JavaScript is disabled in your browser. Please enable JavaScript to view this website.
AB182981

Anti-CD31 抗体 [EPR17259]

Anti-CD31 antibody [EPR17259]

  • BOND RX™ Validated
  • RabMAb
  • Recombinant
  • Lab Essentials
  • 20ul selling size
  • Advanced Validation
  • 了解详情

5

(22 Reviews)

|

(493 Publications)

Anti-CD31 antibody [EPR17259] (ab182981) is a rabbit monoclonal antibody detecting CD31 in IHC-P, mIHC. Suitable for Human, Mouse, Rat.

- Multiplex IHC validated on the Leica BOND® MAX using Opal reagents
- Biophysical QC for unrivalled batch-batch consistency
- Over 220 publications

查看别名

CD31, Platelet endothelial cell adhesion molecule, PECAM-1, EndoCAM, GPIIA', PECA1, PECAM1

12 Images
Multiplex immunohistochemistry - Anti-CD31 antibody [EPR17259] (AB182981)
  • mIHC

Supplier Data

Multiplex immunohistochemistry - Anti-CD31 antibody [EPR17259] (AB182981)

Fluorescence multiplex immunohistochemical analysis of the human endometrium (Formalin/PFA-fixed paraffin-embedded sections). Panel A : merged staining of anti-EpCAM (ab223582, magenta; Opal™690), anti-NKG2A (ab260035, green; Opal™520) and anti-CD31 (ab182981, red; Opal™570) on human endometrium. Panel B : anti-NKG2A stained on NK cells. Panel C : anti-CD31 stained on endothelial cells. Panel D : anti-EpCAM stained on glandular cells. Opal Polymer HRP Ms + Rb was used as a secondary antibody. The section was incubated in three rounds of staining : in the order of ab223582 at 1/500 dilution (1.008 μg/ml), ab260035 at 1/2000 dilution (0.262 μg/ml) and ab182981 at 1/4000 dilution (0.137 μg/ml) for 30 mins at room temperature. Each round was followed by a separate fluorescent tyramide signal amplification system. The immunostaining was performed on a Leica Biosystems BOND® RX instrument with an Opal™ 4-color kit. Image acquisition was performed with Leica SP8 confocal microscope. Heat mediated antigen retrieval with Tris-EDTA buffer (pH 9.0, epitope retrieval solution2) for 20 mins. DAPI (blue) was used as a nuclear counter stain.

Immunohistochemistry (Formalin/PFA-fixed paraffin-embedded sections) - Anti-CD31 antibody [EPR17259] (AB182981)
  • IHC-P

Supplier Data

Immunohistochemistry (Formalin/PFA-fixed paraffin-embedded sections) - Anti-CD31 antibody [EPR17259] (AB182981)

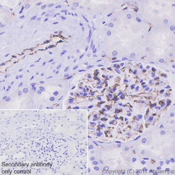
Immunohistochemical analysis of paraffin-embedded human kidney tissue labeling CD31 with ab182981 at 1/2000 dilution followed by Goat Anti-Rabbit IgG H&L (HRP) ready to use. Membranous staining on endothelial cells in human kidney (PMID : 16234507) is observed. Counterstained with hematoxylin.

Secondary antibody only control : Used PBS instead of primary antibody secondary antibody is Goat Anti-Rabbit IgG H&L (HRP) ready to use.

Perform heat mediated antigen retrieval with Tris/EDTA buffer pH 9.0 before commencing with IHC staining protocol.

Immunohistochemistry (Formalin/PFA-fixed paraffin-embedded sections) - Anti-CD31 antibody [EPR17259] (AB182981)
  • IHC-P

Supplier Data

Immunohistochemistry (Formalin/PFA-fixed paraffin-embedded sections) - Anti-CD31 antibody [EPR17259] (AB182981)

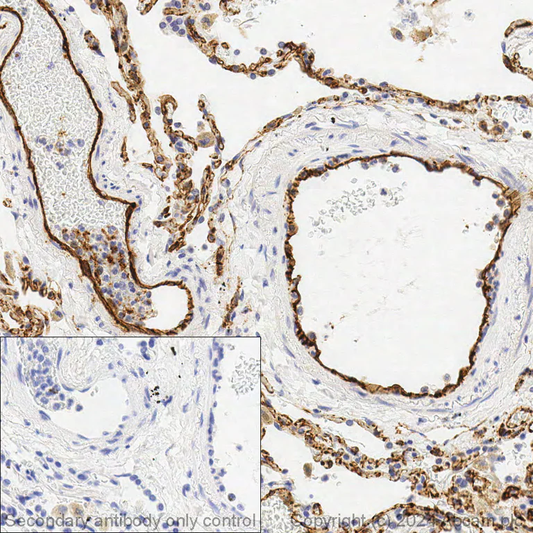
Immunohistochemical analysis of paraffin-embedded human lung tissue labeling CD31 with ab182981 at 1/2000 dilution followed by Goat Anti-Rabbit IgG H&L (HRP) ready to use. Membranous staining on endothelial cells in human lung (PMID : 16234507) is observed. Counterstained with hematoxylin.

Secondary antibody only control : Used PBS instead of primary antibody secondary antibody is Goat Anti-Rabbit IgG H&L (HRP) ready to use.

Perform heat mediated antigen retrieval with Tris/EDTA buffer pH 9.0 before commencing with IHC staining protocol.

Immunohistochemistry (Formalin/PFA-fixed paraffin-embedded sections) - Anti-CD31 antibody [EPR17259] (AB182981)
  • IHC-P

Lab

Immunohistochemistry (Formalin/PFA-fixed paraffin-embedded sections) - Anti-CD31 antibody [EPR17259] (AB182981)

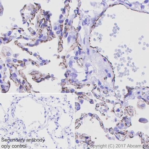
Immunohistochemical analysis of formalin fixed paraffin embedded human lung labelling CD31 with ab182981 at a concentration of 0.52 µg/ml. The immunostaining was performed on a Ventana DISCOVERY ULTRA (Roche Tissue Diagnostics) instrument with an OptiView DAB IHC Detection Kit. Heat mediated antigen retrieval was conducted for 32 mins at 100°C with ULTRA cell conditioning solution (CC1, pH 8.5). ab182981Anti-CD31 antibody was incubated at 37°C for 16 mins. Sections were counterstained with Hematoxylin II. Image inset shows absence of staining in secondary antibody only control.

Immunohistochemistry (Formalin/PFA-fixed paraffin-embedded sections) - Anti-CD31 antibody [EPR17259] (AB182981)
  • IHC-P

Lab

Immunohistochemistry (Formalin/PFA-fixed paraffin-embedded sections) - Anti-CD31 antibody [EPR17259] (AB182981)

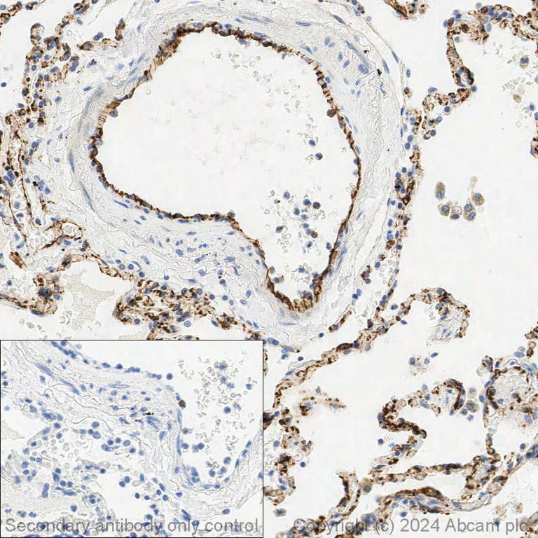
Immunohistochemical analysis of formalin fixed paraffin embedded human lung labelling CD31 with ab182981 at a concentration of 0.35 µg/ml. The immunostaining was performed on a Leica Biosystems BOND® RX instrument with a Bond™ Polymer Refine Detection kit. Heat mediated antigen retrieval was performed with Tris-EDTA buffer (pH 9.0, Epitope Retrieval Solution 2) for 20 mins.ab182981Anti-CD31 antibody was incubated for 30 mins at room temperature. Sections were counterstained with Hematoxylin. Image inset shows absence of staining in secondary antibody only control.

Multiplex immunohistochemistry - Anti-CD31 antibody [EPR17259] (AB182981)
  • mIHC

Lab

Multiplex immunohistochemistry - Anti-CD31 antibody [EPR17259] (AB182981)

Multiplex immunohistochemistry analysis of formalin/PFA-fixed paraffin-embedded mouse placenta tissue staining LOX 1 with ab317689 at a 1/2000 dilution, ab324045 anti-AP2 gamma used at 1/500 dilution and ab182981 anti-CD31 used at a 1/5000 dilution.

Panel A : merged staining of anti-LOX 1 (green; Opal™520), anti-AP2 gamma (magenta; Opal™690) and anti-CD31 (gray; Opal™570) on mouse placenta.

Panel B : anti-LOX 1 staining trophoblast in mouse placenta.

Panel C : ant-AP2 gamma staining trophoblast stem cell in mouse placenta.

Panel D : ant-CD31 staining endothelium in mouse placenta.

Nuclear DNA was labeled with DAPI (shown in blue).

The section was incubated in three rounds of staining : in the order of ab317689, ab324045 and ab182981 for 30 mins at room temperature. Each round was followed by a separate fluorescent tyramide signal amplification system.

The immunostaining was performed on a Leica Biosystems BOND® RX instrument with an Opal™ 4-color kit. Image acquisition was performed with Leica SP8 confocal microscope.

Heat mediated antigen retrieval was performed with Tris-EDTA buffer (pH 9.0, Epitope Retrieval Solution 2) for 20 mins.

Multiplex immunohistochemistry - Anti-CD31 antibody [EPR17259] (AB182981)
  • mIHC

Lab

Multiplex immunohistochemistry - Anti-CD31 antibody [EPR17259] (AB182981)

Multiplex immunohistochemistry analysis of formalin/PFA-fixed paraffin-embedded mouse liver tissue staining ALDH1L1 with ab307696 at a 1/5000 dilution, ab182981 anti-CD31 used at 1/5000 dilution and ab315474 anti-ABCB11 used at a 1/2000 dilution. Opal Polymer HRP Ms + Rb was used as a secondary antibody.

Panel A : merged staining of anti-ALDH1L1 (green; Opal™520), anti-CD31 (magenta; Opal™690) and anti-ABCB11 (grey; Opal™570) on mouse liver.
Panel B : anti-ALDH1L1 staining hepatocytes in mouse liver.
Panel C : anti-CD31 staining endothelium in mouse liver.
Panel D : anti-ABCB11 staining bile canaliculi in mouse liver.
Nuclear DNA was labeled with DAPI (shown in blue).

The section was incubated in three rounds of staining : in the order of ab307696, ab182981 and ab315474 for 30 mins at room temperature. Each round was followed by a separate fluorescent tyramide signal amplification system.

Heat mediated antigen retrieval with Tris-EDTA buffer (pH 9.0, epitope retrieval solution2) for 20 mins.

Multiplex immunohistochemistry - Anti-CD31 antibody [EPR17259] (AB182981)
  • mIHC

Lab

Multiplex immunohistochemistry - Anti-CD31 antibody [EPR17259] (AB182981)

Multiplex immunohistochemistry analysis of formalin/PFA-fixed paraffin-embedded rat liver tissue staining ALDH1L1 with ab307696 at a 1/5000 dilution, ab182981 anti-CD31 used at 1/5000 dilution and ab315474 anti-ABCB11 used at a 1/2000 dilution. Opal Polymer HRP Ms + Rb was used as a secondary antibody.

Panel A : merged staining of anti-ALDH1L1 (green; Opal™520), anti-CD31 (magenta; Opal™690) and anti-ABCB11 (grey; Opal™570) on mouse liver.
Panel B : anti-ALDH1L1 staining hepatocytes in rat liver.
Panel C : anti-CD31 staining endothelium in rat liver.
Panel D : anti-ABCB11 staining bile canaliculi in rat liver.
Nuclear DNA was labeled with DAPI (shown in blue).

The section was incubated in three rounds of staining : in the order of ab307696, ab182981 and ab315474 for 30 mins at room temperature. Each round was followed by a separate fluorescent tyramide signal amplification system.

Heat mediated antigen retrieval with Tris-EDTA buffer (pH 9.0, epitope retrieval solution2) for 20 mins.

Multiplex immunohistochemistry - Anti-CD31 antibody [EPR17259] (AB182981)
  • mIHC

Lab

Multiplex immunohistochemistry - Anti-CD31 antibody [EPR17259] (AB182981)

Multiplex immunohistochemistry analysis of formalin/PFA-fixed paraffin-embedded mouse placenta tissue staining LOX 1 with ab317689 at a 1/2000 dilution, ab324045 anti-AP2 gamma used at 1/500 dilution and ab182981 anti-CD31 used at a 1/5000 dilution.

Panel A : merged staining of anti-LOX 1 (green; Opal™520), anti-AP2 gamma (magenta; Opal™690) and anti-CD31 (gray; Opal™570) on mouse placenta.

Panel B : anti-LOX 1 staining trophoblast in mouse placenta.

Panel C : ant-AP2 gamma staining trophoblast stem cell in mouse placenta.

Panel D : ant-CD31 staining endothelium in mouse placenta.

Nuclear DNA was labeled with DAPI (shown in blue).

The section was incubated in three rounds of staining : in the order of ab317689, ab324045 and ab182981 for 30 mins at room temperature. Each round was followed by a separate fluorescent tyramide signal amplification system.

The immunostaining was performed on a Leica Biosystems BOND® RX instrument with an Opal™ 4-color kit. Image acquisition was performed with Leica SP8 confocal microscope.

Heat mediated antigen retrieval was performed with Tris-EDTA buffer (pH 9.0, Epitope Retrieval Solution 2) for 20 mins.

Immunohistochemistry (Formalin/PFA-fixed paraffin-embedded sections) - Anti-CD31 antibody [EPR17259] (AB182981)
  • IHC-P

Supplier Data

Immunohistochemistry (Formalin/PFA-fixed paraffin-embedded sections) - Anti-CD31 antibody [EPR17259] (AB182981)

Immunohistochemical analysis of paraffin-embedded rat lung tissue labeling CD31 with ab182981 at 1/2000 dilution, followed by Goat Anti-Rabbit IgG H&L (HRP) ready to use. Membranous staining on endothelial cells in rat lung (PMID : 16234507) is observed. Counterstained with hematoxylin.

Secondary antibody only control : Used PBS instead of primary antibody, secondary antibody is Goat Anti-Rabbit IgG H&L (HRP) ready to use.

Perform heat mediated antigen retrieval with Tris/EDTA buffer pH 9.0 before commencing with IHC staining protocol.

Multiplex immunohistochemistry - Anti-CD31 antibody [EPR17259] (AB182981)
  • mIHC

Lab

Multiplex immunohistochemistry - Anti-CD31 antibody [EPR17259] (AB182981)

Multiplex immunohistochemistry analysis of formalin/PFA-fixed paraffin-embedded mouse placenta tissue staining PLGF with ab322267 at a 1/2000 dilution, ab324045 anti-AP2 gamma/TFAP2C used at 1/500 dilution and ab182981 anti-CD31 used at a 1/5000 dilution.

Panel A : merged staining of anti-PLGF (green; Opal™520), anti-AP2 gamma/TFAP2C (magenta; Opal™690) and anti-CD31 (gray; Opal™570) on mouse placenta.

Panel B : anti-PLGF showed positive staining in mouse placenta.

Panel C : anti-AP2 gamma/TFAP2C staining trophoblast stem cells in mouse placenta.

Panel D : anti-CD31 staining endothelium in mouse placenta.

Nuclear DNA was labeled with DAPI (shown in blue).

The section was incubated in three rounds of staining : in the order of ab322267, ab324045 and ab182981 for 30 mins at room temperature. Each round was followed by a separate fluorescent tyramide signal amplification system.

The immunostaining was performed on a Leica Biosystems BOND® RX instrument with an Opal™ 4-color kit. Image acquisition was performed with Leica SP8 confocal microscope.

Heat mediated antigen retrieval with Tris-EDTA buffer (pH 9.0, epitope retrieval solution2) for 20 mins.

Immunohistochemistry (Formalin/PFA-fixed paraffin-embedded sections) - Anti-CD31 antibody [EPR17259] (AB182981)
  • IHC-P

Supplier Data

Immunohistochemistry (Formalin/PFA-fixed paraffin-embedded sections) - Anti-CD31 antibody [EPR17259] (AB182981)

Immunohistochemical analysis of paraffin-embedded mouse lung tissue labeling CD31 with ab182981 at 1/2000 dilution followed by Goat Anti-Rabbit IgG H&L (HRP) ready to use. Membranous staining on endothelial cells in mouse lung (PMID : 16234507) is observed. Counterstained with hematoxylin.

Secondary antibody only control : Used PBS instead of primary antibody secondary antibody is Goat Anti-Rabbit IgG H&L (HRP) ready to use.

Perform heat mediated antigen retrieval with Tris/EDTA buffer pH 9.0 before commencing with IHC staining protocol.

不同偶联物与剂型 (4)

关键信息

宿主种属

Rabbit

克隆

Monoclonal

克隆号

EPR17259

亚型

IgG

不含载体蛋白

No

反应种属

Mouse, Rat, Human

应用

IHC-P, mIHC

applications

免疫原

The exact immunogen used to generate this antibody is proprietary information.

反应性数据

{ "title": "Reactivity Data", "filters": { "stats": ["", "Species", "Dilution Info", "Notes"], "tabs": { "all-applications": {"fullname" : "All Applications", "shortname": "All Applications"}, "mIHC" : {"fullname" : "Multiplex immunohistochemistry", "shortname":"mIHC"}, "IHCP" : {"fullname" : "Immunohistochemistry (Formalin/PFA-fixed paraffin-embedded sections)", "shortname":"IHC-P"} }, "product-promise": { "all": "all", "testedAndGuaranteed": "tested", "guaranteed": "expected", "predicted": "predicted", "notRecommended": "not-recommended" } }, "values": { "Human": { "mIHC-species-checked": "testedAndGuaranteed", "mIHC-species-dilution-info": "1/4000", "mIHC-species-notes": "<p></p>", "IHCP-species-checked": "testedAndGuaranteed", "IHCP-species-dilution-info": "1/2000", "IHCP-species-notes": "<p>In our hands we observed non-specific cytoplasmic staining on tubular cells in rat kidney.</p><p>The ideal fixation time will depend on the size of the tissue block and the type of tissue, but fixation between 18–24h is suitable for most samples.</p><p>Positive Control: human lung tissue.</p> Perform heat-mediated antigen retrieval before commencing with IHC staining protocol." }, "Mouse": { "mIHC-species-checked": "testedAndGuaranteed", "mIHC-species-dilution-info": "1/5000", "mIHC-species-notes": "<p></p>", "IHCP-species-checked": "testedAndGuaranteed", "IHCP-species-dilution-info": "1/2000", "IHCP-species-notes": "<p>In our hands we observed non-specific cytoplasmic staining on tubular cells in rat kidney.</p><p>The ideal fixation time will depend on the size of the tissue block and the type of tissue, but fixation between 18–24h is suitable for most samples.</p><p>Positive Control: human lung tissue.</p> Perform heat-mediated antigen retrieval before commencing with IHC staining protocol." }, "Rat": { "mIHC-species-checked": "testedAndGuaranteed", "mIHC-species-dilution-info": "1/5000", "mIHC-species-notes": "<p></p>", "IHCP-species-checked": "testedAndGuaranteed", "IHCP-species-dilution-info": "1/2000", "IHCP-species-notes": "<p>In our hands we observed non-specific cytoplasmic staining on tubular cells in rat kidney.</p><p>The ideal fixation time will depend on the size of the tissue block and the type of tissue, but fixation between 18–24h is suitable for most samples.</p><p>Positive Control: human lung tissue.</p> Perform heat-mediated antigen retrieval before commencing with IHC staining protocol." } } }

产品详情

Anti-CD31 antibody [EPR17259] (ab182981) was developed by Abcam using patented rabbit monoclonal antibody technology and is validated for use in IHC-P and mIHC.

Anti-CD31 antibody [EPR17259] (ab182981) was first used in a scientific publication in 2018 and has been cited over 224 times in peer reviewed journals. It's performance in IHC in human, mouse and rat samples is trusted by the scientific community.

Abcam's high quality manufacturing and validation processes ensure Anti-CD31 antibody [EPR17259] (ab182981) has high sensitivity and specificity alongside high lot-to-lot consistency and reproducibility.

Anti-CD31 antibody [EPR17259] (ab182981) has 19 independent reviews from customers.

Anti-CD31 antibody [EPR17259] (ab182981) specifically detects CD31 (UniProt ID: Q08481; Molecular weight: 80kDa) and is sold in a convenient trial size to enable initial testing (20 µL) and larger sizes for subsequent scaling up experiments (100 µL and 1 mL).

Conjugation-ready, carrier free format available for antibody clone EPR17259 - ab225883.

Antibody clone EPR17259 is also available pre-conjugated to a variety of labels for your convenience - Alexa Fluor® 647, Alexa Fluor® 488, Alexa Fluor® 555 (ab305210, ab305267, ab312892).

CD31 (PECAM-1) is a protein expressed on endothelial and immune cells, playing a crucial role in tumor angiogenesis and immune cell trafficking. In immuno-oncology, it influences the tumor microenvironment and modulates the immune response to cancer.

Patented technology
Our RabMAb® technology is a patented hybridoma-based technology for making rabbit monoclonal antibodies. For details on our patents, please refer to RabMAb® patents.

What are the advantages of a recombinant monoclonal antibody?
This product is a recombinant monoclonal antibody, which offers several advantages including:

  • - High batch-to-batch consistency and reproducibility
  • - Improved sensitivity and specificity
  • - Long-term security of supply
  • - Animal-free batch production

For more information, read more on recombinant antibodies.

性能和储存信息

形式
Liquid
纯化工艺
Affinity purification Protein A
存储溶液
pH: 7.2 Preservative: 0.01% Sodium azide Constituents: PBS, 40% Glycerol (glycerin, glycerine), 0.05% BSA
运输条件
Blue Ice
推荐的短期储存时间
1-2 weeks
推荐的短期储存条件
+4°C
推荐的长期储存条件
-20°C
分装信息
Upon delivery aliquot
储存信息
Avoid freeze / thaw cycle

补充信息

This supplementary information is collated from multiple sources and compiled automatically.

CD31 also known as Platelet Endothelial Cell Adhesion Molecule 1 (PECAM-1) is a protein with a mass of approximately 130 kDa. This protein is an important component of the cell surface and is expressed mainly in endothelial cells and certain leukocyte populations. It plays a role in cell-cell adhesion and is recognized as an important marker in immunohistochemistry (IHC) for identifying endothelial cells. CD31 is valuable for researchers focusing on vascular biology and immunology serving as a beacon for cells involved in forming blood vessels or those located within the vascular system.
Biological function summary

CD31 is important for the transendothelial migration of leukocytes. It forms complex interactions with itself (homophilic binding) and other partners to mediate processes necessary for immune response and tissue integrity. This protein supports the development and maintenance of endothelial cell junctions making it fundamental in maintaining vascular permeability. Additionally CD31 plays a role in transmitting signals that influence the survival of leukocytes and endothelial cells. Its expression and function help regulate the balance between cell life and death impacting immune function and tissue repair.

Pathways

CD31 participates actively in both immune and angiogenesis pathways. It associates with proteins like SHP-2 and SHP-1 which are involved in downstream signaling cascades critical for cell signaling and immune cell activation. Within the angiogenesis pathway CD31 interacts with other adhesion molecules to promote new blood vessel formation under physiological and pathological conditions. It also collaborates with integrins influencing cellular responses to external stimuli and contributing to vascular remodeling and repair.

CD31 is significantly associated with inflammatory conditions and cardiovascular diseases. For instance its dysfunction or altered expression can contribute to atherosclerosis a disease characterized by the hardening of arteries due to plaque buildup. Furthermore CD31 deficiencies have links with autoimmune disorders where it might affect leukocyte migration and contribute to tissue damage. The protein associates with ICAM-1 during inflammatory processes illustrating its complex involvement in disease progression and potential as a therapeutic target.

产品实验方案

For this product, it's our understanding that no specific protocols are required. You can visit:

靶点信息

Cell adhesion molecule which is required for leukocyte transendothelial migration (TEM) under most inflammatory conditions (PubMed : 17580308, PubMed : 19342684). Tyr-690 plays a critical role in TEM and is required for efficient trafficking of PECAM1 to and from the lateral border recycling compartment (LBRC) and is also essential for the LBRC membrane to be targeted around migrating leukocytes (PubMed : 19342684). Trans-homophilic interaction may play a role in endothelial cell-cell adhesion via cell junctions (PubMed : 27958302). Heterophilic interaction with CD177 plays a role in transendothelial migration of neutrophils (PubMed : 17580308). Homophilic ligation of PECAM1 prevents macrophage-mediated phagocytosis of neighboring viable leukocytes by transmitting a detachment signal (PubMed : 12110892). Promotes macrophage-mediated phagocytosis of apoptotic leukocytes by tethering them to the phagocytic cells; PECAM1-mediated detachment signal appears to be disabled in apoptotic leukocytes (PubMed : 12110892). Modulates bradykinin receptor BDKRB2 activation (PubMed : 18672896). Regulates bradykinin- and hyperosmotic shock-induced ERK1/2 activation in endothelial cells (PubMed : 18672896). Induces susceptibility to atherosclerosis (By similarity).. Isoform Delta15. Does not protect against apoptosis.
See full target information PECAM1

文献 (493)

Recent publications for all applications. Explore the full list and refine your search

Hepatology (Baltimore, Md.) : PubMed41370247

2025

Spatiotemporal landscape of intrahepatic cholangiocarcinoma liver metastasis at the single-cell level.

Applications

mIHC

Species

Human

Ziyu Xun,Hao Wang,Zhengfeng Xuan,Kexu Xiong,Nan Zhang,Junyu Long,Huishan Sun,Yiran Li,Chengpei Zhu,Mingjian Piao,Ting Zhang,Longhao Zhang,Shuofeng Li,Chengjie Li,Jiongyuan Li,Boyu Sun,Zixiang Zhou,Shanshan Wang,Ziyue Huang,Kai Liu,Yang Tan,Xiaohua Shi,Xiaobo Yang,Hanping Wang,Ling Lu,Haitao Zhao

Cell death & disease 16:706 PubMed41053124

2025

Cancer-associated fibroblasts expressing FSTL3 promote vasculogenic mimicry formation and drive colon cancer malignancy.

Applications

Unspecified application

Species

Unspecified reactive species

Leqian Ying,Yini Zhu,Lu Zhang,Min Ji,Meidan Wang,Lei Dong,Zhengcheng Yun,Yanping Chen,Jingyi Zhou,Chunchun Huang,Shengwei Zhang,Xuhong Yang,Hui Yang,Guichun Huang,Shukui Qin,Jinbing Xie,Lin Liu

Bone research 13:83 PubMed41038809

2025

Injured bone-triggered osteokines secretion promotes diabetic wound healing.

Applications

Unspecified application

Species

Unspecified reactive species

Tong Shen,Kai Dai,Shuang Zhang,Jing Wang,Changsheng Liu

The Journal of clinical investigation 135: PubMed41031886

2025

Pharmacological targeting of the IL-17/neutrophil axis attenuates calcific deposits in rat models of calciphylaxis.

Applications

Unspecified application

Species

Unspecified reactive species

Bo Tao,Edward Z Cao,James Hyun,Sivakumar Ramadoss,Juan F Alvarez,Lianjiu Su,Qihao Sun,Zhihao Liu,Linlin Zhang,Alejandro Espinoza,Yiqian Gu,Feiyang Ma,Shen Li,Matteo Pellegrini,Arjun Deb

Communications biology 8:1387 PubMed41028816

2025

Uncovering a fibroblast differentiation-based keloid classification by integration of single-cell and bulk RNA sequencing.

Applications

Unspecified application

Species

Unspecified reactive species

Wei Zhang,Jianyu Lu,Xirui Tong,Sujie Xie,Shuyuan Xian,Yifan Liu,Jiale Yan,Weijin Qian,Hanlin Sun,Yushu Zhu,Luofeng Jiang,Xinya Guo,Xinran Ding,Yixu Li,Chenguang Bai,Runzhi Huang,Zhaofan Xia,Shizhao Ji

Journal of inflammation research 18:13055-13072 PubMed41000205

2025

Endothelial Injury-Induced Shedding of Thrombomodulin as a Biomarker for Predicting Adverse Prognosis in Sepsis.

Applications

Unspecified application

Species

Unspecified reactive species

Xinmeichen Meng,Xuemei Chen,Jiwen Liu,Xiaoyan Yuan,Dongfeng Guo

Frontiers in cell and developmental biology 13:1650614 PubMed40977893

2025

Amelioration of pregnancy outcomes in a pregnant rat model with deep venous thrombosis following the transplantation of bone marrow mesenchymal stem cells.

Applications

Unspecified application

Species

Unspecified reactive species

Yuanyuan Xie,Junrong Zhang,Rong Du,Jingjing Ji,Jingjing Lu,Haoxuan Li,Yunzhao Xu,Yuquan Zhang,Xi Cheng

Medical sciences (Basel, Switzerland) 13: PubMed40981193

2025

Mast Cell Association with the Microenvironment of a Phosphaturic Mesenchymal Tumour Secreting Fibroblast Growth Factor 23.

Applications

Unspecified application

Species

Unspecified reactive species

Andrey Kostin,Alexei Lyundup,Alexander Alekhnovich,Aleksandra Prikhodko,Olga Patsap,Sofia Gronskaia,Zhanna Belaya,Olga Lesnyak,Galina Melnichenko,Natalia Mokrysheva,Igor Buchwalow,Markus Tiemann,Dmitrii Atiakshin

Histology and histopathology :18987 PubMed40963425

2025

Calycosin accelerates wound healing in diabetic rats by alleviating oxidative stress and promoting angiogenesis.

Applications

Unspecified application

Species

Unspecified reactive species

Wei Lu,Min Lu,Lifen Xue,Mi Zhou,Meifeng Zhang,Huifeng Zhu

Theranostics 15:9221-9239 PubMed40963908

2025

Neutrophil extracellular traps induce endothelial damage and exacerbate vasospasm in traumatic brain injury.

Applications

Unspecified application

Species

Unspecified reactive species

Jinchao Wang,Lei Li,Jianye Xu,Dilmurat Gheyret,Kaiji Li,Xu Zhang,Haoran Jia,Ye Tian,Xiao Liu,Shenghui Li,Guili Yang,Yalong Gao,Ruilong Peng,Huajie Liu,Bin Liu,Jianfeng Zhuang,Cong Wang,Xin Chen,Yafan Liu,Bo Chen,Chuan Huang,Yuhan Li,Xin Chen,Jianning Zhang,Shu Zhang
View all publications

Abcam Product Promise

我们致力于为您的研究提供高质量的试剂,为您科研的每一步提供支持。若我们的产品未能达到预期性能,我们向您提供 Abcam Product Promise 保障。
详情请参阅我们的条款与条件。

Please note: All products are 'FOR RESEARCH USE ONLY. NOT FOR USE IN DIAGNOSTIC OR THERAPEUTIC PROCEDURES'.

For licensing inquiries, please contact partnerships@abcam.com