JavaScript is disabled in your browser. Please enable JavaScript to view this website.
AB177960

重组Anti-BRCC45/BRE抗体[EPR11858]

Anti-BRCC45/BRE antibody [EPR11858]

Be the first to review this product! Submit a review

|

(5 Publications)

Rabbit Recombinant Monoclonal BRCC45/BRE antibody. Suitable for IHC-P, WB, ICC/IF and reacts with Human samples. Cited in 5 publications.

查看别名

BRCC45, BRE, BABAM2, BRISC and BRCA1-A complex member 2, BRCA1-A complex subunit BRE, BRCA1/BRCA2-containing complex subunit 45, Brain and reproductive organ-expressed protein

5 Images
Immunocytochemistry/ Immunofluorescence - Anti-BRCC45/BRE antibody [EPR11858] (AB177960)
  • ICC/IF

Supplier Data

Immunocytochemistry/ Immunofluorescence - Anti-BRCC45/BRE antibody [EPR11858] (AB177960)

Immunofluorescence analysis of MCF-7 cells labeling BRCC45/BRE using ab177960 at 1/50 dilution.

Immunohistochemistry (Formalin/PFA-fixed paraffin-embedded sections) - Anti-BRCC45/BRE antibody [EPR11858] (AB177960)
  • IHC-P

Supplier Data

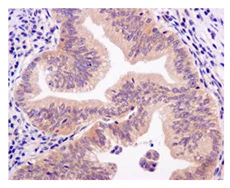
Immunohistochemistry (Formalin/PFA-fixed paraffin-embedded sections) - Anti-BRCC45/BRE antibody [EPR11858] (AB177960)

Immunohistochemical analysis of Human lung adenocarcinoma tissue labeling BRCC45/BRE using ab177960 at 1/50 dilution.

Perform heat mediated antigen retrieval before commencing with IHC staining protocol.

Immunohistochemistry (Formalin/PFA-fixed paraffin-embedded sections) - Anti-BRCC45/BRE antibody [EPR11858] (AB177960)
  • IHC-P

Supplier Data

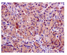
Immunohistochemistry (Formalin/PFA-fixed paraffin-embedded sections) - Anti-BRCC45/BRE antibody [EPR11858] (AB177960)

Immunohistochemical analysis of Human pancreas tissue labeling BRCC45/BRE using ab177960 at 1/50 dilution.

Perform heat mediated antigen retrieval before commencing with IHC staining protocol.

Western blot - Anti-BRCC45/BRE antibody [EPR11858] (AB177960)
  • WB

Lab

Western blot - Anti-BRCC45/BRE antibody [EPR11858] (AB177960)

Lanes 1-4 : Merged signal (red and green). Green - ab177960 observed at 44 kDa. Red - loading control ab7291 observed at 50 kDa.

ab177960 Recombinant Anti-BRE antibody [EPR11858] was shown to specifically react with BRE in wild-type HeLa cells. Loss of signal was observed when knockout cell line ab264928 (knockout cell lysate ab257861) was used. Wild-type and BRE knockout samples were subjected to SDS-PAGE. ab177960 and Anti-alpha Tubulin antibody [DM1A] - Loading Control (ab7291) were incubated overnight at 4°C at 1 in 1000 dilution and 1 in 20000 dilution respectively. Blots were developed with Goat anti-Rabbit IgG H&L (IRDye® 800CW) preadsorbed (ab216773) and Goat anti-Mouse IgG H&L (IRDye® 680RD) preadsorbed (ab216776) secondary antibodies at 1 in 20000 dilution for 1 hour at room temperature before imaging.

All lanes:

Western blot - Anti-BRCC45/BRE antibody [EPR11858] (ab177960) at 1/1000 dilution

Lane 1:

Wild-type HeLa cell lysate at 20 µg

Lane 2:

BRCC45/BRE knockout HeLa cell lysate at 20 µg

Lane 2:

Western blot - Human BRE (BRCC45) knockout HeLa cell line (<a href='/products/cell-lines/human-bre-brcc45-knockout-hela-cell-line-ab264928'>ab264928</a>)

Lane 3:

SH-SY5Y cell lysate at 20 µg

Lane 4:

Daudi cell lysate at 20 µg

Secondary

All lanes:

Western blot - Goat anti-Rabbit IgG H&L (IRDye® 800CW) preadsorbed (<a href='/products/secondary-antibodies/goat-rabbit-igg-h-l-irdye-800cw-preadsorbed-ab216773'>ab216773</a>) at 1/20000 dilution

Predicted band size: 44 kDa

Observed band size: 44 kDa

false

Western blot - Anti-BRCC45/BRE antibody [EPR11858] (AB177960)
  • WB

Supplier Data

Western blot - Anti-BRCC45/BRE antibody [EPR11858] (AB177960)

All lanes:

Western blot - Anti-BRCC45/BRE antibody [EPR11858] (ab177960) at 1/1000 dilution

Lane 1:

fetal brain lysate at 10 µg

Lane 2:

Human placenta lysate at 10 µg

Lane 3:

HeLa cell lysate at 10 µg

Lane 4:

Raji cell lysate at 10 µg

Predicted band size: 44 kDa

false

不同偶联物与剂型 (1)

  • Carrier free

    Anti-BRCC45/BRE antibody [EPR11858] - BSA and Azide free

关键信息

宿主种属

Rabbit

克隆

Monoclonal

克隆号

EPR11858

亚型

IgG

不含载体蛋白

No

反应种属

Human

应用

ICC/IF, IHC-P, WB

applications

免疫原

The exact immunogen used to generate this antibody is proprietary information.

反应性数据

{ "title": "Reactivity Data", "filters": { "stats": ["", "Species", "Dilution Info", "Notes"], "tabs": { "all-applications": {"fullname" : "All Applications", "shortname": "All Applications"}, "IHCP" : {"fullname" : "Immunohistochemistry (Formalin/PFA-fixed paraffin-embedded sections)", "shortname":"IHC-P"}, "IP" : {"fullname" : "Immunoprecipitation", "shortname":"IP"}, "FlowCyt" : {"fullname" : "Flow Cytometry", "shortname":"Flow Cyt"}, "WB" : {"fullname" : "Western blot", "shortname":"WB"}, "ICCIF" : {"fullname" : "Immunocytochemistry/ Immunofluorescence", "shortname":"ICC/IF"} }, "product-promise": { "all": "all", "testedAndGuaranteed": "tested", "guaranteed": "expected", "predicted": "predicted", "notRecommended": "not-recommended" } }, "values": { "Human": { "IHCP-species-checked": "testedAndGuaranteed", "IHCP-species-dilution-info": "1/50 - 1/100", "IHCP-species-notes": "<p></p> Perform heat-mediated antigen retrieval before commencing with IHC staining protocol.", "IP-species-checked": "notRecommended", "IP-species-dilution-info": "", "IP-species-notes": "<p></p>", "FlowCyt-species-checked": "notRecommended", "FlowCyt-species-dilution-info": "", "FlowCyt-species-notes": "<p></p>", "WB-species-checked": "testedAndGuaranteed", "WB-species-dilution-info": "1/1000 - 1/10000", "WB-species-notes": "<p></p>", "ICCIF-species-checked": "testedAndGuaranteed", "ICCIF-species-dilution-info": "1/50 - 1/100", "ICCIF-species-notes": "<p></p>" }, "Mouse": { "IHCP-species-checked": "predicted", "IHCP-species-dilution-info": "", "IHCP-species-notes": "", "IP-species-checked": "notRecommended", "IP-species-dilution-info": "", "IP-species-notes": "", "FlowCyt-species-checked": "notRecommended", "FlowCyt-species-dilution-info": "", "FlowCyt-species-notes": "", "WB-species-checked": "predicted", "WB-species-dilution-info": "", "WB-species-notes": "", "ICCIF-species-checked": "predicted", "ICCIF-species-dilution-info": "", "ICCIF-species-notes": "" }, "Rat": { "IHCP-species-checked": "predicted", "IHCP-species-dilution-info": "", "IHCP-species-notes": "", "IP-species-checked": "notRecommended", "IP-species-dilution-info": "", "IP-species-notes": "", "FlowCyt-species-checked": "notRecommended", "FlowCyt-species-dilution-info": "", "FlowCyt-species-notes": "", "WB-species-checked": "predicted", "WB-species-dilution-info": "", "WB-species-notes": "", "ICCIF-species-checked": "predicted", "ICCIF-species-dilution-info": "", "ICCIF-species-notes": "" } } }

产品详情

Patented technology
Our RabMAb® technology is a patented hybridoma-based technology for making rabbit monoclonal antibodies. For details on our patents, please refer to RabMAb® patents.

What are the advantages of a recombinant monoclonal antibody?
This product is a recombinant monoclonal antibody, which offers several advantages including:

  • - High batch-to-batch consistency and reproducibility
  • - Improved sensitivity and specificity
  • - Long-term security of supply
  • - Animal-free batch production

For more information, read more on recombinant antibodies.

性能和储存信息

形式
Liquid
纯度
Tissue culture supernatant
存储溶液
pH: 7.2 - 7.4 Preservative: 0.01% Sodium azide Constituents: PBS, 50% Tissue culture supernatant, 40% Glycerol (glycerin, glycerine), 0.05% BSA
运输条件
Blue Ice
推荐的短期储存时间
1-2 weeks
推荐的短期储存条件
+4°C
推荐的长期储存条件
-20°C
分装信息
Upon delivery aliquot
储存信息
Avoid freeze / thaw cycle

产品实验方案

For this product, it's our understanding that no specific protocols are required. You can visit:

靶点信息

Component of the BRCA1-A complex, a complex that specifically recognizes 'Lys-63'-linked ubiquitinated histones H2A and H2AX at DNA lesions sites, leading to target the BRCA1-BARD1 heterodimer to sites of DNA damage at double-strand breaks (DSBs). The BRCA1-A complex also possesses deubiquitinase activity that specifically removes 'Lys-63'-linked ubiquitin on histones H2A and H2AX (PubMed : 17525341, PubMed : 19261746, PubMed : 19261748, PubMed : 19261749). In the BRCA1-A complex, it acts as an adapter that bridges the interaction between BABAM1/NBA1 and the rest of the complex, thereby being required for the complex integrity and modulating the E3 ubiquitin ligase activity of the BRCA1-BARD1 heterodimer (PubMed : 19261748, PubMed : 21282113). Component of the BRISC complex, a multiprotein complex that specifically cleaves 'Lys-63'-linked ubiquitin in various substrates (PubMed : 19214193, PubMed : 24075985, PubMed : 25283148, PubMed : 26195665). Within the BRISC complex, acts as an adapter that bridges the interaction between BABAM1/NBA1 and the rest of the complex, thereby being required for the complex integrity (PubMed : 21282113). The BRISC complex is required for normal mitotic spindle assembly and microtubule attachment to kinetochores via its role in deubiquitinating NUMA1 (PubMed : 26195665). The BRISC complex plays a role in interferon signaling via its role in the deubiquitination of the interferon receptor IFNAR1; deubiquitination increases IFNAR1 activity by enhancing its stability and cell surface expression (PubMed : 24075985). Down-regulates the response to bacterial lipopolysaccharide (LPS) via its role in IFNAR1 deubiquitination (PubMed : 24075985). May play a role in homeostasis or cellular differentiation in cells of neural, epithelial and germline origins. May also act as a death receptor-associated anti-apoptotic protein, which inhibits the mitochondrial apoptotic pathway. May regulate TNF-alpha signaling through its interactions with TNFRSF1A; however these effects may be indirect (PubMed : 15465831).
See full target information BABAM2

文献 (5)

Recent publications for all applications. Explore the full list and refine your search

Nature structural & molecular biology 32:1812-1824 PubMed40097626

2025

Molecular glues that inhibit deubiquitylase activity and inflammatory signaling.

Applications

Unspecified application

Species

Unspecified reactive species

Francesca Chandler,Poli Adi Narayana Reddy,Smita Bhutda,Rebecca L Ross,Arindam Datta,Miriam Walden,Kieran Walker,Stefano Di Donato,Joel A Cassel,Michael A Prakesch,Ahmed Aman,Alessandro Datti,Lisa J Campbell,Martina Foglizzo,Lillie Bell,Daniel N Stein,James R Ault,Rima S Al-Awar,Antonio N Calabrese,Frank Sicheri,Francesco Del Galdo,Joseph M Salvino,Roger A Greenberg,Elton Zeqiraj

Pharmacology research & perspectives 12:e70025 PubMed39401152

2024

Study on the mechanism of echinacoside in preventing and treating hypoxic pulmonary hypertension based on proteomic analyses.

Applications

Unspecified application

Species

Unspecified reactive species

Xiangyun Gai,Qingqing Xia,Hongmai Wang,Hongtao Bi,Jinyu Wang,Yuefu Zhao

The Journal of cell biology 221: PubMed35938958

2022

Autologous K63 deubiquitylation within the BRCA1-A complex licenses DNA damage recognition.

Applications

Unspecified application

Species

Unspecified reactive species

Qinqin Jiang,Martina Foglizzo,Yaroslav I Morozov,Xuejiao Yang,Arindam Datta,Lei Tian,Vaughn Thada,Weihua Li,Elton Zeqiraj,Roger A Greenberg

Antioxidants (Basel, Switzerland) 9: PubMed32927585

2020

Beneficial Effects of Glucagon-Like Peptide-1 (GLP-1) in Diabetes-Induced Retinal Abnormalities: Involvement of Oxidative Stress.

Applications

Unspecified application

Species

Unspecified reactive species

Hugo Ramos,Patricia Bogdanov,Joel Sampedro,Jordi Huerta,Rafael Simó,Cristina Hernández

Frontiers in oncology 10:1407 PubMed32850455

2020

BRE Promotes Esophageal Squamous Cell Carcinoma Growth by Activating AKT Signaling.

Applications

Unspecified application

Species

Unspecified reactive species

Fujun Jin,Yexuan Zhu,Jingyi Chen,Rongze Wang,Yiliang Wang,Yanting Wu,Pengjun Zhou,Xiaowei Song,Zhe Ren,Jun Dong
View all publications

Abcam Product Promise

我们致力于为您的研究提供高质量的试剂,为您科研的每一步提供支持。若我们的产品未能达到预期性能,我们向您提供 Abcam Product Promise 保障。
详情请参阅我们的条款与条件。

Please note: All products are 'FOR RESEARCH USE ONLY. NOT FOR USE IN DIAGNOSTIC OR THERAPEUTIC PROCEDURES'.

For licensing inquiries, please contact partnerships@abcam.com