JavaScript is disabled in your browser. Please enable JavaScript to view this website.
AB250917

重组Anti-CD1E抗体[EPR15746(B)] - BSA and Azide free

Anti-CD1E antibody [EPR15746(B)] - BSA and Azide free

Be the first to review this product! Submit a review

|

(1 Publication)

Rabbit Recombinant Monoclonal CD1E antibody. Carrier free. Suitable for IHC-P, WB and reacts with Rat, Human, Mouse samples. Cited in 1 publication.

查看别名

CD1e, hCD1e, R2G1, CD1E

4 Images
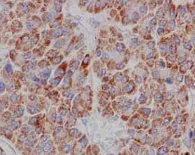
Immunohistochemistry (Formalin/PFA-fixed paraffin-embedded sections) - Anti-CD1E antibody [EPR15746(B)] - BSA and Azide free (AB250917)
  • IHC-P

Supplier Data

Immunohistochemistry (Formalin/PFA-fixed paraffin-embedded sections) - Anti-CD1E antibody [EPR15746(B)] - BSA and Azide free (AB250917)

This data was developed using ab187157, the same antibody clone in a different buffer formulation.

Immunohistochemical analysis of paraffin embedded Human hepatocellular carcinoma tissue sections labeling CD1E using ab187157 at a 1/50 dilution. A ready to use HRP Polymer for Rabbit IgG was used as the secondary. Hematoxylin counterstain.

Perform heat mediated antigen retrieval with citrate buffer pH 6 before commencing with IHC staining protocol.

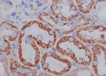
Immunohistochemistry (Formalin/PFA-fixed paraffin-embedded sections) - Anti-CD1E antibody [EPR15746(B)] - BSA and Azide free (AB250917)
  • IHC-P

Supplier Data

Immunohistochemistry (Formalin/PFA-fixed paraffin-embedded sections) - Anti-CD1E antibody [EPR15746(B)] - BSA and Azide free (AB250917)

This data was developed using ab187157, the same antibody clone in a different buffer formulation.

Immunohistochemical analysis of paraffin embedded rat kidney tissue sections labeling CD1E using ab187157 at a 1/50 dilution. A ready to use HRP Polymer for Rabbit IgG was used as the secondary. Hematoxylin counterstain.

Perform heat mediated antigen retrieval with citrate buffer pH 6 before commencing with IHC staining protocol.

Western blot - Anti-CD1E antibody [EPR15746(B)] - BSA and Azide free (AB250917)
  • WB

Supplier Data

Western blot - Anti-CD1E antibody [EPR15746(B)] - BSA and Azide free (AB250917)

This data was developed using ab187157, the same antibody clone in a different buffer formulation.

Produced under U.S. Patent No. 5,675,063.

All lanes:

Western blot - Anti-CD1E antibody [EPR15746(B)] (<a href='/products/primary-antibodies/cd1e-antibody-epr15746b-ab187157'>ab187157</a>) at 1/1000 dilution

Lane 1:

HUVEC cell lysate at 20 µg

Lane 2:

HepG2 cell lysate at 20 µg

Lane 3:

Jurkat cell lysate at 20 µg

Secondary

All lanes:

Goat Anti-Rabbit IgG, (H+L), Peroxidase conjugated at 1/1000 dilution

Predicted band size: 44 kDa

false

Western blot - Anti-CD1E antibody [EPR15746(B)] - BSA and Azide free (AB250917)
  • WB

Supplier Data

Western blot - Anti-CD1E antibody [EPR15746(B)] - BSA and Azide free (AB250917)

This data was developed using ab187157, the same antibody clone in a different buffer formulation.

Produced under U.S. Patent No. 5,675,063.

All lanes:

Western blot - Anti-CD1E antibody [EPR15746(B)] (<a href='/products/primary-antibodies/cd1e-antibody-epr15746b-ab187157'>ab187157</a>) at 1/1000 dilution

Lane 1:

RAW 264.7 cell lysate at 10 µg

Lane 2:

PC-12 cell lysate at 10 µg

Lane 3:

NIH/3T3 cell lysate at 10 µg

Secondary

All lanes:

Goat Anti-Rabbit IgG, (H+L), Peroxidase conjugated at 1/1000 dilution

Predicted band size: 44 kDa

false

不同偶联物与剂型 (1)

关键信息

宿主种属

Rabbit

克隆

Monoclonal

克隆号

EPR15746(B)

亚型

IgG

不含载体蛋白

Yes

反应种属

Mouse, Rat, Human

应用

IHC-P, WB

applications

免疫原

The exact immunogen used to generate this antibody is proprietary information.

反应性数据

{ "title": "Reactivity Data", "filters": { "stats": ["", "Species", "Dilution Info", "Notes"], "tabs": { "all-applications": {"fullname" : "All Applications", "shortname": "All Applications"}, "IHCP" : {"fullname" : "Immunohistochemistry (Formalin/PFA-fixed paraffin-embedded sections)", "shortname":"IHC-P"}, "WB" : {"fullname" : "Western blot", "shortname":"WB"} }, "product-promise": { "all": "all", "testedAndGuaranteed": "tested", "guaranteed": "expected", "predicted": "predicted", "notRecommended": "not-recommended" } }, "values": { "Human": { "IHCP-species-checked": "testedAndGuaranteed", "IHCP-species-dilution-info": "", "IHCP-species-notes": "<p></p>", "WB-species-checked": "testedAndGuaranteed", "WB-species-dilution-info": "", "WB-species-notes": "<p></p>" }, "Mouse": { "IHCP-species-checked": "guaranteed", "IHCP-species-dilution-info": "", "IHCP-species-notes": "", "WB-species-checked": "testedAndGuaranteed", "WB-species-dilution-info": "", "WB-species-notes": "<p></p>" }, "Rat": { "IHCP-species-checked": "testedAndGuaranteed", "IHCP-species-dilution-info": "", "IHCP-species-notes": "<p></p>", "WB-species-checked": "testedAndGuaranteed", "WB-species-dilution-info": "", "WB-species-notes": "<p></p>" } } }

产品详情

ab250917 is the carrier-free version of ab187157.

Patented technology
Our RabMAb® technology is a patented hybridoma-based technology for making rabbit monoclonal antibodies. For details on our patents, please refer to RabMAb® patents.

What are the advantages of a recombinant monoclonal antibody?
This product is a recombinant monoclonal antibody, which offers several advantages including:

  • - High batch-to-batch consistency and reproducibility
  • - Improved sensitivity and specificity
  • - Long-term security of supply
  • - Animal-free batch production

For more information, read more on recombinant antibodies.

Conjugation ready
Our carrier-free antibodies are typically supplied in a PBS-only formulation, purified and free of BSA, sodium azide and glycerol. This conjugation-ready format is designed for use with fluorochromes, metal isotopes, oligonucleotides, and enzymes, which makes them ideal for antibody labelling, functional and cell-based assays, flow-based assays (e.g. mass cytometry) and Multiplex Imaging applications.

Use our conjugation kits for antibody conjugates that are ready-to-use in as little as 20 minutes with 1 minute hands-on-time and 100% antibody recovery: available for fluorescent dyes, HRP, biotin and gold.

Compatibility
This product is compatible with the Maxpar® Antibody Labeling Kit from Fluidigm, without the need for antibody preparation. Maxpar® is a trademark of Fluidigm Canada Inc.

性能和储存信息

形式
Liquid
纯化工艺
Affinity purification Protein A
存储溶液
pH: 7.2 - 7.4 Constituents: PBS
运输条件
Blue Ice
推荐的短期储存条件
+4°C
推荐的长期储存条件
+4°C
储存信息
Do Not Freeze

补充信息

This supplementary information is collated from multiple sources and compiled automatically.

CD1E also known as CD1e is a member of the CD1 family of glycoproteins. It has a molecular mass of approximately 37 kDa. CD1E is expressed mainly in the endosomes of antigen-presenting cells such as dendritic cells and macrophages. It plays an essential role in lipid antigen processing inside the cells. By facilitating the presentation of lipid antigens to T cells CD1E helps modulate immune responses.
Biological function summary

CD1E functions as part of a larger protein complex involved in the immune system. In its role it assists in the sorting and processing of lipid antigens derived from various pathogens and endogenous sources. This activity promotes the presentation of these antigens on the cell surface enabling them to be recognized by CD1-restricted T cells. Such interactions are important for developing adaptive immune responses.

Pathways

CD1E participates in antigen processing and presentation pathways which are necessary for immune surveillance. It works closely with other CD1 family members like CD1a and CD1b to ensure the diverse display of lipid antigens to T cells. This collaboration is critical for initiating T cell-mediated immune responses against lipid-based antigens bridging innate and adaptive immunity.

CD1E has been linked to the progression and pathogenesis of certain autoimmune diseases like multiple sclerosis and rheumatoid arthritis. Dysfunction in the CD1E-mediated antigen processing pathway may lead to improper immune activation and self-reactivity. Additionally CD1E is associated with infectious diseases such as tuberculosis where it could interact with Mycobacterium tuberculosis lipids. Proteins like CD1b can influence CD1E function during these disease processes impacting the overall balance of immune responses.

产品实验方案

For this product, it's our understanding that no specific protocols are required. You can visit:

靶点信息

T-cell surface glycoprotein CD1e, soluble binds diacetylated lipids, including phosphatidyl inositides and diacylated sulfoglycolipids, and is required for the presentation of glycolipid antigens on the cell surface. The membrane-associated form is not active.
See full target information CD1E

文献 (1)

Recent publications for all applications. Explore the full list and refine your search

Journal of radiation research 64:833-841 PubMed37439405

2023

Expression of TMEM59L associated with radiosensitive in glioblastoma.

Applications

Unspecified application

Species

Unspecified reactive species

Dezhi Gao,Peng Wang,Lin Zhi,Shibin Sun,Xiaoguang Qiu,Yanwei Liu
View all publications

Abcam Product Promise

我们致力于为您的研究提供高质量的试剂,为您科研的每一步提供支持。若我们的产品未能达到预期性能,我们向您提供 Abcam Product Promise 保障。
详情请参阅我们的条款与条件。

Please note: All products are 'FOR RESEARCH USE ONLY. NOT FOR USE IN DIAGNOSTIC OR THERAPEUTIC PROCEDURES'.

For licensing inquiries, please contact partnerships@abcam.com