JavaScript is disabled in your browser. Please enable JavaScript to view this website.
AB181724

重组Anti-CD4抗体[EPR6855] - BSA and Azide free

Anti-CD4 antibody [EPR6855] - BSA and Azide free

  • BOND RX™ Validated
  • RabMAb
  • Advanced Validation
  • Recombinant
  • 了解详情

4

(9 Reviews)

|

(26 Publications)

Anti-CD4 antibody [EPR6855] - BSA and Azide free (ab181724) is a rabbit recombinant monoclonal antibody provided in a PBS only buffer for easy conjugation detecting CD4 in Western Blot, Flow Cytometry, IHC-P, ICC/IF, mIHC. Suitable for Human.

- BSA, sodium azide, and glycerol-free for easy conjugation
- Multiplex IHC validated on the Leica BOND® MAX using Opal reagents
- Biophysical QC for unrivalled batch-batch consistency
- Over 10 publications

查看别名

CD4, T-cell surface glycoprotein CD4, T-cell surface antigen T4/Leu-3

21 Images
Immunohistochemistry (Formalin/PFA-fixed paraffin-embedded sections) - Anti-CD4 antibody [EPR6855] - BSA and Azide free (AB181724)
  • IHC-P

Unknown

Immunohistochemistry (Formalin/PFA-fixed paraffin-embedded sections) - Anti-CD4 antibody [EPR6855] - BSA and Azide free (AB181724)

Anti-CD4 antibody [EPR6855] (ab133616)
Immunohistochemistry (Formalin/PFA-fixed paraffin-embedded sections) analysis of human tonsil tissue labelling CD4 with ab133616 at a dilution of 1 : 500. Heat mediated antigen retrieval was performed using AR9 antigen retrieval solution, and microwave treatment for 15 min at 20% power. Anti-Rabbit/Mouse HRP polymer (PerkinElmer Opal Polymer HRP Ms Plus Rb) was used as secondary antibody. Opal tyramide amplification was performed using Opal 520 fluorophore. Counterstained with DAPI stain. Image scanned with Vectra 3.0 and analyzed via Phenochart software.
This image was courteously provided by Dr. Houssein Abdul Sater, Georgia Cancer Center.

Immunohistochemistry (Formalin/PFA-fixed paraffin-embedded sections) - Anti-CD4 antibody [EPR6855] - BSA and Azide free (AB181724)
  • IHC-P

Lab

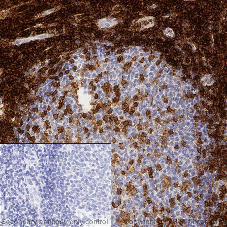
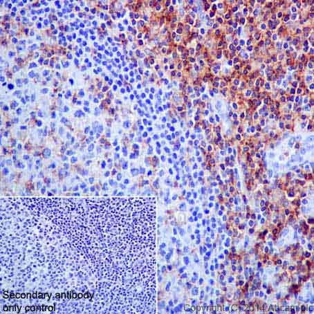
Immunohistochemistry (Formalin/PFA-fixed paraffin-embedded sections) - Anti-CD4 antibody [EPR6855] - BSA and Azide free (AB181724)

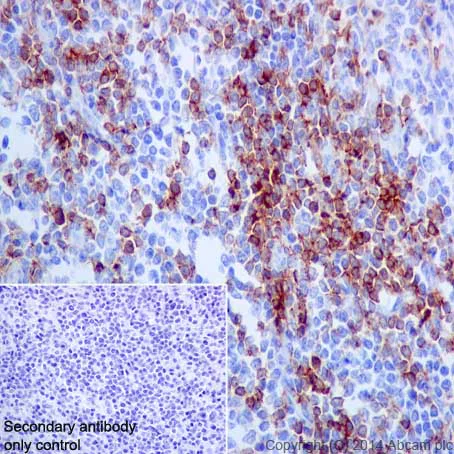
Immunohistochemical analysis of formalin fixed paraffin embedded human tonsil labelling CD4 with ab181724 at a concentration of 0.69 µg/ml. The immunostaining was performed on a Leica Biosystems BOND® RX instrument with a Bond™ Polymer Refine Detection kit. Heat mediated antigen retrieval was performed with Tris-EDTA buffer (pH 9.0, Epitope Retrieval Solution 2) for 20 mins. ab181724 Anti-CD4 antibody [EPR6855] was incubated for 30 mins at room temperature. Sections were counterstained with Hematoxylin. Image inset shows absence of staining in secondary antibody only control.

Immunohistochemistry (Formalin/PFA-fixed paraffin-embedded sections) - Anti-CD4 antibody [EPR6855] - BSA and Azide free (AB181724)
  • IHC-P

Unknown

Immunohistochemistry (Formalin/PFA-fixed paraffin-embedded sections) - Anti-CD4 antibody [EPR6855] - BSA and Azide free (AB181724)

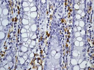
Immunohistochemistry (Formalin/PFA-fixed paraffin-embedded sections) analysis of human colon tissue labelling CD4 with ab133616 at a dilution of 1/100.

This data was developed using the same antibody clone in a different buffer formulation containing PBS, BSA, glycerol, and sodium azide (ab133616).

Perform heat mediated antigen retrieval before commencing with IHC staining protocol.

Immunohistochemistry (Formalin/PFA-fixed paraffin-embedded sections) - Anti-CD4 antibody [EPR6855] - BSA and Azide free (AB181724)
  • IHC-P

Lab

Immunohistochemistry (Formalin/PFA-fixed paraffin-embedded sections) - Anti-CD4 antibody [EPR6855] - BSA and Azide free (AB181724)

Negative control :  no staining on human cerebrum.

Immunohistochemistry (Formalin/PFA-fixed paraffin-embedded sections) analysis of human cerebrum showing no staining CD4 with purified ab133616 at 1/100. Heat mediated antigen retrieval was performed using Tris/EDTA buffer pH 9 (ab93684). Goat Anti-Rabbit IgG H&L (HRP) was used as the secondary antibody. Counterstained with hematoxylin.

This data was developed using the same antibody clone in a different buffer formulation containing PBS, BSA, glycerol, and sodium azide (ab133616).

Immunohistochemistry (Formalin/PFA-fixed paraffin-embedded sections) - Anti-CD4 antibody [EPR6855] - BSA and Azide free (AB181724)
  • IHC-P

Lab

Immunohistochemistry (Formalin/PFA-fixed paraffin-embedded sections) - Anti-CD4 antibody [EPR6855] - BSA and Azide free (AB181724)

Negative control : no staining on human pancreas.

Immunohistochemistry (Formalin/PFA-fixed paraffin-embedded sections) analysis of human pancreas showing no staining CD4 with purified ab133616 at 1/100. Heat mediated antigen retrieval was performed using Tris/EDTA buffer pH 9 (ab93684). Goat Anti-Rabbit IgG H&L (HRP) was used as the secondary antibody. Counterstained with hematoxylin.

This data was developed using the same antibody clone in a different buffer formulation containing PBS, BSA, glycerol, and sodium azide (ab133616).

Immunohistochemistry (Formalin/PFA-fixed paraffin-embedded sections) - Anti-CD4 antibody [EPR6855] - BSA and Azide free (AB181724)
  • IHC-P

Lab

Immunohistochemistry (Formalin/PFA-fixed paraffin-embedded sections) - Anti-CD4 antibody [EPR6855] - BSA and Azide free (AB181724)

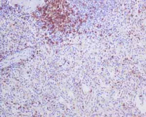
Immunohistochemistry (Formalin/PFA-fixed paraffin-embedded sections) analysis of human tonsil tissue labelling CD4 with purified ab133616 at 1/500. Heat mediated antigen retrieval was performed using Tris/EDTA buffer pH 9. ab97051, a HRP-conjugated goat anti-rabbit IgG (H+L) was used as the secondary antibody (1/500). Negative control using PBS instead of primary antibody. Counterstained with hematoxylin.

This data was developed using the same antibody clone in a different buffer formulation containing PBS, BSA, glycerol, and sodium azide (ab133616).

Immunohistochemistry (Formalin/PFA-fixed paraffin-embedded sections) - Anti-CD4 antibody [EPR6855] - BSA and Azide free (AB181724)
  • IHC-P

Unknown

Immunohistochemistry (Formalin/PFA-fixed paraffin-embedded sections) - Anti-CD4 antibody [EPR6855] - BSA and Azide free (AB181724)

This IHC data was generated using the same anti-CD4 antibody clone [EPR6855] in a different buffer formulation (cat# ab133616).

Immunohistochemistry (Formalin/PFA-fixed paraffin-embedded sections) analysis of human tonsil tissue labelling CD4 with unpurified ab133616 at a dilution of 1/100.

Perform heat mediated antigen retrieval before commencing with IHC staining protocol.

Immunohistochemistry (Formalin/PFA-fixed paraffin-embedded sections) - Anti-CD4 antibody [EPR6855] - BSA and Azide free (AB181724)
  • IHC-P

Lab

Immunohistochemistry (Formalin/PFA-fixed paraffin-embedded sections) - Anti-CD4 antibody [EPR6855] - BSA and Azide free (AB181724)

Immunohistochemistry (Formalin/PFA-fixed paraffin-embedded sections) analysis of human thymoma tissue labelling CD4 with purified ab133616 at 1/500. Heat mediated antigen retrieval was performed using Tris/EDTA buffer pH 9. ab97051, a HRP-conjugated goat anti-rabbit IgG (H+L) was used as the secondary antibody (1/500). Negative control using PBS instead of primary antibody. Counterstained with hematoxylin.

This data was developed using the same antibody clone in a different buffer formulation containing PBS, BSA, glycerol, and sodium azide (ab133616).

Immunohistochemistry (Formalin/PFA-fixed paraffin-embedded sections) - Anti-CD4 antibody [EPR6855] - BSA and Azide free (AB181724)
  • IHC-P

Unknown

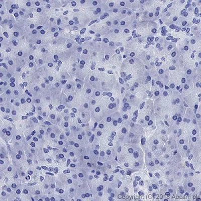
Immunohistochemistry (Formalin/PFA-fixed paraffin-embedded sections) - Anti-CD4 antibody [EPR6855] - BSA and Azide free (AB181724)

Immunohistochemistry (Formalin/PFA-fixed paraffin-embedded sections) analysis of human liver tissue labelling CD4 with unpurified ab133616.

This data was developed using the same antibody clone in a different buffer formulation containing PBS, BSA, glycerol, and sodium azide (ab133616).

Perform heat mediated antigen retrieval before commencing with IHC staining protocol.

Immunocytochemistry/ Immunofluorescence - Anti-CD4 antibody [EPR6855] - BSA and Azide free (AB181724)
  • ICC/IF

Unknown

Immunocytochemistry/ Immunofluorescence - Anti-CD4 antibody [EPR6855] - BSA and Azide free (AB181724)

Clone EPR6855 (ab181724) has been successfully conjugated by Abcam. This image was generated using Anti-CD4 antibody [EPR6855] (Alexa Fluor® 488). Please refer to ab196372 for protocol details.

ab196372 staining CD4 in Jurkat cells. The cells were fixed with 100% methanol (5 min), permeabilized in 0.1% Triton X-100 for 5 minutes and then blocked in 1% BSA/10% normal goat serum/0.3M glycine in 0.1%PBS-Tween for 1h. The cells were then incubated with ab196372 at a working dilution of 1 in 50 (shown in green) overnight at +4°C. Nuclear DNA was labelled in blue with DAPI.

Image was taken with a confocal microscope (Leica-Microsystems, TCS SP8).

Mass Cytometry - Anti-CD4 antibody [EPR6855] - BSA and Azide free (AB181724)
  • Mass Cytometry

Collaborator

Mass Cytometry - Anti-CD4 antibody [EPR6855] - BSA and Azide free (AB181724)

Imaging Mass Cytometry™ (IMC™) image of human tonsil tissue stained with Anti-CD4 antibody [EPR6855]. ab181724 (carrier-free antibody, purified) was metal-conjugated using a Maxpar® Antibody Labeling Kit from Fluidigm. Immunostaining was performed according to Fluidigm’s protocols. Briefly, slides were subject to deparaffinization and heat-induced epitope retrieval, followed by overnight incubation at 4°C with an antibody cocktail containing metal-tagged antibodies in blocking buffer. Slides were subsequently washed with 0.2% Triton-X and 1x PBS, counterstained with Cell-ID™ Intercalator-Ir diluted at 1/400 in 1x PBS for 30 min at room temperature, rinsed for 5 min with distilled H2O, and air-dried prior to IMC™ acquisition. IMC™ acquisition was performed using the Fluidigm Hyperion™ Imaging System. Imaging Mass Cytometry™, IMC™, Cell-ID™, Hyperion™ and Maxpar® are trademarks of Fluidigm Canada Inc.​​

This image is courtesy of the Single Cell & Imaging Mass Cytometry Analysis Platform, Goodman Cancer Research Centre, McGill University

Flow Cytometry (Intracellular) - Anti-CD4 antibody [EPR6855] - BSA and Azide free (AB181724)
  • Flow Cyt (Intra)

Unknown

Flow Cytometry (Intracellular) - Anti-CD4 antibody [EPR6855] - BSA and Azide free (AB181724)

Human peripheral blood lymphocytes stained with unpurified ab133616 (red line). Human whole blood was processed using a modified protocol based on Chow et al, 2005 (PMID : 16080188). In brief, human whole blood was fixed in 4% formaldehyde (methanol-free) for 10 min at 22°C. Red blood cells were then lyzed by the addition of Triton X-100 (final concentration - 0.1%) for 15 min at 37°C. For experimentation, cells were treated with 50% methanol (-20°C) for 15 min at 4°C. Cells were then incubated with the antibody (unpurified ab133616, 1/100 dilution) for 30 min at 4°C. The secondary antibody used was Alexa Fluor® 488 goat anti-rabbit IgG (H&L) (ab150077) at 1/2000 dilution for 30 min at 4°C. Isotype control antibody (black line) was rabbit IgG (monoclonal) (0.1μg/1x106 cells) used under the same conditions. Unlabelled sample (blue line) was also used as a control. Acquisition of >30,000 total events were collected using a 20mW Argon ion laser (488nm) and 525/30 bandpass filter. Gating strategy - peripheral blood lymphocytes.

This data was developed using the same antibody clone in a different buffer formulation containing PBS, BSA, glycerol, and sodium azide (ab133616).

Immunohistochemistry (Formalin/PFA-fixed paraffin-embedded sections) - Anti-CD4 antibody [EPR6855] - BSA and Azide free (AB181724)
  • IHC-P

AbReview60776****

Immunohistochemistry (Formalin/PFA-fixed paraffin-embedded sections) - Anti-CD4 antibody [EPR6855] - BSA and Azide free (AB181724)

Paraffin-embedded human spleen tissue stained for CD4 using ab133616 at 1/500 dilution in immunohistochemical analysis.

This data was developed using the same antibody clone in a different buffer formulation containing PBS, BSA, glycerol, and sodium azide (ab133616).

Perform heat mediated antigen retrieval before commencing with IHC staining protocol.

This image is courtesy of an anonymous Abreview.

Immunocytochemistry/ Immunofluorescence - Anti-CD4 antibody [EPR6855] - BSA and Azide free (AB181724)
  • ICC/IF

Unknown

Immunocytochemistry/ Immunofluorescence - Anti-CD4 antibody [EPR6855] - BSA and Azide free (AB181724)

Clone EPR6855 (ab181724) has been successfully conjugated by Abcam. This image was generated using Anti-CD4 antibody [EPR6855] (Alexa Fluor® 647). Please refer to ab196147 for protocol details.

ab196147 staining CD4 in Jurkat cells. The cells were fixed with 100%methanol and then incubated with 1%BSA/10% normal goat serum/0.3M glycine in 0.1% PBS-Tween for 1h to permeabilise the cells and block non-specific protein-protein interactions. The cells were then incubated overnight at +4°C with ab196147 at 1/100 dilution (shown in red) and ab195887, Mouse monoclonal [DM1A] to alpha Tubulin - Microtubule Marker (Alexa Fluor® 488), at 1/250 dilution (shown in green). Nuclear DNA was labelled with DAPI (shown in blue).

Image was taken with a confocal microscope (Leica-Microsystems, TCS SP8).

This product also gave a positive signal under the same testing conditions in Jurkat cells fixed with 4% formaldehyde.

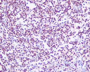
Immunohistochemistry (Formalin/PFA-fixed paraffin-embedded sections) - Anti-CD4 antibody [EPR6855] - BSA and Azide free (AB181724)
  • IHC-P

Unknown

Immunohistochemistry (Formalin/PFA-fixed paraffin-embedded sections) - Anti-CD4 antibody [EPR6855] - BSA and Azide free (AB181724)

Immunohistochemistry (Formalin/PFA-fixed paraffin-embedded sections) analysis of human thymoma tissue labelling CD4 with unpurified ab133616.

This data was developed using the same antibody clone in a different buffer formulation containing PBS, BSA, glycerol, and sodium azide (ab133616).

Perform heat mediated antigen retrieval before commencing with IHC staining protocol.

Immunocytochemistry/ Immunofluorescence - Anti-CD4 antibody [EPR6855] - BSA and Azide free (AB181724)
  • ICC/IF

Unknown

Immunocytochemistry/ Immunofluorescence - Anti-CD4 antibody [EPR6855] - BSA and Azide free (AB181724)

This data was developed using the same antibody clone in a different buffer formulation (ab133616).
Immunocytochemistry analysis of THP-1 (Human monocytic leukemia monocyte) labeling CD4 with purified ab133616 at 1/100 dilution. Cells were fixed with 100% methanol. Goat anti rabbit IgG (Alexa Fluor® 488, ab150077) at 1/1000 (2 µg/ml) was used as the secondary antibody. ab195889 Anti-alpha Tubulin antibody [DM1A] - Microtubule Marker (Alexa Fluor® 594) 1/200 (2.30 µg/ml) was used as counterstain. Nuclei were stained blue with DAPI.
Negative control : PBS instead of the primary antibody.

Immunohistochemistry (Formalin/PFA-fixed paraffin-embedded sections) - Anti-CD4 antibody [EPR6855] - BSA and Azide free (AB181724)
  • IHC-P

Unknown

Immunohistochemistry (Formalin/PFA-fixed paraffin-embedded sections) - Anti-CD4 antibody [EPR6855] - BSA and Azide free (AB181724)

Immunohistochemistry (Formalin/PFA-fixed paraffin-embedded sections) analysis of human spleen tissue labelling CD4 with unpurified ab133616.

This data was developed using the same antibody clone in a different buffer formulation containing PBS, BSA, glycerol, and sodium azide (ab133616).

Perform heat mediated antigen retrieval before commencing with IHC staining protocol.

Immunohistochemistry (Formalin/PFA-fixed paraffin-embedded sections) - Anti-CD4 antibody [EPR6855] - BSA and Azide free (AB181724)
  • IHC-P

Lab

Immunohistochemistry (Formalin/PFA-fixed paraffin-embedded sections) - Anti-CD4 antibody [EPR6855] - BSA and Azide free (AB181724)

Tissue Microarrays stained for "Anti-CD4 antibody [EPR6855]" using "ab133616"in immunohistochemical analysis. This table provides a detailed overview of positive (tick mark) and negative (cross mark) staining per sample type tested. The sections were pre-treated using Heat mediated antigen retrieval using Bond™ Epitope Retrieval Solution 2 (pH 9.0) for 20 minutes. The sections were incubated with ab133616 for 30 mins at room temperature followed by a ready to use Rabbit specific IHC polymer detection kit HRP/DAB (ab209101). The immunostaining was performed on a Leica Biosystems BOND® RX instrument.

Immunohistochemistry (Formalin/PFA-fixed paraffin-embedded sections) - Anti-CD4 antibody [EPR6855] - BSA and Azide free (AB181724)
  • IHC-P

Lab

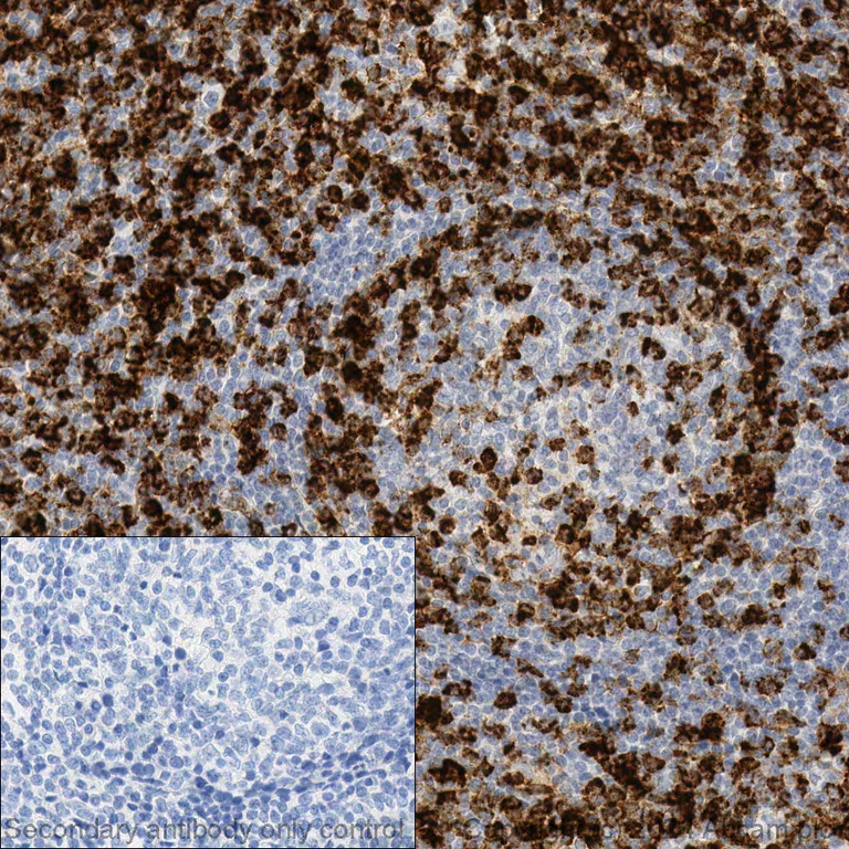
Immunohistochemistry (Formalin/PFA-fixed paraffin-embedded sections) - Anti-CD4 antibody [EPR6855] - BSA and Azide free (AB181724)

Immunohistochemical analysis of formalin fixed paraffin embedded human tonsil labelling CD4 with ab181724 at a concentration of 1.37 µg/ml. The immunostaining was performed on a Ventana DISCOVERY ULTRA (Roche Tissue Diagnostics) instrument with an OptiView DAB IHC Detection Kit. Heat mediated antigen retrieval was conducted for 32 mins at 100°C with ULTRA cell conditioning solution (CC1, pH 8.5). ab181724 Anti-CD4 antibody [EPR6855] was incubated at 37°C for 16 mins. Sections were counterstained with Hematoxylin II. Image inset shows absence of staining in secondary antibody only control.

Western blot - Anti-CD4 antibody [EPR6855] - BSA and Azide free (AB181724)
  • WB

Lab

Western blot - Anti-CD4 antibody [EPR6855] - BSA and Azide free (AB181724)

This data was developed using ab133616, the same antibody clone in a different buffer formulation. Different batches of ab133616 were tested on THP-1 (Human monocytic leukemia monocyte) lysate at 1.0 µg/ml. 15 µg of lysate was loaded in each lane. Bands observed at 51 kDa.

All lanes:

Western blot - Anti-CD4 antibody [EPR6855] (<a href='/products/primary-antibodies/cd4-antibody-epr6855-ab133616'>ab133616</a>)

Predicted band size: 51 kDa

false

Western blot - Anti-CD4 antibody [EPR6855] - BSA and Azide free (AB181724)
  • WB

Lab

Western blot - Anti-CD4 antibody [EPR6855] - BSA and Azide free (AB181724)

This WB data was generated using the same anti-CD4 antibody clone [EPR6855] in a different buffer formulation (cat# ab133616).

Blocking buffer and concentration : 5% NFDM/TBST

Diluting buffer and concetration : 5% NFDM/TBST

All lanes:

Western blot - Anti-CD4 antibody [EPR6855] - BSA and Azide free (ab181724)

All lanes:

THP-1 (human monocytic leukemia cell line) whole cell lysate at 10 µg

Secondary

All lanes:

Western blot - Goat Anti-Rabbit IgG H&L (HRP) (<a href='/products/secondary-antibodies/goat-rabbit-igg-h-l-hrp-ab97051'>ab97051</a>)

Predicted band size: 51 kDa

false

Exposure time: 3min

关键信息

宿主种属

Rabbit

克隆

Monoclonal

克隆号

EPR6855

亚型

IgG

不含载体蛋白

Yes

反应种属

Human

应用

ICC/IF, Flow Cyt (Intra), IHC-P, WB, mIHC

applications

免疫原

The exact immunogen used to generate this antibody is proprietary information.

反应性数据

{ "title": "Reactivity Data", "filters": { "stats": ["", "Species", "Dilution Info", "Notes"], "tabs": { "all-applications": {"fullname" : "All Applications", "shortname": "All Applications"}, "IHCP" : {"fullname" : "Immunohistochemistry (Formalin/PFA-fixed paraffin-embedded sections)", "shortname":"IHC-P"}, "ICCIF" : {"fullname" : "Immunocytochemistry/ Immunofluorescence", "shortname":"ICC/IF"}, "WB" : {"fullname" : "Western blot", "shortname":"WB"}, "mIHC" : {"fullname" : "Multiplex immunohistochemistry", "shortname":"mIHC"}, "FlowCytIntra" : {"fullname" : "Flow Cytometry (Intracellular)", "shortname":"Flow Cyt (Intra)"} }, "product-promise": { "all": "all", "testedAndGuaranteed": "tested", "guaranteed": "expected", "predicted": "predicted", "notRecommended": "not-recommended" } }, "values": { "Human": { "IHCP-species-checked": "testedAndGuaranteed", "IHCP-species-dilution-info": "", "IHCP-species-notes": "<p></p>", "ICCIF-species-checked": "testedAndGuaranteed", "ICCIF-species-dilution-info": "", "ICCIF-species-notes": "<p></p>", "WB-species-checked": "testedAndGuaranteed", "WB-species-dilution-info": "", "WB-species-notes": "<p>Please check the parent abID, <a href='/products/primary-antibodies/cd4-antibody-epr6855-ab133616'>ab133616</a>, for a recommended dilution.</p>", "mIHC-species-checked": "testedAndGuaranteed", "mIHC-species-dilution-info": "", "mIHC-species-notes": "<p></p>", "FlowCytIntra-species-checked": "testedAndGuaranteed", "FlowCytIntra-species-dilution-info": "", "FlowCytIntra-species-notes": "<p><a href='/products/primary-antibodies/rabbit-igg-monoclonal-epr25a-isotype-control-low-endotoxin-azide-free-ab199376'>ab199376</a> - Rabbit monoclonal IgG, is suitable for use as an isotype control with this antibody.</p>" }, "Mouse": { "IHCP-species-checked": "notRecommended", "IHCP-species-dilution-info": "", "IHCP-species-notes": "<p><strong>For unpurified use at 1/100 - 1/250.</strong></p>", "ICCIF-species-checked": "notRecommended", "ICCIF-species-dilution-info": "", "ICCIF-species-notes": "<p></p>", "WB-species-checked": "notRecommended", "WB-species-dilution-info": "", "WB-species-notes": "<p><strong>For unpurified use at 1/1000 - 1/10000.</strong></p>", "mIHC-species-checked": "notRecommended", "mIHC-species-dilution-info": "", "mIHC-species-notes": "", "FlowCytIntra-species-checked": "notRecommended", "FlowCytIntra-species-dilution-info": "", "FlowCytIntra-species-notes": "<p><a href='/products/primary-antibodies/rabbit-igg-monoclonal-epr25a-isotype-control-ab172730'>ab172730</a> - Rabbit monoclonal IgG, is suitable for use as an isotype control with this antibody.</p>" }, "Rat": { "IHCP-species-checked": "notRecommended", "IHCP-species-dilution-info": "", "IHCP-species-notes": "<p><strong>For unpurified use at 1/100 - 1/250.</strong></p>", "ICCIF-species-checked": "notRecommended", "ICCIF-species-dilution-info": "", "ICCIF-species-notes": "<p></p>", "WB-species-checked": "notRecommended", "WB-species-dilution-info": "", "WB-species-notes": "<p><strong>For unpurified use at 1/1000 - 1/10000.</strong></p>", "mIHC-species-checked": "notRecommended", "mIHC-species-dilution-info": "", "mIHC-species-notes": "", "FlowCytIntra-species-checked": "notRecommended", "FlowCytIntra-species-dilution-info": "", "FlowCytIntra-species-notes": "<p><a href='/products/primary-antibodies/rabbit-igg-monoclonal-epr25a-isotype-control-ab172730'>ab172730</a> - Rabbit monoclonal IgG, is suitable for use as an isotype control with this antibody.</p>" } } }

产品详情

Anti-CD4 antibody [EPR6855] - BSA and Azide free (ab181724) is a recombinant rabbit monoclonal antibody which was developed by Abcam using patented rabbit monoclonal antibody technology.
ab181724 is provided in a carrier-free, conjugation ready format, and is validated in Flow Cyt (Intra), ICC/IF, IHC-P, WB and mIHC in human samples.
Carrier-free antibodies are compatible with our best-in-class range of Lightning-Link® conjugation kits.
Anti-CD4 antibody [EPR6855] - BSA and Azide free (ab181724) specifically detects CD4 (UniProt ID: P01730; Molecular weight: 48kDa) and is sold in 100 ug and 1mg selling sizes.

Quality and Validation
Antibody clone EPR6855 has been cited over 11 times in peer reviewed journals and is trusted by the scientific community.
Anti-CD4 antibody [EPR6855] - BSA and Azide free (ab181724) has 8 independent reviews from customers.

Related Products
Antibody clone EPR6855 is also available pre-conjugated to a variety of labels for your convenience - HRP, Alexa Fluor® 647, Alexa Fluor® 488, Alexa Fluor® 594, Alexa Fluor® 555 (ab195842, ab196147, ab196372, ab277931, ab280849).

Patented technology
Our RabMAb® technology is a patented hybridoma-based technology for making rabbit monoclonal antibodies. For details on our patents, please refer to RabMAb® patents.

What are the advantages of a recombinant monoclonal antibody?
This product is a recombinant monoclonal antibody, which offers several advantages including:

  • - High batch-to-batch consistency and reproducibility
  • - Improved sensitivity and specificity
  • - Long-term security of supply
  • - Animal-free batch production

For more information, read more on recombinant antibodies.

Conjugation ready
Our carrier-free antibodies are typically supplied in a PBS-only formulation, purified and free of BSA, sodium azide and glycerol. This conjugation-ready format is designed for use with fluorochromes, metal isotopes, oligonucleotides, and enzymes, which makes them ideal for antibody labelling, functional and cell-based assays, flow-based assays (e.g. mass cytometry) and Multiplex Imaging applications.

Use our conjugation kits for antibody conjugates that are ready-to-use in as little as 20 minutes with 1 minute hands-on-time and 100% antibody recovery: available for fluorescent dyes, HRP, biotin and gold.

Compatibility
This product is compatible with the Maxpar® Antibody Labeling Kit from Fluidigm, without the need for antibody preparation. Maxpar® is a trademark of Fluidigm Canada Inc.

性能和储存信息

形式
Liquid
纯化工艺
Affinity purification Protein A
存储溶液
Constituents: PBS
运输条件
Blue Ice
推荐的短期储存条件
+4°C
推荐的长期储存条件
+4°C
储存信息
Do Not Freeze

产品实验方案

For this product, it's our understanding that no specific protocols are required. You can visit:

靶点信息

Integral membrane glycoprotein that plays an essential role in the immune response and serves multiple functions in responses against both external and internal offenses. In T-cells, functions primarily as a coreceptor for MHC class II molecule : peptide complex. The antigens presented by class II peptides are derived from extracellular proteins while class I peptides are derived from cytosolic proteins. Interacts simultaneously with the T-cell receptor (TCR) and the MHC class II presented by antigen presenting cells (APCs). In turn, recruits the Src kinase LCK to the vicinity of the TCR-CD3 complex. LCK then initiates different intracellular signaling pathways by phosphorylating various substrates ultimately leading to lymphokine production, motility, adhesion and activation of T-helper cells. In other cells such as macrophages or NK cells, plays a role in differentiation/activation, cytokine expression and cell migration in a TCR/LCK-independent pathway. Participates in the development of T-helper cells in the thymus and triggers the differentiation of monocytes into functional mature macrophages.. (Microbial infection) Primary receptor for human immunodeficiency virus-1 (HIV-1) (PubMed : 12089508, PubMed : 16331979, PubMed : 2214026, PubMed : 9641677). Down-regulated by HIV-1 Vpu (PubMed : 17346169). Acts as a receptor for Human Herpes virus 7/HHV-7 (PubMed : 7909607).
See full target information CD4

文献 (26)

Recent publications for all applications. Explore the full list and refine your search

Nature 646:462-473 PubMed40836096

2025

Cancer-induced nerve injury promotes resistance to anti-PD-1 therapy.

Applications

Unspecified application

Species

Unspecified reactive species

Erez N Baruch,Frederico O Gleber-Netto,Priyadharsini Nagarajan,Xiayu Rao,Shamima Akhter,Tuany Eichwald,Tongxin Xie,Mohammad Balood,Adebayo Adewale,Shorook Naara,Hinduja N Sathishkumar,Shajedul Islam,William McCarthy,Brandi J Mattson,Renata Ferrarotto,Michael K Wong,Michael A Davies,Sonali Jindal,Sreyashi Basu,Karine Roversi,Amin Reza Nikpoor,Maryam Ahmadi,Ali Ahmadi,Catherine Harwood,Irene Leigh,Dennis Gong,Paulino Tallón de Lara,Derrick L Tao,Tara M Davidson,Nadim J Ajami,Andrew Futreal,Kunal Rai,Veena Kochat,Micah Castillo,Preethi Gunaratne,Ryan P Goepfert,Sharia D Hernandez,Nikhil I Khushalani,Jing Wang,Stephanie S Watowich,George A Calin,Michael R Migden,Mona Yuan,Naijiang Liu,Yi Ye,William L Hwang,Paola D Vermeer,Nisha J D'Silva,Yuri L Bunimovich,Dan Yaniv,Jared K Burks,Javier Gomez,Patrick M Dougherty,Kenneth Y Tsai,James P Allison,Padmanee Sharma,Jennifer A Wargo,Jeffrey N Myers,Sebastien Talbot,Neil D Gross,Moran Amit

Cell reports. Medicine 6:102299 PubMed40834854

2025

AI-driven multimodal algorithm predicts immunotherapy and targeted therapy outcomes in clear cell renal cell carcinoma.

Applications

Unspecified application

Species

Unspecified reactive species

Danil Stupichev,Natalia Miheecheva,Ekaterina Postovalova,Yang Lyu,Akshaya Ramachandran,Ilya Galkin,Gleb Khegai,Kristina Perevoshchikova,Anna Love,Sofia Menshikova,Artem Tarasov,Viktor Svekolkin,Maria Bruttan,Arina Varlamova,Kirill Kriukov,Ravshan Ataullakhanov,Nathan Fowler,Emily Cheng,Alexander Bagaev,James J Hsieh

Molecular cancer therapeutics 24:354-369 PubMed39632711

2024

Denfivontinib Activates Effector T Cells Through the NLRP3 Inflammasome, Yielding Potent Anticancer Effects by Combination with Pembrolizumab.

Applications

Unspecified application

Species

Unspecified reactive species

Dong Kwon Kim,Chun-Bong Synn,Wongeun Lee,Ha-Ni Jo,Chai Young Lee,Seul Lee,Joon Yeon Hwang,Youngtaek Kim,Seong-San Kang,Sujeong Baek,Kwangmin Na,Seung Min Yang,Mi Hyun Kim,Heekyung Han,Yu Jin Han,Jae Hwan Kim,So Young Park,Young Joon Park,Gang-Taik Lee,Su-Jin Choi,Jie-Ohn Sohn,Sang-Kyu Ye,Jii Bum Lee,Sun Min Lim,Min Hee Hong,Kyoung-Ho Pyo,Byoung Chul Cho

iScience 27:110550 PubMed39165839

2024

Multiplex spatial omics reveals changes in immune-epithelial crosstalk during inflammation and dysplasia development in chronic IBD patients.

Applications

Unspecified application

Species

Unspecified reactive species

Matthijs J D Baars,Evelien Floor,Neeraj Sinha,José J M Ter Linde,Stephanie van Dam,Mojtaba Amini,Isaäc J Nijman,Joren R Ten Hove,Julia Drylewicz,G Johan A Offerhaus,Miangela M Laclé,Bas Oldenburg,Yvonne Vercoulen

Cancer research communications 4:1748-1764 PubMed38916448

2024

Exploration of Immune-Modulatory Effects of Amivantamab in Combination with Pembrolizumab in Lung and Head and Neck Squamous Cell Carcinoma.

Applications

Unspecified application

Species

Unspecified reactive species

Sun M Lim,Seong-San Kang,Dong K Kim,Soo-Hwan Lee,Chun-Bong Synn,Sujeong Baek,Seung M Yang,Yu J Han,Mi H Kim,Heekyung Han,Kwangmin Na,Young T Kim,Mi R Yun,Jae H Kim,Youngseon Byeon,Young S Kim,Jii B Lee,Min H Hong,Joshua C Curtin,Bharvin Patel,Isabelle Bergiers,Kyoung-Ho Pyo,Byoung C Cho

Frontiers in immunology 15:1330228 PubMed38680496

2024

Exploring aryl hydrocarbon receptor expression and distribution in the tumor microenvironment, with a focus on immune cells, in various solid cancer types.

Applications

Unspecified application

Species

Unspecified reactive species

Dong Kwon Kim,Chai Young Lee,Yu Jin Han,So Young Park,Heekyung Han,Kwangmin Na,Mi Hyun Kim,Seung Min Yang,Sujeong Baek,Youngtaek Kim,Joon Yeon Hwang,Seul Lee,Seong-San Kang,Min Hee Hong,Sun Min Lim,Jii Bum Lee,Jae Hwan Kim,Byoung Chul Cho,Kyoung-Ho Pyo

Cell reports. Medicine 5:101438 PubMed38401548

2024

A signature of enhanced proliferation associated with response and survival to anti-PD-L1 therapy in early-stage non-small cell lung cancer.

Applications

Unspecified application

Species

Unspecified reactive species

Nasser K Altorki,Bhavneet Bhinder,Alain C Borczuk,Olivier Elemento,Vivek Mittal,Timothy E McGraw

Cancer cell 42:396-412.e5 PubMed38242124

2024

Cancer-associated fibroblast phenotypes are associated with patient outcome in non-small cell lung cancer.

Applications

Unspecified application

Species

Unspecified reactive species

Lena Cords,Stefanie Engler,Martina Haberecker,Jan Hendrik Rüschoff,Holger Moch,Natalie de Souza,Bernd Bodenmiller

Nature communications 14:8435 PubMed38114518

2023

Neoadjuvant durvalumab plus radiation versus durvalumab alone in stages I-III non-small cell lung cancer: survival outcomes and molecular correlates of a randomized phase II trial.

Applications

Unspecified application

Species

Unspecified reactive species

Nasser K Altorki,Zachary H Walsh,Johannes C Melms,Jeffery L Port,Benjamin E Lee,Abu Nasar,Cathy Spinelli,Lindsay Caprio,Meri Rogava,Patricia Ho,Paul J Christos,Ashish Saxena,Olivier Elemento,Bhavneet Bhinder,Casey Ager,Amit Dipak Amin,Nicholas J Sanfilippo,Vivek Mittal,Alain C Borczuk,Silvia C Formenti,Benjamin Izar,Timothy E McGraw

Cell reports. Medicine 4:101248 PubMed37865092

2023

Desmoplastic stromal signatures predict patient outcomes in pancreatic ductal adenocarcinoma.

Applications

Unspecified application

Species

Unspecified reactive species

Shamik Mascharak,Jason L Guo,Deshka S Foster,Anum Khan,Michael F Davitt,Alan T Nguyen,Austin R Burcham,Malini S Chinta,Nicholas J Guardino,Michelle Griffin,David M Lopez,Elisabeth Miller,Michael Januszyk,Shyam S Raghavan,Teri A Longacre,Daniel J Delitto,Jeffrey A Norton,Michael T Longaker
View all publications

Abcam Product Promise

我们致力于为您的研究提供高质量的试剂,为您科研的每一步提供支持。若我们的产品未能达到预期性能,我们向您提供 Abcam Product Promise 保障。
详情请参阅我们的条款与条件。

Please note: All products are 'FOR RESEARCH USE ONLY. NOT FOR USE IN DIAGNOSTIC OR THERAPEUTIC PROCEDURES'.

For licensing inquiries, please contact partnerships@abcam.com