JavaScript is disabled in your browser. Please enable JavaScript to view this website.
AB237972

Anti-CD34抗体[MEC 14.7] - BSA and Azide free

Anti-CD34 antibody [MEC 14.7] - BSA and Azide free

Be the first to review this product! Submit a review

|

(0 Publication)

Rat Monoclonal CD34 antibody. Carrier free. Suitable for IHC-P, WB and reacts with Mouse samples.

查看别名

CD34, Hematopoietic progenitor cell antigen CD34, 2

2 Images
Immunohistochemistry (Formalin/PFA-fixed paraffin-embedded sections) - Anti-CD34 antibody [MEC 14.7] - BSA and Azide free (AB237972)
  • IHC-P

Supplier Data

Immunohistochemistry (Formalin/PFA-fixed paraffin-embedded sections) - Anti-CD34 antibody [MEC 14.7] - BSA and Azide free (AB237972)

IHC image of CD34 staining in a formalin fixed paraffin embedded mouse brain tissue section, performed on a Leica Bond™ system using the standard protocol B. The section was pre-treated using heat mediated antigen retrieval with sodium citrate buffer (pH6, epitope retrieval solution 1) for 20 mins. The section was then incubated with ab8158, 10 μg/ml, for 15 mins at room temperature and detected using an HRP conjugated compact polymer system. DAB was used as the chromogen. The section was then counterstained with haematoxylin and mounted with DPX.

This image was produced using the same antibody clone but in a different formulation; PBS, sodium azide and arginine (ab8158).

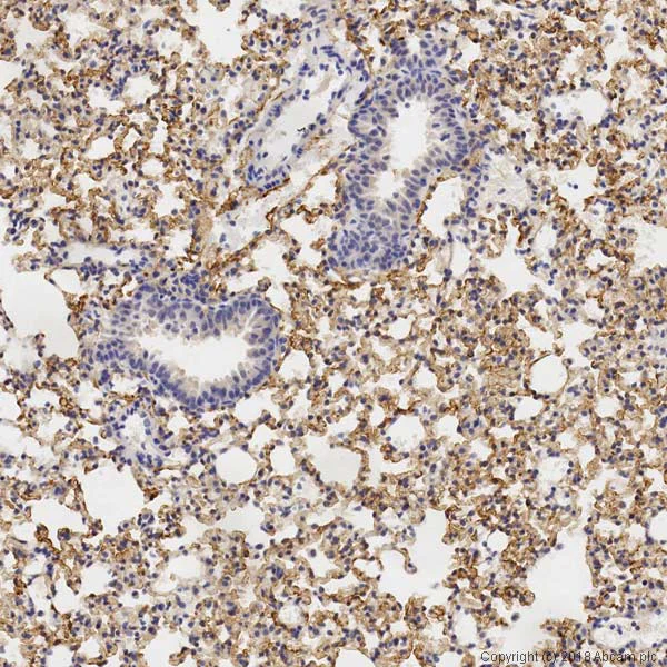
Immunohistochemistry (Formalin/PFA-fixed paraffin-embedded sections) - Anti-CD34 antibody [MEC 14.7] - BSA and Azide free (AB237972)
  • IHC-P

Supplier Data

Immunohistochemistry (Formalin/PFA-fixed paraffin-embedded sections) - Anti-CD34 antibody [MEC 14.7] - BSA and Azide free (AB237972)

IHC image of CD34 staining in a formalin fixed paraffin embedded mouse lung tissue section, performed on a Leica Bond™ system using the standard protocol B. The section was pre-treated using heat mediated antigen retrieval with sodium citrate buffer (pH6, epitope retrieval solution 1) for 20 mins. The section was then incubated with ab8158, 1 μg/ml, for 15 mins at room temperature and detected using an HRP conjugated compact polymer system. DAB was used as the chromogen. The section was then counterstained with haematoxylin and mounted with DPX.

This image was produced using the same antibody clone but in a different formulation; PBS, sodium azide and arginine (ab8158).

不同偶联物与剂型 (1)

  • 578 PE

    PE Anti-CD34 antibody [MEC 14.7]

关键信息

宿主种属

Rat

克隆

Monoclonal

克隆号

MEC 14.7

亚型

IgG2a

轻链类型

kappa

不含载体蛋白

Yes

反应种属

Mouse

应用

IHC-P, WB

applications

免疫原

The exact immunogen used to generate this antibody is proprietary information.

特异性

Recognizes mouse CD34.

反应性数据

{ "title": "Reactivity Data", "filters": { "stats": ["", "Species", "Dilution Info", "Notes"], "tabs": { "all-applications": {"fullname" : "All Applications", "shortname": "All Applications"}, "IHCP" : {"fullname" : "Immunohistochemistry (Formalin/PFA-fixed paraffin-embedded sections)", "shortname":"IHC-P"}, "WB" : {"fullname" : "Western blot", "shortname":"WB"} }, "product-promise": { "all": "all", "testedAndGuaranteed": "tested", "guaranteed": "expected", "predicted": "predicted", "notRecommended": "not-recommended" } }, "values": { "Mouse": { "IHCP-species-checked": "testedAndGuaranteed", "IHCP-species-dilution-info": "", "IHCP-species-notes": "<p>Staining with this method can be difficult, it has been reported to us that milder fixation methods for paraffin sections like using zinc solution work well (unfortunately we have no further detailed instructions of this fixation method).</p>", "WB-species-checked": "testedAndGuaranteed", "WB-species-dilution-info": "", "WB-species-notes": "<p></p>" } } }

您可能对以下产品感兴趣:

AB323932

Human CD34 ELISA Kit- Extracellular

0

0 Reviews

查看产品
为什么推荐这个?

我们推荐这个产品,因为它经常被用于相同的实验或相关的研究。

我们建议您务必查阅产品说明书,以确认其是否符合您的实验需求;若有疑问,也可联系我们的技术团队获取协助。

产品详情

性能和储存信息

形式
Liquid
纯化工艺
Affinity purification Immunogen
存储溶液
Constituents: PBS
运输条件
Blue Ice
推荐的短期储存条件
+4°C
推荐的长期储存条件
+4°C
储存信息
Do Not Freeze

产品实验方案

For this product, it's our understanding that no specific protocols are required. You can visit:

靶点信息

Possible adhesion molecule with a role in early hematopoiesis by mediating the attachment of stem cells to the bone marrow extracellular matrix or directly to stromal cells. Could act as a scaffold for the attachment of lineage specific glycans, allowing stem cells to bind to lectins expressed by stromal cells or other marrow components. Presents carbohydrate ligands to selectins (By similarity).
See full target information Cd34

Abcam Product Promise

我们致力于为您的研究提供高质量的试剂,为您科研的每一步提供支持。若我们的产品未能达到预期性能,我们向您提供 Abcam Product Promise 保障。
详情请参阅我们的条款与条件。

关联产品

Select an associated product type
Alternative Version
Primary Antibodies

AB8158

Anti-CD34 antibody [MEC 14.7]

primary-antibodies

cd34-antibody-mec-147-ab8158

4

(34 reviews)

Please note: All products are 'FOR RESEARCH USE ONLY. NOT FOR USE IN DIAGNOSTIC OR THERAPEUTIC PROCEDURES'.

For licensing inquiries, please contact partnerships@abcam.com