JavaScript is disabled in your browser. Please enable JavaScript to view this website.
AB252931

重组Anti-CD229抗体[EPR22611-91]

Anti-CD229 antibody [EPR22611-91]

5

(2 Reviews)

|

(1 Publication)

Rabbit Recombinant Monoclonal CD229 antibody. Suitable for WB, IHC-P and reacts with Mouse, Rat, Human samples. Cited in 1 publication.

查看别名

CD229, CDABP0070, LY9, T-lymphocyte surface antigen Ly-9, Cell surface molecule Ly-9, Lymphocyte antigen 9, SLAM family member 3, Signaling lymphocytic activation molecule 3, SLAMF3

6 Images
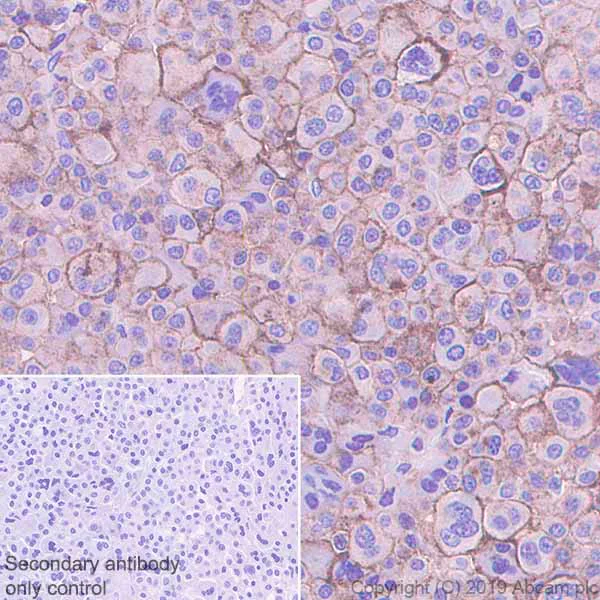
Immunohistochemistry (Formalin/PFA-fixed paraffin-embedded sections) - Anti-CD229 antibody [EPR22611-91] (AB252931)
  • IHC-P

Unknown

Immunohistochemistry (Formalin/PFA-fixed paraffin-embedded sections) - Anti-CD229 antibody [EPR22611-91] (AB252931)

Immunohistochemical analysis of paraffin-embedded human colon tissue labeling CD229 with ab252931 at 1/500 dilution, followed by a Goat Anti-Rabbit IgG H&L (HRP) ready to use. Positive staining in lymphocytes of human colon (PMID : 17919264; 11369645) is observed. Counter stained with hematoxylin.

Secondary antibody only control : Used PBS instead of primary antibody, secondary antibody is Goat Anti-Rabbit IgG H&L (HRP) ready to use.

Heat mediated antigen retrieval using ab93684 (Tris/EDTA buffer, pH 9.0).

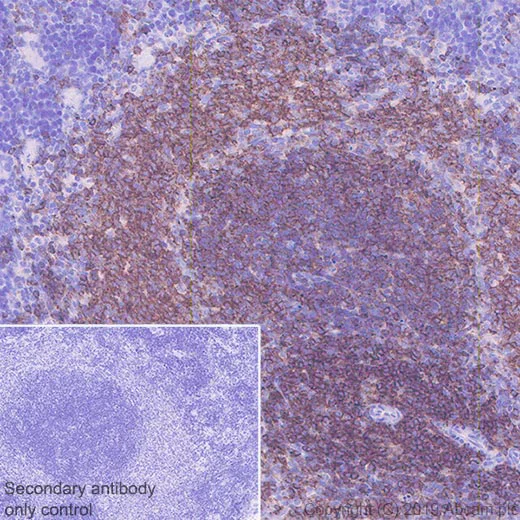
Immunohistochemistry (Formalin/PFA-fixed paraffin-embedded sections) - Anti-CD229 antibody [EPR22611-91] (AB252931)
  • IHC-P

Unknown

Immunohistochemistry (Formalin/PFA-fixed paraffin-embedded sections) - Anti-CD229 antibody [EPR22611-91] (AB252931)

Immunohistochemical analysis of paraffin-embedded human multiple myeloma tissue labeling CD229 with ab252931 at 1/500 dilution, followed by Goat Anti-Rabbit IgG H&L (HRP) ready to use. Mainly membranous staining in tumor cells of human multiple myeloma (PMID : 21606160) is observed. Counter stained with hematoxylin.

Secondary antibody only control : Used PBS instead of primary antibody, secondary antibody is Goat Anti-Rabbit IgG H&L (HRP) ready to use.

Heat mediated antigen retrieval using ab93684 (Tris/EDTA buffer, pH 9.0).

Immunohistochemistry (Formalin/PFA-fixed paraffin-embedded sections) - Anti-CD229 antibody [EPR22611-91] (AB252931)
  • IHC-P

Unknown

Immunohistochemistry (Formalin/PFA-fixed paraffin-embedded sections) - Anti-CD229 antibody [EPR22611-91] (AB252931)

Immunohistochemical analysis of paraffin-embedded rat spleen tissue labeling CD229 with ab252931 at 1/500 dilution, followed by Goat Anti-Rabbit IgG H&L (HRP) ready to use. Positive staining in lymphocytes of rat spleen (PMID : 17919264; 11369645) is observed. Counter stained with hematoxylin.

Secondary antibody only control : Used PBS instead of primary antibody, secondary antibody is Goat Anti-Rabbit IgG H&L (HRP) ready to use.

Heat mediated antigen retrieval using ab93684 (Tris/EDTA buffer, pH 9.0).

Immunohistochemistry (Formalin/PFA-fixed paraffin-embedded sections) - Anti-CD229 antibody [EPR22611-91] (AB252931)
  • IHC-P

Unknown

Immunohistochemistry (Formalin/PFA-fixed paraffin-embedded sections) - Anti-CD229 antibody [EPR22611-91] (AB252931)

Immunohistochemical analysis of paraffin-embedded mouse spleen tissue labeling CD229 with ab252931 at 1/500 dilution, followed by Goat Anti-Rabbit IgG H&L (HRP) ready to use. Positive staining in lymphocytes of mouse spleen (PMID : 17919264; 11369645) is observed. Counter stained with hematoxylin.

Secondary antibody only control : Used PBS instead of primary antibody, secondary antibody is Goat Anti-Rabbit IgG H&L (HRP) ready to use.

Heat mediated antigen retrieval using ab93684 (Tris/EDTA buffer, pH 9.0).

Western blot - Anti-CD229 antibody [EPR22611-91] (AB252931)
  • WB

Unknown

Western blot - Anti-CD229 antibody [EPR22611-91] (AB252931)

Blocking and dilution buffer : 5% NFDM/TBST.

The molecular weight observed is consistent with what has been described in the literature (PMID : 11369645; 17919264)).

The bands between 70-120 kDa are caused by isoforms and glycosylation.

Negative control : U-937 (PMID : 15245368).

All lanes:

Western blot - Anti-CD229 antibody [EPR22611-91] (ab252931) at 1/1000 dilution

Lane 1:

Human lymph node lysate at 20 µg

Lane 2:

Daudi (human Burkitt's lymphoma cell line) whole cell lysate at 20 µg

Lane 3:

Jurkat (human T cell leukemia cell line from peripheral blood) whole cell lysate at 20 µg

Lane 4:

U937 (human histiocytic lymphoma cell line) whole cell lysate at 20 µg

Secondary

All lanes:

Western blot - Goat Anti-Rabbit IgG H&L (HRP) (<a href='/products/secondary-antibodies/goat-rabbit-igg-h-l-hrp-ab97051'>ab97051</a>) at 1/100000 dilution

Predicted band size: 72 kDa

Observed band size: 70-120 kDa

false

Exposure time: 48s

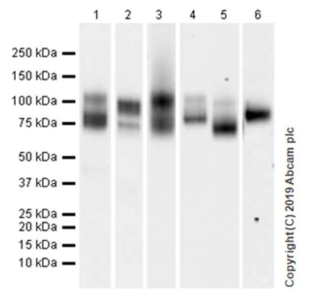
Western blot - Anti-CD229 antibody [EPR22611-91] (AB252931)
  • WB

Unknown

Western blot - Anti-CD229 antibody [EPR22611-91] (AB252931)

Blocking and dilution buffer : 5% NFDM/TBST.

Exposure times.

Lane 1 : 6 seconds; lane 2 : 8 seconds; Lane 3 : 48 seconds; Lanes 4 & 5 : 15 seconds.; Lane 6 3 minutes.

The molecular weight observed is consistent with what has been described in the literature (PMID : 11369645; 17919264).

The bands between 70-120 kDa are due to isoforms and glycosylation.

All lanes:

Western blot - Anti-CD229 antibody [EPR22611-91] (ab252931) at 1/1000 dilution

Lane 1:

A20 (mouse reticulum sarcoma cell line) whole cell lysate at 20 µg

Lane 2:

EL4 (mouse lymphoma T lymphocyte cell line) whole cell lysate at 20 µg

Lane 3:

WEHI-231 (mouse lymphoblast B cell lymphoma cell line) whole cell lysate at 20 µg

Lane 4:

Rat thymus lysate at 20 µg

Lane 5:

Mouse lymph node lysate at 20 µg

Lane 6:

Rat lymph node lysate at 20 µg

Secondary

All lanes:

Western blot - Goat Anti-Rabbit IgG H&L (HRP) (<a href='/products/secondary-antibodies/goat-rabbit-igg-h-l-hrp-ab97051'>ab97051</a>) at 1/100000 dilution

Predicted band size: 72 kDa

Observed band size: 70-120 kDa

false

不同偶联物与剂型 (1)

  • Carrier free

    Anti-CD229 antibody [EPR22611-91] - BSA and Azide free

关键信息

宿主种属

Rabbit

克隆

Monoclonal

克隆号

EPR22611-91

亚型

IgG

不含载体蛋白

No

反应种属

Mouse, Rat, Human

应用

IHC-P, WB

applications

免疫原

The exact immunogen used to generate this antibody is proprietary information.

反应性数据

{ "title": "Reactivity Data", "filters": { "stats": ["", "Species", "Dilution Info", "Notes"], "tabs": { "all-applications": {"fullname" : "All Applications", "shortname": "All Applications"}, "IP" : {"fullname" : "Immunoprecipitation", "shortname":"IP"}, "FlowCyt" : {"fullname" : "Flow Cytometry", "shortname":"Flow Cyt"}, "WB" : {"fullname" : "Western blot", "shortname":"WB"}, "ICCIF" : {"fullname" : "Immunocytochemistry/ Immunofluorescence", "shortname":"ICC/IF"}, "IHCP" : {"fullname" : "Immunohistochemistry (Formalin/PFA-fixed paraffin-embedded sections)", "shortname":"IHC-P"} }, "product-promise": { "all": "all", "testedAndGuaranteed": "tested", "guaranteed": "expected", "predicted": "predicted", "notRecommended": "not-recommended" } }, "values": { "Human": { "IP-species-checked": "notRecommended", "IP-species-dilution-info": "", "IP-species-notes": "<p></p>", "FlowCyt-species-checked": "notRecommended", "FlowCyt-species-dilution-info": "", "FlowCyt-species-notes": "<p></p>", "WB-species-checked": "testedAndGuaranteed", "WB-species-dilution-info": "1/1000", "WB-species-notes": "<p></p>", "ICCIF-species-checked": "notRecommended", "ICCIF-species-dilution-info": "", "ICCIF-species-notes": "<p></p>", "IHCP-species-checked": "testedAndGuaranteed", "IHCP-species-dilution-info": "1/500", "IHCP-species-notes": "<p></p> Perform heat-mediated antigen retrieval with Tris/EDTA buffer pH 9.0 before commencing with IHC staining protocol." }, "Mouse": { "IP-species-checked": "notRecommended", "IP-species-dilution-info": "", "IP-species-notes": "<p></p>", "FlowCyt-species-checked": "notRecommended", "FlowCyt-species-dilution-info": "", "FlowCyt-species-notes": "<p></p>", "WB-species-checked": "testedAndGuaranteed", "WB-species-dilution-info": "1/1000", "WB-species-notes": "<p></p>", "ICCIF-species-checked": "notRecommended", "ICCIF-species-dilution-info": "", "ICCIF-species-notes": "<p></p>", "IHCP-species-checked": "testedAndGuaranteed", "IHCP-species-dilution-info": "1/500", "IHCP-species-notes": "<p></p> Perform heat-mediated antigen retrieval with Tris/EDTA buffer pH 9.0 before commencing with IHC staining protocol." }, "Rat": { "IP-species-checked": "notRecommended", "IP-species-dilution-info": "", "IP-species-notes": "<p></p>", "FlowCyt-species-checked": "notRecommended", "FlowCyt-species-dilution-info": "", "FlowCyt-species-notes": "<p></p>", "WB-species-checked": "testedAndGuaranteed", "WB-species-dilution-info": "1/1000", "WB-species-notes": "<p></p>", "ICCIF-species-checked": "notRecommended", "ICCIF-species-dilution-info": "", "ICCIF-species-notes": "<p></p>", "IHCP-species-checked": "testedAndGuaranteed", "IHCP-species-dilution-info": "1/500", "IHCP-species-notes": "<p></p> Perform heat-mediated antigen retrieval with Tris/EDTA buffer pH 9.0 before commencing with IHC staining protocol." } } }

产品详情

Patented technology
Our RabMAb® technology is a patented hybridoma-based technology for making rabbit monoclonal antibodies. For details on our patents, please refer to RabMAb® patents.

What are the advantages of a recombinant monoclonal antibody?
This product is a recombinant monoclonal antibody, which offers several advantages including:

  • - High batch-to-batch consistency and reproducibility
  • - Improved sensitivity and specificity
  • - Long-term security of supply
  • - Animal-free batch production

For more information, read more on recombinant antibodies.

性能和储存信息

形式
Liquid
纯化工艺
Affinity purification Protein A
存储溶液
pH: 7.2 - 7.4 Preservative: 0.01% Sodium azide Constituents: PBS, 40% Glycerol (glycerin, glycerine), 0.05% BSA
运输条件
Blue Ice
推荐的短期储存时间
1-2 weeks
推荐的短期储存条件
+4°C
推荐的长期储存条件
-20°C
分装信息
Upon delivery aliquot
储存信息
Avoid freeze / thaw cycle

补充信息

This supplementary information is collated from multiple sources and compiled automatically.

CD229 also known as SLAMF3 or Ly9 is a transmembrane protein that weighs approximately 80 kDa. This protein belongs to the CD2 subset of the immunoglobulin superfamily. You can find high expression of CD229 in various lymphoid tissues such as the spleen thymus and peripheral blood lymphocytes. Its expression is notably high in T cells B cells and natural killer (NK) cells. As a homophilic receptor CD229 aids in cell-cell adhesion playing an essential role in immune response regulation among lymphocytes.
Biological function summary

CD229 influences signaling within immune cells. It functions as a mediator of adhesion and activation signaling pathways. CD229 does not act alone and often works as part of a receptor complex that may include CD48 and other members of the SLAM family. Besides its role in cellular adhesion CD229 participates in balancing immune activation and immune tolerance demonstrating its importance in developing and maintaining a robust immune response.

Pathways

CD229 participates in the adaptive immune signaling pathways. It links with other signaling proteins such as SAP (SLAM-associated protein) a critical modulator of downstream signaling cascades. SAP interacts with SLAM-family receptors including CD229 to regulate T and B cell activation and function. The involvement of CD229 in various immune signaling pathways positions it as a significant player in the broader context of cellular communication and response within the immune system.

CD229's aberrant expression or dysfunction links to autoimmune diseases such as systemic lupus erythematosus (SLE) and certain hematological malignancies. Altered CD229 expression has been observed in association with SLE where it may contribute to dysregulated immune responses. In hematological cancers CD229 overexpression or mutations can disrupt immune cell regulation promoting tumor progression. CD229 may interact with other SLAM-family proteins like CD244 which have implications in disease pathology and can be targets for therapeutic interventions.

产品实验方案

For this product, it's our understanding that no specific protocols are required. You can visit:

靶点信息

Self-ligand receptor of the signaling lymphocytic activation molecule (SLAM) family. SLAM receptors triggered by homo- or heterotypic cell-cell interactions are modulating the activation and differentiation of a wide variety of immune cells and thus are involved in the regulation and interconnection of both innate and adaptive immune response. Activities are controlled by presence or absence of small cytoplasmic adapter proteins, SH2D1A/SAP and/or SH2D1B/EAT-2. May participate in adhesion reactions between T lymphocytes and accessory cells by homophilic interaction. Promotes T-cell differentiation into a helper T-cell Th17 phenotype leading to increased IL-17 secretion; the costimulatory activity requires SH2D1A (PubMed : 22184727). Promotes recruitment of RORC to the IL-17 promoter (PubMed : 22989874). May be involved in the maintenance of peripheral cell tolerance by serving as a negative regulator of the immune response. May disable autoantibody responses and inhibit IFN-gamma secretion by CD4(+) T-cells. May negatively regulate the size of thymic innate CD8(+) T-cells and the development of invariant natural killer T (iNKT) cells (By similarity).
See full target information LY9

文献 (1)

Recent publications for all applications. Explore the full list and refine your search

International journal of biological sciences 21:2747-2761 PubMed40303305

2025

Aryl Hydrocarbon Receptor (AHR) Suppresses Arsenic (As)-Induced Malignant Transformation by Antagonizing TOX Expression.

Applications

Unspecified application

Species

Unspecified reactive species

Wenxuan Zhang,Ziwei Wang,Yao Fu,Chitra Thakur,Haoyan Ji,Zhuoyue Bi,Yiran Qiu,Millie Elangbam,John Haley,Fei Chen
View all publications

Abcam Product Promise

我们致力于为您的研究提供高质量的试剂,为您科研的每一步提供支持。若我们的产品未能达到预期性能,我们向您提供 Abcam Product Promise 保障。
详情请参阅我们的条款与条件。

Please note: All products are 'FOR RESEARCH USE ONLY. NOT FOR USE IN DIAGNOSTIC OR THERAPEUTIC PROCEDURES'.

For licensing inquiries, please contact partnerships@abcam.com