JavaScript is disabled in your browser. Please enable JavaScript to view this website.
AB28364

Anti-CD31 抗体

Anti-CD31 antibody

4

(161 Reviews)

|

(2751 Publications)

Anti-CD31 antibody (ab28364) is a rabbit polyclonal antibody detecting CD31 in IHC-P. Suitable for Human.

- Over 2230 publications
- Trusted since 2006

查看别名

CD31, Platelet endothelial cell adhesion molecule, PECAM-1, EndoCAM, GPIIA', PECA1, PECAM1

6 Images
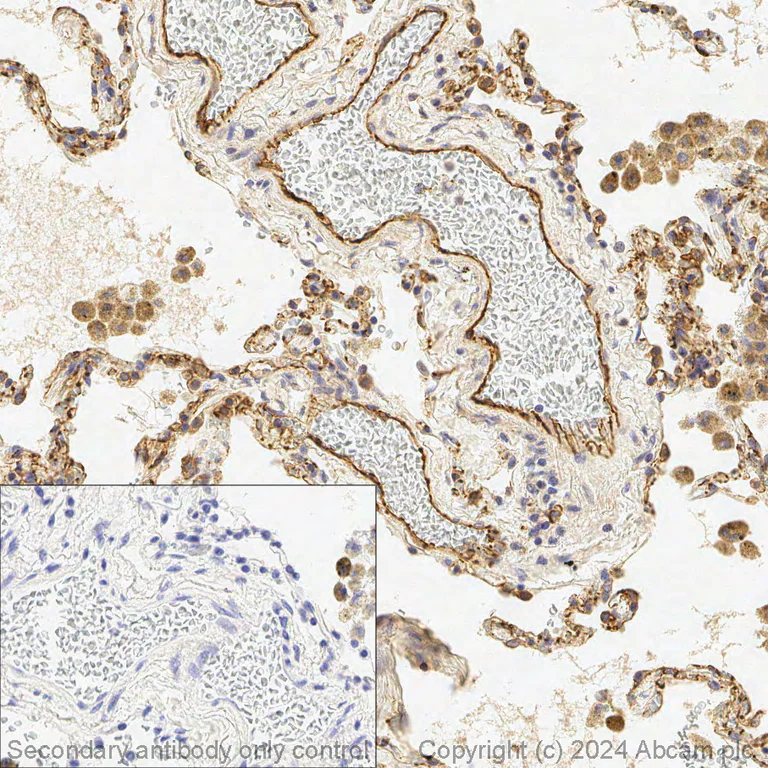
Immunohistochemistry (Formalin/PFA-fixed paraffin-embedded sections) - Anti-CD31 antibody (AB28364)
  • IHC-P

Lab

Immunohistochemistry (Formalin/PFA-fixed paraffin-embedded sections) - Anti-CD31 antibody (AB28364)

Immunohistochemical analysis of formalin fixed paraffin embedded human lung labelling CD31 with ab28364 at a concentration of 0.40 µg/ml. The immunostaining was performed on a Ventana DISCOVERY ULTRA (Roche Tissue Diagnostics) instrument with an OptiView DAB IHC Detection Kit. Heat mediated antigen retrieval was conducted for 32 mins at 100°C with ULTRA cell conditioning solution (CC1, pH 8.5). ab28364 Anti-CD31 antibody was incubated at 37°C for 16 mins. Sections were counterstained with Hematoxylin II. Image inset shows absence of staining in secondary antibody only control.

Immunohistochemistry (Formalin/PFA-fixed paraffin-embedded sections) - Anti-CD31 antibody (AB28364)
  • IHC-P

Unknown

Immunohistochemistry (Formalin/PFA-fixed paraffin-embedded sections) - Anti-CD31 antibody (AB28364)

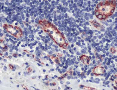
ab28364 at 1/50 dillution staining CD31 in human tonsil tissue section by Immunohistochemistry (Formalin/ PFA fixed paraffin embedded tissue sections).

Immunohistochemistry (Formalin/PFA-fixed paraffin-embedded sections) - Anti-CD31 antibody (AB28364)
  • IHC-P

AbReview76203****

Immunohistochemistry (Formalin/PFA-fixed paraffin-embedded sections) - Anti-CD31 antibody (AB28364)

Immunohistochemistry (Formalin/PFA-fixed paraffin-embedded sections) analysis of human tonsil tissue labelling CD31 with ab28364 at 1/50 dilution (30 minutes at 23°C). 10% Neutral buffered formalin used as fixative. Heat mediated antigen retrieval was performed at 95°C for 20 minutes. Blocking performed using 2.5% serum for 20 minutes at 23°C. HRP-conjugated Goat Anti-rabbit was used as the secondary antibody.

This image is courtesy of an Abreview submitted by Mr. Victor Bernal.

Immunohistochemistry (Formalin/PFA-fixed paraffin-embedded sections) - Anti-CD31 antibody (AB28364)
  • IHC-P

AbReview76110****

Immunohistochemistry (Formalin/PFA-fixed paraffin-embedded sections) - Anti-CD31 antibody (AB28364)

Immunohistochemistry (PFA-fixed paraffin-embedded sections) analysis of human palatine tonsil tissue labelling CD31 with ab28364 at 1/50 dilution (15 hours at 4°C). Heat mediated antigen retrieval was performed using Tris/EDTA buffer. Blocking performed with 5% normal goat serum for 1 hour at 21°C. HRP-conjugated Goat Anti-Rabbit was used as the secondary antibody.

This image is courtesy of an anonymous Abreview.

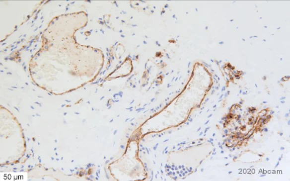
Immunohistochemistry (Formalin/PFA-fixed paraffin-embedded sections) - Anti-CD31 antibody (AB28364)
  • IHC-P

Lab

Immunohistochemistry (Formalin/PFA-fixed paraffin-embedded sections) - Anti-CD31 antibody (AB28364)

Immunohistochemical analysis of formalin fixed paraffin embedded human lung labelling CD31 with ab28364 at a concentration of 0.50 µg/ml. The immunostaining was performed on a Leica Biosystems BOND® RX instrument with a Bond™ Polymer Refine Detection kit. Heat mediated antigen retrieval was performed with Tris-EDTA buffer (pH 9.0, Epitope Retrieval Solution 2) for 20 mins.ab28364 Anti-CD31 antibody was incubated for 30 mins at room temperature. Sections were counterstained with Hematoxylin. Image inset shows absence of staining in secondary antibody only control.

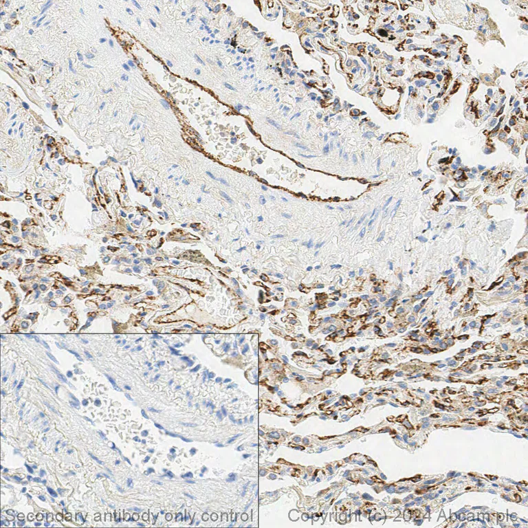
Immunohistochemistry (Formalin/PFA-fixed paraffin-embedded sections) - Anti-CD31 antibody (AB28364)
  • IHC-P

AbReview78290****

Immunohistochemistry (Formalin/PFA-fixed paraffin-embedded sections) - Anti-CD31 antibody (AB28364)

Immunohistochemistry analysis (Formalin/PFA-fixed paraffin-embedded sections) of paraformaldehyde fixed human skin tissue. Stained with ab28364 at 1/100 dilution. Secondary antibody used was Alexa Fluor® 488-conjugated Goat Anti-rabbit IgG at 1/300 dilution. Blocking was done with 5% BSA for 30 minutes at 21°C. The sample was incubated with the primary antibody for 30 minutes at 4°C. Antigen retrieval method was heat mediated with citrate buffer pH 6

This image is courtesy of an anonymous Abreview

关键信息

宿主种属

Rabbit

克隆

Polyclonal

亚型

IgG

不含载体蛋白

No

反应种属

Human

应用

IHC-P

applications

免疫原

The exact immunogen used to generate this antibody is proprietary information.

特异性

Customer feedback indicates that there might be some batch-to-batch variation with respect to mouse cross-reactivity. We recommend ab124432 as an alternative antibody for mouse samples. Please contact Abcam if you have any queries.

反应性数据

{ "title": "Reactivity Data", "filters": { "stats": ["", "Species", "Dilution Info", "Notes"], "tabs": { "all-applications": {"fullname" : "All Applications", "shortname": "All Applications"}, "IHCP" : {"fullname" : "Immunohistochemistry (Formalin/PFA-fixed paraffin-embedded sections)", "shortname":"IHC-P"} }, "product-promise": { "all": "all", "testedAndGuaranteed": "tested", "guaranteed": "expected", "predicted": "predicted", "notRecommended": "not-recommended" } }, "values": { "Human": { "IHCP-species-checked": "testedAndGuaranteed", "IHCP-species-dilution-info": "1/50", "IHCP-species-notes": "<p>The ideal fixation time will depend on the size of the tissue block and the type of tissue, but fixation between 18–24h is suitable for most samples.</p><p>Positive Control: Hu tonsil tissue</p> Perform heat-mediated antigen retrieval before commencing with IHC staining protocol." }, "Mouse": { "IHCP-species-checked": "predicted", "IHCP-species-dilution-info": "", "IHCP-species-notes": "" }, "Pig": { "IHCP-species-checked": "predicted", "IHCP-species-dilution-info": "", "IHCP-species-notes": "" } } }

产品详情

Anti-CD31 antibody (ab28364) is a rabbit polyclonal antibody and is validated for use in IHC-P.

Anti-CD31 antibody (ab28364) was first used in a scientific publication in 2007 and has been cited over 2235 times in peer reviewed journals. It's performance in Western blot, immunofluorescence and IHC in human, mouse and rat samples is trusted by the scientific community.

Abcam's high quality validation processes ensure Anti-CD31 antibody (ab28364) has high sensitivity and specificity.

Anti-CD31 antibody (ab28364) has 156 independent reviews from customers.

Anti-CD31 antibody (ab28364) specifically detects CD31 (UniProt ID: Q08481; Molecular weight: 80kDa) and is sold in 100 µL, 500 µL and 1 mL selling sizes.

CD31 (PECAM-1) is a protein expressed on endothelial and immune cells, playing a crucial role in tumor angiogenesis and immune cell trafficking. In immuno-oncology, it influences the tumor microenvironment and modulates the immune response to cancer

性能和储存信息

形式
Liquid
纯化工艺
Affinity purification Immunogen
存储溶液
pH: 7.2 - 7.4 Preservative: 0.1% Sodium azide Constituents: PBS, 1% BSA
运输条件
Blue Ice
推荐的短期储存条件
+4°C
推荐的长期储存条件
+4°C

产品实验方案

For this product, it's our understanding that no specific protocols are required. You can visit:

靶点信息

Cell adhesion molecule which is required for leukocyte transendothelial migration (TEM) under most inflammatory conditions (PubMed : 17580308, PubMed : 19342684). Tyr-690 plays a critical role in TEM and is required for efficient trafficking of PECAM1 to and from the lateral border recycling compartment (LBRC) and is also essential for the LBRC membrane to be targeted around migrating leukocytes (PubMed : 19342684). Trans-homophilic interaction may play a role in endothelial cell-cell adhesion via cell junctions (PubMed : 27958302). Heterophilic interaction with CD177 plays a role in transendothelial migration of neutrophils (PubMed : 17580308). Homophilic ligation of PECAM1 prevents macrophage-mediated phagocytosis of neighboring viable leukocytes by transmitting a detachment signal (PubMed : 12110892). Promotes macrophage-mediated phagocytosis of apoptotic leukocytes by tethering them to the phagocytic cells; PECAM1-mediated detachment signal appears to be disabled in apoptotic leukocytes (PubMed : 12110892). Modulates bradykinin receptor BDKRB2 activation (PubMed : 18672896). Regulates bradykinin- and hyperosmotic shock-induced ERK1/2 activation in endothelial cells (PubMed : 18672896). Induces susceptibility to atherosclerosis (By similarity).. Isoform Delta15. Does not protect against apoptosis.
See full target information PECAM1

文献 (2751)

Recent publications for all applications. Explore the full list and refine your search

Theranostics 15:9819-9837 PubMed41041071

2025

Endothelial cell-derived SDF-1α elicits stemness traits of glioblastoma dual-regulation of GLI1.

Applications

Unspecified application

Species

Unspecified reactive species

Ye Yuan,Xudong Liu,Liwen Kuang,Shixue Yang,Lihong Wang,Jiao Wang,Sen Wei,Zexuan Yan,Qinghua Ma,Juan Lei,Yu Zhou,Yu Chen,Jiongming Chen,Tao Luo,Kaidi Yang,Mengsi Zhang,Yongsheng Li

Theranostics 15:9486-9507 PubMed41041074

2025

Single-cell RNA sequencing reveals endothelial cell heterogeneity and Sox18-mediated EndMT in abdominal aortic aneurysm.

Applications

Unspecified application

Species

Unspecified reactive species

Xianxian Wu,Xuanyu Liu,Yuanzhi Cheng,Yuhan Zhang,Dou Shi,Yang Shi,Xing Liu,Jianghao Feng,Anxiong Long,Wei Hu,Zhiwei Yang

Nature communications 16:8742 PubMed41034192

2025

Chronic inflammation drives epididymal tertiary lymphoid structure formation and autoimmune fertility disorders in mice.

Applications

Unspecified application

Species

Unspecified reactive species

Maia L Elizagaray,Ferran Barrachina,Maria C Avenatti,Isinsu Bastepe,Angela Chen,Ainize Odriozola,Oluchi Ukairo,Vanina G Da Ros,Kiera Ottino,Nerea Subiran,Maria A Battistone

Frontiers in bioengineering and biotechnology 13:1660821 PubMed41017937

2025

Injectable cinnamaldehyde-loaded ZIF-8/Gallic Acid-Grafted gelatin hydrogel for enhanced angiogenesis and skin regeneration in diabetic wound healing.

Applications

Unspecified application

Species

Unspecified reactive species

Bo Zhou,Chen Zhang,Sheng Dai,Jin Zhao,Huaiyu Li,Yanbin Peng,Yunfeng Chu,Zhong Chen,Haotian Qin,Hui Zeng

Drug target insights 19:59-70 PubMed40917740

2025

The Bushenhuoxue formula improves prothrombotic state in recurrent spontaneous abortion: network pharmacology and experimental validation.

Applications

Unspecified application

Species

Unspecified reactive species

Xuan Yang,Shulan Su,Lijing Liu,Pan Liu,Maoqing Lu,Yinuo Wei,Yaqiong Gao

Nature immunology 26:1766-1780 PubMed40897896

2025

Simultaneous STING and lymphotoxin-β receptor activation induces B cell responses in tertiary lymphoid structures to potentiate antitumor immunity.

Applications

Unspecified application

Species

Unspecified reactive species

Junko Sawada,Yasuhiro Kikuchi,Maxwell Duah,Jose Luis Herrera,Fumiaki Kanamori,Krisztian Csomos,Tomoko Stansel,Nobuyoshi Hiraoka,Masayuki Yoshida,Jolan Walter,Carl F Ware,Masanobu Komatsu

Nutrients 17: PubMed40871669

2025

The Natural Compound CalebinA Suppresses Gemcitabine Resistance and Tumor Progression by Inhibiting Angiogenesis and Invasion Through NF-κB Signaling in Pancreatic Cancer.

Applications

Unspecified application

Species

Unspecified reactive species

Yuki Eguchi,Yoichi Matsuo,Masaki Ishida,Yuriko Uehara,Saburo Sugita,Yuki Denda,Keisuke Nonoyama,Hiromichi Murase,Tomokatsu Kato,Kenta Saito,Takafumi Sato,Hiroyuki Sagawa,Yushi Yamakawa,Ryo Ogawa,Hiroki Takahashi,Akira Mitsui,Shuji Takiguchi

Adipocyte 14:2548787 PubMed40878808

2025

Development of vascularized adipose organoids from PBMSCs and their application in evaluating Celastrol's effects.

Applications

Unspecified application

Species

Unspecified reactive species

Sen Li,Fangming Kan,Shuhui Ji,Dingding Cao,Haiyang Liu,Jianxin Wu

BMC biology 23:268 PubMed40859304

2025

Cranial base synostosis in mice caused by upregulation of Wnt following partial inhibition of Shh.

Applications

Unspecified application

Species

Unspecified reactive species

Jiangping Chen,Chengyan Ren,Chuanqing Mao,Yongzhen Lai,Meng Lu,Yuanjing Jiang,Weihui Chen

Frontiers in cell and developmental biology 13:1630129 PubMed40861275

2025

DMP1-mediated transformation of DPSCs to CD31/CD144 cells demonstrate endothelial phenotype both and .

Applications

Unspecified application

Species

Unspecified reactive species

Amudha Ganapathy,Yinghua Chen,Velavan Bakthavachalam,Anne George
View all publications

Abcam Product Promise

我们致力于为您的研究提供高质量的试剂,为您科研的每一步提供支持。若我们的产品未能达到预期性能,我们向您提供 Abcam Product Promise 保障。
详情请参阅我们的条款与条件。

Please note: All products are 'FOR RESEARCH USE ONLY. NOT FOR USE IN DIAGNOSTIC OR THERAPEUTIC PROCEDURES'.

For licensing inquiries, please contact partnerships@abcam.com