JavaScript is disabled in your browser. Please enable JavaScript to view this website.
AB315022

重组Anti-CBLB抗体[EPR28082-32] - BSA and Azide free

Anti-CBLB antibody [EPR28082-32] - BSA and Azide free

Be the first to review this product! Submit a review

|

(0 Publication)

Knockout Tested Rabbit Recombinant Monoclonal CBLB antibody. Carrier free. Suitable for WB and reacts with Human, Mouse, Rat samples.

查看别名

RNF56, Nbla00127, CBLB, E3 ubiquitin-protein ligase CBL-B, Casitas B-lineage lymphoma proto-oncogene b, RING finger protein 56, RING-type E3 ubiquitin transferase CBL-B, SH3-binding protein CBL-B, Signal transduction protein CBL-B

3 Images
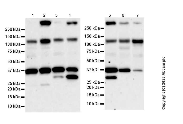
Western blot - Anti-CBLB antibody [EPR28082-32] - BSA and Azide free (AB315022)
  • WB

Supplier Data

Western blot - Anti-CBLB antibody [EPR28082-32] - BSA and Azide free (AB315022)

This data was developed using ab315021, the same antibody clone in a different buffer formulation.

Blocking and diluting buffer and concentration : 5% NFDM/TBST.

The identity of the lower MW band at approximately 38 kDa is unknown.

The identity of the band higher than 250 kDa is unknown.

Lysates were freshly made and used for Western blotting immediately to minimize protein degradation.

All lanes:

Western blot - Anti-CBLB antibody [EPR28082-32] (<a href='/products/primary-antibodies/cblb-antibody-epr28082-32-ab315021'>ab315021</a>) at 1/1000 dilution

Lane 1:

C6 (rat glial tumor glial cell) whole cell lysate at 20 µg

Lane 2:

Neuro-2a (mouse neuroblastoma neuroblast) whole cell lysate at 20 µg

Lane 3:

U-87 MG (human glioblastoma-astrocytoma epithelial cell) whole cell lysate at 20 µg

Lane 4:

SH-SY5Y (human neuroblastoma epithelial cell) whole cell lysate at 20 µg

Lane 5:

293T (human embryonic kidney epithelial cell) whole cell lysate at 20 µg

Lane 6:

NIH/3T3 (mouse embryonic fibroblast) whole cell lysate at 20 µg

Lane 7:

PC-12 (rat adrenal gland pheochromocytoma cell) whole cell lysate at 20 µg

Secondary

All lanes:

Western blot - Goat Anti-Rabbit IgG H&L (HRP) (<a href='/products/secondary-antibodies/goat-rabbit-igg-h-l-hrp-ab97051'>ab97051</a>) at 1/20000 dilution

Observed band size: 125 kDa

false

Exposure time: 180s

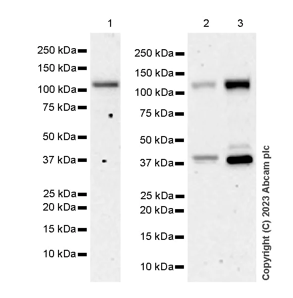
Western blot - Anti-CBLB antibody [EPR28082-32] - BSA and Azide free (AB315022)
  • WB

Supplier Data

Western blot - Anti-CBLB antibody [EPR28082-32] - BSA and Azide free (AB315022)

This data was developed using ab315021, the same antibody clone in a different buffer formulation.

Blocking and diluting buffer and concentration : 5% NFDM/TBST.

In Western blot, ab315021 was shown to bind specifically to CBLB. A band was observed at 125 kDa in wild-type Hela cell lysates with whereas no signal observed at this size in CBLB knockout cell line ab264711 (knockout cell lysate ab258342).

The identity of the band at 38 kDa is unknown.

Lysates were freshly made and used for Western blotting immediately to minimize protein degradation.

In Western blot, Anti-GAPDH antibody [EPR16891] - Loading Control (ab181602) staining at 1/200000 dilution.

All lanes:

Western blot - Anti-CBLB antibody [EPR28082-32] (<a href='/products/primary-antibodies/cblb-antibody-epr28082-32-ab315021'>ab315021</a>) at 1/1000 dilution

Lane 1:

Wild-type HeLa (human cervical adenocarcinoma epithelial cell) whole cell lysate at 20 µg

Lane 2:

Western blot - Human CBLB knockout HeLa cell lysate (<a href='/products/cell-lysates/human-cblb-knockout-hela-cell-lysate-ab258342'>ab258342</a>) at 20 µg

Secondary

All lanes:

Western blot - Goat Anti-Rabbit IgG H&L (HRP) (<a href='/products/secondary-antibodies/goat-rabbit-igg-h-l-hrp-ab97051'>ab97051</a>) at 1/20000 dilution

Observed band size: 125 kDa,36 kDa

false

Exposure time: 180s

Western blot - Anti-CBLB antibody [EPR28082-32] - BSA and Azide free (AB315022)
  • WB

Supplier Data

Western blot - Anti-CBLB antibody [EPR28082-32] - BSA and Azide free (AB315022)

This data was developed using ab315021, the same antibody clone in a different buffer formulation.

Blocking and diluting buffer and concentration : 5% NFDM/TBST.

The identity of the lower MW band at approximately 38 kDa is unknown.

Lysates were freshly made and used for Western blotting immediately to minimize protein degradation.

All lanes:

Western blot - Anti-CBLB antibody [EPR28082-32] (<a href='/products/primary-antibodies/cblb-antibody-epr28082-32-ab315021'>ab315021</a>) at 1/1000 dilution

Lane 1:

Rat liver lysate at 20 µg

Lane 2:

Mouse liver lysate at 20 µg

Lane 3:

Mouse testis lysate at 20 µg

Secondary

All lanes:

Western blot - Goat Anti-Rabbit IgG H&L (HRP) (<a href='/products/secondary-antibodies/goat-rabbit-igg-h-l-hrp-ab97051'>ab97051</a>) at 1/20000 dilution

Observed band size: 125 kDa

false

Exposure time: 180s

不同偶联物与剂型 (1)

关键信息

宿主种属

Rabbit

克隆

Monoclonal

克隆号

EPR28082-32

亚型

IgG

不含载体蛋白

Yes

反应种属

Human, Mouse, Rat

应用

WB

applications

免疫原

The exact immunogen used to generate this antibody is proprietary information.

反应性数据

{ "title": "Reactivity Data", "filters": { "stats": ["", "Species", "Dilution Info", "Notes"], "tabs": { "all-applications": {"fullname" : "All Applications", "shortname": "All Applications"}, "WB" : {"fullname" : "Western blot", "shortname":"WB"}, "IHCP" : {"fullname" : "Immunohistochemistry (Formalin/PFA-fixed paraffin-embedded sections)", "shortname":"IHC-P"}, "IP" : {"fullname" : "Immunoprecipitation", "shortname":"IP"}, "FlowCytIntra" : {"fullname" : "Flow Cytometry (Intracellular)", "shortname":"Flow Cyt (Intra)"}, "ICCIF" : {"fullname" : "Immunocytochemistry/ Immunofluorescence", "shortname":"ICC/IF"} }, "product-promise": { "all": "all", "testedAndGuaranteed": "tested", "guaranteed": "expected", "predicted": "predicted", "notRecommended": "not-recommended" } }, "values": { "Human": { "WB-species-checked": "testedAndGuaranteed", "WB-species-dilution-info": "", "WB-species-notes": "<p></p>", "IHCP-species-checked": "notRecommended", "IHCP-species-dilution-info": "", "IHCP-species-notes": "<p></p>", "IP-species-checked": "notRecommended", "IP-species-dilution-info": "", "IP-species-notes": "<p></p>", "FlowCytIntra-species-checked": "notRecommended", "FlowCytIntra-species-dilution-info": "", "FlowCytIntra-species-notes": "<p></p>", "ICCIF-species-checked": "notRecommended", "ICCIF-species-dilution-info": "", "ICCIF-species-notes": "<p></p>" }, "Mouse": { "WB-species-checked": "testedAndGuaranteed", "WB-species-dilution-info": "", "WB-species-notes": "<p></p>", "IHCP-species-checked": "notRecommended", "IHCP-species-dilution-info": "", "IHCP-species-notes": "<p></p>", "IP-species-checked": "notRecommended", "IP-species-dilution-info": "", "IP-species-notes": "<p></p>", "FlowCytIntra-species-checked": "notRecommended", "FlowCytIntra-species-dilution-info": "", "FlowCytIntra-species-notes": "<p></p>", "ICCIF-species-checked": "notRecommended", "ICCIF-species-dilution-info": "", "ICCIF-species-notes": "" }, "Rat": { "WB-species-checked": "testedAndGuaranteed", "WB-species-dilution-info": "", "WB-species-notes": "<p></p>", "IHCP-species-checked": "notRecommended", "IHCP-species-dilution-info": "", "IHCP-species-notes": "<p></p>", "IP-species-checked": "notRecommended", "IP-species-dilution-info": "", "IP-species-notes": "", "FlowCytIntra-species-checked": "notRecommended", "FlowCytIntra-species-dilution-info": "", "FlowCytIntra-species-notes": "", "ICCIF-species-checked": "notRecommended", "ICCIF-species-dilution-info": "", "ICCIF-species-notes": "" } } }

产品详情

ab315022 is the carrier-free version of ab315021.

Patented technology
Our RabMAb® technology is a patented hybridoma-based technology for making rabbit monoclonal antibodies. For details on our patents, please refer to RabMAb® patents.

What are the advantages of a recombinant monoclonal antibody?
This product is a recombinant monoclonal antibody, which offers several advantages including:

  • - High batch-to-batch consistency and reproducibility
  • - Improved sensitivity and specificity
  • - Long-term security of supply
  • - Animal-free batch production

For more information, read more on recombinant antibodies.

Conjugation ready
Our carrier-free antibodies are typically supplied in a PBS-only formulation, purified and free of BSA, sodium azide and glycerol. This conjugation-ready format is designed for use with fluorochromes, metal isotopes, oligonucleotides, and enzymes, which makes them ideal for antibody labelling, functional and cell-based assays, flow-based assays (e.g. mass cytometry) and Multiplex Imaging applications.

Use our conjugation kits for antibody conjugates that are ready-to-use in as little as 20 minutes with 1 minute hands-on-time and 100% antibody recovery: available for fluorescent dyes, HRP, biotin and gold.

Compatibility
This product is compatible with the Maxpar® Antibody Labeling Kit from Fluidigm, without the need for antibody preparation. Maxpar® is a trademark of Fluidigm Canada Inc.

性能和储存信息

形式
Liquid
纯化工艺
Affinity purification Protein A
存储溶液
pH: 7.2 - 7.4 Constituents: PBS
运输条件
Blue Ice
推荐的短期储存条件
+4°C
推荐的长期储存条件
+4°C

补充信息

This supplementary information is collated from multiple sources and compiled automatically.

CBLB also known as Cbl-b or Casitas B-lineage lymphoma-b is an E3 ubiquitin-protein ligase with a mass of approximately 120 kDa. CBLB is required for the regulation of protein degradation and is involved in transferring ubiquitin to target proteins. It is expressed in multiple tissues including the immune cells such as T cells and B cells. This protein contains several functional domains that facilitate interaction with other proteins allowing it to influence various signaling pathways.
Biological function summary

CBLB plays a critical role in immune regulation and is part of the ubiquitin-proteasome system. As a member of the CBL protein family it interacts with several other proteins to form a complex that determines its function. This complex mediates signal transduction and maintains immune homeostasis efforting its regulatory influence over immune cell activation and avoiding excessive immune responses.

Pathways

CBLB integrates into intracellular signaling involving the T-cell receptor (TCR) and B-cell receptor (BCR) pathways. It modulates downstream signaling by finetuning protein levels and activity interfacing with related proteins such as ZAP70 and Syk. By controlling signal thresholds it ensures proper immune responses and prevents autoimmunity maintaining the balance in signal transduction processes.

Altered CBLB activity is associated with autoimmune diseases and certain cancers such as lymphoma. Its dysfunction can lead to improper regulation of immune responses allowing for unchecked immune activation or proliferation of cancer cells. CBLB interacts with other critical proteins like ITK in T cells influencing the development or progression of these diseases by affecting cell signaling dynamics. Understanding CBLB's role could support therapeutic interventions to modulate immune responses effectively.

产品实验方案

For this product, it's our understanding that no specific protocols are required. You can visit:

靶点信息

E3 ubiquitin-protein ligase which accepts ubiquitin from specific E2 ubiquitin-conjugating enzymes, and transfers it to substrates, generally promoting their degradation by the proteasome (PubMed : 20525694, PubMed : 40101708). Negatively regulates TCR (T-cell receptor), BCR (B-cell receptor) and FCER1 (high affinity immunoglobulin epsilon receptor) signal transduction pathways (PubMed : 40101708). In naive T-cells, inhibits VAV1 activation upon TCR engagement and imposes a requirement for CD28 costimulation for proliferation and IL-2 production (By similarity). Also acts by promoting PIK3R1/p85 ubiquitination, which impairs its recruitment to the TCR and subsequent activation (PubMed : 11087752, PubMed : 11526404). In activated T-cells, inhibits PLCG1 activation and calcium mobilization upon restimulation and promotes anergy (By similarity). Involved in LAG3-mediated inhibition of TCR signaling : following ligand-binding to LAG3, catalyzes 'Lys-63'-linked ubiquitination of LAG3, unleashing the LAG3 C-terminus from the membrane, and initiating a signaling that prevents TCR activation (PubMed : 39030301, PubMed : 40101708). In B-cells, acts by ubiquitinating SYK and promoting its proteasomal degradation (By similarity). Slightly promotes SRC ubiquitination (PubMed : 14661060). May be involved in EGFR ubiquitination and internalization (PubMed : 10086340). May be functionally coupled with the E2 ubiquitin-protein ligase UB2D3. In association with CBL, required for proper feedback inhibition of ciliary platelet-derived growth factor receptor-alpha (PDGFRA) signaling pathway via ubiquitination and internalization of PDGFRA (By similarity).
See full target information CBLB

Abcam Product Promise

我们致力于为您的研究提供高质量的试剂,为您科研的每一步提供支持。若我们的产品未能达到预期性能,我们向您提供 Abcam Product Promise 保障。
详情请参阅我们的条款与条件。

Please note: All products are 'FOR RESEARCH USE ONLY. NOT FOR USE IN DIAGNOSTIC OR THERAPEUTIC PROCEDURES'.

For licensing inquiries, please contact partnerships@abcam.com