JavaScript is disabled in your browser. Please enable JavaScript to view this website.
AB185656

Anti-c-Myc (phospho S62) 抗体 [EPR17924]

Anti-c-Myc (phospho S62) antibody [EPR17924]

  • RabMAb
  • Recombinant
  • Lab Essentials
  • 20ul selling size
  • 了解详情

Be the first to review this product! Submit a review

|

(58 Publications)

Anti-c-Myc (phospho S62) antibody [EPR17924] (ab185656) is a rabbit monoclonal antibody detecting c-Myc in Western Blot, Flow Cytometry (Intra), Flow Cytometry, IP, IHC-P, ICC/IF, Dot Blot. Suitable for Human, Mouse, Rat.

- Biophysical QC for unrivalled batch-batch consistency
- Over 40 publications

查看别名

BHLHE39, MYC, Myc proto-oncogene protein, Class E basic helix-loop-helix protein 39, Proto-oncogene c-Myc, Transcription factor p64, bHLHe39

10 Images
Flow Cytometry (Intracellular) - Anti-c-Myc (phospho S62) antibody [EPR17924] (AB185656)
  • Flow Cyt (Intra)

Lab

Flow Cytometry (Intracellular) - Anti-c-Myc (phospho S62) antibody [EPR17924] (AB185656)

Intracellular Flow Cytometry analysis of HeLa (human cervix adenocarcinoma) cells labeling c-Myc (phospho S62) with purified ab185656 at 1/150 dilution (red). The secondary antibody was Goat anti rabbit IgG (Alexa Fluor® 488) at 1/2000 dilution. A Rabbit monoclonal IgG (Black) was used as the isotype control and cells without incubation with primary antibody and secondary antibody (Blue) were used as unlabeled control.

Immunohistochemistry (Formalin/PFA-fixed paraffin-embedded sections) - Anti-c-Myc (phospho S62) antibody [EPR17924] (AB185656)
  • IHC-P

Supplier Data

Immunohistochemistry (Formalin/PFA-fixed paraffin-embedded sections) - Anti-c-Myc (phospho S62) antibody [EPR17924] (AB185656)

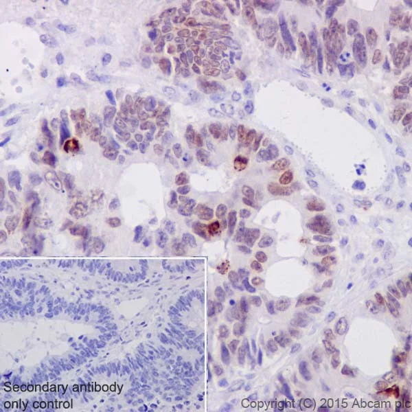
Immunohistochemical analysis of paraffin-embedded Human endometrium cancer tissue labeling c-Myc (phospho S62) with ab185656 at 1/500 dilution, followed by Goat Anti-Rabbit IgG H&L (HRP) (ab97051) secondary antibody at 1/500 dilution.

Nuclear staining on cancer cells of Human endometrial cancer is observed.

Counter stained with Hematoxylin.

Secondary antibody only control : Used PBS instead of primary antibody, secondary antibody is Goat Anti-Rabbit IgG H&L (HRP) (ab97051) at 1/500 dilution.

Perform heat mediated antigen retrieval with Tris/EDTA buffer pH 9.0 before commencing with IHC staining protocol.

Immunocytochemistry/ Immunofluorescence - Anti-c-Myc (phospho S62) antibody [EPR17924] (AB185656)
  • ICC/IF

Supplier Data

Immunocytochemistry/ Immunofluorescence - Anti-c-Myc (phospho S62) antibody [EPR17924] (AB185656)

Immunofluorescent analysis of 4% paraformaldehyde-fixed, 0.1% Triton X-100 permeabilized HeLa (Human epithelial cells from cervix adenocarcinoma) cells labeling c-Myc (phospho S62) with ab185656 at 1/1000 dilution, followed by Goat anti-rabbit IgG (Alexa Fluor® 488) (ab150077) secondary antibody at 1/500 dilution (green).

Confocal image showing nuclear staining on HeLa cells.
The staining decreased after blocking with phospho peptide (100μg/ml) overnight.

The control peptide is a non-phospho peptide.

The nuclear counter stain is DAPI (blue).

Tubulin is detected with ab7291 (anti-Tubulin mouse mAb) at 1/1000 dilution and ab150120 (AlexaFluor®594 Goat anti-Mouse secondary) at 1/500 dilution (red).
The negative controls are as follows :
-ve control 1 : ab185656 at 1/1000 dilution followed by ab150120 (AlexaFluor®594 Goat anti-Mouse secondary) at 1/500 dilution.
-ve control 2 : ab7291 (anti-Tubulin mouse mAb) at 1/1000 dilution followed by ab150077 (Alexa Fluor®488 Goat Anti-Rabbit IgG H&L) at 1/500 dilution.

Immunohistochemistry (Formalin/PFA-fixed paraffin-embedded sections) - Anti-c-Myc (phospho S62) antibody [EPR17924] (AB185656)
  • IHC-P

Supplier Data

Immunohistochemistry (Formalin/PFA-fixed paraffin-embedded sections) - Anti-c-Myc (phospho S62) antibody [EPR17924] (AB185656)

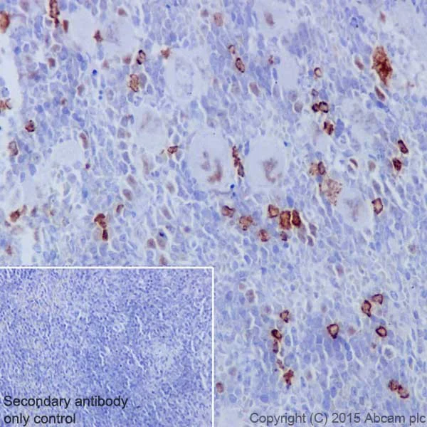
Immunohistochemical analysis of paraffin-embedded Mouse spleen tissue labeling c-Myc (phospho S62) with ab185656 at 1/500 dilution, followed by Goat Anti-Rabbit IgG H&L (HRP) (ab97051) secondary antibody at 1/500 dilution.

Nuclear and cytoplasmic staining on mouse spleen is observed.

Counter stained with Hematoxylin.

Secondary antibody only control : Used PBS instead of primary antibody, secondary antibody is Goat Anti-Rabbit IgG H&L (HRP) (ab97051) at 1/500 dilution.

Perform heat mediated antigen retrieval with Tris/EDTA buffer pH 9.0 before commencing with IHC staining protocol.

Immunohistochemistry (Formalin/PFA-fixed paraffin-embedded sections) - Anti-c-Myc (phospho S62) antibody [EPR17924] (AB185656)
  • IHC-P

Supplier Data

Immunohistochemistry (Formalin/PFA-fixed paraffin-embedded sections) - Anti-c-Myc (phospho S62) antibody [EPR17924] (AB185656)

Immunohistochemical analysis of paraffin-embedded Rat testis tissue labeling c-Myc (phospho S62) with ab185656 at 1/500 dilution, followed by Goat Anti-Rabbit IgG H&L (HRP) (ab97051) secondary antibody at 1/500 dilution.

Nuclear staining on rat testis is observed.

Counter stained with Hematoxylin.

Secondary antibody only control : Used PBS instead of primary antibody, secondary antibody is Goat Anti-Rabbit IgG H&L (HRP) (ab97051) at 1/500 dilution.

Perform heat mediated antigen retrieval with Tris/EDTA buffer pH 9.0 before commencing with IHC staining protocol.

Western blot - Anti-c-Myc (phospho S62) antibody [EPR17924] (AB185656)
  • WB

Supplier Data

Western blot - Anti-c-Myc (phospho S62) antibody [EPR17924] (AB185656)

Blocking/Dilution buffer : 5% NFDM/TBST.

All lanes:

Western blot - Anti-c-Myc (phospho S62) antibody [EPR17924] (ab185656) at 1/2000 dilution

Lane 1:

NIH/3T3 (Mouse embyro fibroblast cells) whole cell lysate at 10 µg

Lane 2:

C6 (Rat glial tumor cells) whole cell lysate at 10 µg

Secondary

All lanes:

Goat Anti-Rabbit IgG, (H+L),Peroxidase conjugated at 1/1000 dilution

Predicted band size: 48 kDa

Observed band size: 57 kDa

false

Exposure time: 3min

Immunoprecipitation - Anti-c-Myc (phospho S62) antibody [EPR17924] (AB185656)
  • IP

Supplier Data

Immunoprecipitation - Anti-c-Myc (phospho S62) antibody [EPR17924] (AB185656)

c-Myc (phospho S62) was immunoprecipitated from 1mg of HeLa (Human epithelial cells from cervix adenocarcinoma) whole cell lysate treated with 200nM TPA for 10 minutes with ab185656 at 1/50 dilution.

Western blot was performed from the immunoprecipitate using ab185656 at 1/1000 dilution.

VeriBlot for IP Detection Reagent (HRP) (ab131366) was used for detection at 1/1500 dilution.

Lane 1 : HeLa whole cell lysate treated with 200nM TPA for 10 minutes,10 μg (Input).

Lane 2 : ab185656 IP in HeLa whole cell lysate treated with 200nM TPA for 10 minutes.

Lane 3 : Rabbit monoclonal IgG (ab172730) instead of ab185656 in HeLa whole cell lysate treated with 200nM TPA for 10 minutes.

Blocking and dilution buffer and concentration : 5% NFDM/TBST.

All lanes:

Immunoprecipitation - Anti-c-Myc (phospho S62) antibody [EPR17924] (ab185656)

Predicted band size: 48 kDa

Observed band size: 58 kDa

false

Exposure time: 5s

Western blot - Anti-c-Myc (phospho S62) antibody [EPR17924] (AB185656)
  • WB

Supplier Data

Western blot - Anti-c-Myc (phospho S62) antibody [EPR17924] (AB185656)

Blocking/Dilution buffer : 5% NFDM/TBST.

All lanes:

Western blot - Anti-c-Myc (phospho S62) antibody [EPR17924] (ab185656) at 1/5000 dilution

Lane 1:

HeLa (Human epithelial cells from cervix adenocarcinoma) whole cell lysate at 10 µg

Lane 2:

HeLa (Human epithelial cells from cervix adenocarcinoma) treated with Lambda Phosphatase whole cell lysate at 10 µg

Secondary

All lanes:

Goat Anti-Rabbit IgG, (H+L),Peroxidase conjugated at 1/1000 dilution

Predicted band size: 48 kDa

Observed band size: 57 kDa

false

Exposure time: 1min

Western blot - Anti-c-Myc (phospho S62) antibody [EPR17924] (AB185656)
  • WB

Lab

Western blot - Anti-c-Myc (phospho S62) antibody [EPR17924] (AB185656)

Blocking/Dilution buffer : 5% NFDM/TBST.

All lanes:

Western blot - Anti-c-Myc (phospho S62) antibody [EPR17924] (ab185656) at 1/5000 dilution

Lane 1:

Untreated HeLa (Human epithelial cells from cervix adenocarcinoma) whole cell lysate at 10 µg

Lane 2:

HeLa (Human epithelial cells from cervix adenocarcinoma) whole cell lysate treated with 200nM Calyculin A and 1uM Okadaic Acid for 60 minutes. at 10 µg

Secondary

All lanes:

Goat Anti-Rabbit IgG, (H+L),Peroxidase conjugated at 1/1000 dilution

Predicted band size: 48 kDa

Observed band size: 57 kDa

false

Exposure time: 30s

Dot Blot - Anti-c-Myc (phospho S62) antibody [EPR17924] (AB185656)
  • Dot

Supplier Data

Dot Blot - Anti-c-Myc (phospho S62) antibody [EPR17924] (AB185656)

Dot blot analysis of c -Myc (phospho T58) peptide (Lane 1), c-Myc non-phospho peptide (a control peptide for c-Myc phospho T58) (Lane 2), c-Myc (phospho S62) peptide (Lane 3), and c-Myc non-phospho peptide (a control peptide for c-Myc phospho S62) (Lane 4), labeled using ab185656 at 1/1000 dilution, followed by Goat Anti-Rabbit IgG, (H+L), Peroxidase conjugated secondary antibody at 1/1000 dilution.

Blocking/Dilution buffer : 5% NFDM/TBST.

Lanes 1, 2 and 4 are control peptides, lane 3 contains the immunogen peptide.

Exposure time=3 minutes.

关键信息

宿主种属

Rabbit

克隆

Monoclonal

克隆号

EPR17924

亚型

IgG

不含载体蛋白

No

反应种属

Mouse, Rat, Human

应用

Flow Cyt (Intra), WB, IHC-P, Dot, IP, ICC/IF

applications

免疫原

The exact immunogen used to generate this antibody is proprietary information.

反应性数据

{ "title": "Reactivity Data", "filters": { "stats": ["", "Species", "Dilution Info", "Notes"], "tabs": { "all-applications": {"fullname" : "All Applications", "shortname": "All Applications"}, "IP" : {"fullname" : "Immunoprecipitation", "shortname":"IP"}, "Dot" : {"fullname" : "Dot Blot", "shortname":"Dot"}, "WB" : {"fullname" : "Western blot", "shortname":"WB"}, "ICCIF" : {"fullname" : "Immunocytochemistry/ Immunofluorescence", "shortname":"ICC/IF"}, "FlowCytIntra" : {"fullname" : "Flow Cytometry (Intracellular)", "shortname":"Flow Cyt (Intra)"}, "IHCP" : {"fullname" : "Immunohistochemistry (Formalin/PFA-fixed paraffin-embedded sections)", "shortname":"IHC-P"} }, "product-promise": { "all": "all", "testedAndGuaranteed": "tested", "guaranteed": "expected", "predicted": "predicted", "notRecommended": "not-recommended" } }, "values": { "Human": { "IP-species-checked": "testedAndGuaranteed", "IP-species-dilution-info": "1/50", "IP-species-notes": "<p></p>", "Dot-species-checked": "testedAndGuaranteed", "Dot-species-dilution-info": "1/1000", "Dot-species-notes": "<p></p>", "WB-species-checked": "testedAndGuaranteed", "WB-species-dilution-info": "1/2000", "WB-species-notes": "<p></p>", "ICCIF-species-checked": "testedAndGuaranteed", "ICCIF-species-dilution-info": "1/1000", "ICCIF-species-notes": "<p></p>", "FlowCytIntra-species-checked": "testedAndGuaranteed", "FlowCytIntra-species-dilution-info": "1/150", "FlowCytIntra-species-notes": "<p><a href='/products/primary-antibodies/rabbit-igg-monoclonal-epr25a-isotype-control-ab172730'>ab172730</a> - Rabbit monoclonal IgG, is suitable for use as an isotype control with this antibody.</p>", "IHCP-species-checked": "testedAndGuaranteed", "IHCP-species-dilution-info": "1/500", "IHCP-species-notes": "<p></p> Perform heat-mediated antigen retrieval with Tris/EDTA buffer pH 9.0 before commencing with IHC staining protocol." }, "Mouse": { "IP-species-checked": "guaranteed", "IP-species-dilution-info": "", "IP-species-notes": "", "Dot-species-checked": "guaranteed", "Dot-species-dilution-info": "", "Dot-species-notes": "", "WB-species-checked": "testedAndGuaranteed", "WB-species-dilution-info": "1/2000", "WB-species-notes": "<p></p>", "ICCIF-species-checked": "guaranteed", "ICCIF-species-dilution-info": "", "ICCIF-species-notes": "", "FlowCytIntra-species-checked": "guaranteed", "FlowCytIntra-species-dilution-info": "", "FlowCytIntra-species-notes": "", "IHCP-species-checked": "testedAndGuaranteed", "IHCP-species-dilution-info": "1/500", "IHCP-species-notes": "<p></p> Perform heat-mediated antigen retrieval with Tris/EDTA buffer pH 9.0 before commencing with IHC staining protocol." }, "Rat": { "IP-species-checked": "guaranteed", "IP-species-dilution-info": "", "IP-species-notes": "", "Dot-species-checked": "guaranteed", "Dot-species-dilution-info": "", "Dot-species-notes": "", "WB-species-checked": "testedAndGuaranteed", "WB-species-dilution-info": "1/2000", "WB-species-notes": "<p></p>", "ICCIF-species-checked": "guaranteed", "ICCIF-species-dilution-info": "", "ICCIF-species-notes": "", "FlowCytIntra-species-checked": "guaranteed", "FlowCytIntra-species-dilution-info": "", "FlowCytIntra-species-notes": "", "IHCP-species-checked": "testedAndGuaranteed", "IHCP-species-dilution-info": "1/500", "IHCP-species-notes": "<p></p> Perform heat-mediated antigen retrieval with Tris/EDTA buffer pH 9.0 before commencing with IHC staining protocol." } } }

产品详情

What is this antibody validated in?
Anti-c-Myc (phospho S62) antibody [EPR17924] (ab185656) is a rabbit recombinant monoclonal antibody and is validated for use in Western Blot (WB), Flow Cytometry (Intra), Flow Cytometry (Flow Cyt), Immunoprecipitation (IP), Immunohistochemistry (IHC-P), Immunocytochemistry/immunofluorescence (ICC/IF), Dot Blot in Human, Mouse, Rat samples.

What is the molecular weight of c-Myc?
Anti-c-Myc (phospho S62) [EPR17924] (ab185656) specifically detects a band for c-Myc (UniProt: P01106) at a molecular weight of 48kDa.

Trusted by the scientific community
Anti-c-Myc (phospho S62) [EPR17924] (ab185656) was first used in a scientific publication in 2015 and has been cited over 40 times in peer-reviewed journals.

Trial sizes available!
Test your antibody or perform pre-screening before committing to a larger quantity. Sold in 10µl. Discover our selection of trial-size antibodies.

Other related products
We have a range of other formats of antibody clone [EPR17924] also available for your convenience: ab185656, Carrier free - ab232691, PE - ab305731, APC - ab305732, HRP - ab305733, Alkaline Phosphatase - ab308652, Alexa Fluor® 488 - ab309626, Alexa Fluor® 647 - ab309992, Alexa Fluor® 594 - ab310355, Alexa Fluor® 555 - ab311877, Alexa Fluor® 568 - ab312346, Alexa Fluor® 750 - ab321295

Patented technology
Our RabMAb® technology is a patented hybridoma-based technology for making rabbit monoclonal antibodies. For details on our patents, please refer to RabMAb® patents.

What are the advantages of a recombinant monoclonal antibody?
This product is a recombinant monoclonal antibody, which offers several advantages including:

  • - High batch-to-batch consistency and reproducibility
  • - Improved sensitivity and specificity
  • - Long-term security of supply
  • - Animal-free batch production

For more information, read more on recombinant antibodies.

性能和储存信息

形式
Liquid
纯化工艺
Affinity purification Protein A
存储溶液
pH: 7.2 - 7.4 Preservative: 0.01% Sodium azide Constituents: PBS, 40% Glycerol (glycerin, glycerine), 0.05% BSA
运输条件
Blue Ice
推荐的短期储存时间
1-2 weeks
推荐的短期储存条件
+4°C
推荐的长期储存条件
-20°C
分装信息
Upon delivery aliquot
储存信息
Avoid freeze / thaw cycle

补充信息

This supplementary information is collated from multiple sources and compiled automatically.

C-Myc also known simply as Myc or MYC protein is a transcription factor with significant roles in cellular processes. Its estimated molecular weight is approximately 62 kDa. This protein is expressed in various tissues and cell types including common use in HEK (human embryonic kidney) cells for research. c-Myc functions by regulating transcription of genes involved in cell cycle progression apoptosis and cellular transformation.
Biological function summary

C-Myc is involved in regulating cell growth and proliferation. It forms part of the Myc/Max complex which binds to DNA to regulate gene expression. This activity affects cellular metabolism ribosome biogenesis and cell cycle entry emphasizing its regulation of cellular energy and stress response. Its expression levels critically govern normal cellular functions and homeostasis.

Pathways

C-Myc plays an important role in the cell cycle pathway and apoptosis regulation. Specifically c-Myc is associated with the Wnt signaling pathway which influences cellular proliferation and differentiation. It also interacts with other proteins like Cyclin D1 influencing cell cycle control. These interactions ensure c-Myc's involvement in regulating key processes related to cell proliferation and stability.

C-Myc is tightly linked to cancer such as Burkitt's lymphoma and colon cancer. In these conditions c-Myc overexpression contributes to uncontrolled cell proliferation. Additionally c-Myc is associated with other oncogenic proteins like BCL2 in tumorigenesis highlighting its pivotal role in cancer development and progression. Understanding c-Myc's involvement in these diseases aids in the development of targeted therapeutic strategies.

产品实验方案

For this product, it's our understanding that no specific protocols are required. You can visit:

靶点信息

Transcription factor that binds DNA in a non-specific manner, yet also specifically recognizes the core sequence 5'-CAC[GA]TG-3' (PubMed : 24940000, PubMed : 25956029). Activates the transcription of growth-related genes (PubMed : 24940000, PubMed : 25956029). Binds to the VEGFA promoter, promoting VEGFA production and subsequent sprouting angiogenesis (PubMed : 24940000, PubMed : 25956029). Regulator of somatic reprogramming, controls self-renewal of embryonic stem cells (By similarity). Functions with TAF6L to activate target gene expression through RNA polymerase II pause release (By similarity). Positively regulates transcription of HNRNPA1, HNRNPA2 and PTBP1 which in turn regulate splicing of pyruvate kinase PKM by binding repressively to sequences flanking PKM exon 9, inhibiting exon 9 inclusion and resulting in exon 10 inclusion and production of the PKM M2 isoform (PubMed : 20010808).
See full target information MYC phospho S62

文献 (58)

Recent publications for all applications. Explore the full list and refine your search

Molecular medicine (Cambridge, Mass.) 31:150 PubMed40264043

2025

SNORA47 affects stemness and chemotherapy sensitivity via EBF3/RPL11/c-Myc axis in luminal A breast cancer.

Applications

Unspecified application

Species

Unspecified reactive species

Qilin Han,Ying Zhou,Zixian Dong,Weitao Wang,Menghan Wang,Mengyang Pang,Xinyue Song,Bo Chen,Ang Zheng

Cell communication and signaling : CCS 23:162 PubMed40176110

2025

Decursin induces FLT3-ITD acute myeloid leukemia cell apoptosis by increasing the expression of the ubiquitin-conjugase UBE2L6.

Applications

Unspecified application

Species

Unspecified reactive species

Tianxin Zhang,Yuchen Li,Wenhao Liao,Yu Mou,Xue Zhan,Qiongying Hu,Ziyi Zhao,Daqian Xiong

CytoJournal 21:55 PubMed39737122

2024

Methyltransferase-like 14 promotes the tumorigenesis and proliferation of pancreatic cancer cells through myc proto-oncogene signaling pathway.

Applications

Unspecified application

Species

Unspecified reactive species

Junru Li,Peng Wang,Fei Liu,Yuanyuan Li,Youyou Wu,Fengbo Wang,Jundong Du

Cell death & disease 15:912 PubMed39695132

2024

Targeting ERBB3 and AKT to overcome adaptive resistance in EML4-ALK-driven non-small cell lung cancer.

Applications

Unspecified application

Species

Unspecified reactive species

Josephina Sampson,Hyun-Min Ju,Nan Zhang,Sharon Yeoh,Jene Choi,Richard Bayliss

Discover oncology 15:587 PubMed39446175

2024

A-to-I-edited miR-1251-5p restrains tumor growth and metastasis in lung adenocarcinoma through regulating TCF7-mediated Wnt signaling pathway.

Applications

Unspecified application

Species

Unspecified reactive species

Shuhua Xu,Guoping Zhou,Qiyu He,Junning Ding,Xiaoli Liu,Youshuang Cheng,Yaqing Shen

Histology and histopathology 40:215-223 PubMed38855855

2024

Mechanism of PTPN18 for regulating the migration and invasion of endometrial cancer cells via the MYC/PI3K/AKT pathway.

Applications

Unspecified application

Species

Unspecified reactive species

Shiqi Suo,Song Chen,Liyuan Zhou,Ruili Xu,Jingxia Li,Wei Li

Molecular medicine (Cambridge, Mass.) 30:64 PubMed38760723

2024

IGF2BP3 promotes glutamine metabolism of endometriosis by interacting with UCA1 to enhances the mRNA stability of GLS1.

Applications

Unspecified application

Species

Unspecified reactive species

Honglin Wang,Yingying Cao,Yanling Gou,Hao Wang,Zongwen Liang,Qiong Wu,Jiahuan Tan,Jinming Liu,Zhi Li,Jing Cui,Huiyan Zhang,Zongfeng Zhang

Cellular and molecular life sciences : CMLS 81:215 PubMed38739166

2024

Prenatal treatment with preimplantation factor improves early postnatal neurogenesis and cognitive impairments in a mouse model of Down syndrome.

Applications

Unspecified application

Species

Unspecified reactive species

Manon Moreau,Rodolphe Dard,Amélia Madani,Janany Kandiah,Nadim Kassis,Jessica Ziga,Héloïse Castiglione,Solenn Day,Thomas Bourgeois,Boris Matrot,François Vialard,Nathalie Janel

Translational lung cancer research 13:321-333 PubMed38496685

2024

HER3 overexpression: a predictive marker for poor prognosis in advanced ALK-positive non-small cell lung cancer treated with ALK inhibitors.

Applications

Unspecified application

Species

Unspecified reactive species

Meejeong Kim,Hyun-Min Ju,Ji-Young Song,Josephina Sampson,Richard Bayliss,Jene Choi

Nature communications 14:6332 PubMed37816716

2023

Signature-driven repurposing of Midostaurin for combination with MEK1/2 and KRASG12C inhibitors in lung cancer.

Applications

Unspecified application

Species

Unspecified reactive species

Irati Macaya,Marta Roman,Connor Welch,Rodrigo Entrialgo-Cadierno,Marina Salmon,Alba Santos,Iker Feliu,Joanna Kovalski,Ines Lopez,Maria Rodriguez-Remirez,Sara Palomino-Echeverria,Shane M Lonfgren,Macarena Ferrero,Silvia Calabuig,Iziar A Ludwig,David Lara-Astiaso,Eloisa Jantus-Lewintre,Elizabeth Guruceaga,Shruthi Narayanan,Mariano Ponz-Sarvise,Antonio Pineda-Lucena,Fernando Lecanda,Davide Ruggero,Purvesh Khatri,Enrique Santamaria,Joaquin Fernandez-Irigoyen,Irene Ferrer,Luis Paz-Ares,Matthias Drosten,Mariano Barbacid,Ignacio Gil-Bazo,Silve Vicent
View all publications

Abcam Product Promise

我们致力于为您的研究提供高质量的试剂,为您科研的每一步提供支持。若我们的产品未能达到预期性能,我们向您提供 Abcam Product Promise 保障。
详情请参阅我们的条款与条件。

Please note: All products are 'FOR RESEARCH USE ONLY. NOT FOR USE IN DIAGNOSTIC OR THERAPEUTIC PROCEDURES'.

For licensing inquiries, please contact partnerships@abcam.com