JavaScript is disabled in your browser. Please enable JavaScript to view this website.
AB183311

Anti-C4d 抗体 [SP91] - C-terminal

Anti-C4d antibody [SP91] - C-terminal

  • BOND RX™ Validated
  • RabMAb
  • Recombinant
  • 20ul selling size
  • 了解详情

5

(1 Review)

|

(5 Publications)

Anti-C4d antibody [SP91] - C-terminal (ab183311) is a rabbit monoclonal antibody detecting C4d in IHC-P. Suitable for Human.

- Biophysical QC for unrivalled batch-batch consistency

查看别名

CO4, CPAMD3, C4B_2, Complement C4-B, Basic complement C4, C3 and PZP-like alpha-2-macroglobulin domain-containing protein 3

4 Images
Immunohistochemistry (Formalin/PFA-fixed paraffin-embedded sections) - Anti-C4d antibody [SP91] - C-terminal (AB183311)
  • IHC-P

Supplier Data

Immunohistochemistry (Formalin/PFA-fixed paraffin-embedded sections) - Anti-C4d antibody [SP91] - C-terminal (AB183311)

Immunohistochemical analysis of Human tonsil tissue labeling C4d using ab183311 at a 1/100 dilution

Immunohistochemistry (Formalin/PFA-fixed paraffin-embedded sections) - Anti-C4d antibody [SP91] - C-terminal (AB183311)
  • IHC-P

Supplier Data

Immunohistochemistry (Formalin/PFA-fixed paraffin-embedded sections) - Anti-C4d antibody [SP91] - C-terminal (AB183311)

Immunohistochemical analysis of Human tonsil tissue labeling C4d using ab183311 at a 1/100 dilution.

Immunohistochemistry (Formalin/PFA-fixed paraffin-embedded sections) - Anti-C4d antibody [SP91] - C-terminal (AB183311)
  • IHC-P

Lab

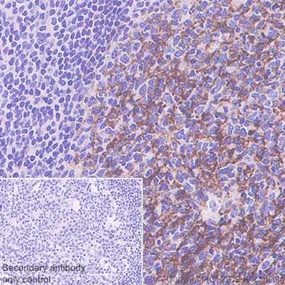
Immunohistochemistry (Formalin/PFA-fixed paraffin-embedded sections) - Anti-C4d antibody [SP91] - C-terminal (AB183311)

Immunohistochemistry (Formalin/PFA-fixed paraffin-embedded sections) analysis of Human tonsil tissue. The section was incubated with ab183311 at 1 : 100 dilution for 30 mins at room temperature. Heat-mediated antigen retrieval was performed with Tris-EDTA buffer (pH 9.0, epitope retrieval solution 2) for 20 mins. Rabbit specific IHC polymer detection kit HRP/DAB (ab209101) was used as the secondary antibody. A secondary antibody-only negative control was also performed. Hematoxylin was used as a counterstain. Positive staining was observed in the germinal centre of human tonsil performed on a Leica Biosystems BOND® RX instrument.

Immunohistochemistry (Formalin/PFA-fixed paraffin-embedded sections) - Anti-C4d antibody [SP91] - C-terminal (AB183311)
  • IHC-P

Lab

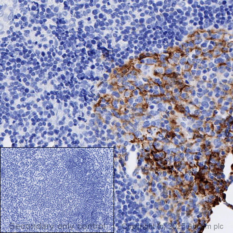
Immunohistochemistry (Formalin/PFA-fixed paraffin-embedded sections) - Anti-C4d antibody [SP91] - C-terminal (AB183311)

Immunohistochemical analysis of formalin fixed paraffin embedded human tonsil labelling C4d with ab183311 at a concentration of 1µg/ml. The immunostaining was performed on a Ventana DISCOVERY ULTRA (Roche Tissue Diagnostics) instrument with a OptiView DAB IHC Detection Kit. Heat mediated antigen retrieval was performed with DISCOVERY cell conditioning solution (CC1) 100°C, pH8.5 for 32mins.

ab183311 Anti-C4d antibody [SP91] - C-terminal was incubated for 16mins at 37°C. Sections were counterstained with Hematoxylin II. Image inset shows absence of staining in secondary antibody only control.

Customers are encouraged to optimise antigen retrieval conditions, antibody concentration, incubation times and temperature for best results in their own IHC assay workflow (automated and manual)

不同偶联物与剂型 (8)

  • Carrier free

    Anti-C4d antibody [SP91] - BSA and Azide free

  • 519 Alexa Fluor® 488

    Alexa Fluor® 488 Anti-C4d antibody [SP91] - C-terminal

  • 665 Alexa Fluor® 647

    Alexa Fluor® 647 Anti-C4d antibody [SP91] - C-terminal

  • 565 Alexa Fluor® 555

    Alexa Fluor® 555 Anti-C4d antibody [SP91] - C-terminal

  • 617 Alexa Fluor® 594

    Alexa Fluor® 594 Anti-C4d antibody [SP91] - C-terminal

  • 578 PE

    PE Anti-C4d antibody [SP91] - C-terminal

  • 660 APC

    APC Anti-C4d antibody [SP91] - C-terminal

  • 775 Alexa Fluor® 750

    Alexa Fluor® 750 Anti-C4d antibody [SP91] - C-terminal

关键信息

宿主种属

Rabbit

克隆

Monoclonal

克隆号

SP91

亚型

IgG

不含载体蛋白

No

反应种属

Human

应用

IHC-P

applications

免疫原

The exact immunogen used to generate this antibody is proprietary information.

反应性数据

{ "title": "Reactivity Data", "filters": { "stats": ["", "Species", "Dilution Info", "Notes"], "tabs": { "all-applications": {"fullname" : "All Applications", "shortname": "All Applications"}, "IHCP" : {"fullname" : "Immunohistochemistry (Formalin/PFA-fixed paraffin-embedded sections)", "shortname":"IHC-P"} }, "product-promise": { "all": "all", "testedAndGuaranteed": "tested", "guaranteed": "expected", "predicted": "predicted", "notRecommended": "not-recommended" } }, "values": { "Human": { "IHCP-species-checked": "testedAndGuaranteed", "IHCP-species-dilution-info": "1/100", "IHCP-species-notes": "<p>Perform Antigen Retrieval by boiling tissue sections in 1mM EDTA, pH 8.0 for 10 min followed by cooling at room temperature for 20 min.</p>" } } }

产品详情

What is this antibody validated in?
Anti-C4d antibody [SP91] - C-terminal (ab183311) is a rabbit recombinant monoclonal antibody and is validated for use in Immunohistochemistry (IHC-P) in Human samples.

Collaboration
Anti-C4d [SP91] - C-terminal (ab183311) is a clone from the portfolio of Spring Bioscience (Roche) SP clones which have been optimised for immunohistochemistry (IHC).

Other related products
We have a range of other formats of antibody clone [SP91] also available for your convenience: ab183311, Carrier free - ab236231, Alexa Fluor® 488 - ab320605, Alexa Fluor® 647 - ab320606, Alexa Fluor® 555 - ab320607, Alexa Fluor® 594 - ab320608, PE - ab320609, APC - ab320610, Alexa Fluor® 750 - ab321266

Patented technology
Our RabMAb® technology is a patented hybridoma-based technology for making rabbit monoclonal antibodies. For details on our patents, please refer to RabMAb® patents.

What are the advantages of a recombinant monoclonal antibody?
This product is a recombinant monoclonal antibody, which offers several advantages including:

  • - High batch-to-batch consistency and reproducibility
  • - Improved sensitivity and specificity
  • - Long-term security of supply
  • - Animal-free batch production

For more information, read more on recombinant antibodies.

性能和储存信息

形式
Liquid
纯化工艺
Affinity purification Protein A
存储溶液
pH: 7.2 - 7.4 Preservative: 0.1% Sodium azide Constituents: PBS, 1% BSA
运输条件
Blue Ice
推荐的短期储存时间
1-2 weeks
推荐的短期储存条件
+4°C
推荐的长期储存条件
-20°C
分装信息
Upon delivery aliquot
储存信息
Avoid freeze / thaw cycle

补充信息

This supplementary information is collated from multiple sources and compiled automatically.

C4d also known as the C4d complement is a degradation product of the complement component C4. It has a molecular weight of approximately 45 kDa. This protein is commonly expressed on the surfaces of endothelial cells in various tissues where it plays a role in the immune response. The presence of C4d on tissues is often detected using techniques like immunohistochemistry (IHC) also referred to as C4d IHC or C4d immunostain providing valuable insights into complement activation.
Biological function summary

The C4d protein acts as a marker for complement activation and is part of the larger complement cascade. C4d is primarily associated with the classical pathway and serves as an indicator of complement-mediated cell injury. The degradation of C4 into C4d is usually seen in immune responses where antibodies recognize antigens triggering sequence activation in the complement pathway. C4d's role as a marker facilitates the differentiation between antibody-mediated injury and other types of tissue damage.

Pathways

This complement protein gets involved in the classical pathway of the complement system which plays a critical role in innate and adaptive immunity. It is related to other proteins like C3 and C1q which are additional components within this pathway. These interactions are significant for the clearance of pathogens and also assist in enhancing the humoral immune response by promoting the deposition of complement on pathogenic surfaces.

C4d presence becomes particularly significant in conditions like transplant rejection and systemic lupus erythematosus (SLE). In transplant rejection its deposition on tissue samples might indicate antibody-mediated rejection where C4d binds to the tissue signaling an immune response against the transplanted organ. Additionally in SLE C4d's relation to other proteins such as C3 and C1q confirms its involvement in autoimmune responses where the immune system mistakenly targets the body's own tissues leading to chronic inflammation and damage.

产品实验方案

For this product, it's our understanding that no specific protocols are required. You can visit:

靶点信息

Precursor of non-enzymatic components of the classical, lectin and GZMK complement pathways, which consist in a cascade of proteins that leads to phagocytosis and breakdown of pathogens and signaling that strengthens the adaptive immune system.. Complement C4b-B. Non-enzymatic component of C3 and C5 convertases (By similarity). Generated following cleavage by complement proteases (C1S, MASP2 or GZMK, depending on the complement pathway), it covalently attaches to the surface of pathogens, where it acts as an opsonin that marks the surface of antigens for removal (By similarity). It then recruits the serine protease complement C2b to form the C3 and C5 convertases, which cleave and activate C3 and C5, respectively, the next components of the complement pathways (PubMed : 8538770). Complement C4b-B isotype catalyzes the transacylation of the thioester carbonyl group to form ester bonds with carbohydrate antigens, while C4b-A isotype is responsible for effective binding to form amide bonds with immune aggregates or protein antigens (PubMed : 8538770).. C4a anaphylatoxin. Putative humoral mediator released following cleavage by complement proteases (C1S, MASP2 or GZMK, depending on the complement pathway). While it is strongly similar to anaphylatoxins, its role is unclear. Was reported to act as a mediator of local inflammatory process; however these effects were probably due to contamination with C3a and/C5a anaphylatoxins in biological assays.
See full target information C4B

文献 (5)

Recent publications for all applications. Explore the full list and refine your search

Stem cells translational medicine 14: PubMed40371959

2025

Immune rejection of human mesenchymal stem cells compared to extracellular vesicles in mice with renal artery stenosis.

Applications

Unspecified application

Species

Unspecified reactive species

Tarek Ziad Arabi,Yazan Almasry,Ailing Xue,Alfonso Eirin,Amir Lerman,Xiang-Yang Zhu,Lilach O Lerman

BMC nephrology 25:387 PubMed39478440

2024

The prognostic role of activation of the complement pathways in the progression of advanced IgA nephropathy to end-stage renal disease.

Applications

Unspecified application

Species

Unspecified reactive species

Ying Wang,Shimin Jiang,Dingxin Di,Guming Zou,Hongmei Gao,Shunlai Shang,Wenge Li

Indian journal of dermatology 67:205 PubMed36092230

2022

Analyses of the clinical and immunological characteristics of patients with lupus erythematosus.

Applications

Unspecified application

Species

Unspecified reactive species

Min Deng,Ruifang Wu,Xingyu Zhou,Yuwen Su,Yaping Li

Journal of diabetes investigation 13:839-849 PubMed34932275

2022

Activation of complement C1q and C3 in glomeruli might accelerate the progression of diabetic nephropathy: Evidence from transcriptomic data and renal histopathology.

Applications

Unspecified application

Species

Unspecified reactive species

Yuanyuan Jiao,Shimin Jiang,Ying Wang,Tianyu Yu,Guming Zou,Li Zhuo,Wenge Li

Nature communications 8:363 PubMed28842558

2017

HSP70-Hrd1 axis precludes the oncorepressor potential of N-terminal misfolded Blimp-1s in lymphoma cells.

Applications

Unspecified application

Species

Unspecified reactive species

Wen-Fang Wang,Li Yan,Zhao Liu,Lan-Xuan Liu,Jian Lin,Zhi-Yin Liu,Xiong-Ping Chen,Wu Zhang,Zi-Zhen Xu,Ting Shi,Jun-Min Li,Yi-Lei Zhao,Guoyu Meng,Yi Xia,Jian-Yong Li,Jiang Zhu
View all publications

Abcam Product Promise

我们致力于为您的研究提供高质量的试剂,为您科研的每一步提供支持。若我们的产品未能达到预期性能,我们向您提供 Abcam Product Promise 保障。
详情请参阅我们的条款与条件。

Please note: All products are 'FOR RESEARCH USE ONLY. NOT FOR USE IN DIAGNOSTIC OR THERAPEUTIC PROCEDURES'.

For licensing inquiries, please contact partnerships@abcam.com