JavaScript is disabled in your browser. Please enable JavaScript to view this website.
AB239375

重组Anti-BRCA2抗体[EPR23442-43]

Anti-BRCA2 antibody [EPR23442-43]

5

(1 Review)

|

(4 Publications)

Rabbit Recombinant Monoclonal BRCA2 antibody. Suitable for WB and reacts with Human samples. Cited in 4 publications.

查看别名

FACD, FANCD1, BRCA2, Breast cancer type 2 susceptibility protein, Fanconi anemia group D1 protein

2 Images
Western blot - Anti-BRCA2 antibody [EPR23442-43] (AB239375)
  • WB

Lab

Western blot - Anti-BRCA2 antibody [EPR23442-43] (AB239375)

Anti-BRCA2 antibody [EPR23442-43] (ab239375) staining at 1/500 dilution, shown in green; Mouse anti-CANX [CANX/1543] (ab238078) loading control staining at 1/20000 dilution, shown in red. In Western blot, ab239375 was shown to bind specifically to BRCA2. A band was observed at 290 kDa in wild-type MCF7 cell lysates with no signal observed at this size in BRCA2 knockout cell line ab286285 (knockout cell lysate ab300210). To generate this image, wild-type and BRCA2 knockout MCF7 cell lysates were analysed. First, samples were run on an SDS-PAGE gel then transferred onto a nitrocellulose membrane. Membranes were blocked in 3 % milk in TBS-0.1 % Tween$®$ 20 (TBS-T) before incubation with primary antibodies overnight at 4 °C. Blots were washed four times in TBS-T, incubated with secondary antibodies for 1 h at room temperature, washed again four times then imaged. Secondary antibodies used were Goat anti-Rabbit IgG H&L 800CW and Goat anti-Mouse IgG H&L 680RD at 1/20000 dilution

All lanes:

Western blot - Anti-BRCA2 antibody [EPR23442-43] (ab239375) at 1/500 dilution

Lane 1:

Wild-type MCF7 cell lysate at 20 µg

Lane 2:

Western blot - Human BRCA2 knockout MCF7 cell lysate (ab300210) at 20 µg

Lane 3:

Jurkat cell lysate at 20 µg

Lane 4:

PC-3 cell lysate at 20 µg

Lane 5:

HT-29 cell lysate at 20 µg

Secondary

Lanes 1 - 5:

Goat anti-Rabbit IgG H&L 800CW at 1/20000 dilution

Lanes 1 - 5:

Goat anti-Mouse IgG H&L 680RD at 1/20000 dilution

Observed band size: 290 kDa

false

Western blot - Anti-BRCA2 antibody [EPR23442-43] (AB239375)
  • WB

Lab

Western blot - Anti-BRCA2 antibody [EPR23442-43] (AB239375)

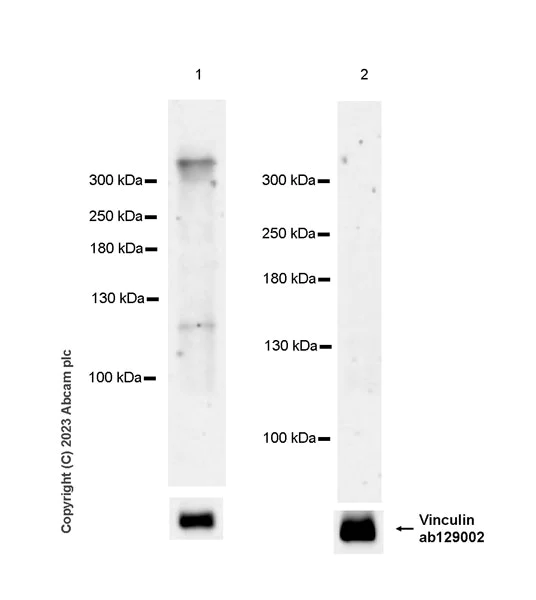
Negative control : Capan-1 (PMID : 16251802). Lysates were freshly made and used for Western blotting immediately to minimize protein degradation. Blocking and diluting buffer : 5% NFDM/TBST

All lanes:

Western blot - Anti-BRCA2 antibody [EPR23442-43] (ab239375)

Lane 1:

HeLa (human cervical adenocarcinoma epithelial cell) whole cell lysate at 100 µg

Lane 2:

Capan-1 (human pancreas adenocarcinoma epithelial cell) whole cell lysate at 100 µg

Secondary

All lanes:

Western blot - Goat Anti-Rabbit IgG H&L (HRP) (<a href='/products/secondary-antibodies/goat-rabbit-igg-h-l-hrp-ab97051'>ab97051</a>) at 1/10000 dilution

Predicted band size: 384 kDa

false

Exposure time: 180s

关键信息

宿主种属

Rabbit

克隆

Monoclonal

克隆号

EPR23442-43

亚型

IgG

不含载体蛋白

No

反应种属

Human

应用

WB

applications

免疫原

The exact immunogen used to generate this antibody is proprietary information.

反应性数据

{ "title": "Reactivity Data", "filters": { "stats": ["", "Species", "Dilution Info", "Notes"], "tabs": { "all-applications": {"fullname" : "All Applications", "shortname": "All Applications"}, "FlowCyt" : {"fullname" : "Flow Cytometry", "shortname":"Flow Cyt"}, "WB" : {"fullname" : "Western blot", "shortname":"WB"}, "IHCP" : {"fullname" : "Immunohistochemistry (Formalin/PFA-fixed paraffin-embedded sections)", "shortname":"IHC-P"}, "ICCIF" : {"fullname" : "Immunocytochemistry/ Immunofluorescence", "shortname":"ICC/IF"} }, "product-promise": { "all": "all", "testedAndGuaranteed": "tested", "guaranteed": "expected", "predicted": "predicted", "notRecommended": "not-recommended" } }, "values": { "Human": { "FlowCyt-species-checked": "notRecommended", "FlowCyt-species-dilution-info": "", "FlowCyt-species-notes": "<p></p>", "WB-species-checked": "testedAndGuaranteed", "WB-species-dilution-info": "", "WB-species-notes": "<p></p>", "IHCP-species-checked": "notRecommended", "IHCP-species-dilution-info": "", "IHCP-species-notes": "<p></p>", "ICCIF-species-checked": "notRecommended", "ICCIF-species-dilution-info": "", "ICCIF-species-notes": "<p></p>" }, "Mouse": { "FlowCyt-species-checked": "notRecommended", "FlowCyt-species-dilution-info": "", "FlowCyt-species-notes": "", "WB-species-checked": "notRecommended", "WB-species-dilution-info": "", "WB-species-notes": "", "IHCP-species-checked": "notRecommended", "IHCP-species-dilution-info": "", "IHCP-species-notes": "<p></p>", "ICCIF-species-checked": "notRecommended", "ICCIF-species-dilution-info": "", "ICCIF-species-notes": "" }, "Rat": { "FlowCyt-species-checked": "notRecommended", "FlowCyt-species-dilution-info": "", "FlowCyt-species-notes": "", "WB-species-checked": "notRecommended", "WB-species-dilution-info": "", "WB-species-notes": "", "IHCP-species-checked": "notRecommended", "IHCP-species-dilution-info": "", "IHCP-species-notes": "<p></p>", "ICCIF-species-checked": "notRecommended", "ICCIF-species-dilution-info": "", "ICCIF-species-notes": "" } } }

产品详情

Patented technology
Our RabMAb® technology is a patented hybridoma-based technology for making rabbit monoclonal antibodies. For details on our patents, please refer to RabMAb® patents.

What are the advantages of a recombinant monoclonal antibody?
This product is a recombinant monoclonal antibody, which offers several advantages including:

  • - High batch-to-batch consistency and reproducibility
  • - Improved sensitivity and specificity
  • - Long-term security of supply
  • - Animal-free batch production

For more information, read more on recombinant antibodies.

性能和储存信息

形式
Liquid
纯化工艺
Affinity purification Protein A
存储溶液
pH: 7.2 - 7.4 Preservative: 0.01% Sodium azide Constituents: PBS, 40% Glycerol (glycerin, glycerine), 0.05% BSA
运输条件
Blue Ice
推荐的短期储存时间
1-2 weeks
推荐的短期储存条件
+4°C
推荐的长期储存条件
-20°C
分装信息
Upon delivery aliquot
储存信息
Avoid freeze / thaw cycle

产品实验方案

For this product, it's our understanding that no specific protocols are required. You can visit:

靶点信息

Involved in double-strand break repair and/or homologous recombination. Binds RAD51 and potentiates recombinational DNA repair by promoting assembly of RAD51 onto single-stranded DNA (ssDNA). Acts by targeting RAD51 to ssDNA over double-stranded DNA, enabling RAD51 to displace replication protein-A (RPA) from ssDNA and stabilizing RAD51-ssDNA filaments by blocking ATP hydrolysis. Part of a PALB2-scaffolded HR complex containing RAD51C and which is thought to play a role in DNA repair by HR. May participate in S phase checkpoint activation. Binds selectively to ssDNA, and to ssDNA in tailed duplexes and replication fork structures. May play a role in the extension step after strand invasion at replication-dependent DNA double-strand breaks; together with PALB2 is involved in both POLH localization at collapsed replication forks and DNA polymerization activity. In concert with NPM1, regulates centrosome duplication. Interacts with the TREX-2 complex (transcription and export complex 2) subunits PCID2 and SEM1, and is required to prevent R-loop-associated DNA damage and thus transcription-associated genomic instability. Silencing of BRCA2 promotes R-loop accumulation at actively transcribed genes in replicating and non-replicating cells, suggesting that BRCA2 mediates the control of R-loop associated genomic instability, independently of its known role in homologous recombination (PubMed : 24896180).
See full target information BRCA2

文献 (4)

Recent publications for all applications. Explore the full list and refine your search

Molecular brain 18:78 PubMed41068896

2025

Exploration of schizophrenia-related behavioral and molecular abnormalities in a mutant mouse model with a mutation in the TVV motif of the ErbB4 gene.

Applications

Unspecified application

Species

Unspecified reactive species

Abdul Aziz Khan,Shuai Wang,Ziying Wang,Zainab Rehman,Lei Chen,Yifang Kuang,Xu Zhang,Yuting Li,Jiarun Yang,Jun Ye,Xianda Ma,Qian Zhao,Ying Ding,Tatsuo Suzuki,Zhaohui Lan,Weidong Li

Journal of translational medicine 23:652 PubMed40514657

2025

TTI1 contributes to radioresistance by activating ATM pathway in rectal cancer.

Applications

Unspecified application

Species

Unspecified reactive species

Jingying Wang,Lili Li,Yuan Qin,Wenyi Zhang

Cancer chemotherapy and pharmacology 92:71-81 PubMed37272931

2023

Tumor-associated macrophages promote cisplatin resistance in ovarian cancer cells by enhancing WTAP-mediated N6-methyladenosine RNA methylation via the CXCL16/CXCR6 axis.

Applications

Unspecified application

Species

Unspecified reactive species

Lan Hong,Xiuzhen Wang,Lang Zheng,Shengtan Wang,Genhai Zhu

Journal of cellular and molecular medicine 27:634-649 PubMed36753396

2023

Synergistic effect of PARP inhibitor and BRD4 inhibitor in multiple models of ovarian cancer.

Applications

Unspecified application

Species

Unspecified reactive species

Yuhan Huang,Chen Liu,Lixin You,Xi Li,Gang Chen,Junpeng Fan
View all publications

Abcam Product Promise

我们致力于为您的研究提供高质量的试剂,为您科研的每一步提供支持。若我们的产品未能达到预期性能,我们向您提供 Abcam Product Promise 保障。
详情请参阅我们的条款与条件。

Please note: All products are 'FOR RESEARCH USE ONLY. NOT FOR USE IN DIAGNOSTIC OR THERAPEUTIC PROCEDURES'.

For licensing inquiries, please contact partnerships@abcam.com