JavaScript is disabled in your browser. Please enable JavaScript to view this website.
AB128874

Anti-Brd4 抗体 [EPR5150(2)]

Anti-Brd4 antibody [EPR5150(2)]

  • BOND RX™ Validated
  • KO Validated
  • RabMAb
  • Recombinant
  • Lab Essentials
  • 了解详情

5

(18 Reviews)

|

(163 Publications)

Anti-Brd4 antibody [EPR5150(2)] (ab128874) is a rabbit monoclonal antibody detecting Brd4 in Western Blot, Flow Cytometry (Intra), Flow Cytometry, IHC-P, ICC/IF. Suitable for Human, Mouse.

- KO validated for confirmed specificity
- Biophysical QC for unrivalled batch-batch consistency
- Over 160 publications

查看别名

HUNK1, BRD4, Bromodomain-containing protein 4, Protein HUNK1

15 Images
Immunohistochemistry (Formalin/PFA-fixed paraffin-embedded sections) - Anti-Brd4 antibody [EPR5150(2)] (AB128874)
  • IHC-P

Lab

Immunohistochemistry (Formalin/PFA-fixed paraffin-embedded sections) - Anti-Brd4 antibody [EPR5150(2)] (AB128874)

Immunohistochemical analysis of formalin fixed paraffin embedded human colon labelling Brd4 with ab128874 at a concentration of 1 µg/ml. The immunostaining was performed on a Leica Biosystems BOND® RX instrument with a Bond™ Polymer Refine Detection kit. Heat mediated antigen retrieval was performed with Tris-EDTA buffer (pH 9.0, Epitope Retrieval Solution 2) for 20 mins. ab128874 Anti-Brd4 antibody [EPR5150(2)] was incubated for 30 mins at room temperature. Sections were counterstained with Hematoxylin. Image inset shows absence of staining in secondary antibody only control.

Immunohistochemistry (Formalin/PFA-fixed paraffin-embedded sections) - Anti-Brd4 antibody [EPR5150(2)] (AB128874)
  • IHC-P

Unknown

Immunohistochemistry (Formalin/PFA-fixed paraffin-embedded sections) - Anti-Brd4 antibody [EPR5150(2)] (AB128874)

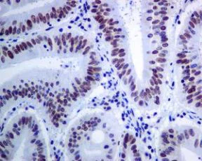
Unpurified ab128874 at 1/100 dilution staining Brd4 in human colon carcinoma tissue by Immunohistochemistry.

Perform heat mediated antigen retrieval before commencing with IHC staining protocol.

Immunohistochemistry (Formalin/PFA-fixed paraffin-embedded sections) - Anti-Brd4 antibody [EPR5150(2)] (AB128874)
  • IHC-P

Lab

Immunohistochemistry (Formalin/PFA-fixed paraffin-embedded sections) - Anti-Brd4 antibody [EPR5150(2)] (AB128874)

Immunohistochemical analysis of formalin fixed paraffin embedded human colon labelling Brd4 with ab128874 at a concentration of 3 µg/ml. The immunostaining was performed on a Ventana DISCOVERY ULTRA (Roche Tissue Diagnostics) instrument with an OptiView DAB IHC Detection Kit. Heat mediated antigen retrieval was conducted for 32 mins at 100°C with ULTRA cell conditioning solution (CC1, pH 8.5). ab128874 Anti-Brd4 antibody [EPR5150(2)] was incubated at 37°C for 16 mins. Sections were counterstained with Hematoxylin II. Image inset shows absence of staining in secondary antibody only control.

Western blot - Anti-Brd4 antibody [EPR5150(2)] (AB128874)
  • WB

Lab

Western blot - Anti-Brd4 antibody [EPR5150(2)] (AB128874)

Western blot : Rabbit Monoclonal [EPR5150(2)] to Brd4 ab128874 staining at 1/1000 dilution, shown in green; Mouse anti alpha Tubulin (ab7291) loading control staining at 1/20,000 dilution, shown in magenta. A band was observed at 200 kDa. To generate this image, samples were run on an SDS-PAGE gel then transferred onto a nitrocellulose membrane. Membranes were blocked in 3pc Milk in TBS-0.1 % Tween® 20 (TBS-T) before incubation with primary antibodies overnight at 4 °C. Blots were washed four times in TBS-T, incubated with secondary antibodies for 1 h at room temperature, washed again four times then imaged. Secondary antibodies used were Goat anti-Rabbit 800CW & Goat anti-Mouse 680RD at 1/20,000 dilution.

All lanes:

Western blot - Anti-Brd4 antibody [EPR5150(2)] (ab128874) at 1/1000 dilution

Lane 1:

Wild-type HAP1 (whole lysate) at 20 µg

Lane 2:

Wild-type HAP1 (Nuclear fraction) at 20 µg

Lane 3:

Wild-type HAP1 (Membrane fraction) at 20 µg

Lane 4:

HEK-293T (Whole lysate) at 20 µg

Lane 5:

HeLa (Whole lysate) at 20 µg

Lane 6:

HeLa (Nuclear fraction) at 20 µg

Lane 7:

HeLa (Membrane fraction) at 20 µg

Secondary

Lanes 1 - 7:

Goat anti-Rabbit 800CW at 1/20000 dilution

Lanes 1 - 7:

Goat anti-Mouse 680RD at 1/20000 dilution

Predicted band size: 200 kDa

Observed band size: 200 kDa,50 kDa

false

Western blot - Anti-Brd4 antibody [EPR5150(2)] (AB128874)
  • WB

Supplier Data

Western blot - Anti-Brd4 antibody [EPR5150(2)] (AB128874)

Blocking and Diluting buffer and concentration : 5% NFDM/TBST

All lanes:

Western blot - Anti-Brd4 antibody [EPR5150(2)] (ab128874) at 1/200 dilution

All lanes:

HeLa (Human epithelial cell line from cervix adenocarcinoma) cell lysate at 10 µg/mL

Secondary

All lanes:

Goat Anti-Rabbit IgG, (H+L), Peroxidase conjugated at 1/1000 dilution

Predicted band size: 152 kDa

Observed band size: 152 kDa

false

Western blot - Anti-Brd4 antibody [EPR5150(2)] (AB128874)
  • WB

Supplier Data

Western blot - Anti-Brd4 antibody [EPR5150(2)] (AB128874)

Blocking and Diluting buffer and concentration : 5% NFDM/TBST

All lanes:

Western blot - Anti-Brd4 antibody [EPR5150(2)] (ab128874) at 1/1000 dilution

All lanes:

HeLa (Human epithelial cell line from cervix adenocarcinoma) cell lysate at 10 µg

Secondary

All lanes:

Goat Anti-Rabbit IgG, (H+L), Peroxidase conjugated at 1/1000 dilution

Predicted band size: 152 kDa

Observed band size: 152 kDa

false

Western blot - Anti-Brd4 antibody [EPR5150(2)] (AB128874)
  • WB

Supplier Data

Western blot - Anti-Brd4 antibody [EPR5150(2)] (AB128874)

All lanes:

Western blot - Anti-Brd4 antibody [EPR5150(2)] (ab128874) at 1/1000 dilution

All lanes:

NIH/3T3 (Mouse embryo fibroblast cell line) cell lysate at 10 µg

Secondary

All lanes:

Goat Anti-Rabbit IgG, (H+L), Peroxidase conjugated at 1/1000 dilution

Predicted band size: 152 kDa

Observed band size: 152 kDa

false

Flow Cytometry (Intracellular) - Anti-Brd4 antibody [EPR5150(2)] (AB128874)
  • Flow Cyt (Intra)

Unknown

Flow Cytometry (Intracellular) - Anti-Brd4 antibody [EPR5150(2)] (AB128874)

Intracellular Flow Cytometry analysis of SW480 (Human colorectal adenocarcinoma epithelial cell) cells labeling Brd4 (red) with purified ab128874 at a 1/50 dilution (10μg/mL). Cells were fixed with 80% methanol and permeabilized with 0.1% Tween-20. A goat anti rabbit IgG (Alexa Fluorr®488) (ab150077) was used as the secondary antibody at a 1/2000 dilution. Black - Rabbit monoclonal IgG (Black) (ab172730). Blue (unlabeled control) - Cell without incubation with primary antibody and secondary antibody (Blue).

Immunocytochemistry/ Immunofluorescence - Anti-Brd4 antibody [EPR5150(2)] (AB128874)
  • ICC/IF

AbReview32451****

Immunocytochemistry/ Immunofluorescence - Anti-Brd4 antibody [EPR5150(2)] (AB128874)

Unpurified ab128874 (1/500 dilution) staining Brd4 in HeLa cells from cervix adenocarcinoma) cells (green). Cells were fixed in paraformaldehyde permeabilized in 0.5% Triton X100/PBS and counterstained with DAPI in order to highlight the nucleus (red).

For further experimental details please refer to Abreview.

Image courtesy of an abreview submitted by Dr. Kirk McManus, Univ. of Manitoba/Cancer Care MICB, Canada

Immunocytochemistry/ Immunofluorescence - Anti-Brd4 antibody [EPR5150(2)] (AB128874)
  • ICC/IF

Supplier Data

Immunocytochemistry/ Immunofluorescence - Anti-Brd4 antibody [EPR5150(2)] (AB128874)

Immunocytochemistry/Immunofluorescence analysis of HepG2 (Human liver cell line) cells labeling Brd4 with purified ab128874 at 1/100 dilution (Panel A). Cells were fixed with 4% paraformaldehyde and permeabilized with 0.1% Triton X-100. An Alexa Fluor® 488-conjugated goat anti-rabbit IgG (1/200 dilution) was used as the secondary antibody. DAPI (blue) was used as the nuclear counterstain(Panel B).

Immunocytochemistry/ Immunofluorescence - Anti-Brd4 antibody [EPR5150(2)] (AB128874)
  • ICC/IF

PubMed

Immunocytochemistry/ Immunofluorescence - Anti-Brd4 antibody [EPR5150(2)] (AB128874)

Immunocytochemical analysis of HeLa cells showing co-localization of BRD4 using ab128874 at 1/500 dilution (red) with CDK9 (green) following infection with HSV-1. Cells were fixed with 4% paraformaldehyde (10 min at RT) and permeabilzed with 0.2% Triton X-100 (10 min). AlexaFluor®-conjugated secondary antibodies were used at 1/1000 dilution. The nuclear counter stain is DAPI 9blue).

From Figure 5b of Ren et al.

Reproduced under the Creative Commons Licence fromRen et al PLoS Pathog. 2016 Oct; 12(10) : e1005950. Published online 2016 Oct 20. doi : 10.1371/journal.ppat.1005950 PMID : 27764245

Ren et al PLoS Pathog. 2016 Oct; 12(10): e1005950. Published online 2016 Oct 20. doi: 10.1371/journal.ppat.1005950

Western blot - Anti-Brd4 antibody [EPR5150(2)] (AB128874)
  • WB

Lab

Western blot - Anti-Brd4 antibody [EPR5150(2)] (AB128874)

Different batches of ab128874 were tested on HeLa (Human cervix adenocarcinoma epithelial cell) lysate at 0.1 µg/ml. 15 µg of lysate was loaded in each lane. Bands observed at 152 kDa.

All lanes:

Western blot - Anti-Brd4 antibody [EPR5150(2)] (ab128874)

Predicted band size: 152 kDa

false

Western blot - Anti-Brd4 antibody [EPR5150(2)] (AB128874)
  • WB

Lab

Western blot - Anti-Brd4 antibody [EPR5150(2)] (AB128874)

Lanes 1 - 2 : Merged signal (red and green). Green - ab128874 observed at 220 kDa. Red - loading control Mouse anti Vinculin observed at 125 kDa.

ab128874 was shown to react with Brd4 in wild-type cells in Western blot with loss of signal observed in BRD4 knockout sample. Wild-type and BRD4 knockout cell lysates were subjected to SDS-PAGE. Membranes were blocked in 3 % milk in TBS-T (0.1 % Tween®) before incubation with ab128874 and Mouse anti Vinculin overnight at 4 °C at a 1 in 200 dilution and a 1 in 20000 dilution respectively. Blots were incubated with Goat anti-Rabbit IgG H&L (IRDye® 800CW) preabsorbed (ab216773) and Goat anti-Mouse IgG H&L (IRDye® 680RD) preabsorbed (ab216776) secondary antibodies at 1 in 20000 dilution for 1 h at room temperature before imaging.

All lanes:

Western blot - Anti-Brd4 antibody [EPR5150(2)] (ab128874) at 1/200 dilution

Lane 1:

Wild-type HAP1 cell lysate at 20 µg

Lane 2:

BRD4 knockout HAP1 cell lysate at 20 µg

Predicted band size: 152 kDa

Observed band size: 220 kDa

false

Western blot - Anti-Brd4 antibody [EPR5150(2)] (AB128874)
  • WB

Lab

Western blot - Anti-Brd4 antibody [EPR5150(2)] (AB128874)

Lane 1 : Wild-type HAP1 cell lysate (20 μg)
Lane 2 : Brd4 knockout HAP1 cell lysate (20 μg)
Lane 3 : HeLa cell lysate (20 μg)

Lanes 1 - 4 : Merged signal (red and green). Green - ab128874 observed at 150 kDa. Red - loading control, ab8245, observed at 37 kDa.
ab128874 was shown to recognize Brd4 when Brd4 knockout samples were used, along with additional cross-reactive bands. Wild-type and Brd4 knockout samples were subjected to SDS-PAGE. ab128874 and ab8245 (loading control to GAPDH) were diluted at 1/1000 and 1/10 000 respectively and incubated overnight at 4°C. Blots were developed with Goat anti-Rabbit IgG H&L (IRDye® 800CW) preadsorbed (ab216773) and Goat anti-Mouse IgG H&L (IRDye® 680RD) preadsorbed (ab216776) secondary antibodies at 1/10000 dilution for 1 hour at room temperature before imaging.

Lane 1:

Western blot - Anti-Brd4 antibody [EPR5150(2)] (ab128874)

Lanes 1 - 3:

Western blot - Anti-GAPDH antibody [6C5] - Loading Control (<a href='/products/primary-antibodies/gapdh-antibody-6c5-loading-control-ab8245'>ab8245</a>) at 1/10000 dilution

Lane 1:

Wild-type HAP1 cell lysate (20 µg)

Lane 2:

Brd4 knockout HAP1 cell lysate (20 µg)

Lane 3:

HeLa cell lysate (20 µg)

Secondary

All lanes:

Western blot - Goat anti-Mouse IgG H&L (IRDye® 680RD) preadsorbed (<a href='/products/secondary-antibodies/goat-mouse-igg-h-l-irdye-680rd-preadsorbed-ab216776'>ab216776</a>) at 1/10000 dilution

Predicted band size: 152 kDa,36 kDa

false

OI-RD Scanning - Anti-Brd4 antibody [EPR5150(2)] (AB128874)
  • OI-RD Scanning

Unknown

OI-RD Scanning - Anti-Brd4 antibody [EPR5150(2)] (AB128874)

We have systematically measured KD (the equilibrium dissociation constant between the antibody and its antigen), of more than 840 recombinant antibodies to assess not only their individual KD values but also to see the average affinity of antibody. Based on the comparison with published literature values for mouse monoclonal antibodies, Recombinant antibodies appear to be on average 1-2 order of magnitude higher affinity.

不同偶联物与剂型 (5)

关键信息

宿主种属

Rabbit

克隆

Monoclonal

克隆号

EPR5150(2)

亚型

IgG

不含载体蛋白

No

反应种属

Mouse, Human

应用

ICC/IF, IHC-P, WB, Flow Cyt (Intra)

applications

免疫原

The exact immunogen used to generate this antibody is proprietary information.

反应性数据

{ "title": "Reactivity Data", "filters": { "stats": ["", "Species", "Dilution Info", "Notes"], "tabs": { "all-applications": {"fullname" : "All Applications", "shortname": "All Applications"}, "IHCP" : {"fullname" : "Immunohistochemistry (Formalin/PFA-fixed paraffin-embedded sections)", "shortname":"IHC-P"}, "WB" : {"fullname" : "Western blot", "shortname":"WB"}, "ICCIF" : {"fullname" : "Immunocytochemistry/ Immunofluorescence", "shortname":"ICC/IF"}, "FlowCytIntra" : {"fullname" : "Flow Cytometry (Intracellular)", "shortname":"Flow Cyt (Intra)"} }, "product-promise": { "all": "all", "testedAndGuaranteed": "tested", "guaranteed": "expected", "predicted": "predicted", "notRecommended": "not-recommended" } }, "values": { "Human": { "IHCP-species-checked": "testedAndGuaranteed", "IHCP-species-dilution-info": "1/200", "IHCP-species-notes": "<p><strong>For unpurified use at 1/40</strong></p> Perform heat-mediated antigen retrieval before commencing with IHC staining protocol.", "WB-species-checked": "testedAndGuaranteed", "WB-species-dilution-info": "1/200 - 1/1000", "WB-species-notes": "<p></p>", "ICCIF-species-checked": "testedAndGuaranteed", "ICCIF-species-dilution-info": "1/200", "ICCIF-species-notes": "<p><strong>For unpurified use at 1/40</strong></p>", "FlowCytIntra-species-checked": "testedAndGuaranteed", "FlowCytIntra-species-dilution-info": "1/50", "FlowCytIntra-species-notes": "<p></p>" }, "Mouse": { "IHCP-species-checked": "guaranteed", "IHCP-species-dilution-info": "", "IHCP-species-notes": "", "WB-species-checked": "testedAndGuaranteed", "WB-species-dilution-info": "1/200 - 1/1000", "WB-species-notes": "<p></p>", "ICCIF-species-checked": "guaranteed", "ICCIF-species-dilution-info": "", "ICCIF-species-notes": "", "FlowCytIntra-species-checked": "guaranteed", "FlowCytIntra-species-dilution-info": "", "FlowCytIntra-species-notes": "" }, "Rat": { "IHCP-species-checked": "predicted", "IHCP-species-dilution-info": "", "IHCP-species-notes": "", "WB-species-checked": "predicted", "WB-species-dilution-info": "", "WB-species-notes": "", "ICCIF-species-checked": "predicted", "ICCIF-species-dilution-info": "", "ICCIF-species-notes": "", "FlowCytIntra-species-checked": "predicted", "FlowCytIntra-species-dilution-info": "", "FlowCytIntra-species-notes": "" } } }

产品详情

Anti-Brd4 antibody [EPR5150(2)] (ab128874) was developed by Abcam using patented rabbit monoclonal antibody technology and is validated for use in Flow Cyt (Intra), ICC/IF, IHC-P and WB.

Anti-Brd4 antibody [EPR5150(2)] (ab128874) was first used in a scientific publication in 2014 and has been cited over 163 times in peer reviewed journals. It's performance in Western Blot in human samples is trusted by the scientific community.

Abcam's high quality manufacturing and validation processes ensure Anti-Brd4 antibody [EPR5150(2)] (ab128874) has high sensitivity and specificity alongside high lot-to-lot consistency and reproducibility.

The specificity of Anti-Brd4 antibody [EPR5150(2)] (ab128874) has been confirmed by Western Blot testing in Brd4 knockout Hap1 cells.

Anti-Brd4 antibody [EPR5150(2)] (ab128874) has 17 independent reviews from customers.

Anti-Brd4 antibody [EPR5150(2)] (ab128874) specifically detects Brd4 (UniProt ID: O60885; Molecular weight: 153kDa) and is sold in 100 µL and 1 mL selling sizes.

Conjugation-ready, carrier free format available for antibody clone EPR5150(2) - ab182446.

Antibody clone EPR5150(2) is also available pre-conjugated to a variety of labels for your convenience - Alexa Fluor® 488, Alexa Fluor® 647, HRP, Alexa Fluor® 594 (ab197606, ab197608, ab197609, ab207057).

Top cited antibody for this target with >200 citations. A highly specific BRD4 antibody, essential for studying bromodomain-containing protein 4, epigenetic regulation and chromatin remodeling. This antibody is crucial in cancer research, particularly in understanding BRD4's role in transcription regulation, chemoresistance and tumor progression and is widely used in studies of BRD4 inhibitors and BET proteins. Research has shown that BRD4 (and BET family proteins) may be promising therapeutic targets for various Myc-driven cancers, such as Burkitt's lymphoma and certain acute myeloid leukaemia's and is studied is a potential therapeutic target.

Patented technology
Our RabMAb® technology is a patented hybridoma-based technology for making rabbit monoclonal antibodies. For details on our patents, please refer to RabMAb® patents.

What are the advantages of a recombinant monoclonal antibody?
This product is a recombinant monoclonal antibody, which offers several advantages including:

  • - High batch-to-batch consistency and reproducibility
  • - Improved sensitivity and specificity
  • - Long-term security of supply
  • - Animal-free batch production

For more information, read more on recombinant antibodies.

性能和储存信息

形式
Liquid
纯化工艺
Affinity purification Protein A
存储溶液
pH: 7.2 - 7.4 Preservative: 0.01% Sodium azide Constituents: PBS, 40% Glycerol (glycerin, glycerine), 0.05% BSA
运输条件
Conditional Ambient
推荐的短期储存时间
1-2 weeks
推荐的短期储存条件
+4°C
推荐的长期储存条件
-20°C
分装信息
Upon delivery aliquot
储存信息
Avoid freeze / thaw cycle

补充信息

This supplementary information is collated from multiple sources and compiled automatically.

BRD4 also known as Bromodomain-containing protein 4 is a member of the BET (bromodomain and extra-terminal domain) family. This protein has a molecular weight of approximately 120 - 150 kDa often used in western blot analysis to identify its presence. It binds to acetylated lysines on histone proteins facilitating the regulation of gene expression. BRD4 is mainly expressed in the nucleus and plays an essential role in remodeling chromatin structure therefore influencing transcription processes.
Biological function summary

This protein influences various cellular activities by regulating transcriptional elongation of specific genes. BRD4 forms part of a complex with P-TEFb (Positive Transcription Elongation Factor b) which phosphorylates the C-terminal domain of RNA polymerase II facilitating transcription through chromatin. It binds to acetylated histones and non-histone proteins linking it to active transcription sites and contributing to the dynamic regulation of gene expression in response to cellular signals.

Pathways

BRD4 participates in key signaling networks like the NF-κB pathway and MYC signaling. It interacts with transcription factors and other proteins such as Cyclin T1 and CDK9 within the P-TEFb complex to regulate gene expression. BRD4 also collaborates with MYC a critical transcription factor regulating cell growth and proliferation to modulate pathways related to cellular growth and survival.

BRD4 has been linked to cancer and inflammation-related conditions. Overexpression or mutations in BRD4 can lead to aberrant cell proliferation in certain cancers including breast and leukemia where it influences the expression of oncogenes. In inflammation BRD4 modulates the expression of pro-inflammatory cytokines. Through these pathways it is connected to related proteins like NF-κB which orchestrates cellular responses to inflammation and stress signals.

产品实验方案

For this product, it's our understanding that no specific protocols are required. You can visit:

靶点信息

Chromatin reader protein that recognizes and binds acetylated histones and plays a key role in transmission of epigenetic memory across cell divisions and transcription regulation (PubMed : 20871596, PubMed : 23086925, PubMed : 23317504, PubMed : 29176719, PubMed : 29379197). Remains associated with acetylated chromatin throughout the entire cell cycle and provides epigenetic memory for postmitotic G1 gene transcription by preserving acetylated chromatin status and maintaining high-order chromatin structure (PubMed : 22334664, PubMed : 23317504, PubMed : 23589332). During interphase, plays a key role in regulating the transcription of signal-inducible genes by associating with the P-TEFb complex and recruiting it to promoters (PubMed : 16109376, PubMed : 16109377, PubMed : 19596240, PubMed : 23589332, PubMed : 24360279). Also recruits P-TEFb complex to distal enhancers, so called anti-pause enhancers in collaboration with JMJD6 (PubMed : 16109376, PubMed : 16109377, PubMed : 19596240, PubMed : 23589332, PubMed : 24360279). BRD4 and JMJD6 are required to form the transcriptionally active P-TEFb complex by displacing negative regulators such as HEXIM1 and 7SKsnRNA complex from P-TEFb, thereby transforming it into an active form that can then phosphorylate the C-terminal domain (CTD) of RNA polymerase II (PubMed : 16109376, PubMed : 16109377, PubMed : 19596240, PubMed : 23589332, PubMed : 24360279). Regulates differentiation of naive CD4(+) T-cells into T-helper Th17 by promoting recruitment of P-TEFb to promoters (By similarity). Promotes phosphorylation of 'Ser-2' of the C-terminal domain (CTD) of RNA polymerase II (PubMed : 23086925). According to a report, directly acts as an atypical protein kinase and mediates phosphorylation of 'Ser-2' of the C-terminal domain (CTD) of RNA polymerase II; these data however need additional evidences in vivo (PubMed : 22509028). In addition to acetylated histones, also recognizes and binds acetylated RELA, leading to further recruitment of the P-TEFb complex and subsequent activation of NF-kappa-B (PubMed : 19103749). Also acts as a regulator of p53/TP53-mediated transcription : following phosphorylation by CK2, recruited to p53/TP53 specific target promoters (PubMed : 23317504).. Isoform B. Acts as a chromatin insulator in the DNA damage response pathway. Inhibits DNA damage response signaling by recruiting the condensin-2 complex to acetylated histones, leading to chromatin structure remodeling, insulating the region from DNA damage response by limiting spreading of histone H2AX/H2A.x phosphorylation.
See full target information BRD4

文献 (163)

Recent publications for all applications. Explore the full list and refine your search

Journal of orthopaedic surgery and research 18:876 PubMed37980502

2023

BRD4 facilitates osteogenic differentiation of human bone marrow mesenchymal stem cells through WNT4/NF-κB pathway.

Applications

Unspecified application

Species

Unspecified reactive species

Tao Ning,Huihui Guo,Mingming Ma,Zhengang Zha

eLife 12: PubMed37665675

2023

A twin UGUA motif directs the balance between gene isoforms through CFIm and the mTORC1 signaling pathway.

Applications

Unspecified application

Species

Unspecified reactive species

R Samuel Herron,Alexander K Kunisky,Jessica R Madden,Vivian I Anyaeche,May Z Maung,Hun-Way Hwang

Respiratory research 24:193 PubMed37516840

2023

Differential responses of pulmonary vascular cells from PAH patients and controls to TNFα and the effect of the BET inhibitor JQ1.

Applications

Unspecified application

Species

Unspecified reactive species

Sharon Mumby,Frederic Perros,Julien Grynblat,Gregoire Manaud,Alberto Papi,Paolo Casolari,Gaetano Caramori,Marc Humbert,S John Wort,Ian M Adcock

Scientific reports 13:11907 PubMed37488172

2023

Molecular features driving condensate formation and gene expression by the BRD4-NUT fusion oncoprotein are overlapping but distinct.

Applications

Unspecified application

Species

Unspecified reactive species

Martyna Kosno,Simon L Currie,Ashwani Kumar,Chao Xing,Michael K Rosen

Cell discovery 9:47 PubMed37156794

2023

BRD4-targeting PROTAC as a unique tool to study biomolecular condensates.

Applications

Unspecified application

Species

Unspecified reactive species

Yi Shi,Yuan Liao,Qianlong Liu,Zhihao Ni,Zhenzhen Zhang,Minglei Shi,Pilong Li,Haitao Li,Yu Rao

Journal for immunotherapy of cancer 11: PubMed37072347

2023

BRD4 inhibition impairs DNA mismatch repair, induces mismatch repair mutation signatures and creates therapeutic vulnerability to immune checkpoint blockade in MMR-proficient tumors.

Applications

Unspecified application

Species

Unspecified reactive species

Yu Fu,Bin Yang,Yaoyuan Cui,Xingyuan Hu,Xi Li,Funian Lu,Tianyu Qin,Li Zhang,Zhe Hu,Ensong Guo,Junpeng Fan,Rourou Xiao,Wenting Li,Xu Qin,Dianxing Hu,Wenju Peng,Jingbo Liu,Beibei Wang,Gordon B Mills,Gang Chen,Chaoyang Sun

Human genomics 17:33 PubMed37004060

2023

Integrative analysis of a novel super-enhancer-associated lncRNA prognostic signature and identifying LINC00945 in aggravating glioma progression.

Applications

Unspecified application

Species

Unspecified reactive species

Zhihao Yang,Yinfei Zheng,Haoyuan Wu,Han Xie,Jiajia Zhao,Zhigang Chen,Lianxin Li,Xiaoyu Yue,Bing Zhao,Erbao Bian

ACS chemical biology 18:897-904 PubMed36940189

2023

Targeted Protein Degradation through E2 Recruitment.

Applications

Unspecified application

Species

Unspecified reactive species

Nafsika Forte,Dustin Dovala,Matthew J Hesse,Jeffrey M McKenna,John A Tallarico,Markus Schirle,Daniel K Nomura

Cancer research 83:1684-1698 PubMed36877164

2023

LSD1 Inhibition Disrupts Super-Enhancer-Driven Oncogenic Transcriptional Programs in Castration-Resistant Prostate Cancer.

Applications

Unspecified application

Species

Unspecified reactive species

Muqing Li,Mingyu Liu,Wanting Han,Zifeng Wang,Dong Han,Susan Patalano,Jill A Macoska,Steven P Balk,Housheng Hansen He,Eva Corey,Shuai Gao,Changmeng Cai

Communications biology 6:215 PubMed36823213

2023

MacroH2A histone variants modulate enhancer activity to repress oncogenic programs and cellular reprogramming.

Applications

Unspecified application

Species

Unspecified reactive species

Wazim Mohammed Ismail,Amelia Mazzone,Flavia G Ghiraldini,Jagneet Kaur,Manvir Bains,Amik Munankarmy,Monique S Bagwell,Stephanie L Safgren,John Moore-Weiss,Marina Buciuc,Lynzie Shimp,Kelsey A Leach,Luis F Duarte,Chandandeep S Nagi,Saul Carcamo,Chi-Yeh Chung,Dan Hasson,Neda Dadgar,Jian Zhong,Jeong-Heon Lee,Fergus J Couch,Alexander Revzin,Tamas Ordog,Emily Bernstein,Alexandre Gaspar-Maia
View all publications

Abcam Product Promise

我们致力于为您的研究提供高质量的试剂,为您科研的每一步提供支持。若我们的产品未能达到预期性能,我们向您提供 Abcam Product Promise 保障。
详情请参阅我们的条款与条件。

关联产品

Select an associated product type
Alternative Product
Primary Antibodies

AB244221

Anti-Brd4 antibody [CL1115]

primary-antibodies

brd4-antibody-cl1115-ab244221

4

(1 reviews)

Alternative Product
Primary Antibodies

AB84776

Anti-Brd4 antibody

primary-antibodies

brd4-antibody-ab84776

5

(2 reviews)

Alternative Product
Primary Antibodies

AB243862

Anti-Brd4 antibody [BL-149-2H5]

primary-antibodies

brd4-antibody-bl-149-2h5-ab243862

5

(1 reviews)

Alternative Product
Primary Antibodies

AB245285

Anti-Brd4 antibody

primary-antibodies

brd4-antibody-ab245285

0

(0 reviews)

Alternative Product
Primary Antibodies

AB223223

Anti-Brd4 antibody

primary-antibodies

brd4-antibody-ab223223

0

(2 reviews)

Alternative Product
Primary Antibodies

AB272042

Anti-Brd4 antibody [BL-149-2H5] - BSA free

primary-antibodies

brd4-antibody-bl-149-2h5-bsa-free-ab272042

0

(0 reviews)

Alternative Product
Primary Antibodies

AB75898

Anti-Brd4 antibody

primary-antibodies

brd4-antibody-ab75898

4

(4 reviews)

Please note: All products are 'FOR RESEARCH USE ONLY. NOT FOR USE IN DIAGNOSTIC OR THERAPEUTIC PROCEDURES'.

For licensing inquiries, please contact partnerships@abcam.com