JavaScript is disabled in your browser. Please enable JavaScript to view this website.
AB198507

重组Anti-CD16抗体[EPR16784] - C-terminal

Anti-CD16 antibody [EPR16784] - C-terminal

  • BOND RX™ Validated
  • 20ul selling size
  • RabMAb
  • Recombinant
  • 了解详情

Be the first to review this product! Submit a review

|

(4 Publications)

Rabbit Recombinant Monoclonal CD16a antibody. C-terminal. Suitable for WB, IHC-P and reacts with Human, Rat samples. Cited in 4 publications.

查看别名

CD16a, CD16A, FCG3, FCGR3, IGFR3, FCGR3A, Low affinity immunoglobulin gamma Fc region receptor III-A, IgG Fc receptor III-A, CD16-II, CD16a antigen, Fc-gamma RIII-alpha, FcR-10, IgG Fc receptor III-2, Fc-gamma RIII, Fc-gamma RIIIa, FcRIII, FcRIIIa, FcgammaRIIIA

6 Images
Immunohistochemistry (Formalin/PFA-fixed paraffin-embedded sections) - Anti-CD16 antibody [EPR16784] - C-terminal (AB198507)
  • IHC-P

Supplier Data

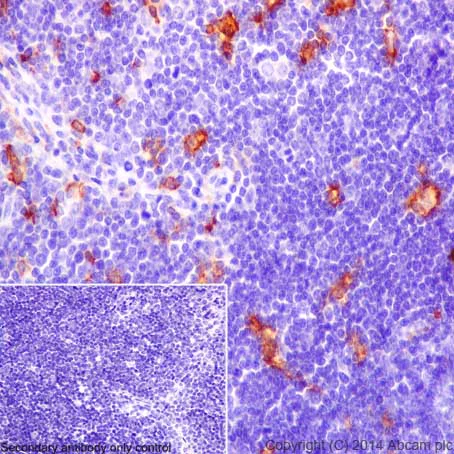
Immunohistochemistry (Formalin/PFA-fixed paraffin-embedded sections) - Anti-CD16 antibody [EPR16784] - C-terminal (AB198507)

Immunohistochemical analysis of paraffin-embedded Human thymus tissue labeling CD16 with ab198507 at 1/500 dilution followed by Goat Anti-Rabbit IgG H&L (HRP) (ab97051) at 1/500 dilution. Cytoplasm staining on macrophage of Human thymus tissue is observed. Counter stained with Hematoxylin.

Negative control : Using PBS instead of primary antibody.

Perform heat mediated antigen retrieval with Tris/EDTA buffer pH 9.0 before commencing with IHC staining protocol.

Immunohistochemistry (Formalin/PFA-fixed paraffin-embedded sections) - Anti-CD16 antibody [EPR16784] - C-terminal (AB198507)
  • IHC-P

Supplier Data

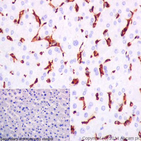
Immunohistochemistry (Formalin/PFA-fixed paraffin-embedded sections) - Anti-CD16 antibody [EPR16784] - C-terminal (AB198507)

Immunohistochemical analysis of paraffin-embedded Human liver tissue labeling CD16 with ab198507 at 1/500 dilution followed by Goat Anti-Rabbit IgG H&L (HRP) (ab97051) at 1/500 dilution. Cytoplasm staining on kupffer cell of Human liver tissue is observed. Counter stained with Hematoxylin.

Negative control : Using PBS instead of primary antibody.

Perform heat mediated antigen retrieval with Tris/EDTA buffer pH 9.0 before commencing with IHC staining protocol.

Immunohistochemistry (Formalin/PFA-fixed paraffin-embedded sections) - Anti-CD16 antibody [EPR16784] - C-terminal (AB198507)
  • IHC-P

Lab

Immunohistochemistry (Formalin/PFA-fixed paraffin-embedded sections) - Anti-CD16 antibody [EPR16784] - C-terminal (AB198507)

Tissue Microarrays stained for "Anti-CD16 antibody [EPR16784] - C-terminal" using "ab198507"in immunohistochemical analysis. This table provides a detailed overview of positive (tick mark) and negative (cross mark) staining per sample type tested. The sections were pre-treated using Heat mediated antigen retrieval using Bond™ Epitope Retrieval Solution 2 (pH 9.0) for 20 minutes. The sections were incubated with ab198507 for 30 mins at room temperature followed by a ready to use Rabbit specific IHC polymer detection kit HRP/DAB (ab209101). The immunostaining was performed on a Leica Biosystems BOND® RX instrument.

Immunohistochemistry (Formalin/PFA-fixed paraffin-embedded sections) - Anti-CD16 antibody [EPR16784] - C-terminal (AB198507)
  • IHC-P

Supplier Data

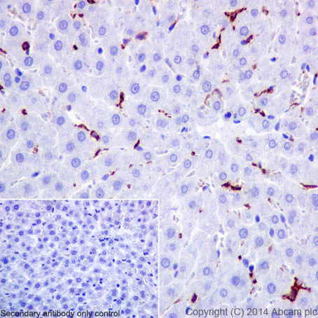
Immunohistochemistry (Formalin/PFA-fixed paraffin-embedded sections) - Anti-CD16 antibody [EPR16784] - C-terminal (AB198507)

Immunohistochemical analysis of paraffin-embedded Rat liver tissue labeling CD16 with ab198507 at 1/500 dilution followed by Goat Anti-Rabbit IgG H&L (HRP) (ab97051) at 1/500 dilution. Cytoplasm staining on kupffer cell of rat liver tissue is observed. Counter stained with Hematoxylin.

Negative control : Using PBS instead of primary antibody.

Perform heat mediated antigen retrieval with Tris/EDTA buffer pH 9.0 before commencing with IHC staining protocol.

Immunohistochemistry (Formalin/PFA-fixed paraffin-embedded sections) - Anti-CD16 antibody [EPR16784] - C-terminal (AB198507)
  • IHC-P

Lab

Immunohistochemistry (Formalin/PFA-fixed paraffin-embedded sections) - Anti-CD16 antibody [EPR16784] - C-terminal (AB198507)

Tissue Microarrays stained for "Anti-CD16 antibody [EPR16784] - C-terminal" using "ab198507"in immunohistochemical analysis. This table provides a detailed overview of positive (tick mark) and negative (cross mark) staining per sample type tested. The sections were pre-treated using Heat mediated antigen retrieval using Bond™ Epitope Retrieval Solution 2 (pH 9.0) for 20 minutes. The sections were incubated with ab198507 for 30 mins at room temperature followed by a ready to use Rabbit specific IHC polymer detection kit HRP/DAB (ab209101). The immunostaining was performed on a Leica Biosystems BOND® RX instrument.

Western blot - Anti-CD16 antibody [EPR16784] - C-terminal (AB198507)
  • WB

Supplier Data

Western blot - Anti-CD16 antibody [EPR16784] - C-terminal (AB198507)

Blocking and dilution buffer : 5% NFDM/TBST.

All lanes:

Western blot - Anti-CD16 antibody [EPR16784] - C-terminal (ab198507) at 1/1000 dilution

All lanes:

Human spleen tissue lysate at 20 µg

Secondary

All lanes:

Goat Anti-Rabbit IgG (HRP) with minimal cross-reactivity with human IgG at 1/2000 dilution

Predicted band size: 29 kDa

Observed band size: 40-60 kDa

false

Exposure time: 5s

关键信息

宿主种属

Rabbit

克隆

Monoclonal

克隆号

EPR16784

亚型

IgG

不含载体蛋白

No

反应种属

Rat, Human

应用

WB, IHC-P

applications

免疫原

The exact immunogen used to generate this antibody is proprietary information.

特异性

Rat species is recommended based on IHC result, we do not guarantee it for western blot.

反应性数据

{ "title": "Reactivity Data", "filters": { "stats": ["", "Species", "Dilution Info", "Notes"], "tabs": { "all-applications": {"fullname" : "All Applications", "shortname": "All Applications"}, "WB" : {"fullname" : "Western blot", "shortname":"WB"}, "IHCP" : {"fullname" : "Immunohistochemistry (Formalin/PFA-fixed paraffin-embedded sections)", "shortname":"IHC-P"} }, "product-promise": { "all": "all", "testedAndGuaranteed": "tested", "guaranteed": "expected", "predicted": "predicted", "notRecommended": "not-recommended" } }, "values": { "Human": { "WB-species-checked": "testedAndGuaranteed", "WB-species-dilution-info": "1/1000", "WB-species-notes": "<p>Rat species is recommended based on IHC result, we do not guarantee it for western blot.</p>", "IHCP-species-checked": "testedAndGuaranteed", "IHCP-species-dilution-info": "1/500", "IHCP-species-notes": "<p></p>" }, "Rat": { "WB-species-checked": "guaranteed", "WB-species-dilution-info": "", "WB-species-notes": "", "IHCP-species-checked": "testedAndGuaranteed", "IHCP-species-dilution-info": "1/500", "IHCP-species-notes": "<p></p>" } } }

产品详情

Patented technology
Our RabMAb® technology is a patented hybridoma-based technology for making rabbit monoclonal antibodies. For details on our patents, please refer to RabMAb® patents.

What are the advantages of a recombinant monoclonal antibody?
This product is a recombinant monoclonal antibody, which offers several advantages including:

  • - High batch-to-batch consistency and reproducibility
  • - Improved sensitivity and specificity
  • - Long-term security of supply
  • - Animal-free batch production

For more information, read more on recombinant antibodies.

性能和储存信息

形式
Liquid
纯化工艺
Affinity purification Protein A
存储溶液
pH: 7.2 - 7.4 Preservative: 0.01% Sodium azide Constituents: PBS, 40% Glycerol (glycerin, glycerine), 0.05% BSA
运输条件
Blue Ice
推荐的短期储存时间
1-2 weeks
推荐的短期储存条件
+4°C
推荐的长期储存条件
-20°C
分装信息
Upon delivery aliquot
储存信息
Avoid freeze / thaw cycle

补充信息

This supplementary information is collated from multiple sources and compiled automatically.

CD16 also known as FCGR3A or CD16A protein is a low-affinity receptor for the Fc region of IgG. It weighs approximately 50-70 kDa and exists on the surface of several immune cells such as natural killer (NK) cells some populations of T cells and macrophages. The expression of CD16 mediates various cellular responses including antibody-dependent cellular cytotoxicity (ADCC) where it acts by engaging with immune complexes. Researchers often use anti-CD16 antibodies in flow cytometry to analyze the presence and quantity of CD16-expressing cells.
Biological function summary

This receptor plays a significant role in immune system regulation by contributing to the activation of immune effector cells. CD16 is not part of a larger complex but it operates in concert with CD3 proteins to trigger intracellular signaling pathways upon engagement with its ligand. Its function is important for the antibody-dependent clearance of infected or malignant cells from the body representing an essential linkage between innate and adaptive immunity.

Pathways

Signaling involving CD16 is integrated into the immune response mechanisms that include the Fc gamma receptor-mediated phagocytosis pathway. This pathway involves interactions with IgG antibodies and complements the activity of other Fc gamma receptors such as CD32 and CD64. Through these interactions CD16 enhances phagocytic activity and stimulates the secretion of cytokines and chemokines important for orchestrating an effective immune response.

CD16 plays an important role in conditions like autoimmune diseases and certain cancers. Its expression and function are important in the pathophysiology of systemic lupus erythematosus where an imbalance in immune complex clearance leads to tissue damage. In oncology CD16 aids in the immune system's recognition and elimination of tumor cells working alongside proteins such as CD3 in modulating the body's anti-tumor response. Understanding CD16's involvement in these diseases helps in developing therapeutic strategies that harness the immune system's power such as monoclonal antibody therapies targeting CD16.

产品实验方案

For this product, it's our understanding that no specific protocols are required. You can visit:

靶点信息

Receptor for the invariable Fc fragment of immunoglobulin gamma (IgG). Optimally activated upon binding of clustered antigen-IgG complexes displayed on cell surfaces, triggers lysis of antibody-coated cells, a process known as antibody-dependent cellular cytotoxicity (ADCC). Does not bind free monomeric IgG, thus avoiding inappropriate effector cell activation in the absence of antigenic trigger (PubMed : 11711607, PubMed : 21768335, PubMed : 22023369, PubMed : 24412922, PubMed : 25786175, PubMed : 25816339, PubMed : 28652325, PubMed : 8609432, PubMed : 9242542). Mediates IgG effector functions on natural killer (NK) cells. Binds antigen-IgG complexes generated upon infection and triggers NK cell-dependent cytokine production and degranulation to limit viral load and propagation. Involved in the generation of memory-like adaptive NK cells capable to produce high amounts of IFNG and to efficiently eliminate virus-infected cells via ADCC (PubMed : 24412922, PubMed : 25786175). Regulates NK cell survival and proliferation, in particular by preventing NK cell progenitor apoptosis (PubMed : 29967280, PubMed : 9916693). Fc-binding subunit that associates with CD247 and/or FCER1G adapters to form functional signaling complexes. Following the engagement of antigen-IgG complexes, triggers phosphorylation of immunoreceptor tyrosine-based activation motif (ITAM)-containing adapters with subsequent activation of phosphatidylinositol 3-kinase signaling and sustained elevation of intracellular calcium that ultimately drive NK cell activation. The ITAM-dependent signaling coupled to receptor phosphorylation by PKC mediates robust intracellular calcium flux that leads to production of pro-inflammatory cytokines, whereas in the absence of receptor phosphorylation it mainly activates phosphatidylinositol 3-kinase signaling leading to cell degranulation (PubMed : 1825220, PubMed : 23024279, PubMed : 2532305). Costimulates NK cells and trigger lysis of target cells independently of IgG binding (PubMed : 10318937, PubMed : 23006327). Mediates the antitumor activities of therapeutic antibodies. Upon ligation on monocytes triggers TNFA-dependent ADCC of IgG-coated tumor cells (PubMed : 27670158). Mediates enhanced ADCC in response to afucosylated IgGs (PubMed : 34485821).. (Microbial infection) Involved in Dengue virus pathogenesis via antibody-dependent enhancement (ADE) mechanism. Secondary infection with Dengue virus triggers elevated levels of afucosylated non-neutralizing IgG1s with reactivity to viral envelope/E protein. Viral antigen-IgG1 complexes bind with high affinity to FCGR3A, facilitating virus entry in myeloid cells and subsequent viral replication.
See full target information FCGR3A

文献 (4)

Recent publications for all applications. Explore the full list and refine your search

Infection and drug resistance 16:6807-6820 PubMed37904831

2023

Experimental Research on the Effect of Tounong San on the Immune Function of Rats with Superficial Suppurative Infection.

Applications

Unspecified application

Species

Unspecified reactive species

Zhiqiang Shi,Yu Liu,Xiaodan Chang,Yuan Gao,Min Hao,Shuo Feng,Haoyu Dong

Journal of extracellular biology 2: PubMed37744304

2023

Survey of organ-derived small extracellular vesicles and particles (sEVPs) to identify selective protein markers in mouse serum.

Applications

Unspecified application

Species

Unspecified reactive species

Kotb Abdelmohsen,Allison B Herman,Angelica E Carr,Charnae' A Henry-Smith,Martina Rossi,Qiong Meng,Jen-Hao Yang,Dimitrios Tsitsipatis,Alhassan Bangura,Rachel Munk,Jennifer L Martindale,Carlos J Nogueras-Ortiz,Jon Hao,Yi Gong,Yie Liu,Chang-Yi Cui,Lisa M Hartnell,Nathan L Price,Luigi Ferrucci,Dimitrios Kapogiannis,Rafael de Cabo,Myriam Gorospe

Cell reports 37:109897 PubMed34706243

2021

Adenosine deaminase 2 produced by infiltrative monocytes promotes liver fibrosis in nonalcoholic fatty liver disease.

Applications

Unspecified application

Species

Unspecified reactive species

Shilpa Tiwari-Heckler,Eric U Yee,Yusuf Yalcin,Jiwoon Park,Duc-Huy T Nguyen,Wenda Gao,Eva Csizmadia,Nezam Afdhal,Kenneth J Mukamal,Simon C Robson,Michelle Lai,Robert E Schwartz,Z Gordon Jiang

Evidence-based complementary and alternative medicine : eCAM 2021:6345147 PubMed34257687

2021

Production of an Animal Model of Semi-Yin and Semi-Yang Syndrome with Diabetic Ulcers and Study of Its Pathological and Metabolic Features.

Applications

Unspecified application

Species

Unspecified reactive species

Yu Liu,Jian-Ping Shi,Wu Xiong,Yang Liu,Yu Yan,Chao-Qi Yin,Yu-Qi Jiao,Xi Zhang,Jian-Da Zhou
View all publications

Abcam Product Promise

我们致力于为您的研究提供高质量的试剂,为您科研的每一步提供支持。若我们的产品未能达到预期性能,我们向您提供 Abcam Product Promise 保障。
详情请参阅我们的条款与条件。

Please note: All products are 'FOR RESEARCH USE ONLY. NOT FOR USE IN DIAGNOSTIC OR THERAPEUTIC PROCEDURES'.

For licensing inquiries, please contact partnerships@abcam.com