JavaScript is disabled in your browser. Please enable JavaScript to view this website.
AB219799

重组Anti-CD11c抗体[EPR21826]

Anti-CD11c antibody [EPR21826]

4

(7 Reviews)

|

(26 Publications)

Anti-CD11c antibody [EPR21826] (ab219799) is a rabbit monoclonal antibody detecting CD11c in Flow Cytometry, IHC-P. Suitable for Mouse.

- Biophysical QC for unrivalled batch-batch consistency
- Over 10 publications

查看别名

CD11c, Integrin alpha-X, CD11 antigen-like family member C, Itgax

2 Images
Flow Cytometry - Anti-CD11c antibody [EPR21826] (AB219799)
  • Flow Cyt

Supplier Data

Flow Cytometry - Anti-CD11c antibody [EPR21826] (AB219799)

Flow cytometric analysis of mouse primary splenocytes labeling CD11c with ab219799 at a 1/50 dilution.

Cells were stained with BV421 conjugated CD11b and rabbit IgG (Left panel) or CD11c (Right panel).

Goat anti rabbit IgG (Alexa Fluor® 488, ab150077), at 1/2000 dilution was used as the secondary antibody.

Gated on viable cells.

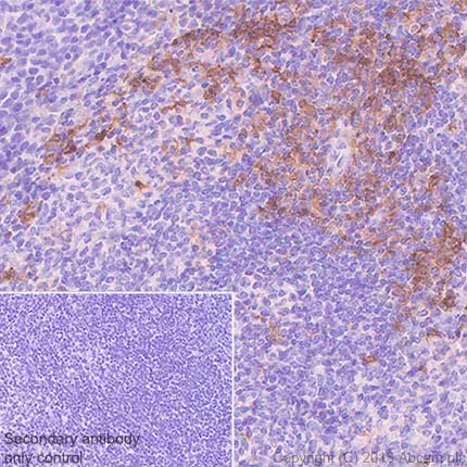
Immunohistochemistry (Formalin/PFA-fixed paraffin-embedded sections) - Anti-CD11c antibody [EPR21826] (AB219799)
  • IHC-P

Supplier Data

Immunohistochemistry (Formalin/PFA-fixed paraffin-embedded sections) - Anti-CD11c antibody [EPR21826] (AB219799)

Immunohistochemical analysis of paraffin-embedded mouse spleen tissue labeling CD11c with ab219799 at 1/100 dilution, followed by ready to use Rabbit specific IHC polymer detection kit HRP/DAB (ab209101). Positive staining on dendritic cells of mouse spleen (PMID : 20194631, PMID : 15795237) is observed. Counterstained with hematoxylin.
Secondary antibody only control : Used PBS instead of primary antibody, secondary antibody is ready to use Rabbit specific IHC polymer detection kit HRP/DAB (ab209101).

不同偶联物与剂型 (1)

  • Carrier free

    Anti-CD11c antibody [EPR21826] - BSA and Azide free

关键信息

宿主种属

Rabbit

克隆

Monoclonal

克隆号

EPR21826

亚型

IgG

不含载体蛋白

No

反应种属

Mouse

应用

Flow Cyt, IHC-P

applications

免疫原

The exact immunogen used to generate this antibody is proprietary information.

反应性数据

{ "title": "Reactivity Data", "filters": { "stats": ["", "Species", "Dilution Info", "Notes"], "tabs": { "all-applications": {"fullname" : "All Applications", "shortname": "All Applications"}, "IHCP" : {"fullname" : "Immunohistochemistry (Formalin/PFA-fixed paraffin-embedded sections)", "shortname":"IHC-P"}, "FlowCyt" : {"fullname" : "Flow Cytometry", "shortname":"Flow Cyt"} }, "product-promise": { "all": "all", "testedAndGuaranteed": "tested", "guaranteed": "expected", "predicted": "predicted", "notRecommended": "not-recommended" } }, "values": { "Mouse": { "IHCP-species-checked": "testedAndGuaranteed", "IHCP-species-dilution-info": "1/100", "IHCP-species-notes": "<p>During IHC-P detection, we recommend using the manual two-step method and selecting polymer-based secondary antibodies to enhance signal intensity.</p>", "FlowCyt-species-checked": "testedAndGuaranteed", "FlowCyt-species-dilution-info": "1/50", "FlowCyt-species-notes": "<p></p>" } } }

产品详情

What is this antibody validated in?
Anti-CD11c antibody [EPR21826] (ab219799) is a rabbit recombinant monoclonal antibody and is validated for use in Flow Cytometry (Flow Cyt), Immunohistochemistry (IHC-P) in Mouse samples.

Trusted by the scientific community
Anti-CD11c [EPR21826] (ab219799) was first used in a scientific publication in 2018 and has been cited over 10 times in peer-reviewed journals.

Trial sizes available!
Test your antibody or perform pre-screening before committing to a larger quantity. Sold in 10µl. Discover our selection of trial-size antibodies.

Other related products
We have a range of other formats of antibody clone [EPR21826] also available for your convenience: ab219799, Carrier free - ab240558

Patented technology
Our RabMAb® technology is a patented hybridoma-based technology for making rabbit monoclonal antibodies. For details on our patents, please refer to RabMAb® patents.

What are the advantages of a recombinant monoclonal antibody?
This product is a recombinant monoclonal antibody, which offers several advantages including:

  • - High batch-to-batch consistency and reproducibility
  • - Improved sensitivity and specificity
  • - Long-term security of supply
  • - Animal-free batch production

For more information, read more on recombinant antibodies.

性能和储存信息

形式
Liquid
纯化工艺
Affinity purification Protein A
存储溶液
pH: 7.2 - 7.4 Preservative: 0.01% Sodium azide Constituents: PBS, 40% Glycerol (glycerin, glycerine), 0.05% BSA
运输条件
Blue Ice
推荐的短期储存时间
1-2 weeks
推荐的短期储存条件
+4°C
推荐的长期储存条件
-20°C
分装信息
Upon delivery aliquot
储存信息
Avoid freeze / thaw cycle

补充信息

This supplementary information is collated from multiple sources and compiled automatically.

CD11c also known as ITGAX is a subunit of integrin proteins that plays a pivotal role in immune cell function. This protein has a molecular mass of about 150 kDa and is primarily expressed on the surface of dendritic cells monocytes and macrophages. It serves as a marker for these cells commonly utilized in applications like CD11c flow cytometry and CD11c IHC. Researchers often study this target using CD11c antibodies to explore immune system dynamics and cell surface characteristics.
Biological function summary

CD11c functions as an integrin alpha X subunit forming a heterodimer with the beta 2 subunit known as ITGB2. This complex is important for cell adhesion and migration processes. It mediates the binding of leukocytes to endothelial cells facilitating their migration from the bloodstream to sites of inflammation or infection. CD11c's presence on immune cells makes it essential for presenting antigens and initiating immune responses therefore having critical implications for immunity.

Pathways

CD11c plays a significant role in the immune system particularly in the leukocyte adhesion and migration pathways. It partners with proteins like ITGB2 to mediate these functions. The signaling pathways involving CD11c and related molecules regulate leukocyte trafficking and activation ensuring proper localization and function at sites of damage or infection. These pathways are essential for maintaining immune homeostasis and prompt responses to pathogens.

CD11c has significant connections to autoimmune diseases and chronic inflammatory conditions. Aberrant CD11c expression or activity can contribute to the pathogenesis of conditions like rheumatoid arthritis where leukocyte migration and persistent inflammation play a role. Studies also link CD11c with proteins involved in these disorders highlighting its importance in disease progression and potential as a therapeutic target. The understanding of CD11c's role in these conditions can guide the development of treatments aimed at modulating immune responses.

产品实验方案

For this product, it's our understanding that no specific protocols are required. You can visit:

靶点信息

Integrin alpha-X/beta-2 is a receptor for fibrinogen. It recognizes the sequence G-P-R in fibrinogen. It mediates cell-cell interaction during inflammatory responses. It is especially important in monocyte adhesion and chemotaxis (By similarity).
See full target information Itgax

文献 (26)

Recent publications for all applications. Explore the full list and refine your search

Science advances 11:eadx3472 PubMed40864698

2025

PhoCoil: A photodegradable and injectable single-component recombinant protein hydrogel for minimally invasive delivery and degradation.

Applications

Unspecified application

Species

Unspecified reactive species

Nicole E Gregorio,Fan Zhang,Yusuke Suita,Lisa S Ang,Olivia Prado,Arafat Fasuyi,James M Olson,Kelly R Stevens,Cole A DeForest

Experimental dermatology 34:e70128 PubMed40537849

2025

Psychological Stress Overactivates IL-23/Th17 Inflammatory Axis and Increases cDC2 in Imiquimod-Induced Psoriasis Models of C57BL/6 Mice.

Applications

Unspecified application

Species

Unspecified reactive species

Jue Tang,Siqi Zhao,Yanqian Su,Huijuan Shi,Xuan Li,Xuan Zhang,Jing Wang,Xinping Jin,Yanling He

International journal of biological sciences 21:3444-3460 PubMed40520025

2025

Endothelial SIRT3 deficiency predisposes brown adipose tissue to whitening in diet-induced obesity.

Applications

Unspecified application

Species

Unspecified reactive species

Qing Zhou,Zongshi Lu,Bowen Wang,Yuyan Wang,Li Li,Mei You,Lijuan Wang,Tingbing Cao,Dan Tong,Jie Xiang,Yu Zhao,Qiang Li,Aidi Mou,Wentao Shu,Hongbo He,Zhigang Zhao,Daoyan Liu,Zhiming Zhu,Peng Gao,Zhencheng Yan

NPJ vaccines 10:80 PubMed40258806

2025

Targeting B7-H3 enhances the efficacy of neoantigen-based cancer vaccine in combination with radiotherapy.

Applications

Unspecified application

Species

Unspecified reactive species

Tao-Wei Ke,Chia-Yi Chen,William Tzu-Liang Chen,Yuan-Yao Tsai,Shu-Fen Chiang,Chi-Hsien Huang,Yu-Sen Lin,Te-Hong Chen,Tsung-Wei Chen,Ji-An Liang,K S Clifford Chao,Kevin Chih-Yang Huang

Frontiers in pharmacology 16:1557685 PubMed40206075

2025

Allicin ameliorates acute myocardial infarction in rats by modulating calcium homeostasis in cardiomyocytes through the induction of hydrogen sulfide production.

Applications

Unspecified application

Species

Unspecified reactive species

Weiyu Liu,Shaojun Xu,Juan Wang,Xinxia Li,Ruiting Liu,Le Zhao,Yikui Li,Rongmei Shi,Jinyan Zhang

iScience 28:112038 PubMed40124497

2025

deficiency in neutrophils alleviates symptoms induced by high-fat diet.

Applications

Unspecified application

Species

Unspecified reactive species

Brinja Leinweber,Violetta Pilorz,Iwona Olejniczak,Ludmila Skrum,Kimberly Begemann,Isabel Heyde,Sarah Stenger,Christian David Sadik,Henrik Oster

Cell reports. Medicine 6:102000 PubMed40056904

2025

LTA4H improves the tumor microenvironment and prevents HCC progression via targeting the HNRNPA1/LTBP1/TGF-β axis.

Applications

Unspecified application

Species

Unspecified reactive species

Shuai Yang,Xinyao Qiu,Yingcheng Yang,Jing Wu,Shan Wang,Bo Zheng,Jianmin Wu,Tao Zhou,Yangqianwen Zhang,Mixue Bai,Shuowu Liu,Zihan Zhao,Yani Zhang,Yixian Wang,Jinxia Bao,Mengye Wu,Dongdong Xue,Meiyu Bao,Ji Hu,Siyun Shen,Hongyang Wang,Lei Chen

Cell & bioscience 15:24 PubMed39972392

2025

KAT8 catalyzes the acetylation of SEPP1 at lysine 247/249 and modulates the activity of CD8 T cells via LRP8 to promote anti-tumor immunity in pancreatic cancer.

Applications

Unspecified application

Species

Unspecified reactive species

Zhongfei Zhu,Gang Nie,Xiaobo Peng,Xianbao Zhan,Dan Ding

Journal of tissue engineering 15:20417314241283148 PubMed39502329

2024

Synthetic injectable and porous hydrogels for the formation of skeletal muscle fibers: Novel perspectives for the acellular repair of substantial volumetric muscle loss.

Applications

Unspecified application

Species

Unspecified reactive species

Louise Griveau,Marion Bouvet,Emilie Christin,Cloé Paret,Lauriane Lecoq,Sylvie Radix,Thomas Laumonier,Jerome Sohier,Vincent Gache

Scientific reports 14:13543 PubMed38866996

2024

Pathological changes in the spleen of mice subjected to different time courses of restraint stress.

Applications

Unspecified application

Species

Unspecified reactive species

Lei Lei,Yingmin Li,Meili Li,Hongjian Xin,Xiaofei Tian,Yifan Zhang,Weibo Shi,Bin Cong
View all publications

Abcam Product Promise

我们致力于为您的研究提供高质量的试剂,为您科研的每一步提供支持。若我们的产品未能达到预期性能,我们向您提供 Abcam Product Promise 保障。
详情请参阅我们的条款与条件。

Please note: All products are 'FOR RESEARCH USE ONLY. NOT FOR USE IN DIAGNOSTIC OR THERAPEUTIC PROCEDURES'.

For licensing inquiries, please contact partnerships@abcam.com