JavaScript is disabled in your browser. Please enable JavaScript to view this website.
AB155270

Anti-C1s抗体

Anti-C1s antibody

Be the first to review this product! Submit a review

|

(2 Publications)

Rabbit Polyclonal C1S antibody. Suitable for IHC-P, WB and reacts with Human samples. Cited in 2 publications. Immunogen corresponding to Recombinant Fragment Protein within Human C1S aa 1-450.

查看别名

Complement C1s subcomponent, C1 esterase, Complement component 1 subcomponent s, C1S

1 Images
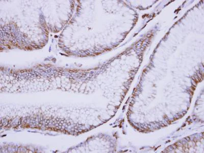
Immunohistochemistry (Formalin/PFA-fixed paraffin-embedded sections) - Anti-C1s antibody (AB155270)
  • IHC-P

Unknown

Immunohistochemistry (Formalin/PFA-fixed paraffin-embedded sections) - Anti-C1s antibody (AB155270)

Immunohistochemical analysis of formalin-fixed, paraffin-embedded Human gastric carcinoma tissue, labeling C1s using ab155270 at a 1/500 dilution.

关键信息

宿主种属

Rabbit

克隆

Polyclonal

亚型

IgG

不含载体蛋白

No

反应种属

Human

应用

IHC-P, WB

applications

免疫原

Recombinant Fragment Protein within Human C1S aa 1-450. The exact immunogen used to generate this antibody is proprietary information.

P09871

反应性数据

{ "title": "Reactivity Data", "filters": { "stats": ["", "Species", "Dilution Info", "Notes"], "tabs": { "all-applications": {"fullname" : "All Applications", "shortname": "All Applications"}, "IHCP" : {"fullname" : "Immunohistochemistry (Formalin/PFA-fixed paraffin-embedded sections)", "shortname":"IHC-P"}, "WB" : {"fullname" : "Western blot", "shortname":"WB"} }, "product-promise": { "all": "all", "testedAndGuaranteed": "tested", "guaranteed": "expected", "predicted": "predicted", "notRecommended": "not-recommended" } }, "values": { "Human": { "IHCP-species-checked": "testedAndGuaranteed", "IHCP-species-dilution-info": "1/100 - 1/1000", "IHCP-species-notes": "<p>Antigen retrieval also possible using Tris-EDTA buffer (pH8.0).</p> Perform heat-mediated antigen retrieval with citrate buffer pH 6 before commencing with IHC staining protocol.", "WB-species-checked": "guaranteed", "WB-species-dilution-info": "1/500 - 1/3000", "WB-species-notes": "<p>This antibody may be used diluted 1:2000 (PMID: 31749804).</p>" } } }

性能和储存信息

形式
Liquid
纯化工艺
Affinity purification Immunogen
存储溶液
pH: 7 Preservative: 0.01% Thimerosal (merthiolate) Constituents: 10% Glycerol (glycerin, glycerine), 1.21% Tris, 0.75% Glycine
运输条件
Blue Ice
推荐的短期储存条件
+4°C
推荐的长期储存条件
-20°C
分装信息
Upon delivery aliquot
储存信息
Avoid freeze / thaw cycle

产品实验方案

For this product, it's our understanding that no specific protocols are required. You can visit:

靶点信息

C1s B chain is a serine protease that combines with C1q and C1r to form C1, the first component of the classical pathway of the complement system. C1r activates C1s so that it can, in turn, activate C2 and C4. Cleaves also IGFBP5 and thereby inhibits the trophic effects of IGF1.
See full target information C1S

文献 (2)

Recent publications for all applications. Explore the full list and refine your search

International journal of molecular sciences 24: PubMed36614038

2022

Blocking Muscarinic Receptor 3 Attenuates Tumor Growth and Decreases Immunosuppressive and Cholinergic Markers in an Orthotopic Mouse Model of Colorectal Cancer.

Applications

Unspecified application

Species

Unspecified reactive species

Nyanbol Kuol,Majid Davidson,Jimsheena Karakkat,Rhiannon T Filippone,Margaret Veale,Rodney Luwor,Sarah Fraser,Vasso Apostolopoulos,Kulmira Nurgali

Frontiers in immunology 10:2537 PubMed31749804

2019

Mutations Trigger Constitutive Complement 1 Activation in Periodontal Ehlers-Danlos Syndrome.

Applications

WB

Species

Human

Rebekka Gröbner,Ines Kapferer-Seebacher,Albert Amberger,Rita Redolfi,Fabien Dalonneau,Erik Björck,Di Milnes,Isabelle Bally,Veronique Rossi,Nicole Thielens,Heribert Stoiber,Christine Gaboriaud,Johannes Zschocke
View all publications

Abcam Product Promise

我们致力于为您的研究提供高质量的试剂,为您科研的每一步提供支持。若我们的产品未能达到预期性能,我们向您提供 Abcam Product Promise 保障。
详情请参阅我们的条款与条件。

Please note: All products are 'FOR RESEARCH USE ONLY. NOT FOR USE IN DIAGNOSTIC OR THERAPEUTIC PROCEDURES'.

For licensing inquiries, please contact partnerships@abcam.com