JavaScript is disabled in your browser. Please enable JavaScript to view this website.
AB6326

Anti-BrdU 抗体 [BU1/75 (ICR1)] - Proliferation Marker

Anti-BrdU antibody [BU1/75 (ICR1)] - Proliferation Marker

5

(104 Reviews)

|

(2404 Publications)

Anti-BrdU antibody [BU1/75 (ICR1)] - Proliferation Marker (ab6326) is a rat monoclonal antibody detecting BrdU in Flow Cytometry (Intra), Flow Cytometry, IHC-P, ICC/IF.

- Over 1920 publications
- Trusted since 2002

查看别名

BUdr, Bromodeoxyuridine

8 Images
Flow Cytometry (Intracellular) - Anti-BrdU antibody [BU1/75 (ICR1)] - Proliferation Marker (AB6326)
  • Flow Cyt (Intra)

AbReview29284****

Flow Cytometry (Intracellular) - Anti-BrdU antibody [BU1/75 (ICR1)] - Proliferation Marker (AB6326)

ab6326 staining BrdU in HeLa cells by Flow Cytometry. Cells were incubated with 10 µM BrdU for 30 minutes prior to being harvested with 1X trypsin-EDTA washed twice in PBS containing 1% BSA and fixed in 70% ethanol (added drop-wise) for at least 30 minutes on ice. Once fixed pellets were acid denatured with HCl/Triton X-100 for 30 minutes at room temperature and then neutralised with sodium tetraborate.
Pelleted cells were re-suspended in Tween/BSA/PBS to which primary antibody was then added (0.1 µg in 0.5% Tween 20 (v/v) plus 1% BSA in PBSA) and incubated for 30 minutes at room temperature. Secondary Alexa Fluor®488-conjugated Goat anti-Rat IgG (H+L) was used at 1/500 and incubated for 30 minutes at room temperature in the dark. Cells were pelleted once more and resuspended in PBS containing 5 µg/mL propidium iodide.
Gating Strategy : Based on forward and side scatter cells were gated into the region used for analysis.

This image is courtesy of an anonymous Abreview

Immunohistochemistry (Formalin/PFA-fixed paraffin-embedded sections) - Anti-BrdU antibody [BU1/75 (ICR1)] - Proliferation Marker (AB6326)
  • IHC-P

AbReview70639****

Immunohistochemistry (Formalin/PFA-fixed paraffin-embedded sections) - Anti-BrdU antibody [BU1/75 (ICR1)] - Proliferation Marker (AB6326)

ab6326 staining BrdU in mouse lung tissue sections by Immunohistochemistry (Formalin/PFA-fixed parafin-embedded sections). Tissue samples were heat mediated with Citrate buffer for 40min. The sections were blocked with 10% donkey serum for 1 hour at 22°C. Samples were incubated with the primary antibody (1/200 in 10% Donkey serum-PBS 0.2% Triton) at 4°C for 16 hours. Cy™3 AffiniPure Donkey Anti-Rat IgG (H+L) (1/400 dilution) was used as the secondary antibody.

Representative confocal images of terminal bronchioles in mouse lungs taken at day 5 following naphthalene injection.

Colors label CC10 (red) FoxJ1 (green) BrdU (yellow) and nuclear DNA (blue).

This image is courtesy of an anonymous Abreview

Immunocytochemistry/ Immunofluorescence - Anti-BrdU antibody [BU1/75 (ICR1)] - Proliferation Marker (AB6326)
  • ICC/IF

Unknown

Immunocytochemistry/ Immunofluorescence - Anti-BrdU antibody [BU1/75 (ICR1)] - Proliferation Marker (AB6326)

ab6326 staining BrdU in Hela cells. Untreated and BrdU treated (10uM for 24 hours) cells. The cells were fixed with 100% methanol (5 min) and then subjected to acid hydrolysis using 2M HCL in 0.1% PBS-Tween for 30 minutes at room temperature to denature the DNA. They were then permeabilized with 0.1% PBS-Tween for 5 minutes and then blocked with 1% BSA/10% normal goat serum/0.3M glycine in 0.1%PBS-Tween for 1hr. The cells were then incubated overnight at 4°C with ab6326 at 1μg/ml and ab7291 Mouse monoclonal [DM1A] to alpha Tubulin - Loading Control. Cells were then incubated with ab150165 Goat polyclonal Secondary Antibody to Rat IgG - H&L (Alexa Fluor® 488) pre-adsorbed at 1/1000 dilution (shown in green) and ab150120 Goat polyclonal Secondary Antibody to Mouse IgG - H&L (Alexa Fluor® 594) pre-adsorbed at 1/1000 dilution (shown in pseudocolour red). Nuclear DNA was labelled with DAPI (shown in blue). Image was acquired with a confocal microscope (Leica-Microsystems TCS SP8) and a single confocal section is shown.

Immunocytochemistry/ Immunofluorescence - Anti-BrdU antibody [BU1/75 (ICR1)] - Proliferation Marker (AB6326)
  • ICC/IF

Supplier Data

Immunocytochemistry/ Immunofluorescence - Anti-BrdU antibody [BU1/75 (ICR1)] - Proliferation Marker (AB6326)

ICC/IF image of ab6326 stained HeLa cells both BrdU treated (left image) and normal cells (right image). The cells were 100% methanol fixed (5 min) and then subjected to acid hydrolysis using 2M HCL in 0.1% PBS-Tween for 30 minutes at room temperature to denature the DNA. They were then incubated in 1%BSA / 10% normal goat serum / 0.3M glycine in 0.1% PBS-Tween for 1h to permeabilise the cells and block non-specific protein-protein interactions. The cells were then incubated with the antibody (ab6326 10μg/ml) overnight at +4°C. The secondary antibody (green) was Goat Anti-Rat IgG H&L (DyLight® 488) preadsorbed (ab98420) used at a 1/250 dilution for 1h. Alexa Fluor® 594 WGA was used to label plasma membranes (red) at a 1/200 dilution for 1h. DAPI was used to stain the cell nuclei (blue) at a concentration of 1.43μM. Positive staining can be seen in the BrdU treated cells but not in the normal cells demonstrating specificity for BrdU.

Flow Cytometry (Intracellular) - Anti-BrdU antibody [BU1/75 (ICR1)] - Proliferation Marker (AB6326)
  • Flow Cyt (Intra)

Unknown

Flow Cytometry (Intracellular) - Anti-BrdU antibody [BU1/75 (ICR1)] - Proliferation Marker (AB6326)

Dot plot showing BrdU-treated HeLa cells stained with ab6326. Cells were incubated with 10 μM BrdU for 30 minutes prior to being harvested washed twice in 1x PBS and fixed in 70% ethanol (4°C added drop-wise) for at least 30 minutes on ice. Once fixed pellets were acid denatured with 2M HCl for 30 minutes at 22°C and then neutralised with borate buffer (0.1M pH8.5).

Samples were washed and incubated in 1x PBS / 10% normal goat serum to block non-specific protein-protein interactions followed by the antibody (ab6326 1μg/1x106 cells) for 30 min at 22°C. The secondary antibody used wasGoat Anti-Rat IgG H&L (Alexa Fluor® 488) preadsorbed (ab150165) at 1/2000 dilution for 30 min at 22°C.

7-AAD was added to cells 20 min prior to data acquisition.

Acquisition of >5000 events were collected using a 50 mW Blue laser (488nm) with 530/30 and 685/35 bandpass filters.

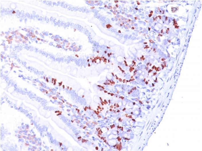
Immunohistochemistry (Formalin/PFA-fixed paraffin-embedded sections) - Anti-BrdU antibody [BU1/75 (ICR1)] - Proliferation Marker (AB6326)
  • IHC-P

Supplier Data

Immunohistochemistry (Formalin/PFA-fixed paraffin-embedded sections) - Anti-BrdU antibody [BU1/75 (ICR1)] - Proliferation Marker (AB6326)

IHC image of ab6326 staining in a formalin-fixed paraffin-embedded rat small intestine BrdU tissue section. The section was pre-treated using pressure cooker heat mediated antigen retrieval with sodium citrate buffer (pH6) for 30mins and incubated overnight at +4°C with ab6326 at 3 ug/ml. A goat anti-rat biotinylated secondary antibody was used to detect the primary and visualized using an HRP conjugated ABC system. The section was counterstained with haematoxylin and mounted with DPX.

For other IHC staining systems (automated and non-automated) users should optimize variable parameters such as antigen retrieval conditions primary antibody concentration and antibody incubation times.

Immunohistochemistry (Formalin/PFA-fixed paraffin-embedded sections) - Anti-BrdU antibody [BU1/75 (ICR1)] - Proliferation Marker (AB6326)
  • IHC-P

AbReview10196****

Immunohistochemistry (Formalin/PFA-fixed paraffin-embedded sections) - Anti-BrdU antibody [BU1/75 (ICR1)] - Proliferation Marker (AB6326)

ab6326 staining cultured cells of rat brain tissue by ICC. The sample was PFA fixed and permeabilized in 1M HCl prior to blocking with 5% serum for 1 hour at 25°C. The primary antibody was diluted 1/500 and incubated with the sample for 16 hours at 25°C. A biotinylated rabbit anti-rat IgG antibody diluted 1/200 was used as the secondary.

This image is courtesy of an anonymous Abreview

Immunohistochemistry (Formalin/PFA-fixed paraffin-embedded sections) - Anti-BrdU antibody [BU1/75 (ICR1)] - Proliferation Marker (AB6326)
  • IHC-P

PubMed

Immunohistochemistry (Formalin/PFA-fixed paraffin-embedded sections) - Anti-BrdU antibody [BU1/75 (ICR1)] - Proliferation Marker (AB6326)

Immunohistological staining of frontal (A-C) and sagittal (D) sections through a tooth family on the lower jaw of S. salar with BrdU labelled cells in green and DAPI counterstain in blue. The tooth families presented are in a similar state of development : a young functional tooth and its successor in morphogenesis stage. (A) Pulsed specimen, T0; (B) Chase time T1, one week after BrdU administration; (C) Chase time T2, two weeks after BrdU administration and (D) Chase time T3, four weeks after BrdU administration. The white arrow indicates single cells within the middle dental epithelium (MDE) enclosed by the IDE, cervical loop and ODE of the replacement tooth. Abbreviations : Ab : aboral; Ant : anterior; CV : cervical loop; DP : dental papilla; FT : functional tooth; IDE : inner dental epithelium; Lab : labial; Lin : lingual; MDE : middle dental epithelium; ME : mesenchyme; OE : oral epithelium; ODE : outer dental epithelium; Or : oral; PC : pulp cavity; Pos : posterior; yellow asterisk : replacement tooth; scale bars : 100 μm.

Immunohistological staining for BrdU on the paraffin sections : Rehydration through a decreasing ethanol series, chromatin precipitation in hydrochloric acid, block in 3% BSA/ 1% milk powder, exposure to primary antibody (ab6326) and secondary antibody (polyclonal anti-rat Alexa Fluor® 488), DAPI counterstaining (1μl/ml). Immunofluorescence was visualized on a NIKON eclips TE2000-S confocal laser-scanning microscope. Adobe Illustrator CS5, Adobe Photoshop CS5 and Fiji were used to process bright field and fluorescent images of the immunostained sections.

Image from Vandenplas S et al., PLoS One. 2016;11(4):e0152870. Fig 2.; doi: 10.1371/journal.pone.0152870. Reproduced under the Creative Commons license http://creativecommons.org/licenses/by/4.0/

不同偶联物与剂型 (5)

关键信息

宿主种属

Rat

克隆

Monoclonal

克隆号

BU1/75 (ICR1)

亚型

IgG2a

轻链类型

kappa

不含载体蛋白

No

应用

Flow Cyt (Intra), IHC-P, ICC/IF

applications

特异性

This antibody reacts with BrdU in single stranded DNA, BrdU attached to a protein carrier or free BrdU. It detects nucleated cells in S-Phase which have had BrdU incorporated into their DNA. Also reacts with chlorodeoxyuridine but with reduced staining. The antibody does not react with thymidine. It has been reported in the literature that this antibody clone cross-reacts with Edu (PMID: 23272138) and some customers reported that it cross reacts with IdU.

反应性数据

{ "title": "Reactivity Data", "filters": { "stats": ["", "Species", "Dilution Info", "Notes"], "tabs": { "all-applications": {"fullname" : "All Applications", "shortname": "All Applications"}, "IHCP" : {"fullname" : "Immunohistochemistry (Formalin/PFA-fixed paraffin-embedded sections)", "shortname":"IHC-P"}, "FlowCytIntra" : {"fullname" : "Flow Cytometry (Intracellular)", "shortname":"Flow Cyt (Intra)"}, "ICCIF" : {"fullname" : "Immunocytochemistry/ Immunofluorescence", "shortname":"ICC/IF"} }, "product-promise": { "all": "all", "testedAndGuaranteed": "tested", "guaranteed": "expected", "predicted": "predicted", "notRecommended": "not-recommended" } }, "values": { "Chemical": { "IHCP-species-checked": "testedAndGuaranteed", "IHCP-species-dilution-info": "1-3 µg/mL", "IHCP-species-notes": "<p></p> Perform heat-mediated antigen retrieval with citrate buffer pH 6 before commencing with IHC staining protocol.", "FlowCytIntra-species-checked": "testedAndGuaranteed", "FlowCytIntra-species-dilution-info": "1/25 - 1/200", "FlowCytIntra-species-notes": "<p>Rat IgG2a, kappa monoclonal [RTK2758] (Low endotoxin, Azide Free) (<a href='/products/primary-antibodies/rat-igg2a-kappa-monoclonal-rtk2758-isotype-control-ab18450'>ab18450</a>), is suitable for use as an isotype control with this antibody.</p>", "ICCIF-species-checked": "testedAndGuaranteed", "ICCIF-species-dilution-info": "1/250", "ICCIF-species-notes": "<p></p>" } } }

产品详情

Anti-BrdU antibody [BU1/75 (ICR1)] - Proliferation Marker (ab6326) is a rat monoclonal antibody and is validated for use in Flow Cyt (Intra), ICC/IF and IHC-P.

Anti-BrdU antibody [BU1/75 (ICR1)] - Proliferation Marker (ab6326) was first used in a scientific publication in 1985 and has been cited over 1925 times in peer reviewed journals. It's performance in IHC in mouse samples is trusted by the scientific community.

Abcam's high quality validation processes ensure Anti-BrdU antibody [BU1/75 (ICR1)] - Proliferation Marker (ab6326) has high sensitivity and specificity.

Anti-BrdU antibody [BU1/75 (ICR1)] - Proliferation Marker (ab6326) has 105 independent reviews from customers.

Anti-BrdU antibody [BU1/75 (ICR1)] - Proliferation Marker (ab6326) specifically detects BrdU (UniProt ID: N/A; Molecular weight: 0.3kDa) and is sold in 100 ug and 1 mg selling sizes.

Conjugation-ready, carrier free format available for antibody clone BU1/75 (ICR1) - ab264079.

Antibody clone BU1/75 (ICR1) is also available pre-conjugated to a variety of labels for your convenience - Alexa Fluor® 488, Alexa Fluor® 647, Alexa Fluor® 594, HRP, Alexa Fluor® 555 (ab2274, ab2275, ab2276, ab2257, ab22124).

Top cited antibody on the market for the proliferation marker BrdU with >2400 citations. ab6326 has over 80 5 star reviews. BrdU antibody is essential for accurately tracking cell proliferation and DNA synthesis in various research applications, including cancer and neurogenesis studies

性能和储存信息

形式
Liquid
纯化工艺
Affinity purification Protein G
存储溶液
pH: 7.4 Preservative: 0.02% Sodium azide Constituents: PBS, 6.97% L-Arginine
运输条件
Blue Ice
推荐的短期储存时间
1-2 weeks
推荐的短期储存条件
+4°C
推荐的长期储存条件
-20°C
分装信息
Upon delivery aliquot
储存信息
Avoid freeze / thaw cycle

产品实验方案

For this product, it's our understanding that no specific protocols are required. You can visit:

文献 (2404)

Recent publications for all applications. Explore the full list and refine your search

Science advances 11:eadw4618 PubMed41061054

2025

Endogenous p21 levels protect genomic stability by suppressing both excess and restrained nascent DNA syntheses.

Applications

Unspecified application

Species

Unspecified reactive species

Nicolás L Calzetta,Sabrina F Mansilla,Candelaria Mares Ahlers,Agostina P Bertolin,Lilen I Caimi,Sofía Venerus Arbilla,Jingkun Zeng,Lisa Wiesmüller,Vanesa Gottifredi

Stem cell research & therapy 16:521 PubMed41013542

2025

A traditional herbal decoction regulates skeletal muscle satellite cell osteogenesis and myogenesis for repairing osteosarcopenic fractures via β-catenin.

Applications

Unspecified application

Species

Unspecified reactive species

Zhenxiong Jin,Weiwei Da,Yi Shen,Yongjian Zhao,Hao Xu,Hongbo Wan,Xuequn Wu,Xiang Gao,Yan Li,Qi Shi,Dezhi Tang

Nature communications 16:8519 PubMed41006252

2025

DNA2 and MSH2 cooperatively repair stabilized G4 and allow efficient telomere replication.

Applications

Unspecified application

Species

Unspecified reactive species

Anthony Fernandez,Tingting Zhou,Yi Lei,Nian Liu,Steven Esworthy,Changxian Shen,Helen Liu,Jessica D Hess,Hang Yuan,Guojun Shi,Mian Zhou,Lei Shen,Sufang Zhang,Settapong Kosiyatrakul,Vikas Gaur,Joshua A Sommers,Nityanand Srivastava,Winfried Edelmann,Guo-Min Li,Robert M Brosh,Weihang Chai,Marietta Y W T Lee,Dong Zhang,Carl Schildkraut,Li Zheng,Binghui Shen

International journal of molecular sciences 26: PubMed41009700

2025

An Expendable Player in Positive Vascular Remodeling? ADAMTS13 Deficiency Does Not Affect Arteriogenesis or Angiogenesis.

Applications

Unspecified application

Species

Unspecified reactive species

Carolin Baur,Amanda Geml,Kira-Sofie Wimmer,Franziska Heim,Anja Holschbach,Katharina Elbs,Michael R Rohrmoser,Dominic van den Heuvel,Alexander T Bauer,Stefan W Schneider,Daphne Merkus,Elisabeth Deindl

Nature communications 16:8476 PubMed41006228

2025

EXO1 as a therapeutic target for Fanconi Anaemia, ZRSR2 and BRCA1-A complex deficient cancers.

Applications

Unspecified application

Species

Unspecified reactive species

Marija Maric,Sandra Segura-Bayona,Raviprasad Kuthethur,Tohru Takaki,Valerie Borel,Tyler H Stanage,Miroslav P Ivanov,Nishita Parnandi,Graeme Hewitt,Rhona Millar,Carmen S Fonseca,Harshil Patel,Miriam Llorian,Scott Warchal,Michael Howell,Arnab Ray Chaudhuri,Panagiotis Kotsantis,Simon J Boulton

Nature communications 16:8291 PubMed40957896

2025

Transcriptional dynamics of the oligodendrocyte lineage and its regulation by the brain erythropoietin system.

Applications

Unspecified application

Species

Unspecified reactive species

Liu Ye,Vinicius Daguano Gastaldi,Yasmina Curto,Anne-Fleur Wildenburg,Xuan Yu,Martin Hindermann,Simone Eggert,Anja Ronnenberg,Qing Wang,Umer Javed Butt,Riki Kawaguchi,Daniel Geschwind,Wiebke Möbius,Susann Boretius,Manvendra Singh,Klaus-Armin Nave,Hannelore Ehrenreich

CNS neuroscience & therapeutics 31:e70606 PubMed40916543

2025

Neuroprotective Effects of Transcranial Pulsed Current Stimulation: Modulation of Microglial Polarization in Traumatic Brain Injury.

Applications

Unspecified application

Species

Unspecified reactive species

Peng Yao,Bingkai Ren,Qianhui Zhou,Yang Bai,Zhen Feng

Oncology research 33:2573-2595 PubMed40918453

2025

Inhibition of Proteasome LMP2 Activity Suppresses Expression in Mouse Colon Adenocarcinoma Tissue and Restrains Tumor Growth.

Applications

Unspecified application

Species

Unspecified reactive species

Tatiana M Astakhova,Nikita S Karpov,Nataliya O Dashenkova,Elena V Alpeeva,Mikhail V Nesterchuk,Sergey B Akopov,Arsen S Mikaelyan,Anfisa S Ryabchenko,Pavel A Erokhov,Natalia P Sharova

PloS one 20:e0329795 PubMed40906768

2025

Mating-induced neurogenesis and cell proliferation in male rats depend on opioid signaling.

Applications

Unspecified application

Species

Unspecified reactive species

Marie Bedos,Mariana Sánchez Núñez,Analía E Castro,Raúl G Paredes

eLife 14: PubMed40900148

2025

WRN and WRNIP1 ATPases impose high fidelity on translesion synthesis by Y-family DNA polymerases.

Applications

Unspecified application

Species

Unspecified reactive species

Jung Hoon Yoon,Karthi Sellamuthu,Louise Prakash,Satya Prakash
View all publications

Abcam Product Promise

我们致力于为您的研究提供高质量的试剂,为您科研的每一步提供支持。若我们的产品未能达到预期性能,我们向您提供 Abcam Product Promise 保障。
详情请参阅我们的条款与条件。

Please note: All products are 'FOR RESEARCH USE ONLY. NOT FOR USE IN DIAGNOSTIC OR THERAPEUTIC PROCEDURES'.

For licensing inquiries, please contact partnerships@abcam.com