JavaScript is disabled in your browser. Please enable JavaScript to view this website.
AB134080

重组Anti-CD30抗体[EPR4102]

Anti-CD30 antibody [EPR4102]

Be the first to review this product! Submit a review

|

(4 Publications)

Rabbit Recombinant Monoclonal CD30 antibody. Suitable for IHC-P, WB and reacts with Human samples. Cited in 4 publications.

查看别名

CD30, D1S166E, TNFRSF8, Tumor necrosis factor receptor superfamily member 8, CD30L receptor, Ki-1 antigen, Lymphocyte activation antigen CD30

4 Images
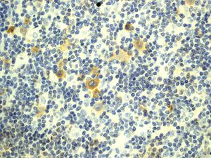
Immunohistochemistry (Formalin/PFA-fixed paraffin-embedded sections) - Anti-CD30 antibody [EPR4102] (AB134080)
  • IHC-P

Unknown

Immunohistochemistry (Formalin/PFA-fixed paraffin-embedded sections) - Anti-CD30 antibody [EPR4102] (AB134080)

Immunohistochemical analysis of paraffin embedded Human Hodgkin's lymphoma tissue labelling CD30 with ab134080 (unpurified) antibody at a dilution of 1/1000. Heat mediated antigen retrieval was perfomed before commencing with IHC staining protocol.

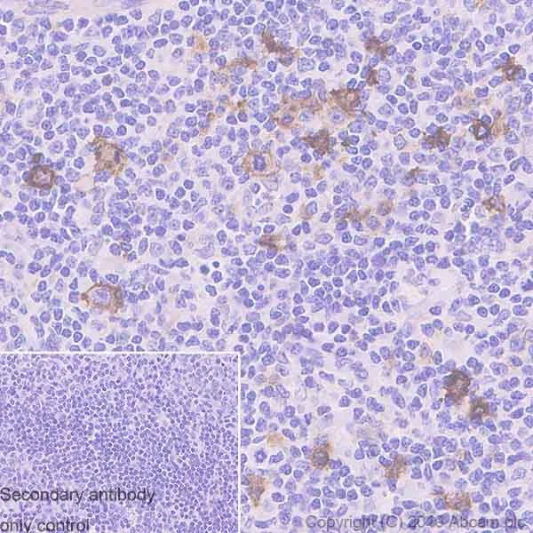
Immunohistochemistry (Formalin/PFA-fixed paraffin-embedded sections) - Anti-CD30 antibody [EPR4102] (AB134080)
  • IHC-P

Unknown

Immunohistochemistry (Formalin/PFA-fixed paraffin-embedded sections) - Anti-CD30 antibody [EPR4102] (AB134080)

Immunohistochemistry (Formalin/PFA-fixed paraffin-embedded sections) analysis of human tonsil tissue sections labeling CD30 with purified ab134080 at 1/2000 dilution (0.82 μg/mL). Heat mediated antigen retrieval was performed using Bond™ Epitope Retrieval Solution 2 (pH 9.0). Rabbit specific IHC polymer detection kit HRP/DAB (ab209101) was used as the secondary antibody. Negative control : PBS instead of the primary antibody. Hematoxylin was used as a counterstain.
The immunostaining was performed on a Leica Biosystems BOND® RX instrument.

Western blot - Anti-CD30 antibody [EPR4102] (AB134080)
  • WB

Lab

Western blot - Anti-CD30 antibody [EPR4102] (AB134080)

The 90 KD band is precursor and 120 KD is the mature transmembrane form as is described in PMID : 11120787.
Raji and Daudi are negative for CD30 as is described in PMID : 29316337.
This antibody detects high background.

Blocking buffer and concentration : 5% NFDM/TBST

Diluting buffer and concentration : 2% BSA/TBST

All lanes:

Western blot - Anti-CD30 antibody [EPR4102] (ab134080) at 1/200 dilution

Lane 1:

KARPAS-299 (Human anaplastic large cell lymphoma) whole cell lysates at 20 µg

Lane 2:

HDLM-2 (Human Hodgkin lymphoma) whole cell lysates at 20 µg

Lane 3:

Raji (Human Burkitt's lymphoma B lymphocyte) whole cell lysates at 20 µg

Lane 4:

Daudi (Human Burkitt's lymphoma lymphoblast) whole cell lysates at 20 µg

Secondary

All lanes:

Western blot - Goat Anti-Rabbit IgG H&L (HRP) (<a href='/products/secondary-antibodies/goat-rabbit-igg-h-l-hrp-ab97051'>ab97051</a>) at 1/20000 dilution

Predicted band size: 64 kDa

Observed band size: 120 kDa,90 kDa

true

Exposure time: 60s

Western blot - Anti-CD30 antibody [EPR4102] (AB134080)
  • WB

CiteAb

Western blot - Anti-CD30 antibody [EPR4102] (AB134080)

CD30 western blot using anti-CD30 antibody [EPR4102] ab134080. Publication image and figure legend from Wang, R., Li, L., et al., 2018, Mol Oncol, PubMed 29316337.

ab134080 was used in this publication in western blot. This may not be the same as the application(s) guaranteed by Abcam. For a full list of applications guaranteed by Abcam for ab134080 please see the product overview.

Anti‐CD30‐LDP retains binding and functional properties of parent anti‐CD30 antibody in vitro. (A) Binding activity of anti‐CD30‐LDP and anti‐CD30 antibody to recombinant human CD30 by ELISA. (B) Surface plasmon resonance (SPR) sensorgrams of anti‐CD30‐LDP binding with CD30 antigen. Various concentrations of antigen (human recombinant CD30, 2.03‐65 nm) were applied on CM5 chip with immobilized anti‐CD30‐LDP fusion protein. Each sensorgram represents different concentrations of CD30. The CD30 at 2.03 nm was injected twice to verify reproducibility. (C) Western blot analysis of CD30 expression levels on different cancer cells. (D) Binding activity to different cell lines. The cells were incubated with anti‐CD30‐LDP of 10 μg·mL−1 and FITC‐conjugated anti‐human Fc second antibody, and then, cell‐bound fluorescence was determined by FACS analysis. The horizontal axis represents the values of MFI. (E) Binding curves of increasing concentrations of anti‐CD30‐LDP (0.001‐3 μg·mL−1) to different cancer cells by FACS analysis. The vertical axis represents the MFI values. (F) In vitro ADCC analysis of anti‐CD30‐LDP and anti‐CD30 antibody. The ADCC assay was performed using PBMCs as effector cells and Karpas299 or L540 cells as target cells at a ratio of 40  : 1. The concentration of anti‐CD30‐LDP was 10 μg·mL−1. Meanwhile, the cetuximab and the target cell line A431 were used as a positive control.

false

不同偶联物与剂型 (1)

  • Carrier free

    Anti-CD30 antibody [EPR4102] - BSA and Azide free

关键信息

宿主种属

Rabbit

克隆

Monoclonal

克隆号

EPR4102

亚型

IgG

不含载体蛋白

No

反应种属

Human

应用

WB, IHC-P

applications

免疫原

The exact immunogen used to generate this antibody is proprietary information.

反应性数据

{ "title": "Reactivity Data", "filters": { "stats": ["", "Species", "Dilution Info", "Notes"], "tabs": { "all-applications": {"fullname" : "All Applications", "shortname": "All Applications"}, "IHCP" : {"fullname" : "Immunohistochemistry (Formalin/PFA-fixed paraffin-embedded sections)", "shortname":"IHC-P"}, "WB" : {"fullname" : "Western blot", "shortname":"WB"} }, "product-promise": { "all": "all", "testedAndGuaranteed": "tested", "guaranteed": "expected", "predicted": "predicted", "notRecommended": "not-recommended" } }, "values": { "Human": { "IHCP-species-checked": "testedAndGuaranteed", "IHCP-species-dilution-info": "1/1000 - 1/2000", "IHCP-species-notes": "<p></p>", "WB-species-checked": "testedAndGuaranteed", "WB-species-dilution-info": "1/200", "WB-species-notes": "<p>A 90 kDa band is precursor and 120 kDa band is the mature transmembrane form as is described in PMID: 11120787.</p>" } } }

产品详情

Species reactivity
Mouse, Rat: We have preliminary internal testing data to indicate this antibody may not react with these species.
Please contact us for more information.

Patented technology
Our RabMAb® technology is a patented hybridoma-based technology for making rabbit monoclonal antibodies. For details on our patents, please refer to RabMAb® patents.

What are the advantages of a recombinant monoclonal antibody?
This product is a recombinant monoclonal antibody, which offers several advantages including:

  • - High batch-to-batch consistency and reproducibility
  • - Improved sensitivity and specificity
  • - Long-term security of supply
  • - Animal-free batch production

For more information, read more on recombinant antibodies.

性能和储存信息

形式
Liquid
纯化工艺
Affinity purification Protein A
存储溶液
pH: 7.2 - 7.4 Preservative: 0.01% Sodium azide Constituents: PBS, 40% Glycerol (glycerin, glycerine), 0.05% BSA
运输条件
Blue Ice
推荐的短期储存时间
1-2 weeks
推荐的短期储存条件
+4°C
推荐的长期储存条件
-20°C
分装信息
Upon delivery aliquot
储存信息
Avoid freeze / thaw cycle

产品实验方案

For this product, it's our understanding that no specific protocols are required. You can visit:

靶点信息

Receptor for TNFSF8/CD30L (PubMed : 8391931). May play a role in the regulation of cellular growth and transformation of activated lymphoblasts. Regulates gene expression through activation of NF-kappa-B (PubMed : 8999898).
See full target information TNFRSF8

文献 (4)

Recent publications for all applications. Explore the full list and refine your search

Journal of oncology 2022:8570882 PubMed36157232

2022

Identification of Novel Immunologic Checkpoint Gene Prognostic Markers for Ovarian Cancer.

Applications

Unspecified application

Species

Unspecified reactive species

Xiao Huo,Xi Zhang,Shuhong Li,Shuzhen Wang,Hengzi Sun,Mo Yang

Hematological oncology 40:941-952 PubMed35797410

2022

Brentuxinmab vedotin, alone or combine with bendamustine in the treatment of natural killer T cell lymphoma.

Applications

Unspecified application

Species

Unspecified reactive species

Ping Zhang,Cunzhen Shi,Yue Song,Zhaoming Li,Mingzhi Zhang,Mengyuan Jin

Frontiers in oncology 9:945 PubMed31616638

2019

Development of a Bispecific Antibody Targeting CD30 and CD137 on Hodgkin and Reed-Sternberg Cells.

Applications

Unspecified application

Species

Unspecified reactive species

Sakthi Rajendran,Yating Li,Evelyn Ngoh,Hiu Yi Wong,Man Si Cheng,Cheng-I Wang,Herbert Schwarz

American journal of cancer research 9:855-871 PubMed31218098

2019

The potential of brentuximab vedotin, alone or in combination with current clinical therapies, in the treatment of testicular germ cell tumors.

Applications

Unspecified application

Species

Unspecified reactive species

Marc Yeste-Velasco,Tianyu Guo,Xueying Mao,Elzbieta Stankiewicz,Glenda Scandura,Haibo Li,Claire S Wang,Sakunthala Kudahetti,Tim Oliver,Daniel Berney,Jonathan Shamash,Yong-Jie Lu
View all publications

Abcam Product Promise

我们致力于为您的研究提供高质量的试剂,为您科研的每一步提供支持。若我们的产品未能达到预期性能,我们向您提供 Abcam Product Promise 保障。
详情请参阅我们的条款与条件。

Please note: All products are 'FOR RESEARCH USE ONLY. NOT FOR USE IN DIAGNOSTIC OR THERAPEUTIC PROCEDURES'.

For licensing inquiries, please contact partnerships@abcam.com