JavaScript is disabled in your browser. Please enable JavaScript to view this website.
AB154213

Anti-Calcium Pump PMCA3 ATPase抗体

Anti-Calcium Pump PMCA3 ATPase antibody

Be the first to review this product! Submit a review

|

(0 Publication)

Rabbit Polyclonal Calcium Pump PMCA3 ATPase antibody. Suitable for IHC-P, WB and reacts with Human samples. Immunogen corresponding to Recombinant Fragment Protein within Human Plasma membrane calcium-transporting ATPase 3 aa 550-900.

查看别名

Plasma membrane calcium-transporting ATPase 3, PMCA3, Plasma membrane calcium ATPase isoform 3, Plasma membrane calcium pump isoform 3, ATP2B3

2 Images
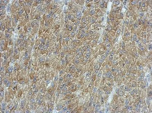
Immunohistochemistry (Formalin/PFA-fixed paraffin-embedded sections) - Anti-Calcium Pump PMCA3 ATPase antibody (AB154213)
  • IHC-P

Unknown

Immunohistochemistry (Formalin/PFA-fixed paraffin-embedded sections) - Anti-Calcium Pump PMCA3 ATPase antibody (AB154213)

Immunohistochemical analysis of paraffin-embedded Human U87 xenograft tissue, labeling Calcium Pump PMCA3 ATPase with ab154213 at 1/500 dilution.

Western blot - Anti-Calcium Pump PMCA3 ATPase antibody (AB154213)
  • WB

Unknown

Western blot - Anti-Calcium Pump PMCA3 ATPase antibody (AB154213)

5% SDS PAGE

All lanes:

Western blot - Anti-Calcium Pump PMCA3 ATPase antibody (ab154213) at 1/1000 dilution

All lanes:

U-87 MG whole cell lysate at 30 µg

Predicted band size: 134 kDa

false

关键信息

宿主种属

Rabbit

克隆

Polyclonal

亚型

IgG

不含载体蛋白

No

反应种属

Human

应用

IHC-P, WB

applications

免疫原

Recombinant Fragment Protein within Human Plasma membrane calcium-transporting ATPase 3 aa 550-900. The exact immunogen used to generate this antibody is proprietary information.

Q16720

反应性数据

{ "title": "Reactivity Data", "filters": { "stats": ["", "Species", "Dilution Info", "Notes"], "tabs": { "all-applications": {"fullname" : "All Applications", "shortname": "All Applications"}, "IHCP" : {"fullname" : "Immunohistochemistry (Formalin/PFA-fixed paraffin-embedded sections)", "shortname":"IHC-P"}, "WB" : {"fullname" : "Western blot", "shortname":"WB"} }, "product-promise": { "all": "all", "testedAndGuaranteed": "tested", "guaranteed": "expected", "predicted": "predicted", "notRecommended": "not-recommended" } }, "values": { "Human": { "IHCP-species-checked": "testedAndGuaranteed", "IHCP-species-dilution-info": "1/100.00000 - 1/1000.00000", "IHCP-species-notes": "<p></p> Perform heat-mediated antigen retrieval before commencing with IHC staining protocol.", "WB-species-checked": "testedAndGuaranteed", "WB-species-dilution-info": "1/500.00000 - 1/3000.00000", "WB-species-notes": "<p></p>" }, "Mouse": { "IHCP-species-checked": "predicted", "IHCP-species-dilution-info": "", "IHCP-species-notes": "", "WB-species-checked": "predicted", "WB-species-dilution-info": "", "WB-species-notes": "" }, "Rat": { "IHCP-species-checked": "predicted", "IHCP-species-dilution-info": "", "IHCP-species-notes": "", "WB-species-checked": "predicted", "WB-species-dilution-info": "", "WB-species-notes": "" }, "Cow": { "IHCP-species-checked": "predicted", "IHCP-species-dilution-info": "", "IHCP-species-notes": "", "WB-species-checked": "predicted", "WB-species-dilution-info": "", "WB-species-notes": "" } } }

性能和储存信息

形式
Liquid
纯化工艺
Affinity purification Immunogen
存储溶液
pH: 7 Preservative: 0.01% Thimerosal (merthiolate) Constituents: 20% Glycerol (glycerin, glycerine), 1.21% Tris, 0.75% Glycine
运输条件
Blue Ice
推荐的短期储存条件
+4°C
推荐的长期储存条件
-20°C
分装信息
Upon delivery aliquot
储存信息
Avoid freeze / thaw cycle

补充信息

This supplementary information is collated from multiple sources and compiled automatically.

The Calcium Pump PMCA3 ATPase also known as Plasma Membrane Calcium-Transporting ATPase 3 plays an important role in calcium homeostasis. This enzyme weighing approximately 134 kDa actively transports calcium ions out of cells to maintain low intracellular calcium levels. PMCA3 is mainly expressed in the brain and other neural tissues where it helps regulate neuronal signaling. The pump uses ATP to move calcium against its concentration gradient from the cytosol to the extracellular space a critical function for cellular activities.
Biological function summary

PMCA3 controls the concentration of cytosolic calcium ions which influences many cellular processes such as muscle contraction neurotransmitter release and gene expression. PMCA3 often functions independently although it can sometimes exist in complexes with other proteins influencing its regulation and activity. The regulation of neuronal calcium levels through PMCA3 is essential for proper synaptic function and plasticity making it a point of interest in neurophysiological research.

Pathways

PMCA3 plays a role in the calcium signaling pathway affecting signal transduction processes across various cell types. It acts alongside other calcium-handling proteins including Ca2+ channels and buffers in modulating cellular responses to physiological stimuli. Additionally PMCA3 intersects with the MAPK signaling pathway by influencing intracellular calcium which in turn can activate protein kinases and affect transcription regulation.

PMCA3 holds relevance in conditions such as spinocerebellar ataxia and epilepsy. Mutations or dysregulation of PMCA3 can disrupt calcium homeostasis leading to neurodegenerative conditions such as ataxia where coordination and balance are impaired. The dysregulated calcium flow can also influence seizure activity in epilepsy by affecting neurons' excitability. Associations with proteins like calmodulin which regulates PMCA3 activity further elucidate its pathophysiological connections in these diseases.

产品实验方案

For this product, it's our understanding that no specific protocols are required. You can visit:

靶点信息

ATP-driven Ca(2+) ion pump involved in the maintenance of basal intracellular Ca(2+) levels at the presynaptic terminals (PubMed : 18029012, PubMed : 22912398, PubMed : 25953895, PubMed : 27035656). Uses ATP as an energy source to transport cytosolic Ca(2+) ions across the plasma membrane to the extracellular compartment (PubMed : 25953895, PubMed : 27035656). May counter-transport protons, but the mechanism and the stoichiometry of this Ca(2+)/H(+) exchange remains to be established (By similarity).
See full target information Plasma membrane calcium-transporting ATPase 3

Abcam Product Promise

我们致力于为您的研究提供高质量的试剂,为您科研的每一步提供支持。若我们的产品未能达到预期性能,我们向您提供 Abcam Product Promise 保障。
详情请参阅我们的条款与条件。

关联产品

Select an associated product type
Alternative Product
Primary Antibodies

AB3530

Anti-Calcium Pump PMCA3 ATPase antibody

primary-antibodies

calcium-pump-pmca3-atpase-antibody-ab3530

4

(3 reviews)

Please note: All products are 'FOR RESEARCH USE ONLY. NOT FOR USE IN DIAGNOSTIC OR THERAPEUTIC PROCEDURES'.

For licensing inquiries, please contact partnerships@abcam.com