugation-ready format is designed for use with fluorochromes, metal isotopes, oligonucleotides, and enzymes, which makes them ideal for antibody labelling, functional and cell-based assays, flow-based assays (e.g. mass cytometry) and Multiplex Imaging applications.

Use our conjugation kits for antibody conjugates that are ready-to-use in as little as 20 minutes with 1 minute hands-on-time and 100% antibody recovery: available for fluorescent dyes, HRP, biotin and gold.

Compatibility
This product is compatible with the Maxpar® Antibody Labeling Kit from Fluidigm, without the need for antibody preparation. Maxpar® is a trademark of Fluidigm Canada Inc.

性能和储存信息

形式
Liquid
纯化工艺
Affinity purification Protein A
存储溶液
pH: 7.2 - 7.4 Constituents: PBS
运输条件
Blue Ice
推荐的短期储存条件
+4°C
推荐的长期储存条件
+4°C
储存信息
Do Not Freeze

补充信息

This supplementary information is collated from multiple sources and compiled automatically.

CD45 also known as Protein tyrosine phosphatase receptor type C (PTPRC) is a transmembrane glycoprotein with a molecular mass ranging between 180-240 kDa depending on its isoform. It is expressed on the surface of almost all hematopoietic cells except for mature erythrocytes and platelets. CD45 has a critical role in regulating antigen receptor signaling by modifying kinases involved in signal transduction and it is essential in lymphocyte development and activation. Because of its broad expression on immune cells CD45 is a valuable marker for differentiating various immune cell types in assays like flow cytometry and immunohistochemistry (IHC) often referred to as CD45 stain.
Biological function summary

CD45 acts by regulating tyrosine phosphorylation in the immune cell signaling context participating directly in signal transduction. It functions by dephosphorylating specific phosphotyrosine residues on various proteins modulating the signaling threshold required for lymphocyte activation. Although not known to be part of a protein complex CD45 itself shows isoform variation that associates with specific immune cell types impacting their function. Importantly CD45 interacts with multiple signaling molecules to affect cell growth and differentiation.

Pathways

Scientists associate CD45 with signaling pathways such as the T-cell receptor (TCR) and B-cell receptor (BCR) signaling. CD45 modulates the activity of Src family kinases important elements in these pathways making it essential for effective immune response and tolerance. Furthermore interactions between CD45 and proteins like Lck in T-cells or Lyn in B-cells highlight its pivotal role in executing its signaling functions.

Scientists often link CD45 to immune-related conditions including autoimmunity and leukemia. In autoimmune diseases altered CD45 expression or activity can disrupt normal immune function contributing to pathogenesis. In leukemia CD45 expression levels can assist in disease classification and prognosis as it interacts with proteins involved in cell cycle regulation. The anti-CD45 antibodies can provide diagnostic and therapeutic avenues highlighting their utility in disease management.

产品实验方案

For this product, it's our understanding that no specific protocols are required. You can visit:

靶点信息

Protein tyrosine-protein phosphatase required for T-cell activation through the antigen receptor. Acts as a positive regulator of T-cell coactivation upon binding to DPP4. The first PTPase domain has enzymatic activity, while the second one seems to affect the substrate specificity of the first one. Upon T-cell activation, recruits and dephosphorylates SKAP1 and FYN (By similarity). Dephosphorylates LYN, and thereby modulates LYN activity.
See full target information Ptprc

文献 (1)

Recent publications for all applications. Explore the full list and refine your search

Aging 13: PubMed33493132

2021

RNF168 is highly expressed in esophageal squamous cell carcinoma and contributes to the malignant behaviors in association with the Wnt/β-catenin signaling pathway.

Applications

Unspecified application

Species

Unspecified reactive species

Yunjiu Gou,Dacheng Jin,Shengliang He,Songchen Han,Qizhou Bai
View all publications

Abcam Product Promise

我们致力于为您的研究提供高质量的试剂,为您科研的每一步提供支持。若我们的产品未能达到预期性能,我们向您提供 Abcam Product Promise 保障。
详情请参阅我们的条款与条件。

Please note: All products are 'FOR RESEARCH USE ONLY. NOT FOR USE IN DIAGNOSTIC OR THERAPEUTIC PROCEDURES'.

For licensing inquiries, please contact partnerships@abcam.com