JavaScript is disabled in your browser. Please enable JavaScript to view this website.
AB317632

重组Anti-C3a R抗体[hC3aRZ8]

Anti-C3a R antibody [hC3aRZ8]

Be the first to review this product! Submit a review

|

(0 Publication)

Mouse Recombinant Monoclonal C3a R antibody. Suitable for IHC-P, Flow Cyt and reacts with Transfected cell line - Human, Human samples.

查看别名

AZ3B, C3R1, HNFAG09, C3AR1, C3a anaphylatoxin chemotactic receptor, C3AR, C3a-R

6 Images
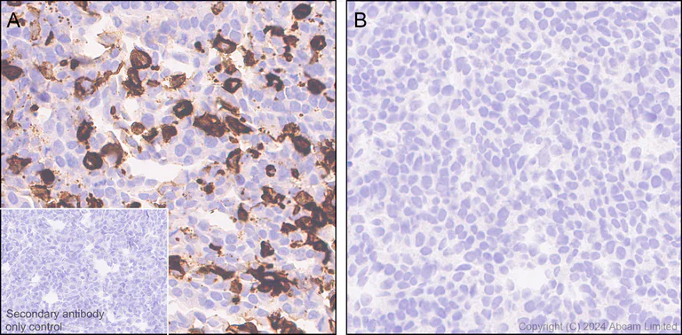
Immunohistochemistry (Formalin/PFA-fixed paraffin-embedded sections) - Anti-C3a R antibody [hC3aRZ8] (AB317632)
  • IHC-P

Supplier Data

Immunohistochemistry (Formalin/PFA-fixed paraffin-embedded sections) - Anti-C3a R antibody [hC3aRZ8] (AB317632)

Immunohistochemical analysis of paraffin-embedded (A) HEK-293T cells transfected with a C3AR1 expression vector containing a his tag. (B) HEK-293T cells transfected with empty vector containing a his tag. tissue labeling C3a R with ab317632 at 1/1000 (0.969 ug/ml) dilution, followed by a ready to use LeicaDS9800 (Bond™ Polymer Refine Detection) was used.

Positive staining on (A) HEK-293T cells transfected with a C3AR1 expression vector containing a his tag. No staining on (B) HEK-293T cells transfected with empty vector containing a his tag.
The section was incubated with ab317632 for 30 mins at room temperature, followed by anti-mouse IgG2b antibody (ab190482) for 8 mins during the LeicaDS9800 kit staining procedure.
The immunostaining was performed on a Leica Biosystems BOND® RX instrument

Counterstained with Hematoxylin.

Secondary antibody only control : Secondary antibody is a ready to use LeicaDS9800 (Bond™ Polymer Refine Detection) was used.

Heat mediated antigen retrieval was performed with Tris-EDTA buffer (pH 9.0, Epitope Retrieval Solution2) for 20 mins

Flow Cytometry - Anti-C3a R antibody [hC3aRZ8] (AB317632)
  • Flow Cyt

Supplier Data

Flow Cytometry - Anti-C3a R antibody [hC3aRZ8] (AB317632)

Flow cytometric analysis of Human PBMC (human peripheral blood mononuclear cell) cells labelling C3a R with ab317632 at 1/500 dilution (0.1 ug)/Right compared with a Mouse monoclonal IgG / Left isotype control and an unlabelled control (cells without incubation with primary antibody and secondary antibody).

Goat anti-Mouse IgG (Alexa Fluor® 488, ab150113) at 1/5000 dilution was used as the secondary antibody.

Cells are co-stained with CD14 conjugated to Alexa Fluor®647.

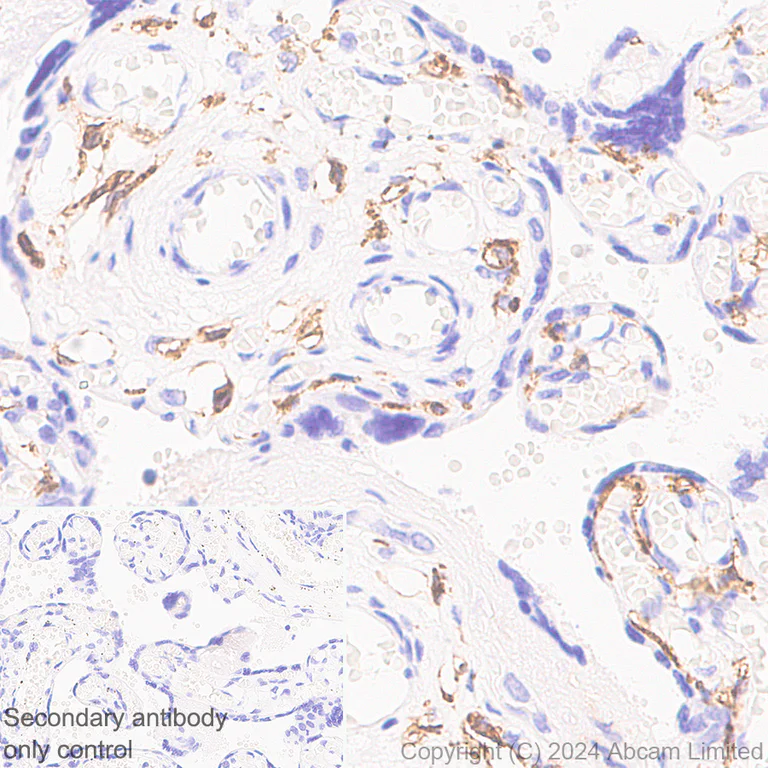
Immunohistochemistry (Formalin/PFA-fixed paraffin-embedded sections) - Anti-C3a R antibody [hC3aRZ8] (AB317632)
  • IHC-P

Supplier Data

Immunohistochemistry (Formalin/PFA-fixed paraffin-embedded sections) - Anti-C3a R antibody [hC3aRZ8] (AB317632)

Immunohistochemical analysis of paraffin-embedded Human placenta tissue labeling C3a R with ab317632 at 1/1000 (0.969 ug/ml) dilution, followed by a ready to use LeicaDS9800 (Bond™ Polymer Refine Detection) was used.

Positive staining on human placenta.
The section was incubated with ab317632 for 30 mins at room temperature, followed by anti-mouse IgG2b antibody (ab190482) for 8 mins during the LeicaDS9800 kit staining procedure.
The immunostaining was performed on a Leica Biosystems BOND® RX instrument

Counterstained with Hematoxylin.

Secondary antibody only control : Secondary antibody is a ready to use LeicaDS9800 (Bond™ Polymer Refine Detection) was used.

Heat mediated antigen retrieval was performed with Tris-EDTA buffer (pH 9.0, Epitope Retrieval Solution2) for 20 mins

Flow Cytometry - Anti-C3a R antibody [hC3aRZ8] (AB317632)
  • Flow Cyt

Supplier Data

Flow Cytometry - Anti-C3a R antibody [hC3aRZ8] (AB317632)

Flow cytometric analysis of Human PBMC (human peripheral blood mononuclear cell) cells labelling C3a R with ab317632 at 1/500 dilution (0.1 ug)/Right compared with a Mouse monoclonal IgG / Left isotype control and an unlabelled control (cells without incubation with primary antibody and secondary antibody).

Goat anti-Mouse IgG (Alexa Fluor® 488, ab150113) at 1/5000 dilution was used as the secondary antibody.

Cells are co-stained with CD3 conjugated to Alexa Fluor®647. The staining result showed a distinct CD3 positive population with no cross signal on C3a R positive cells.

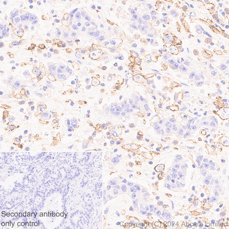
Immunohistochemistry (Formalin/PFA-fixed paraffin-embedded sections) - Anti-C3a R antibody [hC3aRZ8] (AB317632)
  • IHC-P

Supplier Data

Immunohistochemistry (Formalin/PFA-fixed paraffin-embedded sections) - Anti-C3a R antibody [hC3aRZ8] (AB317632)

Immunohistochemical analysis of paraffin-embedded Human gastric cancer tissue labeling C3a R with ab317632 at 1/1000 (0.969 ug/ml) dilution, followed by a ready to use LeicaDS9800 (Bond™ Polymer Refine Detection) was used.

Positive staining on human gastric cancer.
The section was incubated with ab317632 for 30 mins at room temperature, followed by anti-mouse IgG2b antibody (ab190482) for 8 mins during the LeicaDS9800 kit staining procedure.
The immunostaining was performed on a Leica Biosystems BOND® RX instrument

Counterstained with Hematoxylin.

Secondary antibody only control : Secondary antibody is a ready to use LeicaDS9800 (Bond™ Polymer Refine Detection) was used.

Heat mediated antigen retrieval was performed with Tris-EDTA buffer (pH 9.0, Epitope Retrieval Solution2) for 20 mins

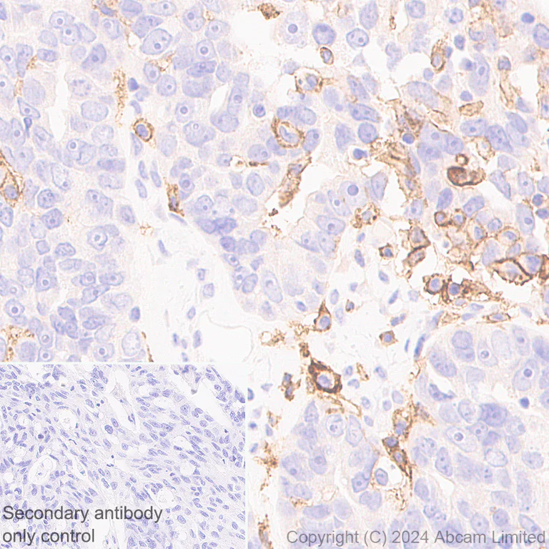
Immunohistochemistry (Formalin/PFA-fixed paraffin-embedded sections) - Anti-C3a R antibody [hC3aRZ8] (AB317632)
  • IHC-P

Supplier Data

Immunohistochemistry (Formalin/PFA-fixed paraffin-embedded sections) - Anti-C3a R antibody [hC3aRZ8] (AB317632)

Immunohistochemical analysis of paraffin-embedded Human ovarian cancer tissue labeling C3a R with ab317632 at 1/1000 (0.969 ug/ml) dilution, followed by a ready to use LeicaDS9800 (Bond™ Polymer Refine Detection) was used.

Positive staining on human ovarian cancer.
The section was incubated with ab317632 for 30 mins at room temperature, followed by anti-mouse IgG2b antibody (ab190482) for 8 mins during the LeicaDS9800 kit staining procedure.
The immunostaining was performed on a Leica Biosystems BOND® RX instrument

Counterstained with Hematoxylin.

Secondary antibody only control : Secondary antibody is a ready to use LeicaDS9800 (Bond™ Polymer Refine Detection) was used.

Heat mediated antigen retrieval was performed with Tris-EDTA buffer (pH 9.0, Epitope Retrieval Solution2) for 20 mins

不同偶联物与剂型 (1)

  • Carrier free

    Anti-C3a R antibody [hC3aRZ8] - BSA and Azide free

关键信息

宿主种属

Mouse

克隆

Monoclonal

克隆号

hC3aRZ8

亚型

IgG2b

不含载体蛋白

No

反应种属

Human

应用

IHC-P, Flow Cyt

applications

免疫原

The exact immunogen used to generate this antibody is proprietary information.

反应性数据

{ "title": "Reactivity Data", "filters": { "stats": ["", "Species", "Dilution Info", "Notes"], "tabs": { "all-applications": {"fullname" : "All Applications", "shortname": "All Applications"}, "IHCP" : {"fullname" : "Immunohistochemistry (Formalin/PFA-fixed paraffin-embedded sections)", "shortname":"IHC-P"}, "FlowCyt" : {"fullname" : "Flow Cytometry", "shortname":"Flow Cyt"}, "ICCIF" : {"fullname" : "Immunocytochemistry/ Immunofluorescence", "shortname":"ICC/IF"}, "WB" : {"fullname" : "Western blot", "shortname":"WB"} }, "product-promise": { "all": "all", "testedAndGuaranteed": "tested", "guaranteed": "expected", "predicted": "predicted", "notRecommended": "not-recommended" } }, "values": { "Human": { "IHCP-species-checked": "testedAndGuaranteed", "IHCP-species-dilution-info": "1/1000", "IHCP-species-notes": "<p></p> Perform heat-mediated antigen retrieval with Tris/EDTA buffer pH 9.0 before commencing with IHC staining protocol.", "FlowCyt-species-checked": "testedAndGuaranteed", "FlowCyt-species-dilution-info": "1/500", "FlowCyt-species-notes": "<p></p>", "ICCIF-species-checked": "notRecommended", "ICCIF-species-dilution-info": "", "ICCIF-species-notes": "<p></p>", "WB-species-checked": "notRecommended", "WB-species-dilution-info": "", "WB-species-notes": "<p></p>" }, "Mouse": { "IHCP-species-checked": "notRecommended", "IHCP-species-dilution-info": "", "IHCP-species-notes": "<p></p>", "FlowCyt-species-checked": "notRecommended", "FlowCyt-species-dilution-info": "", "FlowCyt-species-notes": "", "ICCIF-species-checked": "notRecommended", "ICCIF-species-dilution-info": "", "ICCIF-species-notes": "<p></p>", "WB-species-checked": "notRecommended", "WB-species-dilution-info": "", "WB-species-notes": "<p></p>" }, "Rat": { "IHCP-species-checked": "notRecommended", "IHCP-species-dilution-info": "", "IHCP-species-notes": "<p></p>", "FlowCyt-species-checked": "notRecommended", "FlowCyt-species-dilution-info": "", "FlowCyt-species-notes": "", "ICCIF-species-checked": "notRecommended", "ICCIF-species-dilution-info": "", "ICCIF-species-notes": "", "WB-species-checked": "notRecommended", "WB-species-dilution-info": "", "WB-species-notes": "<p></p>" }, "Transfected cell line - Human": { "IHCP-species-checked": "testedAndGuaranteed", "IHCP-species-dilution-info": "1/1000", "IHCP-species-notes": "<p></p> Perform heat-mediated antigen retrieval with Tris/EDTA buffer pH 9.0 before commencing with IHC staining protocol.", "FlowCyt-species-checked": "notRecommended", "FlowCyt-species-dilution-info": "", "FlowCyt-species-notes": "", "ICCIF-species-checked": "notRecommended", "ICCIF-species-dilution-info": "", "ICCIF-species-notes": "", "WB-species-checked": "notRecommended", "WB-species-dilution-info": "", "WB-species-notes": "" } } }

产品详情

This antibody clone is manufactured by Abcam. If you require a custom buffer formulation or conjugation for your experiments, please contact orders@abcam.com.

What are the advantages of a recombinant monoclonal antibody?
This product is a recombinant monoclonal antibody, which offers several advantages including:

  • - High batch-to-batch consistency and reproducibility
  • - Improved sensitivity and specificity
  • - Long-term security of supply
  • - Animal-free batch production

For more information, read more on recombinant antibodies.

Want a custom formulation?
This antibody clone is manufactured by Abcam. If you require a custom buffer formulation or conjugation for your experiments, please contact orders@abcam.com

性能和储存信息

形式
Liquid
纯化工艺
Affinity purification Protein A
存储溶液
pH: 7.2 - 7.4 Preservative: 0.01% Sodium azide Constituents: PBS, 40% Glycerol (glycerin, glycerine), 0.05% BSA
运输条件
Blue Ice
推荐的短期储存时间
1-2 weeks
推荐的短期储存条件
+4°C
推荐的长期储存条件
-20°C
分装信息
Upon delivery aliquot
储存信息
Avoid freeze / thaw cycle

补充信息

This supplementary information is collated from multiple sources and compiled automatically.

The C3a receptor also known as C3aR or C3aR1 is a critical component of the immune system. It functions by binding to the C3a peptide a product of the complement cascade. This binding triggers a variety of immune responses. C3aR is a surface receptor widely expressed on immune cells such as macrophages mast cells and neutrophils. The molecular weight of the C3a receptor is approximately 55 kDa. It can be found principally in tissues involved in immunity like the spleen lungs and liver.
Biological function summary

The C3a receptor plays an important role in the immune response by mediating inflammatory reactions. It is not part of a larger complex like some receptors functioning instead through protein-protein interactions. Upon activation by binding with the C3a peptide the receptor can promote the release of histamine cytokines and other inflammatory mediators. This action helps regulate the body's defense against pathogens and contributes to the elimination of foreign materials from the body.

Pathways

The C3a receptor is involved in the complement pathway and immune response pathways. It interacts with several proteins within these pathways including C3a protein itself and other complement components. By engaging in these pathways C3aR significantly influences cellular responses and activities. For example its activation can lead to the alteration of immune cell behavior enhancing phagocytosis and increasing cell migration to sites of infection or injury.

The C3a receptor has been implicated in asthma and rheumatoid arthritis. In asthma C3aR activation can lead to overactive immune responses causing increased bronchoconstriction and airway hyperresponsiveness. Its involvement in rheumatoid arthritis relates to its ability to modulate inflammation exacerbating joint damage and discomfort. The receptor's activity in these conditions can also connect it to other proteins such as specific inflammatory cytokines which contribute to the pathological processes seen in these diseases.

产品实验方案

For this product, it's our understanding that no specific protocols are required. You can visit:

靶点信息

Receptor for the chemotactic and inflammatory peptide anaphylatoxin C3a. This receptor stimulates chemotaxis, granule enzyme release and superoxide anion production.
See full target information C3AR1

Abcam Product Promise

我们致力于为您的研究提供高质量的试剂,为您科研的每一步提供支持。若我们的产品未能达到预期性能,我们向您提供 Abcam Product Promise 保障。
详情请参阅我们的条款与条件。

Please note: All products are 'FOR RESEARCH USE ONLY. NOT FOR USE IN DIAGNOSTIC OR THERAPEUTIC PROCEDURES'.

For licensing inquiries, please contact partnerships@abcam.com