JavaScript is disabled in your browser. Please enable JavaScript to view this website.
AB91605

重组Anti-Cardiac Troponin T抗体[EPR3695]

Anti-Cardiac Troponin T antibody [EPR3695]

  • BOND RX™ Validated
  • RabMAb
  • Recombinant
  • 20ul selling size
  • 了解详情

5

(1 Review)

|

(17 Publications)

Anti-Cardiac Troponin T antibody [EPR3695] (ab91605) is a rabbit monoclonal antibody detecting Cardiac Troponin T in Western Blot, IP, IHC-P. Suitable for Human.

- Biophysical QC for unrivalled batch-batch consistency
- Over 10 publications
- Trusted since 2010

查看别名

TnTc, Cardiac muscle troponin T, cTnT, TNNT2

3 Images
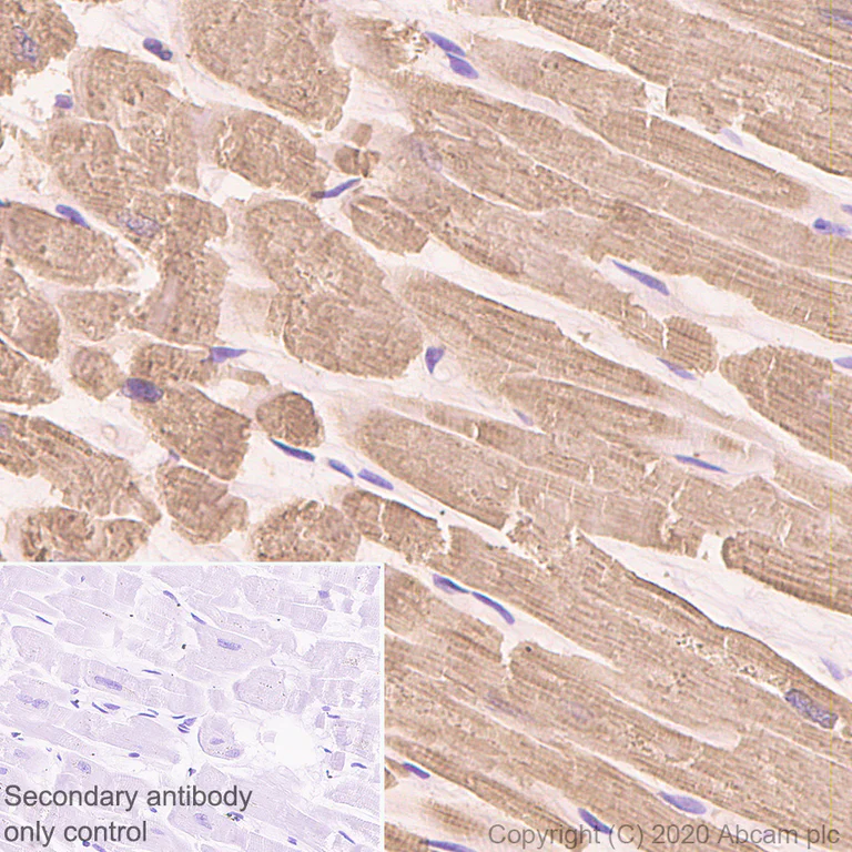
Immunohistochemistry (Formalin/PFA-fixed paraffin-embedded sections) - Anti-Cardiac Troponin T antibody [EPR3695] (AB91605)
  • IHC-P

Lab

Immunohistochemistry (Formalin/PFA-fixed paraffin-embedded sections) - Anti-Cardiac Troponin T antibody [EPR3695] (AB91605)

Immunohistochemistry (Formalin/PFA-fixed paraffin-embedded sections) analysis of human cardiac muscle tissue sections labelling Cardiac Troponin T with purified ab91605 at 1/500 dilution (0.32 μg/ml). Heat mediated antigen retrieval was performed using Heat mediated antigen retrieval using Bond™ Epitope Retrieval Solution 2 (pH 9.0) . Tissue was counterstained with Hematoxylin. Rabbit specific IHC polymer detection kit HRP/DAB (ab209101) secondary antibody was used. PBS instead of the primary antibody was used as the negative control. The immunostaining was performed on a Leica Biosystems BOND® RX instrument.

Immunoprecipitation - Anti-Cardiac Troponin T antibody [EPR3695] (AB91605)
  • IP

Lab

Immunoprecipitation - Anti-Cardiac Troponin T antibody [EPR3695] (AB91605)

Purified ab91605 at 1/50 dilution (2μg) immunoprecipitating Cardiac Troponin T in Human heart lysate.
Lane 1 (input) : Human heart lysate 10μg
Lane 2 (+) : ab91605 + Human heart lysate.
Lane 3 (-) : Rabbit monoclonal IgG (ab172730) instead of ab91605 in Human heart lysate.
VeriBlot for IP Detection Reagent (HRP) (ab131366) (1/1000 dilution) was used for Western blotting.
Blocking Buffer and concentration : 5% NFDM/TBST.
Diluting buffer and concentration : 5% NFDM/TBST.
Observed band size : 39 kDa

All lanes:

Immunoprecipitation - Anti-Cardiac Troponin T antibody [EPR3695] (ab91605)

Predicted band size: 35 kDa

false

Western blot - Anti-Cardiac Troponin T antibody [EPR3695] (AB91605)
  • WB

Lab

Western blot - Anti-Cardiac Troponin T antibody [EPR3695] (AB91605)

The molecular weight observed is consistent with what has been described in the literature (PMID : 15793653).

All lanes:

Western blot - Anti-Cardiac Troponin T antibody [EPR3695] (ab91605) at 1/1000 dilution

Lane 1:

Human heart lysate at 20 µg

Lane 2:

Human skeletal muscle lysate at 20 µg

Lane 3:

293T (Human embryonic kidney epithelial cell) whole cell lysate at 20 µg

Secondary

All lanes:

Goat Anti-Rabbit IgG (HRP) with minimal cross-reactivity with human IgG at 1/2000 dilution

Predicted band size: 35 kDa

Observed band size: 39 kDa

false

不同偶联物与剂型 (7)

  • Carrier free

    Anti-Cardiac Troponin T antibody [EPR3695] - BSA and Azide free

  • 565 Alexa Fluor® 555

    Alexa Fluor® 555 Anti-Cardiac Troponin T antibody [EPR3695]

  • 665 Alexa Fluor® 647

    Alexa Fluor® 647 Anti-Cardiac Troponin T antibody [EPR3695]

  • 519 Alexa Fluor® 488

    Alexa Fluor® 488 Anti-Cardiac Troponin T antibody [EPR3695]

  • 603 Alexa Fluor® 568

    Alexa Fluor® 568 Anti-Cardiac Troponin T antibody [EPR3695]

  • 617 Alexa Fluor® 594

    Alexa Fluor® 594 Anti-Cardiac Troponin T antibody [EPR3695]

  • 775 Alexa Fluor® 750

    Alexa Fluor® 750 Anti-Cardiac Troponin T antibody [EPR3695]

关键信息

宿主种属

Rabbit

克隆

Monoclonal

克隆号

EPR3695

亚型

IgG

不含载体蛋白

No

反应种属

Human

应用

WB, IP, IHC-P

applications

免疫原

The exact immunogen used to generate this antibody is proprietary information.

反应性数据

{ "title": "Reactivity Data", "filters": { "stats": ["", "Species", "Dilution Info", "Notes"], "tabs": { "all-applications": {"fullname" : "All Applications", "shortname": "All Applications"}, "IHCP" : {"fullname" : "Immunohistochemistry (Formalin/PFA-fixed paraffin-embedded sections)", "shortname":"IHC-P"}, "IP" : {"fullname" : "Immunoprecipitation", "shortname":"IP"}, "WB" : {"fullname" : "Western blot", "shortname":"WB"} }, "product-promise": { "all": "all", "testedAndGuaranteed": "tested", "guaranteed": "expected", "predicted": "predicted", "notRecommended": "not-recommended" } }, "values": { "Human": { "IHCP-species-checked": "testedAndGuaranteed", "IHCP-species-dilution-info": "1/500", "IHCP-species-notes": "<p>The use of an HRP/AP polymerized secondary antibody is recommended as stronger signals have been found using these. IHC-P validated in Human samples only.</p> Perform heat-mediated antigen retrieval before commencing with IHC staining protocol.", "IP-species-checked": "testedAndGuaranteed", "IP-species-dilution-info": "1/50", "IP-species-notes": "<p></p>", "WB-species-checked": "testedAndGuaranteed", "WB-species-dilution-info": "1/1000", "WB-species-notes": "<p></p>" } } }

产品详情

What is this antibody validated in?
Anti-Cardiac Troponin T antibody [EPR3695] (ab91605) is a rabbit recombinant monoclonal antibody and is validated for use in Western Blot (WB), Immunoprecipitation (IP), Immunohistochemistry (IHC-P) in Human samples.

What is the molecular weight of Cardiac Troponin T?
Anti-Cardiac Troponin T [EPR3695] (ab91605) specifically detects a band for Cardiac Troponin T (UniProt: P45379) at a molecular weight of 36kDa.

Trusted by the scientific community
Anti-Cardiac Troponin T [EPR3695] (ab91605) was first used in a scientific publication in 2010 and has been cited over 10 times in peer-reviewed journals.

Trial sizes available!
Test your antibody or perform pre-screening before committing to a larger quantity. Sold in 10µl. Discover our selection of trial-size antibodies.

Other related products
We have a range of other formats of antibody clone [EPR3695] also available for your convenience: ab91605, Carrier free - ab247526, Alexa Fluor® 488 - ab311031, Alexa Fluor® 647 - ab311156, Alexa Fluor® 594 - ab311804, Alexa Fluor® 568 - ab313087, Alexa Fluor® 555 - ab313281, Alexa Fluor® 750 - ab321742

Species reactivity
Mouse, Rat: We have preliminary internal testing data to indicate this antibody may not react with these species.
Please contact us for more information.

Patented technology
Our RabMAb® technology is a patented hybridoma-based technology for making rabbit monoclonal antibodies. For details on our patents, please refer to RabMAb® patents.

What are the advantages of a recombinant monoclonal antibody?
This product is a recombinant monoclonal antibody, which offers several advantages including:

  • - High batch-to-batch consistency and reproducibility
  • - Improved sensitivity and specificity
  • - Long-term security of supply
  • - Animal-free batch production

For more information, read more on recombinant antibodies.

Shipping conditions update: ambient shipping

This product will be delivered at ambient temperature instead of chilled – this is by design. Extensive stability testing confirmed that our products are suitable for shipment under ambient conditions and maintain expected quality.

Why the change?

It’s part of our commitment to more sustainable packaging solutions, with ambient deliveries using eco-friendly materials such as recyclable cardboard instead of polystyrene.

What you need to know

  • Ambient shipments come clearly marked on the delivery note.
  • No ice will be included in ambient shipments, but mixed orders (ambient and cold-chain items) will still arrive with ice packs to protect temperature-sensitive products.
  • Warranty coverage remains fully valid, aligned with our validated shipping method.
  • Please store the product as per the datasheet instructions upon receipt.

Find out more - https://www.abcam.com/en-us/support/shipping-storage-support/ambient-shipping

性能和储存信息

形式
Liquid
纯化工艺
Affinity purification Protein A
存储溶液
pH: 7.2 - 7.4 Preservative: 0.01% Sodium azide Constituents: PBS, 40% Glycerol (glycerin, glycerine), 0.05% BSA
运输条件
Conditional Ambient
推荐的短期储存条件
+4°C
推荐的长期储存条件
-20°C
储存信息
Stable for 12 months at -20°C

产品实验方案

For this product, it's our understanding that no specific protocols are required. You can visit:

靶点信息

Troponin T is the tropomyosin-binding subunit of troponin, the thin filament regulatory complex which confers calcium-sensitivity to striated muscle actomyosin ATPase activity.
See full target information TNNT2

文献 (17)

Recent publications for all applications. Explore the full list and refine your search

Bioactive materials 50:585-602 PubMed40453695

2025

Human induced pluripotent stem cell derived nanovesicles for cardiomyocyte protection and proliferation.

Applications

Unspecified application

Species

Unspecified reactive species

Yuhua Wei,Xiaoxiao Geng,Qing You,Yu Zhang,Fangfang Cao,Gunaseelan Narayanan,Thanh Nguyen,Xiaoyuan Chen,Jianyi Zhang,Lei Ye

Molecular therapy. Nucleic acids 34:102060 PubMed38028197

2023

Efficacy of exon-skipping therapy for DMD cardiomyopathy with mutations in actin binding domain 1.

Applications

Unspecified application

Species

Unspecified reactive species

Naoko Shiba,Xiao Yang,Mitsuto Sato,Shin Kadota,Yota Suzuki,Masahiro Agata,Kohei Nagamine,Masaki Izumi,Yusuke Honda,Tomoya Koganehira,Hideki Kobayashi,Hajime Ichimura,Shinichiro Chuma,Junichi Nakai,Shugo Tohyama,Keiichi Fukuda,Daigo Miyazaki,Akinori Nakamura,Yuji Shiba

NPJ Regenerative medicine 8:26 PubMed37236990

2023

Pluripotent stem cell-derived committed cardiac progenitors remuscularize damaged ischemic hearts and improve their function in pigs.

Applications

Unspecified application

Species

Unspecified reactive species

Lynn Yap,Li Yen Chong,Clarissa Tan,Swarnaseetha Adusumalli,Millie Seow,Jing Guo,Zuhua Cai,Sze Jie Loo,Eric Lim,Ru San Tan,Elina Grishina,Poh Loong Soong,Narayan Lath,Lei Ye,Enrico Petretto,Karl Tryggvason

Nucleic acids research 50:5313-5334 PubMed35544276

2022

Definition of germ layer cell lineage alternative splicing programs reveals a critical role for Quaking in specifying cardiac cell fate.

Applications

Unspecified application

Species

Unspecified reactive species

W Samuel Fagg,Naiyou Liu,Ulrich Braunschweig,Karen Larissa Pereira de Castro,Xiaoting Chen,Frederick S Ditmars,Steven G Widen,John Paul Donohue,Katalin Modis,William K Russell,Jeffrey H Fair,Matthew T Weirauch,Benjamin J Blencowe,Mariano A Garcia-Blanco

Frontiers in cardiovascular medicine 8:768873 PubMed34805322

2021

Cardiac Repair With Echocardiography-Guided Multiple Percutaneous Left Ventricular Intramyocardial Injection of hiPSC-CMs After Myocardial Infarction.

Applications

Unspecified application

Species

Unspecified reactive species

Xun Wu,Di Wang,Kele Qin,Chukwuemeka Daniel Iroegbu,Kun Xiang,Yuanjing Zhou,Qing Guan,Weijie Tang,Jun Peng,Jianjun Guo,Jinfu Yang,Chengming Fan

JCI insight 6: PubMed34676829

2021

TT-10-loaded nanoparticles promote cardiomyocyte proliferation and cardiac repair in a mouse model of myocardial infarction.

Applications

Unspecified application

Species

Unspecified reactive species

Wangping Chen,Danielle Pretorius,Yang Zhou,Yuji Nakada,Jinfu Yang,Jianyi Zhang

Stem cell research 53:102365 PubMed34087994

2021

Inhibition of EZH2 primes the cardiac gene activation via removal of epigenetic repression during human direct cardiac reprogramming.

Applications

Unspecified application

Species

Unspecified reactive species

Yawen Tang,Lianzhong Zhao,Xufen Yu,Jianyi Zhang,Li Qian,Jian Jin,Rui Lu,Yang Zhou

Oncology reports 44:628-636 PubMed32627044

2020

TNNT2 as a potential biomarker for the progression and prognosis of colorectal cancer.

Applications

Unspecified application

Species

Unspecified reactive species

Li Jing,Li Feng,Zhiguo Zhou,Shuai Shi,Ruoying Deng,Zhicong Wang,Yi Zhang,Zhixue Ren,Yibing Liu

American journal of physiology. Heart and circulat 318:H801-H815 PubMed32057252

2020

DNA damage-free iPS cells exhibit potential to yield competent cardiomyocytes.

Applications

Unspecified application

Species

Unspecified reactive species

Jessica M Miller,Nikhil M Mardhekar,Danielle Pretorius,Prasanna Krishnamurthy,Namakkal Soorappan Rajasekaran,Jianyi Zhang,Ramaswamy Kannappan

Journal of visualized experiments : JoVE : PubMed31355804

2019

Enhancing the Engraftment of Human Induced Pluripotent Stem Cell-derived Cardiomyocytes via a Transient Inhibition of Rho Kinase Activity.

Applications

Unspecified application

Species

Unspecified reactive species

Meng Zhao,Yawen Tang,Patrick J Ernst,Asher Kahn-Krell,Chengming Fan,Danielle Pretorius,Hanxi Zhu,Xi Lou,Lufang Zhou,Jianyi Zhang,Wuqiang Zhu
View all publications

Abcam Product Promise

我们致力于为您的研究提供高质量的试剂,为您科研的每一步提供支持。若我们的产品未能达到预期性能,我们向您提供 Abcam Product Promise 保障。
详情请参阅我们的条款与条件。

Please note: All products are 'FOR RESEARCH USE ONLY. NOT FOR USE IN DIAGNOSTIC OR THERAPEUTIC PROCEDURES'.

For licensing inquiries, please contact partnerships@abcam.com