JavaScript is disabled in your browser. Please enable JavaScript to view this website.
AB222699

重组Anti-c-Fos抗体[EPR21930-238]

Anti-c-Fos antibody [EPR21930-238]

4

(6 Reviews)

|

(90 Publications)

Anti-c-Fos antibody [EPR21930-238] (ab222699) is a rabbit monoclonal antibody detecting c-Fos in Western Blot, Flow Cytometry (Intra), Flow Cytometry, IP, IHC-P, ICC/IF. Suitable for Human, Mouse.

- Biophysical QC for unrivalled batch-batch consistency
- Over 40 publications

查看别名

G0S7, FOS, Protein c-Fos, Cellular oncogene fos, G0/G1 switch regulatory protein 7, Proto-oncogene c-Fos, Transcription factor AP-1 subunit c-Fos

9 Images
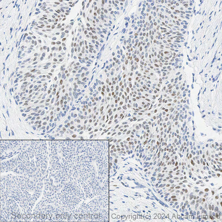
Immunohistochemistry (Formalin/PFA-fixed paraffin-embedded sections) - Anti-c-Fos antibody [EPR21930-238] (AB222699)
  • IHC-P

Lab

Immunohistochemistry (Formalin/PFA-fixed paraffin-embedded sections) - Anti-c-Fos antibody [EPR21930-238] (AB222699)

Immunohistochemical analysis of formalin fixed paraffin embedded human bladder cancer labelling c-Fos with ab222699 at a concentration of 0.5 µg/ml. The immunostaining was performed on a Ventana DISCOVERY ULTRA (Roche Tissue Diagnostics) instrument with a OptiView DAB IHC Detection Kit. Heat mediated antigen retrieval was performed with DISCOVERY cell conditioning solution (CC1) 100°C, pH 8.5 for 32mins.

ab222699 anti-c-Fos [EPR21930-238] was incubated for 16mins at 37°C. Sections were counterstained with Hematoxylin II. Image inset shows absence of staining in secondary antibody only control.

Customers are encouraged to optimise antigen retrieval conditions, antibody concentration, incubation times and temperature for best results in their own IHC assay workflow (automated and manual).

Flow Cytometry (Intracellular) - Anti-c-Fos antibody [EPR21930-238] (AB222699)
  • Flow Cyt (Intra)

Supplier Data

Flow Cytometry (Intracellular) - Anti-c-Fos antibody [EPR21930-238] (AB222699)

Intracellular flow cytometric analysis of 4% paraformaldehyde-fixed, 90% methanol-permebalized HeLa (human epithelial cell line from cervix adenocarcinoma) cell line grown in serum free medium for 36 hours, followed by addition of 20% FBS for 2 hours (Red) / Untreated control (Green) labeling c-Fos with ab22699 at 1/500 dilution compared with a Rabbit monoclonal IgG (ab172730) (Black) and an unlabeled control (cells without incubation with primary antibody and secondary antibody) (Blue). Goat anti rabbit IgG (Alexa Fluor® 488, ab150077) was used as the secondary antibody at 1/2000 dilution.

Serum starvation followed by FBS treatment induces the expression of c-Fos (PMID : 14981092).

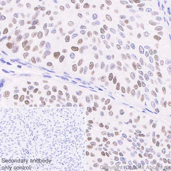
Immunohistochemistry (Formalin/PFA-fixed paraffin-embedded sections) - Anti-c-Fos antibody [EPR21930-238] (AB222699)
  • IHC-P

Supplier Data

Immunohistochemistry (Formalin/PFA-fixed paraffin-embedded sections) - Anti-c-Fos antibody [EPR21930-238] (AB222699)

Immunohistochemical analysis of paraffin-embedded human bladder carcinoma tissue labeling c-Fos with ab222699 at 1/2000 dilution, followed by Goat Anti-Rabbit IgG H&L (HRP) ready to use. Nuclear staining in tumor cells of human bladder carcinoma (PMID : 28358415). Counter stained with hematoxylin.

Secondary antibody only control : Used PBS instead of primary antibody, secondary antibody is Goat Anti-Rabbit IgG H&L (HRP) Ready to use.

Perform heat-mediated antigen retrieval using ab93684 (Tris/EDTA buffer, pH 9.0).

Immunocytochemistry/ Immunofluorescence - Anti-c-Fos antibody [EPR21930-238] (AB222699)
  • ICC/IF

Supplier Data

Immunocytochemistry/ Immunofluorescence - Anti-c-Fos antibody [EPR21930-238] (AB222699)

Immunofluorescnt analysis of 4% paraformaldehyde-fixed, 0.1% Triton X-100 permeablised HeLa (human cervix adenocarcinoma epithelial cell) cells labeling c-Fos with ab222699 at 1/1000 dilution, followed by Goat Anti-Rabbit IgG H&L (Alexa Fluor® 488) (ab150077) secondary antibody at 1/1000 dilution (green). Confocal image showing nuclear staining in HeLa cells in serum free medium for 36 hours, followed by addition of 20% fetal bovine serum for 2 hours (PMID : 14981092).

The nuclear counter stain is DAPI (blue). Tubulin is detected with Anti-alpha Tubulin antibody [DM1A] - Microtubule Marker (Alexa Fluor® 594) (ab195889) (red) at 1/200 dilution.

Secondary antibody only control : Used PBS instead of primary antibody, secondary antibody is Goat Anti-Rabbit IgG H&L (Alexa Fluor® 488) (ab150077) secondary antibody at 1/1000 dilution.

Immunoprecipitation - Anti-c-Fos antibody [EPR21930-238] (AB222699)
  • IP

Supplier Data

Immunoprecipitation - Anti-c-Fos antibody [EPR21930-238] (AB222699)

c-Fos was immunoprecipitated from 0.35 mg of HeLa (human epithelial cell line from cervix adenocarcinoma) grown in serum free medium for 36 hours, followed by addition of 20% FBS for 2 hours whole cell lysate with ab222699 at 1/30 dilution. Western blot was performed from the immunoprecipitate using ab222699 at 1/1000 dilution. VeriBlot for IP Detection Reagent (HRP) (ab131366) was used for detection at 1/5000 dilution.

Lane 1 : HeLa grown in serum free medium for 36 hours, followed by addition of 20% FBS for 2 hours whole cell lysate 10 μg (Input).

Lane 2 : ab222699 IP in HeLa grown in serum free medium for 36 hours, followed by addition of 20% FBS for 2 hours whole cell lysate.

Lane 3 : Rabbit monoclonal IgG (ab172730) instead of ab222699 in HeLa grown in serum free medium for 36 hours, followed by addition of 20% FBS for 2 hours whole cell lysate.

Blocking and dilution buffer and concentration : 5% NFDM/TBST

Exposure time : 30 seconds.

Serum starvation followed by FBS treatment induces the expression of c-Fos (PMID : 14981092).

All lanes:

Immunoprecipitation - Anti-c-Fos antibody [EPR21930-238] (ab222699)

Predicted band size: 41 kDa

Observed band size: 55-60 kDa

false

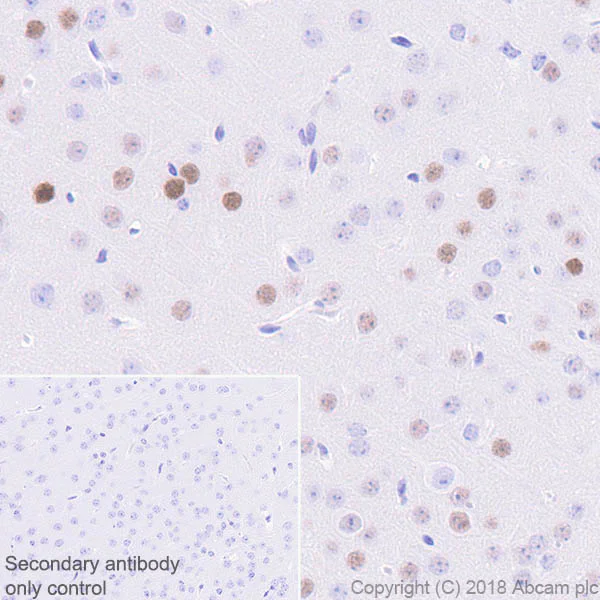
Immunohistochemistry (Formalin/PFA-fixed paraffin-embedded sections) - Anti-c-Fos antibody [EPR21930-238] (AB222699)
  • IHC-P

Supplier Data

Immunohistochemistry (Formalin/PFA-fixed paraffin-embedded sections) - Anti-c-Fos antibody [EPR21930-238] (AB222699)

Immunohistochemical analysis of paraffin-embedded mouse cerebral cortex tissue labeling c-Fos with ab222699 at 1/2000 dilution, followed by Goat Anti-Rabbit IgG H&L (HRP) Ready to use. Nuclear staining in neurons of mouse cerebral cortex (PMID : 24604295). Counter stained with hematoxylin.

Secondary antibody only control : Used PBS instead of primary antibody, secondary antibody is Goat Anti-Rabbit IgG H&L (HRP) Ready to use.

Perform heat-mediated antigen retrieval using ab93684 (Tris/EDTA buffer, pH 9.0).

IHC-tissue clearing - Anti-c-Fos antibody [EPR21930-238] (AB222699)
  • IHC-tissue clearing

Supplier Data

IHC-tissue clearing - Anti-c-Fos antibody [EPR21930-238] (AB222699)

Anti-c-FOS antibody ab222699 was used with Tissue clearing kit – CUBIC (ab316246) and 3D Tissue Staining Kit – CUBIC (ab316248) to penetrate, stain and clear a whole mouse brain. White : nuclear staining, Yellow : c-FOS.

Learn more about tissue clearing kits, reagents, and protocols designed to make it easier to stain whole brains and get more data from each valuable tissue sample.

For a whole mouse brain, we recommend starting with 0.6 ug of ab222699 and using a Fab fragment secondary antibody at 0.4 ug to create an antibody complex before 3D staining (see protocol for details). Additive A was used during the staining process.

The sample was imaged using a light-sheet microscope.

Immunohistochemistry (Formalin/PFA-fixed paraffin-embedded sections) - Anti-c-Fos antibody [EPR21930-238] (AB222699)
  • IHC-P

Supplier Data

Immunohistochemistry (Formalin/PFA-fixed paraffin-embedded sections) - Anti-c-Fos antibody [EPR21930-238] (AB222699)

Immunohistochemical analysis of paraffin-embedded mouse dentate gyrus tissue labeling c-Fos with ab222699 at 1/2000 dilution, followed by Goat Anti-Rabbit IgG H&L (HRP) Ready to use. Sporadic nuclear staining in mouse dentate gyrus (PMID : 24604295). Counter stained with hematoxylin.

Secondary antibody only control : Used PBS instead of primary antibody, secondary antibody is Goat Anti-Rabbit IgG H&L (HRP) Ready to use.

Perform heat-mediated antigen retrieval using ab93684 (Tris/EDTA buffer, pH 9.0).

Western blot - Anti-c-Fos antibody [EPR21930-238] (AB222699)
  • WB

Supplier Data

Western blot - Anti-c-Fos antibody [EPR21930-238] (AB222699)

Blocking/Dilution buffer : 5% NFDM/TBST.

PMA treatment induces expression of c-Fos, as documented in the literature (PMID : 24386331, PMID : 23300800, PMID : 25695333).

All lanes:

Western blot - Anti-c-Fos antibody [EPR21930-238] (ab222699) at 1/1000 dilution

Lane 1:

Untreated Jurkat (human T cell leukemia cell line from peripheral blood) grown in serum free medium overnight, whole cell lysate at 10 µg

Lane 2:

Jurkat grown in serum free medium overnight, followed by treatment with 200 nM PMA for 4 hours, whole cell lysate at 10 µg

Secondary

All lanes:

Western blot - Goat Anti-Rabbit IgG H&L (HRP) (<a href='/products/secondary-antibodies/goat-rabbit-igg-h-l-hrp-ab97051'>ab97051</a>) at 1/100000 dilution

Predicted band size: 41 kDa

Observed band size: 55-60 kDa

false

Exposure time: 48s

不同偶联物与剂型 (5)

关键信息

宿主种属

Rabbit

克隆

Monoclonal

克隆号

EPR21930-238

亚型

IgG

不含载体蛋白

No

反应种属

Mouse, Human

应用

WB, Flow Cyt (Intra), IHC-P, IP, ICC/IF

applications

免疫原

The exact immunogen used to generate this antibody is proprietary information.

特异性

In IHC-P, no staining is observed on rat tissues with this antibody in our lab. We recommend ab289723 for work on rat.

反应性数据

{ "title": "Reactivity Data", "filters": { "stats": ["", "Species", "Dilution Info", "Notes"], "tabs": { "all-applications": {"fullname" : "All Applications", "shortname": "All Applications"}, "IP" : {"fullname" : "Immunoprecipitation", "shortname":"IP"}, "WB" : {"fullname" : "Western blot", "shortname":"WB"}, "ICCIF" : {"fullname" : "Immunocytochemistry/ Immunofluorescence", "shortname":"ICC/IF"}, "FlowCytIntra" : {"fullname" : "Flow Cytometry (Intracellular)", "shortname":"Flow Cyt (Intra)"}, "IHCP" : {"fullname" : "Immunohistochemistry (Formalin/PFA-fixed paraffin-embedded sections)", "shortname":"IHC-P"} }, "product-promise": { "all": "all", "testedAndGuaranteed": "tested", "guaranteed": "expected", "predicted": "predicted", "notRecommended": "not-recommended" } }, "values": { "Human": { "IP-species-checked": "testedAndGuaranteed", "IP-species-dilution-info": "1/30", "IP-species-notes": "<p></p>", "WB-species-checked": "testedAndGuaranteed", "WB-species-dilution-info": "1/1000", "WB-species-notes": "<p></p>", "ICCIF-species-checked": "testedAndGuaranteed", "ICCIF-species-dilution-info": "1/1000", "ICCIF-species-notes": "<p></p>", "FlowCytIntra-species-checked": "testedAndGuaranteed", "FlowCytIntra-species-dilution-info": "1/500", "FlowCytIntra-species-notes": "<p></p>", "IHCP-species-checked": "testedAndGuaranteed", "IHCP-species-dilution-info": "1/2000", "IHCP-species-notes": "<p></p> Perform heat-mediated antigen retrieval with Tris/EDTA buffer pH 9.0 before commencing with IHC staining protocol." }, "Mouse": { "IP-species-checked": "guaranteed", "IP-species-dilution-info": "", "IP-species-notes": "", "WB-species-checked": "testedAndGuaranteed", "WB-species-dilution-info": "1/1000", "WB-species-notes": "<p></p>", "ICCIF-species-checked": "guaranteed", "ICCIF-species-dilution-info": "", "ICCIF-species-notes": "", "FlowCytIntra-species-checked": "guaranteed", "FlowCytIntra-species-dilution-info": "", "FlowCytIntra-species-notes": "", "IHCP-species-checked": "testedAndGuaranteed", "IHCP-species-dilution-info": "1/2000", "IHCP-species-notes": "<p></p> Perform heat-mediated antigen retrieval with Tris/EDTA buffer pH 9.0 before commencing with IHC staining protocol." }, "Common marmoset": { "IP-species-checked": "predicted", "IP-species-dilution-info": "", "IP-species-notes": "", "WB-species-checked": "predicted", "WB-species-dilution-info": "", "WB-species-notes": "", "ICCIF-species-checked": "predicted", "ICCIF-species-dilution-info": "", "ICCIF-species-notes": "", "FlowCytIntra-species-checked": "predicted", "FlowCytIntra-species-dilution-info": "", "FlowCytIntra-species-notes": "", "IHCP-species-checked": "predicted", "IHCP-species-dilution-info": "", "IHCP-species-notes": "" } } }

产品详情

Product Specifications

Anti-c-Fos antibody [EPR21930-238] (ab222699) was developed by Abcam using patented rabbit monoclonal antibody technology and is validated for use in Flow Cyt (Intra), ICC/IF, IHC-P, IP, WB in human, mouse samples.
Anti-c-Fos antibody [EPR21930-238] (ab222699) specifically detects c-Fos (UniProt ID: P01100; Molecular weight: 41kDa) and is sold in 100 µL and 1 mL selling sizes.

Quality and Validation

Abcam's high quality manufacturing and validation processes ensure Anti-c-Fos antibody [EPR21930-238] (ab222699) has high sensitivity and specificity alongside high lot-to-lot consistency and reproducibility.
Anti-c-Fos antibody [EPR21930-238] (ab222699) has been cited over 42 times in peer reviewed journals and is trusted by the scientific community.
Anti-c-Fos antibody [EPR21930-238] (ab222699) has 6 independent reviews from customers.

Related Products
Conjugation-ready, carrier free format available for antibody clone EPR21930-238 - ab234964.
Antibody clone EPR21930-238 is also available pre-conjugated to a variety of labels for your convenience - Alexa Fluor® 647, Alexa Fluor® 555, Alexa Fluor® 594, Alexa Fluor® 568, Alexa Fluor® 488 (ab300747, ab302541, ab302685, ab303464, ab306605).
Target Information
c-Fos is an immediate-early gene widely used in neuro research for its role as a marker of neuronal activation. It is rapidly expressed in response to various stimuli, making it an excellent indicator of neuronal activity and functional mapping. Researchers use c-Fos to study brain activity patterns, synaptic plasticity, and the effects of drugs or other interventions on the central nervous system, making it essential for understanding dynamic changes in brain function.

Patented technology
Our RabMAb® technology is a patented hybridoma-based technology for making rabbit monoclonal antibodies. For details on our patents, please refer to RabMAb® patents.

What are the advantages of a recombinant monoclonal antibody?
This product is a recombinant monoclonal antibody, which offers several advantages including:

  • - High batch-to-batch consistency and reproducibility
  • - Improved sensitivity and specificity
  • - Long-term security of supply
  • - Animal-free batch production

For more information, read more on recombinant antibodies.

性能和储存信息

形式
Liquid
纯化工艺
Affinity purification Protein A
存储溶液
pH: 7.2 - 7.4 Preservative: 0.01% Sodium azide Constituents: PBS, 40% Glycerol (glycerin, glycerine), 0.05% BSA
运输条件
Blue Ice
推荐的短期储存时间
1-2 weeks
推荐的短期储存条件
+4°C
推荐的长期储存条件
-20°C
分装信息
Upon delivery aliquot
储存信息
Avoid freeze / thaw cycle

补充信息

This supplementary information is collated from multiple sources and compiled automatically.

The c-Fos protein also known as c-Fos is a component of the Fos family of transcription factors which includes FosB Fra-1 and Fra-2. These proteins play a role in regulating gene expression. c-Fos has a molecular weight of about 55 kDa. You usually find c-Fos expressed in various tissues including the brain providing a marker for neuronal activity and is often induced in response to stimuli like stress growth factors and mitogens. In research settings c-Fos staining and c-Fos immunohistochemistry are techniques commonly used to study activation patterns in cells and tissues.
Biological function summary

C-Fos acts as part of the Activator Protein-1 (AP-1) complex a group of DNA-binding proteins that regulate gene transcription. This complex forms when c-Fos and Jun proteins dimerize. The AP-1 complex controls several cellular processes such as proliferation differentiation and apoptosis. Due to its participation in these vital processes c-Fos influences cellular responses to external stimuli and can affect how cells behave under stress.

Pathways

C-Fos significantly contributes to the MAPK/ERK pathway which plays a role in cell growth and differentiation. It partners with Jun proteins to form functional transcription factors within the MAPK signaling cascade. Additionally c-Fos is involved in the JNK signaling pathway linking it to stress responses and apoptosis. These pathways highlight the partnerships between c-Fos and other proteins like ERK and JNK indicating their intertwined roles in cellular signaling networks.

Researchers associate c-Fos with cancer and neurodegenerative diseases. In cancer c-Fos expression correlates with changes in AP-1 activity which can lead to altered cell growth and proliferation potentially contributing to tumor formation. Its involvement in neurodegenerative diseases reveals its role in neuron apoptosis and cellular stress responses. In these scenarios proteins like Bcl-2 also play a part with CDK1 sharing connections in processes that affect cell cycle and apoptosis illustrating c-Fos's broad significance in both normal and pathological conditions.

产品实验方案

For this product, it's our understanding that no specific protocols are required. You can visit:

靶点信息

Nuclear phosphoprotein which forms a tight but non-covalently linked complex with the JUN/AP-1 transcription factor. In the heterodimer, FOS and JUN/AP-1 basic regions each seems to interact with symmetrical DNA half sites. On TGF-beta activation, forms a multimeric SMAD3/SMAD4/JUN/FOS complex at the AP1/SMAD-binding site to regulate TGF-beta-mediated signaling. Has a critical function in regulating the development of cells destined to form and maintain the skeleton. It is thought to have an important role in signal transduction, cell proliferation and differentiation. In growing cells, activates phospholipid synthesis, possibly by activating CDS1 and PI4K2A. This activity requires Tyr-dephosphorylation and association with the endoplasmic reticulum.
See full target information FOS

文献 (90)

Recent publications for all applications. Explore the full list and refine your search

Molecular psychiatry : PubMed41053436

2025

Regulation of stress susceptibility by chromatin-binding protein PHF6 in the pituitary intermediate lobe.

Applications

Unspecified application

Species

Unspecified reactive species

Bing Liu,Jingjie Wang,Xiaohua Wu,Linhua Gan,Jingjing Sun,Guangzhong Wang,Qian Li,Ju Huang

Journal of neuroinflammation 22:222 PubMed41039397

2025

Neuro-immune regulation of sepsis-associated delirium via the PBN-CeA-spleen axis.

Applications

Unspecified application

Species

Unspecified reactive species

Menglin Dong,Yu Zou,Zhiwen Ye,Wangyuan Zou,Lina Zhang,Yuhang Ai,Qianyi Peng

Molecular pain 21:17448069251376198 PubMed40968661

2025

Inhibition of mTOR/S6K1/Gli1 signaling alleviates morphine-induced thermal hyperalgesia and tolerance.

Applications

Unspecified application

Species

Unspecified reactive species

Xing-He Wang,Long Wang,Long Yang,Yang Bai,Ling-Fei Xu,Miao-Miao Li,Yu-Cheng Liu,Jia Sun,Su Liu

ImmunoTargets and therapy 14:901-930 PubMed40894302

2025

Ultrasound-Mediated Non-Specific Splenic Immunopotentiation to Elicit Broad-Spectrum Anti-Neoplastic Effects.

Applications

Unspecified application

Species

Unspecified reactive species

Wei Dong,Guihu Wang,Senyang Li,Qian Wang,Wenjuan Li,Heyuan Liu,Yingxue Liang,Zhe Zhou,Xinrui He,Wenlei Guo,Jianing Yuan,Yichao Chai,Jing Geng,Zongfang Li

Frontiers in pharmacology 16:1596813 PubMed40771934

2025

Synergistic effects of combined hypnotic drugs on sleep in mice.

Applications

Unspecified application

Species

Unspecified reactive species

Rui Bai,Chu Wang,Fanghui Wu,Yifeng Yin,Yanli Liu,Yuan Gao,Yunyang Song

Scientific reports 15:26315 PubMed40685440

2025

Identification of clinical diagnostic and immune cell infiltration characteristics of acute myocardial infarction with machine learning approach.

Applications

Unspecified application

Species

Unspecified reactive species

Huali Jiang,Weijie Chen,Benfa Chen,Tao Feng,Heng Li,Dan Li,Shanhua Wang,Weijie Li

Bioactive materials 51:293-305 PubMed40487243

2025

Tryptophan-producing bacteria to mitigate osteoporosis and intestinal dysfunction.

Applications

Unspecified application

Species

Unspecified reactive species

Bo Tian,Heng Wang,Yue Zhang,Jinmin Lv,Dongxiao Li,Chenmeng Zhou,Jialu Xu,Yichao Ni,Bingbing Wu,Mingchao Zhang,Huaxing Dai,Fang Xu,Jinyu Bai,Chao Wang,Xiaozhong Zhou

Nature communications 16:5215 PubMed40473608

2025

A gatekeeper sympathetic control of lacrimal tear secretion and dry eye onset through the NA-Adra1a-Ucp2 pathway.

Applications

Unspecified application

Species

Unspecified reactive species

Mingli Qu,Qun Wang,Xiaofei Bai,Jing Feng,Sai Zhang,Yangyang Zhang,Qing Chen,Hai Zhu,Hengrui Zhang,Qunqin Guo,Bin Zhang,Shengqian Dou,Yujie Qiao,Hongwei Wang,Yihai Cao,Lixin Xie,Qingjun Zhou

PloS one 20:e0323628 PubMed40445926

2025

Reversible neuropathic pain model created by long-term optogenetic nociceptor stimulation using light-responsive pain mice.

Applications

Unspecified application

Species

Unspecified reactive species

Satoshi Kouroki,Toyoaki Maruta,Kotaro Hidaka,Tomohiro Koshida,Mio Kurogi,Yohko Kage,Ayako Miura,Hikaru Nakagawa,Toshihiko Yanagita,Ryu Takeya,Isao Tsuneyoshi

Biomolecules 15: PubMed40427591

2025

LIFR-Mediated ERBB2 Signaling Is Essential for Successful Embryo Implantation in Mice.

Applications

Unspecified application

Species

Unspecified reactive species

Jumpei Terakawa,Sakura Nakamura,Mana Ohtomo,Saki Uehara,Yui Kawata,Shunsuke Takarabe,Hibiki Sugita,Takafumi Namiki,Atsuko Kageyama,Michiko Noguchi,Hironobu Murakami,Naomi Kashiwazaki,Junya Ito
View all publications

Abcam Product Promise

我们致力于为您的研究提供高质量的试剂,为您科研的每一步提供支持。若我们的产品未能达到预期性能,我们向您提供 Abcam Product Promise 保障。
详情请参阅我们的条款与条件。

Please note: All products are 'FOR RESEARCH USE ONLY. NOT FOR USE IN DIAGNOSTIC OR THERAPEUTIC PROCEDURES'.

For licensing inquiries, please contact partnerships@abcam.com