JavaScript is disabled in your browser. Please enable JavaScript to view this website.
AB237707

重组Anti-CD3 epsilon抗体[CAL54]

Anti-CD3 epsilon antibody [CAL54]

  • BOND RX™ Validated
  • RabMAb
  • Recombinant
  • Lab Essentials
  • 20ul selling size
  • Advanced Validation
  • 了解详情

Be the first to review this product! Submit a review

|

(4 Publications)

Rabbit Recombinant Monoclonal CD3E antibody. Suitable for mIHC, IP, Flow Cyt (Intra), ICC/IF, IHC-P and reacts with Human samples. Cited in 4 publications.

查看别名

CD3e, T3E, CD3E, T-cell surface glycoprotein CD3 epsilon chain, T-cell surface antigen T3/Leu-4 epsilon chain

16 Images
Multiplex immunohistochemistry - Anti-CD3 epsilon antibody [CAL54] (AB237707)
  • mIHC

Supplier Data

Multiplex immunohistochemistry - Anti-CD3 epsilon antibody [CAL54] (AB237707)

Immunohistochemistry (Formalin/PFA-fixed paraffin-embedded sections) analysis of Human colon cancer labelling CD208 with ab281573 at 1/1200 (B), CD3E with ab237707 at 1/1200 dilution (C) and CD19 with ab237772 at 1/1200 dilution(D). Opal Polymer HRP Ms + Rb was used as a secondary antibody, and DAPI was used for a nuclear counter stain. Heat mediated antigen retrieval with Tris-EDTA buffer (pH 9.0, epitope retrieval solution2) for 20 mins.

Panel A : merged staining of anti-CD208 (red; Opal™570), anti-CD3E (green; Opal™520) and anti-CD19 (magenta; Opal™690) on human colon cancer.

Panel B : anti-CD208 staining dendritic cells in human colon cancer.

Panel C : anti-CD3E staining T lymphocytes in human colon cancer.

Panel D : anti-CD19 staining B lymphocytes of human colon cancer.

The section was incubated in three rounds of staining : in the order ab281573, ab237707, and ab237772 for 30 mins at room temperature. Each round was followed by a separate fluorescent tyramide signal amplification system.

The immunostaining was performed on a Leica Biosystems BOND® RX instrument with an Opal™ 4-color kit. Image acquisition was performed with Leica SP8 confocal microscope.

Multiplex immunohistochemistry - Anti-CD3 epsilon antibody [CAL54] (AB237707)
  • mIHC

Supplier Data

Multiplex immunohistochemistry - Anti-CD3 epsilon antibody [CAL54] (AB237707)

Immunohistochemistry (Formalin/PFA-fixed paraffin-embedded sections) analysis of Human tonsil labelling CD208 with ab281573 at 1/1200 (B), CD3E with ab237707 at 1/1200 dilution (C) and CD19 with ab237772 at 1/1200 dilution(D). Opal Polymer HRP Ms + Rb was used as a secondary antibody, and DAPI was used for a nuclear counter stain. Heat mediated antigen retrieval with Tris-EDTA buffer (pH 9.0, epitope retrieval solution2) for 20 mins.

Panel A : merged staining of anti-CD208 (red; Opal™570), anti-CD3E (green; Opal™520) and anti-CD19 (magenta; Opal™690) on human tonsil.
Panel B : anti-CD208 staining dendritic cells in human tonsil.
Panel C : anti-CD3E staining T lymphocytes in human tonsil.
Panel D : anti-CD19 staining B lymphocytes of human tonsil.

The section was incubated in three rounds of staining : in the order ab281573, ab237707, and ab237772 for 30 mins at room temperature. Each round was followed by a separate fluorescent tyramide signal amplification system.

The immunostaining was performed on a Leica Biosystems BOND® RX instrument with an Opal™ 4-color kit. Image acquisition was performed with Leica SP8 confocal microscope.

Multiplex immunohistochemistry - Anti-CD3 epsilon antibody [CAL54] (AB237707)
  • mIHC

Supplier Data

Multiplex immunohistochemistry - Anti-CD3 epsilon antibody [CAL54] (AB237707)

Immunohistochemistry (Formalin/PFA-fixed paraffin-embedded sections) analysis of Human colon labelling CD208 with ab281573 at 1/1200 (B), CD3E with ab237707 at 1/1200 dilution (C) and CD19 with ab237772 at 1/1200 dilution(D). Opal Polymer HRP Ms + Rb was used as a secondary antibody, and DAPI was used for a nuclear counter stain. Heat mediated antigen retrieval with Tris-EDTA buffer (pH 9.0, epitope retrieval solution2) for 20 mins.

Panel A : merged staining of anti-CD208 (red; Opal™570), anti-CD3E (green; Opal™520) and anti-CD19 (magenta; Opal™690) on human colon.

Panel B : anti-CD208 staining dendritic cells in human colon.

Panel C : anti-CD3E staining T lymphocytes in human colon.

Panel D : anti-CD19 staining B lymphocytes of human colon.

The section was incubated in three rounds of staining : in the order ab281573, ab237707, and ab237772 for 30 mins at room temperature. Each round was followed by a separate fluorescent tyramide signal amplification system.

The immunostaining was performed on a Leica Biosystems BOND® RX instrument with an Opal™ 4-color kit. Image acquisition was performed with Leica SP8 confocal microscope.

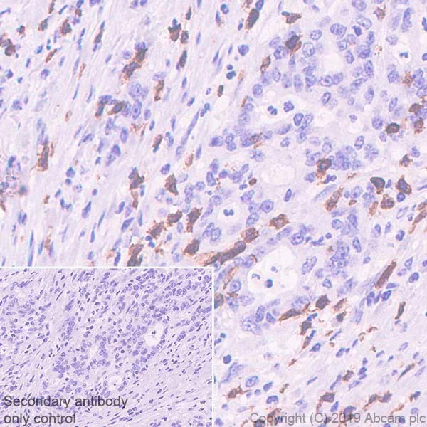
Immunohistochemistry (Formalin/PFA-fixed paraffin-embedded sections) - Anti-CD3 epsilon antibody [CAL54] (AB237707)
  • IHC-P

Supplier Data

Immunohistochemistry (Formalin/PFA-fixed paraffin-embedded sections) - Anti-CD3 epsilon antibody [CAL54] (AB237707)

Immunohistochemical analysis of paraffin-embedded human gastric carcinoma tissue labeling CD3 epsilon with ab237707 at 1/500 dilution, followed by Rabbit specific IHC polymer detection kit HRP/DAB (ab209101). Positive staining on the infiltrating T lymphocytes in the human gastric carcinoma is observed. Counter stained with hematoxylin.

Secondary antibody only control : Used PBS instead of primary antibody, secondary antibody is Rabbit specific IHC polymer detection kit HRP/DAB (ab209101).

Heat mediated antigen retrieval with Tris-EDTA buffer (pH 9.0, epitope retrieval solution 2) for 20 mins.

The section was incubated with ab237707 for 30 mins at room temperature.

The immunostaining was performed on a Leica Biosystems BOND® RX instrument.

Flow Cytometry (Intracellular) - Anti-CD3 epsilon antibody [CAL54] (AB237707)
  • Flow Cyt (Intra)

Supplier Data

Flow Cytometry (Intracellular) - Anti-CD3 epsilon antibody [CAL54] (AB237707)

Flow cytometric analysis of 2% paraformaldehyde-fixed, 0.1% Tween 20 permeabilized human PBMCs (peripheral blood mononuclear cells) labeling CD3 epsilon with ab237707 at 1/500 (Right compared with a Recombinant Rabbit IgG, monoclonal [EPR25A] - Isotype Control (ab172730) (Left). Goat Anti-Rabbit IgG Fc (Alexa Fluor® 488) preadsorbed (ab150097), at 1/5000 dilution was used as the secondary antibody.

Cells were surface stained with anti-CD3 epsilon conjugated to Alexa Fluor® 647. Then fixed with 2% PFA for 10min followed by intracellular staining rabbit IgG (Left) or ab237707 (Right).

Immunohistochemistry (Formalin/PFA-fixed paraffin-embedded sections) - Anti-CD3 epsilon antibody [CAL54] (AB237707)
  • IHC-P

Supplier Data

Immunohistochemistry (Formalin/PFA-fixed paraffin-embedded sections) - Anti-CD3 epsilon antibody [CAL54] (AB237707)

Formalin-fixed, paraffin-embedded human tonsil tissue stained for CD3 epsilon using ab237707 at 0.5 μg/mL in immunohistochemcial analysis.

Immunohistochemistry (Formalin/PFA-fixed paraffin-embedded sections) - Anti-CD3 epsilon antibody [CAL54] (AB237707)
  • IHC-P

Supplier Data

Immunohistochemistry (Formalin/PFA-fixed paraffin-embedded sections) - Anti-CD3 epsilon antibody [CAL54] (AB237707)

Formalin-fixed, paraffin-embedded human NSCLC tissue stained for CD3 epsilon using ab237707 at 0.5 μg/mL in immunohistochemcial analysis.

Immunocytochemistry/ Immunofluorescence - Anti-CD3 epsilon antibody [CAL54] (AB237707)
  • ICC/IF

Supplier Data

Immunocytochemistry/ Immunofluorescence - Anti-CD3 epsilon antibody [CAL54] (AB237707)

Immunofluorescent analysis of 4% paraformaldehyde-fixed, 0.1% Triton X-100 permeabilized Jurkat (human T cell leukemia cell line from peripheral blood) cells labeling CD3 epsilon with ab237707 at 1/55 dilution followed by Goat Anti-Rabbit IgG H&L (Alexa Fluor® 488) (ab150077) secondary antibody at 1/1000 dilution (green). Confocal image showing cytoplasmic staining in Jurkat cells. The nuclear counter stain is DAPI (blue). Tubulin is detected with Anti-alpha Tubulin antibody [DM1A] - Microtubule Marker (Alexa Fluor® 594) (ab195889) at 1/200 dilution (red).

PBS only control : Used PBS instead of primary antibody, followed by Goat Anti-Rabbit IgG H&L (Alexa Fluor® 488) (ab150077) secondary antibody at 1/1000 dilution.

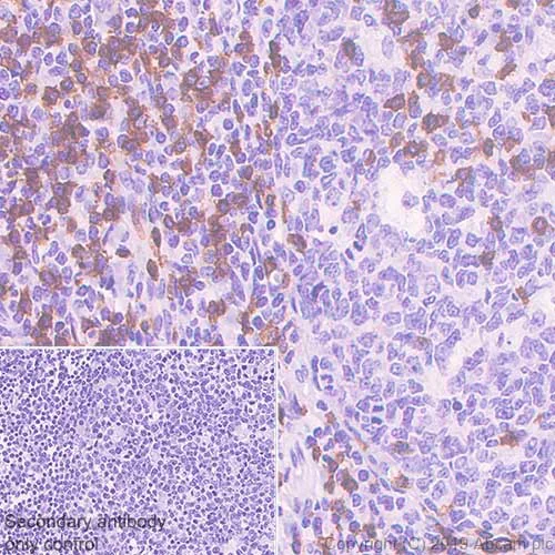
Immunohistochemistry (Formalin/PFA-fixed paraffin-embedded sections) - Anti-CD3 epsilon antibody [CAL54] (AB237707)
  • IHC-P

Supplier Data

Immunohistochemistry (Formalin/PFA-fixed paraffin-embedded sections) - Anti-CD3 epsilon antibody [CAL54] (AB237707)

Immunohistochemical analysis of paraffin-embedded human tonsil tissue labeling CD3 epsilon with ab237707 at 1/500 dilution, followed by Rabbit specific IHC polymer detection kit HRP/DAB (ab209101). Positive staining on the human tonsil is observed. Counter stained with hematoxylin.

Secondary antibody only control : Used PBS instead of primary antibody, secondary antibody is Rabbit specific IHC polymer detection kit HRP/DAB (ab209101).

Heat mediated antigen retrieval with Tris-EDTA buffer (pH 9.0, epitope retrieval solution 2) for 20 mins.

The section was incubated with ab237707 for 30 mins at room temperature.

The immunostaining was performed on a Leica Biosystems BOND® RX instrument.

Multiplex immunohistochemistry - Anti-CD3 epsilon antibody [CAL54] (AB237707)
  • mIHC

Supplier Data

Multiplex immunohistochemistry - Anti-CD3 epsilon antibody [CAL54] (AB237707)

Fluorescence multiplex immunohistochemical analysis of human tonsil (formalin-fixed paraffin-embedded section). Merged staining of Panel A : merged staining of anti-TCR beta (green; Opal™520) and anti-CD3E (red; Opal™570) on human tonsil, Panel B : anti-TCR beta staining T lymphocytes of human tonsil, Panel C : anti-CD3E staining T lymphocytes of human tonsil. DAPI was used as a counter stain. Followed by Opal Polymer HRP Ms + Rb. The immunostaining was performed on a Leica Biosystems BOND® RX instrument with an Opal™ 4-color kit. Image acquisition was performed with Leica SP8 confocal microscope. The section was incubated in three rounds of staining : in the order of ab315324, ab237707 for 30 mins at room temperature. Each round was followed by a separate fluorescent tyramide signal amplification system. Heat mediated antigen retrieval was performed with Tris-EDTA buffer (pH 9.0, Epitope Retrieval Solution2) for 20 mins.

Multiplex immunohistochemistry - Anti-CD3 epsilon antibody [CAL54] (AB237707)
  • mIHC

Supplier Data

Multiplex immunohistochemistry - Anti-CD3 epsilon antibody [CAL54] (AB237707)

Multiplex immunohistochemistry analysis of formalin/PFA-fixed paraffin-embedded human tonsil tissue staining TCF7 with ab315390 at a 1 : 2000 (0.26 ug/ml) dilution, ab237707 anti-CD3E used at 1 : 500 (1.01 ug/ml) dilution and ab237772 anti-CD19 used at a 1 : 5000 (0.21 ug/ml) dilution.

Panel A : merged staining of anti-TCF7 (magenta; Opal™690), anti-CD3E (green; Opal™520) and anti-CD19 (red; Opal™570) on human tonsil.
Panel B : anti-TCF7 staining T lymphocytes of human tonsil.
Panel C : anti-CD3E staining T lymphocytes of human tonsil.
Panel D : anti-CD19 staining B lymphocytes of human tonsil.

The section was incubated in three rounds of staining : in the order of ab315390, ab237707, and ab237772 for 30 mins at room temperature. Each round was followed by a separate fluorescent tyramide signal amplification system.

The immunostaining was performed on a Leica Biosystems BOND® RX instrument with an Opal™ 4-color kit. Image acquisition was performed with Leica SP8 confocal microscope.

Nuclear counter stain with DAPI.

Heat mediated antigen retrieval with Tris-EDTA buffer (pH 9.0, epitope retrieval solution2) for 20 mins.

Multiplex immunohistochemistry - Anti-CD3 epsilon antibody [CAL54] (AB237707)
  • mIHC

Supplier Data

Multiplex immunohistochemistry - Anti-CD3 epsilon antibody [CAL54] (AB237707)

Multiplex immunohistochemistry analysis of formalin/PFA-fixed paraffin-embedded human tonsil tissue staining CD21 with ab315160 at a 1 : 50 (10.56 ug/ml) dilution, ab237772 anti-CD19 used at 1 : 5000 (0.21 ug/ml) dilution and ab237707 anti-CD3E used at a 1 : 500 (1.01 ug/ml) dilution.

Panel A : merged staining of anti-CD21 (green; Opal™690), anti-CD3E (grey; Opal™520) and anti-CD19 (red; Opal™570) on human tonsil.
Panel B : anti-CD21 staining mature B lymphocytes and T-lymphocytes of human tonsil.
Panel C : anti-CD19 staining B lymphocytes of human tonsil.
Panel D : anti-CD3E staining T lymphocytes of human tonsil.

The section was incubated in three rounds of staining : in the order of ab315160, ab237772, and ab237707 for 30 mins at room temperature. Each round was followed by a separate fluorescent tyramide signal amplification system.

The immunostaining was performed on a Leica Biosystems BOND® RX instrument with an Opal™ 4-color kit. Image acquisition was performed with Leica SP8 confocal microscope.

Nuclear counter stain with DAPI.

Heat mediated antigen retrieval with Tris-EDTA buffer (pH 9.0, epitope retrieval solution2) for 20 mins.

Multiplex immunohistochemistry - Anti-CD3 epsilon antibody [CAL54] (AB237707)
  • mIHC

Supplier Data

Multiplex immunohistochemistry - Anti-CD3 epsilon antibody [CAL54] (AB237707)

Multiplex immunohistochemistry analysis of formalin/PFA-fixed paraffin-embedded human tonsil tissue staining TCF7 with ab315392 at a 1 : 2000 (0.26 ug/ml) dilution, ab237707 anti-CD3E used at 1 : 500 (1.01 ug/ml) dilution and ab237772 anti-CD19 used at a 1 : 5000 (0.21 ug/ml) dilution.

Panel A : merged staining of anti-TCF7 (magenta; Opal™690), anti-CD3E (green; Opal™520) and anti-CD19 (red; Opal™570) on human tonsil.
Panel B : anti-TCF7 staining T lymphocytes of human tonsil.
Panel C : anti-CD3E staining T lymphocytes of human tonsil.
Panel D : anti-CD19 staining B lymphocytes of human tonsil.

The section was incubated in three rounds of staining : in the order of ab315392, ab237707, and ab237772 for 30 mins at room temperature. Each round was followed by a separate fluorescent tyramide signal amplification system.

The immunostaining was performed on a Leica Biosystems BOND® RX instrument with an Opal™ 4-color kit. Image acquisition was performed with Leica SP8 confocal microscope.

Nuclear counter stain with DAPI.

Heat mediated antigen retrieval with Tris-EDTA buffer (pH 9.0, epitope retrieval solution2) for 20 mins.

Multiplex immunohistochemistry - Anti-CD3 epsilon antibody [CAL54] (AB237707)
  • mIHC

Supplier Data

Multiplex immunohistochemistry - Anti-CD3 epsilon antibody [CAL54] (AB237707)

Immunohistochemistry (Formalin/PFA-fixed paraffin-embedded sections) analysis of Human liver cancer labelling CD208 with ab281573 at 1/1200 (B), CD3E with ab237707 at 1/1200 dilution (C) and CD19 with ab237772 at 1/1200 dilution(D). Opal Polymer HRP Ms + Rb was used as a secondary antibody, and DAPI was used for a nuclear counter stain. Heat mediated antigen retrieval with Tris-EDTA buffer (pH 9.0, epitope retrieval solution2) for 20 mins.

Panel A : merged staining of anti-CD208 (red; Opal™570), anti-CD3E (green; Opal™520) and anti-CD19 (magenta; Opal™690) on human liver cancer.

Panel B : anti-CD208 staining dendritic cells in human liver cancer.

Panel C : anti-CD3E staining T lymphocytes in human liver cancer.

Panel D : anti-CD19 staining B lymphocytes of human liver cancer.

The section was incubated in three rounds of staining : in the order ab281573, ab237707, and ab237772 for 30 mins at room temperature. Each round was followed by a separate fluorescent tyramide signal amplification system.

The immunostaining was performed on a Leica Biosystems BOND® RX instrument with an Opal™ 4-color kit. Image acquisition was performed with Leica SP8 confocal microscope.

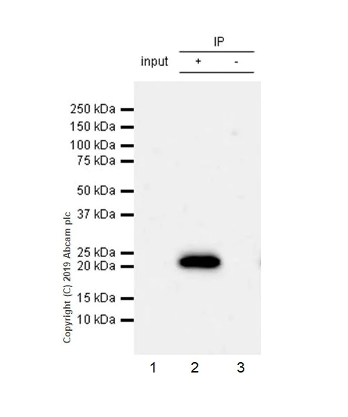
Immunoprecipitation - Anti-CD3 epsilon antibody [CAL54] (AB237707)
  • IP

Supplier Data

Immunoprecipitation - Anti-CD3 epsilon antibody [CAL54] (AB237707)

CD3 epsilon was immunoprecipitated from 0.35 mg of Jurkat (human T cell leukemia cell line from peripheral blood) whole cell lysate with ab237707 at 1/30 dilution. Western blot was performed from the immunoprecipitate using ab237707 at 1/1000 dilution. VeriBlot for IP Detection Reagent (HRP) (ab131366), was used as secondary antibody at 1/5000 dilution.

Lane 1 : Jurkat whole cell lysate 10 μg (Input).
Lane 2 : ab237707 IP in Jurkat whole cell lysate.
Lane 3 : Rabbit monoclonal IgG (ab172730) instead of ab237707 in Jurkat whole cell lysate.

Blocking and dilution buffer and concentration : 5% NFDM/TBST.
Exposure time : 30 seconds.

All lanes:

Immunoprecipitation - Anti-CD3 epsilon antibody [CAL54] (ab237707)

Predicted band size: 23 kDa

Observed band size: 21 kDa

false

Immunoprecipitation - Anti-CD3 epsilon antibody [CAL54] (AB237707)
  • IP

Supplier Data

Immunoprecipitation - Anti-CD3 epsilon antibody [CAL54] (AB237707)

CD3 epsilon was immunoprecipitated from 0.35 mg of human thymus lysate with ab237707 at 1/30 dilution. Western blot was performed from the immunoprecipitate using ab237707 at 1/1000 dilution. VeriBlot for IP Detection Reagent (HRP) (ab131366), was used as secondary antibody at 1/5000 dilution.

Lane 1 : Human thymus lysate 10 μg (Input).
Lane 2 : ab237707 IP in human thymus lysate.
Lane 3 : Rabbit monoclonal IgG (ab172730) instead of ab237707 in human thymus lysate.

Blocking and dilution buffer and concentration : 5% NFDM/TBST.
Exposure time : 30 seconds.

All lanes:

Immunoprecipitation - Anti-CD3 epsilon antibody [CAL54] (ab237707)

Predicted band size: 23 kDa

Observed band size: 21 kDa

false

不同偶联物与剂型 (1)

  • Carrier free

    Anti-CD3 epsilon antibody [CAL54] - BSA and Azide free

关键信息

宿主种属

Rabbit

克隆

Monoclonal

克隆号

CAL54

亚型

IgG

不含载体蛋白

No

反应种属

Human

应用

IHC-P, IP, ICC/IF, Flow Cyt (Intra), mIHC

applications

免疫原

The exact immunogen used to generate this antibody is proprietary information.

反应性数据

{ "title": "Reactivity Data", "filters": { "stats": ["", "Species", "Dilution Info", "Notes"], "tabs": { "all-applications": {"fullname" : "All Applications", "shortname": "All Applications"}, "mIHC" : {"fullname" : "Multiplex immunohistochemistry", "shortname":"mIHC"}, "IP" : {"fullname" : "Immunoprecipitation", "shortname":"IP"}, "FlowCytIntra" : {"fullname" : "Flow Cytometry (Intracellular)", "shortname":"Flow Cyt (Intra)"}, "WB" : {"fullname" : "Western blot", "shortname":"WB"}, "ICCIF" : {"fullname" : "Immunocytochemistry/ Immunofluorescence", "shortname":"ICC/IF"}, "IHCP" : {"fullname" : "Immunohistochemistry (Formalin/PFA-fixed paraffin-embedded sections)", "shortname":"IHC-P"} }, "product-promise": { "all": "all", "testedAndGuaranteed": "tested", "guaranteed": "expected", "predicted": "predicted", "notRecommended": "not-recommended" } }, "values": { "Human": { "mIHC-species-checked": "testedAndGuaranteed", "mIHC-species-dilution-info": "1/1500", "mIHC-species-notes": "<p></p>", "IP-species-checked": "testedAndGuaranteed", "IP-species-dilution-info": "1/30", "IP-species-notes": "<p></p>", "FlowCytIntra-species-checked": "testedAndGuaranteed", "FlowCytIntra-species-dilution-info": "1/500", "FlowCytIntra-species-notes": "<p></p>", "WB-species-checked": "notRecommended", "WB-species-dilution-info": "", "WB-species-notes": "<p></p>", "ICCIF-species-checked": "testedAndGuaranteed", "ICCIF-species-dilution-info": "1/50", "ICCIF-species-notes": "<p></p>", "IHCP-species-checked": "testedAndGuaranteed", "IHCP-species-dilution-info": "1/500", "IHCP-species-notes": "<p></p>" } } }

性能和储存信息

形式
Liquid
纯化工艺
Affinity purification Protein A
纯化说明
Purity is greater than 99%.
存储溶液
pH: 7.5 Preservative: 0.05% Sodium azide Constituents: PBS
运输条件
Blue Ice
推荐的短期储存时间
1-2 weeks
推荐的短期储存条件
+4°C
推荐的长期储存条件
-20°C
分装信息
Upon delivery aliquot
储存信息
Avoid freeze / thaw cycle

产品实验方案

For this product, it's our understanding that no specific protocols are required. You can visit:

靶点信息

Part of the TCR-CD3 complex present on T-lymphocyte cell surface that plays an essential role in adaptive immune response. When antigen presenting cells (APCs) activate T-cell receptor (TCR), TCR-mediated signals are transmitted across the cell membrane by the CD3 chains CD3D, CD3E, CD3G and CD3Z. All CD3 chains contain immunoreceptor tyrosine-based activation motifs (ITAMs) in their cytoplasmic domain. Upon TCR engagement, these motifs become phosphorylated by Src family protein tyrosine kinases LCK and FYN, resulting in the activation of downstream signaling pathways (PubMed : 2470098). In addition of this role of signal transduction in T-cell activation, CD3E plays an essential role in correct T-cell development. Initiates the TCR-CD3 complex assembly by forming the two heterodimers CD3D/CD3E and CD3G/CD3E. Participates also in internalization and cell surface down-regulation of TCR-CD3 complexes via endocytosis sequences present in CD3E cytosolic region (PubMed : 10384095, PubMed : 26507128). In addition to its role as a TCR coreceptor, it serves as a receptor for ITPRIPL1. Ligand recognition inhibits T-cell activation by promoting interaction with NCK1, which prevents CD3E-ZAP70 interaction and blocks the ERK-NFkB signaling cascade and calcium influx (PubMed : 38614099).
See full target information CD3E

文献 (4)

Recent publications for all applications. Explore the full list and refine your search

Science advances 11:eadw6926 PubMed40845109

2025

Liver regeneration-associated hepatocellular YAP1 activation prevents colorectal cancer liver metastasis through glutamine competition.

Applications

Unspecified application

Species

Unspecified reactive species

Qiang Yu,Mincheng Yu,Peiyi Xie,Lei Guo,Yufei Zhao,Wenxin Xu,Xian Li,Mengyuan Wu,Zihao Zhang,Zheng Chen,Yongsheng Xiao,Jian Zhou,Jia Fan,Mien-Chie Hung,Yongfeng Xu,Bo Zhang,Qinghai Ye,Hui Li

Scientific reports 14:13432 PubMed38862586

2024

Combined oral low-dose cyclophosphamide endocrine therapy may improve clinical response among patients with metastatic breast cancer via Tregs in TLSs.

Applications

Unspecified application

Species

Unspecified reactive species

Yuze Zhao,Shuo Wang,Shuzhen Lv,Xiaojun Liu,Weiping Li,Yuguang Song,Dongwen Rong,Peiming Zheng,Hongyan Huang,Huixia Zheng

Frontiers in immunology 14:1211114 PubMed37928525

2023

The effects of 5-aminolevulinic acid photodynamic therapy on the local immune response of women with cervical intraepithelial neoplasia grade 2.

Applications

Unspecified application

Species

Unspecified reactive species

Anyue Wu,Jing Niu,Zubei Hong,Liying Gu,Yuli Huang,Lihua Qiu

Molecular therapy oncolytics 24:788-798 PubMed35317514

2022

Anticancer effects of a single intramuscular dose of a minicircle DNA vector expressing anti-CD3/CD20 in a xenograft mouse model.

Applications

Unspecified application

Species

Unspecified reactive species

Xiaojuan Pang,Guochuang Chen,Ping Huang,Peifa Zhang,Jie Liu,Xiaohu Hou,Cheng-Yi He,Ping Chen,Yi-Wu Xie,Jing Zhao,Zhi-Ying Chen
View all publications

Abcam Product Promise

我们致力于为您的研究提供高质量的试剂,为您科研的每一步提供支持。若我们的产品未能达到预期性能,我们向您提供 Abcam Product Promise 保障。
详情请参阅我们的条款与条件。

Please note: All products are 'FOR RESEARCH USE ONLY. NOT FOR USE IN DIAGNOSTIC OR THERAPEUTIC PROCEDURES'.

For licensing inquiries, please contact partnerships@abcam.com