JavaScript is disabled in your browser. Please enable JavaScript to view this website.
AB81289

Anti-CD34 抗体 [EP373Y]

Anti-CD34 antibody [EP373Y]

  • BOND RX™ Validated
  • RabMAb
  • Recombinant
  • 20ul selling size
  • 了解详情

4

(56 Reviews)

|

(770 Publications)

Anti-CD34 antibody [EP373Y] (ab81289) is a rabbit monoclonal antibody detecting CD34 in Western Blot, Flow Cytometry (Intra), Flow Cytometry, IP, IHC-P, IHC-Fr, ICC/IF. Suitable for Human, Mouse, Rat.

- Biophysical QC for unrivalled batch-batch consistency
- Over 570 publications
- Trusted since 2009

查看别名

CD34, Hematopoietic progenitor cell antigen CD34

14 Images
Flow Cytometry (Intracellular) - Anti-CD34 antibody [EP373Y] (AB81289)
  • Flow Cyt (Intra)

Lab

Flow Cytometry (Intracellular) - Anti-CD34 antibody [EP373Y] (AB81289)

Flow cytometry overlay histogram showing left HUVEC positive cells and right negative HL60 stained with ab81289 (red line). The cells were fixed with 4% formaldehyde (10 min) and then permeabilised with 0.1% PBS-Triton X-100 for 15 mins. The cells were then incubated in 1x PBS containing 10% normal goat serum to block non-specific protein-protein interaction followed by the antibody (ab81289) (1x 106 in 100μl at 0.2μg/ml (1/11550 dilution)) for 30 mins at 22°C.

The secondary antibody Goat Anti-Rabbit IgG H&L (Alexa Fluor® 488) preadsorbed was incubated at 1/4000 dilution for 30 mins at 22°C

Isotype control antibody (black line) was Recombinant Rabbit IgG, monoclonal [EPR25A] - Isotype Control (ab172730) used at the same concentration and conditions as the primary antibody. Unlabelled sample (blue line) was also used as a control.

Acquisition of >5000 events were collected using a 50 mW Blue laser (488nm) and 525/40 bandpass filter.

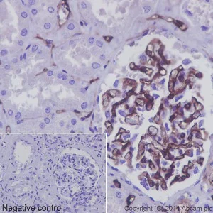
Immunohistochemistry (Formalin/PFA-fixed paraffin-embedded sections) - Anti-CD34 antibody [EP373Y] (AB81289)
  • IHC-P

Unknown

Immunohistochemistry (Formalin/PFA-fixed paraffin-embedded sections) - Anti-CD34 antibody [EP373Y] (AB81289)

Immunohistochemistry (Formalin/PFA-fixed paraffin-embedded sections) analysis of human kidney tissue labelling CD34 with purified ab81289 at 1/2500. Heat mediated antigen retrieval was performed using Tris/EDTA buffer pH 9. Goat Anti-Rabbit IgG H&L (HRP) (ab97051) was used as the secondary antibody at 1/500. Negative control using PBS instead of primary antibody. Counter stained with Hematoxylin.

Immunocytochemistry/ Immunofluorescence - Anti-CD34 antibody [EP373Y] (AB81289)
  • ICC/IF

Unknown

Immunocytochemistry/ Immunofluorescence - Anti-CD34 antibody [EP373Y] (AB81289)

Immunocytochemistry/Immunofluorescence analysis of HUVEC (Human umbilical vein endothelial cell line) cells labelling CD34 with purified ab81289 at 1/100. Cells were fixed with 4% paraformaldehyde and permeabilized with 0.1% Triton X-100. An Alexa Fluor® 488-conjugated goat anti-rabbit IgG (ab150077) (1/500) was used as the secondary antibody. DAPI (blue) was used as the nuclear counter stain.

Control : Secondary antibody only, ab150120, an Alexa Fluor® 488-conjugated goat anti-mouse IgG (1/500).

Immunocytochemistry/ Immunofluorescence - Anti-CD34 antibody [EP373Y] (AB81289)
  • ICC/IF

PubMed

Immunocytochemistry/ Immunofluorescence - Anti-CD34 antibody [EP373Y] (AB81289)

Immunocytochemistry/Immunofluorescence analysis of human embryonic stem cell-derived endothelial cells labeling CD34 with unpurified ab81289 at 1/200. Cells were fixed with 4% paraformaldehyde and permeabilized with 0.2% aTriton X-100. An Alexa Fluor® 647-conjugated secondary antibody was used at a 1/400 dilution. DAPI (blue) was used as the nuclear counter stain.

Image from Földes G et al. PLoS One. 2010 May 5;5(5):e10501 Fig 3.

Immunoprecipitation - Anti-CD34 antibody [EP373Y] (AB81289)
  • IP

Unknown

Immunoprecipitation - Anti-CD34 antibody [EP373Y] (AB81289)

CD34 was immunoprecipitated from TF-1 (Human bone marrow erythroleukemia cells) cells using purified ab81289 at 1/30 dilution. Western blot was performed from the immunoprecipitate using ab81289. Goat Anti-Rabbit IgG, (H+L), Peroxidase conjugated was used as secondary antibody at 1/1000 dilution. Blocking and dilution buffer and concentration : 5% NFDM/TBST

All lanes:

Immunoprecipitation - Anti-CD34 antibody [EP373Y] (ab81289)

Predicted band size: 40 kDa

Observed band size: 120 kDa

false

Immunohistochemistry (Formalin/PFA-fixed paraffin-embedded sections) - Anti-CD34 antibody [EP373Y] (AB81289)
  • IHC-P

Unknown

Immunohistochemistry (Formalin/PFA-fixed paraffin-embedded sections) - Anti-CD34 antibody [EP373Y] (AB81289)

IHC image of CD34 staining in Mouse normal brain formalin fixed paraffin embedded tissue section, performed on a Leica BondTM system using the standard protocol B. The section was pre-treated using heat mediated antigen retrieval with sodium citrate buffer (pH6, epitope retrieval solution 1) for 20 mins. The section was then incubated with unpurified ab81289, 1/250 dilution, for 15 mins at room temperature. A Goat anti-Rabbit biotinylated secondary antibody was used to detect the primary, and visualized using an HRP conjugated ABC system. DAB was used as the chromogen. The section was then counterstained with haematoxylin and mounted with DPX.

For other IHC staining systems (automated and non-automated) customers should optimize variable parameters such as antigen retrieval conditions, primary antibody concentration and antibody incubation times.

Immunohistochemistry (Frozen sections) - Anti-CD34 antibody [EP373Y] (AB81289)
  • IHC-Fr

Lab

Immunohistochemistry (Frozen sections) - Anti-CD34 antibody [EP373Y] (AB81289)

Immunohistochemical analysis of 4% PFA-fixed 0.2% Triton X-100 permeabilized frozen Rat kidney tissue labeling CD34 with ab81289 at 1/50 (11.04 μg/ml) dilution followed by ab150077 Goat Anti-Rabbit IgG H&L (Alexa Fluor® 488) at 1/1000 dilution (Green). Positive staining on rat kidney. is observed. The nuclear counterstain was DAPI (Blue).

Secondary antibody control : Secondary antibody is ab150077 Goat Anti-Rabbit IgG H&L (Alexa Fluor® 488) at 1000 dilution.

Heat mediated antigen retrieval using sodium citrate buffer (10mM citrate pH 6.0 + 0.05% Tween-20).

Immunohistochemistry (Formalin/PFA-fixed paraffin-embedded sections) - Anti-CD34 antibody [EP373Y] (AB81289)
  • IHC-P

AbReview54850****

Immunohistochemistry (Formalin/PFA-fixed paraffin-embedded sections) - Anti-CD34 antibody [EP373Y] (AB81289)

Paraformaldehyde-fixed, paraffin-embedded mouse kidney tissue stained for CD34 using ab81289 at 1/200 dilution in immunohistochemical analysis.

This image is courtesy of an Abreview submitted by Rudolf Jung.

Immunohistochemistry (Formalin/PFA-fixed paraffin-embedded sections) - Anti-CD34 antibody [EP373Y] (AB81289)
  • IHC-P

AbReview63093****

Immunohistochemistry (Formalin/PFA-fixed paraffin-embedded sections) - Anti-CD34 antibody [EP373Y] (AB81289)

Paraformaldehyde-fixed, paraffin-embedded mouse prostate tissue stained for CD34 using ab81289 at 1/150 dilution in immunohistochemical analysis.

This image is courtesy of an anonymous Abreview.

Immunohistochemistry (Frozen sections) - Anti-CD34 antibody [EP373Y] (AB81289)
  • IHC-Fr

Lab

Immunohistochemistry (Frozen sections) - Anti-CD34 antibody [EP373Y] (AB81289)

Immunohistochemical analysis of 4% PFA-fixed 0.2% Triton X-100 permeabilized frozen Rat lung tissue labeling CD34 with ab81289 at 1/50 (11.04 μg/ml) dilution followed by ab150077 Goat Anti-Rabbit IgG H&L (Alexa Fluor® 488) at 1/1000 dilution (Green). Positive staining on rat lung. is observed. The nuclear counterstain was DAPI (Blue).

Secondary antibody control : Secondary antibody is ab150077 Goat Anti-Rabbit IgG H&L (Alexa Fluor® 488) at 1000 dilution.

Heat mediated antigen retrieval using sodium citrate buffer (10mM citrate pH 6.0 + 0.05% Tween-20).

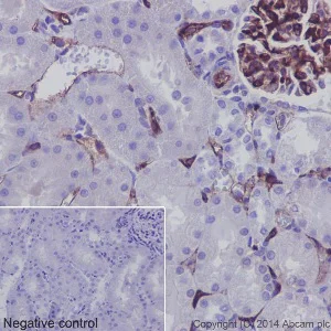
Immunohistochemistry (Formalin/PFA-fixed paraffin-embedded sections) - Anti-CD34 antibody [EP373Y] (AB81289)
  • IHC-P

Unknown

Immunohistochemistry (Formalin/PFA-fixed paraffin-embedded sections) - Anti-CD34 antibody [EP373Y] (AB81289)

Immunohistochemistry (Formalin/PFA-fixed paraffin-embedded sections) analysis of rat kidney tissue labelling CD34 with purified ab81289 at 1/2500. Heat mediated antigen retrieval was performed using Tris/EDTA buffer pH 9. Goat Anti-Rabbit IgG H&L (HRP) (ab97051) was used as the secondary antibody at 1/500. Negative control using PBS instead of primary antibody. Counter stained with Hematoxylin.

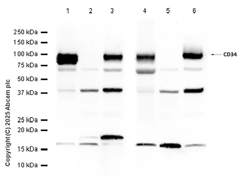
Western blot - Anti-CD34 antibody [EP373Y] (AB81289)
  • WB

Lab

Western blot - Anti-CD34 antibody [EP373Y] (AB81289)

Blocking and diluting buffer and concentration : 5% NFDM/TBST.

Negative control : Daudi, HL-60.

Low expression : HUVEC, Neuro-2a.

All lanes:

Western blot - Anti-CD34 antibody [EP373Y] (ab81289) at 1/1000 dilution

Lane 1:

KG-1a (human bone marrow myeloblast) whole cell lysate at 20 µg

Lane 2:

TF-1 (human erythroleukemia erythroblast) whole cell lysate at 20 µg

Lane 3:

Daudi (human Burkitts lymphoma lymphoblast) whole cell lysate at 20 µg

Lane 4:

HL-60 (Human acute promyelocytic leukemia promyeloblast) whole cell lysate at 20 µg

Lane 5:

HUVEC (Human umbilical vein endothelial cell) whole cell lysate at 20 µg

Lane 6:

bEnd.3 (mouse brain endothelioma) whole cell lysate at 20 µg

Lane 7:

NIH/3T3 (mouse embryonic fibroblast) whole cell lysate at 20 µg

Lane 8:

Neuro-2a (mouse neuroblastoma neuroblast) whole cell lysate at 20 µg

Secondary

All lanes:

Western blot - Goat Anti-Rabbit IgG H&L (HRP) (<a href='/products/secondary-antibodies/goat-rabbit-igg-h-l-hrp-ab97051'>ab97051</a>) at 1/100000 dilution

Observed band size: 80-120 kDa

false

Exposure time: 60s

Western blot - Anti-CD34 antibody [EP373Y] (AB81289)
  • WB

Lab

Western blot - Anti-CD34 antibody [EP373Y] (AB81289)

Blocking and diluting buffer and concentration : 5% NFDM/TBST.

This product failed to detect any signal in the kidney lysate.

All lanes:

Western blot - Anti-CD34 antibody [EP373Y] (ab81289) at 1/1000 dilution

Lane 1:

Mouse lung tissue lysate at 20 µg

Lane 2:

Mouse kidney tissue lysate at 20 µg

Lane 3:

Mouse heart tissue lysate at 20 µg

Lane 4:

Rat lung tissue lysate at 20 µg

Lane 5:

Rat kidney tissue lysate at 20 µg

Lane 6:

Rat heart tissue lysate at 20 µg

Secondary

All lanes:

Western blot - Goat Anti-Rabbit IgG H&L (HRP) (<a href='/products/secondary-antibodies/goat-rabbit-igg-h-l-hrp-ab97051'>ab97051</a>) at 1/20000 dilution

Observed band size: 80-120 kDa

false

Exposure time: 40s

OI-RD Scanning - Anti-CD34 antibody [EP373Y] (AB81289)
  • OI-RD Scanning

Unknown

OI-RD Scanning - Anti-CD34 antibody [EP373Y] (AB81289)

We have systematically measured KD (the equilibrium dissociation constant between the antibody and its antigen), of more than 840 recombinant antibodies to assess not only their individual KD values but also to see the average affinity of antibody. Based on the comparison with published literature values for mouse monoclonal antibodies, Recombinant antibodies appear to be on average 1-2 order of magnitude higher affinity.

不同偶联物与剂型 (9)

关键信息

宿主种属

Rabbit

克隆

Monoclonal

克隆号

EP373Y

亚型

IgG

不含载体蛋白

No

反应种属

Mouse, Rat, Human

应用

Flow Cyt (Intra), IHC-P, ICC/IF, IHC-Fr, IP, WB

applications

免疫原

The exact immunogen used to generate this antibody is proprietary information.

反应性数据

{ "title": "Reactivity Data", "filters": { "stats": ["", "Species", "Dilution Info", "Notes"], "tabs": { "all-applications": {"fullname" : "All Applications", "shortname": "All Applications"}, "IHCP" : {"fullname" : "Immunohistochemistry (Formalin/PFA-fixed paraffin-embedded sections)", "shortname":"IHC-P"}, "IP" : {"fullname" : "Immunoprecipitation", "shortname":"IP"}, "WB" : {"fullname" : "Western blot", "shortname":"WB"}, "ICCIF" : {"fullname" : "Immunocytochemistry/ Immunofluorescence", "shortname":"ICC/IF"}, "IHCFr" : {"fullname" : "Immunohistochemistry (Frozen sections)", "shortname":"IHC-Fr"}, "FlowCytIntra" : {"fullname" : "Flow Cytometry (Intracellular)", "shortname":"Flow Cyt (Intra)"} }, "product-promise": { "all": "all", "testedAndGuaranteed": "tested", "guaranteed": "expected", "predicted": "predicted", "notRecommended": "not-recommended" } }, "values": { "Human": { "IHCP-species-checked": "testedAndGuaranteed", "IHCP-species-dilution-info": "1/2500 - 1/5000", "IHCP-species-notes": "<p></p> Perform heat-mediated antigen retrieval with citrate buffer pH 6 before commencing with IHC staining protocol.", "IP-species-checked": "testedAndGuaranteed", "IP-species-dilution-info": "1/30", "IP-species-notes": "<p></p>", "WB-species-checked": "testedAndGuaranteed", "WB-species-dilution-info": "1/1000", "WB-species-notes": "<p></p>", "ICCIF-species-checked": "testedAndGuaranteed", "ICCIF-species-dilution-info": "1/100 - 1/250", "ICCIF-species-notes": "<p></p>", "IHCFr-species-checked": "guaranteed", "IHCFr-species-dilution-info": "", "IHCFr-species-notes": "", "FlowCytIntra-species-checked": "testedAndGuaranteed", "FlowCytIntra-species-dilution-info": "0.2-1 µg/mL", "FlowCytIntra-species-notes": "<p></p>" }, "Mouse": { "IHCP-species-checked": "testedAndGuaranteed", "IHCP-species-dilution-info": "1/2500 - 1/5000", "IHCP-species-notes": "<p></p> Perform heat-mediated antigen retrieval with citrate buffer pH 6 before commencing with IHC staining protocol.", "IP-species-checked": "guaranteed", "IP-species-dilution-info": "", "IP-species-notes": "", "WB-species-checked": "testedAndGuaranteed", "WB-species-dilution-info": "1/1000", "WB-species-notes": "<p></p>", "ICCIF-species-checked": "guaranteed", "ICCIF-species-dilution-info": "", "ICCIF-species-notes": "", "IHCFr-species-checked": "notRecommended", "IHCFr-species-dilution-info": "1/50", "IHCFr-species-notes": "<p></p>", "FlowCytIntra-species-checked": "guaranteed", "FlowCytIntra-species-dilution-info": "", "FlowCytIntra-species-notes": "" }, "Rat": { "IHCP-species-checked": "testedAndGuaranteed", "IHCP-species-dilution-info": "1/2500 - 1/5000", "IHCP-species-notes": "<p></p> Perform heat-mediated antigen retrieval with citrate buffer pH 6 before commencing with IHC staining protocol.", "IP-species-checked": "guaranteed", "IP-species-dilution-info": "", "IP-species-notes": "", "WB-species-checked": "testedAndGuaranteed", "WB-species-dilution-info": "1/1000", "WB-species-notes": "<p></p>", "ICCIF-species-checked": "guaranteed", "ICCIF-species-dilution-info": "", "ICCIF-species-notes": "", "IHCFr-species-checked": "testedAndGuaranteed", "IHCFr-species-dilution-info": "1/50", "IHCFr-species-notes": "<p></p>", "FlowCytIntra-species-checked": "guaranteed", "FlowCytIntra-species-dilution-info": "", "FlowCytIntra-species-notes": "" }, "African bush elephant": { "IHCP-species-checked": "predicted", "IHCP-species-dilution-info": "", "IHCP-species-notes": "", "IP-species-checked": "predicted", "IP-species-dilution-info": "", "IP-species-notes": "", "WB-species-checked": "predicted", "WB-species-dilution-info": "", "WB-species-notes": "", "ICCIF-species-checked": "predicted", "ICCIF-species-dilution-info": "", "ICCIF-species-notes": "", "IHCFr-species-checked": "notRecommended", "IHCFr-species-dilution-info": "", "IHCFr-species-notes": "", "FlowCytIntra-species-checked": "predicted", "FlowCytIntra-species-dilution-info": "", "FlowCytIntra-species-notes": "" }, "Dog": { "IHCP-species-checked": "predicted", "IHCP-species-dilution-info": "", "IHCP-species-notes": "", "IP-species-checked": "predicted", "IP-species-dilution-info": "", "IP-species-notes": "", "WB-species-checked": "predicted", "WB-species-dilution-info": "", "WB-species-notes": "", "ICCIF-species-checked": "predicted", "ICCIF-species-dilution-info": "", "ICCIF-species-notes": "", "IHCFr-species-checked": "notRecommended", "IHCFr-species-dilution-info": "", "IHCFr-species-notes": "", "FlowCytIntra-species-checked": "predicted", "FlowCytIntra-species-dilution-info": "", "FlowCytIntra-species-notes": "" }, "Sheep": { "IHCP-species-checked": "predicted", "IHCP-species-dilution-info": "", "IHCP-species-notes": "", "IP-species-checked": "predicted", "IP-species-dilution-info": "", "IP-species-notes": "", "WB-species-checked": "predicted", "WB-species-dilution-info": "", "WB-species-notes": "", "ICCIF-species-checked": "predicted", "ICCIF-species-dilution-info": "", "ICCIF-species-notes": "", "IHCFr-species-checked": "notRecommended", "IHCFr-species-dilution-info": "", "IHCFr-species-notes": "", "FlowCytIntra-species-checked": "predicted", "FlowCytIntra-species-dilution-info": "", "FlowCytIntra-species-notes": "" } } }

产品详情

Anti-CD34 antibody [EP373Y] (ab81289) was developed by Abcam using patented rabbit monoclonal antibody technology and is validated for use in Flow Cyt (Intra), ICC/IF, IHC-Fr, IHC-P and IP.

Anti-CD34 antibody [EP373Y] (ab81289) was first used in a scientific publication in 2010 and has been cited over 570 times in peer reviewed journals. It's performance in IHC and Flow Cytometry in human, mouse and rat samples is trusted by the scientific community.

Abcam's high quality manufacturing and validation processes ensure Anti-CD34 antibody [EP373Y] (ab81289) has high sensitivity and specificity alongside high lot-to-lot consistency and reproducibility.

Anti-CD34 antibody [EP373Y] (ab81289) has 54 independent reviews from customers.

Anti-CD34 antibody [EP373Y] (ab81289) specifically detects CD34 (UniProt ID: P28906; Molecular weight: 38kDa) and is sold in 100 µL and 1 mL selling sizes.

Conjugation-ready, carrier free format available for antibody clone EP373Y - ab188169.

Antibody clone EP373Y is also available pre-conjugated to a variety of labels for your convenience - Alexa Fluor® 488, HRP, PE, APC, Alexa Fluor® 594, Alexa Fluor® 568, Alexa Fluor® 555, Alexa Fluor® 750 (ab195013, ab195017, ab223930, ab310881, ab311670, ab312945, ab313155, ab321739).

CD34 is a marker for hematopoietic stem cells and plays a role in immunology diseases by facilitating cell migration and adhesion, impacting conditions like leukaemia and other hematologic disorders. EP373Y is top cited on the market with over 763 citations and validated in human, mouse, rat samples with the broadest range of applications.

Patented technology
Our RabMAb® technology is a patented hybridoma-based technology for making rabbit monoclonal antibodies. For details on our patents, please refer to RabMAb® patents.

What are the advantages of a recombinant monoclonal antibody?
This product is a recombinant monoclonal antibody, which offers several advantages including:

  • - High batch-to-batch consistency and reproducibility
  • - Improved sensitivity and specificity
  • - Long-term security of supply
  • - Animal-free batch production

For more information, read more on recombinant antibodies.

性能和储存信息

形式
Liquid
纯化工艺
Affinity purification Protein A
存储溶液
pH: 7.2 - 7.4 Preservative: 0.01% Sodium azide Constituents: PBS, 40% Glycerol (glycerin, glycerine), 0.05% BSA
运输条件
Blue Ice
推荐的短期储存时间
1-2 weeks
推荐的短期储存条件
+4°C
推荐的长期储存条件
-20°C
分装信息
Upon delivery aliquot
储存信息
Avoid freeze / thaw cycle

产品实验方案

For this product, it's our understanding that no specific protocols are required. You can visit:

靶点信息

Possible adhesion molecule with a role in early hematopoiesis by mediating the attachment of stem cells to the bone marrow extracellular matrix or directly to stromal cells. Could act as a scaffold for the attachment of lineage specific glycans, allowing stem cells to bind to lectins expressed by stromal cells or other marrow components. Presents carbohydrate ligands to selectins.
See full target information CD34

文献 (770)

Recent publications for all applications. Explore the full list and refine your search

Pharmaceutics 17: PubMed41012550

2025

Theranostic Potential of a New Cu-Labeled NOTA-R954 Peptide Conjugate for Kinin B1R Expressing Prostate Cancer.

Applications

Unspecified application

Species

Unspecified reactive species

Sadaf Ghanaatgar Kasbi,Martin Savard,Frédéric Couture,Céléna Dubuc,Véronique Dumulon-Perreault,Marie-Edith Nepveu-Traversy,Samia Ait-Mohand,Robert Sabbagh,Sameh Geha,Brigitte Guérin,Yves Dory,Fernand Gobeil

Acta biochimica et biophysica Sinica : PubMed40922685

2025

Lysyl oxidase exacerbates rheumatoid arthritis through promoting angiogenesis and the proliferation of fibroblast-like synoviocytes.

Applications

Unspecified application

Species

Unspecified reactive species

Hong Deng,Yanmeng Li,Tai Teng,Kaibo Wang,Chen Ji,Lijuan Yang,Shuming Zhang,Yanbin Tian,Mei Han

Frontiers in cell and developmental biology 13:1629770 PubMed40894922

2025

Efficacy of bleomycin and sirolimus in inhibiting CD31 endothelial cell proliferation in noninvoluting congenital hemangiomas.

Applications

Unspecified application

Species

Unspecified reactive species

Yanan Li,Chuan Wang,Yi Li,Xinglong Zhu,Ji Bao,Yi Ji

Respiratory research 26:261 PubMed40855290

2025

Pulmonary and neurobehavioral efficacies of AVR-48, a TLR4 modulator, in a preterm lamb model of bronchopulmonary dysplasia.

Applications

Unspecified application

Species

Unspecified reactive species

Suchismita Acharya,David Riley,Adam Dayoub,Eesha Acharya,Andrew Rebentisch,Maggie Simmons,Sydney Bowen,Joanna Beachy,Elaine Dawson,Emily Major,Michael Borton,Jakob Van Boerum,Mar Janna Dahl,Vineet Bhandari,Suhas G Kallapur,Dale J Christensen,Kurt H Albertine

International journal of molecular sciences 26: PubMed40724957

2025

Rifaximin Attenuates Liver Fibrosis and Hepatocarcinogenesis in a Rat MASH Model by Suppressing the Gut-Liver Axis and Epiregulin-IL-8-Associated Angiogenesis.

Applications

Unspecified application

Species

Unspecified reactive species

Naoki Nishimura,Kosuke Kaji,Norihisa Nishimura,Junichi Hanatani,Tatsuya Nakatani,Masafumi Oyama,Akihiko Shibamoto,Yuki Tsuji,Koh Kitagawa,Shinya Sato,Tadashi Namisaki,Satoru Tamaoki,Hitoshi Yoshiji

Journal of translational medicine 23:814 PubMed40702555

2025

Hypoxic cancer-associated fibroblast exosomal circSTAT3 drives triple negative breast cancer stemness via miR-671-5p/NOTCH1 signaling.

Applications

Unspecified application

Species

Unspecified reactive species

Lu Yang,Siyuan Zhao,Xu Liu,Yuchen Zhang,Shaorong Zhao,Xuan Fang,Jin Zhang

iScience 28:112832 PubMed40687841

2025

BMSC exosomes deliver JKAP to restore Th17/Treg balance via AKT/ERK, alleviating rheumatoid arthritis.

Applications

Unspecified application

Species

Unspecified reactive species

Fang-Tian Xu,Yu Ling,Hui-Xian Wei,Lingzhang Meng,Dong Yin,Zhong-Hong Lai,Yu Huang,Xiao Huang,Hai-Ye Li,Qin-Wen Luo,Jian Song,Qiang Tang,Hong-Mian Li

Cancer cell international 25:264 PubMed40671013

2025

Role of S1PR1 in VEGF-exosomes mediated resistance of hepatocellular carcinoma to anti-angiogenesis therapy.

Applications

Unspecified application

Species

Unspecified reactive species

Xinghong Yao,Min Tang,Liang Li,Ye Zeng

The Journal of experimental medicine 222: PubMed40663042

2025

Monoallelic mutations in MMD2 cause autosomal dominant aggressive periodontitis.

Applications

Unspecified application

Species

Unspecified reactive species

Tomoyuki Iwata,Yoko Mizoguchi,Tetsuya Yoshimoto,Miyuki Tsumura,Fumiaki Sakura,Jeffrey R Johnson,Shinji Matsuda,Kazuhisa Ouhara,Yukiko Nagatani,Takaki Asano,Hidenori Ohnishi,Zenichiro Kato,Keichiro Mihara,Hirokazu Kanegane,Tomoya Ueda,Shinya Sasaki,Yuri Taniguchi,Yurika Ninomiya,Yoshinori Ohno,Kyoko Suzuki-Takedachi,Yusuke Sotomaru,Tetsushi Sakuma,Takashi Yamamoto,Yukiko Matsuda,Kodai Kume,Terukazu Sanui,Fusanori Nishimura,Mikihito Kajiya,Yasuyoshi Ueki,Hidemi Kurihara,Hiroyuki Morino,Satoshi Okada,Hideshi Kawakami,Noriyoshi Mizuno

Journal of cellular and molecular medicine 29:e70682 PubMed40638555

2025

XML Attenuates Ox-LDL-Induced Endothelial Progenitor Cell Senescence via Gria2 and cAMP Pathways.

Applications

Unspecified application

Species

Unspecified reactive species

Jinjian Wu,Guotao Lu,Zhou Luo,Meng Cai,Qiankun He,Jie Su,Jianfeng Liu,Rong Wang,Chunyan Kuang
View all publications

Abcam Product Promise

我们致力于为您的研究提供高质量的试剂,为您科研的每一步提供支持。若我们的产品未能达到预期性能,我们向您提供 Abcam Product Promise 保障。
详情请参阅我们的条款与条件。

Please note: All products are 'FOR RESEARCH USE ONLY. NOT FOR USE IN DIAGNOSTIC OR THERAPEUTIC PROCEDURES'.

For licensing inquiries, please contact partnerships@abcam.com