JavaScript is disabled in your browser. Please enable JavaScript to view this website.
AB110641

Anti-BRG1 抗体 [EPNCIR111A]

Anti-BRG1 antibody [EPNCIR111A]

  • BOND RX™ Validated
  • Recombinant
  • KO Validated
  • Advanced Validation
  • RabMAb
  • 了解详情

5

(10 Reviews)

|

(247 Publications)

Anti-BRG1 antibody [EPNCIR111A] (ab110641) is a rabbit monoclonal antibody detecting BRG1 in Western Blot, Flow Cytometry (Intra), Flow Cytometry, IP, IHC-P, ICC/IF. Suitable for Human, Mouse, Rat.

- KO validated for confirmed specificity
- Biophysical QC for unrivalled batch-batch consistency
- Over 190 publications

查看别名

BAF190A, BRG1, SNF2B, SNF2L4, SMARCA4, Transcription activator BRG1, ATP-dependent helicase SMARCA4, BRG1-associated factor 190A, Mitotic growth and transcription activator, Protein BRG-1, Protein brahma homolog 1, SNF2-beta, SWI/SNF-related matrix-associated actin-dependent regulator of chromatin subfamily A member 4

23 Images
ChIC/CUT&RUN sequencing - Anti-BRG1 antibody [EPNCIR111A] (AB110641)
  • ChIC/CUT&RUN-seq

Supplier Data

ChIC/CUT&RUN sequencing - Anti-BRG1 antibody [EPNCIR111A] (AB110641)

ChIC/CUT&RUN was performed using a pAG-MNAse at a final concentration of 700 ng/mL, 2.5 x 10^5 HeLa (Human cervix adenocarcinoma epithelial cell line) cells and 5µg of ab110641 [EPNCIR111A]. The resulting DNA was sequenced on the Illumina NovaSeq 6000 to a depth of 10 million reads. The negative IgG control ab172730 is also shown. Additional screenshots of mapped reads can be found in the Protocol booklet in the Product Protocol section. The University of Geneva owns patents relevant to ChIC (Chromatin Immuno-Cleavage) methods.

Immunohistochemistry (Formalin/PFA-fixed paraffin-embedded sections) - Anti-BRG1 antibody [EPNCIR111A] (AB110641)
  • IHC-P

Lab

Immunohistochemistry (Formalin/PFA-fixed paraffin-embedded sections) - Anti-BRG1 antibody [EPNCIR111A] (AB110641)

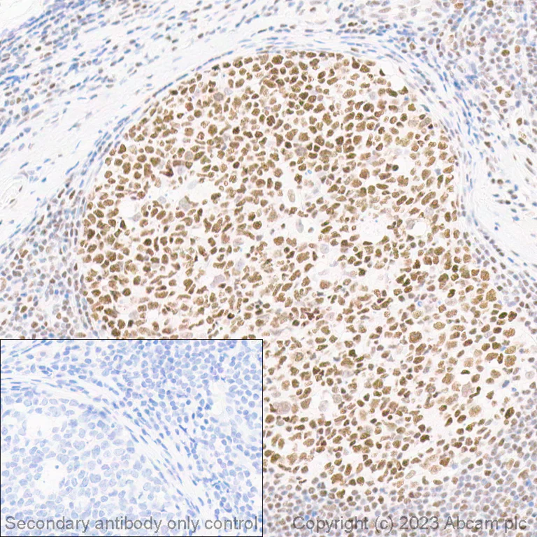
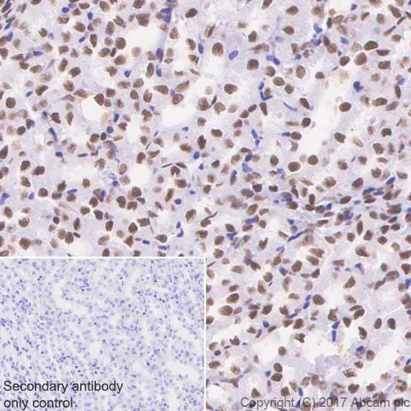
Immunohistochemical analysis of formalin fixed paraffin embedded human tonsil labelling BRG1 with ab110641 at a concentration of 0.1 µg/ml. The immunostaining was performed on a Ventana DISCOVERY ULTRA (Roche Tissue Diagnostics) instrument with an OptiView DAB IHC Detection Kit. Heat mediated antigen retrieval was conducted for 32 mins at 100°C with ULTRA cell conditioning solution (CC1, pH 8.5). ab110641 anti-BRG1 antibody [EPNCIR111A] was incubated at 37°C for 16 mins. Sections were counterstained with Hematoxylin II. Image inset shows absence of staining in secondary antibody only control.

Immunohistochemistry (Formalin/PFA-fixed paraffin-embedded sections) - Anti-BRG1 antibody [EPNCIR111A] (AB110641)
  • IHC-P

Supplier Data

Immunohistochemistry (Formalin/PFA-fixed paraffin-embedded sections) - Anti-BRG1 antibody [EPNCIR111A] (AB110641)

Immunohistochemical analysis of paraffin-embedded Human cervical carcinoma tissue labeling BRG1 with ab110641, followed by a ready to use Goat Anti-Rabbit IgG H&L (HRP). Nuclear staining on human cervical carcinoma. Counterstained with Hematoxylin. Heat mediated antigen retrieval using ab93684 (Tris/EDTA buffer, pH 9.0).

Secondary antibody only control : Used PBS instead of primary antibody, secondary antibody is a ready to use Goat Anti-Rabbit IgG H&L (HRP).

Immunocytochemistry/ Immunofluorescence - Anti-BRG1 antibody [EPNCIR111A] (AB110641)
  • ICC/IF

Lab

Immunocytochemistry/ Immunofluorescence - Anti-BRG1 antibody [EPNCIR111A] (AB110641)

ab110641 staining BRG1 in HeLa cells. The cells were fixed with 4% formaldehyde (10min) permeabilized with 0.1% Triton X-100 for 5 minutes and then blocked with 1% BSA/10% normal goat serum/0.3M glycine in 0.1% PBS-Tween for 1h. The cells were then incubated with ab110641 at 1/500 dilution and ab195889 (Mouse monoclonal [DM1A] to alpha Tubulin - Microtubule Marker (Alexa Fluor® 594)) at 1/250 dilution overnight at +4°C followed by a further incubation at room temperature for 1h with ab150081 (Goat polyclonal Secondary Antibody to Rabbit IgG - H&L (Alexa Fluor® 488)) at 2 μg/ml (shown in green). Nuclear DNA was labelled in blue with DAPI.

Image was taken with a confocal microscope (Leica-Microsystems TCS SP8).

Immunohistochemistry (Formalin/PFA-fixed paraffin-embedded sections) - Anti-BRG1 antibody [EPNCIR111A] (AB110641)
  • IHC-P

Unknown

Immunohistochemistry (Formalin/PFA-fixed paraffin-embedded sections) - Anti-BRG1 antibody [EPNCIR111A] (AB110641)

Immunohistochemical analysis of paraffin-embedded human testis tissue staining BRG1 with ab110641 at 1/100 dilution. Heat mediated antigen retrieval was perfomed with citrate buffer (pH 6).

Immunohistochemistry (Formalin/PFA-fixed paraffin-embedded sections) - Anti-BRG1 antibody [EPNCIR111A] (AB110641)
  • IHC-P

Lab

Immunohistochemistry (Formalin/PFA-fixed paraffin-embedded sections) - Anti-BRG1 antibody [EPNCIR111A] (AB110641)

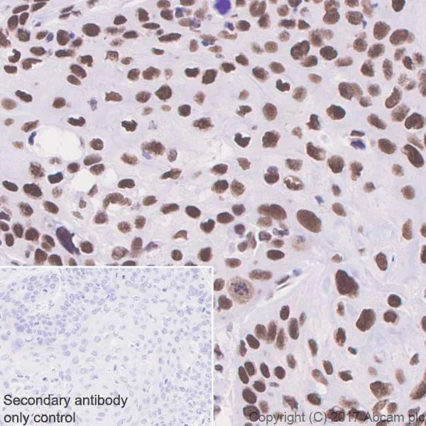
Immunohistochemical analysis of formalin fixed paraffin embedded human tonsil labelling BRG1 with ab110641 at a concentration of 0.1 µg/ml. The immunostaining was performed on a Leica Biosystems BOND® RX instrument with a Bond™ Polymer Refine Detection kit. Heat mediated antigen retrieval was performed with Tris-EDTA buffer (pH 9.0, Epitope Retrieval Solution 2) for 20 mins. ab110641 anti-BRG1 antibody [EPNCIR111A] was incubated for 30 mins at room temperature. Sections were counterstained with Hematoxylin. Image inset shows absence of staining in secondary antibody only control.

Flow Cytometry (Intracellular) - Anti-BRG1 antibody [EPNCIR111A] (AB110641)
  • Flow Cyt (Intra)

Lab

Flow Cytometry (Intracellular) - Anti-BRG1 antibody [EPNCIR111A] (AB110641)

Flow cytometry overlay histogram showing left wild-type Hap1 positive cells and right negative SMARCA4 knockout Hap1 stained with ab95363 (red line). The cells were fixed with 80% methanol (5 min) and then permeabilised with 0.1% PBS-Triton X-100 for 15 min. The cells were then incubated in 1x PBS containing 10% normal goat serum to block non-specific protein-protein interaction followed by the antibody (ab110641) (1x 106 in 100μl at 0.008 μg/ml (1/266250)) for 30min at 22°C.

The secondary antibody Goat Anti-Rabbit IgG H&L (Alexa Fluor® 488) preadsorbed was incubated at 1/4000 for 30min at 22°C

Isotype control antibody Recombinant Rabbit IgG, monoclonal [EPR25A] - Isotype Control (black line) was used at the same concentration and conditions as the primary antibody. Unlabelled sample was also used as a control (blue line).

Acquisition of >5000 events were collected using a 50 mW Blue laser (488nm) and 525/40 bandpass filter.

Immunohistochemistry (Formalin/PFA-fixed paraffin-embedded sections) - Anti-BRG1 antibody [EPNCIR111A] (AB110641)
  • IHC-P

Unknown

Immunohistochemistry (Formalin/PFA-fixed paraffin-embedded sections) - Anti-BRG1 antibody [EPNCIR111A] (AB110641)

Immunohistochemical analysis of paraffin-embedded human kidney tissue staining BRG1 with ab110641 at 1/100 dilution. Heat mediated antigen retrieval was perfomed with citrate buffer (pH 6).

Flow Cytometry (Intracellular) - Anti-BRG1 antibody [EPNCIR111A] (AB110641)
  • Flow Cyt (Intra)

Lab

Flow Cytometry (Intracellular) - Anti-BRG1 antibody [EPNCIR111A] (AB110641)

Intracellular Flow Cytometry analysis of HeLa (human cervix adenocarcinoma) cells labeling BRG1 with purified ab110641 at 1/200 dilution (10μg/ml) (red). Cells were fixed with 4% paraformaldehyde and permeabilised with 90% methanol. A Goat anti rabbit IgG (Alexa Fluorr® 488) (1/2000 dilution) was used as the secondary antibody. Rabbit monoclonal IgG (Black) was used as the isotype control cells without incubation with primary antibody and secondary antibody (Blue) were used as the unlabeled control.

Immunocytochemistry/ Immunofluorescence - Anti-BRG1 antibody [EPNCIR111A] (AB110641)
  • ICC/IF

Lab

Immunocytochemistry/ Immunofluorescence - Anti-BRG1 antibody [EPNCIR111A] (AB110641)

ab110641 staining BRG1 in wild-type HAP1 cells (top panel) and BRG1 knockout HAP1 cells (bottom panel). The cells were fixed with 4% formaldehyde (10min), permeabilized with 0.1% Triton X-100 for 5 minutes and then blocked with 1% BSA/10% normal goat serum/0.3M glycine in 0.1% PBS-Tween for 1h. The cells were then incubated with ab110641 at 1/500 dilution and ab195889 at 1/250 dilution (shown in pseudocolour red) overnight at +4°C, followed by a further incubation at room temperature for 1h with a goat secondary antibody to Rabbit IgG (Alexa Fluor® 488) (ab150081) at 2 μg/ml (shown in green). Nuclear DNA was labelled in blue with DAPI.

Image was taken with a confocal microscope (Leica-Microsystems, TCS SP8).

Immunoprecipitation - Anti-BRG1 antibody [EPNCIR111A] (AB110641)
  • IP

Supplier Data

Immunoprecipitation - Anti-BRG1 antibody [EPNCIR111A] (AB110641)

BRG1 was immunoprecipitated from 0.35 mg HeLa (Human cervix adenocarcinoma epithelial cell) whole cell lysate 10μg with ab110641 at 1 : 20 dilution (0.3μg in 0.35mg lysates). Western blot was performed on the immunoprecipitate using ab110641 1 : 1000 dilution (0.12 μg/ml). VeriBlot for IP Detection Reagent (HRP) (ab131366) was used as the secondary antibody at 1 : 1000 dilution.

Lane 1 : HeLa (Human cervix adenocarcinoma epithelial cell) whole cell lysate 10μg

Lane 2 : ab110641 IP in HeLa whole cell lysate

Lane 3 : Rabbit monoclonal IgG (ab172730) instead of ab110641 in HeLa whole cell lysate.

Blocking and dilution buffer and concentration : 5% NFDM/TBST.

Exposure time : 1 second

All lanes:

Immunoprecipitation - Anti-BRG1 antibody [EPNCIR111A] (ab110641)

Predicted band size: 185 kDa

Observed band size: 185 kDa

false

Immunohistochemistry (Formalin/PFA-fixed paraffin-embedded sections) - Anti-BRG1 antibody [EPNCIR111A] (AB110641)
  • IHC-P

Supplier Data

Immunohistochemistry (Formalin/PFA-fixed paraffin-embedded sections) - Anti-BRG1 antibody [EPNCIR111A] (AB110641)

Immunohistochemical analysis of paraffin-embedded Mouse kidney tissue labeling BRG1 with ab110641, followed by a ready to use Goat Anti-Rabbit IgG H&L (HRP). Nuclear staining on mouse kidney. Counterstained with Hematoxylin. Heat mediated antigen retrieval using ab93684 (Tris/EDTA buffer, pH 9.0).

Secondary antibody only control : Used PBS instead of primary antibody, secondary antibody is a ready to use Goat Anti-Rabbit IgG H&L (HRP).

Immunohistochemistry (Formalin/PFA-fixed paraffin-embedded sections) - Anti-BRG1 antibody [EPNCIR111A] (AB110641)
  • IHC-P

Supplier Data

Immunohistochemistry (Formalin/PFA-fixed paraffin-embedded sections) - Anti-BRG1 antibody [EPNCIR111A] (AB110641)

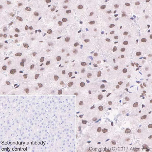
Immunohistochemical analysis of paraffin-embedded Rat liver tissue labeling BRG1 with ab110641, followed by a ready to use Goat Anti-Rabbit IgG H&L (HRP). Nuclear staining on rat liver. Counterstained with Hematoxylin. Heat mediated antigen retrieval using ab93684 (Tris/EDTA buffer, pH 9.0). Secondary antibody only control : Used PBS instead of primary antibody, secondary antibody is a ready to use Goat Anti-Rabbit IgG H&L (HRP).

Western blot - Anti-BRG1 antibody [EPNCIR111A] (AB110641)
  • WB

Supplier Data

Western blot - Anti-BRG1 antibody [EPNCIR111A] (AB110641)

Blocking/Diluting buffer and concentration : 5% NFDM/TBST.

Exposure time : Lane 1 to 4 : 5 seconds; Lane 5 : 15 seconds

All lanes:

Western blot - Anti-BRG1 antibody [EPNCIR111A] (ab110641) at 1/10000 dilution

Lane 1:

HeLa (Human cervix adenocarcinoma epithelial cell) whole cell lysates at 20 µg

Lane 2:

NIH/3T3 (Mouse embryonic fibroblast) whole cell lysates at 20 µg

Lane 3:

RAW 264.7(Mouse Abelson murine leukemia virus-induced tumor macrophage)whole cell lysates at 20 µg

Lane 4:

C6 (Rat glial tumor glial cell) whole cell lysates at 20 µg

Lane 5:

K-562 (Human chronic myelogenous leukemia lymphoblast) whole cell lysates at 20 µg

Secondary

All lanes:

Western blot - Goat Anti-Rabbit IgG H&L (HRP) (<a href='/products/secondary-antibodies/goat-rabbit-igg-h-l-hrp-ab97051'>ab97051</a>) at 1/20000 dilution

Predicted band size: 110 kDa,185 kDa

Observed band size: 17 kDa,185 kDa,36 kDa

false

Western blot - Anti-BRG1 antibody [EPNCIR111A] (AB110641)
  • WB

Lab

Western blot - Anti-BRG1 antibody [EPNCIR111A] (AB110641)

Lanes 1- 2 : Merged signal (red and green). Green - ab110641 observed at 185 kDa. Red - Anti-alpha Tubulin antibody [DM1A] - Loading Control (ab7291) observed at 50 kDa.

ab110641 was shown to react with SMARCA4 in wild-type HEK-293T cells in western blot. Loss of signal was observed when knockout cell line ab255432 (knockout cell lysate ab263853) was used. Wild-type HEK-293T and SMARCA4 knockout HEK-293T cell lysates were subjected to SDS-PAGE. Membrane was blocked for 1 hour at room temperature in 0.1% TBST with 3% non-fat dried milk. ab110641 and Anti-alpha Tubulin antibody [DM1A] - Loading Control (ab7291) overnight at 4°C at a 1 in 10000 dilution and a 1 in 20000 dilution respectively. Blots were developed with Goat anti-Rabbit IgG H&L (IRDye®800CW) preadsorbed (ab216773) and Goat anti-Mouse IgG H&L (IRDye®680RD) preadsorbed (ab216776) secondary antibodies at 1 in 20000 dilution for 1 hour at room temperature before imaging.

All lanes:

Western blot - Anti-BRG1 antibody [EPNCIR111A] (ab110641) at 1/10000 dilution

Lane 1:

Wild-type HEK-293T cell lysate at 20 µg

Lane 2:

SMARCA4 knockout HEK-293T cell lysate at 20 µg

Lane 2:

Western blot - Human SMARCA4 (BRG1) knockout HEK-293T cell line (<a href='/products/cell-lines/human-smarca4-brg1-knockout-hek-293t-cell-line-ab255432'>ab255432</a>)

Predicted band size: 185 kDa

Observed band size: 185 kDa

false

Western blot - Anti-BRG1 antibody [EPNCIR111A] (AB110641)
  • WB

Lab

Western blot - Anti-BRG1 antibody [EPNCIR111A] (AB110641)

Different batches of ab110641 were tested on HeLa (Human cervix adenocarcinoma epithelial cell) lysate at 0.5 µg/ml. 15 µg of lysate was loaded in each lane. Bands observed at 185 kDa.

All lanes:

Western blot - Anti-BRG1 antibody [EPNCIR111A] (ab110641)

Predicted band size: 185 kDa

false

Western blot - Anti-BRG1 antibody [EPNCIR111A] (AB110641)
  • WB

Lab

Western blot - Anti-BRG1 antibody [EPNCIR111A] (AB110641)

False colour image of Western blot : Anti-BRG1 antibody [EPNCIR111A] staining at 1/1000 dilution, shown in green; Mouse anti-Alpha Tubulin [DM1A] (ab7291) loading control staining at 1/20000 dilution, shown in red. In Western blot, ab110641 was shown to bind specifically to BRG1. A band was observed at 185 kDa in wild-type HEK-293T cell lysates with no signal observed at this size in SMARCA4 knockout cell line ab255432 (knockout cell lysate ab263853). To generate this image, wild-type and SMARCA4 knockout HEK-293T cell lysates were analysed. First, samples were run on an SDS-PAGE gel then transferred onto a nitrocellulose membrane. Membranes were blocked in 3 % milk in TBS-0.1 % Tween® 20 (TBS-T) before incubation with primary antibodies overnight at 4 °C. Blots were washed four times in TBS-T, incubated with secondary antibodies for 1 h at room temperature, washed again four times then imaged. Secondary antibodies used were Goat anti-Rabbit IgG H&L (IRDye® 800CW) preabsorbed (ab216773) and Goat anti-Mouse IgG H&L (IRDye® 680RD) preabsorbed (ab216776) at 1/20000 dilution.

All lanes:

Western blot - Anti-BRG1 antibody [EPNCIR111A] (ab110641) at 1/1000 dilution

Lane 1:

Wild-type HEK-293T cell lysate at 20 µg

Lane 2:

SMARCA4 knockout HEK-293T cell lysate at 20 µg

Lane 2:

Western blot - Human SMARCA4 (BRG1) knockout HEK-293T cell line (<a href='/products/cell-lines/human-smarca4-brg1-knockout-hek-293t-cell-line-ab255432'>ab255432</a>)

Predicted band size: 185 kDa

Observed band size: 185 kDa

false

Western blot - Anti-BRG1 antibody [EPNCIR111A] (AB110641)
  • WB

Lab

Western blot - Anti-BRG1 antibody [EPNCIR111A] (AB110641)

Lanes 1 - 4 : Merged signal (red and green). Green - ab110641 observed at 185 kDa. Red - loading control, ab18058, observed at 124 kDa.

ab110641 was shown to specifically react with BRG1 in wild-type HAP1 cells. No band was observed when BRG1 knockout samples were used. Wild-type and BRG1 knockout samples were subjected to SDS-PAGE, ab110641 and ab18058 (loading control to Vinculin) were both diluted 1/10,000 and incubated overnight at 4°C. Blots were developed with Goat anti-Rabbit IgG H&L (IRDye® 800CW) preadsorbed (ab216773) and Goat anti-Mouse IgG H&L (IRDye® 680RD) preadsorbed (ab216776) secondary antibodies at 1/10,000 dilution for 1hr at room temperature before imaging.

All lanes:

Western blot - Anti-BRG1 antibody [EPNCIR111A] (ab110641) at 1/10000 dilution

Lane 1:

Wild-type HAP1 cell lysate at 20 µg

Lane 2:

BRG1 knockout HAP1 cell lysate at 20 µg

Lane 3:

K562 cell lysate at 20 µg

Lane 4:

Molt-4 cell lysate at 20 µg

Predicted band size: 185 kDa,36 kDa

Observed band size: 185 kDa

false

Immunohistochemistry - Anti-BRG1 antibody [EPNCIR111A] (AB110641)
  • IHC

CiteAb

Immunohistochemistry - Anti-BRG1 antibody [EPNCIR111A] (AB110641)

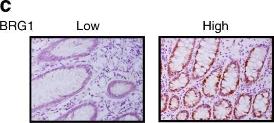
Immunohistochemistry using Anti-BRG1 antibody [EPNCIR111A], ab110641. Publication image from Liu, M. et al., 2019, Nat Commun, 31601814. Legend direct from paper.

BRG1 expression is decreased in IBD patients. a Box plot of BRG1 mRNA in healthy controls and IBD specimens (using dataset GSE9452 and GSE3365). In boxplots (middle line depicts the median and the whiskers the min-to-max range). b RT-qPCR analysis of BRG1 mRNA in IBD specimens and healthy subjects (n = 81 per group). c BRG1 staining images are shown in the upper panel, and epithelial BRG1 expressions in normal and IBD biopsies is quantified in the bottom panel (χ2 test). Staining indexes use a 10-point quantification scale, and a score > 4 is considered higher level. Scale bar : c 50 μm. The data represent the mean ± S.E.M., and statistical significance was determined by a two-tailed Student’s t-test unless otherwise indicated. ***p < 0.001.

Western blot - Anti-BRG1 antibody [EPNCIR111A] (AB110641)
  • WB

CiteAb

Western blot - Anti-BRG1 antibody [EPNCIR111A] (AB110641)

Western Blotting using Anti-BRG1 antibody [EPNCIR111A], ab110641. Publication image from Imhof, A. et al., 2020, Nat Commun, 31964861. Legend direct from paper.

Identification of PU.1 proximal proteins using BioID.a Schematic of the experimental setup. b Volcano plot illustrating proteins significantly enriched in PU.1-BirA-mRNA-transfected CTV-1 cells compared with NLS-BirA-mRNA-transfected control cells. Blue dots represent proteins with FDR < 0.05 and log fold change (logFC) > 2. Only PU.1-specific proteins of GO terms for chromatin organization and interesting transcriptional regulators are highlighted. c STRING analysis illustrating the functional protein association network. The network view summarizes predicted associations for proteins significantly enriched in the PU.1-BioID. The network nodes represent the proteins, the edges represent predicted functional associations. Only connected nodes are shown. d Dot plots showing the enrichment of peptides (ratios of log2-transformed normalized iBAQ values) representing the indicated SWI/SNF components (PU.1/SPI1 is shown as a control) in BioIDs from PU.1-BirA vs. NLS-BirA (control), ΔQ-BirA, or ΔA-BirA-mRNA-transfected CTV-1 cells (***p < 0.001; **p < 0.01; *p < 0.05; paired t-test, permutation-based correction). e Immunoblotting of αFLAG mAb immunoprecipitations (5 h after electroporation, IP 5 h), along with corresponding input lysates of control (mock), PU.1, ΔQ, ΔA, and BirA-mRNA-transfected cells using the indicated antibodies. f IGV genome browser tracks for the GSN locus showing SMARCA4 (BRG1) and PU.1 ChIP-seq, as well as ATAC-seq coverage in control (mutPU.1, gray–green)-, PU.1 (blue)-, ΔQ mutant (green)-, and ΔA mutant (lightbrown)-expressing cells. g Distribution of the PU.1 ChIP-seq, ATAC-seq signal, and SMARCA4 (BRG1) ChIP-seq signals in control (mutPU.1), PU.1, ΔQ, and ΔA mRNA-transfected cells across the 45 K clustered PU.1-binding sites, as well as the disappearing ~3 K sites that were accessible prior to PU.1 induction.

false

Western blot - Anti-BRG1 antibody [EPNCIR111A] (AB110641)
  • WB

CiteAb

Western blot - Anti-BRG1 antibody [EPNCIR111A] (AB110641)

Western Blotting using Anti-BRG1 antibody [EPNCIR111A], ab110641. Publication image from Fernando, T. M. et al., 2020, Nat Commun, 33144586. Legend direct from paper.

Differential effects of SMARCA4 mutants to rescue cell growth and chromatin accessibility loss after SMARCA2 knockdown.a Long term clonogenic growth of NCI-H1944 cells transduced with SMARCA4 WT or mutants after SMARCA2 knockdown. Representative of at least 3 replicates. b Immunoblot of cells from a (representative of at least 3 replicates). c Heatmap of ATAC-seq changes at sites after SMARCA2 knockdown in cells from a (n = 2 per construct). Values represent log2 fold-change relative to LACZ control after SMARCA2 knockdown. d Heatmap of SMARCA2 and SMARCA4 occupancy at regions with lower accessibility after SMARCA2 knockdown (sites from c) (n = 2 per construct). SMARCA2 ChIP-seq was performed in NCI-H1944 cells expressing LACZ. SMARCA4 ChIP-seq was performed in NCI-H1944 cells expressing SMARCA4 WT and doxycycline (DOX)-inducible expression of SMARCA2-targeting shRNA. Data are shown as normalized peak counts per million genomic DNA fragments in a 2 kb window around the peak center. Rows are rank ordered by SMARCA2 enrichment. R, replicate; INP, input. e Number of sites closed (left axis, blue bar, n = 2 per construct) and mean percent cell death (right axis, red dot, mean of 3 replicates) after SMARCA2 knockdown in cells from a. f Heatmap of genes downregulated after SMARCA2 knockdown in NCI-H1944 cells transduced with LACZ, WT or K785R mutant (n = 3 per construct). Data are shown as mean-centered normalized reads per kb of transcript per million mapped reads (nRPKM). g Long term clonogenic growth of CAL-12T, NCI-H1435 and HCC1897, which all harbor homozygous SMARCA4 missense mutations, after knockdown of SMARCA2 or SMARCA4 (left). Immunoblot confirming SMARCA2/SMARCA4 protein depletion (right). Data are representative of at least 2 replicates.

false

Western blot - Anti-BRG1 antibody [EPNCIR111A] (AB110641)
  • WB

CiteAb

Western blot - Anti-BRG1 antibody [EPNCIR111A] (AB110641)

Western Blotting using Anti-BRG1 antibody [EPNCIR111A], ab110641. Publication image from Liu, M. et al., 2019, Nat Commun, 31601814. Legend direct from paper.

BRG1 overexpression in IECs protects the mice from colitis and tumorigenesis. a Scheme of R26Brg1/+ mice and conditional overexpression of BRG1 in IECs (Brg1IEC-OE/+) mice. b Immunohistochemistry and western blotting analysis of BRG1 expression in colonic tissues of R26Brg1/+ and Brg1IEC-OE/+ mice. c, d DSS was administered for 5 days, and the colon lengths (c) and body weights (d) are recorded (n = 10 per genotype). e Representative H&E-stained middle-distal colon sections and histology score (right) from R26Brg1/+ and Brg1IEC-OE/+ mice treated with 3% DSS (n = 10 per genotype). The arrow indicates immune cell infiltration. f RT-qPCR analysis of the relative mRNA levels of the indicated genes in whole colonic homogenates from untreated or DSS-treated mice (day 5, n = 4 per genotype). g Alcian blue-Periodic acid Schiff (AB-PAS; goblet cells) staining and lysozyme (Lys; Paneth cells) staining of the intestines derived from 3% DSS-treated mice and quantitation results are shown in the right (n = 5). The 2-month-old mice were treated with AOM, followed by three cycles of 3% DSS treatment. h Macroscopic images of the mice after 3 months of AOM treatment, and the numbers the tumors based on the sizes are quantified in the right panel (n = 10 per genotype). i Representative images of H&E-stained colon sections as indicated; the percent grading of tumors is shown in the right (n = 10, χ2 test). The data represent the mean ± S.E.M., and statistical significance was determined by a two-tailed Student's t-test unless otherwise indicated. *p < 0.05, **p < 0.01, and ***p < 0.01. Scale bars : 50 μm (b, g), 200 μm (e, bottom i), 1 cm (c, h, upper i).

false

Western blot - Anti-BRG1 antibody [EPNCIR111A] (AB110641)
  • WB

CiteAb

Western blot - Anti-BRG1 antibody [EPNCIR111A] (AB110641)

Western Blotting using Anti-BRG1 antibody [EPNCIR111A], ab110641. Publication image from Liu, M. et al., 2019, Nat Commun, 31601814. Legend direct from paper.

Brg1 loss in adult intestines leads to the development of colitis. Two-month-old mice (Brg1flox/flox or VillinCre-ERT2; Brg1flox/flox) were treated with tamoxifen, and thereby generated Brg1F/F or Brg1IEC-AKO mice. a Immunohistochemical (upper panel) and immunoblot (IB) analyses (lower panel) of BRG1 expression are shown. b Representative histological images of middle-distal sections of Brg1F/F and Brg1IEC-AKO mice are shown at the indicated time points, and semi-quantitative scoring of the histopathology is shown (n = 12 per genotype). Arrow : immune cell infiltration. c Colonic lamina propria cells isolated from 16-week-old mice (2 months after the Brg1 ablation) are analyzed by flow cytometry (n = 4 per genotype). d RT-qPCR analysis of colon homogenates from 16-week-old mice to assess cytokine and chemokine productions (n = 6 per genotype). e Alcian blue-Periodic acid Schiff (AB-PAS; goblet cells) staining and lysozyme (Lys; Paneth cells) staining of the intestines derived from 3-month-old mice (1 month after the Brg1 ablation) and quantitation results are shown in the right (n = 5). f Survival rate of Brg1IEC-AKO mice compared with that of Brg1F/F mice after the 3% DSS treatment (n = 10). g–i Mice were fed 1% DSS in their drinking water and loss of body weights (g) and colon length (h) are recorded (n = 10 per genotype). i H&E-stained sections of middle-distal colon tissue collected on day 10 from 1% DSS-treated mice, and the quantitation of histology score are shown in the right. The data represent the mean ± S.E.M., and statistical significance was determined by a two-tailed Student's t-test. *p < 0.05, **p < 0.01, and ***p < 0.01. Scale bars : 50 μm (a), 100 μm (b, e, i), 1 cm (h). N.S., not significant, SI : small intestine.

false

不同偶联物与剂型 (8)

  • 519 Alexa Fluor® 488

    Alexa Fluor® 488 Anti-BRG1 antibody [EPNCIR111A]

  • HRP

    HRP Anti-BRG1 antibody [EPNCIR111A]

  • 617 Alexa Fluor® 594

    Alexa Fluor® 594 Anti-BRG1 antibody [EPNCIR111A]

  • 665 Alexa Fluor® 647

    Alexa Fluor® 647 Anti-BRG1 antibody [EPNCIR111A]

  • Carrier free

    Anti-BRG1 antibody [EPNCIR111A] - BSA and Azide free

  • 578 PE

    PE Anti-BRG1 antibody [EPNCIR111A]

  • 660 APC

    APC Anti-BRG1 antibody [EPNCIR111A]

  • Carrier free

    Anti-BRG1 antibody [EPNCIR111A] - BSA and Azide free (Detector)

关键信息

宿主种属

Rabbit

克隆

Monoclonal

克隆号

EPNCIR111A

亚型

IgG

不含载体蛋白

No

反应种属

Mouse, Rat, Human

应用

ChIC/CUT&RUN-seq, IHC-P, IP, WB, ICC/IF, Flow Cyt (Intra)

applications

免疫原

The exact immunogen used to generate this antibody is proprietary information.

反应性数据

{ "title": "Reactivity Data", "filters": { "stats": ["", "Species", "Dilution Info", "Notes"], "tabs": { "all-applications": {"fullname" : "All Applications", "shortname": "All Applications"}, "ChICCUTRUNseq" : {"fullname" : "ChIC/CUT&RUN sequencing", "shortname":"ChIC/CUT&RUN-seq"}, "IHCP" : {"fullname" : "Immunohistochemistry (Formalin/PFA-fixed paraffin-embedded sections)", "shortname":"IHC-P"}, "IP" : {"fullname" : "Immunoprecipitation", "shortname":"IP"}, "WB" : {"fullname" : "Western blot", "shortname":"WB"}, "ICCIF" : {"fullname" : "Immunocytochemistry/ Immunofluorescence", "shortname":"ICC/IF"}, "FlowCytIntra" : {"fullname" : "Flow Cytometry (Intracellular)", "shortname":"Flow Cyt (Intra)"} }, "product-promise": { "all": "all", "testedAndGuaranteed": "tested", "guaranteed": "expected", "predicted": "predicted", "notRecommended": "not-recommended" } }, "values": { "Human": { "ChICCUTRUNseq-species-checked": "testedAndGuaranteed", "ChICCUTRUNseq-species-dilution-info": "5 µg", "ChICCUTRUNseq-species-notes": "<p></p>", "IHCP-species-checked": "testedAndGuaranteed", "IHCP-species-dilution-info": "1/100 - 1/250", "IHCP-species-notes": "<p></p> Perform heat-mediated antigen retrieval with citrate buffer pH 6 before commencing with IHC staining protocol.", "IP-species-checked": "testedAndGuaranteed", "IP-species-dilution-info": "1/10 - 1/100", "IP-species-notes": "<p></p>", "WB-species-checked": "testedAndGuaranteed", "WB-species-dilution-info": "1/10000 - 1/50000", "WB-species-notes": "<p></p>", "ICCIF-species-checked": "testedAndGuaranteed", "ICCIF-species-dilution-info": "1/500", "ICCIF-species-notes": "<p></p>", "FlowCytIntra-species-checked": "testedAndGuaranteed", "FlowCytIntra-species-dilution-info": "1/200", "FlowCytIntra-species-notes": "<p></p>" }, "Mouse": { "ChICCUTRUNseq-species-checked": "guaranteed", "ChICCUTRUNseq-species-dilution-info": "", "ChICCUTRUNseq-species-notes": "", "IHCP-species-checked": "testedAndGuaranteed", "IHCP-species-dilution-info": "1/100 - 1/250", "IHCP-species-notes": "<p></p> Perform heat-mediated antigen retrieval with citrate buffer pH 6 before commencing with IHC staining protocol.", "IP-species-checked": "guaranteed", "IP-species-dilution-info": "", "IP-species-notes": "", "WB-species-checked": "testedAndGuaranteed", "WB-species-dilution-info": "1/10000 - 1/50000", "WB-species-notes": "<p></p>", "ICCIF-species-checked": "guaranteed", "ICCIF-species-dilution-info": "", "ICCIF-species-notes": "", "FlowCytIntra-species-checked": "guaranteed", "FlowCytIntra-species-dilution-info": "", "FlowCytIntra-species-notes": "" }, "Rat": { "ChICCUTRUNseq-species-checked": "guaranteed", "ChICCUTRUNseq-species-dilution-info": "", "ChICCUTRUNseq-species-notes": "", "IHCP-species-checked": "testedAndGuaranteed", "IHCP-species-dilution-info": "1/100 - 1/250", "IHCP-species-notes": "<p></p> Perform heat-mediated antigen retrieval with citrate buffer pH 6 before commencing with IHC staining protocol.", "IP-species-checked": "guaranteed", "IP-species-dilution-info": "", "IP-species-notes": "", "WB-species-checked": "testedAndGuaranteed", "WB-species-dilution-info": "1/10000 - 1/50000", "WB-species-notes": "<p></p>", "ICCIF-species-checked": "guaranteed", "ICCIF-species-dilution-info": "", "ICCIF-species-notes": "", "FlowCytIntra-species-checked": "guaranteed", "FlowCytIntra-species-dilution-info": "", "FlowCytIntra-species-notes": "" } } }

产品详情

Anti-BRG1 antibody [EPNCIR111A] (ab110641) was developed by Abcam using patented rabbit monoclonal antibody technology and is validated for use in ChIC/CUT&RUN-seq, Flow Cyt (Intra), ICC/IF, IHC-P, IP and WB.

Anti-BRG1 antibody [EPNCIR111A] (ab110641) was first used in a scientific publication in 2014 and has been cited over 191 times in peer reviewed journals. It's performance in Western Blot, ChIP and IHC in human samples is trusted by the scientific community.

Abcam's high quality manufacturing and validation processes ensure Anti-BRG1 antibody [EPNCIR111A] (ab110641) has high sensitivity and specificity alongside high lot-to-lot consistency and reproducibility.

The specificity of Anti-BRG1 antibody [EPNCIR111A] (ab110641) has been confirmed by Western Blot testing in BRG1 knockout HEK-293T cells (ab263853).

Anti-BRG1 antibody [EPNCIR111A] (ab110641) has 9 independent reviews from customers.

Anti-BRG1 antibody [EPNCIR111A] (ab110641) specifically detects BRG1 (UniProt ID: Q3TKT4; Molecular weight: 182kDa) and is sold in a convenient trial size to enable initial testing (10 µL) and larger sizes for subsequent scaling up experiments (100 µL and 1 mL).

Conjugation-ready, carrier free format available for antibody clone EPNCIR111A - ab215998.

Antibody clone EPNCIR111A is also available pre-conjugated to a variety of labels for your convenience - Alexa Fluor® 488, HRP, Alexa Fluor® 647, Alexa Fluor® 594, PE, APC (ab196314, ab196315, ab196535, ab207052, ab225124, ab314953).

Top cited antibody for this target with >200 citations. Validated for CUT&RUN-seq, a key application to map protein-DNA interactions on a genome-wide scale using NGS. Key target in SWI/SNF chromatin remodeling and epigenetic regulation. This antibody is crucial in cancer research, particularly in understanding BRG1's role as a tumor suppressor and its involvement in cell proliferation and gene expression. It is widely used in studies of BRG1's impact on leukaemia, breast cancer and other malignancies.

Patented technology
Our RabMAb® technology is a patented hybridoma-based technology for making rabbit monoclonal antibodies. For details on our patents, please refer to RabMAb® patents.

Collaborations
This antibody was developed as part of a collaboration between Epitomics, the National Cancer Institute's Center for Cancer Research and the lab of Gordon Hager.

What are the advantages of a recombinant monoclonal antibody?
This product is a recombinant monoclonal antibody, which offers several advantages including:

  • - High batch-to-batch consistency and reproducibility
  • - Improved sensitivity and specificity
  • - Long-term security of supply
  • - Animal-free batch production

For more information, read more on recombinant antibodies.

性能和储存信息

形式
Liquid
纯化工艺
Affinity purification Protein A
存储溶液
pH: 7.2 - 7.4 Preservative: 0.01% Sodium azide Constituents: PBS, 40% Glycerol (glycerin, glycerine), 0.05% BSA
运输条件
Blue Ice
推荐的短期储存时间
1-2 weeks
推荐的短期储存条件
+4°C
推荐的长期储存条件
-20°C
分装信息
Upon delivery aliquot
储存信息
Stable for 12 months at -20°C

补充信息

This supplementary information is collated from multiple sources and compiled automatically.

BRG1 also known as SMARCA4 functions as a chromatin-remodeling enzyme. It has a molecular weight of approximately 185 kDa. BRG1 expresses in various tissues with higher expression in tissues like the brain heart and lungs. As a component of several multi-subunit complexes including the SWI/SNF complex it uses energy from ATP hydrolysis to alter chromatin structure and regulate gene expression.
Biological function summary

The BRG1 protein plays a significant role in regulating gene expression by modifying chromatin conformation. It participates in the SWI/SNF complex which is essential for transcriptional control by RNA Polymerase II. Through chromatin remodeling BRG1 influences cellular processes like cell differentiation proliferation and apoptosis. Its relevance is pronounced in dynamic cellular environments like embryonic and adult stem cells.

Pathways

BRG1 engagement in DNA damage repair and transcriptional regulation pathways underpins its biological functions. It interacts with proteins such as p53 and c-MYC which play roles in these pathways. In DNA repair pathways BRG1 supports genome integrity while in transcriptional regulation it cooperates with signaling molecules to control gene activation and repression.

Mutations or alterations in BRG1 have links to several cancers including lung and ovarian cancers. The loss of BRG1 expression often correlates with poor prognosis and tumor progression. Many tumors show an association between BRG1 and p53 mutation suggesting a complex relationship in oncogenesis. These connections highlight the importance of BRG1-specific tools like BRG1 antibodies IHC and ELISA kits for research and potential therapeutic applications.

产品实验方案

For this product, it's our understanding that no specific protocols are required. You can visit:

靶点信息

Involved in transcriptional activation and repression of select genes by chromatin remodeling (alteration of DNA-nucleosome topology). Component of SWI/SNF chromatin remodeling complexes that carry out key enzymatic activities, changing chromatin structure by altering DNA-histone contacts within a nucleosome in an ATP-dependent manner. Component of the CREST-BRG1 complex, a multiprotein complex that regulates promoter activation by orchestrating the calcium-dependent release of a repressor complex and the recruitment of an activator complex. In resting neurons, transcription of the c-FOS promoter is inhibited by SMARCA4-dependent recruitment of a phospho-RB1-HDAC repressor complex. Upon calcium influx, RB1 is dephosphorylated by calcineurin, which leads to release of the repressor complex. At the same time, there is increased recruitment of CREBBP to the promoter by a CREST-dependent mechanism, which leads to transcriptional activation. The CREST-BRG1 complex also binds to the NR2B promoter, and activity-dependent induction of NR2B expression involves the release of HDAC1 and recruitment of CREBBP. Belongs to the neural progenitors-specific chromatin remodeling complex (npBAF complex) and the neuron-specific chromatin remodeling complex (nBAF complex). During neural development, a switch from a stem/progenitor to a postmitotic chromatin remodeling mechanism occurs as neurons exit the cell cycle and become committed to their adult state. The transition from proliferating neural stem/progenitor cells to postmitotic neurons requires a switch in subunit composition of the npBAF and nBAF complexes. As neural progenitors exit mitosis and differentiate into neurons, npBAF complexes which contain ACTL6A/BAF53A and PHF10/BAF45A, are exchanged for homologous alternative ACTL6B/BAF53B and DPF1/BAF45B or DPF3/BAF45C subunits in neuron-specific complexes (nBAF). The npBAF complex is essential for the self-renewal/proliferative capacity of the multipotent neural stem cells. The nBAF complex along with CREST plays a role regulating the activity of genes essential for dendrite growth. SMARCA4/BAF190A may promote neural stem cell self-renewal/proliferation by enhancing Notch-dependent proliferative signals, while concurrently making the neural stem cell insensitive to SHH-dependent differentiating cues (By similarity). Acts as a corepressor of ZEB1 to regulate E-cadherin transcription and is required for induction of epithelial-mesenchymal transition (EMT) by ZEB1. Binds via DLX1 to enhancers located in the intergenic region between DLX5 and DLX6 and this binding is stabilized by the long non-coding RNA (lncRNA) Evf2 (By similarity). Binds to RNA in a promiscuous manner (By similarity). Binding to RNAs including lncRNA Evf2 leads to inhibition of SMARCA4 ATPase and chromatin remodeling activities (By similarity). In brown adipose tissue, involved in the regulation of thermogenic genes expression (By similarity).
See full target information SMARCA4

文献 (247)

Recent publications for all applications. Explore the full list and refine your search

Stem cell research & therapy 16:507 PubMed41013769

2025

E2 pretreatment alleviates aggregation of intravenously injected mesenchymal stem cells in TBI by regulating BRG1 to affect adhesion.

Applications

Unspecified application

Species

Unspecified reactive species

Wangan Li,Xiangyu Wang,Zhiming Feng,Shiting Hua,Xiaoxiong Zou,Zelin Lai,Yingqian Cai,Yuxi Zou,Yanping Tang,Cai Lin,Guobiao Luo,Xiaolin Cai,Xiaodan Jiang

Nature genetics 57:2250-2263 PubMed40846763

2025

Precise modulation of BRG1 levels reveals features of mSWI/SNF dosage sensitivity.

Applications

Unspecified application

Species

Unspecified reactive species

Yota Hagihara,Chao Zhang,Yi Zhang

Nature communications 16:7118 PubMed40753156

2025

Epiregulon: Single-cell transcription factor activity inference to predict drug response and drivers of cell states.

Applications

Unspecified application

Species

Unspecified reactive species

Tomasz Włodarczyk,Aaron Lun,Diana Wu,Minyi Shi,Xiaofen Ye,Shreya Menon,Shushan Toneyan,Kerstin Seidel,Liang Wang,Jenille Tan,Shang-Yang Chen,Timothy Keyes,Aleksander Chlebowski,Adrian Waddell,Wei Zhou,Yangmeng Wang,Qiuyue Yuan,Yu Guo,Liang-Fu Chen,Bence Daniel,Antonina Hafner,Meng He,Alejandro Chibly,Yuxin Liang,Zhana Duren,Ciara Metcalfe,Marc Hafner,Christian W Siebel,M Ryan Corces,Robert Yauch,Shiqi Xie,Xiaosai Yao

Nature communications 16:6983 PubMed40739098

2025

Metabolomics and proteomics reveal blocking argininosuccinate synthetase 1 alleviates colitis in mice.

Applications

Unspecified application

Species

Unspecified reactive species

Shijia Liu,Haijian Sun,Zijing Du,Shuai Lu,Chenwen Wang,Ye Zhang,Zichen Luo,Lu Wang,Zhimin Fan,Peng Wei,Yujiao Yan,Junzhi Zhang,Shusheng Yin,Tongtong Liu,Qiongzi He,Xi Guo,Kang Ding,Jingjie Zhou,Haibing Hua,Chengli Yu,Weichen Xu,Jinjun Shan,Yongming Li,Yi Xu,Xiaotao Shen,Gang Cao,Wei Zhou

Science advances 11:eadx1568 PubMed40712016

2025

Nonchromatin regulatory functions of the histone variant H2A.B in SWI/SNF genomic deposition.

Applications

Unspecified application

Species

Unspecified reactive species

Xuanzhao Jiang,Jiayu Wen,Mary L Nelson,Yasmin Dijkwel,Bradley Cairns,Uta-Maria Bauer,Gene Hart-Smith,Tatiana A Soboleva,David J Tremethick

RNA (New York, N.Y.) 31:1260-1286 PubMed40500149

2025

Structural analysis of the lncRNA SChLAP1 reveals protein binding interfaces and a conformationally heterogenous retroviral insertion.

Applications

Unspecified application

Species

Unspecified reactive species

James P Falese,Emily J McFadden,Christopher A D'Inzeo,Amanda E Hargrove

Nucleic acids research 53: PubMed40479714

2025

Pioneering new enhancers by GATA3: role of facilitating transcription factors and chromatin remodeling.

Applications

Unspecified application

Species

Unspecified reactive species

Krystal A Orlando,Sara A Grimm,Paul A Wade

Genome biology 26:155 PubMed40468392

2025

DNA G-quadruplex structures act as functional elements in α- and β-globin enhancers.

Applications

Unspecified application

Species

Unspecified reactive species

Colm Doyle,Krzysztof Herka,Sean M Flynn,Larry Melidis,Somdutta Dhir,Stefan Schoenfelder,David Tannahill,Shankar Balasubramanian

Genome research 35:1717-1732 PubMed40456604

2025

Androgen receptor-mediated assisted loading of the glucocorticoid receptor modulates transcriptional responses in prostate cancer cells.

Applications

Unspecified application

Species

Unspecified reactive species

Johannes Hiltunen,Laura Helminen,Niina Aaltonen,Kaisa-Mari Launonen,Hanna Laakso,Marjo Malinen,Einari A Niskanen,Jorma J Palvimo,Ville Paakinaho

Epigenetics & chromatin 18:31 PubMed40452075

2025

Unraveling the cohesin-chromatin interface: identifying protein interactions that modulate chromosome structure and function.

Applications

Unspecified application

Species

Unspecified reactive species

Natalie L Rittenhouse,Riya Gohil,June E Arricastres,Jill M Dowen
View all publications
chicCutRunSequencingBooklet
en

Abcam Product Promise

我们致力于为您的研究提供高质量的试剂,为您科研的每一步提供支持。若我们的产品未能达到预期性能,我们向您提供 Abcam Product Promise 保障。
详情请参阅我们的条款与条件。

Please note: All products are 'FOR RESEARCH USE ONLY. NOT FOR USE IN DIAGNOSTIC OR THERAPEUTIC PROCEDURES'.

For licensing inquiries, please contact partnerships@abcam.com