JavaScript is disabled in your browser. Please enable JavaScript to view this website.
AB134114

Anti-CD19 抗体 [EPR5906]

Anti-CD19 antibody [EPR5906]

  • BOND RX™ Validated
  • RabMAb
  • Recombinant
  • Lab Essentials
  • 20ul selling size
  • 了解详情

4

(5 Reviews)

|

(81 Publications)

Anti-CD19 antibody [EPR5906] (ab134114) is a rabbit monoclonal antibody detecting CD19 in Western Blot, Flow Cytometry (Intra), Flow Cytometry, IHC-P, IHC-Fr, ICC/IF. Suitable for Human.

- Biophysical QC for unrivalled batch-batch consistency
- Over 50 publications

查看别名

CD19, B-lymphocyte antigen CD19, B-lymphocyte surface antigen B4, Differentiation antigen CD19, T-cell surface antigen Leu-12

13 Images
Flow Cytometry (Intracellular) - Anti-CD19 antibody [EPR5906] (AB134114)
  • Flow Cyt (Intra)

Supplier Data

Flow Cytometry (Intracellular) - Anti-CD19 antibody [EPR5906] (AB134114)

Intracellular Flow Cytometry analysis of Raji cells (Human Burkitt's lymphoma B lymphocyte)labelling CD19 with ab134114 at 1/1000 dilution, 1.186μg/ml (red). Cells were fixed with 4% paraformaldehyde, permeabilised with 90% methanol. Goat anti rabbit IgG (Alexa Fluor® 488, ab150077) was used as the secondary antibody at 1/2000.

Isotype control (black) - Rabbit monoclonal IgG (ab172730)

Unlabeled control (blue) - Unlabelled cells

Immunohistochemistry (Formalin/PFA-fixed paraffin-embedded sections) - Anti-CD19 antibody [EPR5906] (AB134114)
  • IHC-P

Unknown

Immunohistochemistry (Formalin/PFA-fixed paraffin-embedded sections) - Anti-CD19 antibody [EPR5906] (AB134114)

Immunohistochemistry (Formalin/PFA-fixed paraffin-embedded sections) analysis of human diffuse large B-cell lymphoma tissue labelling CD19 with unpurified ab134114.

Perform heat mediated antigen retrieval before commencing with IHC staining protocol.

Immunohistochemistry (Formalin/PFA-fixed paraffin-embedded sections) - Anti-CD19 antibody [EPR5906] (AB134114)
  • IHC-P

Unknown

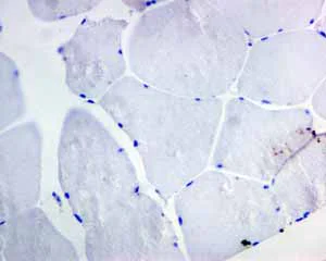
Immunohistochemistry (Formalin/PFA-fixed paraffin-embedded sections) - Anti-CD19 antibody [EPR5906] (AB134114)

Immunohistochemical analysis of paraffin embedded human skeletal muscle tissue using unpurified ab134114 showing negative staining.

Perform heat mediated antigen retrieval before commencing with IHC staining protocol.

Immunocytochemistry/ Immunofluorescence - Anti-CD19 antibody [EPR5906] (AB134114)
  • ICC/IF

Lab

Immunocytochemistry/ Immunofluorescence - Anti-CD19 antibody [EPR5906] (AB134114)

Immunocytochemistry/Immunofluorescence analysis of Raji cells labelling CD19 with purified ab134114 at a dilution of 1/500. Cells were fixed with 4% paraformaldehyde and permeabilized with 0.1% Triton X-100. ab150077 an Alexa Fluor® 488-conjugated goat anti-rabbit IgG (1/1000) was used as the secondary antibody. DAPI (blue) was used as the nuclear counterstain. ab7291 a mouse anti-tubulin (1/1000) and ab150120 an Alexa Fluor® 594-conjugated goat anti-mouse IgG (1/1000) were also used.

Control 1 : primary antibody (1/500) and secondary antibody ab150120 an Alexa Fluor® 594-conjugated goat anti-mouse IgG (1/1000).

Control 2 : ab7291 (1/1000) and secondary antibody ab150077 an Alexa Fluor® 488-conjugated goat anti-rabbit IgG (1/1000).

Immunohistochemistry (Formalin/PFA-fixed paraffin-embedded sections) - Anti-CD19 antibody [EPR5906] (AB134114)
  • IHC-P

Lab

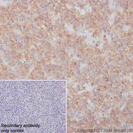
Immunohistochemistry (Formalin/PFA-fixed paraffin-embedded sections) - Anti-CD19 antibody [EPR5906] (AB134114)

Immunohistochemistry (Formalin/PFA-fixed paraffin-embedded sections) analysis of human tonsil tissue labelling CD19 with purified ab134114 at a dilution of 1/500. Heat mediated antigen retrieval was performed using EDTA buffer pH 9. ab97051 a HRP-conjugated goat anti-rabbit IgG (H+L) was used as the secondary antibody (1/500). Negative control using PBS instead of primary antibody. Counterstained with hematoxylin.

Immunohistochemistry (Frozen sections) - Anti-CD19 antibody [EPR5906] (AB134114)
  • IHC-Fr

Lab

Immunohistochemistry (Frozen sections) - Anti-CD19 antibody [EPR5906] (AB134114)

IHC image of ab134114 staining CD19 in human heart frozen tissue sections, performed on a Leica Biosystems BOND® RX instrument. The section was incubated with ab134114 at 1μg/ml for 30 mins at room temperature and detected using an HRP conjugated compact polymer system (Bond™ Polymer Refine Detection). DAB was used as the chromogen. No staining in human heart (negative tissue) was observed. The section was then counterstained with haematoxylin and mounted with DPX. No primary antibody was used in the secondary only control (shown on the inset).

For other IHC staining systems (automated and non-automated) customers should optimize variable parameters such as antigen retrieval conditions, primary antibody concentration and antibody incubation times.

Immunohistochemistry (Formalin/PFA-fixed paraffin-embedded sections) - Anti-CD19 antibody [EPR5906] (AB134114)
  • IHC-P

Lab

Immunohistochemistry (Formalin/PFA-fixed paraffin-embedded sections) - Anti-CD19 antibody [EPR5906] (AB134114)

Negative tissue : Immunohistochemistry (Formalin/PFA-fixed paraffin-embedded sections) analysis of human liver tissue labelling CD19 with purified ab134114 at a dilution of 1/500. Heat mediated antigen retrieval was performed using EDTA buffer pH 9. ab97051 a HRP-conjugated goat anti-rabbit IgG (H+L) was used as the secondary antibody (1/500). Negative control using PBS instead of primary antibody. Counterstained with hematoxylin.

Immunohistochemistry (Formalin/PFA-fixed paraffin-embedded sections) - Anti-CD19 antibody [EPR5906] (AB134114)
  • IHC-P

Unknown

Immunohistochemistry (Formalin/PFA-fixed paraffin-embedded sections) - Anti-CD19 antibody [EPR5906] (AB134114)

Immunohistochemistry (Formalin/PFA-fixed paraffin-embedded sections) analysis of human spleen tissue labelling CD19 with unpurified ab134114.

Perform heat mediated antigen retrieval before commencing with IHC staining protocol.

Immunohistochemistry (Formalin/PFA-fixed paraffin-embedded sections) - Anti-CD19 antibody [EPR5906] (AB134114)
  • IHC-P

Unknown

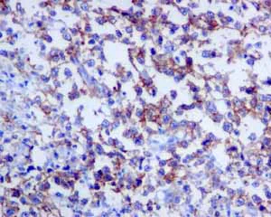
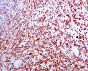
Immunohistochemistry (Formalin/PFA-fixed paraffin-embedded sections) - Anti-CD19 antibody [EPR5906] (AB134114)

Immunohistochemistry (Formalin/PFA-fixed paraffin-embedded sections) analysis of human B-cell chronic lymphocytic leukaemia tissue labelling CD19 with unpurified ab134114.

Perform heat mediated antigen retrieval before commencing with IHC staining protocol.

Immunohistochemistry (Frozen sections) - Anti-CD19 antibody [EPR5906] (AB134114)
  • IHC-Fr

Lab

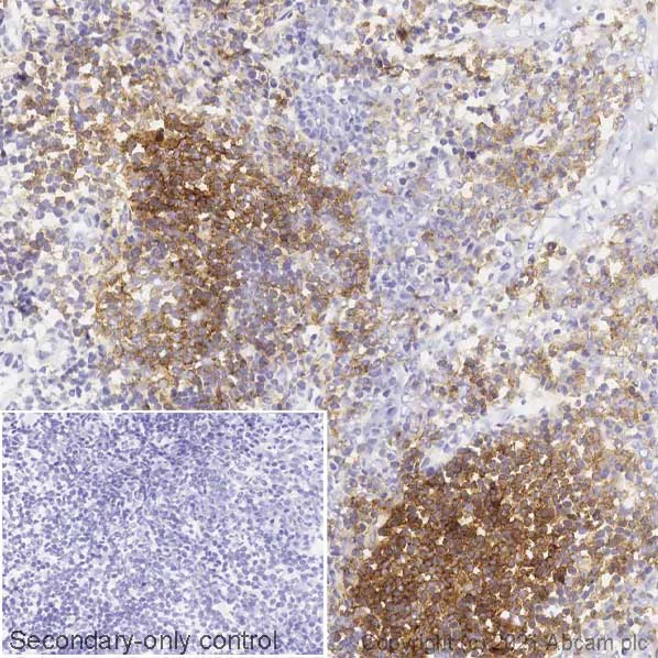
Immunohistochemistry (Frozen sections) - Anti-CD19 antibody [EPR5906] (AB134114)

IHC image of ab134114 staining CD19 in human tonsil frozen tissue sections, performed on a Leica Biosystems BOND® RX instrument. The section was incubated with ab134114 at 1μg/ml for 30 mins at room temperature and detected using an HRP conjugated compact polymer system (Bond™ Polymer Refine Detection). DAB was used as the chromogen. Positive membrane staining was seen in human tonsil. The section was then counterstained with haematoxylin and mounted with DPX. No primary antibody was used in the secondary only control (shown on the inset).

For other IHC staining systems (automated and non-automated) customers should optimize variable parameters such as antigen retrieval conditions, primary antibody concentration and antibody incubation times.

Immunohistochemistry (Formalin/PFA-fixed paraffin-embedded sections) - Anti-CD19 antibody [EPR5906] (AB134114)
  • IHC-P

Unknown

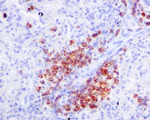
Immunohistochemistry (Formalin/PFA-fixed paraffin-embedded sections) - Anti-CD19 antibody [EPR5906] (AB134114)

Immunohistochemistry (Formalin/PFA-fixed paraffin-embedded sections) analysis of human tonsil tissue labelling CD19 with unpurified ab134114 at a dilution of 1/250.

Perform heat mediated antigen retrieval before commencing with IHC staining protocol.

Western blot - Anti-CD19 antibody [EPR5906] (AB134114)
  • WB

Lab

Western blot - Anti-CD19 antibody [EPR5906] (AB134114)

Blocking and dilution buffer : 5% NFDM/TBST

All lanes:

Western blot - Anti-CD19 antibody [EPR5906] (ab134114) at 1/5000 dilution

Lane 1:

Namalwa whole cell lysate at 20 µg

Lane 2:

Daudi whole cell lysate at 20 µg

Secondary

All lanes:

Peroxidase-conjugated goat anti-rabbit IgG (H+L) at 1/1000 dilution

Predicted band size: 61 kDa

Observed band size: 95 kDa

false

Western blot - Anti-CD19 antibody [EPR5906] (AB134114)
  • WB

Lab

Western blot - Anti-CD19 antibody [EPR5906] (AB134114)

Exposure time :Lane 1-3 : 3 minutes
Lane 4 : 30 seconds

Jurkat is a CD19 null cell line according to the paper (PMID : 19147785).

Lanes 1 - 3:

Western blot - Anti-CD19 antibody [EPR5906] (ab134114) at 1/10000 dilution

Lane 4:

Western blot - Anti-CD19 antibody [EPR5906] (ab134114) at 1/2000 dilution

Lane 1:

NAMALWA (Human Burkitt's lymphoma) whole cell lysate) at 20 µg

Lane 2:

Human tonsil tissue lysate at 20 µg

Lane 3:

Jurkat (Human acute T cell leukemia)whole cell lysate at 20 µg

Lane 4:

RAMOS (Human Burkitt's lymphoma) whole cell lysate at 20 µg

Secondary

All lanes:

Western blot - Goat Anti-Rabbit IgG H&L (HRP) (<a href='/products/secondary-antibodies/goat-rabbit-igg-h-l-hrp-ab97051'>ab97051</a>) at 1/20000 dilution

Predicted band size: 61 kDa

Observed band size: 95 kDa

false

不同偶联物与剂型 (8)

  • 565 Alexa Fluor® 555

    Alexa Fluor® 555 Anti-CD19 antibody [EPR5906]

  • HRP

    HRP Anti-CD19 antibody [EPR5906]

  • Carrier free

    Anti-CD19 antibody [EPR5906] - BSA and Azide free

  • 665 Alexa Fluor® 647

    Alexa Fluor® 647 Anti-CD19 antibody [EPR5906]

  • 519 Alexa Fluor® 488

    Alexa Fluor® 488 Anti-CD19 antibody [EPR5906]

  • 660 APC

    APC Anti-CD19 antibody [EPR5906]

  • 578 PE

    PE Anti-CD19 antibody [EPR5906]

  • Carrier free

    Anti-CD19 antibody [EPR5906] - Low endotoxin, Azide free

关键信息

宿主种属

Rabbit

克隆

Monoclonal

克隆号

EPR5906

亚型

IgG

不含载体蛋白

No

反应种属

Human

应用

WB, IHC-Fr, ICC/IF, Flow Cyt (Intra), IHC-P

applications

免疫原

The exact immunogen used to generate this antibody is proprietary information.

反应性数据

{ "title": "Reactivity Data", "filters": { "stats": ["", "Species", "Dilution Info", "Notes"], "tabs": { "all-applications": {"fullname" : "All Applications", "shortname": "All Applications"}, "IHCP" : {"fullname" : "Immunohistochemistry (Formalin/PFA-fixed paraffin-embedded sections)", "shortname":"IHC-P"}, "IP" : {"fullname" : "Immunoprecipitation", "shortname":"IP"}, "WB" : {"fullname" : "Western blot", "shortname":"WB"}, "ICCIF" : {"fullname" : "Immunocytochemistry/ Immunofluorescence", "shortname":"ICC/IF"}, "IHCFr" : {"fullname" : "Immunohistochemistry (Frozen sections)", "shortname":"IHC-Fr"}, "FlowCytIntra" : {"fullname" : "Flow Cytometry (Intracellular)", "shortname":"Flow Cyt (Intra)"} }, "product-promise": { "all": "all", "testedAndGuaranteed": "tested", "guaranteed": "expected", "predicted": "predicted", "notRecommended": "not-recommended" } }, "values": { "Human": { "IHCP-species-checked": "testedAndGuaranteed", "IHCP-species-dilution-info": "1/250 - 1/500", "IHCP-species-notes": "<p></p> Perform heat-mediated antigen retrieval before commencing with IHC staining protocol.", "IP-species-checked": "notRecommended", "IP-species-dilution-info": "1/10 - 1/100", "IP-species-notes": "<p></p>", "WB-species-checked": "testedAndGuaranteed", "WB-species-dilution-info": "1/1000 - 1/10000", "WB-species-notes": "<p></p>", "ICCIF-species-checked": "testedAndGuaranteed", "ICCIF-species-dilution-info": "1/500 - 1/1000", "ICCIF-species-notes": "<p></p>", "IHCFr-species-checked": "testedAndGuaranteed", "IHCFr-species-dilution-info": "1 µg/mL", "IHCFr-species-notes": "<p></p>", "FlowCytIntra-species-checked": "testedAndGuaranteed", "FlowCytIntra-species-dilution-info": "", "FlowCytIntra-species-notes": "<p></p>" } } }

产品详情

Anti-CD19 antibody [EPR5906] (ab134114) was developed by Abcam using patented rabbit monoclonal antibody technology and is validated for use in Flow Cyt (Intra), ICC/IF, IHC-Fr, IHC-P, WB in human samples.

Anti-CD19 antibody [EPR5906] (ab134114) has been cited over 54 times in peer reviewed journals and is trusted by the scientific community.

Abcam's high quality manufacturing and validation processes ensure Anti-CD19 antibody [EPR5906] (ab134114) has high sensitivity and specificity alongside high lot-to-lot consistency and reproducibility.

Anti-CD19 antibody [EPR5906] (ab134114) has 5 independent reviews from customers.

Anti-CD19 antibody [EPR5906] (ab134114) specifically detects CD19 (UniProt ID: P15391; Molecular weight: 59kDa) and is sold in a convenient trial size to enable initial testing (20 µL) and larger sizes for subsequent scaling up experiments (100 µL and 1 mL).

Conjugation-ready, carrier free format available for antibody clone EPR5906 - ab271904.

Antibody clone EPR5906 is also available pre-conjugated to a variety of labels for your convenience - HRP, Alexa Fluor® 488, Alexa Fluor® 647, Alexa Fluor® 555, APC (ab195896, ab196468, ab196515, ab274888, ab317484).

Patented technology
Our RabMAb® technology is a patented hybridoma-based technology for making rabbit monoclonal antibodies. For details on our patents, please refer to RabMAb® patents.

What are the advantages of a recombinant monoclonal antibody?
This product is a recombinant monoclonal antibody, which offers several advantages including:

  • - High batch-to-batch consistency and reproducibility
  • - Improved sensitivity and specificity
  • - Long-term security of supply
  • - Animal-free batch production

For more information, read more on recombinant antibodies.

性能和储存信息

形式
Liquid
纯化工艺
Affinity purification Protein A
存储溶液
pH: 7.2 - 7.4 Preservative: 0.01% Sodium azide Constituents: PBS, 40% Glycerol (glycerin, glycerine), 0.05% BSA
运输条件
Blue Ice
推荐的短期储存时间
1-2 weeks
推荐的短期储存条件
+4°C
推荐的长期储存条件
-20°C
分装信息
Upon delivery aliquot
储存信息
Stable for 12 months at -20°C

补充信息

This supplementary information is collated from multiple sources and compiled automatically.

CD19 is a transmembrane protein also known as B4 or B-lymphocyte antigen CD19 with an approximate molecular weight of 95 kDa. It is expressed on the surface of B cells throughout their development from pro-B cells to mature B cells. CD19 functions mechanically as a coreceptor enhancing the sensitivity of B cell receptor (BCR) signaling. This protein plays a significant role in promoting the activation and proliferation of B cells by lowering the threshold for antigen receptor engagement.
Biological function summary

CD19 acts as an essential player in B cell signaling. CD19 integrates signals from the BCR with other coreceptors acting as a signaling hub. It participates in forming a signaling complex that includes proteins like CD21 and CD81 which further amplifies BCR-mediated signaling. This complex plays a critical role in B cell activation differentiation and survival ensuring that immune responses are efficiently mounted against pathogens.

Pathways

The CD19 protein fits into key immune response pathways such as the BCR signaling pathway and the PI3K-Akt signaling pathway. CD19 collaborates with other proteins like CD21 CD81 and PI3K within these pathways. Its interaction in the PI3K-Akt pathway for instance supports critical processes including B cell activation and homeostasis contributing to the adaptive immune response.

CD19 is connected to B cell malignancies and autoimmune diseases. B cell acute lymphoblastic leukemia (ALL) often shows aberrant CD19 expression making it a valuable target for therapeutic interventions like anti-CD19 monoclonal antibodies. Additionally overexpression or mutations of CD19 may contribute to autoimmune diseases by disrupting normal B cell regulation. CD19's connection with proteins like CD22 and CD20 in these pathological contexts highlights its relevance in developing targeted therapies.

产品实验方案

For this product, it's our understanding that no specific protocols are required. You can visit:

靶点信息

Functions as a coreceptor for the B-cell antigen receptor complex (BCR) on B-lymphocytes (PubMed : 29523808). Decreases the threshold for activation of downstream signaling pathways and for triggering B-cell responses to antigens (PubMed : 1373518, PubMed : 16672701, PubMed : 2463100). Activates signaling pathways that lead to the activation of phosphatidylinositol 3-kinase and the mobilization of intracellular Ca(2+) stores (PubMed : 12387743, PubMed : 16672701, PubMed : 9317126, PubMed : 9382888). Is not required for early steps during B cell differentiation in the blood marrow (PubMed : 9317126). Required for normal differentiation of B-1 cells (By similarity). Required for normal B cell differentiation and proliferation in response to antigen challenges (PubMed : 1373518, PubMed : 2463100). Required for normal levels of serum immunoglobulins, and for production of high-affinity antibodies in response to antigen challenge (PubMed : 12387743, PubMed : 16672701, PubMed : 9317126).
See full target information CD19

文献 (81)

Recent publications for all applications. Explore the full list and refine your search

Clinical and translational medicine 15:e70464 PubMed40985995

2025

CD103CD8 tissue-resident memory T lymphocytes of melanoma boost anti-tumour immunity and predict immunotherapy outcomes.

Applications

Unspecified application

Species

Unspecified reactive species

Tianyi Zhang,Junquan Song,Yinlam Li,Kangjie Shen,Jiangying Xuan,Yuan Gao,Lili Lu,Zhi Pang,Lu Wang,Yang Yang,Zixu Gao,Qianrong Hu,Yu Zhu,Chenlu Wei,Shaoluan Zheng,Rongkui Luo,Yingyong Hou,Yuhong Zhou,Chuanyuan Wei,Jianying Gu

Scientific reports 15:23978 PubMed40615537

2025

The role of regulatory B cell/T follicular helper cell balance in thymoma and thymoma-associated myasthenia gravis.

Applications

Unspecified application

Species

Unspecified reactive species

Peng Zhang,Yuxin Liu,ZiYou Tao,Xinyu Zhang,Yuanguo Wang,Hui Zhang,Jian Li,Zhaoyu Yang,Kai Xiong,Shuning Duan,Zeyang Zhang,Yan Wang,Huan Wang

Acta neuropathologica 149:52 PubMed40434526

2025

Thalamic atrophy in multiple sclerosis is associated with tract disconnection and altered microglia.

Applications

Unspecified application

Species

Unspecified reactive species

Carla Rodriguez-Mogeda,Ismail Koubiyr,Stefanos E Prouskas,Margarita Georgallidou,Susanne M A van der Pol,Rosalia Franco Fernandez,Yvon Galis de Graaf,Ysbrand D van der Werf,Laura E Jonkman,Geert J Schenk,Frederik Barkhof,Hanneke E Hulst,Maarten E Witte,Menno M Schoonheim,Helga E de Vries

Communications biology 8:394 PubMed40057671

2025

Single-cell analysis reveals transcriptomic features and therapeutic targets in primary pulmonary lymphoepithelioma-like carcinoma.

Applications

Unspecified application

Species

Unspecified reactive species

Binghua Tan,Ke Xu,Yingcheng Lyu,Yicheng Liang,Ruihao Liang,Kai Lei,Jialu Liang,Jing Huang,Kefeng Wang,Duoguang Wu,Wenjian Wang,Xueting Hu,Kexi Wang,Minghui Wang,Huayue Lin

Journal of translational medicine 23:61 PubMed39806464

2025

The microenvironment cell index is a novel indicator for the prognosis and therapeutic regimen selection of cancers.

Applications

Unspecified application

Species

Unspecified reactive species

Xian-Yan Yang,Nian Chen,Qian Wen,Yu Zhou,Tao Zhang,Ji Zhou,Cheng-Hui Liang,Li-Ping Han,Xiao-Ya Wang,Qing-Mei Kang,Xiao-Xia Zheng,Xue-Jia Zhai,Hong-Ying Jiang,Tian-Hua Shen,Jin-Wei Xiao,Yu-Xin Zou,Yun Deng,Shuang Lin,Jiang-Jie Duan,Jun Wang,Shi-Cang Yu

Cancers 17: PubMed39796740

2025

Richness for Tumor-Infiltrating B-Cells in the Oral Cancer Tumor Microenvironment Is a Prognostic Factor in Early-Stage Disease and Improves Outcome in Advanced-Stage Disease.

Applications

Unspecified application

Species

Unspecified reactive species

Irene H Nauta,Dennis N L M Nijenhuis,Sonja H Ganzevles,Pamela I Raaff,Jan Kloosterman,Elisabeth Bloemena,Ruud H Brakenhoff,C René Leemans,Rieneke van de Ven

Neoplasia (New York, N.Y.) 60:101119 PubMed39733690

2024

Comparison of differences in transcriptional and genetic profiles between intra-central nervous system and extra-central nervous system large B-cell lymphoma.

Applications

Unspecified application

Species

Unspecified reactive species

Shu Wang,Hong Chen,Bo Dai,Kang Zheng,Jiajun Zheng,Yuqi Zhu,Yan Yuan,Tianling Ding,Qian Wang,Liqian Xie,Rui Feng,Fengping Zhu,Jianbin Xiang,Weiqun Ding,Hong Ding,Yuan Li,Xiaodong Gu,Kunpeng Wu,Yifan Yuan,Jianping Song,Dongxiao Zhuang,Haoshu Zhong,Hanfeng Wu,Ying Mao,Tong Chen

Scientific reports 14:25540 PubMed39462090

2024

Intrathecal IgG and IgM synthesis correlates with neurodegeneration markers and corresponds to meningeal B cell presence in MS.

Applications

Unspecified application

Species

Unspecified reactive species

Carla Rodriguez-Mogeda,Melissa Mj van Gool,Richard van der Mast,Rutger Nijland,Zoë Keasberry,Lisanne van de Bovekamp,Myrthe Am van Delft,Carmen Picon,Richard Reynolds,Joep Killestein,Charlotte E Teunissen,Helga E de Vries,Marjolein van Egmond,Maarten E Witte

Cancer communications (London, England) 44:1287-1310 PubMed39285586

2024

Local TSH/TSHR signaling promotes CD8 T cell exhaustion and immune evasion in colorectal carcinoma.

Applications

Unspecified application

Species

Unspecified reactive species

Sisi Zeng,Huiling Hu,Zhiyang Li,Qi Hu,Rong Shen,Mingzhou Li,Yunshi Liang,Zuokang Mao,Yandong Zhang,Wanqi Zhan,Qin Zhu,Feifei Wang,Jianbiao Xiao,Bohan Xu,Guanglong Liu,Yanan Wang,Bingsong Li,Shaowan Xu,Zhaowen Zhang,Ceng Zhang,Zhizhang Wang,Li Liang

STAR protocols 5:103190 PubMed39002133

2024

Protocol for iterative indirect immunofluorescence imaging in cultured cells, tissue sections, and metaphase chromosome spreads.

Applications

Unspecified application

Species

Unspecified reactive species

Jeffrey Hsu,Kimberly T Nguyen,Magda Bujnowska,Kevin A Janes,Mohammad Fallahi-Sichani
View all publications

Abcam Product Promise

我们致力于为您的研究提供高质量的试剂,为您科研的每一步提供支持。若我们的产品未能达到预期性能,我们向您提供 Abcam Product Promise 保障。
详情请参阅我们的条款与条件。

Please note: All products are 'FOR RESEARCH USE ONLY. NOT FOR USE IN DIAGNOSTIC OR THERAPEUTIC PROCEDURES'.

For licensing inquiries, please contact partnerships@abcam.com