JavaScript is disabled in your browser. Please enable JavaScript to view this website.
AB256345

重组Anti-c-Kit抗体[EPR22566-344]

Anti-c-Kit antibody [EPR22566-344]

  • BOND RX™ Validated
  • 20ul selling size
  • RabMAb
  • Recombinant
  • 了解详情

Be the first to review this product! Submit a review

|

(19 Publications)

Rabbit Recombinant Monoclonal c-Kit antibody. Suitable for WB, IHC-P and reacts with Mouse, Rat samples. Cited in 19 publications.

查看别名

CD117, Sl, Kit, Mast/stem cell growth factor receptor Kit, SCFR, Proto-oncogene c-Kit, Tyrosine-protein kinase Kit

5 Images
Immunohistochemistry (Formalin/PFA-fixed paraffin-embedded sections) - Anti-c-Kit antibody [EPR22566-344] (AB256345)
  • IHC-P

Unknown

Immunohistochemistry (Formalin/PFA-fixed paraffin-embedded sections) - Anti-c-Kit antibody [EPR22566-344] (AB256345)

Immunohistochemical analysis of paraffin-embedded rat testis tissue labeling c-Kit with ab256345 at 1/4000 dilution (0.16 μg/ml) followed by a ready to use Rabbit specific IHC polymer detection kit HRP/DAB (ab209101). Positive staining on spermatogonia of rat testis (PMID : 29324782). The section was incubated with ab256345 for 15 mins at room temperature. The immunostaining was performed on a Leica Biosystems BOND® RX instrument. Counterstained with Hematoxylin. Heat mediated antigen retrieval with Tris-EDTA buffer (pH 9.0, epitope retrieval solution 2) for 20mins.

Secondary antibody only control : Used PBS instead of primary antibody, secondary antibody is a ready to use Rabbit specific IHC polymer detection kit HRP/DAB (ab209101).

Immunohistochemistry (Formalin/PFA-fixed paraffin-embedded sections) - Anti-c-Kit antibody [EPR22566-344] (AB256345)
  • IHC-P

Unknown

Immunohistochemistry (Formalin/PFA-fixed paraffin-embedded sections) - Anti-c-Kit antibody [EPR22566-344] (AB256345)

Immunohistochemical analysis of paraffin-embedded mouse cerebellum tissue labeling c-Kit with ab256345 at 1/4000 dilution (0.16 μg/ml) followed by a ready to use Rabbit specific IHC polymer detection kit HRP/DAB (ab209101). Positive staining in Purkinje cells of mouse cerebellum (PMID : 15100248). The section was incubated with ab256345 for 15 mins at room temperature. The immunostaining was performed on a Leica Biosystems BOND® RX instrument. Counterstained with hematoxylin. Heat mediated antigen retrieval with Tris-EDTA buffer (pH 9.0, epitope retrieval solution 2) for 20mins. Secondary antibody only control : Used PBS instead of primary antibody, secondary antibody is a ready to use Rabbit specific IHC polymer detection kit HRP/DAB (ab209101).

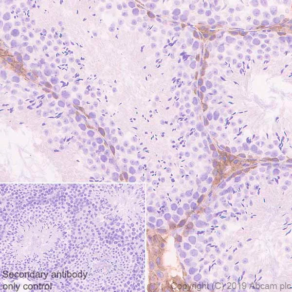
Immunohistochemistry (Formalin/PFA-fixed paraffin-embedded sections) - Anti-c-Kit antibody [EPR22566-344] (AB256345)
  • IHC-P

Unknown

Immunohistochemistry (Formalin/PFA-fixed paraffin-embedded sections) - Anti-c-Kit antibody [EPR22566-344] (AB256345)

Immunohistochemical analysis of paraffin-embedded mouse testis tissue labeling c-Kit with ab256345 at 1/4000 dilution (0.16 μg/ml) followed by a ready to use Rabbit specific IHC polymer detection kit HRP/DAB (ab209101). Positive staining on spermatogonia and Leydig cells of mouse testis (PMID : 29324782). The section was incubated with ab256345 for 15 mins at room temperature. The immunostaining was performed on a Leica Biosystems BOND® RX instrument. Counterstained with Hematoxylin. Heat mediated antigen retrieval with Tris-EDTA buffer (pH 9.0, epitope retrieval solution 2) for 20mins.

Secondary antibody only control : Used PBS instead of primary antibody, secondary antibody is a ready to use Rabbit specific IHC polymer detection kit HRP/DAB (ab209101).

Western blot - Anti-c-Kit antibody [EPR22566-344] (AB256345)
  • WB

Lab

Western blot - Anti-c-Kit antibody [EPR22566-344] (AB256345)

Blocking/Diluting buffer and concentration : 5% NFDM/TBST

Exposure time :
Lane 1 : 3.25 seconds
Lane 2-3 : 7.75 seconds

The molecular weight observed is consistent with what has been described in the literature (PMID : 29176653; PMID : 23637779)

All lanes:

Western blot - Anti-c-Kit antibody [EPR22566-344] (ab256345) at 1/100000 dilution

Lane 1:

Rat brain tissue lysate at 20 µg

Lane 2:

Rat cerebellum tissue lysate at 20 µg

Lane 3:

Rat kidney tissue lysate at 20 µg

Secondary

All lanes:

Western blot - Goat Anti-Rabbit IgG H&L (HRP) (<a href='/products/secondary-antibodies/goat-rabbit-igg-h-l-hrp-ab97051'>ab97051</a>) at 1/20000 dilution

Predicted band size: 109 kDa

Observed band size: 120-140 kDa

false

Western blot - Anti-c-Kit antibody [EPR22566-344] (AB256345)
  • WB

Unknown

Western blot - Anti-c-Kit antibody [EPR22566-344] (AB256345)

The molecular weight observed is consistent with what has been described in the literature (PMID : 29176653; PMID : 23637779).

Negative control : NIH/3T3 (PMID : 29622475; PMID : 11522667)

Exposure time : Lane 1 : 15 secs; Lanes 2-3 : 26 secs.

All lanes:

Western blot - Anti-c-Kit antibody [EPR22566-344] (ab256345) at 1/1000 dilution

Lane 1:

Mouse brain tissue lysate at 20 µg

Lane 2:

Mouse cerebellum tissue lysate at 20 µg

Lane 3:

NIH/3T3 (mouse embryonic fibroblast) whole cell lysate at 20 µg

Secondary

All lanes:

Western blot - Goat Anti-Rabbit IgG H&L (HRP) (<a href='/products/secondary-antibodies/goat-rabbit-igg-h-l-hrp-ab97051'>ab97051</a>) at 1/100000 dilution

Predicted band size: 109 kDa

Observed band size: 120-140 kDa

false

不同偶联物与剂型 (1)

  • Carrier free

    Anti-c-Kit antibody [EPR22566-344] - BSA and Azide free

关键信息

宿主种属

Rabbit

克隆

Monoclonal

克隆号

EPR22566-344

亚型

IgG

不含载体蛋白

No

反应种属

Mouse, Rat

应用

WB, IHC-P

applications

免疫原

The exact immunogen used to generate this antibody is proprietary information.

反应性数据

{ "title": "Reactivity Data", "filters": { "stats": ["", "Species", "Dilution Info", "Notes"], "tabs": { "all-applications": {"fullname" : "All Applications", "shortname": "All Applications"}, "IP" : {"fullname" : "Immunoprecipitation", "shortname":"IP"}, "FlowCyt" : {"fullname" : "Flow Cytometry", "shortname":"Flow Cyt"}, "WB" : {"fullname" : "Western blot", "shortname":"WB"}, "ICCIF" : {"fullname" : "Immunocytochemistry/ Immunofluorescence", "shortname":"ICC/IF"}, "IHCFr" : {"fullname" : "Immunohistochemistry (Frozen sections)", "shortname":"IHC-Fr"}, "IHCP" : {"fullname" : "Immunohistochemistry (Formalin/PFA-fixed paraffin-embedded sections)", "shortname":"IHC-P"} }, "product-promise": { "all": "all", "testedAndGuaranteed": "tested", "guaranteed": "expected", "predicted": "predicted", "notRecommended": "not-recommended" } }, "values": { "Mouse": { "IP-species-checked": "notRecommended", "IP-species-dilution-info": "", "IP-species-notes": "<p></p>", "FlowCyt-species-checked": "notRecommended", "FlowCyt-species-dilution-info": "", "FlowCyt-species-notes": "<p></p>", "WB-species-checked": "testedAndGuaranteed", "WB-species-dilution-info": "1/1000", "WB-species-notes": "<p></p>", "ICCIF-species-checked": "notRecommended", "ICCIF-species-dilution-info": "", "ICCIF-species-notes": "<p></p>", "IHCFr-species-checked": "notRecommended", "IHCFr-species-dilution-info": "", "IHCFr-species-notes": "<p></p>", "IHCP-species-checked": "testedAndGuaranteed", "IHCP-species-dilution-info": "1/4000", "IHCP-species-notes": "<p>Not recommended for human IHC.</p>" }, "Rat": { "IP-species-checked": "notRecommended", "IP-species-dilution-info": "", "IP-species-notes": "", "FlowCyt-species-checked": "notRecommended", "FlowCyt-species-dilution-info": "", "FlowCyt-species-notes": "", "WB-species-checked": "testedAndGuaranteed", "WB-species-dilution-info": "1/1000", "WB-species-notes": "<p></p>", "ICCIF-species-checked": "notRecommended", "ICCIF-species-dilution-info": "", "ICCIF-species-notes": "", "IHCFr-species-checked": "notRecommended", "IHCFr-species-dilution-info": "", "IHCFr-species-notes": "<p></p>", "IHCP-species-checked": "testedAndGuaranteed", "IHCP-species-dilution-info": "1/4000", "IHCP-species-notes": "<p>Not recommended for human IHC.</p>" } } }

产品详情

Not recommended for human IHC.

Patented technology
Our RabMAb® technology is a patented hybridoma-based technology for making rabbit monoclonal antibodies. For details on our patents, please refer to RabMAb® patents.

What are the advantages of a recombinant monoclonal antibody?
This product is a recombinant monoclonal antibody, which offers several advantages including:

  • - High batch-to-batch consistency and reproducibility
  • - Improved sensitivity and specificity
  • - Long-term security of supply
  • - Animal-free batch production

For more information, read more on recombinant antibodies.

性能和储存信息

形式
Liquid
纯化工艺
Affinity purification Protein A
存储溶液
pH: 7.2 - 7.4 Preservative: 0.01% Sodium azide Constituents: PBS, 40% Glycerol (glycerin, glycerine), 0.05% BSA
运输条件
Blue Ice
推荐的短期储存时间
1-2 weeks
推荐的短期储存条件
+4°C
推荐的长期储存条件
-20°C
分装信息
Upon delivery aliquot
储存信息
Avoid freeze / thaw cycle

补充信息

This supplementary information is collated from multiple sources and compiled automatically.

The c-Kit protein also known as CD117 is a type of receptor tyrosine kinase with a molecular weight of approximately 145 kDa. It is encoded by the KIT gene and commonly expressed on the surface of hematopoietic stem cells mast cells melanocytes and germ cells. C-Kit plays a role in the signal transduction pathways that control cell proliferation and survival. Researchers often identify c-Kit using markers like biotin c-Kit PerCP Cy5.5 or antibodies such as anti-c-Kit for experimental purposes.
Biological function summary

C-Kit influences the function and survival of certain cell types. When it binds to its ligand stem cell factor (SCF) it activates receptor dimerization and phosphorylation triggering downstream signaling. C-Kit does not act alone; it often functions in a complex with other proteins to affect cellular outcomes. Its expression is vital for the maintenance of bone marrow hematopoietic cells and contributes to melanocyte and germ cell development.

Pathways

C-Kit interacts with the PI3K/AKT and RAS/ERK pathways through its kinase activity. These pathways play important roles in cell division differentiation and survival. The c-Abl and ACK2 proteins are closely related to c-Kit function within these signaling networks contributing to regulating cellular responses to external stimuli.

C-Kit mutations are frequently associated with gastrointestinal stromal tumors (GIST) and acute myeloid leukemia (AML). These conditions often involve alterations in c-Kit activity leading to uncontrolled cell growth. While studying GIST researchers have noticed interactions between c-Kit and other proteins like CBL which is involved in the modulation of c-Kit signaling. Understanding these interactions helps in designing targeted therapies for conditions involving c-Kit dysregulation.

产品实验方案

For this product, it's our understanding that no specific protocols are required. You can visit:

靶点信息

Tyrosine-protein kinase that acts as a cell-surface receptor for the cytokine KITLG/SCF and plays an essential role in the regulation of cell survival and proliferation, hematopoiesis, stem cell maintenance, gametogenesis, mast cell development, migration and function, and in melanogenesis. In response to KITLG/SCF binding, KIT can activate several signaling pathways. Phosphorylates PIK3R1, PLCG1, SH2B2/APS and CBL. Activates the AKT1 signaling pathway by phosphorylation of PIK3R1, the regulatory subunit of phosphatidylinositol 3-kinase. Activated KIT also transmits signals via GRB2 and activation of RAS, RAF1 and the MAP kinases MAPK1/ERK2 and/or MAPK3/ERK1. Promotes activation of STAT family members STAT1, STAT3, STAT5A and STAT5B. Activation of PLCG1 leads to the production of the cellular signaling molecules diacylglycerol and inositol 1,4,5-trisphosphate. KIT signaling is modulated by protein phosphatases, and by rapid internalization and degradation of the receptor. Activated KIT promotes phosphorylation of the protein phosphatases PTPN6/SHP-1 and PTPRU, and of the transcription factors STAT1, STAT3, STAT5A and STAT5B. Promotes phosphorylation of PIK3R1, CBL, CRK (isoform Crk-II), LYN, MAPK1/ERK2 and/or MAPK3/ERK1, PLCG1, SRC and SHC1.
See full target information Kit

文献 (19)

Recent publications for all applications. Explore the full list and refine your search

Frontiers in pharmacology 16:1550458 PubMed40599805

2025

Naringenin attenuates slow-transit constipation by regulating the AMPK/mTOR/ULK1 signalling pathway: and studies.

Applications

Unspecified application

Species

Unspecified reactive species

Yahui Wang,Xiaopeng Wang,Yifei Qian,Mingming Sun,Huiju Yang,Lianlin Su,Shuai Yan

Gastroenterology research and practice 2025:5790162 PubMed40463822

2025

Changrun Formula Relieves Functional Constipation by Improving Intestinal Motility in Rats.

Applications

Unspecified application

Species

Unspecified reactive species

Qiuping Xiao,Yanqiu Hong,Xuesi Geng

CNS neuroscience & therapeutics 31:e70286 PubMed39981761

2025

Metrnl/C-KIT Axis Attenuates Early Brain Injury Following Subarachnoid Hemorrhage by Inhibiting Neuronal Ferroptosis.

Applications

Unspecified application

Species

Unspecified reactive species

You Zhou,Jiani Li,Ye Yuan,Hao Zhang,Xu Luo,Feng Wang,Yihao Tao,Jianhe Yue,Luyi Huang,Lei Wu,Yunxing Cao,Qian Yu,Qiuguang He

Cancer medicine 13:e70416 PubMed39618078

2024

The Potential Therapeutic Targets of Anlotinib in Osteosarcoma: Characterization Based on Patient-Derived Xenografts and Next-Generation Sequencing.

Applications

Unspecified application

Species

Unspecified reactive species

Zuoyao Long,Yajie Lu,Minghui Li,Jing Li,Guojing Chen,Fengwei Wang,Qi Wang,Liangbi Xiang,Zhen Wang

Heliyon 10:e33705 PubMed39040398

2024

Ameliorative effects of the mixed aqueous extract of Aurantii Fructus Immaturus and Magnoliae Officinalis Cortex on loperamide-induced STC mice.

Applications

Unspecified application

Species

Unspecified reactive species

Ting Cai,Yun Dong,Zeyu Feng,Bin Cai

Cell reports 42:113364 PubMed37922312

2023

Single-cell RNA sequencing-guided fate-mapping toolkit delineates the contribution of yolk sac erythro-myeloid progenitors.

Applications

Unspecified application

Species

Unspecified reactive species

Y X Zhao,J Y Song,X W Bao,J L Zhang,J C Wu,L Y Wang,C He,W Shao,X L Bai,T B Liang,J P Sheng

International journal of molecular sciences 24: PubMed37762681

2023

Slowed Intestinal Transit Induced by Less Mucus in Intestinal Goblet Cell Piezo1-Deficient Mice through Impaired Epithelial Homeostasis.

Applications

Unspecified application

Species

Unspecified reactive species

Feifei Fang,Ying Liu,Yilin Xiong,Xueyan Li,Gangping Li,Yudong Jiang,Xiaohua Hou,Jun Song

Frontiers in cardiovascular medicine 9:1013262 PubMed36684586

2023

SARS-CoV-2 Spike protein activates TMEM16F-mediated platelet procoagulant activity.

Applications

Unspecified application

Species

Unspecified reactive species

Ambra Cappelletto,Harriet E Allan,Marilena Crescente,Edoardo Schneider,Rossana Bussani,Hashim Ali,Ilaria Secco,Simone Vodret,Roberto Simeone,Luca Mascaretti,Serena Zacchigna,Timothy D Warner,Mauro Giacca

Pharmaceutical biology 61:125-134 PubMed36582187

2022

Therapeutic effects of flower aqueous extracts against loperamide-induced constipation in mice.

Applications

Unspecified application

Species

Unspecified reactive species

Liuping Wang,Shiyuan Xie,Xuan Jiang,Caini Xu,Youqiong Wang,Jianfang Feng,Bin Yang

Chemical & pharmaceutical bulletin 71:129-133 PubMed36464270

2022

Effects of Emodin on Protein Expression Related to Autophagy of Interstitial Cells of Cajal in Diabetic Rats.

Applications

Unspecified application

Species

Unspecified reactive species

Yujin Wang,Na Dong,Yuan Zhou,Hongyan Li,Gangxin Qin,Hui Li,Qiaoqiao Zhao,Miao Zhang,Yanjin Su
View all publications

Abcam Product Promise

我们致力于为您的研究提供高质量的试剂,为您科研的每一步提供支持。若我们的产品未能达到预期性能,我们向您提供 Abcam Product Promise 保障。
详情请参阅我们的条款与条件。

Please note: All products are 'FOR RESEARCH USE ONLY. NOT FOR USE IN DIAGNOSTIC OR THERAPEUTIC PROCEDURES'.

For licensing inquiries, please contact partnerships@abcam.com