JavaScript is disabled in your browser. Please enable JavaScript to view this website.
AB208022

重组Anti-CD45抗体[EPR20033]

Anti-CD45 antibody [EPR20033]

  • BOND RX™ Validated
  • 20ul selling size
  • RabMAb
  • Recombinant
  • 了解详情

5

(2 Reviews)

|

(18 Publications)

Anti-CD45 antibody [EPR20033] (ab208022) is a rabbit monoclonal antibody detecting CD45 in Western Blot, IP, IHC-P. Suitable for Human, Mouse.

- Biophysical QC for unrivalled batch-batch consistency
- Over 10 publications

查看别名

CD45, Ly-5, Ptprc, Receptor-type tyrosine-protein phosphatase C, Leukocyte common antigen, Lymphocyte antigen 5, T200, L-CA

10 Images
Immunohistochemistry (Formalin/PFA-fixed paraffin-embedded sections) - Anti-CD45 antibody [EPR20033] (AB208022)
  • IHC-P

Lab

Immunohistochemistry (Formalin/PFA-fixed paraffin-embedded sections) - Anti-CD45 antibody [EPR20033] (AB208022)

Immunohistochemical analysis of paraffin-embedded human skeletal muscle tissue labeling CD45 with ab208022 at 1/5000 (0.14 ug/ml) dilution, followed by a ready to use LeicaDS9800 (Bond™ Polymer Refine Detection).

Negative control : no staining in human skeletal muscle tissue.
The section was incubated with ab208022 for 30 mins at room temperature.
The immunostaining was performed on a Leica Biosystems BOND® RX instrument

Counterstained with Hematoxylin.

Secondary antibody only control : Secondary antibody is a ready to use LeicaDS9800 (Bond™ Polymer Refine Detection).

Heat mediated antigen retrieval was performed with Tris-EDTA buffer (pH 9.0, Epitope Retrieval Solution2) for 20 mins.

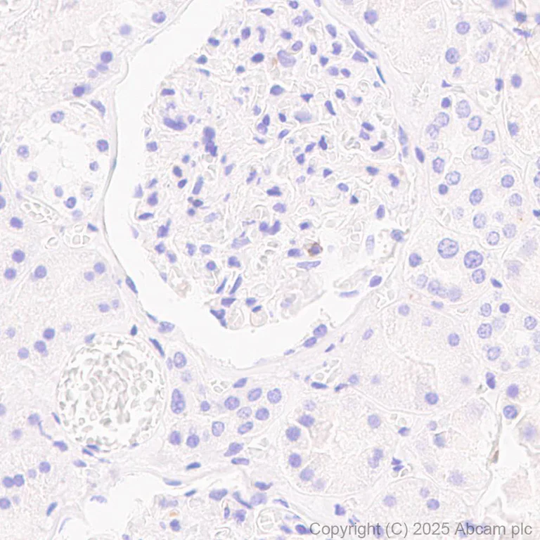
Immunohistochemistry (Formalin/PFA-fixed paraffin-embedded sections) - Anti-CD45 antibody [EPR20033] (AB208022)
  • IHC-P

Lab

Immunohistochemistry (Formalin/PFA-fixed paraffin-embedded sections) - Anti-CD45 antibody [EPR20033] (AB208022)

Immunohistochemical analysis of paraffin-embedded human kidney tissue labeling CD45 with ab208022 at 1/5000 (0.14 ug/ml) dilution, followed by a ready to use LeicaDS9800 (Bond™ Polymer Refine Detection).

Negative control : no staining in human kidney tissue.
The section was incubated with ab208022 for 30 mins at room temperature.
The immunostaining was performed on a Leica Biosystems BOND® RX instrument

Counterstained with Hematoxylin.

Secondary antibody only control : Secondary antibody is a ready to use LeicaDS9800 (Bond™ Polymer Refine Detection).

Heat mediated antigen retrieval was performed with Tris-EDTA buffer (pH 9.0, Epitope Retrieval Solution2) for 20 mins.

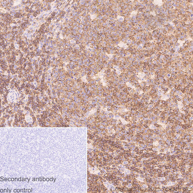
Immunohistochemistry (Formalin/PFA-fixed paraffin-embedded sections) - Anti-CD45 antibody [EPR20033] (AB208022)
  • IHC-P

Lab

Immunohistochemistry (Formalin/PFA-fixed paraffin-embedded sections) - Anti-CD45 antibody [EPR20033] (AB208022)

Immunohistochemical analysis of paraffin-embedded human tonsil tissue labeling CD45 with ab208022 at 1/5000 (0.14 ug/ml) dilution, followed by a ready to use LeicaDS9800 (Bond™ Polymer Refine Detection).

Positive staining in human tonsil tissue.
The section was incubated with ab208022 for 30 mins at room temperature.
The immunostaining was performed on a Leica Biosystems BOND® RX instrument

Counterstained with Hematoxylin.

Secondary antibody only control : Secondary antibody is a ready to use LeicaDS9800 (Bond™ Polymer Refine Detection).

Heat mediated antigen retrieval was performed with Tris-EDTA buffer (pH 9.0, Epitope Retrieval Solution2) for 20 mins.

Immunohistochemistry (Formalin/PFA-fixed paraffin-embedded sections) - Anti-CD45 antibody [EPR20033] (AB208022)
  • IHC-P

Unknown

Immunohistochemistry (Formalin/PFA-fixed paraffin-embedded sections) - Anti-CD45 antibody [EPR20033] (AB208022)

Immunohistochemistry (Formalin/PFA-fixed paraffin-embedded sections) analysis of Mouse spleen tissue sections labeling CD45 with purified ab208022 at 1/5000 dilution (0.14 ?g/ml). Heat mediated antigen retrieval was performed. ImmunoHistoProbe one step HRP Polymer (ready to use) was used as the secondary antibody. Negative control : PBS instead of the primary antibody. Hematoxylin was used as a counterstain.

Immunoprecipitation - Anti-CD45 antibody [EPR20033] (AB208022)
  • IP

Supplier Data

Immunoprecipitation - Anti-CD45 antibody [EPR20033] (AB208022)

CD45 was immunoprecipitated from 0.35 mg of J774A.1 (Mouse reticulum cell sarcoma macrophage cell line) whole cell lysate with ab208022 at 1/30 dilution.

Western blot was performed from the immunoprecipitate using ab208022 at 1/1000 dilution.

VeriBlot for IP Detection Reagent (HRP) (ab131366), was used for detection at 1/1000 dilution.

Lane 1 : J774A.1 whole cell lysate 10μg (Input).

Lane 2 : ab208022 IP in J774A.1 whole cell lysate.

Lane 3 : Rabbit monoclonal IgG (ab172730) instead of ab208022 in J774A.1 whole cell lysate.

Blocking and dilution buffer and concentration : 5% NFDM/TBST.

Exposure time : 3 minutes.

All lanes:

Immunoprecipitation - Anti-CD45 antibody [EPR20033] (ab208022)

Predicted band size: 147 kDa

false

Western blot - Anti-CD45 antibody [EPR20033] (AB208022)
  • WB

Lab

Western blot - Anti-CD45 antibody [EPR20033] (AB208022)

False colour image of Western blot : Anti-CD45 antibody [EPR20033] staining at 1/1000 dilution, shown in green; Mouse anti-Alpha Tubulin [DM1A] (ab7291) loading control staining at 1/20000 dilution, shown in red. In Western blot, ab208022 was shown to bind specifically to CD45. A band was observed at 160-220 kDa in wild-type Jurkat cell lysates with no signal observed at this size in PTPRC CRISPR-Cas9 edited cell line ab274932 (CRISPR-Cas9 edited cell lysate ab274990). The band observed in the CRISPR-Cas9 edited lysate lane below 160-220 kDa is likely to represent a truncated form of CD45. This has not been investigated further and the functional properties of the gene product have not been determined. To generate this image, wild-type and PTPRC CRISPR-Cas9 edited Jurkat cell lysates were analysed. First, samples were run on an SDS-PAGE gel then transferred onto a nitrocellulose membrane. Membranes were blocked in 5 % milk in TBS-0.1 % Tween® 20 (TBS-T) before incubation with primary antibodies overnight at 4 °C. Blots were washed four times in TBS-T, incubated with secondary antibodies for 1 h at room temperature, washed again four times then imaged. Secondary antibodies used were Goat anti-Rabbit IgG H&L (IRDye® 800CW) preabsorbed (ab216773) and Goat anti-Mouse IgG H&L (IRDye® 680RD) preabsorbed (ab216776) at 1/20000 dilution.

All lanes:

Western blot - Anti-CD45 antibody [EPR20033] (ab208022) at 1/1000 dilution

Lane 1:

Wild-type Jurkat cell lysate at 20 µg

Lane 2:

PTPRC CRISPR-Cas9 edited Jurkat cell lysate at 20 µg

Lane 3:

THP-1 cell lysate at 20 µg

Lane 4:

MCF7 cell lysate at 20 µg

Predicted band size: 147 kDa

Observed band size: 160-220 kDa

false

Western blot - Anti-CD45 antibody [EPR20033] (AB208022)
  • WB

Supplier Data

Western blot - Anti-CD45 antibody [EPR20033] (AB208022)

Blocking/Dilution buffer : 5% NFDM/TBST.

293T and MCF7 are reported to be CD45 negative cell lines (PMID : 22978632& 24602188).

All lanes:

Western blot - Anti-CD45 antibody [EPR20033] (ab208022) at 1/1000 dilution

Lane 1:

Jurkat (Human T cell leukemia cell line from peripheral blood) whole cell lysate at 20 µg

Lane 2:

293T (Human epithelial cell line from embryonic kidney) whole cell lysate at 20 µg

Lane 3:

MCF7 (Human breast adenocarcinoma cell line) whole cell lysate at 20 µg

Secondary

All lanes:

Western blot - Goat Anti-Rabbit IgG H&L (HRP) (<a href='/products/secondary-antibodies/goat-rabbit-igg-h-l-hrp-ab97051'>ab97051</a>) at 1/100000 dilution

Predicted band size: 147 kDa

Observed band size: 240 kDa

false

Exposure time: 3min

Western blot - Anti-CD45 antibody [EPR20033] (AB208022)
  • WB

Lab

Western blot - Anti-CD45 antibody [EPR20033] (AB208022)

False colour image of Western blot : Anti-CD45 antibody [EPR20033] staining at 1/1000 dilution, shown in green; Mouse anti-Alpha Tubulin [DM1A] (ab7291) loading control staining at 1/20000 dilution, shown in red. In Western blot, ab208022 was shown to bind specifically to CD45. A band was observed at 160-220 kDa in wild-type Jurkat cell lysates with no signal observed at this size in PTPRC CRISPR-Cas9 edited cell line ab274932 (CRISPR-Cas9 edited cell lysate ab274990). The band observed in the CRISPR-Cas9 edited lysate lane below 160-220 kDa is likely to represent a truncated form of CD45. This has not been investigated further and the functional properties of the gene product have not been determined. To generate this image, wild-type and PTPRC CRISPR-Cas9 edited Jurkat cell lysates were analysed. First, samples were run on an SDS-PAGE gel then transferred onto a nitrocellulose membrane. Membranes were blocked in 5 % milk in TBS-0.1 % Tween® 20 (TBS-T) before incubation with primary antibodies overnight at 4 °C. Blots were washed four times in TBS-T, incubated with secondary antibodies for 1 h at room temperature, washed again four times then imaged. Secondary antibodies used were Goat anti-Rabbit IgG H&L (IRDye® 800CW) preabsorbed (ab216773) and Goat anti-Mouse IgG H&L (IRDye® 680RD) preabsorbed (ab216776) at 1/20000 dilution.

All lanes:

Western blot - Anti-CD45 antibody [EPR20033] (ab208022) at 1/1000 dilution

Lane 1:

Wild-type Jurkat cell lysate at 20 µg

Lane 2:

PTPRC knockout Jurkat cell lysate at 20 µg

Lane 3:

THP-1 cell lysate at 20 µg

Lane 4:

MCF7 cell lysate at 20 µg

false

Western blot - Anti-CD45 antibody [EPR20033] (AB208022)
  • WB

Supplier Data

Western blot - Anti-CD45 antibody [EPR20033] (AB208022)

Blocking/Dilution buffer : 5% NFDM/TBST.

Exposure time : Lane 1 : 30 seconds; Lane 2 : 5 seconds.

All lanes:

Western blot - Anti-CD45 antibody [EPR20033] (ab208022) at 1/1000 dilution

Lane 1:

J774A.1 (Mouse reticulum cell sarcoma macrophage cell line) whole cell lysate at 20 µg

Lane 2:

WEHI-231 (Mouse B cell lymphoblast cell line) whole cell lysate at 20 µg

Secondary

All lanes:

Western blot - Goat Anti-Rabbit IgG H&L (HRP) (<a href='/products/secondary-antibodies/goat-rabbit-igg-h-l-hrp-ab97051'>ab97051</a>) at 1/100000 dilution

Predicted band size: 147 kDa

Observed band size: 180 kDa

false

Western blot - Anti-CD45 antibody [EPR20033] (AB208022)
  • WB

Supplier Data

Western blot - Anti-CD45 antibody [EPR20033] (AB208022)

Blocking/Dilution buffer : 5% NFDM/TBST.

Exposure time : Lane 1 : 3 minutes; Lane 2 : 15 seconds.

All lanes:

Western blot - Anti-CD45 antibody [EPR20033] (ab208022) at 1/1000 dilution

Lane 1:

Mouse thymus lysate at 10 µg

Lane 2:

Mouse spleen tissue lysate at 10 µg

Secondary

Lane 1:

Western blot - Goat Anti-Rabbit IgG H&L (HRP) (<a href='/products/secondary-antibodies/goat-rabbit-igg-h-l-hrp-ab97051'>ab97051</a>) at 1/100000 dilution

Lane 2:

Western blot - Goat Anti-Rabbit IgG H&L (HRP) (<a href='/products/secondary-antibodies/goat-rabbit-igg-h-l-hrp-ab97051'>ab97051</a>) at 1/20000 dilution

Predicted band size: 147 kDa

Observed band size: 180 kDa,240 kDa

false

不同偶联物与剂型 (2)

关键信息

宿主种属

Rabbit

克隆

Monoclonal

克隆号

EPR20033

亚型

IgG

不含载体蛋白

No

反应种属

Mouse, Human

应用

IHC-P, WB, IP

applications

免疫原

The exact immunogen used to generate this antibody is proprietary information.

反应性数据

{ "title": "Reactivity Data", "filters": { "stats": ["", "Species", "Dilution Info", "Notes"], "tabs": { "all-applications": {"fullname" : "All Applications", "shortname": "All Applications"}, "IP" : {"fullname" : "Immunoprecipitation", "shortname":"IP"}, "WB" : {"fullname" : "Western blot", "shortname":"WB"}, "IHCP" : {"fullname" : "Immunohistochemistry (Formalin/PFA-fixed paraffin-embedded sections)", "shortname":"IHC-P"} }, "product-promise": { "all": "all", "testedAndGuaranteed": "tested", "guaranteed": "expected", "predicted": "predicted", "notRecommended": "not-recommended" } }, "values": { "Human": { "IP-species-checked": "guaranteed", "IP-species-dilution-info": "", "IP-species-notes": "", "WB-species-checked": "testedAndGuaranteed", "WB-species-dilution-info": "1/1000", "WB-species-notes": "<p></p>", "IHCP-species-checked": "testedAndGuaranteed", "IHCP-species-dilution-info": "1/5000", "IHCP-species-notes": "<p></p>" }, "Mouse": { "IP-species-checked": "testedAndGuaranteed", "IP-species-dilution-info": "1/30", "IP-species-notes": "<p></p>", "WB-species-checked": "testedAndGuaranteed", "WB-species-dilution-info": "1/1000", "WB-species-notes": "<p></p>", "IHCP-species-checked": "testedAndGuaranteed", "IHCP-species-dilution-info": "1/5000", "IHCP-species-notes": "<p></p>" } } }

产品详情

What is this antibody validated in?
Anti-CD45 antibody [EPR20033] (ab208022) is a rabbit recombinant monoclonal antibody and is validated for use in Western Blot (WB), Immunoprecipitation (IP), Immunohistochemistry (IHC-P) in Human, Mouse samples.

What is the molecular weight of CD45?
Anti-CD45 [EPR20033] (ab208022) specifically detects a band for CD45 (UniProt: P06800) at a molecular weight of 145kDa.

Trusted by the scientific community
Anti-CD45 [EPR20033] (ab208022) was first used in a scientific publication in 2016 and has been cited over 10 times in peer-reviewed journals.

Trial sizes available!
Test your antibody or perform pre-screening before committing to a larger quantity. Sold in 10µl. Discover our selection of trial-size antibodies.

Other related products
We have a range of other formats of antibody clone [EPR20033] also available for your convenience: ab208022, Carrier free - ab229292, Alexa Fluor® 647 - ab305209

Patented technology
Our RabMAb® technology is a patented hybridoma-based technology for making rabbit monoclonal antibodies. For details on our patents, please refer to RabMAb® patents.

What are the advantages of a recombinant monoclonal antibody?
This product is a recombinant monoclonal antibody, which offers several advantages including:

  • - High batch-to-batch consistency and reproducibility
  • - Improved sensitivity and specificity
  • - Long-term security of supply
  • - Animal-free batch production

For more information, read more on recombinant antibodies.

性能和储存信息

形式
Liquid
纯化工艺
Affinity purification Protein A
存储溶液
pH: 7.2 - 7.4 Preservative: 0.01% Sodium azide Constituents: PBS, 40% Glycerol (glycerin, glycerine), 0.05% BSA
运输条件
Blue Ice
推荐的短期储存时间
1-2 weeks
推荐的短期储存条件
+4°C
推荐的长期储存条件
-20°C
分装信息
Upon delivery aliquot
储存信息
Avoid freeze / thaw cycle

补充信息

This supplementary information is collated from multiple sources and compiled automatically.

CD45 also known as Protein tyrosine phosphatase receptor type C (PTPRC) is a transmembrane glycoprotein with a molecular mass ranging between 180-240 kDa depending on its isoform. It is expressed on the surface of almost all hematopoietic cells except for mature erythrocytes and platelets. CD45 has a critical role in regulating antigen receptor signaling by modifying kinases involved in signal transduction and it is essential in lymphocyte development and activation. Because of its broad expression on immune cells CD45 is a valuable marker for differentiating various immune cell types in assays like flow cytometry and immunohistochemistry (IHC) often referred to as CD45 stain.
Biological function summary

CD45 acts by regulating tyrosine phosphorylation in the immune cell signaling context participating directly in signal transduction. It functions by dephosphorylating specific phosphotyrosine residues on various proteins modulating the signaling threshold required for lymphocyte activation. Although not known to be part of a protein complex CD45 itself shows isoform variation that associates with specific immune cell types impacting their function. Importantly CD45 interacts with multiple signaling molecules to affect cell growth and differentiation.

Pathways

Scientists associate CD45 with signaling pathways such as the T-cell receptor (TCR) and B-cell receptor (BCR) signaling. CD45 modulates the activity of Src family kinases important elements in these pathways making it essential for effective immune response and tolerance. Furthermore interactions between CD45 and proteins like Lck in T-cells or Lyn in B-cells highlight its pivotal role in executing its signaling functions.

Scientists often link CD45 to immune-related conditions including autoimmunity and leukemia. In autoimmune diseases altered CD45 expression or activity can disrupt normal immune function contributing to pathogenesis. In leukemia CD45 expression levels can assist in disease classification and prognosis as it interacts with proteins involved in cell cycle regulation. The anti-CD45 antibodies can provide diagnostic and therapeutic avenues highlighting their utility in disease management.

产品实验方案

For this product, it's our understanding that no specific protocols are required. You can visit:

靶点信息

Protein tyrosine-protein phosphatase required for T-cell activation through the antigen receptor. Acts as a positive regulator of T-cell coactivation upon binding to DPP4. The first PTPase domain has enzymatic activity, while the second one seems to affect the substrate specificity of the first one. Upon T-cell activation, recruits and dephosphorylates SKAP1 and FYN (By similarity). Dephosphorylates LYN, and thereby modulates LYN activity.
See full target information Ptprc

文献 (18)

Recent publications for all applications. Explore the full list and refine your search

European thyroid journal 13: PubMed39316722

2024

IgG4 glycosylation contributes to the pathogenesis of IgG4 Hashimoto's thyroiditis via the complement pathway.

Applications

Unspecified application

Species

Unspecified reactive species

Chenxu Zhao,Zhiming Sun,Shuaihang Wang,Jixin Zhang,Jumei Liu,Lei Chen,Guizhi Lu,Yang Yu,Ying Gao

Communications medicine 4:22 PubMed38378783

2024

S100A8/A9 predicts response to PIM kinase and PD-1/PD-L1 inhibition in triple-negative breast cancer mouse models.

Applications

Unspecified application

Species

Unspecified reactive species

Lauren R Begg,Adrienne M Orriols,Markella Zannikou,Chen Yeh,Pranathi Vadlamani,Deepak Kanojia,Rosemary Bolin,Sara F Dunne,Sanjeev Balakrishnan,Roman Camarda,Diane Roth,Nicolette A Zielinski-Mozny,Christina Yau,Athanassios Vassilopoulos,Tzu-Hsuan Huang,Kwang-Youn A Kim,Dai Horiuchi

Nature communications 15:1446 PubMed38365788

2024

PAF1c links S-phase progression to immune evasion and MYC function in pancreatic carcinoma.

Applications

Unspecified application

Species

Unspecified reactive species

Abdallah Gaballa,Anneli Gebhardt-Wolf,Bastian Krenz,Greta Mattavelli,Mara John,Giacomo Cossa,Silvia Andreani,Christina Schülein-Völk,Francisco Montesinos,Raphael Vidal,Carolin Kastner,Carsten P Ade,Burkhard Kneitz,Georg Gasteiger,Peter Gallant,Mathias Rosenfeldt,Angela Riedel,Martin Eilers

Advanced healthcare materials 13:e2303430 PubMed37942845

2023

Isolation and Enrichment of Extracellular Vesicles with Double-Positive Membrane Protein for Subsequent Biological Studies.

Applications

Unspecified application

Species

Unspecified reactive species

Chunchen Liu,Huixian Lin,Haiyang Yu,Xueying Mai,Weilun Pan,Jingyun Guo,Tong Liao,Junjie Feng,Ye Zhang,Bo Situ,Lei Zheng,Bo Li

Neuro-oncology advances 5:vdad117 PubMed37841695

2023

Double-modified oncolytic adenovirus armed with a recombinant interferon-like gene enhanced abscopal effects against malignant glioma.

Applications

Unspecified application

Species

Unspecified reactive species

Shan Jiang,Hui-Hui Chai,Xian-Long Fang,Hou-Shi Xu,Tian-Wen Li,Qi-Sheng Tang,Jin-Fa Gu,Kang-Jian Zhang,Xin-Yuan Liu,Zhi-Feng Shi,Xue-Ping Cao,Zan-Yi Wu,Liang-Fu Zhou

Journal of experimental & clinical cancer research : CR 42:237 PubMed37697332

2023

Impact of chemotherapeutic agents on liver microenvironment: oxaliplatin create a pro-metastatic landscape.

Applications

Unspecified application

Species

Unspecified reactive species

Yuanyuan Ma,Chang Guo,Xijun Wang,Xundong Wei,Jie Ma

Aging 15:3356-3380 PubMed37179121

2023

Highly multiplexed immune profiling throughout adulthood reveals kinetics of lymphocyte infiltration in the aging mouse prostate.

Applications

Unspecified application

Species

Unspecified reactive species

Jonathan J Fox,Takao Hashimoto,Héctor I Navarro,Alejandro J Garcia,Benjamin L Shou,Andrew S Goldstein

Heliyon 8:e11229 PubMed36325141

2022

Influence of sleep disruption on inflammatory bowel disease and changes in circadian rhythm genes.

Applications

Unspecified application

Species

Unspecified reactive species

Dan Wang,Houqing Yin,Xin Wang,Zequn Wang,Mengyuan Han,Quanzhao He,Jingjing Chen,Haocheng Xian,Bentuo Zhang,Xihua Wei,Baoxue Yang,Yan Pan,Jun Li

Cellular & molecular immunology 19:1153-1167 PubMed36050478

2022

Sphingosine kinase 1 promotes tumor immune evasion by regulating the MTA3-PD-L1 axis.

Applications

Unspecified application

Species

Unspecified reactive species

Poyee Lau,Guanxiong Zhang,Shuang Zhao,Long Liang,Hailun Zhang,Guowei Zhou,Mien-Chie Hung,Xiang Chen,Hong Liu

Aging 14:3921-3940 PubMed35500231

2022

Scorpion and centipede alleviates severe asthma through M2 macrophage-derived exosomal miR-30b-5p.

Applications

Unspecified application

Species

Unspecified reactive species

Binqing Tang,Yingen Wu,Yada Zhang,Yanqi Cheng,Yuqin Wu,Hong Fang
View all publications

Abcam Product Promise

我们致力于为您的研究提供高质量的试剂,为您科研的每一步提供支持。若我们的产品未能达到预期性能,我们向您提供 Abcam Product Promise 保障。
详情请参阅我们的条款与条件。

Please note: All products are 'FOR RESEARCH USE ONLY. NOT FOR USE IN DIAGNOSTIC OR THERAPEUTIC PROCEDURES'.

For licensing inquiries, please contact partnerships@abcam.com