JavaScript is disabled in your browser. Please enable JavaScript to view this website.
AB8158

Anti-CD34 抗体 [MEC 14.7]

Anti-CD34 antibody [MEC 14.7]

4

(34 Reviews)

|

(216 Publications)

Anti-CD34 antibody [MEC 14.7] (ab8158) is a rat monoclonal antibody detecting CD34 in Western Blot, IHC-P. Suitable for Mouse.

- Over 210 publications
- Trusted since 2001

查看别名

CD34, Hematopoietic progenitor cell antigen CD34, 2

6 Images
Immunohistochemistry (Formalin/PFA-fixed paraffin-embedded sections) - Anti-CD34 antibody [MEC 14.7] (AB8158)
  • IHC-P

Supplier Data

Immunohistochemistry (Formalin/PFA-fixed paraffin-embedded sections) - Anti-CD34 antibody [MEC 14.7] (AB8158)

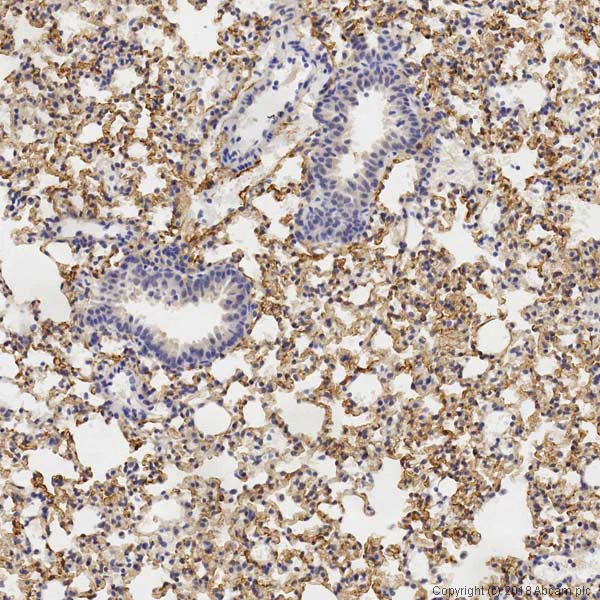
IHC image of CD34 staining in a formalin fixed paraffin embedded mouse lung tissue section, performed on a Leica Bond™ system using the standard protocol B. The section was pre-treated using heat mediated antigen retrieval with sodium citrate buffer (pH6, epitope retrieval solution 1) for 20 mins. The section was then incubated with ab8158, 1 μg/ml, for 15 mins at room temperature and detected using an HRP conjugated compact polymer system. DAB was used as the chromogen. The section was then counterstained with haematoxylin and mounted with DPX.

Western blot - Anti-CD34 antibody [MEC 14.7] (AB8158)
  • WB

Lab

Western blot - Anti-CD34 antibody [MEC 14.7] (AB8158)

The main band is as expected at 80 kDa since the target is heavily glycosylated and phosphorylated.

All lanes:

Western blot - Anti-CD34 antibody [MEC 14.7] (ab8158) at 1 µg/mL

All lanes:

Mouse Lung Membrane Tissue Lysate (ab171830) at 50 µg

Secondary

All lanes:

Western blot - Goat Anti-Rat IgG H&L (HRP) (<a href='/products/secondary-antibodies/goat-rat-igg-h-l-hrp-ab97057'>ab97057</a>) at 1/20000 dilution

Predicted band size: 40 kDa

Observed band size: 80 kDa

false

Exposure time: 2min

Immunohistochemistry (Formalin/PFA-fixed paraffin-embedded sections) - Anti-CD34 antibody [MEC 14.7] (AB8158)
  • IHC-P

AbReview33574****

Immunohistochemistry (Formalin/PFA-fixed paraffin-embedded sections) - Anti-CD34 antibody [MEC 14.7] (AB8158)

Immunohistochemical analysis of murine lung tissue, staining CD34 with ab8158.

Tissue was fixed with paraformaldehyde and blocked with 5% serum for 1 hour at room temperature; antigen retrieval was by heat mediation in citrate buffer (pH 6). Samples were incubated with primary antibody (1/100 in diluent) for 16 hours at 4°C. An undiluted HRP-conjugated horse anti-rat polyclonal IgG was used as the secondary antibody.

This image is courtesy of an anonymous Abreview

Immunohistochemistry (Formalin/PFA-fixed paraffin-embedded sections) - Anti-CD34 antibody [MEC 14.7] (AB8158)
  • IHC-P

AbReview6980****

Immunohistochemistry (Formalin/PFA-fixed paraffin-embedded sections) - Anti-CD34 antibody [MEC 14.7] (AB8158)

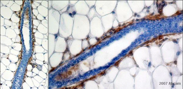
ab8158 staining CD34 in mouse mammary gland tissue sections by Immunohistochemistry (IHC-P - paraffin-embedded sections). Tissue was fixed with methacarnoy and blocked with 4% BSA for 60 minutes; antigen retrieval was by heat mediation in a citrate buffer. Samples were incubated with primary antibody (1/100) for 16 hours. A undiluted HRP-conjugated goat anti-rat IgG polyclonal was used as the secondary antibody.

This image is courtesy of an anonymous Abreview.

Immunohistochemistry (Formalin/PFA-fixed paraffin-embedded sections) - Anti-CD34 antibody [MEC 14.7] (AB8158)
  • IHC-P

AbReview9513****

Immunohistochemistry (Formalin/PFA-fixed paraffin-embedded sections) - Anti-CD34 antibody [MEC 14.7] (AB8158)

ab8158 staining mouse brain tissue sections by IHC-P. Tissue sections were paraformaldehyde fixed and blocked with 0.5% Perkin-Elmer TNB Blocking Buffer for 30 minutes at 25°C. The primary antibody was diluted 1/100 and incubated for 18 hours at 4°C. An biotin conjugated goat anti-rat was used as the secondary

Photomicrograph demonstrates CD34 in red and collagen type IV (ab19808) in blue in normal, adult brain vessels. Tissue was perfusion-fixed and cut into 15μm slide-mounted cryostat sections (i.e., lightly fixed, but not paraffin embedded).

This image is courtesy of an anonymous Abreview

Immunohistochemistry (Formalin/PFA-fixed paraffin-embedded sections) - Anti-CD34 antibody [MEC 14.7] (AB8158)
  • IHC-P

Supplier Data

Immunohistochemistry (Formalin/PFA-fixed paraffin-embedded sections) - Anti-CD34 antibody [MEC 14.7] (AB8158)

IHC image of CD34 staining in a formalin fixed paraffin embedded mouse brain tissue section, performed on a Leica Bond™ system using the standard protocol B. The section was pre-treated using heat mediated antigen retrieval with sodium citrate buffer (pH6, epitope retrieval solution 1) for 20 mins. The section was then incubated with ab8158, 10 μg/ml, for 15 mins at room temperature and detected using an HRP conjugated compact polymer system. DAB was used as the chromogen. The section was then counterstained with haematoxylin and mounted with DPX.

不同偶联物与剂型 (1)

  • 578 PE

    PE Anti-CD34 antibody [MEC 14.7]

关键信息

宿主种属

Rat

克隆

Monoclonal

克隆号

MEC 14.7

亚型

IgG2a

轻链类型

kappa

不含载体蛋白

No

反应种属

Mouse

应用

WB, IHC-P

applications

免疫原

The exact immunogen used to generate this antibody is proprietary information.

特异性

Recognizes mouse CD34.

反应性数据

{ "title": "Reactivity Data", "filters": { "stats": ["", "Species", "Dilution Info", "Notes"], "tabs": { "all-applications": {"fullname" : "All Applications", "shortname": "All Applications"}, "IHCP" : {"fullname" : "Immunohistochemistry (Formalin/PFA-fixed paraffin-embedded sections)", "shortname":"IHC-P"}, "WB" : {"fullname" : "Western blot", "shortname":"WB"} }, "product-promise": { "all": "all", "testedAndGuaranteed": "tested", "guaranteed": "expected", "predicted": "predicted", "notRecommended": "not-recommended" } }, "values": { "Mouse": { "IHCP-species-checked": "testedAndGuaranteed", "IHCP-species-dilution-info": "0.5-5 µg/mL", "IHCP-species-notes": "<p>Staining with this method can be difficult, it has been reported to us that milder fixation methods for paraffin sections like using zinc solution work well (unfortunately we have no further detailed instructions of this fixation method).</p> Perform heat-mediated antigen retrieval with citrate buffer pH 6 before commencing with IHC staining protocol.", "WB-species-checked": "testedAndGuaranteed", "WB-species-dilution-info": "5 µg/mL", "WB-species-notes": "<p></p>" } } }

您可能对以下产品感兴趣:

AB323932

Human CD34 ELISA Kit- Extracellular

0

0 Reviews

查看产品
为什么推荐这个?

我们推荐这个产品,因为它经常被用于相同的实验或相关的研究。

我们建议您务必查阅产品说明书,以确认其是否符合您的实验需求;若有疑问,也可联系我们的技术团队获取协助。

产品详情

性能和储存信息

形式
Liquid
纯化工艺
Affinity purification Immunogen
存储溶液
pH: 7.4 Preservative: 0.02% Sodium azide Constituents: PBS, 6.97% L-Arginine
运输条件
Blue Ice
推荐的短期储存时间
1-2 weeks
推荐的短期储存条件
+4°C
推荐的长期储存条件
-20°C
分装信息
Upon delivery aliquot

产品实验方案

For this product, it's our understanding that no specific protocols are required. You can visit:

靶点信息

Possible adhesion molecule with a role in early hematopoiesis by mediating the attachment of stem cells to the bone marrow extracellular matrix or directly to stromal cells. Could act as a scaffold for the attachment of lineage specific glycans, allowing stem cells to bind to lectins expressed by stromal cells or other marrow components. Presents carbohydrate ligands to selectins (By similarity).
See full target information Cd34

文献 (216)

Recent publications for all applications. Explore the full list and refine your search

International journal of molecular sciences 24: PubMed38069002

2023

Hyponatremia Promotes Cancer Growth in a Murine Xenograft Model of Neuroblastoma.

Applications

Unspecified application

Species

Unspecified reactive species

Giada Marroncini,Laura Naldi,Benedetta Fibbi,Alice Errico,Simone Polvani,Marco Brogi,Alessandra Fanelli,Mario Maggi,Alessandro Peri

Experimental & molecular medicine 55:1770-1782 PubMed37524876

2023

Inhibiting the cytosolic function of CXXC5 accelerates diabetic wound healing by enhancing angiogenesis and skin repair.

Applications

Unspecified application

Species

Unspecified reactive species

Eunhwan Kim,Seol Hwa Seo,Yumi Hwang,Yeong Chan Ryu,Heejene Kim,Kyoung-Mi Lee,Jin Woo Lee,Kwang Hwan Park,Kang-Yell Choi

Journal of molecular histology 54:349-363 PubMed37428366

2023

Granulocyte-colony stimulating factor ameliorates di-ethylhexyl phthalate-induced cardiac muscle injury via stem cells recruitment, Desmin protein regulation, antifibrotic and antiapoptotic mechanisms.

Applications

Unspecified application

Species

Unspecified reactive species

Shaimaa A Abdelrahman,Maha A Khattab,Marian S Youssef,Abeer A Mahmoud

Cancer communications (London, England) 43:637-660 PubMed37120719

2023

Perivascular localized cells commit erythropoiesis in PDGF-B-expressing solid tumors.

Applications

Unspecified application

Species

Unspecified reactive species

Kayoko Hosaka,Chenchen Wang,Shiyue Zhang,Xue Lv,Takahiro Seki,Yin Zhang,Xu Jing,Jieyu Wu,Qiqiao Du,Xingkang He,Yulong Fan,Xuan Li,Makoto Kondo,Masahito Yoshihara,Hong Qian,Lihong Shi,Ping Zhu,Yuanfu Xu,Yunlong Yang,Tao Cheng,Yihai Cao

Nature communications 14:2094 PubMed37055411

2023

Extracellular vesicles engineering by silicates-activated endothelial progenitor cells for myocardial infarction treatment in male mice.

Applications

Unspecified application

Species

Unspecified reactive species

Bin Yu,Hekai Li,Zhaowenbin Zhang,Peier Chen,Ling Wang,Xianglin Fan,Xiaodong Ning,Yuxuan Pan,Feiran Zhou,Xinyi Hu,Jiang Chang,Caiwen Ou

Nature 615:712-719 PubMed36922590

2023

Spatial mapping of mitochondrial networks and bioenergetics in lung cancer.

Applications

Unspecified application

Species

Unspecified reactive species

Mingqi Han,Eric A Bushong,Mayuko Segawa,Alexandre Tiard,Alex Wong,Morgan R Brady,Milica Momcilovic,Dane M Wolf,Ralph Zhang,Anton Petcherski,Matthew Madany,Shili Xu,Jason T Lee,Masha V Poyurovsky,Kellen Olszewski,Travis Holloway,Adrian Gomez,Maie St John,Steven M Dubinett,Carla M Koehler,Orian S Shirihai,Linsey Stiles,Aaron Lisberg,Stefano Soatto,Saman Sadeghi,Mark H Ellisman,David B Shackelford

Biology direct 18:10 PubMed36922848

2023

Image-based modeling of vascular organization to evaluate anti-angiogenic therapy.

Applications

Unspecified application

Species

Unspecified reactive species

David Ascheid,Magdalena Baumann,Caroline Funke,Julia Volz,Jürgen Pinnecker,Mike Friedrich,Marie Höhn,Rajender Nandigama,Süleyman Ergün,Bernhard Nieswandt,Katrin G Heinze,Erik Henke

Frontiers in immunology 14:1093022 PubMed36936923

2023

Endothelial Protein kinase D1 is a major regulator of post-traumatic hyperinflammation.

Applications

Unspecified application

Species

Unspecified reactive species

Jonathan Schönfelder,Tanja Seibold,Mareen Morawe,Robert Sroka,Nora Schneider,Jierui Cai,Josip Golomejic,Lena Schütte,Milena Armacki,Markus Huber-Lang,Miriam Kalbitz,Thomas Seufferlein,Tim Eiseler

Journal of cellular biochemistry 124:239-253 PubMed36538649

2022

IGF2BP2 enhances LincRNA01116 stability via m A: A potential biomarker and therapeutic target for patients with pre-eclampsia.

Applications

Unspecified application

Species

Unspecified reactive species

Tingting Zhang,Xiaotong Tang,Yuanyuan Zhu,Cong Wang,Ziyan Jiang,Nana Yang,Tianjun Wang,Lijun Shu,Yetao Xu,Lizhou Sun

Cell death & disease 13:1044 PubMed36522320

2022

Matrix protein Tenascin-C promotes kidney fibrosis via STAT3 activation in response to tubular injury.

Applications

Unspecified application

Species

Unspecified reactive species

Qionghong Xie,Min Zhang,Xiaoyi Mao,Mingyue Xu,Shaojun Liu,Da Shang,Yunyu Xu,Ruiying Chen,Yi Guan,Xinzhong Huang,Roy Zent,Ambra Pozzi,Chuan-Ming Hao
View all publications

Abcam Product Promise

我们致力于为您的研究提供高质量的试剂,为您科研的每一步提供支持。若我们的产品未能达到预期性能,我们向您提供 Abcam Product Promise 保障。
详情请参阅我们的条款与条件。

关联产品

Select an associated product type
Alternative Product
Primary Antibodies

AB195013

Alexa Fluor® 488 Anti-CD34 antibody [EP373Y]

primary-antibodies

alexa-fluor-488-cd34-antibody-ep373y-ab195013

5

(5 reviews)

Alternative Product
Primary Antibodies

AB195017

HRP Anti-CD34 antibody [EP373Y]

primary-antibodies

hrp-cd34-antibody-ep373y-ab195017

0

(0 reviews)

Alternative Product
Primary Antibodies

AB110643

Anti-CD34 antibody [EPR2999]

primary-antibodies

cd34-antibody-epr2999-ab110643

4

(3 reviews)

Alternative Product
Primary Antibodies

AB223930

PE Anti-CD34 antibody [EP373Y]

primary-antibodies

pe-cd34-antibody-ep373y-ab223930

5

(1 reviews)

Alternative Product
Primary Antibodies

AB81289

Anti-CD34 antibody [EP373Y]

primary-antibodies

cd34-antibody-ep373y-ab81289

4

(56 reviews)

Alternative Product
Primary Antibodies

AB198395

Anti-CD34 antibody [EP373Y] - BSA and Azide free

primary-antibodies

cd34-antibody-ep373y-bsa-and-azide-free-ab198395

4

(4 reviews)

Alternative Version
Primary Antibodies

AB237972

Anti-CD34 antibody [MEC 14.7] - BSA and Azide free

primary-antibodies

cd34-antibody-mec-147-bsa-and-azide-free-ab237972

0

(0 reviews)

Please note: All products are 'FOR RESEARCH USE ONLY. NOT FOR USE IN DIAGNOSTIC OR THERAPEUTIC PROCEDURES'.

For licensing inquiries, please contact partnerships@abcam.com