JavaScript is disabled in your browser. Please enable JavaScript to view this website.
AB208942

Anti-c-Fos 抗体 [2H2]

Anti-c-Fos antibody [2H2]

  • BOND RX™ Validated
  • KO Validated
  • Lab Essentials
  • 了解详情

4

(13 Reviews)

|

(207 Publications)

Anti-c-Fos antibody [2H2] (ab208942) is a mouse monoclonal antibody detecting c-Fos in Western Blot, IHC-P, IHC-FrFl, ICC/IF. Suitable for Human, Mouse, Rat.

- KO validated for confirmed specificity
- Over 100 publications

查看别名

G0S7, FOS, Protein c-Fos, Cellular oncogene fos, G0/G1 switch regulatory protein 7, Proto-oncogene c-Fos, Transcription factor AP-1 subunit c-Fos

12 Images
Immunohistochemistry - Free Floating - Anti-c-Fos antibody [2H2] (AB208942)
  • IHC-FrFl

Supplier Data

Immunohistochemistry - Free Floating - Anti-c-Fos antibody [2H2] (AB208942)

Section of rat hippocampus stained with ab208942, at a 1/200 dilution, in red and counterstained with rabbit polyclonal antibody to FOX3/NeuN. DAPI reveals nuclei of neurons and glia in blue. The hippocampal neurons stain green for FOX3/NeuN and a few also are expressing c-FOS, and so appear orange. These cells were spontaneously active at the time the animal was sacrificed.

Immunocytochemistry/ Immunofluorescence - Anti-c-Fos antibody [2H2] (AB208942)
  • ICC/IF

Supplier Data

Immunocytochemistry/ Immunofluorescence - Anti-c-Fos antibody [2H2] (AB208942)

Top panel : HeLa (Human epithelial cell line from cervix adenocarcinoma) cells serum starved for 36 hours and then treated with PBS.

Bottom panel : HeLa cells, treated with 20% FBS for 2 hours following serum–starvation for 36 hours, labeling c-Fos using ab208942 at 1/1000 dilution (green).

Red : Vimentin counterstain. Nuclei labeled with DAPI (Blue).

Immunohistochemistry (Formalin/PFA-fixed paraffin-embedded sections) - Anti-c-Fos antibody [2H2] (AB208942)
  • IHC-P

Lab

Immunohistochemistry (Formalin/PFA-fixed paraffin-embedded sections) - Anti-c-Fos antibody [2H2] (AB208942)

IHC image of c-Fos staining in a section of formalin-fixed paraffin-embedded normal human placenta* performed on a Leica Biosystems BOND® RX instrument. The section was pre-treated using heat mediated antigen retrieval with sodium citrate buffer (pH6, epitope retrieval solution 1) for 20mins. The section was then incubated with ab208942, 0.5ug/ml, for 15 mins at room temperature and detected using an HRP conjugated compact polymer system. DAB was used as the chromogen. The section was then counterstained with haematoxylin and mounted with DPX. The inset secondary-only control image is taken from an identical assay without primary antibody. For other IHC staining systems (automated and non-automated) customers should optimize variable parameters such as antigen retrieval conditions, primary antibody concentration and antibody incubation times. *Tissue obtained from the Human Research Tissue Bank, supported by the NIHR Cambridge Biomedical Research Centre

Immunohistochemistry (Formalin/PFA-fixed paraffin-embedded sections) - Anti-c-Fos antibody [2H2] (AB208942)
  • IHC-P

Lab

Immunohistochemistry (Formalin/PFA-fixed paraffin-embedded sections) - Anti-c-Fos antibody [2H2] (AB208942)

IHC image of c-Fos staining in a section of formalin-fixed paraffin-embedded normal human cervix* performed on a Leica Biosystems BOND® RX instrument. The section was pre-treated using heat mediated antigen retrieval with sodium citrate buffer (pH6, epitope retrieval solution 1) for 20mins. The section was then incubated with ab208942, 0.5ug/ml, for 15 mins at room temperature and detected using an HRP conjugated compact polymer system. DAB was used as the chromogen. The section was then counterstained with haematoxylin and mounted with DPX. The inset secondary-only control image is taken from an identical assay without primary antibody. For other IHC staining systems (automated and non-automated) customers should optimize variable parameters such as antigen retrieval conditions, primary antibody concentration and antibody incubation times. *Tissue obtained from the Human Research Tissue Bank, supported by the NIHR Cambridge Biomedical Research Centre

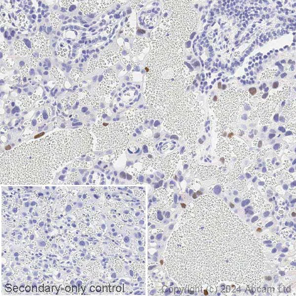
Immunohistochemistry (Formalin/PFA-fixed paraffin-embedded sections) - Anti-c-Fos antibody [2H2] (AB208942)
  • IHC-P

Supplier Data

Immunohistochemistry (Formalin/PFA-fixed paraffin-embedded sections) - Anti-c-Fos antibody [2H2] (AB208942)

IHC image of c-Fos staining in a section of formalin-fixed paraffin-embedded normal human placenta* performed on a Leica Biosystems BOND® RX instrument. The section was pre-treated using heat mediated antigen retrieval with sodium citrate buffer (pH6, epitope retrieval solution 1) for 20mins. The section was incubated with a Rabbit anti-Mouse IgG1 antibody, ab125913, at 1.5ugml for 15 mins at room temperature and then incubated with ab208942, 0.5ug/ml, for 15 mins at room temperature and detected using an HRP conjugated compact polymer system. DAB was used as the chromogen. The section was then counterstained with haematoxylin and mounted with DPX. The inset secondary-only control image is taken from an identical assay without primary antibody. For other IHC staining systems (automated and non-automated) customers should optimize variable parameters such as antigen retrieval conditions, primary antibody concentration and antibody incubation times. *Tissue obtained from the Human Research Tissue Bank, supported by the NIHR Cambridge Biomedical Research Centre

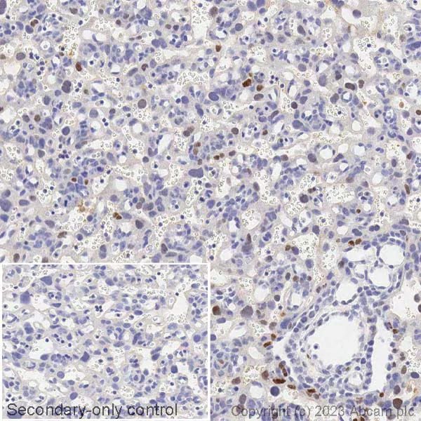
Immunohistochemistry (Formalin/PFA-fixed paraffin-embedded sections) - Anti-c-Fos antibody [2H2] (AB208942)
  • IHC-P

Supplier Data

Immunohistochemistry (Formalin/PFA-fixed paraffin-embedded sections) - Anti-c-Fos antibody [2H2] (AB208942)

IHC image of c-Fos staining in a section of formalin-fixed paraffin-embedded normal mouse brain performed on a Leica Biosystems BOND® RX instrument. The section was pre-treated using heat mediated antigen retrieval with sodium citrate buffer (pH6, epitope retrieval solution 1) for 20mins. The section was incubated with a Rabbit anti-Mouse IgG1 antibody, ab125913, at 1.5ugml for 15 mins at room temperature and then incubated with ab208942, 0.5ug/ml, for 15 mins at room temperature and detected using an HRP conjugated compact polymer system. DAB was used as the chromogen. The section was then counterstained with haematoxylin and mounted with DPX. The inset secondary-only control image is taken from an identical assay without primary antibody. For other IHC staining systems (automated and non-automated) customers should optimize variable parameters such as antigen retrieval conditions, primary antibody concentration and antibody incubation times. *Tissue obtained from the Human Research Tissue Bank, supported by the NIHR Cambridge Biomedical Research Centre

Immunocytochemistry/ Immunofluorescence - Anti-c-Fos antibody [2H2] (AB208942)
  • ICC/IF

Supplier Data

Immunocytochemistry/ Immunofluorescence - Anti-c-Fos antibody [2H2] (AB208942)

Rat brain neural cultures (left) and the same cells stimulated with membrane deplorization buffer for 5 hours (right).

This is a salt solution containing 170mM Potassium which depolarizes and stimulates gene expression in neuronal cells but has no effect on glia. Cultures were stained with ab208942 in green and rabbit anti-GFAP in red. Nuclear DNA is revealed in blue with the DNA stain DAPI.

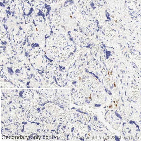
Immunohistochemistry (Formalin/PFA-fixed paraffin-embedded sections) - Anti-c-Fos antibody [2H2] (AB208942)
  • IHC-P

Lab

Immunohistochemistry (Formalin/PFA-fixed paraffin-embedded sections) - Anti-c-Fos antibody [2H2] (AB208942)

IHC image of c-Fos staining in a section of formalin-fixed paraffin-embedded normal rat placenta performed on a Leica Biosystems BOND® RX instrument. The section was pre-treated using heat mediated antigen retrieval with sodium citrate buffer (pH6, epitope retrieval solution 1) for 20mins. The section was then incubated with ab208942, 0.5ug/ml, for 15 mins at room temperature and detected using an HRP conjugated compact polymer system. DAB was used as the chromogen. The section was then counterstained with haematoxylin and mounted with DPX. The inset secondary-only control image is taken from an identical assay without primary antibody. For other IHC staining systems (automated and non-automated) customers should optimize variable parameters such as antigen retrieval conditions, primary antibody concentration and antibody incubation times.

Immunohistochemistry (Formalin/PFA-fixed paraffin-embedded sections) - Anti-c-Fos antibody [2H2] (AB208942)
  • IHC-P

Lab

Immunohistochemistry (Formalin/PFA-fixed paraffin-embedded sections) - Anti-c-Fos antibody [2H2] (AB208942)

IHC image of c-Fos staining in a section of formalin-fixed paraffin-embedded normal rat brain performed on a Leica Biosystems BOND® RX instrument. The section was pre-treated using heat mediated antigen retrieval with sodium citrate buffer (pH6, epitope retrieval solution 1) for 20mins. The section was then incubated with ab208942, 0.5ug/ml, for 15 mins at room temperature and detected using an HRP conjugated compact polymer system. DAB was used as the chromogen. The section was then counterstained with haematoxylin and mounted with DPX. The inset secondary-only control image is taken from an identical assay without primary antibody. For other IHC staining systems (automated and non-automated) customers should optimize variable parameters such as antigen retrieval conditions, primary antibody concentration and antibody incubation times.

Western blot - Anti-c-Fos antibody [2H2] (AB208942)
  • WB

Supplier Data

Western blot - Anti-c-Fos antibody [2H2] (AB208942)

Multiple bands at 50-65kDa in stimulated or treated cell lysates correspond to different forms of the c-Fos proten.

The single band in red at 37 kDa represents GAPDH protein.

All lanes:

Western blot - Anti-c-Fos antibody [2H2] (ab208942) at 1/1000 dilution

Lane 1:

HeLa (Human epithelial cell line from cervix adenocarcinoma) cells in serum free media

Lane 2:

HeLa cells stimulated with 20% fetal bovine serum for 2hrs after 36hrs in serum free media

Lane 3:

Rat cortical neurons

Lane 4:

Rat cortical neurons treated with membrane depolarization buffer for 5hrs

Predicted band size: 41 kDa

false

Western blot - Anti-c-Fos antibody [2H2] (AB208942)
  • WB

Supplier Data

Western blot - Anti-c-Fos antibody [2H2] (AB208942)

ab208942 recognizes bands in the range of 50-65 kDa, which represent multiple forms of c-Fos. Serum-starvation attenuates c-Fos expression, while 20% FBS strongly stimulates c-Fos expression. Bottom panel : Blot was stripped and probed with a monoclonal antibody against GAPDH, used as loading control.

All lanes:

Western blot - Anti-c-Fos antibody [2H2] (ab208942) at 1/1000 dilution

Lane 1:

HeLa (Human epithelial cell line from cervix adenocarcinoma) cell lysate (serum-starved for 36 hours)

Lane 2:

HeLa cell lysate (serum-starved and then stimulated with 20% Fetal Bovine Serum for 2 hours)

Predicted band size: 41 kDa

false

Western blot - Anti-c-Fos antibody [2H2] (AB208942)
  • WB

Lab

Western blot - Anti-c-Fos antibody [2H2] (AB208942)

False colour image of Western blot : Anti-c-Fos antibody [2H2] staining at 1/1000 dilution, shown in green; Rabbit anti-ACTN4 [EPR2533(2)] (ab108198) loading control staining at 1/20000 dilution, shown in red. In Western blot, ab208942 was shown to bind specifically to c-Fos. A band was observed at 45-55 kDa in treated wild-type PC-12 cell lysates with no signal observed at this size in FOS knockout cell line ab281615 (knockout cell lysate ab283111). Treatment of NGF has no observable affect on protein expression in this cell line. To generate this image, wild-type and FOS knockout PC-12 cell lysates were analysed. First, samples were run on an SDS-PAGE gel then transferred onto a nitrocellulose membrane. Membranes were blocked in 3 % milk in TBS-0.1 % Tween® 20 (TBS-T) before incubation with primary antibodies overnight at 4 °C. Blots were washed four times in TBS-T, incubated with secondary antibodies for 1 h at room temperature, washed again four times then imaged. Secondary antibodies used were Goat anti-Mouse IgG H&L 800CW and Goat anti-Rabbit IgG H&L 680RD at 1/20000 dilution.

All lanes:

Western blot - Anti-c-Fos antibody [2H2] (ab208942) at 1/1000 dilution

Lane 1:

Wild-type PC-12 Untreated Control NGF (0 ng/mL, 4 days) cell lysate at 20 µg

Lane 2:

Wild-type PC-12 Treated NGF (111 ng/mL, 4 days) cell lysate at 20 µg

Lane 3:

FOS knockout PC-12 Untreated Control NGF (0 ng/mL, 4 days) cell lysate at 20 µg

Lane 4:

FOS knockout PC-12 Treated NGF (111 ng/mL, 4 days) cell lysate at 20 µg

Observed band size: 45-55 kDa

false

关键信息

宿主种属

Mouse

克隆

Monoclonal

克隆号

2H2

亚型

IgG1

轻链类型

kappa

不含载体蛋白

No

反应种属

Human, Mouse, Rat

应用

IHC-FrFl, IHC-P, WB, ICC/IF

applications

免疫原

Recombinant Full Length Protein corresponding to Human FOS.

P01100

特异性

High levels of background are often observed when staining mouse tissue with mouse antibody. For mouse samples use ab222699.

反应性数据

{ "title": "Reactivity Data", "filters": { "stats": ["", "Species", "Dilution Info", "Notes"], "tabs": { "all-applications": {"fullname" : "All Applications", "shortname": "All Applications"}, "WB" : {"fullname" : "Western blot", "shortname":"WB"}, "IHCP" : {"fullname" : "Immunohistochemistry (Formalin/PFA-fixed paraffin-embedded sections)", "shortname":"IHC-P"}, "ICCIF" : {"fullname" : "Immunocytochemistry/ Immunofluorescence", "shortname":"ICC/IF"}, "IHCFrFl" : {"fullname" : "Immunohistochemistry - Free Floating", "shortname":"IHC-FrFl"}, "IHCFr" : {"fullname" : "Immunohistochemistry (Frozen sections)", "shortname":"IHC-Fr"} }, "product-promise": { "all": "all", "testedAndGuaranteed": "tested", "guaranteed": "expected", "predicted": "predicted", "notRecommended": "not-recommended" } }, "values": { "Human": { "WB-species-checked": "testedAndGuaranteed", "WB-species-dilution-info": "1/1000 - 1/2000", "WB-species-notes": "<p></p>", "IHCP-species-checked": "testedAndGuaranteed", "IHCP-species-dilution-info": "1/1000", "IHCP-species-notes": "<p></p>", "ICCIF-species-checked": "testedAndGuaranteed", "ICCIF-species-dilution-info": "1/1000", "ICCIF-species-notes": "<p></p>", "IHCFrFl-species-checked": "guaranteed", "IHCFrFl-species-dilution-info": "", "IHCFrFl-species-notes": "", "IHCFr-species-checked": "notRecommended", "IHCFr-species-dilution-info": "", "IHCFr-species-notes": "<p></p>" }, "Mouse": { "WB-species-checked": "guaranteed", "WB-species-dilution-info": "1/1000 - 1/2000", "WB-species-notes": "<p></p>", "IHCP-species-checked": "testedAndGuaranteed", "IHCP-species-dilution-info": "1/1000", "IHCP-species-notes": "<p></p>", "ICCIF-species-checked": "guaranteed", "ICCIF-species-dilution-info": "1/1000", "ICCIF-species-notes": "<p></p>", "IHCFrFl-species-checked": "notRecommended", "IHCFrFl-species-dilution-info": "1/200", "IHCFrFl-species-notes": "<p></p>", "IHCFr-species-checked": "notRecommended", "IHCFr-species-dilution-info": "", "IHCFr-species-notes": "<p></p>" }, "Rat": { "WB-species-checked": "testedAndGuaranteed", "WB-species-dilution-info": "1/1000 - 1/2000", "WB-species-notes": "<p></p>", "IHCP-species-checked": "testedAndGuaranteed", "IHCP-species-dilution-info": "1/1000", "IHCP-species-notes": "<p></p>", "ICCIF-species-checked": "testedAndGuaranteed", "ICCIF-species-dilution-info": "1/1000", "ICCIF-species-notes": "<p></p>", "IHCFrFl-species-checked": "testedAndGuaranteed", "IHCFrFl-species-dilution-info": "1/200", "IHCFrFl-species-notes": "<p></p>", "IHCFr-species-checked": "notRecommended", "IHCFr-species-dilution-info": "", "IHCFr-species-notes": "<p></p>" }, "Cow": { "WB-species-checked": "predicted", "WB-species-dilution-info": "", "WB-species-notes": "", "IHCP-species-checked": "predicted", "IHCP-species-dilution-info": "", "IHCP-species-notes": "", "ICCIF-species-checked": "predicted", "ICCIF-species-dilution-info": "", "ICCIF-species-notes": "", "IHCFrFl-species-checked": "notRecommended", "IHCFrFl-species-dilution-info": "", "IHCFrFl-species-notes": "", "IHCFr-species-checked": "notRecommended", "IHCFr-species-dilution-info": "", "IHCFr-species-notes": "" }, "Pig": { "WB-species-checked": "predicted", "WB-species-dilution-info": "", "WB-species-notes": "", "IHCP-species-checked": "predicted", "IHCP-species-dilution-info": "", "IHCP-species-notes": "", "ICCIF-species-checked": "predicted", "ICCIF-species-dilution-info": "", "ICCIF-species-notes": "", "IHCFrFl-species-checked": "notRecommended", "IHCFrFl-species-dilution-info": "", "IHCFrFl-species-notes": "", "IHCFr-species-checked": "notRecommended", "IHCFr-species-dilution-info": "", "IHCFr-species-notes": "" } } }

产品详情

Anti-c-Fos antibody [2H2] (ab208942) is a mouse monoclonal antibody and is validated for use in ICC/IF, IHC-FrFl, IHC-P and WB.

Anti-c-Fos antibody [2H2] (ab208942) was first used in a scientific publication in 2017 and has been cited over 100 times in peer reviewed journals. It's performance in Western blot and IHC in human, mouse and rat samples is trusted by the scientific community.

Abcam's high quality validation processes ensure Anti-c-Fos antibody [2H2] (ab208942) has high sensitivity and specificity.

The specificity of Anti-c-Fos antibody [2H2] (ab208942) has been confirmed by WB testing in c-Fos knockout PC-12 cells (ab281615).

Anti-c-Fos antibody [2H2] (ab208942) has 12 independent reviews from customers.

Anti-c-Fos antibody [2H2] (ab208942) specifically detects c-Fos (UniProt ID: P01100; Molecular weight: 41kDa) and is sold in 100 µL selling sizes.

c-Fos is an immediate-early gene widely used in neuro research for its role as a marker of neuronal activation. It is rapidly expressed in response to various stimuli, making it an excellent indicator of neuronal activity and functional mapping. Researchers use c-Fos to study brain activity patterns, synaptic plasticity and the effects of drugs or other interventions on the central nervous system, making it essential for understanding dynamic changes in brain function.

性能和储存信息

形式
Liquid
纯化工艺
Affinity purification
纯化说明
Affinity purified from tissue culture supernatant.
存储溶液
Preservative: 0.03% Sodium azide Constituents: PBS, 50% Glycerol (glycerin, glycerine)
运输条件
Blue Ice
推荐的短期储存时间
1-2 weeks
推荐的短期储存条件
+4°C
推荐的长期储存条件
-20°C
分装信息
Upon delivery aliquot
储存信息
Avoid freeze / thaw cycle

补充信息

This supplementary information is collated from multiple sources and compiled automatically.

Biological function summary

C-Fos acts as part of the Activator Protein-1 (AP-1) complex a group of DNA-binding proteins that regulate gene transcription. This complex forms when c-Fos and Jun proteins dimerize. The AP-1 complex controls several cellular processes such as proliferation differentiation and apoptosis. Due to its participation in these vital processes c-Fos influences cellular responses to external stimuli and can affect how cells behave under stress.

The c-Fos protein also known as c-Fos is a component of the Fos family of transcription factors which includes FosB Fra-1 and Fra-2. These proteins play a role in regulating gene expression. c-Fos has a molecular weight of about 55 kDa. You usually find c-Fos expressed in various tissues including the brain providing a marker for neuronal activity and is often induced in response to stimuli like stress growth factors and mitogens. In research settings c-Fos staining and c-Fos immunohistochemistry are techniques commonly used to study activation patterns in cells and tissues.
Pathways

C-Fos significantly contributes to the MAPK/ERK pathway which plays a role in cell growth and differentiation. It partners with Jun proteins to form functional transcription factors within the MAPK signaling cascade. Additionally c-Fos is involved in the JNK signaling pathway linking it to stress responses and apoptosis. These pathways highlight the partnerships between c-Fos and other proteins like ERK and JNK indicating their intertwined roles in cellular signaling networks.

Researchers associate c-Fos with cancer and neurodegenerative diseases. In cancer c-Fos expression correlates with changes in AP-1 activity which can lead to altered cell growth and proliferation potentially contributing to tumor formation. Its involvement in neurodegenerative diseases reveals its role in neuron apoptosis and cellular stress responses. In these scenarios proteins like Bcl-2 also play a part with CDK1 sharing connections in processes that affect cell cycle and apoptosis illustrating c-Fos's broad significance in both normal and pathological conditions.

产品实验方案

For this product, it's our understanding that no specific protocols are required. You can visit:

靶点信息

Nuclear phosphoprotein which forms a tight but non-covalently linked complex with the JUN/AP-1 transcription factor. In the heterodimer, FOS and JUN/AP-1 basic regions each seems to interact with symmetrical DNA half sites. On TGF-beta activation, forms a multimeric SMAD3/SMAD4/JUN/FOS complex at the AP1/SMAD-binding site to regulate TGF-beta-mediated signaling. Has a critical function in regulating the development of cells destined to form and maintain the skeleton. It is thought to have an important role in signal transduction, cell proliferation and differentiation. In growing cells, activates phospholipid synthesis, possibly by activating CDS1 and PI4K2A. This activity requires Tyr-dephosphorylation and association with the endoplasmic reticulum.
See full target information FOS

文献 (207)

Recent publications for all applications. Explore the full list and refine your search

Translational psychiatry 15:391 PubMed41073431

2025

Developmental arrest of astrocyte lineage in Snai2 deletion mice: implication for the intellectual disability in patients with Waardenburg syndrome.

Applications

Unspecified application

Species

Unspecified reactive species

Chaobiao Xue,Haiyun Xu,Xiuyuan Huang,Miaotong Su,Lifang He,Guangping Zhang,Zhexuan Lin,Hui Li,Xiaohong Hong,Shaoxian Chen,Zhuozhi Dai,Tongtong Cai,Can Chen,Yun Lin,Guohong Zhang,Wenhong Luo

Translational psychiatry 15:394 PubMed41073381

2025

The downregulation of Autophagy in amygdala is sufficient to alleviate anxiety-like behaviors in Post-traumatic Stress Disorder model mice.

Applications

Unspecified application

Species

Unspecified reactive species

Qi Zhu,Siyao Zhou,Silan Fang,Fangfang Cai,Xinwen Zhang,Wen Li,Zihan Huang,Kunqiang Yu,Wei Wang

Pharmacology research & perspectives 13:e70171 PubMed40911185

2025

Cannabinoid-Induced Hyperphagia is Mediated by Increased Meal Frequency and the Orexin-1 Receptor in Male Rats.

Applications

Unspecified application

Species

Unspecified reactive species

Magen N Lord,Grace C Madu,Ana L Loera-Lopez,Alexander P Aaron,Jessica Lin,Emily E Noble

CNS neuroscience & therapeutics 31:e70588 PubMed40873250

2025

Tenuifolin Attenuates Methamphetamine-Induced Reinstatement in Mice by Regulating Hippocampal Postsynaptic BDNF Signaling.

Applications

Unspecified application

Species

Unspecified reactive species

Yize Qi,Shuyuan Fan,Yu Sun,Hanqing Shi,Hailing Li,Gang Xiao,Qingfeng Shen

Nature communications 16:7892 PubMed40849319

2025

Prolonged exposure to food odors suppresses feeding via an olfactory bulb-to-hypothalamus circuit.

Applications

Unspecified application

Species

Unspecified reactive species

Yao Liu,Hailan Liu,Huey-Xian Kelly Wong,Niccole Auld,Kristine M Conde,Yongxiang Li,Meng Yu,Yue Deng,Qingzhuo Liu,Xing Fang,Mengjie Wang,Yuhan Shi,Olivia Z Ginnard,Yuxue Yang,Longlong Tu,Hesong Liu,Jonathan C Bean,Junying Han,Megan E Burt,Sanika V Jossy,Yongjie Yang,Chunmei Wang,Qingchun Tong,Benjamin R Arenkiel,Hongjie Li,Yong Xu,Yang He

Research (Washington, D.C.) 8:0766 PubMed40785967

2025

Transcranial High-Frequency Terahertz Stimulation Alleviates Anxiety-like Behavior in Mice via a Noninvasive Approach.

Applications

Unspecified application

Species

Unspecified reactive species

Pan Wang,Chaoyang Tan,Wenyu Peng,Zekun Yan,Wenrui Jiang,Han Zhao,Huaxing Si,Jingchen Jia,Chunkui Zhang,Jian Wang,Yuchen Tian,Kun Chen,Yuefan Yang,Zhenyu Wu,Kangning Xie,Yuanming Wu,Mingming Zhang,Tao Chen

The journal of headache and pain 26:179 PubMed40770605

2025

Compromised PGF2α signaling in the paraventricular hypothalamic nucleus contributes to the central sensitization of the nitroglycerin-induced chronic migraine in male mice.

Applications

Unspecified application

Species

Unspecified reactive species

Xianrong Hu,Lunquan Wu,Li Wang,Congxue Peng,Yunyun Tian,Qian Zhu,Hongwei Zhu,Liang Nie,Li Yin,Yuehui Zhang,Jiang Bian

Journal of neuroinflammation 22:191 PubMed40702501

2025

Short-term stress preconditioning activates sympathetic innervation in the testes to mitigate testicular ischemia-reperfusion injury.

Applications

Unspecified application

Species

Unspecified reactive species

Liyong Liu,Ruiming Xu,Heshe Li,Yuanchen Ma,Yue Shu,Hongjie Liang,Tao Wang,Jiang Hao,Weiqiang Li,Andy Peng Xiang,Mei Hua Jiang,Weijun Huang

Scientific reports 15:26424 PubMed40691203

2025

The mechanism of parvalbumin interneurons regulating glutamatergic neurons involvement in stress induced anxiety in the basolateral amygdala of male mice.

Applications

Unspecified application

Species

Unspecified reactive species

Xiaorui Su,Xuetong Dong,Chao-Long Lu,Minglong Zhang,Yaping Li,Han Xiao,Jian Wang,Yufei Sun,Bin Cong,Songjun Wang

Molecular neurobiology 62:13840-13857 PubMed40601220

2025

The Efficacy of Intrathecal Platelet-Rich Plasma Administration in Alleviation of Chronic Neuropathic Pain in Rat Model.

Applications

Unspecified application

Species

Unspecified reactive species

Jaisan Islam,Preeti Kumari Chaudhary,Sanggu Kim,Elina Kc,Young Seok Park,Soochong Kim
View all publications

Abcam Product Promise

我们致力于为您的研究提供高质量的试剂,为您科研的每一步提供支持。若我们的产品未能达到预期性能,我们向您提供 Abcam Product Promise 保障。
详情请参阅我们的条款与条件。

Please note: All products are 'FOR RESEARCH USE ONLY. NOT FOR USE IN DIAGNOSTIC OR THERAPEUTIC PROCEDURES'.

For licensing inquiries, please contact partnerships@abcam.com