JavaScript is disabled in your browser. Please enable JavaScript to view this website.
AB22595

Anti-Calnexin 抗体 - ER Marker

Anti-Calnexin antibody - ER Marker

5

(28 Reviews)

|

(717 Publications)

Anti-Calnexin antibody - ER Marker (ab22595) is a rabbit polyclonal antibody detecting Calnexin in Western Blot, IP, ICC/IF. Suitable for Human, Mouse, Rat.

- Over 480 publications
- Trusted since 2006

查看别名

Calnexin, IP90, Major histocompatibility complex class I antigen-binding protein p88, p90, CANX

8 Images
Immunocytochemistry/ Immunofluorescence - Anti-Calnexin antibody - ER Marker (AB22595)
  • ICC/IF

Lab

Immunocytochemistry/ Immunofluorescence - Anti-Calnexin antibody - ER Marker (AB22595)

ab22595 staining Calnexin in HeLa (Human epithelial cell line from cervix adenocarcinoma) cells.

The cells were fixed with 100% methanol for 5 minutes, permeabilized with 0.1% Triton X-100 for 5 minutes and then blocked with 1% BSA/10% normal goat serum/0.3M glycine in 0.1% PBS-Tween for 1 hour. The cells were then incubated with ab22595 at 1 μg/ml and ab7291 at 1 μg/ml overnight at +4°C, followed by a further incubation at room temperature for 1 hour with a goat secondary antibody to Rabbit IgG (Alexa Fluor® 488) (ab150081) at 2 μg/ml (shown in green) and a goat secondary antibody to Mouse IgG (Alexa Fluor® 594) (ab150120).

Nuclear DNA was labeled in blue with DAPI.

Image was taken with a confocal microscope (Leica-Microsystems, TCS SP8).

Immunocytochemistry/ Immunofluorescence - Anti-Calnexin antibody - ER Marker (AB22595)
  • ICC/IF

Lab

Immunocytochemistry/ Immunofluorescence - Anti-Calnexin antibody - ER Marker (AB22595)

ab22595 staining Calnexin in wild-type HAP1 cells (top panel) and CANX knockout HAP1 cells (bottom panel).

The cells were fixed with 4% formaldehyde for 10 minutes, permeabilized with 0.1% Triton X-100 for 5 minutes and then blocked with 1% BSA/10% normal goat serum/0.3M glycine in 0.1% PBS-Tween for 1 hour. The cells were then incubated with ab22595 at 1 μg/ml and ab195889 at 1/250 dilution (shown in pseudocolour red) overnight at +4°C, followed by a further incubation at room temperature for 1 hour with a goat secondary antibody to Rabbit IgG (Alexa Fluor® 488) (ab150081) at 2 μg/ml (shown in green).

Nuclear DNA was labeled in blue with DAPI.

Image was taken with a confocal microscope (Leica-Microsystems, TCS SP8).

Immunoprecipitation - Anti-Calnexin antibody - ER Marker (AB22595)
  • IP

Unknown

Immunoprecipitation - Anti-Calnexin antibody - ER Marker (AB22595)

Calnexin was immunoprecipitated using 0.5 mg HeLa (Human epithelial cell line from cervix adenocarcinoma) whole cell extract, 5 μg of Rabbit polyclonal to Calnexin - ER membrane marker and 50 μl of protein G magnetic beads (+).

No antibody was added to the control (-).
The antibody was incubated under agitation with Protein G beads for 10 minutes, HeLa whole cell extract lysate diluted in RIPA buffer was added to each sample and incubated for a further 10 minutes under agitation.
Proteins were eluted by addition of 40 μl SDS loading buffer and incubated for 10 minutes at 70oC; 10 μl of each sample was separated on a SDS PAGE gel, transferred to a nitrocellulose membrane, blocked with 5% BSA and probed with ab22595.
Secondary : Goat polyclonal to mouse IgG light chain specific (HRP) at 1/5000 dilution.
Band : 80kDa : Calnexin - ER membrane marker.

All lanes:

Immunoprecipitation - Anti-Calnexin antibody - ER Marker (ab22595)

Predicted band size: 68 kDa

false

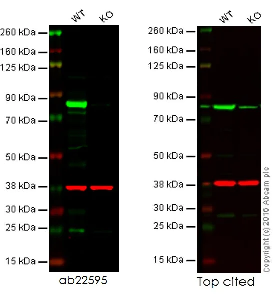
Western blot - Anti-Calnexin antibody - ER Marker (AB22595)
  • WB

Lab

Western blot - Anti-Calnexin antibody - ER Marker (AB22595)

Lane 1 : Wild-type HAP1 cell lysate (20 μg)
Lane 2 : Calnexin knockout HAP1 cell lysate (20 μg)

Lanes 1 - 2 : Merged signal (red and green). Green - ab22595 observed at 80 kDa. Red - loading control, ab8245, observed at 37 kDa.

This western blot image is a comparison between ab22595 and a competitor's top cited rabbit polyclonal antibody.

All lanes:

Western blot - Anti-Calnexin antibody - ER Marker (ab22595)

Predicted band size: 68 kDa

false

Western blot - Anti-Calnexin antibody - ER Marker (AB22595)
  • WB

Lab

Western blot - Anti-Calnexin antibody - ER Marker (AB22595)

Lane 1 : Wild type HAP1 whole cell lysate (20 μg)
Lane 2 : empty lane
Lane 3 : CANX knockout HAP1 whole cell lysate (20 μg)
Lane 4 : empty lane
Lanes 1 - 4 : Merged signal (red and green). Green - ab22595 observed at 80 kDa. Red - loading control, ab8245, observed at 37 kDa.

ab22595 was shown to specifically react with CANX (Calnexin) in wildtype cells as signal was lost in CANX (Calnexin) knockout cells. Wild-type and eCANX (Calnexin) knockout samples were subjected to SDS-PAGE. ab22595 and ab8245 (Mouse anti GAPDH loading control) were incubated overnight at 4°C at 1 dilution and 1/10,000 dilution respectively.

Blots were developed with Goat anti-Rabbit IgG H&L (IRDye® 800CW) preabsorbed ab216773 and Goat anti-Mouse IgG H&L (IRDye® 680RD) preabsorbed ab216776 secondary antibodies at 1/10,000 dilution for 1 hour at room temperature before imaging.

All lanes:

Western blot - Anti-Calnexin antibody - ER Marker (ab22595)

Predicted band size: 68 kDa

Observed band size: 80 kDa

false

Western blot - Anti-Calnexin antibody - ER Marker (AB22595)
  • WB

Project1206****

Western blot - Anti-Calnexin antibody - ER Marker (AB22595)

Recent batches of ab22595 (AP217379 and AP151845) detect a band of ~ 75 kDa in HeLa, U-2 OS and MCF7 lysates. This band is completely blocked by the immunizing peptide so we believe this represents Calnexin. Moreoever, a band of the same size is detected by other Calnexin antibodies tested.

All lanes:

Western blot - Anti-Calnexin antibody - ER Marker (ab22595) at 1 µg/mL

Lane 1:

HeLa (Human epithelial carcinoma cell line) whole cell lysate at 20 µg

Lane 2:

U-2 OS (Human bone osteosarcoma epithelial cell line) whole cell lysate at 20 µg

Lane 3:

MCF7 (Human breast adenocarcinoma cell line) whole cell lysate at 20 µg

Lane 4:

HeLa whole cell lysate at 20 µg

Lane 5:

U-2 OS whole cell lysate at 20 µg

Lane 6:

MCF7 whole cell lysate at 20 µg

Secondary

All lanes:

Goat polyclonal to Rabbit IgG (Alexa Fluor® 680) at 1/10000 dilution

Predicted band size: 68 kDa

Observed band size: 75 kDa

false

Western blot - Anti-Calnexin antibody - ER Marker (AB22595)
  • WB

PubMed

Western blot - Anti-Calnexin antibody - ER Marker (AB22595)

Subcellular distribution of Smn and hnRNP R in isolated mouse embryonic motoneurons.

Lentiviral knockdown of hnRNP R led to a dose-dependent reduction of hnRNP R levels. Calnexin and Smn protein were not altered significantly.

Primary motoneurons or E18 spinal cord tissue, respectively, were lysed with cytosolic and nuclear fractionation buffer, solubilized in Laemmli buffer and boiled for 10 minutes at 99°C. Proteins were then subjected to SDS-PAGE, blotted onto PVDF membrane, incubated with the corresponding antibodies, including ab22595.

All lanes:

Western blot - Anti-Calnexin antibody - ER Marker (ab22595)

Predicted band size: 68 kDa

false

Dombert et al PLoS One. 2014 Oct 22;9(10):e110846. doi: 10.1371/journal.pone.0110846. eCollection 2014. Fig 1. Reproduced under the Creative Commons license http://creativecommons.org/licenses/by/4.0/

Western blot - Anti-Calnexin antibody - ER Marker (AB22595)
  • WB

Project

Western blot - Anti-Calnexin antibody - ER Marker (AB22595)

All lanes:

Western blot - Anti-Calnexin antibody - ER Marker (ab22595) at 1/250 dilution

Lane 1:

Western blot - NIH/3T3 whole cell lysate (<a href='/products/cell-lysates/nih-3t3-whole-cell-lysate-ab7179'>ab7179</a>) at 10 µg

Lane 2:

MEF1 (Mouse embryonic fibroblast cell line) Whole Cell Lysate (ab46770) at 10 µg

Lane 3:

Brain (Mouse) Tissue Lysate (ab27253) at 10 µg

Lane 4:

Liver (Mouse) Tissue Lysate (<a href='/products/unavailable/liver-mouse-tissue-lysate-ab7935'>ab7935</a>) at 10 µg

Lane 5:

Heart (Mouse) Tissue Lysate (ab27255) at 10 µg

Lane 6:

Kidney (Mouse) Tissue Lysate (ab27254) at 10 µg

Lane 7:

Western blot - Mouse pancreas tissue lysate - total protein (<a href='/products/tissue-lysates/mouse-pancreas-tissue-lysate-total-protein-ab29363'>ab29363</a>) at 10 µg

Lane 8:

Testis (Mouse) Tissue Lysate - normal tissue (<a href='/products/unavailable/testis-mouse-tissue-lysate-normal-tissue-ab4027'>ab4027</a>) at 10 µg

Lane 9:

Western blot - Mouse skeletal muscle tissue lysate - total protein (<a href='/products/tissue-lysates/mouse-skeletal-muscle-tissue-lysate-total-protein-ab29711'>ab29711</a>) at 10 µg

Lane 10:

Spinal Cord (Mouse) Tissue Lysate (ab50253) at 10 µg

Lane 11:

Ovary (Mouse) Tissue Lysate (ab35808) at 10 µg

Lane 12:

PC-12 (Rat adrenal pheochromocytoma cell line) Whole Cell Lysate (ab50957) at 10 µg

Lane 13:

Brain (Rat) Tissue Lysate (<a href='/products/unavailable/brain-rat-tissue-lysate-ab7942'>ab7942</a>) at 10 µg

Lane 14:

Liver (Rat) Tissue Lysate (ab27256) at 10 µg

Lane 15:

Heart (Rat) Tissue Lysate (<a href='/products/unavailable/heart-rat-tissue-lysate-ab7940'>ab7940</a>) at 10 µg

Lane 16:

Kidney (Rat) Whole Cell Lysate - normal tissue (<a href='/products/unavailable/kidney-rat-whole-cell-lysate-normal-tissue-ab29480'>ab29480</a>) at 10 µg

Secondary

All lanes:

IRDye 680 Conjugated Goat Anti-Rabbit IgG (H+L) at 1/10000 dilution

Predicted band size: 68 kDa

Observed band size: 80 kDa

false

关键信息

宿主种属

Rabbit

克隆

Polyclonal

亚型

IgG

不含载体蛋白

No

反应种属

Mouse, Rat, Human

应用

ICC/IF, WB, IP

applications

免疫原

The exact immunogen used to generate this antibody is proprietary information.

特异性

Recognizes ER membrane, mitochondria and cis-Golgi

反应性数据

{ "title": "Reactivity Data", "filters": { "stats": ["", "Species", "Dilution Info", "Notes"], "tabs": { "all-applications": {"fullname" : "All Applications", "shortname": "All Applications"}, "IP" : {"fullname" : "Immunoprecipitation", "shortname":"IP"}, "WB" : {"fullname" : "Western blot", "shortname":"WB"}, "ICCIF" : {"fullname" : "Immunocytochemistry/ Immunofluorescence", "shortname":"ICC/IF"} }, "product-promise": { "all": "all", "testedAndGuaranteed": "tested", "guaranteed": "expected", "predicted": "predicted", "notRecommended": "not-recommended" } }, "values": { "Human": { "IP-species-checked": "testedAndGuaranteed", "IP-species-dilution-info": "", "IP-species-notes": "<p></p>", "WB-species-checked": "testedAndGuaranteed", "WB-species-dilution-info": "1 µg/mL", "WB-species-notes": "<p></p>", "ICCIF-species-checked": "testedAndGuaranteed", "ICCIF-species-dilution-info": "1 µg/mL", "ICCIF-species-notes": "<p></p>" }, "Mouse": { "IP-species-checked": "guaranteed", "IP-species-dilution-info": "", "IP-species-notes": "", "WB-species-checked": "testedAndGuaranteed", "WB-species-dilution-info": "1 µg/mL", "WB-species-notes": "<p></p>", "ICCIF-species-checked": "guaranteed", "ICCIF-species-dilution-info": "", "ICCIF-species-notes": "" }, "Rat": { "IP-species-checked": "guaranteed", "IP-species-dilution-info": "", "IP-species-notes": "", "WB-species-checked": "testedAndGuaranteed", "WB-species-dilution-info": "1/250", "WB-species-notes": "<p></p>", "ICCIF-species-checked": "guaranteed", "ICCIF-species-dilution-info": "", "ICCIF-species-notes": "" }, "Common marmoset": { "IP-species-checked": "predicted", "IP-species-dilution-info": "", "IP-species-notes": "", "WB-species-checked": "predicted", "WB-species-dilution-info": "", "WB-species-notes": "", "ICCIF-species-checked": "predicted", "ICCIF-species-dilution-info": "", "ICCIF-species-notes": "" }, "Dog": { "IP-species-checked": "predicted", "IP-species-dilution-info": "", "IP-species-notes": "", "WB-species-checked": "predicted", "WB-species-dilution-info": "", "WB-species-notes": "", "ICCIF-species-checked": "predicted", "ICCIF-species-dilution-info": "", "ICCIF-species-notes": "" } } }

产品详情

Anti-Calnexin antibody - ER Marker (ab22595) is a rabbit polyclonal antibody and is validated for use in ICC/IF, IP, WB in human samples.

Anti-Calnexin antibody - ER Marker (ab22595) has been cited over 482 times in peer reviewed journals, has been used for calnexin staining and is trusted by the scientific community.

Abcam's high quality validation processes ensure Anti-Calnexin antibody - ER Marker (ab22595) has high sensitivity and specificity.

The specificity of Anti-Calnexin antibody - ER Marker (ab22595) has been confirmed by testing in knockout samples.

Anti-Calnexin antibody - ER Marker (ab22595) has 28 independent reviews from customers.

Anti-Calnexin antibody - ER Marker (ab22595) specifically detects Calnexin (UniProt ID: P27824; Molecular weight: 65kDa) and is sold in 100 µg selling sizes.

Calnexin, an endoplasmic reticulum (ER) chaperone protein, plays a crucial role in oncology by influencing the immune response to tumors and cancer cell behavior. It can impair antitumor immunity by inhibiting T-cell infiltration and enhancing PD-1 expression on T cells, which suppresses their activity. Additionally, aberrant O-glycosylation of calnexin is linked to increased cancer cell migration and adhesion.

Explore our range of organelle-specific antibodies and dyes and discover why our reagents are deeply trusted by cell biologists.

性能和储存信息

形式
Liquid
纯化工艺
Affinity purification Immunogen
存储溶液
pH: 7.4 Preservative: 0.02% Sodium azide Constituents: PBS, 1% BSA
运输条件
Blue Ice
推荐的短期储存时间
1-2 weeks
推荐的短期储存条件
+4°C
推荐的长期储存条件
-20°C
分装信息
Upon delivery aliquot
储存信息
Avoid freeze / thaw cycle|Store in the dark

补充信息

This supplementary information is collated from multiple sources and compiled automatically.

Calnexin also known as Canx is a type I integral membrane protein of the endoplasmic reticulum (ER) involved in the process of protein folding. This chaperone protein has an approximate molecular weight of 90 kDa and is known for its role in the quality control of glycoproteins. Calnexin is expressed in the ER of cells where it interacts with nascent polypeptides to ensure proper folding and assembly contributing to cellular homeostasis. It exhibits its function through its lectin-like domain that binds to sugar moieties on glycoproteins.
Biological function summary

Calnexin facilitates the proper folding of newly synthesized proteins by forming a complex with another chaperone protein called ERp57. This interaction helps in creating the correct disulfide bonds in glycoproteins which is essential for their stability and functionality. The complex often referred to as the calnexin cycle is critical in preventing the aggregation and misfolding of proteins within the ER. This process ensures that only correctly folded proteins proceed to the Golgi apparatus for further processing and transport.

Pathways

Calnexin plays an important role in the ER-associated degradation (ERAD) pathway and the unfolded protein response (UPR). In these pathways calnexin ensures that misfolded proteins are retained in the ER or targeted for degradation preventing cellular stress. Calnexin is associated with proteins such as calreticulin another chaperone protein with a similar function in the ER. Together they maintain proteostasis within cells and protect against the accumulation of improperly folded proteins.

Calnexin is linked to several conditions including cystic fibrosis and certain neurodegenerative diseases. In cystic fibrosis the misfolding and subsequent degradation of the CFTR protein are associated with calnexin's role in the ERAD pathway. Similarly in neurodegenerative diseases such as Alzheimer's disrupted protein folding and aggregation are linked to ER stress where calnexin and other chaperone proteins like BiP play a pivotal role in managing protein misfolding. Understanding calnexin's role in these disorders can contribute to developing strategies to mitigate faulty protein folding and its pathological consequences.

产品实验方案

For this product, it's our understanding that no specific protocols are required. You can visit:

靶点信息

Calcium-binding protein that interacts with newly synthesized monoglucosylated glycoproteins in the endoplasmic reticulum. It may act in assisting protein assembly and/or in the retention within the ER of unassembled protein subunits. It seems to play a major role in the quality control apparatus of the ER by the retention of incorrectly folded proteins. Associated with partial T-cell antigen receptor complexes that escape the ER of immature thymocytes, it may function as a signaling complex regulating thymocyte maturation. Additionally it may play a role in receptor-mediated endocytosis at the synapse.
See full target information CANX

文献 (717)

Recent publications for all applications. Explore the full list and refine your search

Bioengineering & translational medicine 10:e70025 PubMed41030280

2025

Engineering biomimetic nanovesicles for PEBP1 mRNA delivery to inhibit ferroptosis in abdominal aortic aneurysm.

Applications

Unspecified application

Species

Unspecified reactive species

Lulu Chen,Bicheng Chen,Xiang Su

PLoS pathogens 21:e1013538 PubMed40982531

2025

Endoplasmic reticulum-anchored nonstructural proteins drive human astrovirus replication organelle formation.

Applications

Unspecified application

Species

Unspecified reactive species

Brooke Bengert,Samaneh Mehri,Madeline Holliday,Nicholas J Lennemann

Molecular psychiatry : PubMed40968259

2025

A low frequency damaging SORCS2 variant identified in a family with ADHD compromises receptor stability and quenches activity.

Applications

Unspecified application

Species

Unspecified reactive species

Mathias Kaas,Sarah Broholt Dinesen,Ole Ahlgreen,Peder Madsen,Simon Mølgaard,Anders Dalby,Camilla Gustafsen,Ditte Olsen,Jinjie Duan,Joachim Vilstrup,Jonas Lende,Sanne Nordestgaard,Tetyana Zayats,Per Morten Knappskog,Stefan Johansson,Gesche Neckelmann,Barbara Franke,Søren Thirup,Anders Børglum,Andreas Reif,Christian Vægter,Ditte Demontis,Jan Haavik,Simon Glerup,Sune Skeldal

Theranostics 15:8985-9000 PubMed40963917

2025

Extracellular vehicles-mediated Twsit1 transferred from tumor cells to brain induces depressive-like behaviors via neuronal morphogenesis.

Applications

Unspecified application

Species

Unspecified reactive species

Ruo-Si Zou,Jin-Gang He,Yang Zhao,Bing Zhou,Si-Long Deng,Jian-Guo Chen,Fang Wang

ACS omega 10:37081-37095 PubMed40893304

2025

Hydrogel-Mediated Sustained Delivery of Corneal Epithelial Extracellular Vesicles: A Strategy for Enhanced Corneal Regeneration.

Applications

Unspecified application

Species

Unspecified reactive species

Jenny Rosenquist Lybecker,Ann Van de Ven,Ken Braesch-Andersen,David Juriga,Norein Norein,Per Hansson,Ayan Samanta

Communications biology 8:1309 PubMed40883591

2025

Ovalbumin-induced asthma leads to bone loss with Piezo channel suppression in mice.

Applications

Unspecified application

Species

Unspecified reactive species

Weiqi Gao,Takeshi Sawada,Ailin Cao,Reiko U Yoshimoto,Yu Yamaguchi,Yukie Takahashi,Takaichi Fukuda,Yasuyoshi Ohsaki,Reona Aijima,Tomoko Kadowaki,Takayuki Tsukuba,Mizuho A Kido

Molecular medicine (Cambridge, Mass.) 31:281 PubMed40849639

2025

CAF-derived exosomes drive the FGF4/SHH feedback loop by encapsulating GREM1 in non-small cell lung cancer.

Applications

Unspecified application

Species

Unspecified reactive species

Xianqiao Wu,Wei Chen,Tianzheng Fang,Ziyuan Chen,Shuai Fang,Chengwei Zhou

Redox biology 86:103826 PubMed40825268

2025

Macrophages and macrophage extracellular vesicles confer cancer ferroptosis resistance via PRDX6-mediated mitophagy inhibition.

Applications

Unspecified application

Species

Unspecified reactive species

Naisheng Zheng,Fuli Li,Qing Huang,Xian Huang,Tomasz Maj

Molecular medicine (Cambridge, Mass.) 31:278 PubMed40819077

2025

Targeting LINC02544/miR-497-5p/CAPRIN1 axis via exosome-based siRNA to overcome immunotherapy resistance in triple-negative breast cancer.

Applications

Unspecified application

Species

Unspecified reactive species

Bin Lian,Jiayi Li,Shihui Tang,Ting Li,Jinping Li

mBio 16:e0201225 PubMed40802282

2025

COVID-19-associated neuroinflammation and astrocyte death in the brain linked to ORF3a-induced activation of Sur1-mediated ion channels.

Applications

Unspecified application

Species

Unspecified reactive species

Volodymyr Gerzanich,Chenyu Zhang,Jiantao Zhang,Bhargava Teja Sallapalli,Shaokai Pei,Mohamed Nasr,Cigdem Tosun,Yanjin Zhang,Qiyi Tang,J Marc Simard,Richard Y Zhao
View all publications

Abcam Product Promise

我们致力于为您的研究提供高质量的试剂,为您科研的每一步提供支持。若我们的产品未能达到预期性能,我们向您提供 Abcam Product Promise 保障。
详情请参阅我们的条款与条件。

Please note: All products are 'FOR RESEARCH USE ONLY. NOT FOR USE IN DIAGNOSTIC OR THERAPEUTIC PROCEDURES'.

For licensing inquiries, please contact partnerships@abcam.com