JavaScript is disabled in your browser. Please enable JavaScript to view this website.
AB22609

Anti-CaMKII alpha 抗体 [6G9]

Anti-CaMKII alpha antibody [6G9]

4

(6 Reviews)

|

(94 Publications)

Anti-CaMKII alpha antibody [6G9] (ab22609) is a mouse monoclonal antibody detecting CaMKII alpha in Western Blot, IHC-P, IHC-Fr. Suitable for Human, Mouse, Rat.

- Over 90 publications
- Trusted since 2005

查看别名

CAMKA, KIAA0968, CAMK2A, Calcium/calmodulin-dependent protein kinase type II subunit alpha, CaM kinase II subunit alpha, CaMK-II subunit alpha

3 Images
Immunohistochemistry (Frozen sections) - Anti-CaMKII alpha antibody [6G9] (AB22609)
  • IHC-Fr

Lab

Immunohistochemistry (Frozen sections) - Anti-CaMKII alpha antibody [6G9] (AB22609)

IHC image of CaMKII alpha staining in a section of frozen normal rat brain performed on a Leica BOND™ system using the standard protocol. The section was fixed in 10% paraformaldehyde (10 min) prior to staining. The section was incubated with ab22609, 1 µg/mL, for 15 mins at room temperature and detected using an HRP conjugated compact polymer system. DAB was used as the chromogen. The section was then counterstained with haematoxylin and mounted with DPX. The inset secondary-only control image is taken from an identical assay without primary antibody.

For other IHC staining systems (automated and non-automated) customers should optimize variable parameters such as antigen retrieval conditions, primary antibody concentration and antibody incubation times.

Western blot - Anti-CaMKII alpha antibody [6G9] (AB22609)
  • WB

Lab

Western blot - Anti-CaMKII alpha antibody [6G9] (AB22609)

All lanes:

Western blot - Anti-CaMKII alpha antibody [6G9] (ab22609) at 10 µg/mL

Lane 1:

Brain (Rat) Tissue Lysate at 20 µg

Lane 2:

Brain (Mouse) Tissue Lysate at 20 µg

Lane 3:

Brain (Human) Tissue Lysate at 20 µg

Secondary

All lanes:

Goat polyclonal to Mouse IgG - H&L - Pre-Adsorbed (HRP) at 1/5000 dilution

Predicted band size: 54 kDa

Observed band size: 100 kDa,50 kDa,65 kDa,70 kDa

false

Exposure time: 5min

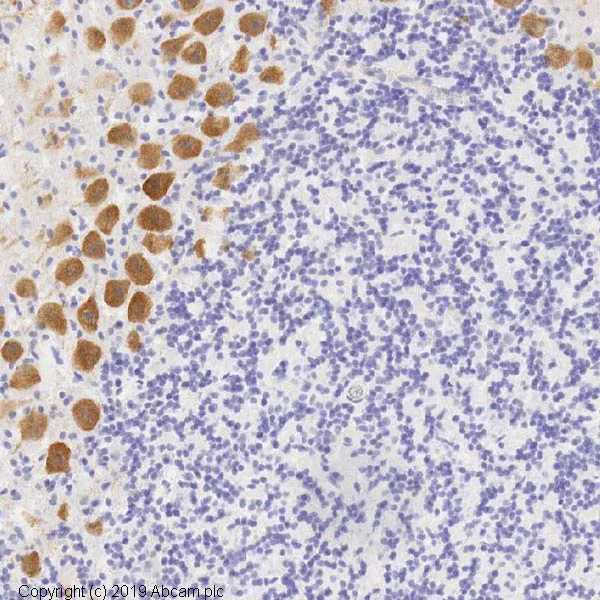
Immunohistochemistry (Formalin/PFA-fixed paraffin-embedded sections) - Anti-CaMKII alpha antibody [6G9] (AB22609)
  • IHC-P

Supplier Data

Immunohistochemistry (Formalin/PFA-fixed paraffin-embedded sections) - Anti-CaMKII alpha antibody [6G9] (AB22609)

IHC image of ab22609 staining in Rat normal brain (Purkinje cells, cerebellum) formalin fixed paraffin embedded tissue section, performed on a Leica BondTM system using the standard protocol F. The section was pre-treated using heat mediated antigen retrieval with sodium citrate buffer (pH6, epitope retrieval solution 1) for 20 mins. The section was then incubated with ab22609, 1μg/ml, for 15 mins at room temperature and detected using an HRP conjugated compact polymer system. DAB was used as the chromogen. The section was then counterstained with haematoxylin and mounted with DPX.

关键信息

宿主种属

Mouse

克隆

Monoclonal

克隆号

6G9

亚型

IgG1

不含载体蛋白

No

反应种属

Mouse, Rat, Human

应用

IHC-Fr, IHC-P, WB

applications

免疫原

The exact immunogen used to generate this antibody is proprietary information.

反应性数据

{ "title": "Reactivity Data", "filters": { "stats": ["", "Species", "Dilution Info", "Notes"], "tabs": { "all-applications": {"fullname" : "All Applications", "shortname": "All Applications"}, "WB" : {"fullname" : "Western blot", "shortname":"WB"}, "IHCP" : {"fullname" : "Immunohistochemistry (Formalin/PFA-fixed paraffin-embedded sections)", "shortname":"IHC-P"}, "IHCFr" : {"fullname" : "Immunohistochemistry (Frozen sections)", "shortname":"IHC-Fr"} }, "product-promise": { "all": "all", "testedAndGuaranteed": "tested", "guaranteed": "expected", "predicted": "predicted", "notRecommended": "not-recommended" } }, "values": { "Human": { "WB-species-checked": "testedAndGuaranteed", "WB-species-dilution-info": "1-5 µg/mL", "WB-species-notes": "<p></p>", "IHCP-species-checked": "guaranteed", "IHCP-species-dilution-info": "", "IHCP-species-notes": "", "IHCFr-species-checked": "guaranteed", "IHCFr-species-dilution-info": "", "IHCFr-species-notes": "" }, "Mouse": { "WB-species-checked": "testedAndGuaranteed", "WB-species-dilution-info": "1-5 µg/mL", "WB-species-notes": "<p></p>", "IHCP-species-checked": "guaranteed", "IHCP-species-dilution-info": "", "IHCP-species-notes": "", "IHCFr-species-checked": "guaranteed", "IHCFr-species-dilution-info": "", "IHCFr-species-notes": "" }, "Rat": { "WB-species-checked": "testedAndGuaranteed", "WB-species-dilution-info": "1-5 µg/mL", "WB-species-notes": "<p></p>", "IHCP-species-checked": "testedAndGuaranteed", "IHCP-species-dilution-info": "", "IHCP-species-notes": "<p></p>", "IHCFr-species-checked": "testedAndGuaranteed", "IHCFr-species-dilution-info": "1/500", "IHCFr-species-notes": "<p></p>" }, "Cow": { "WB-species-checked": "predicted", "WB-species-dilution-info": "", "WB-species-notes": "", "IHCP-species-checked": "predicted", "IHCP-species-dilution-info": "", "IHCP-species-notes": "", "IHCFr-species-checked": "predicted", "IHCFr-species-dilution-info": "", "IHCFr-species-notes": "" } } }

产品详情

性能和储存信息

形式
Liquid
纯化工艺
Affinity purification
存储溶液
pH: 7.4 Preservative: 0.02% Sodium azide Constituents: PBS, 6.97% L-Arginine
运输条件
Blue Ice
推荐的短期储存条件
+4°C
推荐的长期储存条件
-20°C
分装信息
Upon delivery aliquot
储存信息
Avoid freeze / thaw cycle

补充信息

This supplementary information is collated from multiple sources and compiled automatically.

CaMKII alpha also known as CAMK2A is an enzyme belonging to the CaMK kinase family. This protein is a calcium/calmodulin-dependent protein kinase and exhibits a molecular weight of approximately 50 to 60 kDa. CaMKII alpha is primarily expressed in the brain specifically in the hippocampus and other regions involved in synaptic activity. Due to its role as a serine/threonine kinase CaMKII alpha is significant in phosphorylating various substrates as part of cellular signaling.
Biological function summary

CaMKII alpha plays an important role in synaptic plasticity a process vital for learning and memory. The protein acts as an important component of the postsynaptic density complex where it interacts with other proteins to regulate synaptic strength. When calcium levels rise CaMKII alpha is activated through phosphorylation altering its conformation and allowing interactions with downstream substrates. This regulatory mechanism highlights its role in modulating neurotransmission synaptic potentiation and memory consolidation.

Pathways

CaMKII alpha functions within the calcium signaling pathway contributing to long-term potentiation (LTP) and long-term depression (LTD). It interacts with proteins such as NMDA receptors to facilitate changes in synaptic strength alongside other kinases. This pathway's activation leads to memory formation and synaptic plasticity in the central nervous system. Additionally CaMKII alpha connects with the MAPK signaling pathway integrating signals from various neurotransmitter systems which help coordinate neuronal response to stimuli.

Alterations in CaMKII alpha have been linked to neurological conditions such as Alzheimer's disease and schizophrenia. In Alzheimer's discourse in CaMKII alpha phosphorylation correlates with impaired memory and cognitive function. The protein also interfaces with tau another key protein related to neurofibrillary tangles in Alzheimer's. In schizophrenia abnormalities in CaMKII alpha expression and activity suggest its role in synaptic dysfunction and neurodevelopmental irregularities. Targeting CaMKII alpha may provide therapeutic opportunities for managing these and related neurological disorders.

产品实验方案

For this product, it's our understanding that no specific protocols are required. You can visit:

靶点信息

Calcium/calmodulin-dependent protein kinase that functions autonomously after Ca(2+)/calmodulin-binding and autophosphorylation, and is involved in various processes, such as synaptic plasticity, neurotransmitter release and long-term potentiation (PubMed : 14722083). Member of the NMDAR signaling complex in excitatory synapses, it regulates NMDAR-dependent potentiation of the AMPAR and therefore excitatory synaptic transmission (By similarity). Regulates dendritic spine development (PubMed : 28130356). Also regulates the migration of developing neurons (PubMed : 29100089). Phosphorylates the transcription factor FOXO3 to activate its transcriptional activity (PubMed : 23805378). Phosphorylates the transcription factor ETS1 in response to calcium signaling, thereby decreasing ETS1 affinity for DNA (By similarity). In response to interferon-gamma (IFN-gamma) stimulation, catalyzes phosphorylation of STAT1, stimulating the JAK-STAT signaling pathway (PubMed : 11972023). In response to interferon-beta (IFN-beta) stimulation, stimulates the JAK-STAT signaling pathway (PubMed : 35568036). Acts as a negative regulator of 2-arachidonoylglycerol (2-AG)-mediated synaptic signaling via modulation of DAGLA activity (By similarity).
See full target information CAMK2A

文献 (94)

Recent publications for all applications. Explore the full list and refine your search

Cellular and molecular life sciences : CMLS 80:289 PubMed37690046

2023

Upregulation of HDAC9 in hippocampal neurons mediates depression-like behaviours by inhibiting ANXA2 degradation.

Applications

Unspecified application

Species

Unspecified reactive species

Yunjian Dai,Taofeng Wei,Yuwen Huang,Yun Bei,Haoran Lin,Zexu Shen,Lingyan Yu,Mingdong Yang,Huimin Xu,Wei He,Zheng Lin,Haibin Dai

eLife 12: PubMed37489039

2023

Epigenetically distinct synaptic architecture in clonal compartments in the teleostean dorsal pallium.

Applications

Unspecified application

Species

Unspecified reactive species

Yasuko Isoe,Ryohei Nakamura,Shigenori Nonaka,Yasuhiro Kamei,Teruhiro Okuyama,Naoyuki Yamamoto,Hideaki Takeuchi,Hiroyuki Takeda

Frontiers in molecular neuroscience 16:1151162 PubMed37089691

2023

Glycolysis mediates neuron specific histone acetylation in valproic acid-induced human excitatory neuron differentiation.

Applications

Unspecified application

Species

Unspecified reactive species

Andi Chen,Mengmeng Wang,Chao Xu,Youyi Zhao,Panpan Xian,Yuqian Li,Weian Zheng,Xuyang Yi,Shengxi Wu,Yazhou Wang

Science advances 9:eade5397 PubMed37018397

2023

GPCR-mediated calcium and cAMP signaling determines psychosocial stress susceptibility and resiliency.

Applications

Unspecified application

Species

Unspecified reactive species

Hiromichi Inaba,Haiyan Li,Ayako Kawatake-Kuno,Ken-Ichi Dewa,Jun Nagai,Naoya Oishi,Toshiya Murai,Shusaku Uchida

Science advances 9:eabo5627 PubMed36753548

2023

Coordinated activity of a central pathway drives associative opioid analgesic tolerance.

Applications

Unspecified application

Species

Unspecified reactive species

Yiwen Hou,Guichang Zou,Xianglian Wang,Hui Guo,Xiao Ma,Xingyu Cheng,Zhiyong Xie,Xin Zuo,Jing Xia,Huanhuan Mao,Man Yuan,Qi Chen,Peng Cao,Yupeng Yang,Li Zhang,Wei Xiong

iScience 26:105830 PubMed36713262

2023

Serotonergic neurons control cortical neuronal intracellular energy dynamics by modulating astrocyte-neuron lactate shuttle.

Applications

Unspecified application

Species

Unspecified reactive species

Akiyo Natsubori,Shinobu Hirai,Soojin Kwon,Daisuke Ono,Fei Deng,Jinxia Wan,Momoka Miyazawa,Takashi Kojima,Haruo Okado,Akihiro Karashima,Yulong Li,Kenji F Tanaka,Makoto Honda

EMBO reports 23:e54543 PubMed35993189

2022

eEF2 in the prefrontal cortex promotes excitatory synaptic transmission and social novelty behavior.

Applications

Unspecified application

Species

Unspecified reactive species

Xuanyue Ma,Liuren Li,Ziming Li,Zhengyi Huang,Yaorong Yang,Peng Liu,Daji Guo,Yueyao Li,Tianying Wu,Ruixiang Luo,Junyu Xu,Wen-Cai Ye,Bin Jiang,Lei Shi

Journal of thoracic disease 14:2187-2200 PubMed35813708

2022

Moricizine prevents atrial fibrillation by late sodium current inhibition in atrial myocytes.

Applications

Unspecified application

Species

Unspecified reactive species

Tian Zou,Qingxing Chen,Chaofeng Chen,Guijian Liu,Yunlong Ling,Yang Pang,Ye Xu,Kuan Cheng,Wenqing Zhu,Ru-Xing Wang,Ling-Ling Qian,Junbo Ge

Cell reports 39:110882 PubMed35649349

2022

A cholinergic medial septum input to medial habenula mediates generalization formation and extinction of visual aversion.

Applications

Unspecified application

Species

Unspecified reactive species

Ronghao Mu,Susu Tang,Xiaomeng Han,Hao Wang,Danhua Yuan,Jiajia Zhao,Yan Long,Hao Hong

Signal transduction and targeted therapy 7:170 PubMed35641478

2022

BOD1 regulates the cerebellar IV/V lobe-fastigial nucleus circuit associated with motor coordination.

Applications

Unspecified application

Species

Unspecified reactive species

Xiu-Xiu Liu,Xing-Hui Chen,Zhi-Wei Zheng,Qin Jiang,Chen Li,Lin Yang,Xiang Chen,Xing-Feng Mao,Hao-Yang Yuan,Li-Li Feng,Quan Jiang,Wei-Xing Shi,Takuya Sasaki,Kohji Fukunaga,Zhong Chen,Feng Han,Ying-Mei Lu
View all publications

Abcam Product Promise

我们致力于为您的研究提供高质量的试剂,为您科研的每一步提供支持。若我们的产品未能达到预期性能,我们向您提供 Abcam Product Promise 保障。
详情请参阅我们的条款与条件。

关联产品

Select an associated product type
Alternative Product
Primary Antibodies

AB195518

HRP Anti-CaMKII antibody [EP1829Y]

primary-antibodies

hrp-camkii-antibody-ep1829y-ab195518

0

(0 reviews)

Alternative Product
Primary Antibodies

AB196165

Alexa Fluor® 647 Anti-CaMKII antibody [EP1829Y]

primary-antibodies

alexa-fluor-647-camkii-antibody-ep1829y-ab196165

0

(0 reviews)

Alternative Product
Primary Antibodies

AB134041

Anti-CaMKII antibody [EPR6686(2)]

primary-antibodies

camkii-antibody-epr66862-ab134041

0

(0 reviews)

Alternative Product
Primary Antibodies

AB52476

Anti-CaMKII antibody [EP1829Y]

primary-antibodies

camkii-antibody-ep1829y-ab52476

4

(7 reviews)

Alternative Product
Primary Antibodies

AB227108

Anti-CaMKII antibody [EPR6686(2)] - BSA and Azide free

primary-antibodies

camkii-antibody-epr66862-bsa-and-azide-free-ab227108

5

(1 reviews)

Alternative Product
Primary Antibodies

AB126789

Anti-CaMKII antibody [EPR6685(B)]

primary-antibodies

camkii-antibody-epr6685b-ab126789

0

(0 reviews)

Alternative Product
Primary Antibodies

AB219365

Anti-CaMKII antibody [EP1829Y] - Low endotoxin, Azide free

primary-antibodies

camkii-antibody-ep1829y-low-endotoxin-azide-free-ab219365

0

(0 reviews)

Alternative Version
Primary Antibodies

AB187488

Anti-CaMKII alpha antibody [6G9] - BSA and Azide free

primary-antibodies

camkii-alpha-antibody-6g9-bsa-and-azide-free-ab187488

5

(1 reviews)

Alternative Version
Primary Antibodies

AB197499

Alexa Fluor® 647 Anti-CaMKII alpha antibody [6G9]

primary-antibodies

alexa-fluor-647-camkii-alpha-antibody-6g9-ab197499

0

(0 reviews)

Alternative Version
Primary Antibodies

AB197497

Alexa Fluor® 488 Anti-CaMKII alpha antibody [6G9]

primary-antibodies

alexa-fluor-488-camkii-alpha-antibody-6g9-ab197497

0

(0 reviews)

Alternative Version
Primary Antibodies

AB197500

HRP Anti-CaMKII alpha antibody [6G9]

primary-antibodies

hrp-camkii-alpha-antibody-6g9-ab197500

0

(0 reviews)

Please note: All products are 'FOR RESEARCH USE ONLY. NOT FOR USE IN DIAGNOSTIC OR THERAPEUTIC PROCEDURES'.

For licensing inquiries, please contact partnerships@abcam.com