JavaScript is disabled in your browser. Please enable JavaScript to view this website.
AB64088

CD20抗体[SP32]

Anti-CD20 antibody [SP32]

  • BOND RX™ Validated
  • 20ul selling size
  • RabMAb
  • Advanced Validation
  • Recombinant
  • KO Validated
  • 了解详情

5

(12 Reviews)

|

(66 Publications)

Anti-CD20 antibody [SP32] (ab64088) is a rabbit monoclonal antibody detecting CD20 in Western Blot, Flow Cytometry (Intra), Flow Cytometry, IP, IHC-P, ICC/IF, mIHC. Suitable for Human, Mouse, Rat.

- KO validated for confirmed specificity
- Multiplex IHC validated on the Leica BOND® MAX using Opal reagents
- Biophysical QC for unrivalled batch-batch consistency
- Over 20 publications

查看别名

CD20, MS4A1, B-lymphocyte antigen CD20, B-lymphocyte surface antigen B1, Bp35, Leukocyte surface antigen Leu-16, Membrane-spanning 4-domains subfamily A member 1

21 Images
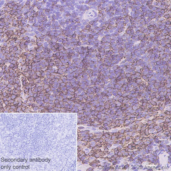
Immunohistochemistry (Formalin/PFA-fixed paraffin-embedded sections) - Anti-CD20 antibody [SP32] (AB64088)
  • IHC-P

Lab

Immunohistochemistry (Formalin/PFA-fixed paraffin-embedded sections) - Anti-CD20 antibody [SP32] (AB64088)

Immunohistochemical analysis of paraffin-embedded Human tonsil tissue labeling CD20 with ab64088 at 1/100 dilution.

Positive staining on human tonsil.

The section was incubated with ab64088 for 30 mins at room temperature.

The immunostaining was performed on a Leica Biosystems BOND® RX instrument.

Counterstained with Hematoxylin.

Heat mediated antigen retrieval was performed with Sodium-Citrate buffer (pH 6.0, Epitope Retrieval Solution1) for 10 mins.

Flow Cytometry (Intracellular) - Anti-CD20 antibody [SP32] (AB64088)
  • Flow Cyt (Intra)

Unknown

Flow Cytometry (Intracellular) - Anti-CD20 antibody [SP32] (AB64088)

Flow cytometry analysis of Ramos (human Burkitt's lymphoma) labeling CD20 with purified ab64088 at 1/40 dilution (7.78 μg/ml) (red). Cells were fixed with 4% paraformaldehyde and permeabilised with 90% methanol. Goat anti rabbit IgG (Alexa Fluor® 488, ab150077) at 1/2000 dilution was used as a secondary antibody. Isotype control -Rabbit monoclonal IgG (ab172730) (Black). Unlableled control -Unlabelled cells (blue).

Multiplex immunohistochemistry - Anti-CD20 antibody [SP32] (AB64088)
  • mIHC

Supplier Data

Multiplex immunohistochemistry - Anti-CD20 antibody [SP32] (AB64088)

Multiplex immunohistochemistry analysis of formalin/PFA-fixed paraffin-embedded human colon tissue staining CD3 with ab21703 at a 1/150 (0.06 ug/ml) dilution, ab318205 anti-TCR beta used at 1/500 (1.036 ug/ml) dilution and ab64088 anti-CD20 used at a 1/50 (0.2 ug/ml) dilution.

Panel A : merged staining of anti-CD3 (magenta; Opal™690), anti-TCR beta (green; Opal™520) and anti-CD20 (yellow; Opal™570) on human colon.
Panel B : anti-CD3 staining T lymphocytes in human colon.
Panel C : anti-TCR beta staining T lymphocytes in human colon.
Panel D : anti-CD20 staining B lymphocytes in human colon.
Nuclear DNA was labeled with DAPI (shown in blue).

The section was incubated in three rounds of staining : in the order of ab21703, ab318205 and ab64088 for 30 mins at room temperature. Each round was followed by a separate fluorescent tyramide signal amplification system.

The immunostaining was performed on a Leica Biosystems BOND® RX instrument with an Opal™ 4-color kit. Image acquisition was performed with Leica SP8 confocal microscope.

Nuclear counter stain with DAPI.

Heat mediated antigen retrieval with Tris-EDTA buffer (pH 9.0, epitope retrieval solution2) for 20 mins.

Multiplex immunohistochemistry - Anti-CD20 antibody [SP32] (AB64088)
  • mIHC

Supplier Data

Multiplex immunohistochemistry - Anti-CD20 antibody [SP32] (AB64088)

Multiplex immunohistochemistry analysis of formalin/PFA-fixed paraffin-embedded human tonsil tissue staining CD3 with ab21703 at a 1/150 (0.06 ug/ml) dilution, ab318205 anti-TCR beta used at 1/500 (1.036 ug/ml) dilution and ab64088 anti-CD20 used at a 1/50 (0.2 ug/ml) dilution.

Panel A : merged staining of anti-CD3 (magenta; Opal™690), anti-TCR beta (green; Opal™520) and anti-CD20 (yellow; Opal™570) on human tonsil.
Panel B : anti-CD3 staining T lymphocytes in human tonsil.
Panel C : anti-TCR beta staining T lymphocytes in human tonsil.
Panel D : anti-CD20 staining B lymphocytes in human tonsil.
Nuclear DNA was labeled with DAPI (shown in blue).

The section was incubated in three rounds of staining : in the order of ab21703, ab318205 and ab64088 for 30 mins at room temperature. Each round was followed by a separate fluorescent tyramide signal amplification system.

The immunostaining was performed on a Leica Biosystems BOND® RX instrument with an Opal™ 4-color kit. Image acquisition was performed with Leica SP8 confocal microscope.

Nuclear counter stain with DAPI.

Heat mediated antigen retrieval with Tris-EDTA buffer (pH 9.0, epitope retrieval solution2) for 20 mins.

Multiplex immunohistochemistry - Anti-CD20 antibody [SP32] (AB64088)
  • mIHC

Supplier Data

Multiplex immunohistochemistry - Anti-CD20 antibody [SP32] (AB64088)

Multiplex immunohistochemistry analysis of formalin/PFA-fixed paraffin-embedded human spleen tissue staining CD3 with ab21703 at a 1/150 (0.06 ug/ml) dilution, ab318205 anti-TCR beta used at 1/500 (1.036 ug/ml) dilution and ab64088 anti-CD20 used at a 1/50 (0.2 ug/ml) dilution.

Panel A : merged staining of anti-CD3 (magenta; Opal™690), anti-TCR beta (green; Opal™520) and anti-CD20 (yellow; Opal™570) on human spleen.
Panel B : anti-CD3 staining T lymphocytes in human spleen.
Panel C : anti-TCR beta staining T lymphocytes in human spleen.
Panel D : anti-CD20 staining B lymphocytes in human spleen.
Nuclear DNA was labeled with DAPI (shown in blue).

The section was incubated in three rounds of staining : in the order of ab21703, ab318205 and ab64088 for 30 mins at room temperature. Each round was followed by a separate fluorescent tyramide signal amplification system.

The immunostaining was performed on a Leica Biosystems BOND® RX instrument with an Opal™ 4-color kit. Image acquisition was performed with Leica SP8 confocal microscope.

Nuclear counter stain with DAPI.

Heat mediated antigen retrieval with Tris-EDTA buffer (pH 9.0, epitope retrieval solution2) for 20 mins.

Flow Cytometry (Intracellular) - Anti-CD20 antibody [SP32] (AB64088)
  • Flow Cyt (Intra)

Unknown

Flow Cytometry (Intracellular) - Anti-CD20 antibody [SP32] (AB64088)

Flow cytometric analysis of rabbit anti-CD20 (SP32) antibody ab64088(1/100) in Jurkat cells (green) compared to negative control of rabbit IgG (blue).

Immunocytochemistry/ Immunofluorescence - Anti-CD20 antibody [SP32] (AB64088)
  • ICC/IF

Unknown

Immunocytochemistry/ Immunofluorescence - Anti-CD20 antibody [SP32] (AB64088)

Immunocytochemistry/ Immunofluorescence analysis of Ramos (human Burkitt's lymphoma B lymphocyte) cells labeling CD20 with purified ab64088 at 1/100 (3.1 μg/ml). Cells were fixed in 4% paraformaldehyde and permeabilized with 0.1% Triton X-100. Cells were counterstained with ab195889 Anti-alpha Tubulin antibody [DM1A] - Microtubule Marker (Alexa Fluor® 594) 1/200 (2.5 μg/ml). Goat anti rabbit IgG (Alexa Fluor® 488, ab150077) was used as the secondary antibody at 1/1000 (2 μg/ml) dilution. DAPI was used as nuclear counterstain. PBS instead of the primary antibody was used as the secondary antibody only control.

Immunohistochemistry (Formalin/PFA-fixed paraffin-embedded sections) - Anti-CD20 antibody [SP32] (AB64088)
  • IHC-P

Collaborator

Immunohistochemistry (Formalin/PFA-fixed paraffin-embedded sections) - Anti-CD20 antibody [SP32] (AB64088)

The BOND™ Polymer Refine Detection System on the BOND RX Automated Stainer (DS9800, Leica Biosystems, Wetzlar, Germany) was used for immunohistochemical labelling of formalin-fixed, paraffin-embedded (FFPE) tissues. The protocol includes a peroxide block, post-primary reagent, polymer detection, DAB chromogen, and haematoxylin counterstain, all automated to minimize variability. Antigen retrieval was performed by heat-induced epitope retrieval (HIER) for 20 minutes in Tris-EDTA buffer (BOND Epitope Retrieval Solution 2, AR9640, Leica Biosystems, Wetzlar, Germany). For mouse and rabbit antibodies, the sequence comprised peroxide block (10 min), primary antibody incubation (30 min), post-primary (10 min), polymer (10 min), DAB (10 min), and haematoxylin (8 min). For rat antibodies, an anti-rat step (1 : 300 dilution, Vector Laboratories, California, USA; 20 min) was included prior to polymer application (15 min).

For mouse tissues, antigen retrieval was performed using high pH buffers (Dako, Agilent), followed by blocking of endogenous peroxidase activity with 3% hydrogen peroxide. Slides were then incubated with the primary antibody. Antigen/antibody complexes detection was carried out using a horseradish peroxidase-conjugated visualization system (Novolink Polymer, Leica). Staining was developed with 3,3′-diaminobenzidine (EnVision FLEX DAB Enhancer, Dako, Agilent), and nuclei were counterstained with hematoxylin (FLEX Hematoxylin, SM806, Dako, Agilent). Images were acquired using an Axiocam CCD camera (Zeiss) and processed with ZEN 2.1 software and Photoshop 9.0.

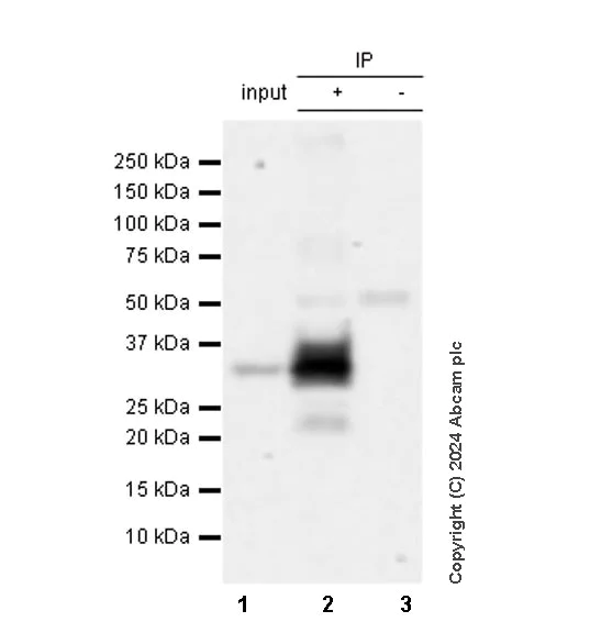
Immunoprecipitation - Anti-CD20 antibody [SP32] (AB64088)
  • IP

Lab

Immunoprecipitation - Anti-CD20 antibody [SP32] (AB64088)

ab64088 at 1/30 dilution immunoprecipitating CD20 in Raji (human Burkitt's lymphoma B lymphocyte) whole cell lysate. Western blot was performed from the immunoprecipitate using ab64088 at 1/1000 dilution. VeriBlot for IP Detection Reagent (HRP) (ab131366), was used for detection at 1/5000 dilution. Lane 1 : Raji (human Burkitt's lymphoma B lymphocyte) whole cell lysate 10 µg Lane 2 : ab64088 IP in Raji (human Burkitt's lymphoma B lymphocyte) whole cell lysate Lane 3 : Rabbit monoclonal IgG (ab172730) instead of ab64088 in Raji whole cell lysate Blocking/Dilution buffer : 5% NFDM/TBST. Exposure time : 8 seconds.

Lane 2:

Immunoprecipitation - Anti-CD20 antibody [SP32] (ab64088) at 1/30 dilution

Lane 2:

Immunoprecipitation - Anti-CD20 antibody [SP32] - BSA and Azide free (<a href='/products/primary-antibodies/cd20-antibody-sp32-bsa-and-azide-free-ab236434'>ab236434</a>)

All lanes:

HeLa (human cervix adenocarcinoma epithelial cell) treated with 500 µM CoCl2 for 24 hours whole cell lysate at 10 µg

Secondary

All lanes:

Immunoprecipitation - VeriBlot for IP Detection Reagent (HRP) (<a href='/products/reagents/veriblot-for-ip-detection-reagent-hrp-ab131366'>ab131366</a>) at 1/5000 dilution

Observed band size: 25 kDa,33 kDa

false

Exposure time: 8s

Multiplex immunohistochemistry - Anti-CD20 antibody [SP32] (AB64088)
  • mIHC

Lab

Multiplex immunohistochemistry - Anti-CD20 antibody [SP32] (AB64088)

Immunohistochemistry analysis of (Formalin/PFA-fixed paraffin-embedded sections) Rat lymph node tissue labelling MAdCAM1 with ab309487 at 1 : 100 dilution (B), CD3 epsilon with ab237721at 1 : 2000 dilution (C) and CD20 with ab64088 at 1 : 100 dilution (D). Opal Polymer HRP Ms + Rb was used as a secondary antibody, and DAPI was used for a nuclear counter stain. Heat mediated antigen retrieval with Tris-EDTA buffer (pH 9.0, epitope retrieval solution2) for 20 mins.

Panel A : merged staining of anti-MAdCAM (green; Opal™520), anti-CD3 (gray; Opal™690) and anti-CD20 (magenta; Opal™570) on rat lymph node.

Panel B : anti-MAdCAM staining high endothelial venules in rat lymph node.

Panel C : ant-CD3 staining B lymphocytes in rat lymph node.

Panel D : ant-CD20 staining B lymphocytes in rat lymph node.

Nuclear DNA was labeled with DAPI (shown in blue).

The section was incubated in three rounds of staining : in the order of ab309487, ab237721 and ab64088 for 30 mins at room temperature. Each round was followed by a separate fluorescent tyramide signal amplification system.

The immunostaining was performed on a Leica Biosystems BOND® RX instrument with an Opal™ 4-color kit. Image acquisition was performed with Leica SP8 confocal microscope.

Multiplex immunohistochemistry - Anti-CD20 antibody [SP32] (AB64088)
  • mIHC

Lab

Multiplex immunohistochemistry - Anti-CD20 antibody [SP32] (AB64088)

Immunohistochemistry analysis of (Formalin/PFA-fixed paraffin-embedded sections) Mouse lymph node tissue labelling MAdCAM1 with ab309487 at 1 : 100 dilution (B), CD3 epsilon with ab237721at 1 : 2000 dilution (C) and CD20 with ab64088 at 1 : 100 dilution (D). Opal Polymer HRP Ms + Rb was used as a secondary antibody, and DAPI was used for a nuclear counter stain. Heat mediated antigen retrieval with Tris-EDTA buffer (pH 9.0, epitope retrieval solution2) for 20 mins.

Panel A : merged staining of anti-MAdCAM (green; Opal™520), anti-CD3 (gray; Opal™690) and anti-CD20 (magenta; Opal™570) on mouse lymph node.

Panel B : anti-MAdCAM staining high endothelial venules in mouse lymph node.

Panel C : ant-CD3 staining B lymphocytes in mouse lymph node.

Panel D : ant-CD20 staining B lymphocytes in mouse lymph node.

Nuclear DNA was labeled with DAPI (shown in blue).

The section was incubated in three rounds of staining : in the order of ab309487, ab237721 and ab64088 for 30 mins at room temperature. Each round was followed by a separate fluorescent tyramide signal amplification system.

The immunostaining was performed on a Leica Biosystems BOND® RX instrument with an Opal™ 4-color kit. Image acquisition was performed with Leica SP8 confocal microscope.

Flow Cytometry (Intracellular) - Anti-CD20 antibody [SP32] (AB64088)
  • Flow Cyt (Intra)

Unknown

Flow Cytometry (Intracellular) - Anti-CD20 antibody [SP32] (AB64088)

Flow cytometry analysis of WEHI-231 (mouse lymphoblast B cell lymphoma) labeling CD20 with purified ab64088 at 1/40 dilution (7.78 μg/ml) (red). Cells were fixed with 4% paraformaldehyde and permeabilised with 90% methanol. Goat anti rabbit IgG (Alexa Fluor® 488, ab150077) at 1/2000 dilution was used as a secondary antibody. Isotype control -Rabbit monoclonal IgG (ab172730) (Black). Unlableled control -Unlabelled cells (blue).

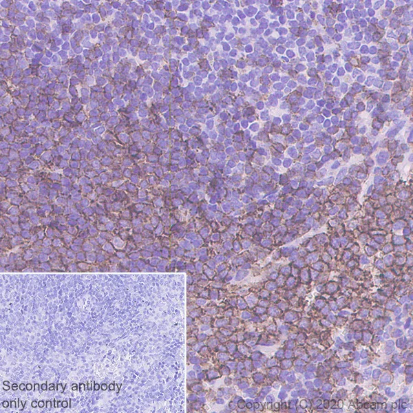
Immunohistochemistry (Formalin/PFA-fixed paraffin-embedded sections) - Anti-CD20 antibody [SP32] (AB64088)
  • IHC-P

Lab

Immunohistochemistry (Formalin/PFA-fixed paraffin-embedded sections) - Anti-CD20 antibody [SP32] (AB64088)

Immunohistochemical analysis of paraffin-embedded Mouse spleen tissue labeling CD20 with ab64088 at 1/100 dilution.

Positive staining on mouse spleen.

The section was incubated with ab64088 for 30 mins at room temperature.

The immunostaining was performed on a Leica Biosystems BOND® RX instrument.

Counterstained with Hematoxylin.

Heat mediated antigen retrieval was performed with Sodium-Citrate buffer (pH 6.0, Epitope Retrieval Solution1) for 10 mins.

Multiplex immunohistochemistry - Anti-CD20 antibody [SP32] (AB64088)
  • mIHC

Supplier Data

Multiplex immunohistochemistry - Anti-CD20 antibody [SP32] (AB64088)

Multiplex immunohistochemistry analysis of formalin/PFA-fixed paraffin-embedded rat liver tissue staining MARCO with ab323717 at a 1 : 200 (2.49 ug/ml) dilution, ab64088 anti-CD20 used at 1 : 100 (2.91 ug/ml) dilution and ab237721 anti-CD3 used at a 1 : 2000 (0.26 ug/ml) dilution.

Panel A : merged staining of anti-MARCO (green; Opal™520), anti-CD20 (gray; Opal™690) and anti-CD3 (magenta; Opal™570) on rat liver.
Panel B : anti-MARCO staining macrophages in rat liver.
Panel C : ant-CD20 staining B lymphocytes in rat liver.
Panel D : ant-CD3 staining T lymphocytes in rat liver.
Nuclear DNA was labeled with DAPI (shown in blue).

The section was incubated in three rounds of staining : in the order of ab323717, ab64088 and ab237721 for 30 mins at room temperature. Each round was followed by a separate fluorescent tyramide signal amplification system.

The immunostaining was performed on a Leica Biosystems BOND® RX instrument with an Opal™ 4-color kit. Image acquisition was performed with Leica SP8 confocal microscope.

Nuclear counter stain with DAPI.

Heat mediated antigen retrieval with Tris-EDTA buffer (pH 9.0, epitope retrieval solution2) for 20 mins.

Multiplex immunohistochemistry - Anti-CD20 antibody [SP32] (AB64088)
  • mIHC

Supplier Data

Multiplex immunohistochemistry - Anti-CD20 antibody [SP32] (AB64088)

This image was generated using ab236434, the same clone, but with a different buffer formulation. Multiplex immunohistochemistry analysis of formalin/PFA-fixed paraffin-embedded Rat spleen tissue labeling Sialoadhesin/CD169, CD3 epsilon and CD20 with ab312840 at 1/100 dilution, ab16669 at 1 : 150 dilution and ab236434 at 1 : 5000 dilution. Panel A : merged staining of anti-Sialoadhesin/CD169 (red; Opal™690), anti-CD3 epsilon (green; Opal™520) and anti-CD20 (gray; Opal™570) on rat spleen. Panel B : anti-Sialoadhesin/CD169 stained on macrophages. Panel C : anti-CD3 epsilon stained on T cells. Panel D : anti-CD20 stained on B cells. The section was incubated in three rounds of staining : in the order of ab312840, ab16669, and ab236434 for 30 mins at room temperature. Each round was followed by a separate fluorescent tyramide signal amplification system. The immunostaining was performed on a Leica Biosystems BOND® RX instrument with an Opal™ 4-color kit. Image acquisition was performed with Leica SP8 confocal microscope.

Multiplex immunohistochemistry - Anti-CD20 antibody [SP32] (AB64088)
  • mIHC

Supplier Data

Multiplex immunohistochemistry - Anti-CD20 antibody [SP32] (AB64088)

This image was generated using ab236434, the same clone, but with a different buffer formulation. Multiplex immunohistochemistry analysis of formalin/PFA-fixed paraffin-embedded Mouse spleen tissue labeling Sialoadhesin/CD169, CD3 epsilon and CD20 with ab312840 at 1/100 dilution, ab16669 at 1 : 150 dilution and ab236434 at 1 : 5000 dilution. Panel A : merged staining of anti-Sialoadhesin/CD169 (red; Opal™690), anti-CD3 epsilon (green; Opal™520) and anti-CD20 (gray; Opal™570) on mouse spleen. Panel B : anti-Sialoadhesin/CD169 stained on macrophages. Panel C : anti-CD3 epsilon stained on T cells. Panel D : anti-CD20 stained on B cells. The section was incubated in three rounds of staining : in the order of ab312840, ab16669, and ab236434 for 30 mins at room temperature. Each round was followed by a separate fluorescent tyramide signal amplification system. The immunostaining was performed on a Leica Biosystems BOND® RX instrument with an Opal™ 4-color kit. Image acquisition was performed with Leica SP8 confocal microscope.

Multiplex immunohistochemistry - Anti-CD20 antibody [SP32] (AB64088)
  • mIHC

Supplier Data

Multiplex immunohistochemistry - Anti-CD20 antibody [SP32] (AB64088)

Multiplex immunohistochemistry analysis of formalin/PFA-fixed paraffin-embedded rat spleen tissue staining CD3 with ab21703 at a 1/150 (0.06 ug/ml) dilution, ab318205 anti-TCR beta used at 1/500 (1.036 ug/ml) dilution and ab64088 anti-CD20 used at a 1/50 (0.2 ug/ml) dilution.

Panel A : merged staining of anti-CD3 (magenta; Opal™690), anti-TCR beta (green; Opal™520) and anti-CD20 (yellow; Opal™570) on rat spleen.
Panel B : anti-CD3 staining T lymphocytes in rat spleen.
Panel C : anti-TCR beta staining T lymphocytes in rat spleen.
Panel D : anti-CD20 staining B lymphocytes in rat spleen.
Nuclear DNA was labeled with DAPI (shown in blue).

The section was incubated in three rounds of staining : in the order of ab21703, ab318205 and ab64088 for 30 mins at room temperature. Each round was followed by a separate fluorescent tyramide signal amplification system.

The immunostaining was performed on a Leica Biosystems BOND® RX instrument with an Opal™ 4-color kit. Image acquisition was performed with Leica SP8 confocal microscope.

Nuclear counter stain with DAPI.

Heat mediated antigen retrieval with Tris-EDTA buffer (pH 9.0, epitope retrieval solution2) for 20 mins.

Multiplex immunohistochemistry - Anti-CD20 antibody [SP32] (AB64088)
  • mIHC

Supplier Data

Multiplex immunohistochemistry - Anti-CD20 antibody [SP32] (AB64088)

Multiplex immunohistochemistry analysis of formalin/PFA-fixed paraffin-embedded mouse spleen tissue staining CD3 with ab21703 at a 1/150 (0.06 ug/ml) dilution, ab318205 anti-TCR beta used at 1/500 (1.036 ug/ml) dilution and ab64088 anti-CD20 used at a 1/50 (0.2 ug/ml) dilution.

Panel A : merged staining of anti-CD3 (magenta; Opal™690), anti-TCR beta (green; Opal™520) and anti-CD20 (yellow; Opal™570) on mouse spleen.
Panel B : anti-CD3 staining T lymphocytes in mouse spleen.
Panel C : anti-TCR beta staining T lymphocytes in mouse spleen.
Panel D : anti-CD20 staining B lymphocytes in mouse spleen.
Nuclear DNA was labeled with DAPI (shown in blue).

The section was incubated in three rounds of staining : in the order of ab21703, ab318205 and ab64088 for 30 mins at room temperature. Each round was followed by a separate fluorescent tyramide signal amplification system.

The immunostaining was performed on a Leica Biosystems BOND® RX instrument with an Opal™ 4-color kit. Image acquisition was performed with Leica SP8 confocal microscope.

Nuclear counter stain with DAPI.

Heat mediated antigen retrieval with Tris-EDTA buffer (pH 9.0, epitope retrieval solution2) for 20 mins.

Immunohistochemistry (Formalin/PFA-fixed paraffin-embedded sections) - Anti-CD20 antibody [SP32] (AB64088)
  • IHC-P

Lab

Immunohistochemistry (Formalin/PFA-fixed paraffin-embedded sections) - Anti-CD20 antibody [SP32] (AB64088)

Immunohistochemical analysis of paraffin-embedded Rat spleen tissue labeling CD20 with ab64088 at 1/100 dilution.

Positive staining on rat spleen.

The section was incubated with ab64088 for 30 mins at room temperature.

The immunostaining was performed on a Leica Biosystems BOND® RX instrument.

Counterstained with Hematoxylin.

Heat mediated antigen retrieval was performed with Sodium-Citrate buffer (pH 6.0, Epitope Retrieval Solution1) for 10 mins.

Western blot - Anti-CD20 antibody [SP32] (AB64088)
  • WB

Unknown

Western blot - Anti-CD20 antibody [SP32] (AB64088)

All lanes:

Western blot - Anti-CD20 antibody [SP32] (ab64088) at 1/100 dilution

All lanes:

lysate prepared from Ramos cells

Predicted band size: 33 kDa

Observed band size: 33 kDa

false

Western blot - Anti-CD20 antibody [SP32] (AB64088)
  • WB

Lab

Western blot - Anti-CD20 antibody [SP32] (AB64088)

Western blot : Anti-MS4A1 antibody [SP32] (ab64088) staining at 1/1000 dilution, shown in green; Mouse anti-Alpha Tubulin [DM1A] (ab7291) loading control staining at 1/20000 dilution, shown in magenta. In Western blot, ab64088 was shown to bind specifically to MS4A1. A band was observed at 33 kDa in wild-type Raji cell lysates with no signal observed at this size in MS4A1 knockout cell line. To generate this image, wild-type and MS4A1 knockout Raji cell lysates were analysed. First, samples were run on an SDS-PAGE gel then transferred onto a nitrocellulose membrane. Membranes were blocked in 3 % milk in TBS-0.1 % Tween® 20 (TBS-T) before incubation with primary antibodies overnight at 4 °C. Blots were washed four times in TBS-T, incubated with secondary antibodies for 1 h at room temperature, washed again four times then imaged. Secondary antibodies used were Goat anti-Rabbit IgG H&L 800CW and Goat anti-Mouse IgG H&L 680RD at 1/20000 dilution.

All lanes:

Western blot - Anti-CD20 antibody [SP32] (ab64088) at 1/1000 dilution

Lane 1:

Wild-type Raji cell lysate

Lane 2:

MS4A1 knockout Raji cell lysate

Lane 2:

Western blot - Human MS4A1 (CD20) knockout Raji cell line (<a href='/products/cell-lines/human-ms4a1-cd20-knockout-raji-cell-line-ab273871'>ab273871</a>)

Lane 3:

Ramos cell lysate

Lane 4:

A549 cell lysate

Secondary

All lanes:

Goat anti-Rabbit IgG H&L 800CW and Goat anti-Mouse IgG H&L 680RD at 1/20000 dilution

false

不同偶联物与剂型 (9)

关键信息

宿主种属

Rabbit

克隆

Monoclonal

克隆号

SP32

亚型

IgG

不含载体蛋白

No

反应种属

Mouse, Rat, Cow, Dog, Human, Cat, Sheep

应用

IHC-P, WB, ICC/IF, IP, Flow Cyt (Intra), mIHC

applications

免疫原

The exact immunogen used to generate this antibody is proprietary information.

反应性数据

{ "title": "Reactivity Data", "filters": { "stats": ["", "Species", "Dilution Info", "Notes"], "tabs": { "all-applications": {"fullname" : "All Applications", "shortname": "All Applications"}, "mIHC" : {"fullname" : "Multiplex immunohistochemistry", "shortname":"mIHC"}, "IP" : {"fullname" : "Immunoprecipitation", "shortname":"IP"}, "IHCP" : {"fullname" : "Immunohistochemistry (Formalin/PFA-fixed paraffin-embedded sections)", "shortname":"IHC-P"}, "WB" : {"fullname" : "Western blot", "shortname":"WB"}, "ICCIF" : {"fullname" : "Immunocytochemistry/ Immunofluorescence", "shortname":"ICC/IF"}, "FlowCytIntra" : {"fullname" : "Flow Cytometry (Intracellular)", "shortname":"Flow Cyt (Intra)"} }, "product-promise": { "all": "all", "testedAndGuaranteed": "tested", "guaranteed": "expected", "predicted": "predicted", "notRecommended": "not-recommended" } }, "values": { "Human": { "mIHC-species-checked": "guaranteed", "mIHC-species-dilution-info": "", "mIHC-species-notes": "", "IP-species-checked": "testedAndGuaranteed", "IP-species-dilution-info": "1/30", "IP-species-notes": "<p></p>", "IHCP-species-checked": "testedAndGuaranteed", "IHCP-species-dilution-info": "1/100", "IHCP-species-notes": "<p></p> Perform heat-mediated antigen retrieval with citrate buffer pH 6 before commencing with IHC staining protocol.", "WB-species-checked": "testedAndGuaranteed", "WB-species-dilution-info": "", "WB-species-notes": "<p></p>", "ICCIF-species-checked": "testedAndGuaranteed", "ICCIF-species-dilution-info": "1/100", "ICCIF-species-notes": "<p></p>", "FlowCytIntra-species-checked": "testedAndGuaranteed", "FlowCytIntra-species-dilution-info": "1/40", "FlowCytIntra-species-notes": "<p><a href='/products/primary-antibodies/rabbit-igg-monoclonal-epr25a-isotype-control-ab172730'>ab172730</a> - Rabbit monoclonal IgG, is suitable for use as an isotype control with this antibody.</p>" }, "Mouse": { "mIHC-species-checked": "testedAndGuaranteed", "mIHC-species-dilution-info": "", "mIHC-species-notes": "<p></p>", "IP-species-checked": "guaranteed", "IP-species-dilution-info": "", "IP-species-notes": "", "IHCP-species-checked": "testedAndGuaranteed", "IHCP-species-dilution-info": "1/100", "IHCP-species-notes": "<p></p> Perform heat-mediated antigen retrieval with citrate buffer pH 6 before commencing with IHC staining protocol.", "WB-species-checked": "guaranteed", "WB-species-dilution-info": "", "WB-species-notes": "", "ICCIF-species-checked": "guaranteed", "ICCIF-species-dilution-info": "", "ICCIF-species-notes": "", "FlowCytIntra-species-checked": "testedAndGuaranteed", "FlowCytIntra-species-dilution-info": "1/40", "FlowCytIntra-species-notes": "<p><a href='/products/primary-antibodies/rabbit-igg-monoclonal-epr25a-isotype-control-ab172730'>ab172730</a> - Rabbit monoclonal IgG, is suitable for use as an isotype control with this antibody.</p>" }, "Rat": { "mIHC-species-checked": "testedAndGuaranteed", "mIHC-species-dilution-info": "", "mIHC-species-notes": "<p></p>", "IP-species-checked": "guaranteed", "IP-species-dilution-info": "", "IP-species-notes": "", "IHCP-species-checked": "testedAndGuaranteed", "IHCP-species-dilution-info": "1/100", "IHCP-species-notes": "<p></p> Perform heat-mediated antigen retrieval with citrate buffer pH 6 before commencing with IHC staining protocol.", "WB-species-checked": "guaranteed", "WB-species-dilution-info": "", "WB-species-notes": "", "ICCIF-species-checked": "guaranteed", "ICCIF-species-dilution-info": "", "ICCIF-species-notes": "", "FlowCytIntra-species-checked": "guaranteed", "FlowCytIntra-species-dilution-info": "", "FlowCytIntra-species-notes": "" }, "Cat": { "mIHC-species-checked": "guaranteed", "mIHC-species-dilution-info": "", "mIHC-species-notes": "", "IP-species-checked": "guaranteed", "IP-species-dilution-info": "", "IP-species-notes": "", "IHCP-species-checked": "testedAndGuaranteed", "IHCP-species-dilution-info": "1/100", "IHCP-species-notes": "<p></p> Perform heat-mediated antigen retrieval with Tris/EDTA buffer pH 9.0 before commencing with IHC staining protocol.", "WB-species-checked": "guaranteed", "WB-species-dilution-info": "", "WB-species-notes": "", "ICCIF-species-checked": "guaranteed", "ICCIF-species-dilution-info": "", "ICCIF-species-notes": "", "FlowCytIntra-species-checked": "guaranteed", "FlowCytIntra-species-dilution-info": "", "FlowCytIntra-species-notes": "" }, "Cow": { "mIHC-species-checked": "guaranteed", "mIHC-species-dilution-info": "", "mIHC-species-notes": "", "IP-species-checked": "guaranteed", "IP-species-dilution-info": "", "IP-species-notes": "", "IHCP-species-checked": "testedAndGuaranteed", "IHCP-species-dilution-info": "1/100", "IHCP-species-notes": "<p></p> Perform heat-mediated antigen retrieval with Tris/EDTA buffer pH 9.0 before commencing with IHC staining protocol.", "WB-species-checked": "guaranteed", "WB-species-dilution-info": "", "WB-species-notes": "", "ICCIF-species-checked": "guaranteed", "ICCIF-species-dilution-info": "", "ICCIF-species-notes": "", "FlowCytIntra-species-checked": "guaranteed", "FlowCytIntra-species-dilution-info": "", "FlowCytIntra-species-notes": "" }, "Dog": { "mIHC-species-checked": "guaranteed", "mIHC-species-dilution-info": "", "mIHC-species-notes": "", "IP-species-checked": "guaranteed", "IP-species-dilution-info": "", "IP-species-notes": "", "IHCP-species-checked": "testedAndGuaranteed", "IHCP-species-dilution-info": "1/100", "IHCP-species-notes": "<p></p> Perform heat-mediated antigen retrieval with Tris/EDTA buffer pH 9.0 before commencing with IHC staining protocol.", "WB-species-checked": "guaranteed", "WB-species-dilution-info": "", "WB-species-notes": "", "ICCIF-species-checked": "guaranteed", "ICCIF-species-dilution-info": "", "ICCIF-species-notes": "", "FlowCytIntra-species-checked": "guaranteed", "FlowCytIntra-species-dilution-info": "", "FlowCytIntra-species-notes": "" }, "Sheep": { "mIHC-species-checked": "guaranteed", "mIHC-species-dilution-info": "", "mIHC-species-notes": "", "IP-species-checked": "guaranteed", "IP-species-dilution-info": "", "IP-species-notes": "", "IHCP-species-checked": "testedAndGuaranteed", "IHCP-species-dilution-info": "1/100", "IHCP-species-notes": "<p></p> Perform heat-mediated antigen retrieval with Tris/EDTA buffer pH 9.0 before commencing with IHC staining protocol.", "WB-species-checked": "guaranteed", "WB-species-dilution-info": "", "WB-species-notes": "", "ICCIF-species-checked": "guaranteed", "ICCIF-species-dilution-info": "", "ICCIF-species-notes": "", "FlowCytIntra-species-checked": "guaranteed", "FlowCytIntra-species-dilution-info": "", "FlowCytIntra-species-notes": "" } } }

产品详情

Anti-CD20 antibody [SP32] (ab64088) was developed by Abcam using patented rabbit monoclonal antibody technology and is validated for use in Flow Cyt (Intra), ICC/IF, IHC-P, IP, WB, mIHC in human, mouse, rat samples.

Anti-CD20 antibody [SP32] (ab64088) has been cited over 24 times in peer reviewed journals and is trusted by the scientific community.

Abcam's high quality manufacturing and validation processes ensure Anti-CD20 antibody [SP32] (ab64088) has high sensitivity and specificity alongside high lot-to-lot consistency and reproducibility.

The specificity of Anti-CD20 antibody [SP32] (ab64088) has been confirmed by testing in knockout samples.

Anti-CD20 antibody [SP32] (ab64088) has 12 independent reviews from customers.

Anti-CD20 antibody [SP32] (ab64088) specifically detects CD20 (UniProt ID: P11836; Molecular weight: 33kDa) and is sold in a convenient trial size to enable initial testing (20 µL) and larger sizes for subsequent scaling up experiments (100 µL, 500 µL and 1 mL).

Conjugation-ready, carrier free format available for antibody clone SP32 - ab236434.

Antibody clone SP32 is also available pre-conjugated to a variety of labels for your convenience - PE, APC, HRP, Alexa Fluor® 488, Alkaline Phosphatase, Alexa Fluor® 594, Alexa Fluor® 555, Alexa Fluor® 568 (ab305647, ab305648, ab305649, ab307132, ab308806, ab310536, ab312067, ab312544).

Anti-CD20 antibody [SP32] (ab64088) is a clone from the portfolio of Spring Bioscience (Roche) SP clones which have been optimised for immunohistochemistry (IHC).

性能和储存信息

形式
Liquid
纯化工艺
Affinity purification Protein A/G
纯化说明
Purified from TCS by protein A/G.
存储溶液
pH: 7.6 Preservative: 0.1% Sodium azide Constituents: PBS, 1% BSA
运输条件
Blue Ice
推荐的短期储存条件
+4°C
推荐的长期储存条件
-20°C
分装信息
Upon delivery aliquot
储存信息
Avoid freeze / thaw cycle

补充信息

This supplementary information is collated from multiple sources and compiled automatically.

CD20 also known as MS4A1 or L26 is a membrane-spanning 4-domains subfamily A member 1 protein. It is a non-glycosylated phosphoprotein with a molecular mass of approximately 33-37 kDa. Expressed extensively on the surface of B-cells CD20 plays an important role in B-cell activation and regulation. While CD20 is absent on early pro-B cells and plasma cells its presence increases as B-cells mature. Anti-CD20 antibodies such as 2H7 are commonly used in research and treatment to deplete B-cells due to the target's consistent expression in most stages of B-cell development.
Biological function summary

CD20 contributes significantly to calcium ion transport which is essential for the activation process of B-cells. Although CD20 does not belong to a larger protein complex its role centers around forming a calcium channel that allows a sustained influx of calcium into the B-cells. This influx is important for the signaling pathways that govern B-cell activation proliferation and differentiation impacting the immune response efficacy.

Pathways

CD20 is closely involved in the B-cell receptor (BCR) signaling pathway and the Fc gamma R-mediated phagocytosis pathway. These pathways play vital roles in adaptive immunity and immune response modulation. CD20's interaction with proteins like PI3K during BCR signaling enhances receptor-mediated cellular signals subsequently influencing downstream effectors involved in cell growth and survival of B-cells.

CD20 is strongly linked to certain blood cancers and autoimmune diseases including non-Hodgkin's lymphoma and rheumatoid arthritis. These conditions often exploit aberrant B-cell activity or count. CD20's expression on malignant B-cells in non-Hodgkin's lymphoma makes it an effective target for monoclonal antibody therapies such as rituximab an anti-CD20 antibody. Additionally CD20-targeted therapies can help deplete pathogenic B-cells in rheumatoid arthritis highlighting the protein's relevance in disease treatment.

产品实验方案

For this product, it's our understanding that no specific protocols are required. You can visit:

靶点信息

B-lymphocyte-specific membrane protein that plays a role in the regulation of cellular calcium influx necessary for the development, differentiation, and activation of B-lymphocytes (PubMed : 12920111, PubMed : 3925015, PubMed : 7684739). Functions as a store-operated calcium (SOC) channel component promoting calcium influx after activation by the B-cell receptor/BCR (PubMed : 12920111, PubMed : 18474602, PubMed : 7684739).
See full target information MS4A1

文献 (66)

Recent publications for all applications. Explore the full list and refine your search

Nature communications 16:8918 PubMed41057358

2025

Neoadjuvant tislelizumab with afatinib for locally advanced head and neck squamous cell carcinoma (neoCHANCE-1): a phase 2 clinical trial.

Applications

Unspecified application

Species

Unspecified reactive species

Zhi-Gong Wei,Hui-Jiao Chen,De-Juan Wang,Zheng Jiang,Yi-Yan Pei,Le-Yu Li,Feng Wang,Jing Jin,Zhe-Ran Liu,Fei Chen,Jun Liu,Xing-Chen Peng

Journal of gastrointestinal oncology 16:1366-1379 PubMed40950351

2025

Effects of anlotinib combined with camrelizumab and chemotherapy as first-line treatment for advanced esophageal squamous cell carcinoma on tumor immune microenvironment.

Applications

Unspecified application

Species

Unspecified reactive species

Mingfang Xu,Yingda Liu,Xunjie Kuang,Xiuyong Liao,Xiaodong Zhao

World journal of gastrointestinal surgery 17:106898 PubMed40949356

2025

Effects of low-density lipoprotein cholesterol on lymph node metastasis after radical esophagectomy.

Applications

Unspecified application

Species

Unspecified reactive species

Xin-Jian Xu,Shi-Wei Liu,Jia-Qi Li,Ming He,Hui Wang,Qing-Ju Meng

Journal of cellular and molecular medicine 29:e70667 PubMed40751275

2025

A Novel LAMA2 Mutation (c.7412G>A) Was Found in a Chinese Patient With Congenital Muscular Dystrophy.

Applications

Unspecified application

Species

Unspecified reactive species

Meifang Zhao,Yuxing Liu,Liangliang Fan,Zhaochuan Liu,Yao Deng,Lihong Tao

Frontiers in cell and developmental biology 13:1579121 PubMed40655943

2025

Single-cell analysis reveals the spatiotemporal effects of long-term electromagnetic field exposure on the liver.

Applications

Unspecified application

Species

Unspecified reactive species

Mingming Zhang,Zhichun Lv,Lingping Zhao,Quan Zeng,Yunqiang Wu,Junnian Zhou,Jiafei Xi,Xuetao Pei,Haiyang Wang,Changyan Li,Wen Yue

Journal of toxicologic pathology 38:199-203 PubMed40606548

2025

Spontaneous T-cell lymphoblastic lymphoma in a young ICR mouse: a case report.

Applications

Unspecified application

Species

Unspecified reactive species

Minkyoung Sung,Joo-Hee Choi,Soo-Eun Sung,Kyung-Ku Kang,Sun Hee Park,Duyeol Kim,Sijoon Lee

Journal of inflammation research 18:8243-8262 PubMed40589609

2025

Exploration and Validation of Key Genes and Immune Infiltration in Alcoholic Hepatitis.

Applications

Unspecified application

Species

Unspecified reactive species

Yingna Mei,Yitao Zheng,Xingfen Zhang,Ting Hu,Xiaoqing Zheng,Cui Zhang,Qinzhi Deng

Molecular medicine (Cambridge, Mass.) 31:244 PubMed40542350

2025

Effect of anti-CD4 mAb induced by inhibiting B cell disorder on immune reconstruction of HIV-infected immunological non-responders.

Applications

Unspecified application

Species

Unspecified reactive species

Yi Ouyang,Kang Wu,Lei Fu,Panpan Yi,Da Cheng,Xiaoyu Fu

Journal of gastrointestinal oncology 16:386-403 PubMed40386587

2025

Prognostic role of tertiary lymphatic structures and their modulation by adjuvant FOLFOX in stage III colon cancer: a retrospective cohort study.

Applications

Unspecified application

Species

Unspecified reactive species

Chuang Zhang,Shao-Ke Wang,Nan Zun Teo,Matthew Yuan-Kun Wei,Hiroki Hashida,Chen-Feng Yu,Yan-Long Liu,Bin-Bin Cui

Xenotransplantation 32:e70040 PubMed40375624

2025

Quantitative Proteomic Analysis of Cardiac Xenograft Failure in a Pig-to-Non-Human Primate Model Identifies NF-κB as a Critical Immunomodulatory Target.

Applications

Unspecified application

Species

Unspecified reactive species

Hao Cui,Zirui Liu,Songren Shu,Xin Yan,Xiumeng Hua,Yuan Chang,Xiao Chen,Menghao Tao,Mingming Su,Mengxia Fu,Shengshou Hu,Jiangping Song
View all publications

Abcam Product Promise

我们致力于为您的研究提供高质量的试剂,为您科研的每一步提供支持。若我们的产品未能达到预期性能,我们向您提供 Abcam Product Promise 保障。
详情请参阅我们的条款与条件。

Please note: All products are 'FOR RESEARCH USE ONLY. NOT FOR USE IN DIAGNOSTIC OR THERAPEUTIC PROCEDURES'.

For licensing inquiries, please contact partnerships@abcam.com